Avascular necrosis of the femoral head in combination with septic arthritis of the hip joint
- Authors: Kudashev D.S.1, Svetlova G.N.1, Sefedinova M.Y.1, Zuev-Ratnikov S.D.1, Knyazev A.A.1
 - 
							Affiliations: 
							
- Samara State Medical University
 
 - Issue: Vol 31, No 1 (2024)
 - Pages: 91-100
 - Section: Clinical case reports
 - Submitted: 19.10.2023
 - Accepted: 28.11.2023
 - Published: 25.04.2024
 - URL: https://journals.eco-vector.com/0869-8678/article/view/611077
 - DOI: https://doi.org/10.17816/vto611077
 - ID: 611077
 
Cite item
Full Text
Abstract
BACKGROUND: The combined course of avascular necrosis of the femoral head and septic arthritis of the hip joint is extremely rare and not always timely diagnosed. Analysis of specialized foreign literature revealed only single descriptions of clinical cases of combined lesions of the hip joint (avascular necrosis of the femoral head and septic arthritis). However, these studies do not describe the surgical treatment algorithms of patients. While analyzing the sources of domestic literature for the last 10 years, we did not encounter descriptions of such clinical cases.
CLINICAL CASE DESCRIPTION: A 38-year-old patient was diagnosed with avascular necrosis of the femoral head with concomitant septic arthritis of the hip joint. During the preoperative period, a diagnostic puncture of the hip joint with subsequent cytologic and microbiological examination of synovial fluid was performed. Growth of the Staphylococcus aureus strain was observed. Because primary hip arthroplasty was contraindicated and isolated conservative treatment of bacterial arthritis aggravated the course of avascular necrosis, the patient underwent two-stage surgical treatment. The first stage was femoral head resection with installation of a spherical cement spacer impregnated with antibiotics, and the second stage was total hip arthroplasty after the inflammatory process had subsided. The postoperative period of each surgical stage proceeded without complications. It was possible to achieve microorganism eradication; eliminate the chronic inflammatory process, which was confirmed clinically and laboratory; ensure the possibility of total hip arthroplasty; and restore the limb-bearing capacity, extent of motion in the joint, and quality of life of the patient.
CONCLUSION: The clinical observation confirms the need for detailed diagnosis in patients with an atypical course of avascular necrosis of the femoral head and demonstrates a successful treatment option in such cases.
Full Text
ВВЕДЕНИЕ
Аваскулярный остеонекроз головки бедренной кости (АНГБК), или асептический некроз, — тяжёлое поражение, характеризующееся формированием некроза костной ткани, приводящее к развитию вторичного остеоартроза тазобедренного сустава с последующей инвалидизацией пациентов [1, 2]. В подавляющем большинстве случаев данная патология развивается у лиц молодого, трудоспособного возраста (средний возраст — 35–45 лет), что выраженно сказывается на их трудоспособности и качестве жизни [3–5]. Этиология АНГБК включает в себя различные общие и местные факторы, среди которых в качестве наиболее значимых выделяют следующие: перенесённая травма (как значительная однократная, так и серия хронических микротравматизаций), хронические интоксикации, врождённые и приобретённые коагулопатии, длительный приём ряда лекарственных препаратов, в том числе глюкокортикостероидов (ГКС) [6]. Следует отметить, что в настоящее время остеонекроз, в том числе с поражением головки бедренной кости, рассматривают как одно из патологических проявлений синдрома «длительного COVID-19» (long COVID-19), наблюдающееся у 5–58% пациентов, перенёсших тяжёлую форму COVID-19 [3].
Характерно, что прогноз прогрессии заболевания ассоциируется с размером патологических изменений: поражения, захватывающие менее 15% головки бедренной кости, могут полностью восстановиться на фоне лечения, а поражения, занимающие более 50% головки бедра, с высокой вероятностью прогрессируют до коллапса и в итоге требуют тотального эндопротезирования сустава. При этом более чем 50% пациентам в первые 3 года после начала заболевания выполняется тотальное эндопротезирование тазобедренного сустава [7].
Септический артрит в изолированном варианте представляет собой заболевание, характеризующееся непосредственной инвазией синовиальной оболочки микроорганизмами, наиболее часто бактериями [9]. Ведущим этиологическим агентом является Staphylococcus aureus (до 80%), при этом в последнее время увеличивается количество штаммов Staphylococcus aureus, резистентных к метициллину (Methicillin-resistant Staphylococcus aureus, MRSA) [9, 10]. Септический артрит нередко осложняет течение аутоиммунных и системных заболеваний соединительной ткани, наиболее часто ревматоидного артрита, подагрического артрита, а также остеомиелитического процесса и последствий травм крупных суставов. Несвоевременная диагностика бактериального артрита или её отсутствие может привести к выраженным деструктивным изменениям суставных поверхностей с формированием обширных хрящевых и костных дефектов, анкилозу [11, 12].
