Screening examination of the cervical spine in patients with Down syndrome
- Authors: Kuleshov A.A.1, Gubin A.V.2, Sharov V.A.1, Vetrile M.S.1, Lisyansky I.N.1, Makarov S.N.1
-
Affiliations:
- Priorov National Medical Research Center of Traumatology and Orthopedics
- St. Petersburg State University’s N.I. Pirogov Clinic of High Medical Technologies
- Issue: Vol 30, No 3 (2023)
- Pages: 325-334
- Section: Original study articles
- Submitted: 08.08.2023
- Accepted: 26.09.2023
- Published: 03.11.2023
- URL: https://journals.eco-vector.com/0869-8678/article/view/568156
- DOI: https://doi.org/10.17816/vto568156
- ID: 568156
Cite item
Abstract
BACKGROUND: Among all the variety of orthopedic pathologies typical for patients with Down syndrome, pathology of the cervical spine, in our opinion, is the most important. Various types of atlantoaxial dislocations can cause significant neurological deficits and decrease patients’ quality of life.
OBJECTIVE: To analyze the results of screening examination of patients with Down syndrome for the presence of cervical spine pathology.
MATERIALS AND METHODS: As part of the screening examination, functional radiographs of the cervical spine in the lateral projection of 60 patients with Down syndrome were evaluated. Priorov NMIC will operate from May 2021 to January 2023.
RESULTS: Nine of the 60 patients tested exhibited craniovertebral pathology. Three patients have Os odontoideum of the C2 vertebra. In five patients, different types of rotational atlantoaxial displacements were found, and one patient had hypoplasia of the occipital condyles associated with basilar invagination of the C2 vertebral dentition.
CONCLUSION: The instability of the upper cervical spine is potentially the most dangerous manifestation of orthopedic pathology in Down syndrome. A screening examination with functional cervical spine lateral projection radiographs is recommended for this group of patients.
Full Text
INTRODUCTION
Children with Down syndrome are a special group of patients for physicians of any profile. They are usually characterized by the presence of several associated clinical conditions that can have a wide range of manifestations. From the point of view of an orthopedic trauma surgeon, these patients also deserve close attention because a significant proportion has orthopedic pathologies [1].
Most orthopedic disorders are associated with muscle hypotonia, joint hypermobility, weakness of the ligamentous apparatus, and decreased bone mineral density [2, 3]. Manifestations of orthopedic pathologies such as scoliosis, hip instability, displacement of the femoral head epiphysis, patellar instability, and foot deformity are the most common in patients with Down syndrome [4].
Along with these diseases, one-third of patients with chromosome 21 trisomy have some pathologies of the craniovertebral junction [4]. In 1961, Spitzer et al. described atlanto-occipital dislocation and hypoplasia of the atlas in Down syndrome [5]. Later, many researchers proved that atlanto-occipital and atlantoaxial hypermobility and vertebral developmental anomalies of the cervical spine are predisposing factors of atlanto-occipital and atlantoaxial instability, respectively [6, 7].
The instability of the craniovertebral junction in patients with Down syndrome may be caused by weakness of the transverse ligament of the atlantus, decreased muscle tone, excessive joint mobility, hypoplasia of the dentate process, and the presence of a dentate bone [4].
In our opinion, dentition is the most critical in the manifestations of craniovertebral pathologies, as it is often accompanied by cervical myelopathy. The corresponding clinical manifestations presenting as severe neurologic deficits can be life-threatening. With this background, we conduct a screening study of the craniovertebral region in patients with Down syndrome at the Priorov Central Institute for Trauma and Orthopedics. This paper describes the algorithm of the screening examination of the cervical spine in children with Down syndrome and its results. A clinical case of the surgical treatment of a patient with severe atlantoaxial dislocation and pronounced neurologic deficit is also described.
This study aimed to analyze the results of the screening examinations of patients with Down syndrome to detect cervical spine pathologies.
MATERIALS AND METHODS
Study design
A clinical single-center observational open cohort study was performed.
Terms and conditions of the event
The cervical spine screening examination in children with Down syndrome was conducted from May 2021 to January 2023 at the Priorov Central Institute for Trauma and Orthopedics.
Eligibility criteria
During this period, 60 patients with Down syndrome aged 4–17 years were examined. The average patient age was 10.06 years. There were 28 boys and 32 girls.
