Diagnosis and treatment of congenital vertical talus in children under 3 years old (review)
- Authors: Solovieva E.N.1, Vavilov M.A.2, Blandinsky V.F.1, Gromov I.V.2, Sokolov A.G.1
-
Affiliations:
- Yaroslavl State Medical University
- Regional Children’s Hospital
- Issue: Vol 28, No 2 (2021)
- Pages: 63-75
- Section: SCIENTIFIC REVIEWS
- Submitted: 14.02.2021
- Accepted: 26.03.2021
- Published: 15.06.2021
- URL: https://journals.eco-vector.com/0869-8678/article/view/60828
- DOI: https://doi.org/10.17816/vto60828
- ID: 60828
Cite item
Full Text
Abstract
Congenital vertical ram is a rare pathology, the incidence of it is 1 case per 10 thousand newborns. This anomaly is usually manifested by a severe planovalgus deformity of the foot. Moreover, it is often (in 50% of cases) associated with chromosomal syndromes (arthrogryposis, neurofibromatosis, myelodysplasia, etc.), with spinal, neuromuscular anomalies of development. As a result, it is necessary to focus the attention of pediatric orthopedists and radiologists on the parameters of the diagnosis in order to reduce false diagnoses and unreasonable surgical interventions in children, show options for surgical techniques for the treatment of feet with an inborn vertical position of the talus in children under 3 years. The presented review of domestic and foreign literature demonstrates the main advantages and disadvantages of existing approaches in the treatment of children under 3 years of age with congenital vertical ram. Demonstrate the main advantages and disadvantages of existing approaches in the treatment of this pathology. Analysis of the literature showed that the causes of the formation of the congenital vertical talus are not fully explored. In Russia, up to the present moment, its diagnosis is still difficult. Congenital vertical talus is one of the rare problems in world orthopedic practice in comparison with congenital clubfoot, but doctors who are constantly treating children with deformities of the feet have such patients regularly.
Full Text
ВВЕДЕНИЕ
Врожденный вертикальный таран (ВВТ) — редкая патология, частота встречаемости 1 случай на 10 тыс. новорожденных [1–3]. Данная аномалия обычно проявляется ригидной плоско-вальгусной деформацией стопы тяжелой степени и характеризуется фиксированным тыльным вывихом ладьевидной кости с расположением последней на головке и шейке таранной кости [4, 5]. При этом ВТ в 50% случаев ассоциирован с хромосомными синдромами (артрогрипоз, нейрофиброматоз, миелодисплазия и др.), со спинальными, нервно-мышечными аномалиями развития [2, 6, 7]. По данным различных авторов, наследуется по аутосомно-доминантному типу с неполной пенетрантностью [1, 8]. M. Dobbs, активно занимающийся лечением детей с деформациями стоп, в 2006 г. опубликовал работу, в которой обозначил гены, отвечающие за формирование вертикальной таранной кости — HOXD10 M319K [1, 9].
М. Доббс (M. Dobbs, Филадельфия, США) разработал авторскую методику, проанализировав лечение пациентов с косолапостю по методу Понсети (I. Ponseti). Он аналогично гипсовал детей против деформации, с выведением плоско-вальгусной стопы в положение гиперкоррекции, за точку вращения приняв головку таранной кости, манипулируя передним и средним отделом стопы [10]. При своевременном обращении к ортопеду, владеющему методом Доббса (Dobbs), у ребенка есть шанс вылечиться малоинвазивно, за счет эластичности мягкотканных структур стопы. У детей до трех лет фиброзные изменения мягких тканей заднего и среднего отделов стопы не препятствуют восстановлению анатомических соотношений в суставах, что позволяет избежать больших хирургических вмешательств [3, 5, 11–13]. Однако, по данным литературы, успешные результаты лечения детей с врожденными плоско-вальгусными стопами достигаются существенно реже по сравнению с таковыми у пациентов с косолапостью [2, 9, 14–20]. А наблюдение за этой группой пациентов показывает, что у детей с неидиопатическим ВТ на фоне роста часто наступает потеря коррекции, иногда требующая последующих оперативных вмешательств [21].
При отсутствии лечения при ВВТ (рис. 1), с увеличением массы тела, человека ожидают боли в стопах, инвалидность и сложности с подбором обуви. Как правило, страдает походка, что связанно с трудностями балансирования. Отмечается специфическое снашивание обуви. Боль в стопе часто развивается уже в раннем подростковом возрасте. Поскольку пяточные кости подтянуты, у пациента страдает фаза опоры в биомеханике ходьбы, а именно подфазы начального контакта (касание пяткой поверхности опоры) и окончание опоры (активное отталкивание).
Рис. 1. Пациент П., 17 лет. Врожденный вертикальный таран. Лечение в грудном возрасте гипсовыми повязками по месту жительства, без оперативного вмешательства
Fig. 1. Patient P., 17 years old. Vertical talus. Treatment in infancy with plaster casts at the place of residence, without surgery
У пациентов с ВВТ без лечения опорой служит средний отдел стопы, больше за счет внутреннего края, являющегося в норме продольным сводом и отвечающего за амортизирующую функцию при ходьбе и в положении стоя (рис. 2). Формируются болезненные натоптыши, мозоли и слизистые сумки, страдает сосудисто-нервный медиальный пучок [1, 22].