Крайне редким и не всегда своевременно диагностируемым является сочетанное течение аваскулярного некроза головки бедренной кости и септического артрита тазобедренного сустава. При анализе зарубежной литературы мы встретили всего несколько описаний клинических случаев комбинированного поражения тазобедренного сустава (АНГБК и септический артрит) у пациентов с иммуносупрессивными или онкологическими заболеваниями [13]. Однако в указанных работах отсутствует описание алгоритмов оперативного лечения пациентов. В систематическом обзоре, посвящённом наблюдению ряда случаев аваскулярного остеонекроза головки бедренной кости у пациентов, перенёсших COVID-19, коллективом авторов проанализировано 104 клинических случая, из которых сопутствующий септический артрит наблюдался лишь в 4,4% [14–16]. При анализе источников отечественной литературы за последние 10 лет мы не встретили описания подобных клинических случаев.
ОПИСАНИЕ КЛИНИЧЕСКОГО СЛУЧАЯ
Пациент С., 1985 года рождения, 5 октября 2021 года поступил в COVID-госпиталь Центральной районной больницы по месту жительства с жалобами на лихорадку, кашель с отхождением мокроты, общее недомогание, слабость. При дообследовании диагностирована двусторонняя пневмония. Было начато консервативное лечение согласно актуальным на тот момент временным клиническим рекомендациям, включая системное применение глюкокортикостероидов. Дебют болевого синдрома в области левого бедра пациент отметил спустя 2 недели от старта заболевания. Боль локализовалась в области проксимального отдела левого бедра с иррадиацией в левый коленный сустав, левую голень, носила выраженный и постоянный характер. В последующем болевой синдром привёл к резкому ограничению опороспособности конечности. Пациент проводил самостоятельное лечение нестероидными противовоспалительными средствами (НПВС), анальгетиками; после обращения в лечебное учреждение по месту жительства ему были назначены лечение бетаметазоном 1 мл внутримышечно однократно и курс НПВС внутримышечно № 5. На этом фоне пациент стал отмечать улучшение.
С ноября 2022 года пациента вновь стали беспокоить боли в области левой нижней конечности в покое и при нагрузке. Болевой синдром пациент купировал самостоятельно приёмом НПВС. Амбулаторно была выполнена магнитно-резонансная томография (МРТ) поясничного отдела позвоночника, пациент консультирован нейрохирургом, и ему была назначена терапия дексаметазоном в/в № 7. На фоне лечения стал отмечать улучшение общего самочувствия. Спустя месяц эпизод болевого синдрома повторился вновь и был впервые сопряжён с повышением температуры тела до 38,5 °С. С 28 декабря 2022 г. находился на стационарном лечении в нейрохирургическом отделении, где получал консервативную терапию (ГКС, антибактериальная терапия, НПВС) без выраженного клинического эффекта. Повторно была выполнена МРТ поясничного отдела позвоночника с захватом тазобедренных суставов, по результатам которой впервые было диагностировано двустороннее поражение головок обеих бедренных костей.
На фоне постоянных эпизодов лихорадки, а также учитывая высокие эпидемиологические риски того периода времени пациенту вновь была проведена компьютерная томография органов грудной клетки и диагностирован рецидив двусторонней пневмонии, с высокой вероятностью вирусного генеза. На фоне отсутствия положительной динамики 19.01.2023 г. пациент был госпитализирован в инфекционное отделение клиник Самарского государственного медицинского университета (СамГМУ). В это время боли в области левого тазобедренного сустава усилились, и пациент для передвижения начал использовать дополнительные средства опоры. Эпизоды повышения температуры тела сохранялись до субфебрильных цифр. При поступлении отмечены изменения в клинико-лабораторных показателях: лейкоциты — 9,7×109/л, С-реактивный белок (СРБ) — 162,2 мг/л, скорость оседания эритроцитов (СОЭ) — 33 мм/час.