Inclusion criteria:
- Genetically confirmed Down syndrome regardless of form
- Age 4–17 years
- Ability to independently maintain an upright body position
- Functional radiographs of the spine in lateral projection
Exclusion criteria:
- Patients with genetic syndromes other than Down syndrome or nonsyndromic cases
- Age <4 and >17 years
Methods for assessing targets
All patients with Down syndrome were examined according to a strict algorithm using clinical and radiation examination methods. In the first stage, patients underwent clinical examination, with a description of complaints, if any. Active and passive movements in the cervical spine and extremities were assessed, head position was evaluated, and neurologic status was assessed.
In the absence of signs of neurologic deficit, functional radiographs of the cervical spine were obtained in lateral projection in maximum flexion, extension, and neutral positions. This method of radial diagnosis allows us to fully assess the presence of instability in the craniovertebral junction and indirectly judge the magnitude of spinal canal stenosis and developmental anomalies of the cervical spine [8, 9] (Fig. 1).
Fig. 1. Functional radiography of the cervical spine in lateral projection: a — in flexion position, b — in neutral position, c — in extension position.
Patients with an initial neurologic deficit or suspected craniovertebral pathologies requiring further surgical intervention underwent computed tomography (CT) and magnetic resonance imaging (MRI) of the cervical spine. These modalities were conducted to examine craniovertebral relationships and bone pathologies in more detail and assess the degree of spinal canal stenosis and presence of myelopathy.
All patients were given recommendations on orthopedic regimens following clinical and radiologic examinations. Patients with craniovertebral pathologies requiring surgical treatment were offered variants of surgical decompression-stabilizing operations.
Statistical analysis
The sample size was not precalculated. Descriptive statistics of qualitative are presented as absolute (n) and relative (%) frequencies.
Ethical review
All procedures performed in the study involving human subjects conformed to the standards of the local ethics committee and the 1964 Declaration of Helsinki and its later amendments or comparable ethical standards. All patients (or their representatives) provided informed consent.
RESULTS
Most of the patients (n = 47) were admitted without musculoskeletal complaints to exclude craniovertebral pathologies and receive recommendations on the possibility of practicing active sports.
Of the 60 children with Down syndrome, 9 (15%) had craniovertebral pathologies, of which 2 had no complaints on presentation for the screening examination. Moreover, five patients were found to have different types of atlantoaxial rotational dislocations. Two patients had atlantoaxial rotational dislocations without torticollis, with a full range of motion in the cervical spine and no risk for spinal cord compression, corresponding to type I according to the Fielding–Hawkins classification. These patients were recommended further dynamic follow-up with the correction of the orthopedic regimen by limiting axial loads on the cervical spine. In the remaining three patients, atlantoaxial dislocations corresponded to types II and III with torticollis, significant restriction of the cervical spine rotation, and spinal canal stenosis at the C1–C2 level. These patients underwent surgery with correction of the C1 vertebral subluxation in a halo apparatus and further stabilization of C1–C2 with a screw system according to the Harms technique. No complications were noted. In the postoperative period, the head position was neutral in all patients.
Three patients with dentition of the second cervical vertebra were identified. All patients with dentition had a pronounced neurologic deficit (1 and 2 patients with Frankel A and C, respectively). These patients underwent decompressive-stabilizing surgeries with intraoperative restoration of craniovertebral relations using halo-traction and dorsal stabilization using a metal structure. Occipitospondylosis C0–C2 was performed in two patients using a customized occipital plate and guides for screw insertion into the C2 vertebra. In one patient, C1–C2 fixation with screws according to the Harms technique was performed using a 3D model of the craniovertebral region with visualization of the vessels and spinal cord and guides for inserting the screws into the C1 and C2. No complications were noted. In the postoperative period, all patients showed positive dynamics, i.e., a decrease in the degree of neurologic deficit (Frankel A to B, Frankel C to D and E).
In one patient, radiography, CT, and MRI of the cervical spine revealed hypoplasia of the occipital condyles combined with basilar invagination of the tooth of the second cervical vertebra. The patient had an initial neurologic deficit (Frankel C). Surgical treatment was proposed but was rejected by the patient’s parents.