Рис. 2. Пациент П., 17 лет. Прямая и боковая рентгенограмма стопы с нагрузкой. Вертикальное положение таранной кости с двух сторон
Fig. 2. Patient P., 17 years old. Direct and lateral radiographs of the feet with stress. The vertical position of the talus from 2 sides
ЭТИОПАТОГЕНЕЗ
Выявление точной этиологии ВВТ в каждом конкретном случае, как правило, связано с большими финансовыми затратами и не всегда возможно. Порой это сочетание нескольких факторов. По теории T. Wirth, в формировании ВВТ участвует повышенное внутриматочное давление и результирующие сухожильные контрактуры, или арест в развитии плода, возникающий между 7-й и 12-й неделями беременности [23, 24]. По данным L. Lamy и L. Weissman [7], около половины всех случаев вертикальной таранной кости встречается в ассоциации с неврологическими нарушениями или, по исследованиям P.L.Townes и соавт. [25, 26] и I.A. Uchida и соавт. [2, 6], с генетическими синдромами. Ассоциированные нарушения неврологического характера можно разделить на две основные категории: центральные дефекты нервной системы и нервно-мышечные расстройства. Остальная часть случаев ВВТ считается идиопатической. Появляется все больше доказательств о генетической причине формирования ВВТ с аутосомно-доминантным типом наследования [2, 9, 27, 28]. Но ни один известный дефект генов не отвечает за все встречающиеся случаи вертикальной таранной кости, поэтому вполне вероятно, что патофизиологическая основа развития вертикальной таранной кости носит гетерогенный характер [29].
Врожденная сосудистая недостаточность нижних конечностей также была предложена в качестве потенциальной причины вертикальной таранной кости, на основании данных магнитно-резонансной ангиографии, которая продемонстрировала врожденную артериальную недостаточность нижней конечности в группе пациентов с изолированной вертикальной таранной костью [29].
Таким образом, причинами ВВТ, ассоциированными с нарушениями центральной нервной системы, являются: миеломенингоцеле, спинальная мышечная атрофия, диастемомелия, сакральная агенезия. Нервно-мышечными расстройствами могут быть: дистальный артрогрипоз, артрогрипоз множественный, нейрофиброматоз. Хромосомными аномалиями: трисомия 18, 15, 13-й пар хромосом. Известными генетическими синдромами, включающими ВТ: нейрофиброматоз, синдром Prune–Belly, синдром Сostello – Rasmussen, синдром de Barsy – Moens – Dierckx, синдром расщепленной кисти и расщепленной стопы. Возможны также нарушения генов HOXD10 CDMP1 и т.д. [20].
ПАТОЛОГИЧЕСКАЯ АНАТОМИЯ
Как аутопсийные, так и хирургические данные способствовали пониманию патологической анатомии ВВТ [19, 30]. При данной патологии одни авторы описывают, так же как и при косолапости, нормальную структуру и количество костей пораженной стопы, отмечая только нарушение их ориентации и мягкотканные изменения. Имеются контрактуры передней большеберцовой мышцы, короткого разгибателя 1-го пальца, малоберцовой группы мышц и ахиллова сухожилия. Тыльная капсула таранно-ладьевидного сустава сокращается и утолщается. Ладьевидная кость смещена к тылу и латерально по отношению к головке и шейке таранной кости. Из-за отсутствия соответствующего сопоставления с таранной костью, ладьевидная кость имеет клиновидную форму, суставные капсулы гипопластичны. Головка и шейка таранной кости уплощены и медиально отклонены. Крайнее подошвенное «сгибательное» положение таранной кости приводит к ослаблению пяточно-ладьевидной связки. Пяточная кость подтянута и отклонена кнаружи. Увеличен угол между осями таранной и пяточной кости. При тяжелых деформациях кубовидная кость смещается в тыльно-латеральном направлении, что приводит к тыльно-наружному подвывиху или вывиху в пяточно-кубовидном суставе. Заднее большеберцовое сухожилие часто смещено кпереди от медиальной лодыжки, в то время как малоберцовые сухожилия могут быть смещены над латеральной лодыжкой; сухожилия в результате смещения кпереди могут функционировать как разгибатели голеностопного сустава, а не как сгибатели [1, 30–32].
Другие авторы, L.Р. Seimon [33] и EЕ. Specht [34], констатируют изменения в строении таранной и пяточной костей, такие как деформацию таранной кости с гипоплазией или отсутствием суставных передних и средних фасеток подтаранного сустава. Видимо, проводя оценку, различные исследователи оценивали разные по тяжести, возрасту и сопутствующим аномалиям детей со стопами с ВВТ.
КЛИНИКА
ВВТ клинически проявляется вальгусом и подтянутостью заднего отдела стопы, отведением и дорсифлексией переднего отдела в поперечных суставах стопы (Шопара и Лисфранка). Подошвенная сторона стопы выпуклая, что создает видимость коромысла или стопы-качалки (рис. 3).
Рис. 3. Пациент П., 2 мес. Врожденный двухсторонний вертикальный таран
Fig. 3. Patient P., 2 months. Congenital 2-sided vertical talus
На тыльной стороне стопы и по наружному краю имеются глубокие кожные складки от гофрирования мягких тканей вокруг латеральной лодыжки. Малоберцовые и переднее большеберцовое сухожилия сокращаются, и стопа пронируется. Головка таранной кости пальпируется по подошвенной стороне ближе к медиальному краю. Ахиллово сухожилие укорачивается относительно длины голени, а пяточная кость находится в подтянутом кверху положении. При этом наблюдается «ложная» тыльная флексия, которая обусловлена переразгибанием в среднем отделе стопы за счет сустава Шопара. Зачастую ладьевидная кость плотно прижата к шейке и блоку таранной кости, что является признаком ригидной деформации. Расстояние от верхнезаднего края ладьевидной кости до переднего края суставной поверхности большеберцовой кости может быть использовано в качестве одного из признаков для дифференциальной диагностики тяжести врожденного вертикального тарана. При подошвенном сгибании стопы с ВВТ вправление в таранно-ладьевидном суставе не наступает, а при мобильной стопе мы всегда можем констатировать полное соответствие в таранно-ладьевидном суставе [1, 21].