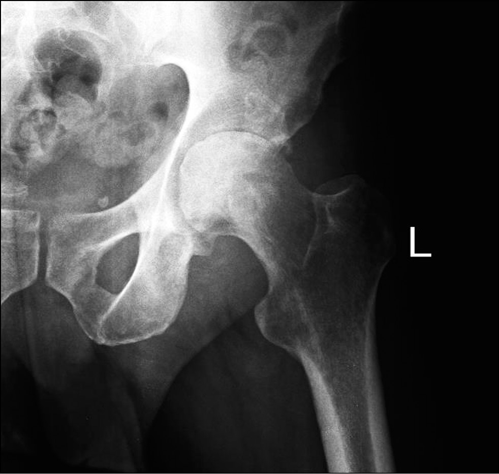
На фоне эмпирической антибактериальной терапии было отмечено снижение уровня лабораторных показателей маркеров воспаления — СРБ, количества лейкоцитов, уровня прокальцитонина. В процессе лечения пациент был консультирован травматологом-ортопедом, которым был поставлен диагноз — асептический некроз головок бедренных костей: слева — III степени, справа — I степени (по ARCO). Вторичный остеоартроз тазобедренного сустава III степени (Kellgren–Lawrence) (рис. 1).
Рис. 1. Рентгенограмма тазобедренного сустава пациента С., 38 лет, в прямой проекции до операции.
В связи с невозможностью выполнения тотального эндопротезирования тазобедренного сустава, обусловленной крайне высоким риском инфекционных осложнений, пациенту была назначена комплексная консервативная терапия.
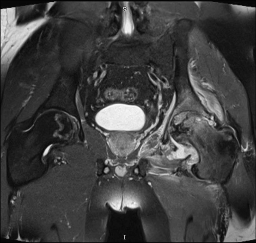
В марте 2023 года пациент был госпитализирован в хирургическое отделение № 2 клиники пропедевтической хирургии (отделение гнойной хирургии) клиник СамГМУ с подозрением на септический коксит слева, некроз головки левой бедренной кости. При поступлении уровень лейкоцитов составлял 11,3×109/л, СРБ — 97,3 мг/л, СОЭ — 24 мм/час. Дополнительные инструментальные исследования не выявили септических очагов иной локализации. При повторном проведении МРТ тазобедренных суставов были выявлены следующие изменения: резко выраженный синовит, выраженная гипертрофия суставной капсулы, отёк периартикулярных мягких тканей, не свойственные для типичной картины АНГБК (рис. 2).
Рис. 2. Предоперационная магнитно-резонансная томограмма тазобедренных суставов пациента С., 38 лет, в коронарной проекции.
С целью оценки клинико-функционального статуса пациента нами были использованы шкалы-опросники: Harris Hip Score (результат пациента — 17 баллов), визуальная аналоговая шкала боли (ВАШ) (8–9 баллов).
Неоднократно вставал вопрос о проведении резекции головки левой бедренной кости в качестве единственного возможного варианта санации септического очага. Учитывая, что основными предикторами, указывающими на неасептический характер процесса, оставались эпизоды лихорадки, стойкое повышение маркеров воспаления, а также беря во внимание декорреляцию лабораторных показателей, клинических и инструментальных методов исследования, не характерных для аваскулярного остеонекроза, было принято решение о более детальной диагностике и подтверждении бактериальной природы заболевания. С помощью пункционной аспирации синовиальной жидкости тазобедренного сустава под рентгеноскопическим контролем был произведён забор материала. Макроскопически синовиальная жидкость без взвеси, патологических включений, фибрина, геморрагического компонента. Тест на лейкоцитарную эстеразу положительный. Бактериологическое исследование верифицировало микробную контаминацию Staphylococcus aureus. Лабораторные показатели продолжали демонстрировать рост маркеров воспаления: СРБ — 152,1 мг/л, СОЭ — 25 мм/ час. Учитывая нестандартность клинической ситуации и отсутствие известных алгоритмов лечения в подобных клинических случаях, было принято решение о проведении пациенту двухэтапного оперативного лечения: первый этап (санирующий/резекционный) — резекция головки бедренной кости с установкой шаровидного цементного спейсера, импрегнированного антибиотиками; второй этап (реконструктивный/пластический), после купирования воспалительного процесса, — тотальное эндопротезирование тазобедренного сустава.
Первый этап оперативного лечения
Операция выполнена 05.05.2023 г. Произведён доступ к капсуле сустава. При ревизии наблюдается гипертрофия последней, периартикулярных мягких тканей. После капсулотомии в рану выделилось обильное количество мутной синовиальной жидкости с геморрагическим компонентом (более 50 мл). Интраоперационный тест на лейкоцитарную эстеразу положительный. Интраоперационное цитологическое исследование синовиальной жидкости: цитоз — 22 543 с преобладанием нейтрофилов (91,3%). Иссечённые параартикулярные ткани отправлены на гистологическое экспресс-исследование: при подсчёте в пяти полях зрения с увеличением ×400 выявлены полиморфноядерные нейтрофилы с чётко определяемой цитоплазматической границей в количестве значительно более пяти элементов.