Clinical example
A 14-year-old female teen was admitted for a cervical spine screening examination in individuals with Down syndrome. She complained of progressive weakness in the upper and lower extremities and forced head position with rotation to the right for the past 3 months. Results of the CT and MRI of the cervical spine led to the following diagnosis: Down syndrome, rotational atlantoaxial blockage, left-sided chronic transligamentous subluxation of the C1 vertebra with spinal canal stenosis (Fielding–Hawkins type II), cervical myelopathy, and deep tetraparesis (Frankel C) (Fig. 2).
Fig. 2. Instrumental methods of examination: a — MRI picture of transligamentous subluxation with spinal canal stenosis and myelopathy at the level of C1-C2, b — 3D CT reconstruction, c — CT scan of the cervical spine, sagittal slice with visualization of disturbed craniovertebral relations. MRI — magnetic resonance imaging, CT — computed tomography.
CT revealed gross violations of craniovertebral relationships: the Cruveilhier joint gap (atlantodental interval [ADI]) was 1.06 cm, and the space available for the spinal cord at the C1 level (SAC C1) was 5.17 mm. These changes indicate gross stenosis of the spinal canal. A bone block developed in the left lateral atlantoaxial joint (Fig. 3)
Fig. 3. Bone fusion in the region of the left lateral atlantoaxial joint.
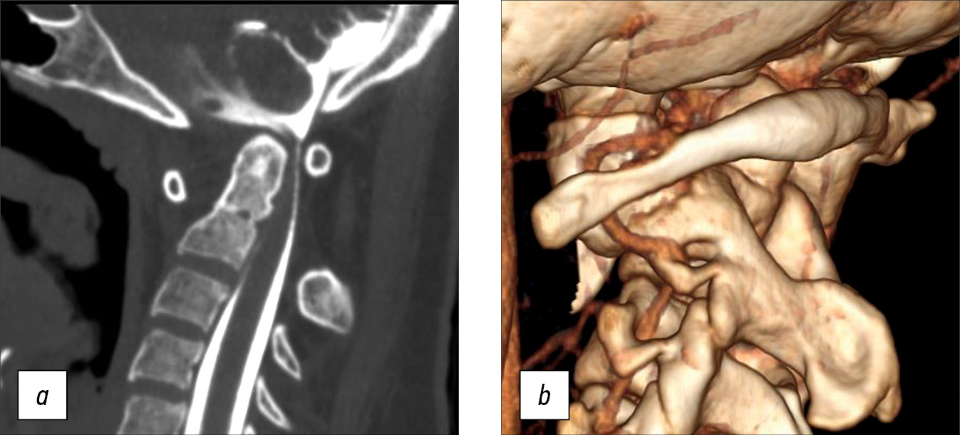
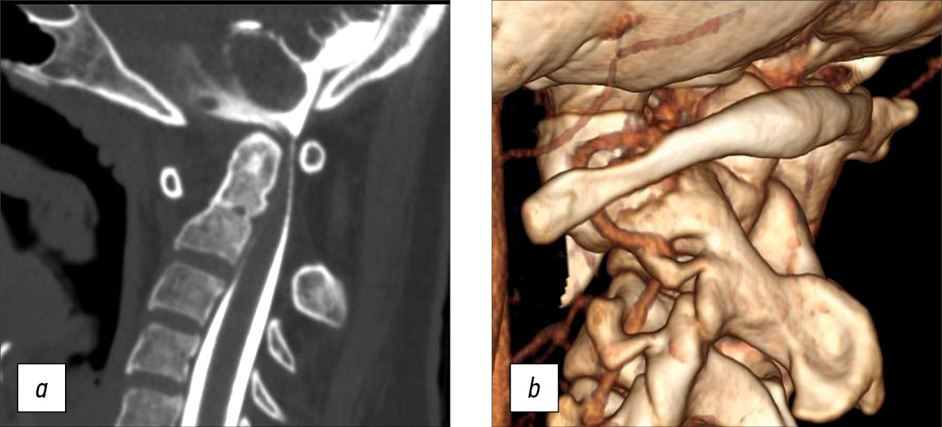
Given the gross atlantoaxial dislocation with spinal canal stenosis, spinal cord compression, and bone block formation in the left lateral atlantoaxial joint, correction of C1 subluxation under intraoperative halo-traction with the release of the left lateral atlantoaxial joint was decided. To improve the quality of preoperative planning and reduce the risks of a. vertebralis injury during the release of the lateral atlantoaxial joint, the patient underwent CT and myelo- and angiography of the cervical spine (Fig. 4). A customized 3D model of the craniovertebral region was made, showing the vertebral arteries and spinal cord based on CT myelography and CT angiography (Fig. 5).