Без проведения лечения, деформации стоп, наблюдаемые при ВВТ, становятся более ригидными, происходят изменения в костях и суставах заднего и среднего отделов стоп. При вертикальной нагрузке формируются мозоли, натоптыши и слизистые сумки подошвенной поверхности стопы с медиальной стороны в области головки таранной кости. Передний отдел стопы становится всё более отведенным и ригидным, а пятка не касается опоры при ходьбе. Появляются трудности в подборе обуви, стопы становятся болезненными [1].
КЛАССИФИКАЦИЯ
Современные классификации для ВВТ ориентированы либо на описание имеющихся анатомических аномалий, либо на наличие или отсутствие сопутствующих диагнозов. Наиболее широко используемая система анатомической классификации была предложена S.S. Coleman. Он описал два типа вертикальной таранной кости; деформация I типа характеризуется ригидным изолированным вывихом в таранно-ладьевидном суставе; деформация II типа — ригидным тыльным вывихом таранно-ладьевидного и вывихом или подвывихом/вывихом в пяточно-кубовидном суставе [15]. Другие классификации были сосредоточены на том, была ли вертикальная таранная кость изолированной деформацией или присутствовала в дополнение к другим аномалиям [29].
K. Ogata и соавт. [27] разделили ВВТ на три группы. В первой группе, которая определяется как идиопатическая, нет других ассоциированных диагнозов. Во вторую группу вошли пациенты с ВВТ в сочетании с другими врожденными аномалиями, но без неврологического дефицита. Третья группа включает пациентов с ВВТ и сопутствующими неврологическими расстройствами. Наконец, С. Hamanishi [35] классифицирует ВВТ на пять групп на основе ассоциации с: (1) дефектами нервной трубки или аномалиями позвоночника, (2) нервно-мышечными расстройствами, (3) синдромами мальформации, (4) хромосомными аберрациями и (5) идиопатическими.
Следует отметить, что существующие классификационные системы пытаются определить косую таранную кость как более мягкую форму ВВТ на основе рентгенологических и клинических критериев обследования [12, 35–38]. Однако эти попытки классификации не привели к последовательным рекомендациям по лечению, поскольку некоторые ригидные плоско-вальгусные стопы с «косым» расположением таранной кости и тугим ахилловым сухожилием действительно требуют лечения, несмотря на отсутствие клинических проявлений у детей младшего и среднего возраста. [38]. По опыту M. Miller и M. Dobbs, «косая» таранная кость в сочетании с тугим ахиллом с возрастом часто становится симптоматической. По этой причине они рассматривают косые и вертикальные тараны, как звенья одной цепи в разной степени выраженности. Подобно косолапости, не все ВВТ имеют одинаковую ригидность. Если на рентгенограмме диагностируется косая таранная кость, но имеется эквинусная контрактура (определяемая как неспособность достичь 10° при пассивной тыльной флексии в голеностопном суставе с согнутым коленом), M. Miller и M. Dobbs рассматривают ее как ВВТ. Лечебные решения, все же, должны основываться на ригидности изменений в таранно-ладьевидном суставе и величине эквинуса [29].
Проблема с этими классификациями заключается в том, что они не учитывают непосредственно двигательную функцию нижних конечностей. По опыту некоторых авторов, C. Gurnett, L. Merrill, H. Osmond-Clarke, слабая или отсутствующая двигательная функция в мышцах голени является предиктором не только плохого ответа на мануальную коррекцию, но и риска рецидива заболевания [39–41]. Способность ребенка к тыльному и подошвенному сгибанию пальцев можно оценить, слегка стимулируя тыльную и подошвенную поверхность стопы. Движение может быть классифицировано как оптимальное (значительное), незначительное или отсутствующее. Это простое обследование может быть повторено при каждом клиническом посещении для повышения точности диагноза. Новая система классификации диагноза, учитывающая это, необходима, поскольку способность лучше прогнозировать ответ на лечение, позволит разработать индивидуальную программу терапии для пациентов из группы ВВТ [29].
Таким образом, на настоящий момент отсутствует единая классификация, позволяющая разрабатывать дорожную карту лечения для пациента, прогнозирующая исход лечения и вероятность потери коррекции на фоне роста.
ДОПОЛНИТЕЛЬНЫЕ МЕТОДЫ ИССЛЕДОВАНИЯ
Рентгенография. Наиболее часто используемым, доступным и простым методом исследования при ВТ является рентгенография. Рентгенографию проводят до начала лечения для верификации диагноза. Далее исследование проходит интраоперационно (для подтверждения коррекции), затем по мере роста ребенка сначала в положении лежа, а потом стандартные снимки стопы с нагрузкой, в зависимости от клиники, сопутствующих заболеваний, интенсивности роста ребенка и т.д. Рентгенографическая оценка сосредоточена на отношениях ядер окостенения таранной и пяточной кости с большеберцовой костью, а также на отношениях плюсневых костей с задним отделом стопы. Измерения, которые могут быть получены и показательны на рентгенограммах, включают в себя таранно-пяточный, большеберцово-пяточный, большеберцово-таранный углы и угол между осями тарана и первой плюсневой кости [1, 29, 42].
По мнению различных авторов, целесообразно выполнять снимки в двух проекциях. Переднезаднюю рентгенограмму стоп (AP) следует делать в нейтральном положении для младенцев, боковую (L) — с максимальной тыльной и подошвенной флексией, и стоя для детей, способных стоять самостоятельно. Отсутствие окостенения многих костей стопы при рождении может затруднить диагностику врожденной вертикальной таранной кости на рентгенограммах. Таранная кость, большеберцовая кость, пяточная кость и плюсневые кости окостеневают внутриутробно, к моменту рождения. Кубовидная кость оссифицируется в первый месяц жизни, в то время как клиновидные и ладьевидная — обычно в возрасте 2 и 3 лет соответственно [42]. При этом порой возникают сложности в определении длинника таранной кости у маленьких детей, при округлой форме кости, что может приводить к ошибочным интерпретациям [29, 42–44].
