A clinical case of sacrum and coccyx chordoma having a massive intrapelvic component (surgical treatment with a brief review of the literature)
- Authors: Nazarenko A.G.1, Karpenko V.Y.1, Kolondaev A.F.1, Lyubeznov N.A.1, Berchenko G.N.1, Karpov I.N.1, Alekseev M.V.2, Kuzminov A.M.2, Alimova Y.V.2, Karasev A.L.1, Antonov K.A.1
-
Affiliations:
- Priorov National Medical Research Center for Traumatology and Orthopedics
- Ryzhikh National Medical Research Centre for Coloproctology
- Issue: Vol 30, No 4 (2023)
- Pages: 467-480
- Section: Clinical case reports
- Submitted: 23.10.2023
- Accepted: 21.11.2023
- Published: 15.12.2023
- URL: https://journals.eco-vector.com/0869-8678/article/view/611164
- DOI: https://doi.org/10.17816/vto611164
- ID: 611164
Cite item
Abstract
BACKGROUND: Chordoma is a rare malignant tumor that develops from the remnants of the notochord and is located in the axial skeleton in the absolute majority of cases. It is most often localized in the sacrum, coccyx and pelvis, and is characterized by an initially asymptomatic long-time course, making early diagnosis difficult. Radical surgical treatment is the leading factor allowing to prolong the recurrence-free and overall survival of patients with chordoma, but it is often difficult due to complex anatomical localization of the tumor, as well as delayed medical treatment, frequently accompanied with the subsequent development of neurological complications, while in elderly patients with high comorbidity it is not always feasible.
CLINICAL CASE DESCRIPTION: We present a clinical case of radical surgical treatment of a patient with a S4-5 vertebral and coccyx chordoma showing a massive intrapelvic component. Clinical manifestations of the disease in the form of pain syndrome and pelvic organ dysfunction developed only when the tumor reached a larger size, forming a massive intrapelvic component up to 20 cm in size. The examination, including computer and magnetic resonance tomography, trepan biopsy with pathomorphologic examination, allowed to establish the diagnosis. Taking into account the size and localization of the tumor, the multidisciplinary team performed radical surgical intervention including sacral resection at the S3 level, coccygectomy with tumor removal. Morphological study of the removed tumor confirmed the diagnosis. In the early postoperative period, the wound healed by primary tension, the development of pelvic organs dysfunction was noted, which partially regressed by discharge. The article presents a brief review of the current problems of diagnosis and treatment of patients with chordoma.
CONCLUSION: Diagnosis and treatment of sacral chordoma is one of the most difficult problems of orthopedic oncology. A full preoperative examination and a multidisciplinary approach in this case made it possible to perform radical surgical intervention, reduce the risks of tumor progression, intra- and postoperative complications, and preserve the patient’s quality of life as much as possible.
Keywords
Full Text
BACKGROUND
Chordoma is a malignant notochordal tumor usually arising from extradurally located rudimentary remnants of the notochord, which was first described by Virchow in 1857 [1]. The notochord is a temporary axial skeleton of the embryo that ensures the development of the neural tube and spinal cord and subsequently regresses during the first year of life [2]. In most cases, a tumor typically affects the axial skeleton. Reports of extra-axial localizations are exceedingly rare [3].
Chordoma is a rare tumor, accounting for 3%–4% of primary malignant bone tumors in large studies [4, 5]. According to the SEER database, which covers approximately one-third of the US population, the prevalence is 0.08 cases per 100,000 people per year (0.1 for men and 0.06 for women). The involvement ratios of the skull base, mobile spine, and sacrum were generally similar. However, the skull base is more frequently affected in young people and women, whereas the sacrum is somewhat more frequently affected in older individuals [6, 7]. Based on the NCDB US National Tumor Database, which covers up to 70% of the population, chordomas were more frequently found in the skull base and sacrococcygeal region (38.4% and 37.3%, respectively) than in the mobile part of the spine (24.4%) [8]. The incidence of the disease in children and adolescents is low (<5%), and it gradually increases with age. The highest detection rate is 0.3 cases per 100,000 people for individuals aged 70–79 years, with a mean age of 58.5 years [6, 7]. The tumor is typically sporadic; however, rare familial forms with predominant involvement of the skull base, manifestation at a young age, and sometimes multiple localizations have been described [9].
