A case series of combined Ilizarov method and suture button fixation in neglected syndesmosis injury. Case series
- Authors: Sutyagin I.V.1, Burtsev A.V.1
-
Affiliations:
- Ilizarov National Medical Research Centre for Traumatology and Orthopedics
- Issue: Vol 30, No 4 (2023)
- Pages: 445-456
- Section: Clinical case reports
- Submitted: 09.10.2023
- Accepted: 20.11.2023
- Published: 15.12.2023
- URL: https://journals.eco-vector.com/0869-8678/article/view/607334
- DOI: https://doi.org/10.17816/vto607334
- ID: 607334
Cite item
Full Text
Abstract
BACKGROUND: There are known open, minimally invasive and reconstructive-plastic interventions to restore the distal intercostal syndesmosis, the postoperative rehabilitation protocols of which assume no load on the operated limb and immobilisation for 2 to 6 weeks with progressively increasing load after immobilisation with a plaster cast or orthosis. Closed percutaneous osteosynthesis of the shin bones with the Ilizarov fixator of the ankle and subtalar joints is a self-sufficient method in the treatment of ankle joint injuries accompanied by the failure of the distal intercostal syndesmosis. Neutral stable osteosynthesis with the Ilizarov fixator with a dosed volume of movement and joint decompression in combination with immersion fixators of the distal intercostal syndesmosis has not been described before.
CLINICAL CASES DESCRIPTION: The article presents three clinical cases demonstrating the possibilities of neutral stable osteosynthesis with the Ilizarov fixator both as a stand-alone method in the treatment of chronic lateral foot subluxations as well as in combination with fixation of the distal intertrochanteric syndesmosis using a button fixator. The new technology consists in the combined use of the Ilizarov apparatus in the treatment of chronic lateral foot subluxations due to its repositioning capabilities in rigid foot subluxations with the creation of controlled forces and controlled degree on fixation rigidity at any stage of treatment, fixation of the joint in a functionally favourable position to create a stable and correct position of implants and suture material for a period corresponding to the formation of mature scars, decompression and mechanical unloading in order to create a favourable condition of the foot.
CONCLUSION: The Ilizarov fixator in combination with dynamic systems of distal intertrochanteric syndesmosis fixation allows levelling the disadvantages of the method (restoration of relationships in the distal intertrochanteric joint by minimally invasive interventions with a minimum number of implants without compromising stability, short fixation time, which reduces the risk of complications, the requirement for outpatient follow-up, negative psychological aspects of external fixation conditions), while retaining its advantages (minimally invasive, manageable, and easy to use).
Keywords
Full Text
ОБОСНОВАНИЕ
В голеностопном суставе существует три костно-связочных комплекса, обеспечивающих его стабильность [1–3]:
- наружный, состоящий из наружной лодыжки и наружных коллатеральных связок;
- внутренний, образованный внутренней лодыжкой и внутренними коллатеральными связками;
- дистальный межберцовый синдесмоз.
Известно, что целостность двух из трёх комплексов стабильности достаточна для обеспечения фронтальной стабильности голеностопного сустава [4–6].
При несостоятельности дистального межберцового синдесмоза выполняются оперативные вмешательства, предполагающие устранение наружного подвывиха стопы, а также:
- фиксацию наружной лодыжки при помощи позиционного винта (одного или двух, через три или четыре кортикальных слоя) [7, 8];
- фиксацию наружной лодыжки пуговчатыми фиксаторами [9] и прочими динамическими системами [10];
- открытую пластику передней межберцовой связки с использованием якорных фиксаторов [11].
При несостоятельности внутренних коллатеральных связок выполняется их пластика с использованием якорных фиксаторов, однако имеются противоречивые данные об эффективности данного вида оперативных вмешательств [12].
По данным литературы [13, 14], застарелыми являются повреждения дистального межберцового синдесмоза начиная со срока от 6 недель до 6 месяцев с момента травмы. При лечении застарелых повреждений дистального межберцового синдесмоза также применяются фиксация малоберцовой кости позиционным винтом [15], анатомичное [16] и неанатомичное [17] восстановление межберцовых связок. Также используется артродез дистального межберцового сочленения [18], не уступающий по эффективности реконструктивным вмешательствам на межберцовых связках [19].
Особенностями оперативного лечения застарелых повреждений дистального межберцового синдесмоза являются ригидный наружный подвывих стопы и интерпозиция рубцовой ткани в межберцовом пространстве, затрудняющие позиционирование малоберцовой кости в малоберцовой вырезке большеберцовой кости [20].
На сегодняшний день протоколы реабилитации пациентов после реконструктивных вмешательств на связках голеностопного сустава предполагают отсутствие нагрузки на оперированную конечность и иммобилизацию голеностопного (и, вероятно, подтаранного) сустава сроком от 2 до 6 недель с прогрессивно увеличивающейся нагрузкой после прекращения иммобилизации гипсовой повязкой или ортезом [21]. При этом как можно более ранняя мобилизация и нагрузка на оперированную конечность демонстрируют лучшие функциональные результаты реконструктивных вмешательств на связках голеностопного сустава [22].
