Restorative treatment for pathological fracture of the acetabulum in a patient with neurofibromatosis
- Authors: Afaunov A.A.1, Afaunov A.I.1, Akhtem Y.D.1, Mishagin A.V.1
-
Affiliations:
- Kuban State Medical Academy
- Issue: Vol 10, No 1 (2003)
- Pages: 83-84
- Section: Short communications
- Submitted: 20.10.2020
- Published: 15.03.2003
- URL: https://journals.eco-vector.com/0869-8678/article/view/48265
- DOI: https://doi.org/10.17816/vto200310183-84
- ID: 48265
Cite item
Full Text
Abstract
Skeletal pathology as a manifestation of type I neurofibromatosis is relatively rare — in 15–20% of patients, and each case of neurofibromatosis “bears the stamp of individual uniqueness” [1, 2]. Among the indications of the involvement of bone structures in the destructive process, we did not find a description of a pathological fracture of the acetabulum and methods for restoring the support ability of the pelvis and hip in this disease.
Keywords
Full Text
Патология скелета как проявление нейрофиброматоза I типа встречается сравнительно редко — у 15-20% больных, при этом каждый случай нейрофиброматоза «носит на себе печать индивидуальной неповторимости» [1, 2]. Среди указаний на вовлечение в деструктивный процесс костных структур мы не встретили описания патологического перелома вертлужной впадины и методов восстановления опороспособности таза и бедра при таком заболевании.
Считаем целесообразным привести собственное наблюдение и поделиться опытом применения разработанного в нашей клинике и успешно используемого с 1994 г. метода двухэтапного устранения вывиха бедра и восстановления формы вертлужной впадины (пат. 2134080 РФ с приоритетом от 09.09.99).
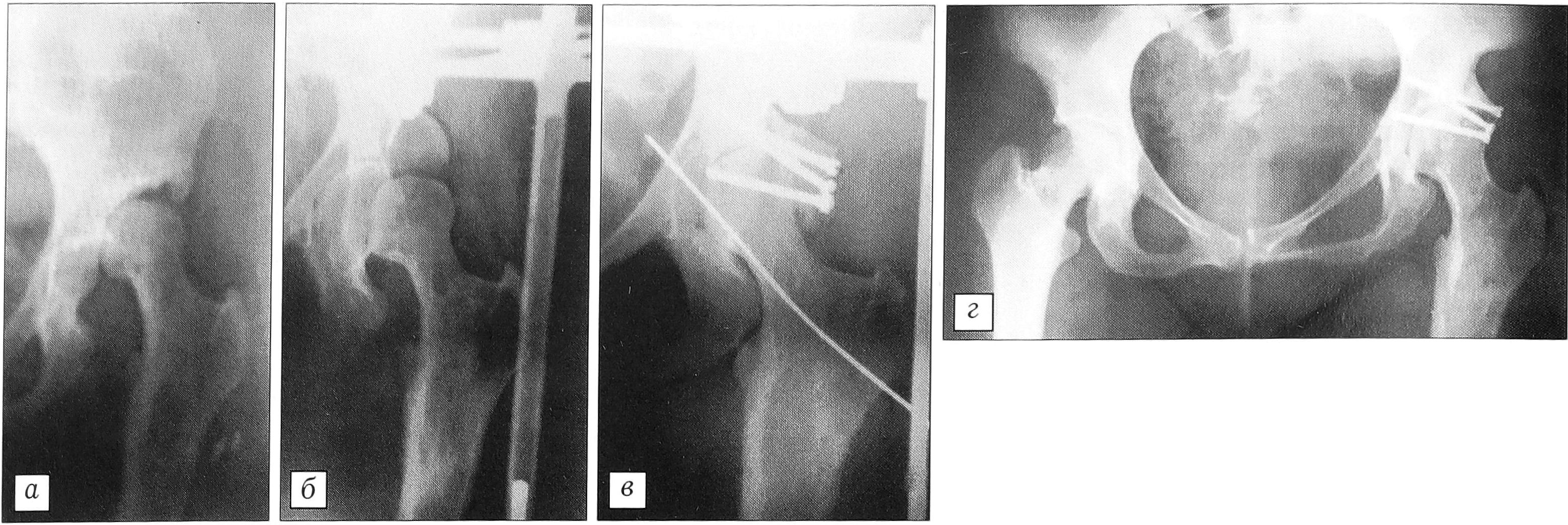
Больная Р ., 31 года, поступила в клинику 03.09.99 с жалобами на невозможность опоры на левую ногу из-за боли в тазобедренном суставе. Выяснено, что пациентка с детства страдает нейрофиброматозом. До 23 лет трижды оперирована по поводу множественных нейрофиброматозных узлов в левой половине передней брюшной стенки и мягких тканях левого бедра. В возрасте 25 лет вышла замуж, в срок родила нормального ребенка. Работала. 01.06.99 внезапно почувствовала острую боль в области левого тазобедренного сустава, возникшую без видимых причин, упала. По месту жительства был диагностирован вывих бедра. Попытки закрытого вправления головки бедра оказались безуспешными: неустойчивость сохранялась, вывих рецидивировал. От операции по месту жительства больная воздержалась. Через 3 мес при поступлении в нашу клинику рентгенологически диагностирован перелом заднего края вертлужной впадины и подвздошный вывих головки левого бедра. Перелом вертлужной впадины расценен как патологический в связи с дисплазией всей левой половины таза (см. рисунок, а).
