Assessing the quality of life in children with severe forms of spastic paralysis after reconstructive surgery of the hip joints as part of multilevel orthopedic interventions
- Authors: Tomov A.D.1, Popkov D.A.1,2
-
Affiliations:
- Priorov Central Institute for Trauma and Orthopedics
- Ilizarov National Medical Research Center of Traumatology and Orthopedics
- Issue: Vol 31, No 2 (2024)
- Pages: 183-192
- Section: Original study articles
- Submitted: 19.10.2023
- Accepted: 20.11.2023
- Published: 04.07.2024
- URL: https://journals.eco-vector.com/0869-8678/article/view/611061
- DOI: https://doi.org/10.17816/vto611061
- ID: 611061
Cite item
Full Text
Abstract
BACKGROUND: Hip dislocation causes a reduction or loss of passive verticalization, negatively affects sitting posture, and predisposes to the development of early coxarthrosis with severe pain and severe osteoporosis and formation of a vicious alignment of the limbs, which worsens the child’s quality of life.
AIM: To assess the quality of life and motor capabilities of children with cerebral palsy who underwent reconstructive surgery of the hip joints as part of multi-level interventions based on literature data and our own experience.
MATERIALS AND METHODS: Treatment in 68 children who underwent surgical treatment as part of multi-level interventions, where the central link of the pathology was hip subluxation/dislocation, was analyzed.
RESULTS: Surgical reconstructive treatment improved the quality of life to varying degrees in all patients. The improvement occurred by reducing absence from social events/school, reducing or completely relieving pain, and improving rehabilitation potential.
CONCLUSION: Performing multilevel interventions, including reconstructive surgery of the hip joint, in children with severe cerebral palsy leads to increased quality of life — physical and psychosocial functioning.
Full Text
ОБОСНОВАНИЕ
Частота встречаемости вывиха бедра при спастических формах детского церебрального паралича (ДЦП) тяжёлой степени (уровни IV, V согласно Системе классификации общих двигательных функций GMFCS) варьирует от 33 до 70% [1–3]. Данное состояние сопровождается существенным снижением или потерей возможности пассивной вертикализации, отсутствием условий для комфортной позы сидя, предрасполагает к развитию раннего коксартроза с тяжёлым болевым синдромом, выраженного остеопороза и прогрессирующей декомпенсации заболеваний внутренних органов, снижению социализации ребёнка [4–7]. Кроме того, ортопедические нарушения на уровне тазобедренных суставов часто сопровождаются выраженными контрактурами коленных и голеностопных суставов, деформациями стоп. Это также существенно снижает функциональные способности ребёнка, затрудняет пассивную вертикализацию, использование обуви, что, в свою очередь, ухудшает качество его жизни [8–10].
Однако затруднения или невозможность пассивной вертикализации у таких детей обусловлены не только контрактурами или вывихами бедра. Среди других ортопедических проблем у детей с уровнями поражения IV–V по GMFCS описаны тяжёлые сгибательные контрактуры коленного сустава, выраженные деформации стоп, деформации позвоночника [11–16]. Дефицит разгибания в коленном суставе более 30 градусов расценивается как неблагоприятная ситуация для пассивной вертикализации. Контрактуры коленных суставов, особенно в сочетании с деформациями стоп, ведут к потере опороспособности конечностей, затруднениям и даже невозможности проведения постурального менеджмента, использования обуви и ортезных изделий в случае проведения реконструктивных вмешательств на тазобедренном суставе [17].
Целью данного исследования, основанного на социологическом методе, была оценка качества жизни и двигательных возможностей у детей с ДЦП с серьёзными двигательными нарушениями, которым проводились реконструктивные операции на тазобедренных суставах в рамках многоуровневых вмешательств.
МАТЕРИАЛЫ И МЕТОДЫ
Дизайн исследования
Работа проведена на основании анализа результатов терапии 68 детей со спастическими формами ДЦП, которые проходили оперативное ортопедическое реконструктивное лечение в период 2012–2017 гг.
Критерии соответствия
В исследуемую группу были включены дети со спастическими формами ДЦП. Их средний возраст к началу лечения составлял 7,12±2,34 года (от 3 до 12 лет). По уровням GMFCS распределение было следующим: III — 12 пациентов, IV — 43 пациента, V — 13 пациентов. Мальчиков было 37 (54%), девочек — 31 (46%).
