Влияние дисплазии мыщелка бедренной кости на развитие гипертрофии медиопателлярной синовиальной складки
- Авторы: Очкуренко А.А.1, Морозов А.К.1, Курпяков А.П.2, Горохводацкий А.В.1, Иванов К.С.1, Карпов И.Н.1
-
Учреждения:
- Федеральное государственное бюджетное учреждение «Национальный медицинский исследовательский центр травматологии и ортопедии имени Н.Н. Приорова» Министерства здравоохранения Российской Федерации
- Федеральное государственное автономное образовательное учреждение высшего образования Первый Московский государственный медицинский университет имени И.М. Сеченова Министерства здравоохранения Российской Федерации (Сеченовский Университет)
- Выпуск: Том 28, № 1 (2021)
- Страницы: 35-43
- Раздел: Статьи
- Статья получена: 18.01.2021
- Статья одобрена: 12.03.2021
- Статья опубликована: 15.03.2021
- URL: https://journals.eco-vector.com/0869-8678/article/view/58515
- DOI: https://doi.org/10.17816/vto58515
- ID: 58515
Цитировать
Полный текст
Аннотация
Из всех складок коленного сустава, медиопателлярная синовиальная складка чаще всего патологически изменяется и вследствие этого несет за собой изменения близлежащих структур коленного сустава, с которыми находится в непосредственном контакте. Распространенность медиопателлярной синовиальной складки составляет 46–50 % при исследованиях на трупах, а при артроскопических исследованиях — была выявлена в 18–80 %. Нами проведено исследование влияния дисплазии мыщелка бедренной кости на развитие медиопателлярной синовиальной складки. Проведено магнитно-резонансное томографическое исследование коленных суставов у 116 пациентов, которые были разделены на 2 группы по 58 пациентов. В основную группу (1-я группа) вошли пациенты, у которых выявлена, а в контрольную (2-я группа) — пациенты, у которых не выявлена дисплазия мыщелка бедренной кости. Наши исследования показали, что в основной группе медиопателлярная синовиальная складка выявлена у 53 (91,4 %), тогда как в контрольной группе — только у 4 (6,9 %) пациентов. Это подтверждает наше мнение, что при артроскопическом лечении пациентов с патологически утолщенной медиопателлярной синовиальной складкой необходимо учитывать наличие дисплазии мыщелка бедренной кости.
Ключевые слова
Полный текст
ВВЕДЕНИЕ
Медиопателлярная синовиальная складка (МПСС) — это синовиальная складка переднемедиального отдела капсулы коленного сустава, которая формируется во время эмбриогенеза. Из всех складок коленного сустава МПСС чаще всего патологически изменяется и вследствие этого несет за собой изменения близлежащих структур коленного сустава, с которыми находится в непосредственном контакте [1–8]. В зависимости от рода деятельности пациента, наличия травм или перегрузки коленного сустава МПСС патологически изменяется, фиброзируется, утолщается и вызывает помимо болей, повреждение близлежащих структур сустава, с которыми находится в непосредственном контакте. Гипертрофия МПСС клинически проявляется в виде болевого синдрома в переднем отделе сустава, щелчков, ощущения нестабильности надколенника, «хруста» при сгибании и разгибании в коленном суставе. Длительно существующая симптоматика приводит к воздействию на суставной хрящ медиальной фасетки надколенника и медиального мыщелка бедренной кости, вызывая развитие «шельф-синдрома» и пателло-феморального артроза коленного сустава [1–3, 9]. Распространенность МПСС составляет 46–50 % при исследованиях на трупах [6], а при артроскопии коленного сустава распространенность Plica была выявлена в 18,0–80,0 % [10, 11].
Для изучения степени патологического утолщения МПСС используется классификация J.O. Sakakibara [12]:
- тип А — складка представлена линейным жгутооб- разным утолщением синовиальной стенки по медиальной поверхности капсулы сустава (рис. 1, а);
- тип B — складка представлена удлиненным линейным тяжом с неровными контурами, но не достигает медиального мыщелка бедренной кости (рис. 1, b);
- тип С — складка удлинена, утолщена, с неровными бахромчатыми контурами, распространяется на область медиального мыщелка бедренной кости (рис. 1, c);
- тип D — складка распространяется на область медиального мыщелка бедренной кости, утолщена, неровная, имеет центральный дефект (фенестрированная складка) (рис. 2).