Величина пяточно-подошвенного угла из-за неполной оссификации пяточного бугра и отсутствие оссификации головки I плюсневой кости отличается от показателей нормы у взрослых и равняется в среднем 10–15°. Данный показатель удобно оценивать у взрослых, но у детей используется редко. Критерием правильности анатомических соотношений в подтаранном суставе в сагиттальной плоскости служит проекционное наложение на тело пяточной кости головки таранной не более чем на 1/4 ее вертикального размера [44].
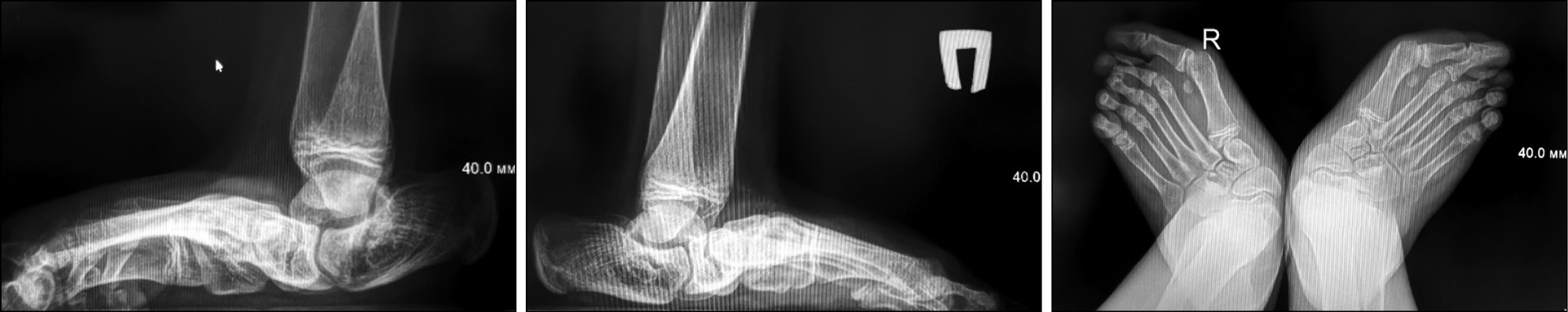
На боковой рентгенограмме с максимальной подошвенной флексией проявится стойкое смещение длинника таранной кости и первой плюсневой кости (рис. 4), причем значения базового угла между осями этих костей более 35° считаются диагностическими для вертикальной таранной кости [35]. Тем не менее вертикальный таран не может быть исключен со значениями угла менее 35°. В таких случаях наличие или отсутствие эквинуса должно быть зафиксировано. Если эквинус присутствует, то деформация считается жесткой и требует лечения таким же образом, как и для вертикального тарана с углом более 35°. В отличие от этого, при подошвенном сгибании боковая рентгенография косой таранной кости продемонстрирует восстановление нормального соотношения между длинной осью таранной кости и первой плюсневой костью [1] (рис. 4).
Рис. 4. Пациент С., 2 года. Боковая рентгенограмма с максимальной подошвенной флексией. Врожденный вертикальный таран справа, косой таран слева
Fig. 4. Patient S., 2 years old. Lateral radiograph with maximum plantar flexion. Congenital vertical talus on the right, oblique talus on the left
На боковой рентгенограмме с максимальной тыльной флексией (рис. 5) наблюдается стойкое увеличение большеберцово-пяточного угла относительно нормальных значений, что указывает на фиксированный эквинус.
Рис. 5. Пациент С., 2 года. Боковая рентгенограмма с максимальной тыльной флексией. Врожденный вертикальный таран справа, косой таран слева
Fig. 5. Patient S., 2 years old. Lateral radiograph with maximum dorsiflexion. Congenital vertical talus on the right, oblique talus on the left
R. Meary [45] доказал, что на боковой рентгенограмме стопы в стандартном положении с нагрузкой в норме, линия, проведенная по оси таранной кости, совпадает с осью I плюсневой кости. При плоскостопии эти линии пересекаются с углом, открытым к тылу на уровне несостоятельности свода.
R.L. Bordelon (1980) предложил таранно-1-плюсневый угол от 1 до 15° считать плоскостопием умеренной степени, угол более 15° расценивать как тяжелое плоскостопие. Он также отмечал, что вершина свода стопы может располагаться в различных местах: на уровне таранно-ладьевидного, ладьевидно-клиновидного или обоих указанных суставов [44].
R. Vanderwilde и соавт. [46] рассчитали нормальные угловые соотношения заднего и переднего отделов стопы у детей в зависимости от возраста (см. таблицу).
Таблица. Нормальные угловые соотношения заднего и переднего отделов стопы у детей
Table. Normal angular ratios of the hindfoot and forefoot in children
Проекция | Угол | Возраст | |||
новорожденный | 2 года | 4 года | от рождения до 9 лет | ||
Переднезадняя рентгенография (AP) | Таранно-1-плюсневый | 20° | 13° | 10° | От –9 до 31° |
Таранно-пяточный | 42° (27–56°) | 40° (26–50°) | 34° (24–44°) | 15–56° | |
Боковая рентгенография (Lateral) | Таранно-1-плюсневый | 19° | 21° | 9° | От –7 до 39° |
Большеберцово-таранный | 115° | 114° | 113° | От 86 до 145° | |
Большеберцово-пяточный | 77° | 71° | 67° | От 56 до 95° | |
Рентгенологическое обследование при ВВТ — это объективный, простой и дешевый метод оценки тяжести и результатов лечения пациентов с патологией стопы. Но интерпретация данных рентгенографии сложна, учитывая требуемый возраст начала лечения и особенности сроков окостенения костей стоп у детей [1].