В работу были включены пациенты со спастическими формами ДЦП, прооперированные по поводу вывиха бедра, которым оперативное вмешательство проводилось на двух и более анатомических областях, включая коленный и/или голеностопный суставы и стопу. Из исследования были исключены пациенты с ДЦП, которым проводились изолированные вмешательства на тазобедренном суставе или паллиативные вмешательства.
Условия проведения
Для проведения ортопедического лечения необходимо наличие отделения с операционным блоком, обязательны консультации невролога. Стандартные методы диагностики — рентгенография и компьютерная томография. Обязательным элементом лечения является выполнение многоуровневых оперативных вмешательств.
Продолжительность исследования
Анализ был выполнен на основании наблюдения за детьми через 10–14 месяцев после операции.
Описание медицинского вмешательства
У 38 пациентов (52 операции) деротационно-варизирующая остеотомия сочеталась с удлинением приводящих мышц (в 50 случаях), удлинением сгибателей коленных суставов (в рамках 48 операций), различными вариантами удлинения трицепса (в рамках 43 операций), подтаранным артроэрезом (22 стопы) и/или тенодезом задней большеберцовой мышцы (50 стоп).
У 30 пациентов (47 операций) деротационно-варизирующая остеотомия сочеталась с ацетабулопластикой, удлинением приводящих мышц (в 43 случаях), удлинением сгибателей коленных суставов (в рамках 45 операций), различными вариантами удлинения трицепса (в рамках 37 операций), подтаранным артроэрезом (12 стоп) и/или тенодезом задней большеберцовой мышцы (46 стоп).
Основной исход исследования
Изучение качества жизни и функциональных возможностей проводилось с использованием опросников Gillette [16, 18], Pediatric Quality of Life Inventory (PedsQL 4.0) [19] до лечения и через 10–14 месяцев после хирургического вмешательства. Нами применена адаптированная версия опросника PedsQL для лиц в возрасте 5–7 и 8–12 лет, которая верифицирована в нашей стране [20, 21]. Опросник состоял из 23 вопросов, объединённых в шкалы «физическое функционирование», «эмоциональное функционирование», «социальное функционирование», «ролевое функционирование». В процессе шкалирования данных могут быть получены следующие суммарные баллы: суммарный балл физического компонента качества жизни, суммарный балл психосоциального функционирования — суммарная шкала эмоционального, социального и ролевого функционирования, а также оценивается суммарная шкала (общий балл по всем шкалам опросника).
Оперативное реконструктивное лечение позволило значимо повысить качество жизни в той или иной степени у всех пациентов. Улучшение происходило преимущественно по критериям сокращения пропуска социальных мероприятий/школы по причине болезни или необходимости посещений врача с «почти всегда» до «иногда», уменьшения усталости ребёнка, его тревожности, а также изменения болевого синдрома с оценки «часто» на «иногда» или «никогда» в тех случаях, когда болевой синдром присутствовал до операции. Другие параметры шкал оценки качества жизни практически не изменялись.
Этическая экспертиза
Исследования проводились в соответствии с этическими стандартами Хельсинкской декларации Всемирной медицинской ассоциации «Этические принципы проведения научных медицинских исследований с участием человека» с поправками от 2000 года, «Правилами клинической практики в Российской Федерации», утверждёнными Приказом Минздрава РФ № 266 от 19.06.2003 года. Родители детей, участвовавших в исследовании, присутствовали при его проведении, подтвердили информированное согласие на его проведение и публикацию результатов исследования без идентификации личности.
Статистический анализ
Полученные количественные данные подвергали статистической обработке с использованием программы AtteStat 12.0.5. Статистическое исследование включало описательную статистику: средние значения (М) и стандартное отклонение (SD). Сравнительные исследования производили с применением критерия Вилкоксона для парных выборок данных (до лечения и в момент отдалённой оценки результата). Различия показателей считали статистически значимыми при р ≤0,05.
РЕЗУЛЬТАТЫ
Средние значения оценки качества жизни до лечения и в отдалённом периоде представлены в табл. 1.