Иммобилизация и ограничение нагрузки в раннем послеоперационном периоде применяются для обеспечения целостности имплантатов и шовного материала, а также создания оптимальных условий для заживления ран, что противоречит цели оперативных вмешательств — восстановлению опороспособности конечности и мобилизации голеностопного сустава: иммобилизация гипсовой или полимерной повязкой не способна обеспечить раннюю мобилизацию, а функциональные ортезы промышленного производства — необходимую стабильность для полноценной нагрузки на оперированную конечность.
Перспективным способом решения, казалось бы, противоречащих друг другу задач является остеосинтез костей голени и стопы аппаратом внешней фиксации. Нейтральный стабильный остеосинтез аппаратом Илизарова с дозированным объёмом движений и декомпрессией как элемент реконструктивных оперативных вмешательств при нестабильности голеностопного сустава ранее не описан.
ОПИСАНИЕ КЛИНИЧЕСКИХ СЛУЧАЕВ
Пример 1
Жалобы и анамнез
Пациент В., женского пола, 38 лет. 128 дней с момента травмы — форсированной пронации и отведения правой стопы. По месту жительства получала консервативное лечение нестабильного перелома дистальной трети диафиза малоберцовой кости, внутренней лодыжки с подвывихом стопы кнаружи.
Результаты физикального, лабораторного и инструментального исследования
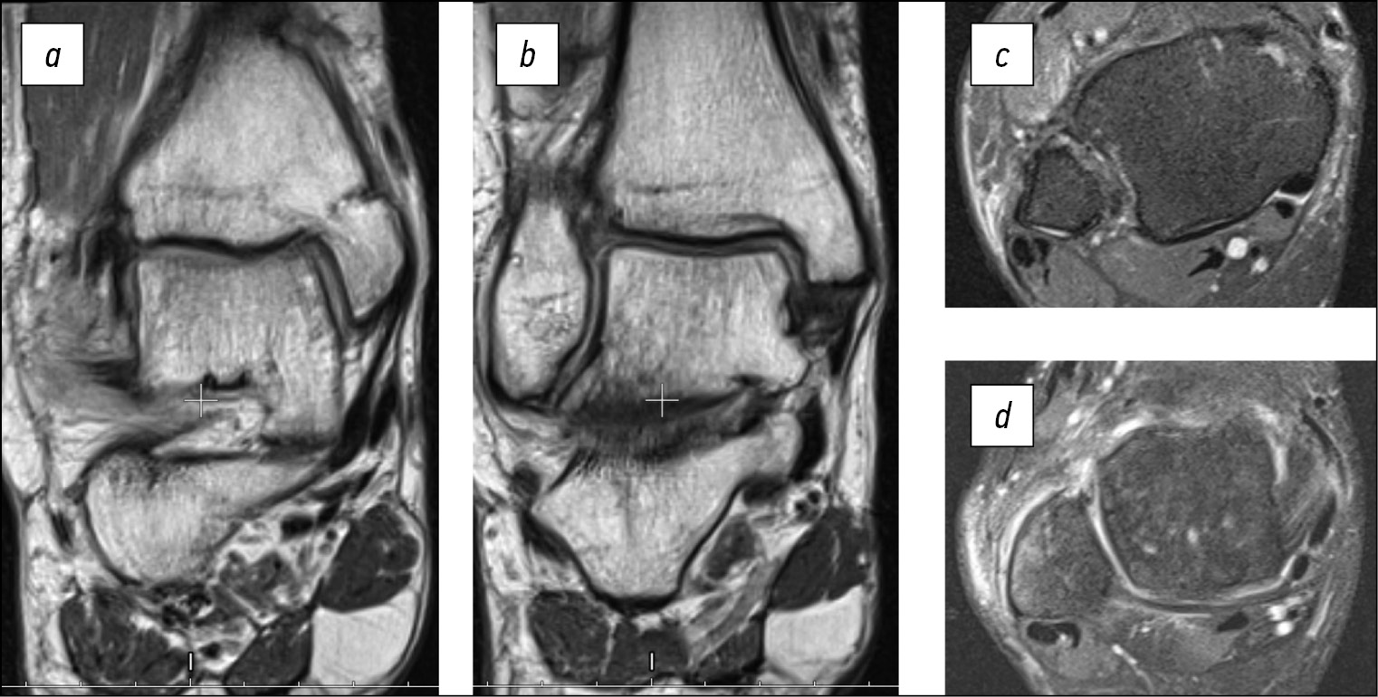
На магнитно-резонансных томограммах (МРТ) правого голеностопного сустава во фронтальной плоскости в режиме Т1 наблюдаются несросшийся перелом внутренней лодыжки, разрыв поверхностной (рис. 1a) и глубокой (рис. 1b) порций внутренней коллатеральной связки. На компьютерной томограмме (КТ) правого голеностопного сустава в кософронтальной плоскости (рис. 1c) наблюдаются консолидированный со смещением отломков по ширине перелом дистальной трети диафиза малоберцовой кости, несросшийся перелом внутренней лодыжки, подвывих стопы кнаружи. На МРТ правого голеностопного сустава в аксиальной плоскости в режиме Т2 наблюдаются разрыв передней и задней межберцовых, межкостной связок с признаками рубцевания, латеропозиция наружной лодыжки относительно малоберцовой вырезки большеберцовой кости (рис. 1d), разрыв глубокой порции дельтовидной связки с признаками рубцевания (рис. 1e).