Fig. 4. CT myelography and angiography: a — sagittal slice of CT myelography, b — 3D reconstruction of CT angiography. CT — computed tomography.
Fig. 5. 3D model of the patient’s cervical spine with visualization of the a. vertebralis and spinal cord: a — anterior view, b — lateral view, c — posterior view with the cervical vertebral arches removed.
The surgical treatment included the release of the left lateral atlantoaxial joint from the dorsal access, correction of C1 vertebral subluxation with intraoperative halo-traction, indirect decompression of the spinal cord at the C1–C2 level, and dorsal fixation of C1–C2 with a metal structure using the Harms method.
The subluxation of the C1 vertebra was fully repaired with restoration of all craniovertebral ratios: the ADI and SAC were 2.82 mm and 1.72 cm, respectively. The spinal canal stenosis at the C1–C2 level was eliminated, and the fixation elements were appropriately implanted (Fig. 6).
Fig. 6. Рostoperative radiology examination: a — CT sagittal slice, b — 3D reconstruction of cervical CT, c — MRI sagittal slice with elimination of spinal canal stenosis and residual myelopathy. CT — computed tomography, MRI — magnetic resonance imaging.
In the early postoperative period, the patient demonstrated increased muscle strength in the upper extremities, indicating positive dynamics in the neurological status. The wound healed with primary tension. No complications were observed. On day 7, the patient was discharged for outpatient follow-up in satisfactory condition.
During the 6-month follow-up, the patient had fewer signs of cervical myelopathy and tetraparesis, indicating clear positive dynamics in her neurological status. The patient began to walk independently. The strength of the upper limb muscles was fully restored. Mild spastic lower paraparesis 4 b. (Frankel C before surgery and Frankel E 6 months after surgery) remained.
DISCUSSION
Some patients with Down syndrome may have craniovertebral pathologies that may be asymptomatic for a long time or even for life [8]. Thus, we partly recommend screening for all patients with Down syndrome, as unstable malformations of the craniocervical junction are often incidental radiologic findings or manifest neurologic symptoms. Thus, even asymptomatic potentially unstable malformations, such as aplasia of the dentition and dentoalveolar malformation, may require prophylactic instrumental stabilization [10].
Pain syndrome and neck deformity, according to the current literature, occur in 40% of confirmed cases of upper cervical spine pathologies. Patients most commonly present with neck and occiput pain, which may significantly worsen with axial load [11, 12]. A forced head position with a right or left tilt is also a common sign. This symptom usually indicates the presence of some forms of rotational atlantoaxial dislocation [13].
Neurologic deficits are quite common in patients with craniovertebral pathologies, and its presence generally depends on a specific nosology. Neurologic deficit occurs in 80% of patients with dentoalveolar bone. However, rotational atlantoaxial dislocations, particularly when combined with anteroposterior dislocations, are also associated with spinal canal stenosis and, consequently, myelopathy. Myelopathy development at the level of the cervical spine initially manifests as weakness in the upper extremities, and with prolonged spinal cord compression gait disturbances and weakness in the lower extremities occur. In the most unfavorable situations, deep tetraparesis or tetraplegia with complete loss of active movements develops [8, 14].
Based on the above, orthopedic trauma physicians should pay close attention to the complaints of parents of children with Down syndrome, such as changes in the behavior of the child. Unreasonable general weakness, gait disturbances, frequent stumbles, and falls can be formidable precursors to cervical myelopathy.
Parents and orthopedic trauma physicians should also observe for visible abnormalities such as forced head posture, restricted movements of the cervical spine, and pain in this area.
Thus, in our opinion, screening examination of patients with Down syndrome for cervical spine pathologies may be important in the practice of a trauma orthopedic surgeon, as it reliably verifies the absence or presence of cervical spine pathologies in these patients.
Functional cervical spine radiography in the lateral projection may be sufficient to visualize pronounced atlantoaxial displacements. Moreover, if the child has a clear neurologic deficit on clinical examination, functional radiography of the cervical spine may be risky as it may exacerbate the neurologic deficit. Thus, this method should be abandoned in favor of CT and MRI of the cervical spine.
