Step-up approach for surgical treatment of the spinal canal stenosis in a patient with mucopolysaccharidosis type VI (Maroto–Lami syndrome)
- Authors: Kolesov S.V.1, Pereverzev V.S.1, Shvets V.V.1, Kazmin A.I.1, Sazhnev M.L.1, Panteleev A.A.1, Kruglikov I.A.1
-
Affiliations:
- N.N. Priorov Central Institute of Traumatology and Orthopedics
- Issue: Vol 27, No 4 (2020)
- Pages: 5-10
- Section: Original study articles
- Submitted: 19.11.2020
- Accepted: 28.01.2021
- Published: 26.12.2020
- URL: https://journals.eco-vector.com/0869-8678/article/view/50341
- DOI: https://doi.org/10.17816/vto50341
- ID: 50341
Cite item
Full Text
Abstract
The article presents a clinical case of step-up surgical treatment of spinal canal stenosis at the craniovertebral and thoracolumbar level in a patient with mucopolysaccharidosis (MPS) type VI. The treatment method gives an opportunity to achieve a satisfactory result at the background of severe metabolic disease.
Full Text
ВВЕДЕНИЕ
Мукополисахаридозы (МПС) — это группа редких наследственных метаболических заболеваний. Клинические проявления, такие как лицевой дизморфизм, помутнение роговицы, задержка физического развития, умственная отсталость, замедление роста, контрактуры суставов, множественный дизостоз, снижение слуха, изменение клапанов сердца, гепатоспленомегалия, пупочные и паховые грыжи, развиваются по мере роста пациентов [1–4]. В настоящее время для нескольких типов МПС доступны препараты фермент-заместительной терапии, позволяющие снизить токсическую активность метаболитов и продлить жизнь пациентов с МПС [5].
Наиболее распространенными изменениями при МПС со стороны позвоночника являются краниовертебральный стеноз и кифотическая/кифосколиотическая деформация грудопоясничного отдела позвоночника, которые приводят к тяжелым неврологическим осложнениям в виде пареза или плегии [5–7].
Как в отечественных, так и в зарубежных сообщениях отдаленных результатов хирургического лечения практически нет. Поэтому мы представляем собственное клиническое наблюдение.
Приведено наблюдение пациентки с МПС VI типа, которая подверглась этапному хирургическому лечению по поводу стеноза позвоночного канала на уровне краниовертебрального перехода и кифоза грудопоясничного отдела позвоночника.
Цель данной работы — подчеркнуть необходимость своевременного хирургического лечения поражений позвоночника при МПС.
КЛИНИЧЕСКИЙ СЛУЧАЙ
Под нашим наблюдением находится пациентка с мукополисахаридозом VI типа (синдром Марото–Лами) (рис. 1).
Рис. 1. Внешний вид пациентки 19 лет с мукополисахаридозом VI типа: а — до операции; b — после операции, отмечается улучшение сагиттального профиля
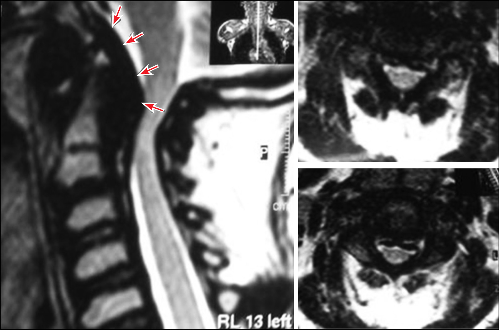
Патология диагностирована в возрасте 7 лет, когда отмечена задержка роста и появление контрактур в крупных суставах конечностей. Находилась под патронажем генетика по месту жительства. Обучалась в специализированной школе-интернате. В 10 лет в результате падения во время игры с мячом стала отмечать незначительную слабость в левой верхней и нижней конечностях. Через 6 мес. появилось снижение мышечной силы и чувствительности в верхних и нижних конечностях. Консультирована неврологом, проведено магнитно-резонансное томографическое (МРТ) исследование головного мозга — патологии не выявлено. Начата фермент-заместительная терапия (галсульфазой). С течением времени отмечалось усугубление неврологических симптомов. Выполнено МРТ шейного отдела позвоночника, на котором выявлен стеноз на уровне краниовертебрального перехода (рис. 2).