Рис. 1. a, b — магнитно-резонансные томограммы пациентки В. на момент поступления во фронтальной плоскости в режиме Т1, c — компьютерная томограмма в кософронтальной плоскости, d, e — магнитно-резонансные томограммы в аксиальной плоскости в режиме Т2
Fig. 1. a, b — preoperative coronal T1 magnetic resonance imaging of patient B., c — oblique-frontal plane computed tomography scan, d, e — axial T2 magnetic resonance imaging
Лечение
Учитывая отсутствие укорочения наружной лодыжки и наличие лишь межберцового диастаза проведено оперативное вмешательство в объёме закрытого чрескостного остеосинтеза костей правой голени аппаратом Илизарова с фиксацией голеностопного, подтаранного суставов в облегчённой шарнирной компоновке.
Послеоперационные рентгенограммы правого голеностопного сустава в прямой (рис. 2a) и боковой (рис. 2b) проекциях демонстрируют конгруэнтность суставных поверхностей голеностопного сустава, равномерность суставной щели. Подограммы (рис. 2c, d) и гониограммы (рис. 2e, f) пациентки на 8-е сутки после оперативного вмешательства — ходьбу без дополнительных средств опоры в условиях внешней фиксации, демонстрирующую наличие сниженного активного тыльного сгибания стопы и неравномерное участие переднего, среднего и заднего отделов стопы в шаге. Период госпитализации составил 11 дней, срок фиксации в аппарате Илизарова — 85 дней с момента оперативного вмешательства.
Рис. 2. a — послеоперационная рентгенограмма пациентки В. в прямой проекции, b — рентгенограмма в боковой проекции, c, d — подограммы, e, f — гониограммы
Fig. 2. a — postoperative A–P-view X-ray of patient B., b — lateral view X-ray, c, d — computer podography, e, f — gait analysis
Исход и результаты последующего наблюдения
После демонтажа аппарата Илизарова пациентка не нуждалась в дополнительных средствах опоры и ортопедических изделиях, направлена на МРТ голеностопного сустава через 6 месяцев с момента операции.
На МРТ правого голеностопного сустава во фронтальной плоскости в режиме Т1 через 6 месяцев после оперативного вмешательства наблюдаются зрелые рубцы, соответствующие по длине и позиции поверхностной (рис. 3a) и глубокой (рис. 3b) порциям внутренней коллатеральной связки. На МРТ в аксиальной плоскости в режиме Т2 наблюдаются зрелые рубцы, соответствующие по длине и позиции межберцовым связкам (рис. 3c) и глубокой порции внутренней коллатеральной связки (рис. 3d).
Рис. 3. Магнитно-резонансные томограммы пациентки В. через 6 месяцев после оперативного вмешательства: a, b — во фронтальной плоскости в режиме Т1, c, d — в аксиальной плоскости в режиме Т2
Fig. 3. 6 months postoperative magnetic resonance imaging of patient B.: a, b — T1 in coronal plane, c, d — T2 in axial plane
Клинический случай демонстрирует эффективность применения аппарата Илизарова как самостоятельного метода лечения застарелого подвывиха стопы.