Ультразвуковое исследование. Отсутствие ядер окостенения и особенности их оссификации вызывают сложности в интерпретации стоп у детей младшей возрастной группы. В этой ситуации сагиттальное изображение, полученное при ультразвуковом исследовании, оказалось мощным подспорьем для оценки плоскостопия. Данный метод широко используют Y. Ueki и соавт. [47].
Для классификации используются три типа плоскостопия: таранно-ладьевидный подвывих (TN-провисание), ладьевидно-клиновидный подвывих (NC-провисание) и таранно-ладьевидный и ладьевидно-клиновидный подвывихи (смешанный) (рис. 6) [47].
Рис. 6. Ультразвуковое сагитальное изображение трех типов плоскостопия [47]
Fig. 6. Ultrasound sagittal image of three types of flat feet [47]
Таким образом, ультразвуковое исследование можно использовать для определения положения таранной кости и контроля мануального вправления. Но диагност должен обладать определенным навыком и опытом, иметь ультразвуковой аппарат в доступности.
Ультразвуковое исследование также используют для пренатальной оценки плоско-вальгусной стопы. Постнатальное ультразвуковое исследование может помочь в выявлении сопутствующих пороков развития внутренних органов, например, для постановки какого-либо синдрома, в состав которого входит врожденный вертикальный таран, и определении особенностей кровоснабжения стопы и голени. Триплексное сканирование показало, что часто встречается нарушение васкуляризации стопы [48, 49].
Компьютерная томография и ядерно-магнитно-резонансное исследование. При ВВТ данные методы исследования сыграли важную роль в разгадке биомеханических особенностей стопы при этой деформации, оценки соотношения костей и положении суставных фасеток. Данные методы могут применяться в предоперационном периоде для выявления нарушения конфигурации костей, уточнения их взаиморасположения и определения объема оперативного вмешательства, подобно как при косолапости. В послеоперационном периоде — для оценки степени коррекции, наличия асептического некроза, деформирующего артроза, как последствия хирургического лечения [50–53].
При этом компьютерная томография и особенно ядерно-магнитно-резонансная томография в современных условиях трудоемки, как правило, связаны с седацией ребенка и сравнительно с ультразвуковым исследованием являются дорогостоящими методами обследования [54–57].
Магнитно-резонансная ангиография — малоинвазивный метод, используемый для визуализации сосудистых структур в брюшной полости, тазу и нижних конечностях по различным клиническим показаниям. Полученные изображения эквивалентны ангиографическим, а сама методика не несет в себе рисков лучевой или артериальной пункции [41].
ЛЕЧЕНИЕ
Цель лечения состоит в восстановлении нормальных анатомических взаимоотношений между таранной, ладьевидной и пяточной костями, для обеспечения правильного распределения веса на стопу. При изучении доступной нам литературы мы встретили две группы авторов. Первая предполагает невозможность достаточной гипсовой коррекции и абсолютную необходимость открытого вправления ВВТ [56, 58–62]. Существует несколько методик оперативного лечения пациентов с вертикальным тараном [20, 63, 64–68].
Вторая группа авторов предполагает возможность этапного гипсования с учетом биомеханики костей зад-него и среднего отделов стопы как метода окончательной коррекции с малоинвазивным оперативным вмешательством без нарушения источников кровоснабжения таранной кости.
В настоящее время, у ребенка есть шанс вылечиться малоинвазивно, за счет эластичности мягкотканных структур стопы. И чем раньше начата гипсовая коррекция, тем больше шансов она имеет на успех. У детей до трех лет фиброзные изменения мягких тканей заднего и среднего отделов стопы не препятствуют восстановлению анатомических соотношений в суставах, что позволяет избежать больших хирургических вмешательств [69–73]. Этапное гипсование стопы с врожденной вертикальной таранной костью традиционно используют как метод уменьшения деформации, вправления костей стопы и, тем самым, снижения вероятности обширной операции по высвобождению таранной кости из мягко-тканных рубцов [3, 19, 27, 33].
ЗАКЛЮЧЕНИЕ
Анализ литературных данных показал, что до конца не изучены причины формирования врожденной вертикальной таранной кости. В России до настоящего момента по-прежнему остается затруднительна ее диагностика. Врожденный вертикальный таран — одна из редких проблем в мировой ортопедической практике в сравнении с врожденной косолапостью, но у врачей, постоянно занимающихся лечением детей с деформациями стоп, такие пациенты встречаются на приеме регулярно.
Несмотря на актуальность проблемы до настоящего времени в мировой литературе существуют противоречия, которые указывают на ряд нерешенных проблем. Мы представили доступную нам мировую литературу, которая должна помочь принять решение ортопеду на приеме. В течение последних десятилетий значительно улучшилось понимание биомеханики движений костей заднего и среднего отделов стопы при ВВТ. А работы М. Dobbs позволяют надеяться на резкое сужение показаний к открытой хирургической технике. Тем не менее существует проблема как с гипердиагностикой и лечением детей с мобильными плоско-вальгусными стопами, так и с поздним выявлением врожденной деформации стопы и как следствие, поздним началом лечения. Отсутствует единая классификация ВВТ для сравнения результатов лечения различными методами. Нет стандартных рентгенологических укладок и общепринятых угловых характеристик, отражающих тяжесть деформации стопы и служащих выбором варианта лечения. В нашей стране отсутствует единый подход к лечению пациентов с вертикальным тараном среди ортопедов. Необходимо продолжать исследовать данную патологию, выбирать оптимальный метод лечения, исходя из возраста, варианта и ригидности ВВТ, изучать отдаленные результаты лечения, выяснять причины рецидивов и стараться их избегать.
ДОПОЛНИТЕЛЬНАЯ ИНФОРМАЦИЯ / ADDITIONAL INFO
Вклад авторов. Все авторы подтверждают соответствие своего авторства международным критериям ICMJE (все авторы внесли существенный вклад в разработку концепции, проведение исследования и подготовку статьи, прочли и одобрили финальную версию перед публикацией).