Sacrococcygeal tumors are often asymptomatic for a long time, which can delay the referral of patients to a doctor because of the frequently blurred clinical manifestations. In some cases, the first symptoms are caused by the mechanical effect of a large tumor on the pelvic organs, resulting in urinary retention and constipation. Tumors spreading to the spinal foramen can cause compression of nerve roots, resulting in pain syndrome, paresis or plegia of the lower extremities, urinary incontinence, and bowel dysfunction [1, 10]. Therefore, primary care physicians should always be vigilant for oncological concerns.
Complete removal of a chordoma is challenging because of limited access to the tumor and its proximity to neural structures, vessels, and vital organs, and this difficulty explains the high risk of recurrence. In a retrospective analysis from 1980 to 2008, the 5- and 10-year overall survival rates were 78% and 54%, and the recurrence-free survival rates were 52% and 33%, respectively [11]. Recurrence significantly shortens the life expectancy of patients. After the first recurrence, the 5-year survival rate decreases to 50%, and after the second recurrence, it drops to 19%. Despite the distant metastasis rates of 14% and 28% at 5 and 10 years, respectively, patients are more likely to die because of local complications [11].
Chordomas require a multidisciplinary approach to determine the scope and performance of surgical intervention, combined treatment, management of complications, and patient rehabilitation because of their localization, high risk of recurrence, and metastasis [1].
Ablative removal of sacral chordomas can significantly reduce the frequency of recurrences and metastases and increase the life expectancy of patients [12, 13]. However, surgical treatment is traumatic and often leads to postoperative complications, such as impaired functions of the pelvic and reproductive organs, sensory and motor disorders of the lower extremities, and trophic and infectious complications during the healing of the surgical wound. Often due to the neglect of the disease, radical surgical intervention is impossible. Thus, Ruggieri et al. reported that only palliative surgeries were performed in 46% of cases because of large tumor size and high comorbidity [14].
Chordoma treatment is challenging because of late diagnosis, anatomical complexity, and low sensitivity to radiation and drug therapy [1].
This report details the surgical treatment of a patient with a conventional sacral chordoma and a large soft tissue intrapelvic component.
CLINICAL CASE
In January 2023, a 36-year-old patient presented to the N.N. Priorov National Medical Research Center for Traumatology and Orthopedics with complaints of discomfort in the coccyx area and defecation disorders that manifested as either constipation or frequent defecation with a small amount of stool without any impurities. The patient also reported a single episode of acute urinary retention in December 2022.
The patient’s examination revealed a deformation of the anterior abdominal wall and a symmetrical increase in abdominal size. The skin in the anterior abdominal wall, sacrum, and coccyx area was normal. The abdomen moved evenly during breathing and was painless upon superficial palpation. However, deep palpation was challenging because of the presence of additional pelvic and abdominal cavities. No symptoms of peritoneal irritation were observed. No pathological changes were observed in the perianal area. During rectal palpation, the patient did not feel pain, and the anus was tonic. However, a mass of dense elastic consistency was detected causing deformation and displacement of the rectum caudally. Palpation also revealed a dense, painful mass in the coccyx projection.