CONCLUSION
Approximately 20% of the total number of patients with Down syndrome present some forms of musculoskeletal abnormalities [1]. Undoubtedly, the instability of the upper cervical spine is potentially the most life-threatening orthopedic manifestation of Down syndrome, which can cause various life-threatening neurologic symptoms. Approximately 1.3%–3% of patients with Down syndrome have a dentate bone, which may cause upper cervical spine instability [4, 15, 16].
In addition, children with Down syndrome often have various dislocations caused by alterations in the ligamentous apparatus stabilizing the atlantoaxial complex [17]. Therefore, these patients should undergo a comprehensive screening examination, including functional radiography of the cervical spine. If any pathology of the craniocervical junction is detected, CT and MRI should be performed to assess possible spinal cord compression and determine further treatment [13, 17].
ДОПОЛНИТЕЛЬНО
Вклад авторов. Все авторы подтверждают соответствие своего авторства международным критериям ICMJE (все авторы внесли существенный вклад в разработку концепции и подготовку статьи, прочли и одобрили финальную версию перед публикацией). Наибольший вклад распределён следующим образом: В.А. Шаров — написание текста статьи, сбор и анализ литературных источников; А.А. Кулешов, А.В. Губин — редактирование и написание текста статьи; М.С. Ветрилэ, И.Н. Лисянский, С.Н. Макаров — редактирование текста статьи.
Источник финансирования. Не указан.
Конфликт интересов. Авторы декларируют отсутствие явных и потенциальных конфликтов интересов, связанных с публикацией настоящей статьи.
Информированное согласие на публикацию. Авторы получили письменное согласие пациентов или их представителей на публикацию медицинских данных и фотографий.
ADDITIONAL INFO
Author’s contribution. Thereby, all authors made a substantial contribution to the conception of the work, drafting and revising the work, final approval of the version to be published and agree to be accountable for all aspects of the work. V.A. Sharov — writing the text of the article, collection and analysis of literary sources; A.A. Kuleshov, A.V. Gubin — editing and writing the text of the article; M.S. Vetrile, I.N. Lisyansky, S.N. Makarov — editing the text of the article.
Funding source. Not specified.
Competing interests. The authors declare that they have no competing interests.
Consent for publication. Written consent was obtained from the patient for publication of relevant medical information and all of accompanying images within the manuscript.
About the authors
Alexander A. Kuleshov
Priorov National Medical Research Center of Traumatology and Orthopedics
Email: cito-spine@mail.ru
ORCID iD: 0000-0002-9526-8274
SPIN-code: 7052-0220
MD, Dr. Sci. (Med.)
Russian Federation, MoscowAlexandr V. Gubin
St. Petersburg State University’s N.I. Pirogov Clinic of High Medical Technologies
Email: shugu19@gubin.spb.ru
ORCID iD: 0000-0003-3234-8936
SPIN-code: 2014-6518
MD, Dr. Sci. (Med.)
Russian Federation, Saint-PetersburgVladislav A. Sharov
Priorov National Medical Research Center of Traumatology and Orthopedics
Author for correspondence.
Email: sharov.vlad397@gmail.com
ORCID iD: 0000-0002-0801-0639
SPIN-code: 8062-9216
Traumatologist-Orthopedist
Russian Federation, MoscowMarchel S. Vetrile
Priorov National Medical Research Center of Traumatology and Orthopedics
Email: vetrilams@cito-priorov.ru
ORCID iD: 0000-0001-6689-5220
SPIN-code: 9690-5117
MD, Cand. Sci. (Med.)
Russian Federation, MoscowIgor N. Lisyansky
Priorov National Medical Research Center of Traumatology and Orthopedics
Email: lisigornik@list.ru
ORCID iD: 0000-0002-2479-4381
SPIN-code: 9845-1251
MD, Cand. Sci. (Med.)
Russian Federation, MoscowSergey N. Makarov
Priorov National Medical Research Center of Traumatology and Orthopedics
Email: moscow.makarov@gmail.com
ORCID iD: 0000-0003-0406-1997
SPIN-code: 2767-2429
MD, Cand. Sci. (Med.)