Таблица 1. Значения оценки качества жизни у пациентов, М±σ
Table 1. Values for assessing quality of life in patients, М±σ
Параметры оценки качества жизни | Пациенты с GMFCS V | Пациенты с GMFCS IV | ||
До операции | Через 9–18 месяцев после лечения | До операции | Через 9–18 месяцев после лечения | |
Физическое функционирование | 2,9±2,2 | 12,7±3,9* | 11,4±4,6 | 29,7±10,3* |
Психосоциальное функционирование | 13,4±7,8 | 25,7±10,4* | 43,7±11,6 | 61,2±18,1* |
Общий балл | 13,8±6,4 | 20,4±6,2* | 53,1±12,3 | 85,9±15,4* |
Примечание. * — значимая разница с дооперационным уровнем по критерию Вилкоксона, р <0,05.
Note. * — significant difference from the preoperative level according to the Wilcoxon test, p <0.05.
Как видно из представленных данных, у пациентов обеих групп отмечается весьма низкий исходный уровень физического функционирования. Уровень психосоциального функционирования был несколько выше. Очевидно, что на общий уровень качества жизни решающее влияние оказывало тяжёлое неврологическое заболевание.
В табл. 2 представлены изменения двигательной активности пациентов после проведённого лечения (по данным опросника Gillette).
Таблица 2. Уровни двигательной активности (опросник Gillette), количество случаев
Table 2. Physical activity levels (Gillette questionnaire), number of cases
Группа | До лечения | После лечения | ||||||
Уровень I | Уровень II | Уровень III | Уровень I | Уровень II | Уровень III | Уровень IV | Уровень V | |
GMFCS V; n=13 | 25 | – | – | 24 | 1 | – | – | – |
GMFCS IV; n=43 | 11 | 30 | 2 | – | 8 | 20 | 15 | – |
GMFCS III; n=12 | – | 1 | 11 | – | – | 1 | 2 | 9 |
Естественно, что уровень двигательной активности у пациентов с самыми тяжёлыми неврологическими расстройствами (GMFCS V) не менялся и после операции. Однако в группе GMFCS IV в 8 случаях пациенты стали способны сделать несколько шагов с посторонней помощью (18,6%), 20 человек (46,5%) стали ходить во время сеансов лечебной физкультуры с использованием поддерживающих технических средств, а 15 пациентов (34,9%) даже стали способны ходить в домашних условиях с ходунками и посторонней помощью. Однако ни в одном случае ходьба не стала основным способом передвижения, что естественно для IV уровня нарушения глобальных двигательных функций. В группе пациентов с GMFCS III девять детей (75%) стали самостоятельно передвигаться в домашних условиях со вспомогательными средствами, но без посторонней помощи.
Клинический пример
Рассмотрим клинический пример (рис. 1–5). Пациентка В., 5 лет, ДЦП, спастический тетрапарез, GMFCS V. Ортопедическими осложнениями церебрального паралича, требующими хирургической коррекции, явились левосторонний вывих бедра, двусторонние приводящие контрактуры тазобедренных суставов, сгибательные контрактуры коленных суставов, ретракция трицепсов голеней, в связи с чем было совершенно невозможно придать ребёнку комфортную пассивную позу сидя или осуществлять пассивную вертикализацию с опорой на обе конечности. Родители ребёнка отмечали невозможность использования ортезных изделий, а также обуви при прогулке в коляске. На затруднения в проведении гигиенических манипуляций, присутствие значимого болевого синдрома родители не указывали.
Рис. 1. Фото пациентки В., 5 лет, GMFCS V, до лечения: клинические признаки ретракции аддукторов бёдер, сгибателей коленных суставов, трицепсов голеней, приводяще-сгибательная установка левого бедра, асимметричная поза стоя с полной поддержкой.
Fig. 1. Photo of patient V., 5 years old, GMFCS V, before treatment: clinical signs of retraction of the hip adductors, knee flexors, triceps of the legs, adductor-flexion position of the left hip, asymmetrical standing posture with full support.