Рис. 2. Магнтино-резонансная томограмма шейного отдела позвоночника, отмечается выраженный стеноз позвоночного канала на уровне краниовертебрального перехода (стрелки)
Пациентка обратилась в НМИЦ ТО им. Н.Н. Приорова с клиникой тетрапареза. Учитывая прогрессирующую неврологическую симптоматику, рекомендовано хирургическое лечение в срочном порядке. В отделении патологии позвоночника выполнена операция: наложение гало-кольца. Ламинэктомия позвонков С1, С2, С3, резекция заднего края большого затылочного отверстия, декомпрессия спинного мозга, окципитоспондилодез С0–С6, задний спондилодез аутокостью (рис. 3). На момент выполнения операции пациентке было 15 лет. Через 2 нед. после проведенного лечения в неврологическом статусе отмечается положительная динамика (ASIA B>>C). При контрольном осмотре через 6 мес. — ходит с поддержкой. Через 1 год после операции — передвигается самостоятельно.
Рис. 3. Рентгенограмма и компьютерная томограмма шейного отдела позвоночника после операции, положение металлоконструкции правильное
В периоперационном периоде у данной пациентки выявлено наличие кифотической деформации грудопоясничного отдела позвоночника (34°) с очагом миелопатии на вершине кифоза (уровень Th11). Рекомендовано динамическое наблюдение и плановое хирургическое лечение. Однако от предложенного лечения пациентка отказалась. Через 4 года после первой операции стала отмечать трудности при ходьбе, слабость в нижних конечностях, нарушение баланса туловища, выраженные боли в области грудопоясничного отдела позвоночника (8 баллов по визуально аналоговой шкале). На рентгенограммах угол локального кифоза по Сobb составил 50°. Согласно данным МРТ, очаг миелоишемии увеличился (рис. 4).
Рис. 4. Магнитно-резонансная томограмма грудопоясничного отдела позвоночника, отмечается очаг миелопатии на уровне позвонка Th11
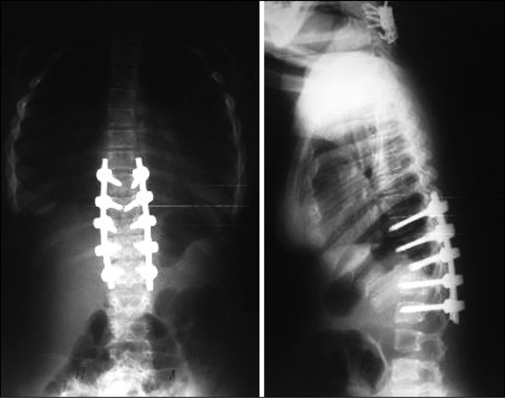
В связи с вышеуказанными изменениями пациентке выполнена операция: транспедикулярная фиксация Th9–L1, коррекция кифотической деформации. Ламинэктомия позвонка Th11, декомпрессия спинного мозга. Задний спондилодез аутокостью, угол коррекции составил 30° (рис. 5). В послеоперационном периоде отмечено снижение болевого синдрома до 3 баллов по визуально аналоговой шкале. Назначено ношение грудопоясничного корсета на 3 мес. Через полгода на контрольном осмотре пациентка ходит самостоятельно без поддержки. На контрольных рентгенограммах через 4 года потери коррекции не выявлено.
Рис. 5. Рентгенограммы грудопоясничного отдела позвоночника после операции, отмечается выраженная коррекция деформации, угол коррекции составил порядка 30º
ОБСУЖДЕНИЕ
Хирургические методы, используемые у пациентов с MПС, варьируют между медицинскими центрами и в зависимости от клинической ситуации, такой как наличие и степень нестабильности шейного отдела, место компрессии спинного мозга, количество уровней стеноза [8–12]. Инструментальная стабилизация рекомендуется для профилактики развития нестабильности и рубцового стеноза [12, 13]. В большинстве случаев выполняется дорсальная декомпрессия, даже если накопление гликозаминогликанов в основном фронтальное, поскольку передняя декомпрессия более сложна из-за близкого расположения трахеи, пищевода, языка и щитовидной железы [14, 15].