Russian Federation, MoscowReferences
- Caird MS, Wills BP, Dormans JP. Down syndrome in children: the role of the orthopaedic surgeon. J Am Acad Orthop Surg. 2006;14(11):610–9. doi: 10.5435/00124635-200610000-00003
- Carfì A, Liperoti R, Fusco D, Giovannini S, Brandi V, Vetrano DL, Meloni E, Mascia D, Villani ER, Manes Gravina E, Bernabei R, Onder G. Bone mineral density in adults with Down syndrome. Osteoporos Int. 2017;28(10):2929–2934. doi: 10.1007/s00198-017-4133-x
- McKelvey KD, Fowler TW, Akel NS, Kelsay JA, Gaddy D, Wenger GR, Suva LJ. Low bone turnover and low bone density in a cohort of adults with Down syndrome. Osteoporos Int. 2013;24(4):1333–8. doi: 10.1007/s00198-012-2109-4
- Sergeenko OM, Dyachkov KA, Ryabykh SO, Burtsev AV, Gubin AV. Atlantoaxial dislocation due to os odontoideum in patients with Down’s syndrome: literature review and case reports. Childs Nerv Syst. 2020;36(1):19–26. doi: 10.1007/s00381-019-04401-y
- Spitzer R, Rabinowitch JY, Wybar KC. A Study of the Abnormalities of the Skull, Teeth and Lenses in Mongolism. Can Med Assoc J. 1961;84(11):567–72.
- Lutsik AA, Ratkin IK, Nikitin MN. Kraniovertebral’nye povrezhdeniya i zabolevaniya: monografiya. Novosibirsk: Izdatel’; 1998. 551 р. (In Russ).
- Caird MS, Wills BP, Dormans JP. Down syndrome in children: the role of the orthopaedic surgeon. J Am Acad Orthop Surg. 2006;14(11):610–9. doi: 10.5435/00124635-200610000-00003
- Arvin B, Fournier-Gosselin MP, Fehlings MG. Os odontoideum: etiology and surgical management. Neurosurgery. 2010;66(3 Suppl):22–31. doi: 10.1227/01.NEU.0000366113.15248.07
- Khusainov N, Vissarionov SV, Kokushin D. Craniocervical instability in children with Down’s syndrome. Pediatric Traumatology Orthopaedics and Reconstructive Surgery. 2016;4(3):71. doi: 10.17816/PTORS4371-77
- Kuleshov AA, Shkarubo AN, Gromov IS, Vetrile MS, Lisyanskiy IN, Makarov SN, Chernov IV, Mitrofanova EV, Ponomarenko GP. Surgical treatment for nontumorous diseases of craniovertebral region. N.N. Priorov Journal of Traumatology and Orthopedics. 2018;25(1):36–41. (In Russ). doi: 10.17816/vto201825136-41
- Klimo PJr, Coon V, Brockmeyer D. Incidental os odontoideum: current management strategies. Neurosurg Focus. 2011;31(6):E10. doi: 10.3171/2011.9
- Rowland LP, Shapiro JH, Jacobson HG. Neurological syndromes associated with congenital absence of the odontoid process. AMA Arch Neurol Psychiatry. 1958;80(3):286–91. doi: 10.1001/archneurpsyc.1958.02340090022002
- Gubin AV, Ul’rih EV. Sindromal’nyj podhod k vedeniyu detej s porokami razvitiya shejnogo otdela pozvonochnika. Hirurgiya pozvonochnika. 2010;(3):14–19. (In Russ). doi: 10.14531/ss2010.3.14-19
- McGoldrick JM, Marx JA. Traumatic central cord syndrome in a patient with Os odontoideum. Ann Emerg Med. 1989;18(12):1358–61. doi: 10.1016/s0196-0644(89)80276-8
- French HG, Burke SW, Roberts JM, Johnston CE II, Whitecloud T, Edmunds JO. Upper cervical ossicles in Down syndrome. J Pediatr Orthop. 1987;7(1):69–71. doi: 10.1097/01241398-198701000-00014
- Cros T, Linares R, Castro A, Mansilla F. Estudio radiológico de las alteraciones cervicales en el síndrome de Down. Nuevos hallazgos mediante tomografía computarizada y reconstrucciones tridimensionales. Rev Neurol. 2000;30(12):1101–7. (In Spanish).
- Hengartner AC, Whelan R, Maj R, Wolter-Warmerdam K, Hickey F, Hankinson TC. Evaluation of 2011 AAP cervical spine screening guidelines for children with Down Syndrome. Childs Nerv Syst. 2020;36(11):2609–2614. doi: 10.1007/s00381-020-04855-5
Supplementary files