Рис. 2. Рентгенограмма таза и компьютерная томограмма пациентки В. до лечения: a — рентгенограмма таза, индекс Reimers 26% (справа), 68% (слева); АИ 23° (справа), 31° (слева); b — фронтальный АИ, 27° (справа), 39° (слева); c — 3D-реконструкция (вид сзади), иллюстрирующая преимущественно заднелатеральную локализацию ацетабулярной дисплазии. АИ — ацетабулярный индекс.
Fig. 2. X-ray of the pelvis and computed tomogram of patient V. before treatment: a — X-ray of the pelvis, Reimers index 26% (right), 68% (left); AI 23° (right), 31° (left); b — frontal AI, 27° (right), 39° (left); c — 3D reconstruction (posterior view), illustrating the predominantly posterolateral localization of acetabular dysplasia. АI — acetabular index.
Рис. 3. Рентгенограмма таза и компьютерная томограмма пациентки В. до лечения: 3D-реконструкция впадин (правая и левая), показывающая в сравнительном аспекте степень левосторонней ацетабулярной дисплазии.
Fig. 3. X-ray of the pelvis and computed tomogram of patient V. before treatment: 3D reconstruction of the cavities (right and left), showing in a comparative aspect the degree of left-sided acetabular dysplasia.
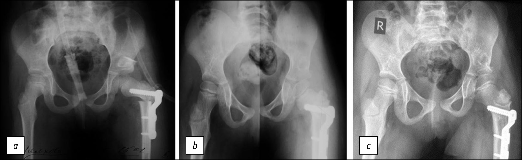
Рис. 4. Рентгенография таза пациентки В.: a — после операции: индекс Reimers 4% (справа), 0% (слева); АИ 23° (справа), 16° (слева); угол Wiberg 23° (справа), 38° (слева), b — через 2 года после операции: индекс Reimers 6% (справа), 0% (слева); АИ 23° (справа), 18° (слева); угол Wiberg 25° (справа), 34° (слева), c — через 3 года после операции: индекс Reimers 4% (справа), 6% (слева); АИ 22° (справа), 20° (слева); угол Wiberg 28° (справа), 32° (слева). АИ — ацетабулярный индекс.
Fig. 4. X-ray of the pelvis of patient V.: a — after surgery: Reimers index 4% (right), 0% (left); AI 23° (right), 16° (left); Wiberg angle 23° (right), 38° (left), b — 2 years after surgery: Reimers index 6% (right), 0% (left); AI 23° (right), 18° (left); Wiberg angle 25° (right), 34° (left), c — 3 years after surgery: Reimers index 4% (right), 6% (left); AI 22° (right), 20° (left); Wiberg angle 28° (right), 32° (left). АI — acetabular index.
Рис. 5. Пациентка В. через 3 года после оперативного лечения: a — иллюстрация амплитуды движений в оперированном тазобедренном суставе, b — комфортная симметричная поза сидя, вертикализация в ортезном изделии с отводящей антиротационной системой.
Fig. 5. Patient В. 3 years after surgical treatment: a — illustration of the range of motion in the operated hip joint, b — comfortable symmetrical sitting position, verticalization in an orthosis with an abductor anti-rotation system.
До лечения оценка качества жизни соответствовала среднему баллу 12,5 для физического и 28,3 для психосоциального функционирования.
Пациентке было выполнено одномоментное двустороннее вмешательство: удлинение аддукторов бёдер и изящной мышцы, удлинение полусухожильной и полуперепончатой мышц, удлинение ахиллова сухожилия, а также левосторонняя деротационно-варизирующая остеотомия бедренной кости с остеосинтезом накостной пластиной с угловой стабильностью и ацетабулопластика San Diego.
В ближайшем и отдалённом послеоперационном периоде в программу реабилитации пациентки также входили постуральный менеджмент, контроль спастичности, рациональное ортезирование, регулярная пассивная вертикализация с полной осевой нагрузкой на конечности.
При контрольном осмотре через 3 года наблюдалась достаточная и симметричная амплитуда пассивных движений в тазобедренных суставах. Родители отмечали возможность комфортной позы сидя, не ограниченной по времени, что позволило увеличить длительность прогулок, и появилась возможность посещений социальных мероприятий. Пассивная вертикализация применялась с помощью ортезных изделий без каких-либо затруднений. Анатомически правильная форма стоп и их опороспособность были достигнуты и сохранялись в течение всего периода наблюдения. Болевой синдром отсутствовал полностью. На момент последнего осмотра оценка качества жизни соответствовала среднему баллу 25,0 для физического и 43,8 для психосоциального функционирования.