Как и МПСС, аналогичную клиническую картину может давать другая врожденная патология — дисплазия мыщелка бедренной кости (ДМБК), которая также вызывает боли в переднем отделе сустава. Мыщелок бедренной кости в норме имеет вогнутую форму, что обеспечивает плавное, сцепленное скольжение надколенника при разгибании и сгибании коленного сустава, а при ротационных движениях голени относительно бедра края трохлеарного мыщелка бедренной кости не позволяют надколеннику смещаться латерально и медиально. Нарушение развития мыщелка бедренной кости приводит к развитию трохлеарной дисплазии. Она имеет врожденное происхождение и рассматривается как последствие дисэмбриогенеза [13]. Наличие ДМБК у пациента может приводить к выраженному болевому синдрому в коленном суставе, который связан с дисбалансом надколенника [14].
Тип ДМБК определяется по классификации D. Dejour [15], в которой выделены 4 типа дисплазии (рис. 3):
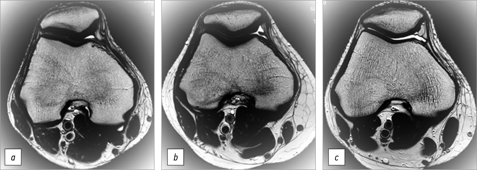
Рис. 1. На жировой клетчатке подавлены осевые разрезы Т2ВИ, проходящие от центра надколенника на 3 см выше суставной щели. Определяется медиопателлярная синовиальная складка: а — тип A в сочетании с дисплазией мыщелка бедренной кости типа А; b — тип B в сочетании с дисплазией мыщелка бедренной кости типа В, наличие синовита увеличивает обзорную видимость медиопателлярной синовиальной складки; c — тип B в сочетании с дисплазией мыщелка бедренной кости типа С
Fig. 1. On the fatty tissue, axial T2VI incisions are suppressed, extending from the center of the patella 3 cm above the joint space. The mediopatellar synovial fold is determined: a — type A in combination with type A femoral condyle dysplasia; b — type B in combination with type B femoral condyle dysplasia, synovitis increases the visibility of the mediopatellar synovial fold; c — type B in combination with type C femoral condyle dysplasia
Рис. 2. На магнитно-резонансной томограмме (a) (аксиальные срезы Т2ВИ) обнаружена толстая, фиброзированная медиопателлярная синовиальная складка типа D, частично покрывающая медиальный мыщелок бедренной кости с развитием Shelf-синдрома, и повреждение хряща медиальной фасетки надколенника, на артроскопии (b) обнаружено полное соответствие с данными магнитно-резонансной томографии
Fig. 2. Magnetic resonance imaging (a) (axial slices of T2VI) revealed a thick, fibrosed medial patellar synovial fold of type D, partially covering the medial femoral condyle with the development of Shelf syndrome, and medial patellar facet cartilage damage; arthroscopy (b) correlated with magnetic resonance imaging data
- тип A — угол бороздки >145°, но с нормальной формой;
- тип В — уплощенная поверхность трохлеарного и надтрохлеарного отростка;
- тип C — асимметричная трохлеарная поверхность (гипоплазия медиальной грани и деформированная (выступающая) латеральная, боковая грань);
- тип D — «горбовая» форма.
Рис. 3. Типы дисплазии мыщелка бедренной кости по классификации D. Dejour [16]
Fig. 3. Types of dysplasia of the femoral condyle according to the classification of D. Dejour [16]
Цель исследования — оценка взаимосвязи и влияния дисплазии мыщелка бедренной кости на развитие медиопателлярной синовиальной складки.
МАТЕРИАЛЫ И МЕТОДЫ
В ретроспективном одноцентровом исследовании проведена оценка результатов магнитно-резонансного томографического (МРТ) исследования коленных суставов у 116 пациентов, впервые обратившихся за медицинской помощью. Все исследования проведены на аппарате Philips Ingenia 1.5 Т. В работе использовался статистический пакет SPSS.20. Для анализа интервальных переменных (оценка в баллах) применяли таблицы сопряженности. Наличие связи между исследуемыми показателями изучали с помощью точного критерия Фишера. Для анализа тесноты и направленности связи использовали коэффициенты V Крамера и γ. Нулевая гипотеза отвергалась при 5,0 % критическом уровне значимости критерия.