Головка и шейка бедра вывихнуты в операционную рану. Суставной хрящ головки бедренной кости практически отсутствует, качество костной ткани головки, шейки и проксимального метаэпифиза бедренной кости резко снижено. При осуществлении вывиха произошёл патологический перелом (продольный раскол) в области шейки бедренной кости. Был произведён остеосинтез металлофиксатором (винтом). Выполнена шаблонная резекция шейки бедра, головка удалена. Произведено освобождение вертлужной впадины от фиброзно изменённых мягких тканей, с помощью риммеров осуществлено удаление патологически изменённого суставного хряща и субхондральной костной ткани вертлужной впадины. Перед установкой спейсера выполнены санация, ультразвуковая кавитация вертлужной впадины, параартикулярных тканей с раствором бетадина (в концентрации 1,3 г/л). К костному цементу Surgical Simplex P (40 г) добавлено 2 г порошка ванкомицина и 2 г порошка цефтриаксона, и смоделирован шаровидный спейсер. В качестве ориентира для формирования спейсера необходимого диаметра мы использовали риммер, которым предварительно определили диаметр вертлужной впадины (в нашем случае диаметр составлял 47 мм). Сформированный спейсер помещён в вертлужную впадину. После вправления проведена ревизия: объём пассивных движений в пределах физиологической нормы, тенденции к миграции спейсера нет. Операция завершена послойным ушиванием раны без оставления дренажей. На контрольной рентгенограмме определяется цементный шаровидный спейсер в вертлужной впадине (рис. 3).
Рис. 3. Послеоперационная контрольная рентгенограмма пациента С., 38 лет, на 5-е сутки после операции.
В послеоперационном периоде пациенту назначена парентеральная антибактериальная терапия: ванкомицин 1,0 г в/в 2 раза в день, рифампицин 300,0 мг в/в 2 раза в день. Лабораторный контроль на вторые сутки после оперативного вмешательства: СРБ — 26,7 мг/л, фибриноген — 4,72 г/л, СОЭ — 47 мм/ч. На 11-е сутки после оперативного вмешательства: СРБ — 20,2 мг/л, фибриноген — 4,0 г/л, СОЭ — 25 мм/ч. Рана зажила первичным натяжением, пациент выписан на 16-е сутки после операции.
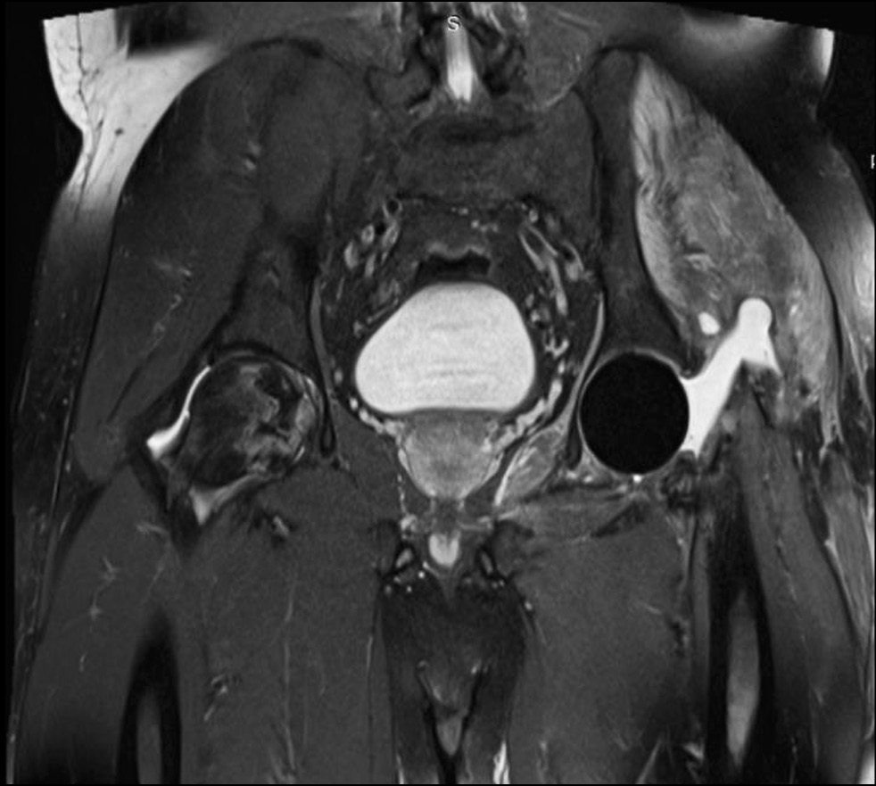
При выписке пациенту назначена амбулаторная схема пероральной антибактериальной терапии: ципрофлоксацин 750 мг 2 раза в день, рифампицин 450 мг 2 раза в день в течение 6 недель. На амбулаторном этапе пациент стал отмечать снижение болевого синдрома, передвигался с помощью костылей, эпизодов повышения температуры тела не наблюдалось. В динамике — стойкое снижение лабораторных маркеров системного воспаления: через 3 недели после операции СРБ — 15,4 мг/л, фибриноген — 3,53 г/л, СОЭ — 23 мм/ч. Через 6 недель после операции СРБ — 13,2 мг/л, фибриноген — 2,8 г/л, СОЭ — 18 мм/ч. Через 9 недель после операции СРБ — 8,0 мг/л, фибриноген — 2,8 г/л, СОЭ — 13 мм/ч. Оценка по шкале Harris Hip Score — 36 баллов, по ВАШ — 4–5 баллов. Оценка указанных клинико-лабораторных данных позволила предположить купирование воспалительного процесса. Для подтверждения этого амбулаторно была выполнена пункция тазобедренного сустава под рентгеноскопическим контролем для лабораторной оценки синовиальной жидкости. Экспресс-тест на лейкоцитарную эстеразу отрицательный, микробиологический анализ синовиальной жидкости — без роста. На контрольной МРТ тазобедренного сустава признаки артрита также отсутствовали (рис. 4).