Рентгенограммы больной Р. 31 года. а — до начала лечения: патологический вывих бедра; б — на этапе дистракционного низведения бедра; в — после открытого вправления головки бедра с аутоостеопластикой задневерхнего края впадины; г — через 2 года.
09.09.99 выполнен первый этап операции — наложение анкерно-спицевого аппарата внешней фиксации «таз—бедро» (см. рисунок, б). Через 15 дней бедро было низведено до уровня вертлужной впадины. В этом положении внешняя фиксация продолжалась в течение 30 дней — до полной адаптации мышц бедра и околосуставных мягких тканей. 11.11.99 произведены открытое вправление головки бедра и аутопластика задневерхнего края вертлужной впадины трансплантатами, взятыми из крыла левой подвздошной кости (см. рисунок, в). Фиксация в аппарате продолжалась еще 5 нед. Операционная рана зажила первичным натяжением. Больная передвигалась при помощи костылей. Через 3 мес начала приступать на левую ногу. При обследовании через 2 года: пациентка ходит с опорой на трость, на рентгенограмме: форма вертлужной впадины и костные структуры сустава полностью восстановились (см. рисунок, г). От работы, требующей физической нагрузки, воздерживается. Приобрела новую профессию, не связанную с длительным хождением и подъемом тяжести. Наблюдение продолжается.
Приведенное клиническое наблюдение позволяет сделать вывод, что метод двухэтапного лечения застарелых переломов вертлужной впадины может успешно применяться и при патологических переломах (нейрофиброматоз) с вывихом головки бедренной кости.
About the authors
A. A. Afaunov
Kuban State Medical Academy
Email: info@eco-vector.com
Russian Federation, Krasnodar
A. I. Afaunov
Kuban State Medical Academy
Email: info@eco-vector.com
Russian Federation, Krasnodar
Y. D. Akhtem
Kuban State Medical Academy
Email: info@eco-vector.com
Russian Federation, Krasnodar
A. V. Mishagin
Kuban State Medical Academy
Author for correspondence.
Email: info@eco-vector.com
Russian Federation, Krasnodar
References
- Мерк, Шарп, Доум. Руководство по медицине. — М., 1997. — Т. 1. — С. 1041-1042.
- Рейнберг С.А. Рентгенодиагностика заболеваний костей и суставов. — М., 1964. — Т. 2. — С. 380-384.
Supplementary files