У каждого пациента исследовали один (симптоматический) коленный сустав. Длительность заболевания у пациентов была не более 3 мес. Всего было выполнено 116 МРТ-исследований пациентам, которые были разделены на 2 группы:
1-я группа (основная) — пациенты с ДМБК (58 человек);
2-я группа (контрольная) — пациенты без ДМБК (58 человек).
Средний возраст пациентов в группе с ДМБК составил 24 года (от 18 до 42 лет). В контрольной группе — 25,4 года (от 18 до 43 лет).
Консервативное лечение пациентам ранее не проводилось. Пациенты с ранее полученными травмами коленного сустава, такими как разрыв мениска, передней крестообразной связки, импрессионными переломами бедренной или большеберцовой костей, широко распространенными гонартрозами и предыдущими оперативными вмешательствами на коленном суставе, были исключены из исследования, поскольку эти условия могли повлиять на измерения.
В основной группе с ДМБК проведено исследование у 30 мужчин и 28 женщин. У мужчин в 18 случаях проведено исследование правого коленного сустава, в 12 случаях — левого. У женщин в 16 случаях правого, и в 12 случаях — левого (табл. 1).
Правый коленный сустав обследовался значительно чаще — 34 (58,6 %), чем левый — 24 (41,4 %). В 53 (91,4 %) случаях выявлен различный тип МПСС, а в 5 (8,6 %) случаях (3 женщины и 2 мужчин) в группе с ДМБК патологически утолщенной МПСС обнаружено не было. При этом выявлена МПСС тип А — у 17 (29,3 %), тип В — у 24 (41,4 %), тип С — у 9 (15,5 %) и тип D — у 3 (5,2 %) пациентов. Таким образом, в 91,4 % случаев МПСС сочетается с ДМБК.
В контрольной группе без ДМБК проведено исследование у 21 мужчины и 37 женщин. У мужчин в 6 случаях проведено исследование правого коленного сустава, а в 15 случаях — левого. У женщин в 16 случаях правого, а в 21 случае — левого (табл. 2).
Правый коленный сустав обследовался значительно реже — 22 (37,9 %), чем левый — 36 (62,1 %). Основываясь на полученных нами результатах только в 4 (6,8 %) случаях выявлен различный тип МПСС, а в 54 (93,1 %) случаях (34 женщины и 20 мужчин) в группе без наличия ДМБК патологически утолщенной МПСС обнаружено не было. Она встретилась у 1 мужчины в правом коленном суставе типа А, у 2 женщин в левом коленном суставе типов А и В и у 1 женщины в правом коленном суставе типа В. При этом выявлены начальные типы МПСС типов А и В — по 2 (3,4 %) пациента, а типы С и D не встречались. Таким образом, только в 6,8 % случаев отмечается наличие гипертрофически утолщенной МПСС при отсутствии ДМБК.
В общей сложности МПСС выявлена у 57 пациентов, что составило 49,1 %. При этом МПСС типа А выявлена у 19 (33,3 %), тип В — у 26 (45,6 %), тип С — у 9 (15,8 %) и тип D — у 3 (5,3 %) пациентов (табл. 3).
Следует отметить, что при наличии ДМБК встречались все типы патологического утолщения МПСС и не редко тяжелых типов С и D, тогда как в контрольной группе только начальные типы А и В.