Рис. 4. Послеоперационная магнитно-резонансная томограмма тазобедренных суставов пациента С., 38 лет, в коронарной проекции.
Учитывая положительную динамику, купирование воспалительного процесса, нормализацию лабораторных показателей, пациенту в плановом порядке проведён второй этап оперативного лечения — тотальное эндопротезирование тазобедренного сустава.
Второй этап оперативного лечения
Операция выполнена 19.07.2023 г. Проведён доступ к капсуле сустава и проксимальному отделу бедра в проекции послеоперационного рубца с иссечением последнего. Выполнено иссечение рубцовых и фиброзно изменённых параартикулярных мягких тканей. Интра- операционное исследование синовиальной жидкости: тест на лейкоцитарную эстеразу отрицательный. Интра- операционное цитологическое исследование синовиальной жидкости: цитоз — 355 кл/мкл. Гистологическое экспресс-исследование параартикулярных тканей: в пяти полях зрения с наиболее плотным клеточным инфильтратом, с увеличением ×400 полиморфноядерные нейтрофилы с чётко определяемой цитоплазматической границей не выявлены.
В области проксимального отдела бедренной кости визуализирован металлофиксатор (винт), произведено его удаление. Проксимальный отдел бедра выведен в операционную рану, при ревизии отмечается выраженное снижение костной плотности проксимального отдела бедра. При дальнейшей ревизии визуализирован шаровидный спейсер, произведено его удаление. После щадящего риммирования в правильном анатомическом положении установлен вертлужный компонент эндопротеза press-fit, вкладыш из высокомолекулярного полиэтилена. Ревизия: вертлужный компонент стабилен. Костно-мозговой канал бедра обработан рашпилями, в правильном анатомическом положении установлен бедренный компонент эндопротеза press-fit. После примерки установлена головка эндопротеза тазобедренного сустава. Вправление, ревизия: сустав стабилен. Операция завершена послойным ушиванием раны. Контрольная рентгенография выполнена на 2-е сутки после проведённого оперативного лечения (рис. 5).
Рис. 5. Рентгенография тазобедренного сустава пациента С., 38 лет, на 2-е сутки после проведённого тотального эндопротезирования.
После проведённого оперативного лечения в рамках первого этапа достигнута элиминация микробного агента и системного воспалительного ответа с сохранением опороспособности и объёма движения конечности. Это было подтверждено клинически и лабораторно. Необходимыми диагностическими методами исследования в периоперационном периоде являются пункция тазобедренного сустава, контроль лабораторных показателей, оценка общего статуса. Анализ синовиальной жидкости нативного сустава — St. aureus, перед вторым этапом ревизионного эндопротезирования — без роста. Цитоз синовиальной жидкости до установки спейсера — 22 543 с преобладанием нейтрофилов (91,3%); во время второго этапа — 355 кл/мкл. Клинико-функциональная оценка проведена по шкале Harris Hip Score: до операции сумма баллов составляла 17, после проведённого первого этапа — 36, через 3 месяца после эндопротезирования — 67. Оценка болевого синдрома оценивалась по визуально-аналоговой шкале: в предоперационном периоде она составила 8–9 баллов, после первого этапа — 4–5 баллов, через 3 месяца после эндопротезирования — 1 балл.