Пример 2
Жалобы и анамнез
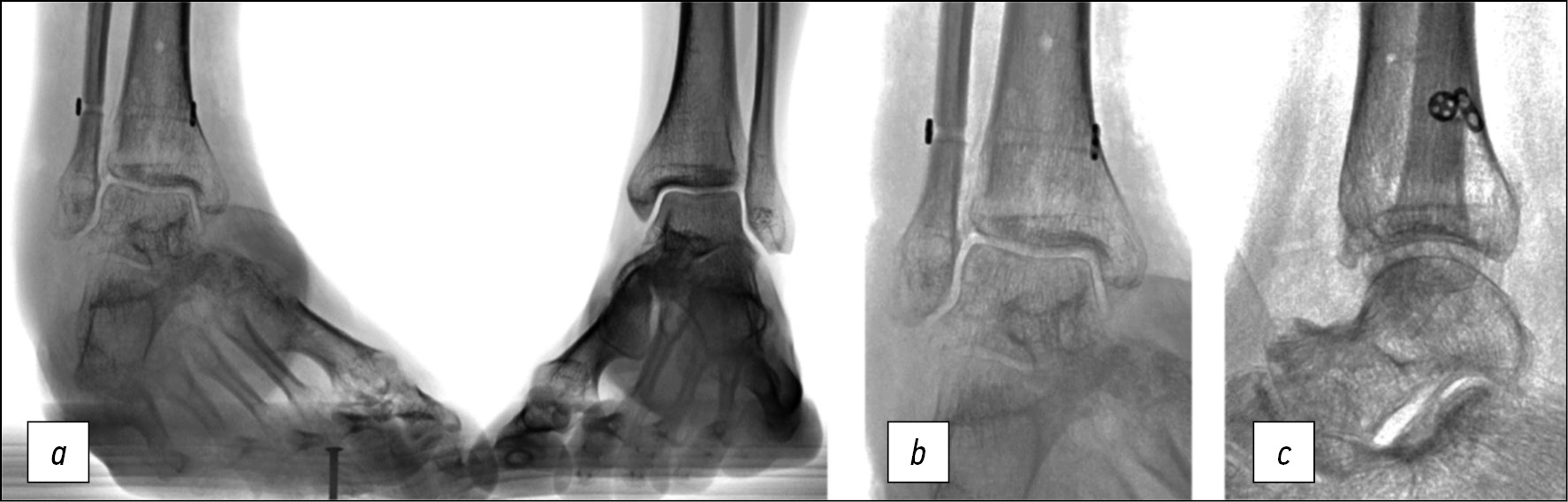
Пациент К., женского пола, 34 года, 328 дней с момента травмы — надсиндесмозного перелома дистальной трети диафиза левой малоберцовой кости, подвывиха стопы кнаружи. Спустя 6 дней после получения травмы выполнено оперативное вмешательство в объёме открытой репозиции и накостного остеосинтеза малоберцовой кости, фиксации дистального межберцового синдесмоза позиционным винтом. На контрольных рентгенограммах диагностирован сохраняющийся наружный подвывих стопы, в связи с чем через 1 месяц после первой операции выполнено повторное вмешательство — перепроведение позиционного винта. Контрольные рентгенограммы после повторного вмешательства демонстрировали сохраняющийся наружный подвывих стопы (рис. 4а). Через 8 недель после повторного вмешательства выполнено удаление позиционного винта. У пациентки сохранялись жалобы, связанные с нестабильностью голеностопного сустава.
Рис. 4. Рентгенограммы пациентки К. после предшествующих оперативных вмешательств: a, b — расширение медиальной щели голеностопного сустава, c — расширение межберцового пространства, d — рентгенограмма в боковой проекции
Fig. 4. X-rays of patient K. after previous surgery: a, b — increased medial clear space, c — increased tibiofibular space, d — lateral X-ray
Результаты физикального, лабораторного и инструментального исследования
Рентгенограммы через 6 месяцев после удаления позиционного винта демонстрируют расширение медиальной щели голеностопного сустава (рис. 4b), межберцового пространства (рис. 4c, d).
Лечение
Выполнено оперативное вмешательство в объёме удаления инородных тел, фиксации голеностопного сустава аппаратом Илизарова в шарнирной облегчённой компоновке, фиксации дистального межберцового синдесмоза пуговчатым фиксатором.
Послеоперационные рентгенограммы в прямой (рис. 5a) и боковой (рис. 5b) проекциях демонстрируют восстановление взаимоотношений в голеностопном суставе. На рентгенограммах в боковой проекции (рис. 5c, d) наблюдается ограниченный шарнирными устройствами объём активных движений: подошвенное сгибание (рис. 5c) ограничено 5°. На гониограммах (рис. 5e, f) и подограммах (рис. 5g, h) на 7-е сутки после операции — ходьба без дополнительных средств опоры в условиях внешней фиксации, демонстрирующая наличие сниженного активного тыльного сгибания стопы, умеренной асимметрии при равномерном распределении нагрузки на передний и задний отделы стопы оперированной конечности. Период госпитализации — 14 суток, срок фиксации в аппарате Илизарова — 37 суток.
Рис. 5. a — послеоперационная рентгенограмма пациентки К. в прямой проекции, b — послеоперационная рентгенограмма в боковой проекции, c, d — рентгенограмма в боковой проекции: ограниченный шарнирными устройствами объём активных движений, e, f — гониограммы, g, h — подограммы
Fig. 5. Postoperative X-rays of patient K.: a — A-P-view, b — lateral view, c, d — lateral X-rays demonstrating limited by hinges range of motion, e, f — gait analysis, g, h — computer podography
Исход и результаты последующего наблюдения
После демонтажа аппарата Илизарова пациентка не нуждалась в дополнительных средствах опоры и ортопедических изделиях.