Author contribution. Thereby, all authors made a substantial contribution to the conception of the work, acquisition, analysis, interpretation of data for the work, drafting and revising the work, final approval of the version to be published and agree to be accountable for all aspects of the work.
Конфликт интересов. Авторы декларируют отсутствие явных и потенциальных конфликтов интересов, связанных с публикацией настоящей статьи.
Competing interests. The authors declare that they have no competing interests.
Источник финансирования. Не указан.
Funding source. Not specified.
Информированное согласие на публикацию. Авторы получили письменное согласие законных представителей пациента на публикацию медицинских данных и фотографий.
Consent for publication. Written consent was obtained from the patient for publication of relevant medical information and all of accompanying images within the manuscript.
About the authors
Ekaterina N. Solovieva
Yaroslavl State Medical University
Email: cat.fomenko@yandex.ru
traumatologist-orthopedist
Russian Federation, 27, Tutaevckoye highway, 150042, YaroslavlMaxim A. Vavilov
Regional Children’s Hospital
Email: maxtravma@mail.ru
ORCID iD: 0000-0001-8781-3693
Dr. Sci. (Med.), traumatologist-orthopedist
Russian Federation, 27, Tutaevckoye highway, 150042, YaroslavlValeriy F. Blandinsky
Yaroslavl State Medical University
Email: gromich_87@mail.ru
ORCID iD: 0000-0002-5644-6023
Dr. Sci. (Med.), professor, traumatologist-orthopedist
Russian Federation, 27, Tutaevckoye highway, 150042, YaroslavlIlya V. Gromov
Regional Children’s Hospital
Email: gromich_87@mail.ru
ORCID iD: 0000-0001-7696-7005
SPIN-code: 8456-5656
Cand. Sci. (Med.), traumatologist-orthopedist
Russian Federation, 27, Tutaevckoye highway, 150042Alexandr G. Sokolov
Yaroslavl State Medical University
Author for correspondence.
Email: sokolovalex96@icloud.com
ORCID iD: 0000-0003-3706-9928
SPIN-code: 1164-1410
resident
Russian Federation, 27, Tutaevckoye highway, 150042References
- Alaee F, Boehm S, Dobbs MB. A new approach to the treatment of congenital vertical talus. J Child Orthop. 2007;1(3):165–174. doi: 10.1007/s11832-007-0037-1
- Dobbs MB, Schoenecker PL, Gordon JE. Autosomal dominant transmission of isolated congenital vertical talus. Iowa Orthop. J. 2002;22:25–27.
- Jacobsen ST, Crawford AH. Congenital vertical talus. J Pediatr Orthop. 1983;3(3):306-310. doi: 10.1097/01241398-198307000-00007
- Konyukhov MP. Khirurgicheskoye lecheniye vrozhdennoi plosko-val’gusnoi deformatsii stop u detei [dissertation]. Saint Petersburg; 1989. (In Russ).
- Lamy L, Weissman L. Congenital convex pes valgus. J Bone Joint Surg Am. 1939;21(1):79–91.
- Fitton JM, Nevelos AB. The treatment of congenital vertical talus. J Bone Joint Surg Br. 1979;61(4):481–483. doi: 10.1302/0301-620X.61B4.387799
- Zorer G, Bagatur AE, Dogan A. Single stage surgical correction of congenital vertical talus by complete subtalar release and peritalar reduction by using the Cincinnati incision. J Pediatr Orthop B. 2002;11(1):60–67. doi: 10.1097/00009957-200201000-00010
- Colton CL. The surgical management of congenital vertical talus. J Bone Joint Surg Br. 1973;55(3):566–574.
- Dobbs MB, Gurnett CA, Pierce B, et al. HOXD10 M319K mutation in a family with isolated congenital vertical talus. J Orthop Res. 2006;24(3):448–453. doi: 10.1002/jor.20052
- Blandinskiy VF, Vavilov MA, Gromov IV. Dobbs’ method in treatment of children with severe congenital planovalgus deformity. Travmatologiya i ortopediya Rossii. 2012;(3):89–94. (In Russ).
- Dobbs MB, Purcell DB, Nunley R, Morcuende JA. Early results of a new method of treatment for idiopathic congenital vertical talus. Surgical technique. J Bone Joint Surg Am. 2007;89 Suppl 2 Pt. 1:111–121. doi: 10.2106/JBJS.F.01011
- Kumar SJ, Cowell HR, Ramsey PL. Vertical and oblique talus. Instr Course Lect. 1982;31:235–251.
- Mukerjee KB, Ippolito E, Farsetti P, et al. Long-term comparative results in patients with congenital clubfoot treated with two different protocols. J Bone Joint Surg Am. 2003;85(7):1286–1294. doi: 10.2106/00004623-200307000-00015
- Kuznechikhin EP, Ul’rikh EV. Khirurgicheskoye lecheniye detei s zabolevaniyami i deformatsiyami oporno-dvigatel’noi sistemy: rukovodstvo dlya vrachei. Moscow: Meditsina; 2004. (In Russ).
- Coleman SS, Stelling FH 3rd, Jarrett J. Pathomechanics and treatment of congenital vertical talus. Clin Orthop Relat Res. 1970;70:62–72.
- Dobbs MB, Purcell DB, Nunley R, Morcuende JA. Early results of a new method of treatment for idiopathic congenital vertical talus. J Bone Joint Surg Am. 2006;88(6):1192–1200. doi: 10.2106/JBJS.E.00402
- Vavilov MA, Blandinskiy VF, Gromov IV, Baushev MA. The techniques by I. Ponseti and M. Dobbs in treatment of children with feet arthrogrypotic deformities. Genii ortopedii. 2015;(4):31–35. (In Russ). doi: 10.18019/1028-4427-2015-4-31-35
- Dodge LD, Ashley RK, Gilbert RJ. Treatment of the congenital vertical talus: a retrospective review of 36 feet with long-term follow-up. Foot Ankle. 1987;7(6):326–332. doi: 10.1177/107110078700700602
- Drennan JC. Congenital vertical talus. Instr Course Lect. 1996;45:315–322.