ОБСУЖДЕНИЕ
Проведение двухэтапного оперативного лечения может быть крайне актуальным для пациентов с сочетанным течением аваскулярного некроза головки бедренной кости, осложнённого септическим артритом тазобедренного сустава. Это обусловлено тем, что в данном случае, с одной стороны, проведение первичного эндопротезирования тазобедренного сустава противопоказано, а с другой — изолированное консервативное лечение бактериального артрита усугубляет течение остеонекроза [18]. Несмотря на то, что в настоящее время нет общепринятых критериев диагностики при подозрении на наличие септического артрита, необходимо, на наш взгляд, помимо общеклинических и физикальных исследований в обязательном порядке проводить детальное исследование синовиальной жидкости. Микробиологическое исследование при этом необходимо выполнять при отсутствии фоновой антибактериальной терапии (с её отменой минимум за 14 дней до исследования), на подходящих культуральных средах. Обязательными являются цитологическое исследование и подсчёт количества лейкоцитов в 1 мкл. При бактериальном артрите уровень цитоза с преобладанием нейтрофилов (более 85%) превышает таковой при иных воспалительных процессах. Установлено, что если число лейкоцитов в синовиальной жидкости более 25 000, 50 000, 100 000 мм3, вероятность бактериального артрита возрастает в 2,9, 7,7 и 28 раз соответственно. Кроме этого, одним из обязательных методов диагностики должно являться экстренное интраоперационное гистологическое исследование замороженных образцов параартикулярных тканей. Основываясь на критериях Фельдмана (выявление более 5 нейтрофилов не менее чем в 5 полях зрения при микроскопическом увеличении ×400), можно изменить тактику оперативного лечения в момент проведения ревизионного вмешательства.
Использование шаровидного спейсера, импрегнированного антибиотиками, позволяет ликвидировать септический артрит за счёт элюирования антибиотика в ткани и наибольшей площади контакта с вертлужной впадиной и проксимальным отделом бедра без диссеминации микрофлоры по костно-мозговому каналу бедренной кости; обеспечивает профилактику укорочения конечности и сохранение объёма движений в суставе. Кроме того, шаровидная форма спейсера максимально конгруэнтна по отношению к вертлужной впадине, что позволяет сохранить анатомию последней для последующей установки вертлужного компонента на втором этапе оперативного лечения. Интраоперационное изготовление шаровидного спейсера с учётом размера головки бедренной кости контралатеральной конечности позволяет сохранить функциональную достаточность сустава. Проведённое двухэтапное ревизионное эндопротезирование позволяет полностью восстановить функцию и опороспособность конечности. Что касается периода нахождения спейсера и сроков выполнения второго этапа хирургического лечения, то здесь в качестве аналогии мы можем ориентироваться исключительно на опыт двухэтапного лечения пациентов с перипротезной инфекцией тазобедренного сустава. Следует, однако, отметить, что и он на сегодняшний день не лишён дискуссионных моментов, к которым, в частности, относится и вопрос критериев возможности конверсии антимикробного спейсера на эндопротез. В этом отношении, с нашей точки зрения, одним из ключевых является положение материалов II Международной согласительной конференции по скелетно-мышечной инфекции (2018), указывающее, что «оптимальные сроки реимплантации при двухэтапном эндопротезировании тазобедренного или коленного сустава не установлены. Реимплантация должна выполняться, когда лечащий врач полагает, что инфекция купирована» [19].
ЗАКЛЮЧЕНИЕ
Данный клинический пример демонстрирует, что в ходе диагностического поиска мы столкнулись с верификацией двух патологических состояний, одно из которых, представленное остеонекрозом головки бедра IIIb стадии, сопровождающимся формированием вторичного остеоартроза, является показанием для проведения эндопротезирования сустава, а второе — септический артрит тазобедренного сустава — выступает в качестве абсолютного противопоказания к его выполнению. Представленный нами метод двухэтапного оперативного лечения с использованием на первом этапе шаровидного спейсера, импрегнированного антибиотиками, может быть не лишён дискуссионных моментов, но в данном случае является одним из патогенетически обоснованных вариантов оперативного лечения. Данный клинический случай успешного оперативного лечения показывает, что выбранная тактика вполне оправдана, когда первичное тотальное эндопротезирование тазобедренного сустава противопоказано при наличии сопутствующего септического процесса.