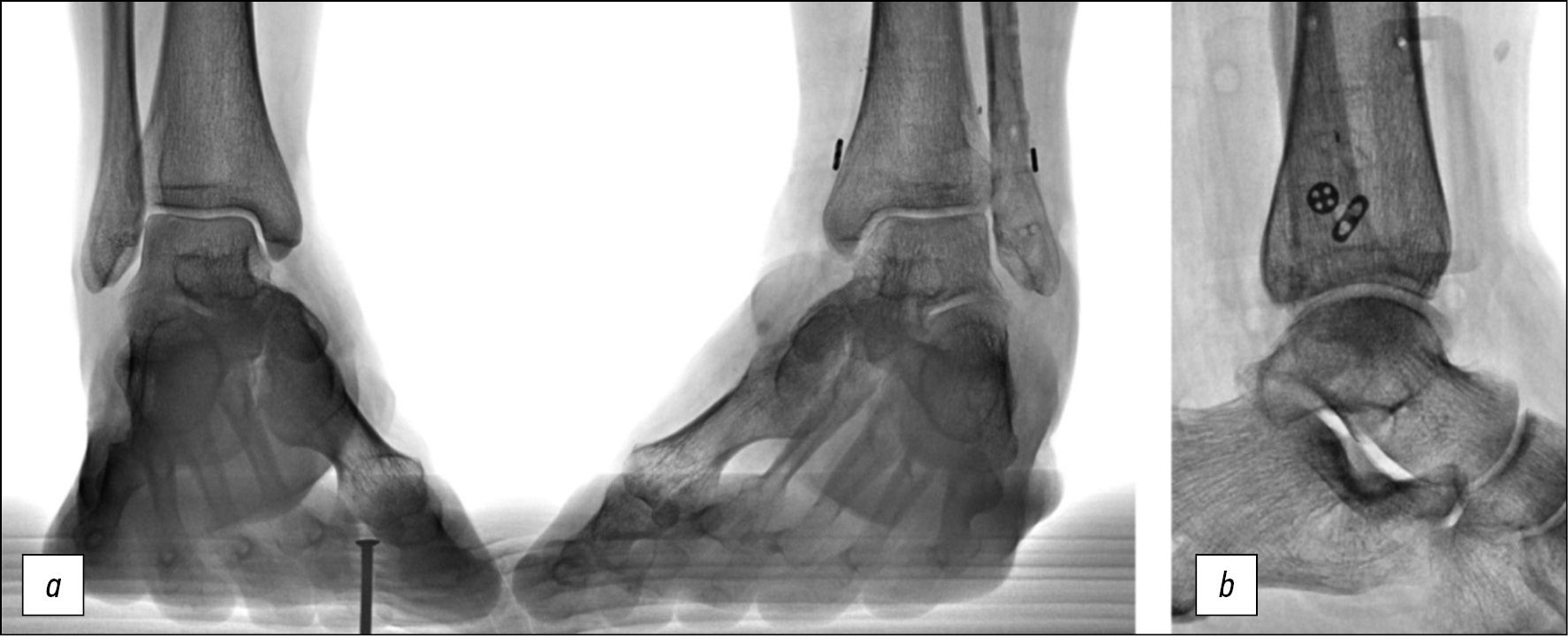
Рентгенограммы голеностопного сустава в прямой проекции с внутренней ротацией (стоя с нагрузкой) (рис. 6a) и в боковой проекции (рис. 6b) демонстрируют восстановление взаимоотношений в голеностопном суставе.
Рис. 6. Рентгенограммы пациентки К. после демонтажа аппарата Илизарова: a — в прямой проекции с внутренней ротацией, b — в боковой проекции
Fig. 6. X-rays of patient K. after Ilizarov fixator removal: a — mortise view, b — lateral view
Клинический пример показывает результативность оперативного вмешательства при сокращённых в 2,5 раза сроках фиксации в аппарате Илизарова.
Пример 3
Жалобы и анамнез
Пациент П., мужского пола, 28 лет, 62 дня с момента минно-взрывной политравмы, в составе которой по поводу повреждения (не доминирующего) правого голеностопного сустава получал консервативное лечение. Предъявлял жалобы на неопороспособность правой нижней конечности, боль и ограничение объёма активных движений в правом голеностопном суставе, отёк правой стопы.
Результаты физикального, лабораторного и инструментального исследования
На рентгенограммах голеностопного сустава в прямой (рис. 7a) и боковой (рис. 7b) проекциях при поступлении наблюдаются подвывих стопы кнаружи, отрывной перелом переднего и заднего бугорков малоберцовой вырезки большеберцовой кости со смещением отломков. МРТ голеностопного сустава в аксиальной плоскости в режиме Т1 (рис. 7с) подтверждает данные рентгенографии, во фронтальной плоскости в режиме Т2 (рис. 7d) демонстрирует наличие трабекулярного отёка дистального метаэпифиза большеберцовой кости, блока таранной кости, тела пяточной кости.
Рис. 7. a — рентгенограмма пациента П. при поступлении в прямой проекции, b — рентгенограмма в боковой проекции, c — магнитно-резонансная томограмма в аксиальной плоскости в режиме Т1, d — магнитно-резонансная томограмма во фронтальной плоскости в режиме Т2
Fig. 7. Preoperative X-rays of patient P.: a — A-P-view, b — lateral view, c — axial T1 magnetic resonance imaging, d — coronal T2 magnetic resonance imaging
Лечение
Выполнено оперативное вмешательство в объёме фиксации голеностопного сустава аппаратом Илизарова в шарнирной облегчённой компоновке, фиксации дистального межберцового синдесмоза пуговчатым фиксатором (рис. 8).