ОБСУЖДЕНИЕ
Согласно Международной классификации функционирования, ограничений жизнедеятельности и здоровья (2001), цель лечения, сопровождения таких пациентов должна быть направлена на поддержание ежедневной активности, возможности сохранения комфортной позы сидя, возможности стоять при перемещении, например, с кровати на кресло-каталку, предотвращение болевого синдрома, сохранение вовлечённости в социальную жизнь, сохранение способности выполнять определённые целенаправленные действия в адаптированной среде и не потерять их вследствие развития ортопедических осложнений во взрослом возрасте, когда главной проблемой становится болевой синдром, обусловленный развитием коксартроза, и невозможность сохранения комфортной позы сидя и даже лёжа. Подтверждение этому положению можно найти в работах U.G. Narayanan с соавт. (2006) [22] и N.H. Jung с соавт. (2014) [23], в которых показана прямая корреляционная связь между степенью латерализации головки бедренной кости (индексом Reimers) и степенью ухудшения качества жизни у детей с ДЦП, изученной с помощью Caregiver Priorities and Child Health Index of Life with Disabilities. Krebs с соавт. (2008) также относят к показаниям для реконструкции тазобедренного сустава улучшение качества жизни с точки зрения снижения болевого синдрома, улучшения условий для мобильности, движений, ухода.
Значение постурального менеджмента у детей с тяжёлыми формами ДЦП заключается в том, что пассивная вертикальная поза с осевой симметричной нагрузкой на нижние конечности способствует формированию и развитию тазобедренных суставов, предотвращению вывиха бедра [24]. С другой стороны, вертикальная поза полезна для функционирования внутренних органов, увеличения вовлечённости пациента, его социализации [25]. Однако затруднения или невозможность пассивной вертикализации обусловлены не только контрактурами или вывихами тазобедренного сустава. Среди других ортопедических проблем у детей с уровнями поражения IV–V по GMFCS описаны сгибательные контрактуры коленного сустава, выраженные деформации стоп [13, 26]. Именно поэтому для эффективного проведения постуральной коррекции в послеоперационном периоде требуется не только устранение вывиха бедра, но и симультанные оперативные вмешательства по поводу контрактур коленных и голеностопных суставов и деформаций стоп. Именно поэтому мы придерживаемся тактики выполнения реконструктивных вмешательств на тазобедренных суставах в рамках многоуровневых вмешательств, когда одной операцией достигается устранение патологии всей биомеханической оси нижней конечности [27].
В исследуемой группе пациентов такая тактика обеспечила, помимо требуемого анатомо-функционального результата [28], выражающегося в сохранении возможности проведения беспрепятственного постурального менеджмента, включая пассивную вертикализацию с полноценной опорой на нижние конечности в отдалённом периоде наблюдения у 96,8% оперированных пациентов [27], и улучшение качества жизни в отдалённом периоде — повышение физического и психосоциального функционирования. Отметим, что увеличение двигательной активности не происходило у больных с уровнем V по GMFCS с крайне тяжёлыми неврологическими проявлениями спастического паралича.
ЗАКЛЮЧЕНИЕ
Выполнение многоуровневых вмешательств, включающих реконструктивную операцию на тазобедренном суставе, у детей с тяжёлыми формами ДЦП ведёт к повышению качества жизни в плане и физического, и психосоциального функционирования. Увеличение двигательной активности происходит лишь у больных с уровнями поражения III и IV по GMFCS, когда после операции в отдалённом периоде появляется или улучшается возможность передвижения с помощью технических средств реабилитации во время сеансов кинезиотерапии или в домашних условиях. Важно понимать, что ходьба со вспомогательными средствами может стать основным способом передвижения лишь у пациентов с уровнем поражения III по GMFCS.
ДОПОЛНИТЕЛЬНО
Вклад авторов. Все авторы подтверждают соответствие своего авторства международным критериям ICMJE (все авторы внесли существенный вклад в разработку концепции, проведение исследования и подготовку статьи, прочли и одобрили финальную версию перед публикацией).