ДОПОЛНИТЕЛЬНО
Вклад авторов. Авторы подтверждают соответствие своего авторства международным критериям ICMJE (все авторы внесли существенный вклад в разработку концепции, проведение исследования и подготовку статьи, прочли и одобрили финальную версию перед публикацией). Наибольший вклад распределён следующим образом: Д.С. Кудашев — хирургическое лечение пациента, редактирование статьи; Г.Н. Светлова — редактирование статьи; М.Ю. Сефединова — хирургическое лечение пациента, обзор литературы, сбор и анализ литературных источников, подготовка и написание текста статьи; С.Д. Зуев-Ратников — хирургическое лечение пациента, сбор и анализ литературных источников; А.А. Князев — курация, обзор литературы, сбор и анализ литературных источников, написание текста статьи.
Источник финансирования. Авторы заявляют об отсутствии внешнего финансирования при проведении исследования и подготовке публикации.
Конфликт интересов. Авторы декларируют отсутствие явных и потенциальных конфликтов интересов, связанных с проведённым исследованием и публикацией настоящей статьи.
Информированное согласие на публикацию. Авторы получили письменное согласие пациента на публикацию медицинских данных и фотографий. Пациент добровольно подписал форму информированного согласия на публикацию персональной медицинской информации в обезличенной форме (дата подписания: 03.05.2023 г.).
ADDITIONAL INFO
Author contribution. All authors made a substantial contribution to the conception of the work, acquisition, analysis, interpretation of data for the work, drafting and revising the work, final approval of the version to be published and agree to be accountable for all aspects of the work. D.S. Kudashev — surgical treatment of the patient, editing of the article; G.N. Svetlova — editing the article; M.Yu. Sefedinova — surgical treatment of the patient, literature review, collection and analysis of literary sources, preparation and writing of the text of the article; S.D. Zuev-Ratnikov — surgical treatment of the patient, collection and analysis of literary sources; A.A. Knyazev — curation, literature review, collection and analysis of literary sources, writing the text of the article.
Funding source. This study was not supported by any external sources of funding.
Competing interests. The authors declare that they have no competing interests.
Consent for publication. Written consent was obtained from the patient for publication of relevant medical information and all of accompanying images within the manuscript (date: 03.05.2023).
About the authors
Dmitry S. Kudashev
Samara State Medical University
														Email: dmitrykudashew@mail.ru
				                	ORCID iD: 0000-0001-8002-7294
				                	SPIN-code: 4180-6470
																		                								
MD, Cand. Sci. (Med.), assistant professor
Russian Federation, SamaraGalina N. Svetlova
Samara State Medical University
														Email: g.n.svetlova@samsmu.ru
				                	ORCID iD: 0000-0001-9400-8609
				                																			                								
MD, Cand. Sci. (Med.)
Russian Federation, SamaraMaria Yu. Sefedinova
Samara State Medical University
							Author for correspondence.