Рис. 8. Установка пуговчатого фиксатора по достижении репозиции наружной лодыжки и устранения подвывиха стопы: а — рассверливание отверстия, b — натяжение нитей пуговчатого фиксатора
Fig. 8. Suture button placing after lateral subluxation reduction: a — drilling hole in fibula and tibia, b — suture tensioning
Послеоперационные рентгенограммы в прямой (рис. 9a) и боковой (рис. 9b) проекциях демонстрируют восстановление взаимоотношений в голеностопном суставе. Гониограммы (рис. 9c, d) и подограммы (рис. 9e, f) на 7-е сутки после операции — ходьбу без дополнительных средств опоры в условиях внешней фиксации, демонстрирующую наличие сниженного активного подошвенного сгибания стопы, незначительной асимметрии при равномерном распределении нагрузки на передний и задний отделы стопы оперированной конечности. Период госпитализации составил 9 дней, срок фиксации в аппарате Илизарова — 34 дня.
Рис. 9. a — рентгенограмма пациента П. после операции в прямой проекции, b — рентгенограмма в боковой проекции, c, d — гониограммы, e, f — подограммы
Fig. 9. Postoperative X-rays of patient P.: a — A-P-view, b — lateral view, c, d — gait analysis, e, f — computer podography
Исход и результаты последующего наблюдения
После демонтажа аппарата Илизарова пациент не нуждался в дополнительных средствах опоры и ортопедических изделиях.
Рентгенограммы голеностопного сустава в прямой проекции с внутренней ротацией (стоя с нагрузкой) (рис. 10a, b) и боковой проекции (рис. 10c) демонстрируют восстановление взаимоотношений в голеностопном суставе, расположение продолговатой пуговицы кзади от межлодыжечной линии. Опороспособность оперированной конечности и объём движений в голеностопном суставе восстановлены.
Рис. 10. Рентгенограммы пациента П. после демонтажа аппарата Илизарова: a, b — в прямой проекции с внутренней ротацией, c — в боковой проекции
Fig. 10. X-rays of patient P. after Ilizarov fixator removal: a, b — mortise view, c — lateral view
ОБСЖДЕНИЕ
При последствиях повреждений голеностопного сустава внешняя фиксация применяется для артродистракции как самостоятельного метода лечения либо в комбинации с артроскопическими вмешательствами (хондропластикой, резекцией остеофитов), PRP- и SVF-терапией [23, 24]. Однако существуют клинические ситуации, при которых создание артродиастаза противоречит цели реконструктивного оперативного вмешательства. Теоретически артродистракция применима при восстановлении дистального межберцового синдесмоза, но в клинической практике практически не наблюдается его изолированной несостоятельности. Целью пластики связки прежде всего является восстановление её нормальной длины, что предполагает корректное положение зон её крепления на период, соответствующий срокам созревания рубца. Тем не менее очевидно положительное влияние механической разгрузки сустава как элемента лечения дегенеративных изменений и создания благоприятных условий для регенерации суставного хряща.
Нейтральный стабильный остеосинтез аппаратом Илизарова с дозированным объёмом движений и декомпрессией как элемент реконструктивных оперативных вмешательств при нестабильности голеностопного сустава ранее не описан.
Закрытый чрескостный остеосинтез костей голени аппаратом Илизарова с фиксацией голеностопного и подтаранного суставов является самодостаточным методом лечения последствий повреждений голеностопного сустава. Он позволяет осуществлять одномоментную или постепенную коррекцию деформаций, репозицию вывихов и подвывихов стопы, создание компрессии на стыке остеотомированных фрагментов либо зоны несращения/ложного сустава при фиксированном в любом положении/подвижном в любой амплитуде и в любые сроки голеностопном суставе за счёт управляемых шарнирных устройств (клинический пример 1). Однако применение аппарата Илизарова как единственного, окончательного и универсального метода при несостоятельности связок голеностопного сустава имеет следующие особенности.
При несомненной успешности закрытой/открытой, прямой/непрямой, одномоментной/постепенной репозиции костных структур, образующих голеностопный сустав, его воздействие на связки голеностопного сустава ограничивается лишь контролируемым положением зон крепления связок на срок, соответствующий периоду регенерации последних.
При огромных репозиционных возможностях и управляемости степенью жёсткости фиксации на любом этапе метод Илизарова нуждается в длительном периоде фиксации, требующем психологических усилий от пациента и надлежащего контроля в амбулаторных условиях.
Во избежание рисков несостоятельности связок дистального межберцового синдесмоза срок фиксации последнего составляет 6–8 недель, что соответствует нормальным срокам консолидации переломов лодыжек и не вызывает противоречий в длительности периода фиксации при данных повреждениях. Одно лишь удержание зон крепления связок актуально для свежих повреждений, а при их застарелом повреждении ввиду наличествующего зрелого рубца и дегенеративных изменений культей повреждённых связок возможно их несращение или реруптура. В случае хронической нестабильности голеностопного сустава, во-первых, сроки фиксации увеличиваются до 10–12 недель, а во-вторых, такие сроки фиксации актуальны лишь при выполняемых корригирующих остеотомиях и постепенных коррекциях деформаций. В остальных случаях пациент находится в условиях внешней фиксации интактных либо консолидированных костных структур лишь для предотвращения рецидива наружного подвывиха стопы.