Источник финансирования. Авторы заявляют об отсутствии внешнего финансирования при проведении исследования и подготовке публикации.
Конфликт интересов. Авторы декларируют отсутствие явных и потенциальных конфликтов интересов, связанных с проведённым исследованием и публикацией настоящей статьи.
Информированное согласие на публикацию. Авторы получили письменное согласие представителей пациентки на публикацию медицинских данных и фотографий (май 2014 г.).
ADDITIONAL INFO
Author contribution. All authors made a substantial contribution to the conception of the work, acquisition, analysis, interpretation of data for the work, drafting and revising the work, final approval of the version to be published and agree to be accountable for all aspects of the work.
Funding source. This study was not supported by any external sources of funding.
Competing interests. The authors declare that they have no competing interests.
Consent for publication. Written consent was obtained from the patient for publication of relevant medical information and all of accompanying images within the manuscript (May 2014).
About the authors
Akhmed D. Tomov
Priorov Central Institute for Trauma and Orthopedics
Email: doc0645@mail.ru
ORCID iD: 0009-0001-2981-7722
SPIN-code: 2949-6153
MD, Cand. Sci. (Med.)
Russian Federation, 10 Priorova str., Moscow, 127299Dmitriy A. Popkov
Priorov Central Institute for Trauma and Orthopedics; Ilizarov National Medical Research Center of Traumatology and Orthopedics
Author for correspondence.
Email: dpopkov@mail.ru
ORCID iD: 0000-0002-8996-867X
SPIN-code: 6387-0545
MD, Dr. Sci. (Med.), professor of the Russian Academy of Sciences
Russian Federation, 10 Priorova str., Moscow, 127299; KurganReferences
- Cornell MS, Hatrick NC, Boyd R, Baird G, Spencer JD. The hip in children with cerebral palsy. Clin Orthop. 1997;(340):165–171. doi: 10.1097/00003086-199707000-00021
- Ackerly S, Vitztum C, Rockley B, Olney B. Proximal femoral resection for subluxation or dislocation of the hip in spastic quadriplegia. Dev Med Child Neurol. 2003;45(7):436–440. doi: 10.1017/s0012162203000823
- Soo B, Howard JJ, Boyd RN, et al. Hip displacement in cerebral palsy. J Bone Joint Surg Am. 2006;88(1):121–129. doi: 10.2106/JBJS.E.00071
- Mc Manus V, Corcoran P, Perry IJ. Participation in everyday activities and quality of life in pre-teenage children living with cerebral palsy in South West Ireland. BMC Pediatr. 2008;8:50. doi: 10.1186/1471-2431-8-50.
- Valencia FG. Management of hip deformities in cerebral palsy. Orthop Clin N Am. 2010;41(4):549–59. doi: 10.1016/j.ocl.2010.07.002
- Brooks J, Day S, Shavelle R, Strauss D. Low weight, morbidity, and mortality in children with cerebral palsy: new clinical growth charts. Pediatrics. 2011;128(2):299–307. doi: 10.1542/peds.2010-2801
- Terjesen T. The natural history of hip development in cerebral palsy. Dev Med Child Neurol. 2012;54(10):951–7. doi: 10.1111/j.1469-749.2012.04385.x
- Hägglund G, Lauge-Pedersen H, Persson M. Radiographic threshold values for hip screening in cerebral palsy. J Child Orthop. 2007;1(1):43–47. doi: 10.1007/s11832-007-0012-x
- Hanna SE, Rosenbaum PL, Bartlett DJ, et al. Stability and decline in gross motor function among children and youth with cerebral palsy aged to 2 to 21 years. Dev Med Child Neurol. 2009;51(4):205–302. doi: 10.1111/j.1469-8749.2008.03196.x
- Karamitopoulos MS, Nirenstein L. Neuromuscular Foot: Spastic Cerebral Palsy. Foot Ankle Clin. 2015;20(4):657–668. doi: 10.1016/j.fcl.2015.07.008
- Bleck EE. Forefoot problems in cerebral palsy. Diagnosis and management. Foot and Ankle. 1984;4(4):188–194. doi: 10.1177/107110078400400405
- Fulford GE. Surgical management of ankle and foot deformities in cerebral palsy. Clin. Orthop. 1990;253:55–61.