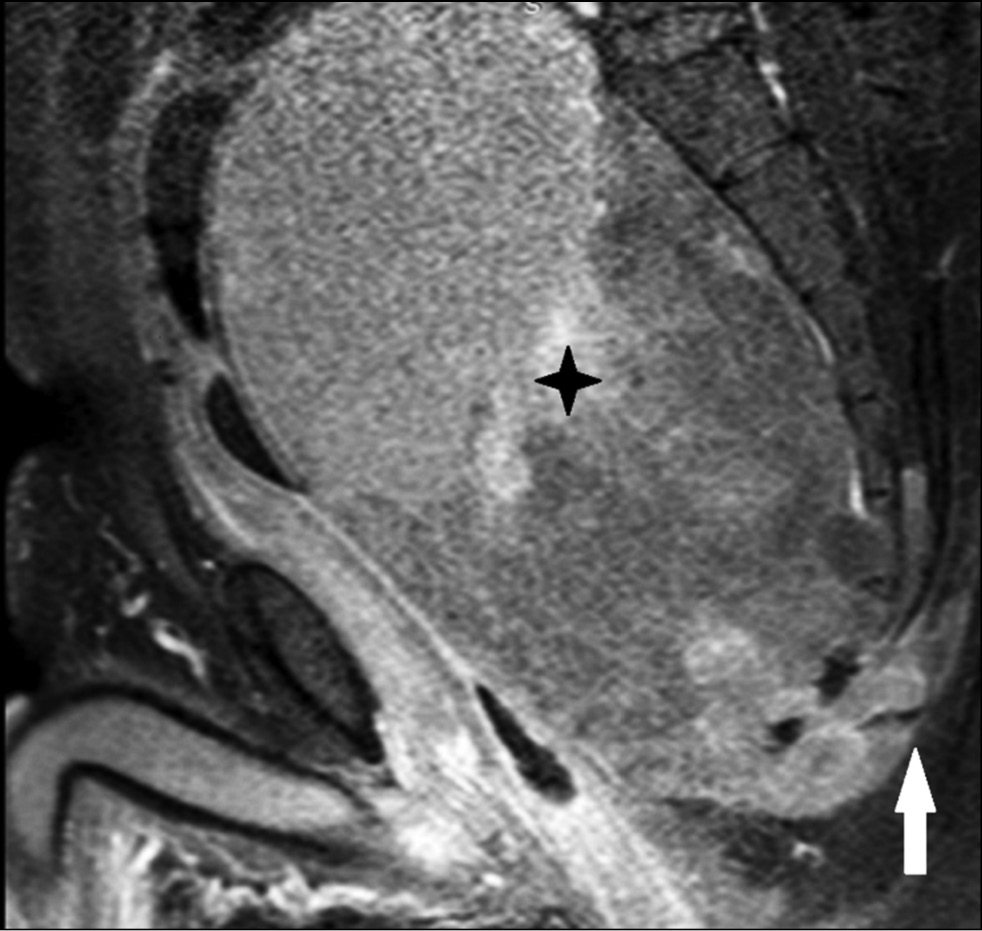
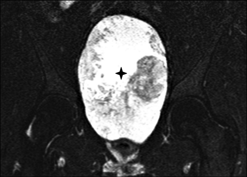
Magnetic resonance imaging (MRI) revealed destruction of the S4, S5, and coccygeal vertebrae with a large soft tissue tumor in the small pelvis and abdomen measuring 200×110×98 mm. The tumor appeared hyperintense in the T2 spectral attenuated inversion recovery mode (Fig. 1) and hypointense in the T1 spectral presaturation with the inversion recovery mode (Fig. 2), causing displacement and deformation of pelvic organs, including the rectum, sigmoid colon, bladder, and ureters.
Fig. 1. T2 SPAIR coronal MRI showing a heterogeneously hyperintense tumor occupying a significant portion of the pelvic cavity (asterisk). Pronounced heterogeneity of the signal is due to areas of hemorrhage.
Fig. 2. MRI in T1 SPIR mode in the sagittal plane: a significant size, heterogeneously hypointense, with moderately hyperintense areas, the intrapelvic soft tissue component of the tumor (asterisk) is adjacent to the anterior surface of the sacrum, infiltrating muscle tissue in the posteroinferior direction (arrow).