- Gurnett CA, Keppel C, Bick J, et al. Absence of HOXD10 mutations in idiopathic clubfoot and sporadic vertical talus. Clin Orthop Relat Res. 2007;462:27–31. doi: 10.1097/BLO.0b013e31805d8649
- Vavilov MA, Blandinskii VF, Gromov IV, et al. Long-term results of pediatric treatment of congenital vertical talus. Orthopaedic Genius. 2019;25(3):330–336. (In Russ). doi: 10.18019/1028-4427-2019-25-3-330-336
- Lloyd-Roberts GC, Spence AJ. Congenital vertical talus. J Bone Joint Surg Br. 1958;40-B(1):33-41. doi: 10.1302/0301-620X.40B1.33
- da Paz AC Jr, de Souza V, de Souza DC. Congenital convex pes valgus. Orthop Clin North Am. 1978;9(1):207–218.
- Wirth T, Schuler P, Griss P. Early surgical treatment for congenital vertical talus. Arch Orthop Trauma Surg. 1994;113(5):248–253. doi: 10.1007/BF00443812
- Townes PL, Dehart GK Jr, Hecht F, Manning JA. Trisomy 13–15 in a male infant. J Pediatr. 1962;60:528–532. doi: 10.1016/s0022-3476(62)80113-9
- Uchida IA, Lewis AJ, Bowman JM, Wang HC. A case of double trisomy: trisomy No. 18 and triplo-X. J Pediatr. 1962;60:498–502. doi: 10.1016/s0022-3476(62)80110-3
- Ogata K, Schoenecker PL, Sheridan J. Congenital vertical talus and its familial occurrence: an analysis of 36 patients. Clin Orthop. 1979;(139):128–132.
- Stern HJ, Clark RD, Stroberg AJ, Shohat M. Autosomal dominant transmission of isolated congenital vertical talus. Clin Genet. 1989;36(6):427–430.
- Miller M, Dobbs MB. Congenital vertical talus: etiology and management. J Am Acad Orthop Surg. 2015;23(10):604–611. doi: 10.5435/JAAOS-D-14-00034
- Drennan JC, Sharrard WJ. The pathological anatomy of convex pes valgus. J Bone Joint Surg Br. 1971;53(3):455–461.
- Patterson WR, Fitz DA, Smith WS. The pathologic anatomy of congenital convex pes valgus. Post mortem study of a newborn infant with bilateral involvement. J Bone Joint Surg Am. 1968;50(3):458–466. doi: 10.2106/00004623-196850030-00003
- Shapiro F, Glimcher MJ. Gross and histological abnormalities of the talus in congenital club foot. J Bone Joint Surg Am. 1979;61(4):522–530.
- Seimon LP. Surgical correction of congenital vertical talus under the age of 2 years. J Pediatr Orthop. 1987;7(4):405–411. doi: 10.1097/01241398-198707000-00005
- Specht EE. Congenital paralytic vertical talus. An anatomical study. J Bone Joint Surg Am. 1957;57(6):842–847.
- Hamanishi C. Congenital vertical talus: classification with 69 cases and new measurement system. J Pediatr Orthop. 1984;4(3):318–326.
- Bolshakov OP, Kotov IR, Polyakova EL. Holographic interferometry for early diagnosisof children flat foot. Pediatric Traumatology, Orthopaedics and Reconstructive Surgery. 2015;3(1):50–56. (In Russ). doi: 10.17816/PTORS3150-56
- Gould N, Moreland M, Alvarez R, et al. Development of the child’s arch. Foot Ankle. 1989;9(5):241–245. doi: 10.1177/107110078900900506
- Mickie J, Radomisli T. Congenital vertical talus: a review. Clin Podiatr Med Surg. 2010;27(1):145–156. doi: 10.1016/j.cpm.2009.08.008
- Osmond-Clarke H. Congenital vertical talus. J Bone Joint Surg Br. 1956;38-B(1):334–341. doi: 10.1302/0301-620X.38B1.334
- Merrill LJ, Gurnett CA, Connolly AM, et al. Skeletal muscle abnormalities and genetic factors related to vertical talus. Clin Orthop Relat Res. 2011;469(4):1167–1174. doi: 10.1007/s11999-010-1475-5
- Kruse L, Gurnett CA, Hootnick D, Dobbs MB. Magnetic resonance angiography in clubfoot and vertical talus: a feasibility study. Clin Orthop Relat Res. 2009;467(5):1250–1255.
- Howard CB, Benson MK. The ossific nuclei and the cartilage anlage of the talus and calcaneum. Bone Joint Surg Br. 1992;74(4):620–623. doi: 10.1302/0301-620X.74B4.1624527
- Hubbard AM, Meyer JS, Davidson RS, et al. Relationship between the ossification center and cartilaginous anlage in the normal hindfoot in children: study with MR imaging. AJR Am J Roentgenol. 1993;161(4):849–853. doi: 10.2214/ajr.161.4.8372773
- Sadof’eva VI. Normal’naya rentgenoanatomiya kostno-sustavnoi sistemy detei. Leningrad: Meditsina; 1990. (In Russ).
- Meary R. On the measurement of the angle between the talus and the first metatarsal. Symposium: Le Pied Creux Essential. Rev Chir Orthop. 1967;53:389–391.
- Vanderwilde R, Staheli LT, Chew DE, Malagon V. Measurements on radiographs of the foot in normal infants and children. J Bone Joint Surg Am. 1988;70(3):407–415.