Таблица 1. Медиопателлярная синовиальная складка в зависимости от наличия дисплазии мыщелка бедренной кости
Table 1. Mediopatellar synovial fold depending on the presence of femoral condyle dysplasia
Тип МПСС | Правый коленный сустав | Левый коленный сустав | Всего | ||
Мужчины | Женщины | Мужчины | Женщины | ||
Отсутствие | 2 (3,4 %) | 2 (3,4 %) | 0 | 1 (1,7 %) | 5 (8,6 %) |
А | 6 (10,4 %) | 3 (5,2 %) | 3 (5,2 %) | 5 (8,6 %) | 17 (29,3 %) |
B | 6 (10,4 %) | 9 (15,5 %) | 6 (10,4 %) | 3 (5,2 %) | 24 (41,4 %) |
С | 3 (5,2 %) | 2 (3,4 %) | 3 (5,2 %) | 1 (1,7 %) | 9 (15,5 %) |
D | 1 (1,7 %) | 0 | 0 | 2 (3,4 %) | 3 (5,2 %) |
Всего | 18 (31,0 %) | 16 (27,6 %) | 12 (20,7 %) | 12 (20,7 %) | 58 (100 %) |
34 (58,6 %) | 24 (41,4 %) | ||||
Таблица 2. Медиопателлярная синовиальная складка в зависимости от отсутствия дисплазии мыщелка бедренной кости
Table 2. Mediopatellar synovial fold depending on the absence of femoral condyle dysplasia
Тип МПСС | Правый коленный сустав | Левый коленный сустав | Всего | ||
Мужчины | Женщины | Мужчины | Женщины | ||
Отсутствие | 5 (8,6 %) | 15 (25,9 %) | 15 (25,9 %) | 19 (32,7 %) | 54 (93,1 %) |
А | 1 (1,7 %) | 0 | 0 | 1 (1,7 %) | 2 (3,4 %) |
Б | 0 | 1 (1,7 %) | 0 | 1 (1,7 %) | 2 (3,4 %) |
С | 0 | 0 | 0 | 0 | 0 |
D | 0 | 0 | 0 | 0 | 0 |
Всего | 6 | 16 | 15 | 21 | 58 (100 %) |
22 (37,9 %) | 36 (62,1 %) | ||||
Таблица 3. Степень гипертрофии медиопателлярной синовиальной складки
Table 3. The degree of hypertrophy mediopatellar synovial fold
Группа | Медиопателлярная синовиальная складка | р | Тип МПСС | Всего |
| ||||
есть | нет | ||||||||
А | В | С | D |
| |||||
Основная группа | 53 (91,4 %) | 5 (8,4 %) | <0,001 | 17 (29,8 %) | 24 (42,1 %) | 9 (15,8 %) | 3 (5,3 %) | 53 (93,0 %) |
|
Контрольная группа | 4 (6,9 %) | 54 (93,1 %) | <0,001 | 2 (3,5 %) | 2 (3,5 %) | 0 | 0 | 4 (7,0 %) |
|
Всего | 57 (49,1 %) | 59 (50,9 %) | <0,001 | 19 (33,3 %) | 26 (45,6 %) | 9 (15,8 %) | 3 (5,3 %) | 57 (100 %) |
|
Таблица 4. Зависимость гипертрофии медиопателлярной синовиальной складки от типа дисплазии мыщелка бедренной кости
Table 4. Dependence of mediopatellar synovial fold hypertrophy on the type of femoral condyle dysplasia
Гипертрофия медиопателлярной синовиальной складки | Степень дисплазии мыщелка | Всего | |||||
0 | А | В | С | D | |||
Отсутствует | Кол-во | 54 | 3 | 2 | 0 | 0 | 59 |
% | 46,6 | 2,6 | 1,7 | 0,0 | 0,0 | 50,9 | |
А | Кол-во | 2 | 9 | 8 | 0 | 0 | 19 |
% | 1,7 | 7,6 | 6,9 | 0,0 | 0,0 | 16,4 | |
Б | Кол-во | 2 | 4 | 17 | 2 | 1 | 26 |
% | 1,7 | 3,4 | 14,7 | 1,7 | 0,9 | 22,4 | |
С | Кол-во | 0 | 0 | 1 | 5 | 3 | 9 |
% | 0,0 | 0,0 | 0,9 | 4,3 | 2,6 | 7,6 | |
D | Кол-во | 0 | 0 | 1 | 1 | 1 | 3 |
% | 0,0 | 0,0 | 0,9 | 0,9 | 0,9 | 2,6 | |
Всего | Кол-во | 58 | 16 | 29 | 8 | 5 | 116 |
% | 50,0 | 13,8 | 25,0 | 6,9 | 4,3 | 100 | |
Рис. 4. Зависимость развития гипертрофированно утолщенной медиопателлярной синовиальной складки от типа дисплазии мыщелка бедренной кости
Fig. 4. Dependence of the development of a hypertrophied thickened mediopatellar synovial fold on the type of dysplasia of the femoral condyle
При проведенном исследовании 58 пациентов с ДМБК в основной группе встречались все 4 типа: тип А — 16 (27,6 %), тип В — 29 (50,0 %), тип С — 8 (13,8 %) и тип D — 5 (8,6 %) случаев. В 77,6 % случаев встречалась более легкая дисплазия, а в 22,4 % — тяжелая.