В случае многоуровневого стеноза сначала необходимо выполнить декомпрессию области наибольшего риска (чаще всего уровень краниовертебрального отдела). Хирургических рекомендаций по декомпрессии спинного мозга для всех типов МПС на сегодняшний день не существует из-за широкого арсенала методов и техник, используемых в разных клиниках и основанных на собственном клиническом опыте, что обусловлено редкостью заболевания [11].
В публикациях обычно придерживаются точки зрения раннего лечения краниовертебрального стеноза у пациентов с МПС, прежде чем разовьется необратимая дисфункция спинного мозга [4].
В сообщениях клинических случаев говорится, что хирургическая декомпрессия и/или стабилизация безопасны и приводят к улучшению неврологического статуса, хотя отдаленные результаты не всегда хорошо описаны или не представлены [9, 11, 16, 17].
Трудно определить оптимальные сроки для вмешательства, поскольку потенциальные преимущества декомпрессии должны быть соотнесены с высокими рисками, связанными как с анестезией, так и с самой операцией при МПС. Более того, степень компрессии при лучевой визуализации не обязательно коррелирует с неврологическими проявлениями. Наличие признаков и симптомов миелопатии является абсолютным показанием для операции. Относительными показаниями могут быть выраженная нестабильность (>8 мм) и изменение в спинном мозге (очаги миелопатии) на МРТ [18].
Некоторые авторы рекомендуют профилактическую декомпрессию и/или фиксацию у пациентов с MПС IV типа в раннем возрасте [19, 20]. Проблема с этим подходом заключается в высоком риске рецидива стеноза, часто требующего повторной операции. Повторное хирургическое вмешательство нередко затруднено из-за наличия рубцовой ткани и изменения анатомии, а наличие металофиксации вызывает артефакты при проведении МРТ. Однако, если операция проводится слишком поздно, декомпрессия тяжелого стеноза может привести к отеку спинного мозга и, в конечном итоге, к параплегии [21].
Возможные осложнения комплексной хирургии позвоночника включают ухудшение моторной функции из-за повреждения нервных структур, инфекции и рецидива стеноза [17].
После декомпрессии может потребоваться хирургическая коррекция и стабилизация деформации позвоночника при кифозе или кифосколиозе [11]. Развитие проксимального переходного кифоза или дистальной переходной нестабильности после формирования спондилодеза также требует продления уровней фиксации и является частым осложнением у пациентов с MПС VI типа [9].
Кроме того, пациенты с обструкцией дыхательных путей, рестриктивными заболеваниями легких, заболеваниями сердечно-сосудистой системы или при их сочетании имеют высокий риск развития осложнений во время проведения анестезии, нарушение вентиляционной функции легких приводит к необходимости экстренной трахеостомии [22, 23]. У пациентов с нестабильностью и подвывихом в атлантоосевом суставе во время интубации может возникнуть патологическая подвижность, что приводит к повреждению спинного мозга. Также описан инфаркт спинного мозга в грудном отделе во время краниоцервикальной декомпрессии в положении лежа на животе [24].
Использование интраоперационного нейрофизиологического мониторинга считается обязательным [11, 25]. Его рекомендуется применять на всех этапах лечения, начиная с интубации в положении на спине, контроля переворота пациента на живот и на протяжении хирургического этапа [26].
ЗАКЛЮЧЕНИЕ
Хирургических рекомендаций по лечению стеноза позвоночного канала у пациентов с МПС на сегодняшний день не существует, либо они находятся на стадии разработки. Это обусловлено редкостью патологии, широким спектром методов и техник, применяемых в разных клиниках и собственном опыте хирургов. А высокий анестезиологический риск у пациентов с MПС требует тщательной оценки факторов риска до операции. Мы придерживаемся точки зрения раннего лечения краниовертебрального стеноза у пациентов с МПС, прежде чем разовьется необратимая дисфункция спинного мозга. В случае стеноза на нескольких уровнях сначала необходимо выполнять декомпрессию области наибольшего риска (чаще всего уровень краниовертебрального отдела) у пациентов с МПС. Такой ступенчатый подход позволяет достигнуть хороших отдаленных результатов, как показано в нашем клиническом наблюдении. Тем не менее необходимы публикации более длительных наблюдений.