- Ueki Y, Sakuma E, Wada I. Pathology and management of flexible flat foot in children. J Orthop Sci. 2019;24(1):9–13. doi: 10.1016/j.jos.2018.09.018
- Katz DA, Albanese EL, Levinsohn EM, et al. Pulsed color-flow Doppler analysis of arterial deficiency in idiopathic clubfoot. J Pediatr Orthop. 2003;23(1):84–87.
- Muir L, Laliotis N, Kutty S, et al. Absence of the dorsalis pedis pulse in the parents of children with club foot. J Bone Joint Surg Br. 1995;77(1):114–116.
- Volkov SE. Differentsial’naya diagnostika i rannee kompleksnoe lechenie vrozhdennykh deformatsii stop u detei [dissertation]. Moscow; 1999. (In Russ).
- Cahuzac JP, Navascues J, Baunin C, et al. Assessment of the position of the navicular by three-dimensional magnetic resonance imaging in infant foot deformities. J Pediatr Orthop B. 2002;11(2):134–138. doi: 10.1097/00009957-200204000-00009
- Downey DJ, Drennan JC, Garcia JF. Magnetic resonance image findings in congenital talipes equinovarus. J Pediatr Orthop. 1992;12(2):224–228. doi: 10.1097/01241398-199203000-00013
- Grayhack JJ, Zawin JK, Shore RM, et al. Assessment of calcaneocuboid joint deformity by magnetic resonance imaging in talipes equinovarus. J Pediatr Orthop. 1995;4(1):36–38. doi: 10.1097/01202412-199504010-00005
- Reikeras O, Hoiseth A. Torsion of the leg determined by computed tomography. Acta Orthop Scand. 1989;60(3):330–333. doi: 10.3109/17453678909149288
- Laasonen EM, Jokio P, Lindholm TS. Tibial torsion measured by computed tomography. Acta Radiol Diagn (Stockh). 1984;25(4):325–329. doi: 10.1177/028418518402500413
- Jend HH, Heller M, Dallek M, Schoettle H. Measurement of tibial torsion by computer tomography. Acta Radiol Diagn (Stockh). 1981;22(3A):271–276. doi: 10.1177/028418518102203a10
- Jakob RP, Haertel M, Stüssi E. Tibial torsion calculated by computerised tomography and compared to other methods of measurement. J Bone Joint Surg Br. 1980;62-B(2):238–242. doi: 10.1302/0301-620X.62B2.7364840
- Brodko GA. Khirurgicheskoe lechenie vrozhdennoi ploskoval’gusnoi deformatsii stop u detei [dissertation]. Moscow; 1990. (In Russ).
- Konyukhov MP. Khirurgicheskoe lechenie vrozhdennykh deformatsii stop u detei [dissertation]. Moscow; 1989. (In Russ).
- Krupko IL. Rukovodstvo po travmatologii i ortopedii. Vol. 2. Moscow; 1975. P. 148–149. (In Russ).
- Campbell WC. Campbell’s operative orthopaedics. Crenshaw AH, editor. Maryland Heights, Missouri: Mosby; 1987. P. 2647–2652.
- Kuznechikhin EP, Trubin IV, Kuzin AS, et al. Congenital flat-valgus foot with vertical position of talus in children and its correction. Vestnik travmatologii i ortopedii N.N. Priorova. 2005;(1):65. (In Russ).
- De Rosa GP, Ahlfeld SK. Congenital vertical talus: the Riley experience. Foot Ankle. 1984;5(3):118–124. doi: 10.1177/107110078400500304
- Vlasov MV, Bogos’yan AB, Tenilin NA. Surgical correction of congenital planovalgus foot deformity in children. Vestnik travmatologii i ortopedii N.N. Priorova. 2011;(4):23–26. (In Russ).
- Kopysova VA, Kaplun VA, Gorodilov VZ, et al. Reconstructive operations in static foot deformity. Vestnik travmatologii i ortopedii N.N. Priorova. 2010;(2):66–69. (In Russ).
- Ponseti IV. Treatment of congenital club foot. J Bone Joint Surg Am. 1992;74(3):448–454.
- Shulenina NM, Lukashevich TA. O ploskoval’gusnoi deformatsii stop u detei. Ortopediya, travmatologiya i protezirovanie. 1978;(11):58–62. (In Russ).
- Walker AP, Ghali NN, Silk FF. Congenital vertical talus. The results of staged operative reduction. J Bone Joint Surg Br. 1985;67(1):117. doi: 10.1302/0301-620X.67B1.3968130
- Eberhardt O, Fernandez FF, Wirth T. The talar-axis-first metatarsalbase angle in CVT treatment: a comparison of idiopathic and non-idiopathic cases treated with the Dobbs methods. J Child Orthop. 2012;6(6):491–496. doi: 10.1007/s11832-012-0449-4
- Aslani H, Sadigi A, Tabrizi A, et al. Primary outcomes of the congenital vertical talus correction using the Dobbs method of serial casting and limited surgery. J Child Orthop. 2012;6(4):307–311. doi: 10.1007/s11832-012-0433-z
- Wright J, Coggings D, Maizen C, Ramachandran M. Reverse Ponseti-type treatment for children with congenital vertical talus: comparison between idiopathic and teratological patients. Bone Joint J. 2014;96-B(2):274–278. doi: 10.1302/0301-620X.96B2.32992
- Mirzoyeva II, Konyukhov MP. Lechenie ploskoval’gusnoi deformatsii stop u detei. Leningrad; 1980. P. 2–19. (In Russ).
- Makarova MS. Lechenie vrozhdennoi ploskoval’gusnoi deformatsii stop u detei. Andrianov VA, editor. Leningrad; 1987. P. 44–48. (In Russ).
Supplementary files