В большой степени выраженность патологического утолщения МПСС зависело от ДМБК (табл. 4).
Выявлена закономерная связь между степенью выраженности ДМБК и патологически утолщенной МПСС. То есть чем больше выражена ДМБК, тем больше степень патологического утолщения МПСС (рис. 4).
При проведении статистического анализа была определена сильно выраженная корреляционная связь (р < 0,001). Полученные нами данные показывают, что 87,5 и 88,9 % случаев дисплазии совпадает с наличием медиопателлярной складки как у мужчин, так и у женщин в правом коленном суставе, и 92,7 и 100 % — в левом коленном суставе соответственно. Отмечена сильно выраженная корреляционная связь для обоих полов (р < 0,001) (точный критерий Фишера). С помощью V-критерия Крамера, оценивающего тесноту связи, выявлена закономерная связь между степенью выраженности дисплазии и гипертрофии МПСС. Для контрольной группы коэффициент V Крамера составляет 0,706 (прямая корреляция связь сильной силы). Чем больше выражена дисплазия, тем больше выражена степень гипертрофии МПСС, в основной группе, V Крамера = 0,824 и γ = 0.981.
Проведенное исследование, а также углубленный статистический анализ показывают, что при гипертрофии МПСС необходимо проводить обследование и исключать наличие ДМБК и, наоборот, при подозрении на ДМБК необходимо проводить обследование и исключать гипертрофию МПСС.
ОБСУЖДЕНИЕ
В последнее время участились случаи повторного обращения пациентов после артроскопического иссечения гипертрофированной МПСС коленного сустава. Пациенты обращаются с теми же жалобами, что и до операции. При этом у всех пациентов перед операцией проводилось МРТ-исследование, при котором было выявлено наличие гипертрофии МПСС. Представляет интерес, что жалобы пациентов были очень похожи на клинические проявления декомпенсации ДМБК: боль в переднем и переднемедиальном отделах сустава при нагрузках, периодически возникающие синовиты, ощущения неуверенности при ходьбе в области надколенника, щелчки при сгибании и разгибании в коленном суставе, боли при длительном нахождении в положении сидя с согнутым коленным суставом.
По нашим данным, при наличии ДМБК (58 пациентов) гипертрофия МПСС встречалась в 91,4 % случаях, что не всегда сопоставляется с данными литературы. Так, в исследовании, проведенном A. Nakayama и соавт. [16], артроскопически обнаружили МПСС в 79,9 % случаев из 3889 оперированных коленных суставов, что сопоставимо с нашими данными. Однако D. Hayashi и соавт. [17] выявили при МРТ-исследовании 342 коленных суставов МПСС в 163 (47,7 %) случаях. По данным G.J. Christoforakis и соавт. [18], МПСС выявлена еще меньше — 32,1 % на 1000 коленных суставов, а S.R. Lyu и соавт. [19] только в 29,7 % случаях выявили МПСС из 1587 обследованных коленных суставов.
Такое же несоответствие отмечается при выделении типов дисплазии. По нашим данным, при наличии ДМБК (58 пациентов) гипертрофия МПСС типа А выявлена у 17 (29,3 %) человек, тип В — у 24 (41,4 %), тип С — у 9 (15,5 %) и тип D — у 3 (5,2 %) пациентов. Тогда как A. Nakayama и соавт. [16] при МРТ-исследовании коленных суставов тип А выявили в 35,2 %, тип В — в 22,4 %, тип С — в 12,3 % и тип D — в 10 % в соответствии с классификацией Сакакибары. D. Hayashi и соавт. [17] выявили при МРТ-исследовании 342 коленных суставов типы складок: A — в 46,6 %, B — в 42,3 %, C — в 11 %.