About the authors
Sergey V. Kolesov
N.N. Priorov Central Institute of Traumatology and Orthopedics
Author for correspondence.
Email: dr-kolesov@yandex.ru
Dr. Sci. (Med.), Professor, traumatologist-orthopedist, Head of the Department of Spinal Pathology
Russian Federation, MoscowVladimir S. Pereverzev
N.N. Priorov Central Institute of Traumatology and Orthopedics
Email: vcpereverz@gmail.com
traumatologist-orthopedist of the Department of Spinal Pathology
Russian Federation, MoscowVladimir V. Shvets
N.N. Priorov Central Institute of Traumatology and Orthopedics
Email: vshvecv@yandex.ru
Dr. Sci. (Med.), traumatologist-orthopedist, leading researcher of the Department of Spinal Pathology
Russian Federation, MoscowArkadiy I. Kazmin
N.N. Priorov Central Institute of Traumatology and Orthopedics
Email: kazmin.cito@mail.ru
Cand. Sci. (Med.), traumatologist-orthopedist of the Department of Spinal Pathology
Russian Federation, MoscowMaxim L. Sazhnev
N.N. Priorov Central Institute of Traumatology and Orthopedics
Email: mak.sajnev@yandex.ru
Cand. Sci. (Med.), traumatologist-orthopedist of the Department of Spinal Pathology
MoscowAndrey A. Panteleev
N.N. Priorov Central Institute of Traumatology and Orthopedics
Email: apanteleyev@gmail.com
traumatologist-orthopedist of the Department of Spinal Pathology
Russian Federation, MoscowIgor A. Kruglikov
N.N. Priorov Central Institute of Traumatology and Orthopedics
Email: igorkruglikov@yandex.ru
anesthesiologist-resuscitator
Russian Federation, MoscowReferences
- Whitley CB, Belani KG, Chang PN, et al. Long-term outcome of Hurler syndrome following bone marrow transplantation. Am J Med Genet. 1993;46(2):209–218. doi: 10.1002/ajmg.1320460222
- Alonzo-Rojo A, Garcia-Ortiz JE, Ortiz-Aranda M, et al. Clinical features of Mexican patients with Mucopolysaccharidosis type I. Genet Mol Res. 2017;16(3):1–8. doi: 10.4238/gmr16032602
- Giugliani R, Federhen A, Rojas MVM, et al. Mucopolysaccharidosis I, II, and VI: Brief review and guidelines for treatment. Genet Mol Biol. 2010;33(4):589–604. doi: 10.1590/S1415-47572010005000093
- Moore D, Connock MJ, Wraith E, Lavery C. The prevalence of and survival in Mucopolysaccharidosis I: Hurler, Hurler-Scheie and Scheie syndromes in the UK. Orphanet J Rare Dis. 2008;3:24. doi: 10.1186/1750-1172-3-24
- Khan SA, Peracha H, Ballhausen D, et al. Epidemiology of mucopolysaccharidoses. Mol Genet Metab. 2017;121(3):227–240. doi: 10.1016/j.ymgme.2017.05.016
- Alden TD, Amartino HH, Dalla Corte A, et al. Surgical Management of Neurological Manifestations of Mucopolysaccharidosis Disorders. Vol 122S. United States: Elsevier Inc; 2017. doi: 10.1016/j.ymgme.2017.09.011
- Williams N, Cundy PJ, Eastwod DM. Surgical Management of Thoracolumbar Kyphosis in Patients with Mucopolysaccharidosis. Spine (Phila Pa 1976). 2017;42(23):1817–1825. doi: 10.1097/BRS.0000000000002242
- Tandon V, Williamson JB, Cowie RA, Wraith JE. Spinal problems in mucopolysaccharidosis I (Hurler syndrome). J Bone Joint Surg Br. 1996;78(6):938–944.
- Borlot F, Arantes PR, Quaio CR, et al. Mucopolysaccharidosis type IVA: Evidence of primary and secondary central nervous system involvement. Am J Med Genet Part A. 2014;164(5):1162–1169. doi: 10.1002/ajmg.a.36424
- Kachur E, Del Maestro R. Mucopolysaccharidoses and spinal cord compression: case report and review of the literature with implications of bone marrow transplantation. Neurosurgery. 2000;47(1):223–229.