Новая технология заключается в комбинированном использовании аппарата Илизарова для фиксации голеностопного и подтаранного суставов при лечении нестабильности голеностопного сустава вследствие несостоятельности наружных коллатеральных связок, внутренних коллатеральных связок и межберцового синдесмоза.
ЗАКЛЮЧЕНИЕ
Применение аппарата Илизарова в комбинации с реконструктивными вмешательствами на связках голеностопного сустава и внутренней фиксацией позволяет нивелировать недостатки метода, сохранив его следующие преимущества:
- малоинвазивность;
- управляемость положением костных структур, образующих голеностопный сустав, шириной щели голеностопного сустава, объёмом движений, степенью жёсткости фиксации;
- максимально возможно раннюю полноценную нагрузку на оперированную конечность;
- воздействие непосредственно на повреждённые структуры с их анатомичным восстановлением и возможность осуществления минимально инвазивных вмешательств и минимального количества устанавливаемых имплантатов без ущерба стабильности фиксации за счёт шунтирования нагрузки аппаратом Илизарова;
- сокращение сроков фиксации до 4 недель при отсутствии костных повреждений и до 8 недель при их наличии, что снижает риск осложнений, требовательность к амбулаторному наблюдению, негативные психологические аспекты условий внешней фиксации;
- возможность использования максимально компактных и облегчённых компоновок аппарата Илизарова ввиду отсутствия необходимости в полном объёме его репозиционных возможностей и запаса стабильности.
ДОПОЛНИТЕЛЬНО
Вклад авторов. Все авторы подтверждают соответствие своего авторства международным критериям ICMJE (все авторы внесли существенный вклад в разработку концепции, проведение исследования и подготовку статьи, прочли и одобрили финальную версию перед публикацией).
Источник финансирования. Авторы заявляют об отсутствии внешнего финансирования при проведении исследования и подготовке публикации.
Конфликт интересов. Авторы декларируют отсутствие явных и потенциальных конфликтов интересов, связанных с проведённым исследованием и публикацией настоящей статьи.
Информированное согласие на публикацию. Авторы получили письменное согласие пациентов на публикацию медицинских данных и фотографий. Пациенты добровольно подписали форму информированного согласия на публикацию персональной медицинской информации в обезличенной форме.
ADDITIONAL INFO
Author contribution. All authors made a substantial contribution to the conception of the work, acquisition, analysis, interpretation of data for the work, drafting and revising the work, final approval of the version to be published and agree to be accountable for all aspects of the work.
Funding source. This study was not supported by any external sources of funding.
Competing interests. The authors declare that they have no competing interests.
Consent for publication. Written consent was obtained from the patients for publication of relevant medical information and all of accompanying images within the manuscript.
About the authors
Ilya V. Sutyagin
Ilizarov National Medical Research Centre for Traumatology and Orthopedics
Author for correspondence.
Email: pr_sutyagin@bk.ru
ORCID iD: 0000-0001-8446-1434
Russian Federation, Kurgan
Alexander V. Burtsev
Ilizarov National Medical Research Centre for Traumatology and Orthopedics
Email: bav31rus@mail.ru
ORCID iD: 0000-0001-8968-6528
MD, Dr. Sci. (Med.)
Russian Federation, KurganReferences
- Michelson JD, Hamel AJ, Buczek FL, et al. Kinematic behavior of the ankle following malleolar fracture repair in a high-fidelity cadaver model. J Bone Joint Surg Am. 2002;84(11):2029–2038. doi: 10.2106/00004623-200211000-00019
- Michelson JD, Hamel AJ, Buczek FL, Sharkey NA. The effect of ankle injury on subtalar motion. Foot Ankle Int. 2004;25(9):639–646. doi: 10.1177/107110070402500908
- Takao M, Ozeki S, Oliva XM, Inokuchi R, Yamazaki T, Takeuchi Y, Kubo M, Lowe D, Matsui K, Katakura M, Ankle Instability Group, Glazebrook M. Strain pattern of each ligamentous band of the superficial deltoid ligament: a cadaver study. BMC Musculoskeletal Disorders. 2020;21(1):289. doi: 10.1186/s12891-020-03296-0
- Michelson JD, Waldman B. An axially loaded model of the ankle after pronation external rotation injury. Clin Orthop Relat Res. 1996;(328):285–293. doi: 10.1097/00003086-199607000-00043
- Boden SD, Labropoulos PA, McCowin P, et al. Mechanical considerations for the syndesmosis screw. A cadaver study. J Bone Joint Surg Am. 1989;71(10):1548–1555.
- Bartonícek J. Anatomy of the tibiofibular syndesmosis and its clinical relevance. Surgical and radiologic anatomy. Surg Radiol Anat. 2003;25(5–6):379–86. doi: 10.1007/s00276-003-0156-4
- Court-Brown CM, Heckman JD, McQueen MM, Ricci W, Tornetta P III, editors; McKee M, associate editor. Rockwood and Green’s fractures in adults. 8th edition. Volume 2, Chapter 59. Wolters Kluwer Health; 2014. 2570 p.