Представленные полученные результаты МРТ-исследования коленных суставов показывают, что при ДМБК в большинстве случаев развивается патологическая гипертрофия МПСС.
При проведении статистического анализа с учетом всех 116 пациентов МРТ-результаты сопоставимы с вышеуказанными данными. Так, МПСС отсутствовала в 59 (50,9 %) коленных суставах, а различный тип МПСС встречался в 57 (49,1 %) случаях. При этом тип А выявлен у 19 (16,4 %), тип В — у 26 (22,4 %), тип С — у 9 (7,6 %), и тип D — у 3 (2,6 %) пациентов. Так как в большинстве случаев гипертрофия МПСС сочетается с ДМБК, это необходимо учитывать при проведении оперативного лечения.
При артроскопическом иссечении гипертрофированной МПСС в послеоперационном периоде возможно сохранение жалоб пациента, которые будут связаны не с удаленной МПСС, а с декомпенсацией ДМБК.
Таким образом, исходя из вышесказанного, абсолютным показанием для резекции гипертрофированной МПСС является доказанное ущемление складки в пателло-феморальном сочленении и развитие Shelf-синдрома. Послеоперационные изменения в коленном суставе при ДМБК после резекции гипертрофированной МПСС могут приводить к формированию вторичного рубца капсулы в переднемедиальном отделе сустава и ухудшению баланса надколенника, что в свою очередь приводит к повторному возникновению и усилению болевой симптоматики.
ДОПОЛНИТЕЛЬНАЯ ИНФОРМАЦИЯ
Конфликт интересов. Авторы декларируют отсутствие явных и потенциальных конфликтов интересов, связанных с публикацией настоящей статьи.
Источник финансирования. Не указан.
Об авторах
Александр Алексеевич Очкуренко
Федеральное государственное бюджетное учреждение «Национальный медицинский исследовательский центр травматологии и ортопедии имени Н.Н. Приорова» Министерства здравоохранения Российской Федерации
Автор, ответственный за переписку.
Email: cito-omo@mail.ru
ORCID iD: 0000-0002-1078-9725
SPIN-код: 8324-2383
д-р мед. наук
Россия, 127299, Москва, ул. Приорова, д. 10Александр Константинович Морозов
Федеральное государственное бюджетное учреждение «Национальный медицинский исследовательский центр травматологии и ортопедии имени Н.Н. Приорова» Министерства здравоохранения Российской Федерации
Email: morozovak@cito-priorov.ru
SPIN-код: 4447-8306
д-р мед. наук
Россия, 127299, Москва, ул. Приорова, д. 10Антон Павлович Курпяков
Федеральное государственное автономное образовательное учреждение высшего образования Первый Московский государственный медицинский университет имени И.М. Сеченова Министерства здравоохранения Российской Федерации (Сеченовский Университет)
Email: kurpyakov_a_p@staff.sechenov.ru
SPIN-код: 3398-7972
канд. мед. наук
Россия, МоскваАлександр Викторович Горохводацкий
Федеральное государственное бюджетное учреждение «Национальный медицинский исследовательский центр травматологии и ортопедии имени Н.Н. Приорова» Министерства здравоохранения Российской Федерации
Email: avodatskiy@mail.ru
аспирант
Россия, 127299, Москва, ул. Приорова, д. 10Константин Сергеевич Иванов
Федеральное государственное бюджетное учреждение «Национальный медицинский исследовательский центр травматологии и ортопедии имени Н.Н. Приорова» Министерства здравоохранения Российской Федерации
Email: cito-omo@mail.ru
SPIN-код: 2384-9328
врач – травматолог-ортопед
Россия, 127299, Москва, ул. Приорова, д. 10Игорь Николаевич Карпов
Федеральное государственное бюджетное учреждение «Национальный медицинский исследовательский центр травматологии и ортопедии имени Н.Н. Приорова» Министерства здравоохранения Российской Федерации
Email: igorkarpoff@mail.ru
SPIN-код: 5943-3689
канд. мед. наук, врач-рентгенолог
Россия, 127299, Москва, ул. Приорова, д. 10Список литературы
- Jackson R.W., Marshall D.J., Fujisawa Y. The pathological medial shelf // Orthop Clin North Am. 1982. Vol. 13, No. 2. P. 307–312.