							Email: m.y.sefedinova@samsmu.ru
				                	ORCID iD: 0000-0003-4059-3325
				                	SPIN-code: 6243-8250
																		                												                	Russian Federation, 							Samara						
Sergey D. Zuev-Ratnikov
Samara State Medical University
														Email: s.d.zuev-ratnikov@samsmu.ru
				                	ORCID iD: 0000-0001-6471-123X
				                	SPIN-code: 7415-8060
																		                								
MD, Cand. Sci. (Med.), assistant professor
Russian Federation, SamaraAndrey A. Knyazev
Samara State Medical University
														Email: a.a.knyazev@samsmu.ru
				                	ORCID iD: 0009-0009-6131-0399
				                	SPIN-code: 2499-4504
																		                												                	Russian Federation, 							Samara						
References
- Rackwitz L, Eden L, Reppenhagen S, et al. Stem cell- and growth factor-based regenerative therapies for avascular necrosis of the femoral head. Stem Cell Res Ther. 2012;3(1):7. doi: 10.1186/scrt98
 - Mustafin RN, Khusnutdinova EK. Avascular necrosis of the femoral head. Pacific Medical Journal. 2017;(1):27–35. doi: 10.17238/PmJ1609-1175.2017.1.27-35
 - Torgashin AN, Rodionova SS. Osteonecrosis in Patients Recovering from COVID-19: Mechanisms, Diagnosis, and Treatment at Early-Stage Disease (Review). Traumatology and Orthopedics of Russia. 2022;28(1):128–137. doi: 10.17816/2311-2905-1707
 - Grieser T. Atraumatische und aseptische Osteonekrose großer Gelenke. Radiologe. 2019;59(7):647–662. doi: 10.1007/s00117-019-0560-3
 - Ardakani MV, Parviz S, Ghadimi E, et al. Concomitant septic arthritis of the hip joint and femoral head avascular necrosis in patients with recent COVID-19 infection: a cautionary report. J Orthop Surg Res. 2022;17(1):302. doi: 10.1186/s13018-022-03192-4
 - Agarwala SR, Vijayvargiya M, Pandey P. Avascular necrosis as a part of ‘long COVID-19’. BMJ Case Rep. 2021;14(7):e242101. doi: 10.1136/bcr-2021-242101
 - Torgashin AN, Rodionova SS, Shumsky AA, et al. Treatment of aseptic necrosis of the femoral head. Clinical guidelines. Rheumatology Science and Practice. 2020;58(6):637–645. doi: 10.47360/1995-4484-2020-637-645
 - Ilyinykh EV, Barskova VG, Lidov PI, Nasonov EL. Osteonecrosis. Part 1. Risk factors and pathogenesis. Modern rheumatology. 2013;(1):17–24. doi: 10.14412/1996-7012-2013-2362
 - Belov BS, Muravyeva NV. Bacterial (Septic) Arthritis. Antibiotics and Chemotherapy. 2023;68(3–4):84–91. doi: 10.37489/0235-2990-2023-68-3-4-84-91
 - Bashkova IB, Madyanov IV. Alcohol abuse as an underestimated cause of non-traumatic osteonecrosis of the femoral head (description of clinical cases). Actamedica Eurasica [Internet]. 2021;(4):39–53 [cited 03.11.2022]. Available from: http://acta-medica-eurasica.ru/single/2021/4/5 doi: 10.47026/2413-4864-2021-4-39-53
 - Habermann ET, Friedenthal RB. Septic arthritis associated with avascular necrosis of the femoral head. Clin Orthop Relat Res. 1978;(134):325–31.
 - Zhiping Z, Xiangyu W, Changyao W, et al. Septic Hip Arthritis in Patients with Osteonecrosis of Femoral Head: Two Cases Report and Review of the Literature. 23 November 2020, Preprint (Version 1) available at Research Square. doi: 10.21203/rs.3.rs-112850/v1
 - Tan TJ, Tan SC. Concomitant early avascular necrosis of the femoral head and acute bacterial arthritis by enteric Gram-negative bacilli in four oncologic patients. Singapore Med J. 2013;54(5):e108–12. doi: 10.11622/smedj.2013065
 - Hassan AAA, Khalifa AA. Femoral head avascular necrosis in COVID-19 survivors: a systematic review. Rheumatol Int. 2023;43(9):1583–1595. doi: 10.1007/s00296-023-05373-8
 - Zhang S, Wang C, Shi L, Xue Q. Beware of Steroid-Induced Avascular Necrosis of the Femoral Head in the Treatment of COVID-19 — Experience and Lessons from the SARS Epidemic. Drug Des Devel Ther. 2021;15:983–995. doi: 10.2147/DDDT.S298691
 - Murab S, Hawk T, Snyder A, et al. Tissue Engineering Strategies for Treating Avascular Necrosis of the Femoral Head. Bioengineering (Basel). 2021;8(12):200. doi: 10.3390/bioengineering8120200
 - Wojturska W, Nowakowski J, Pilch W, Biernikowicz M, Korkosz M. Reactive arthritis after vaccination against SARS-CoV-2: A case series and a mini-review. Hum Vaccin Immunother. 2023;19(1):2173912. doi: 10.1080/21645515.2023.2173912
 - Panin MA, Zagorodniy NV, Boiko AV, Petrosyan AS. Total hip arthroplasty in the treatment of severe stages of osteonecrosis of the femoral head and osteoarthritis: results and complications. N.N. Priorov Journal of Traumatology and Orthopedics. 2022;29(4):345–353. doi: 10.17816/vto109955
 - Tikhilov RM, Bozhkova SA, Shubnyakov II, editors. Materials of the Second International Conciliation Conference on musculoskeletal infection. St. Petersburg: RNIITO named after R.R. Vreden, 2019. 314 р. (In Russ).
 
Supplementary files
				
			
					
						
						
									