- Miller F. Cerebral Palsy. New York: Springer Science & Business Media; 2005. 1055 р.
- Lebarbier P, Penneçot G. L’infirmité motrice d’origine cérébrale (IMOC). Rev Chir Orthop. 2006;92(4):393–395. doi: 10.1016/s0035-1040(06)75782-8
- Horstmann HM, Hosalkar H, Keenan MA. Orthopaedic issues in the musculoskeletal care of adults with cerebral palsy. Dev Med Child Neurol. 2009;51 Suppl 4:99–105. doi: 10.1111/j.1469-8749.2009.03417.x
- Novacheck TF, Stout JL, Gage JR, Schwartz MH. Distal femoral extension osteotomy and patellar tendon advancement to treat persistent crouch gait in cerebral palsy. Surgical technique. J Bone Joint Surg Am. 2009;91 Suppl 2:271–86. doi: 10.2106/JBJS.I.00316
- Tomov AD, Diachkov KA, Popkov DA. Clinical and radiographic results of multilevel surgical interventions forhip subluxation and dislocation in children with cerebral palsy. Orthopaedic Genius. 2018;24(1):24–32. doi: 10.18019/1028-4427-2018-24-1-24-32
- Gorton GE 3rd, Stout JL, Bagley AM, et al. Gillette Functional Assessment Questionnaire 22-item skill set: factor and Rasch analyses. Dev Med Child Neurol. 2011;53(3):250–5. doi: 10.1111/j.1469-8749.2010.03832.x
- Varni JW, Seid M, Kurtin PS. PedsQL 4.0: reliability and validity of the Pediatric Quality of Life Inventory version 4.0 generic core scales in healthy and patient populations. Med Care. 2001;39(8):800–12. doi: 10.1097/00005650-200108000-00006
- Nikitina TP, Kishtovich AV, Moiseenko EI, Sabirova AV. Research on quality of life in pediatrics: development of the Russian version of the PedsQL 4.0 Generic Core Scales questionnaire to assess the quality of life of children aged 8–12 years. Vestnik Mezhnacional’nogo centra issledovaniya kachestva zhizni. 2003;(1–2):35–41. (In Russ). EDN: YMOACT
- Sosnina SF, Volosnikov DK. The quality of life of adolescents living in a closed administrative territorial unit. Voprosy sovremennoj pediatrii. 2010;9(5):10–13. EDN: MXGCDN
- Narayanan UG, Fehlings D, Weir S, et al. Initial development and validation of the Caregiver Priorities and Child Health Index of Life with Disabilities (CPCHILD). Developmental medicine and child neurology. 2006;48(10):804–812. doi: 10.1017/S0012162206001745
- Jung NH, Pereira B, Nehring I, et al. Does hip displacement influence health-related quality of life in children with cerebral palsy? Dev Neurorehabil. 2014;17(6):420–425. doi: 10.3109/17518423.2014.941116
- Gough M. Continuous postural management and the prevention of the deformity in children with cerebral palsy: an appraisal. Dev Med child neurol. 2009;51(2):105–10. doi: 10.1111/j.1469-8749.2008.03160.x
- Ozturk M, Oktem F, Kisioglu N, et al. Bladder and bowel control in children with cerebral palsy: case-control study. Croat Med J. 2006;47(2):264–270.
- Tomov AD, Teplenky MP, Aranovich AM, et al. Roentgenoanatomy of the hip joint following reconstructive intervention in children with spastic cerebral palsy. Orthopaedic Genius. 2020;26(1):50–56. doi: 10.18019/1028-4427-2020-26-1-50-56
- Tomov AD. Multilevel surgical orthopedic treatment of children with hip dislocations against the background of spastic forms of cerebral palsy [dissertation]. Kurgan; 2021. 140 р. (In Russ). EDN: RBGOBO
- Tomov AD, Chibirov G, Ducic S, et al. Reconstructive Hip Surgery as a Part of Multilevel Surgery in Non-Ambulant CP Children. Hip Development after Reconstructive Surgery. Popkov D.A., editor. New York: Nova Science Publishers Inc.; 2012.
Supplementary files