- Bradley WGJ, Scalzo D, Queralt J, et al. Normal-pressure hydrocephalus: evaluation with cerebrospinal fluid flow measurements at MR imaging. Radiology. 1996;198(2):523–529. doi: 10.1148/radiology.198.2.8596861
- Stoquart-Elsankari S, Lehmann P, Villette A, et al. A phase-contrast MRI study of physiologic cerebral venous flow. J Cereb Blood Flow Metab. 2009;29(6):1208–1215. doi: 10.1038/jcbfm.2009.29
- Charrow J, Alden TD, Breathnach CAR, et al. Diagnostic evaluation, monitoring, and perioperative management of spinal cord compression in patients with Morquio syndrome. Mol Genet Metab. 2015;114(1):11–18. doi: 10.1016/j.ymgme.2014.10.010
- Lampe C, Lampe C, Schwarz M, et al. Craniocervical decompression in patients with mucopolysaccharidosis VI: Development of a scoring system to determine indication and outcome of surgery. J Inherit Metab Dis. 2013;36(6):1005–1013. doi: 10.1007/s10545-013-9591-5
- Kolesov SV, Mikhaylova LK, Kolbovsky DA, Pereverzev VS. Surgical Treatment of Cervical Stenosis in Patients With Mucopolysaccharidosis: Systematic Review. Traumatol Orthop Russ. 2018;24(2):127–137. doi: 10.21823/2311-2905-2018-24-2-127-137
- Mut M, Cila A, Varli K, Akalan N. Multilevel myelopathy in Maroteaux-Lamy syndrome and review of the literature. Clin Neurol Neurosurg. 2005;107(3):230–235. doi: 10.1016/j.clineuro.2004.05.003
- Lee C, Dineen TE, Brack M, et al. The mucopolysaccharidoses: characterization by cranial MR imaging. AJNR Am J Neuroradiol. 1993;14(6):1285–1292.
- Hendriksz CJ, Berger KI, Giugliani R, et al. International guidelines for the management and treatment of Morquio a syndrome. Am J Med Genet Part A. 2015;167(1):11–25. doi: 10.1002/ajmg.a.36833
- Al Sawaf S, Mayatepek E, Hoffmann B. Neurological findings in Hunter disease: Pathology and possible therapeutic effects reviewed. J Inherit Metab Dis. 2008;31(4):473–480. doi: 10.1007/s10545-008-0878-x
- Dalla-Corte A, Souza CFM, Vairo F, et al. An algorithm to assess the need for CSF shunting in mucopolysaccharidosis patients. Mol Genet Metab. 2018;120(1):S39. doi: 10.1016/j.ymgme.2016.11.075
- Mikhailova LK, Kuleshov AA, Arzhakova NI, et al. Maroteaux-Lamy syndrome–mucopolysaccharidosis type VI: a case report (errors and complications). Genij Ortop. 2017;23(1):80–84. doi: 10.18019/1028-4427-2017-23-1-80-84
- Semenza GL, Pyeritz RE. Respiratory complications of mucopolysaccharide storage disorders. Medicine (Baltimore). 1988;67(4):209–219.
- Muhlebach MS, Shaffer CB, Georges L, et al. Bronchoscopy and airway management in patients with mucopolysaccharidoses (MPS). Pediatr Pulmonol. 2013;48(6):601–607. doi: 10.1002/ppul.22629
- Munoz-Rojas M-V, Vieira T, Costa R, et al. Intrathecal enzyme replacement therapy in a patient with mucopolysaccharidosis type I and symptomatic spinal cord compression. Am J Med Genet A. 2008;146A(19):2538–2544. doi: 10.1002/ajmg.a.32294
- Muenzer J, Hendriksz CJ, Fan Z, et al. A phase I/II study of intrathecal idursulfase-IT in children with severe mucopolysaccharidosis II. Genet Med. 2016;18(1):73–81. doi: 10.1038/gim.2015.36
- Muenzer J. Overview of the mucopolysaccharidoses. Rheumatology. 2011;50(SUPPL. 5). doi: 10.1093/rheumatology/ker394
Supplementary files