- Mital M.A., Hayden J. Pain in the knee in children: the medial plica shelf syndrome // Orthop Clin North Am. 1979. Vol. 10, No. 3. P. 713–722.
- Moller H. Incarcerating mediopatellar synovial plica syndrome // Acta Orthop Scand. 1981. Vol. 52, No. 3. P. 357–361. doi: 10.3109/17453678109050115
- Munzinger U., Ruckstuhl J., Scherrer H., Gschwend N. Internal derangement of the knee joint due to pathologic synovial folds: the mediopatellar plica syndrome // Clin Orthop Relat Res. 1981. No. 155. P. 59–64.
- Nottage W.M., Sprague N.F., Auerbach B.J., Shahriaree H. The medial patellar plica syndrome // Am J Sports Med. 1983. Vol. 11, No. 4. P. 211–214. doi: 10.1177/036354658301100405
- Patel D. Plica as a cause of anterior knee pain // Orthop Clin North Am. 1986. Vol. 17, No 2. P. 273–277.
- Vaughan-Lane T., Dandy D.J. The synovial shelf syndrome // J Bone Joint Surg Br. 1982. Vol. 64, No. 4. P. 475–476.
- Verdonk R., Rombouts J., Van Vynckt C., et al. Medial plica synovialis or shelf syndrome of the knee // Acta Orthop Belg. 1982. Vol. 48, No. 3. P. 463–467.
- Broukhim B., Fox J.M., Blazina M.E., et al. The synovial shelf syndrome // Clin Orthop Relat Res. 1979. No. 142. P. 135–138.
- Ege G., Akman H., Ertem E. Medial patellar plica syndrome // Turk J Diagn Intervent Radiol. 2002. Vol. 8. P. 93.
- Dupont J.Y. Synovial plicae of the knee // Clin Sports Med. 1997. Vol. 16, No. 1. P. 87–122. doi: 10.1016/s0278-5919(05)70009-0
- Sakakibara J.O. Arthroscopic study on Iino’s band // J Jpn Orthop Assoc. 1976. Vol. 50. P. 513–522.
- Glard Y., Jouve J.L., Garron E., et al. Anatomical study of the patellar femoral groove in the fetus // J Pediatr Orthop. 2005. Vol. 25, No. 3. P. 305–308.
- Purohit N., Hancock N., Saifuddin A. Surgical management of patellofemoral instability. I. Imaging considerations // Skeletal Radiol. 2019. Vol. 48, No. 6. P. 859–869. doi: 10.1007/s00256-018-3123-1
- Dejour D., Le Coultre B. Osteotomies in patello-femoral instability // Sports Med Arthroscopy. 2018. Vol. 26, No. 1. P. 8–15. doi: 10.1097/JSA.0000000000000183
- Nakayama A., Sugita T., Alzawa T., et al. Incidence of medial plica in knee joints 3889 in the Japanese population // Arthroscopy. 2011. Vol. 27, No. 11. P. 1523–1527. doi: 10.1016/j.arthro.2011.06.022
- Hayashi D., Xu L., Guermazi A., et al. Prevalence of MRI-detected mediopatellar fold in patients with knee pain and Association with MRI-detected damage to the patellar-femoral cartilage and bone marrow lesions // BMC Musculoskelet Dys. 2013. Vol. 14. P. 292. doi: 10.1186/1471-2474-14-292
- Christoforakis J.J., Sanchez Ballester J., Hunt N., et al. Synovial shelves of the knee joint: association with chondral lesions // Knee Surg Sport Traumatol Arthroscope. 2006. Vol. 14, No. 12. P. 1292–1298. doi: 10.1007/s00167-006-0085-y
- Lyu S.R., Hsu C.C. Medial plicae and degeneration of the medial condyle of the femur // Arthroscopies. 2006. Vol. 22, No. 1. P. 17–26. doi: 10.1016/j.arthro.2005.08.039
Дополнительные файлы