- Rudy TP, Buckley RE, Moran KG. AO — principles of fracture treatment. Vol. 2. Minsk: Wassamedia; 2013. Р. 870–895. (In Russ).
- Muzio B, Hacking C. TightRope® syndesmotic repair. Case study. Radiopaedia.org. Available from: https://radiopaedia.org/cases/tightrope-syndesmotic-repair-1 Accessed: Nov 25, 2023. doi: 10.53347/rID-78719
- Bowman H. FIBULINK® syndesmosis repair system. Case study. Radiopaedia.org. 2021. Available from: https://radiopaedia.org/cases/fibulink-syndesmosis-repair-system-1 Accessed: Nov 25, 2023. doi: 10.53347/rID-85776
- Hantouly A, Toubasi A, Samhouri J, Morrissey P, Hooghe P, Salameh M. The role of anatomical repair of the anterior inferior tibiofibular ligament in acute ankle fractures with syndesmotic injury: A systematic review. Journal of Musculoskeletal Surgery and Research. 2022;6(3):207–212. doi: 10.25259/JMSR_20_2022
- Shen J-J, Gao Y-B, Huang J-F, Qiu Q-M, Cheng L, Tong S-L. Suture anchors for primary deltoid ligament repair associated with acute ankle fractures. Acta orthopaedica Belgica. 2019;85(3):387–391.
- van Dijk CN, Longo UG, Loppini M, Florio P, Maltese L, Ciuffreda M, Denaro V. Classification and diagnosis of acute isolated syndesmotic injuries: ESSKA-AFAS consensus and guidelines. Knee Surg Sports Traumatol Arthrosc. 2016;24(4):1200–16. doi: 10.1007/s00167-015-3942-8
- Rammelt S, Boszczyk A. Chronic Syndesmotic Injuries: Arthrodesis versus Reconstruction. Foot Ankle Clin. 2020;25(4):631–652. doi: 10.1016/j.fcl.2020.08.006
- Swords MP, Sands A, Shank JR. Late Treatment of Syndesmotic Injuries. Foot Ankle Clin. 2017;22(1):65–75. doi: 10.1016/j.fcl.2016.09.005
- Yasui Y, Takao M, Miyamoto W, Innami K, Matsushita T. Anatomical reconstruction of the anterior inferior tibiofibular ligament for chronic disruption of the distal tibiofibular syndesmosis. Knee Surg Sports Traumatol Arthrosc. 2011;19(4):691–5. doi: 10.1007/s00167-010-1311-1
- Grass R, Rammelt S, Biewener A, Zwipp H. Peroneus longus ligamentoplasty for chronic instability of the distal tibiofibular syndesmosis. Foot Ankle Int. 2003;24(5):392–7. doi: 10.1177/107110070302400503
- Sun Z, Li T, Wang Y, Cao Q, Wu X. Clinical outcome of distal tibiofibular arthrodesis with plate fixation for the treatment of chronic frank syndesmosis instability. Injury. 2020;51(12):2981–2985. doi: 10.1016/j.injury.2020.11.068
- Lim SK, Ho YC, Ling SK, Yung PS. Functional outcome of fusion versus ligament reconstruction in patients with a syndesmosis injury: A narrative review. Asia Pac J Sports Med Arthrosc Rehabil Technol. 2021;25:53–59. doi: 10.1016/j.asmart.2021.05.002. Erratum in: Asia Pac J Sports Med Arthrosc Rehabil Technol. 2021;26:58. doi: 10.1016/j.asmart.2021.08.001
- Vohra R, Singh A, Thorat B, Patel D. Instability of the distal tibiofibular syndesmosis. J Orthop Surg (Hong Kong). 2023;31(2):10225536231182349. doi: 10.1177/10225536231182349
- Wright CJ, Linens SW, Cain MS. A Randomized Controlled Trial Comparing Rehabilitation Efficacy in Chronic Ankle Instability. J Sport Rehabil. 2017;26(4):238–249. doi: 10.1123/jsr.2015-0189
- Clements A, Belilos E, Keeling L, Kelly M, Casscells N. Postoperative Rehabilitation of Chronic Lateral Ankle Instability: A Systematic Review. Sports Medicine and Arthroscopy Review. 2021;29(2):146–152. doi: 10.1097/JSA.0000000000000304
- Leonchuk SS, Ostrovskikh L, Sazonova N. Ankle distraction arthroplasty using the Ilizarov external fixation and arthroscopy: first clinical experience. Genij Ortopedii. 2021;27(1):92–96. (In Russ). doi: 10.18019/1028-4427-2021-27-1-92-96
- Dabash S, Buksbaum J, Fragomen A, Rozbruch SR. Distraction arthroplasty in osteoarthritis of the foot and ankle. World Journal of Orthopedics. 2020;11(3):145–157. doi: 10.5312/wjo.v11.i3.145
Supplementary files