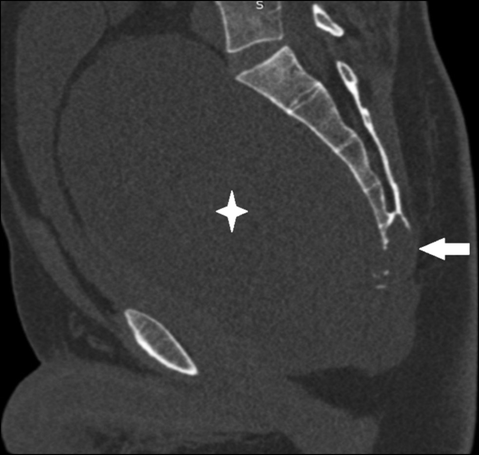
Computed tomography (CT) of the pelvis (Fig. 3) revealed a focus of lithic destruction in the S4, S5, and coccygeal vertebrae without clear contours. The destruction extended into the surrounding soft tissues and spread to the distal part of the sacral canal up to the level of the S4 vertebrae. A massive soft tissue component of the tumor, measuring up to 200 mm in length, was visualized on the anterior surface of the sacrum, reaching the level of the L5 vertebra. The tumor had clear contours on the side of the small pelvis and abdominal cavity, and it compressed and displaced the bladder and rectum. CT of the chest revealed no focal or infiltrative changes in the lungs.
Fig. 3. CT in the sagittal plane, there is a lytic focus of destruction of the C4, C5 and coccygeal vertebrae (arrow), a massive soft tissue component in the pelvic cavity, reaching the level of the L5 vertebra (asterisk).
The patient underwent a CT-guided trepan biopsy of the tumor. Histological examination of the material revealed that the tumor was a conventional chordoma of the sacrum. The tumor infiltrated adjacent soft tissues and destroyed the cortical plate. According to Enneking’s staging system, this tumor is classified as stage IIB.
The medical case was reviewed by a team of specialists, including an orthopedic oncologist, chemotherapist, radiotherapist, coloproctologist, and urologist. Data obtained revealed a diagnosis of chordomas of the S4–S5 vertebrae and coccyx with T4aN0M0, and surgical treatment was recommended. The planned intervention was to remove the tumor by resecting the sacrum at the S3 level and performing a coccygectomy. During surgery, the need for rectal resection, sigmostomy, urostomy, or cystostomy was decided.
A surgical team with expertise in multiple disciplines performed tumor removal with sacral resection at the S3 level and coccygectomy.
Surgery
Under endotracheal anesthesia, anterior access was performed in the supine position. A lower midline laparotomy was then performed to mobilize the intestinal loops and ablatively mobilize the tumor from the surrounding tissues and the anterior surface of the proximal sacrum to the S3 level (Fig. 4). Provisor sutures were applied to the anterior abdominal wall, and the patient was then turned to the face-down position for posterior midline access to the sacrum and coccyx (Fig. 5).
Fig. 4. Anterior approach stage, colon exposure.
Fig. 5. Posterior approach to the sacrum and coccyx. A wide resection is performed within healthy soft tissues.
An electroligating instrument was used to cross the lumbar and large and middle gluteal muscles. A laminectomy was performed at the S3 vertebral level, and the dural sac was isolated. Two ligatures were applied below the S3 roots, and the cauda equina was tied and crossed between the ligatures. Bioclay was used to treat cauda equina and prevent liquorrhea. To gain access to the small pelvis, the ligaments and muscles were surgically removed from the coccyx. The rectum was then mobilized bluntly and acutely from the tumor along the anterior surface of the sacrum. By using a high-speed bur, the posterior elements at the S3 level were resected, and the anterior section was osteotomized at the same level using a chisel. The specimen was removed as a single block and sent for routine morphological examination (Figs. 6–8).
Fig. 6. Posterior view of the wound after tumor removal. The image visualizes the edge of the resection of the sacrum at the S3 level (asterisk), rectum (arrow).
Fig. 7. Photograph of a gross specimen of a tumor removed en bloc with its covering tissues.
Fig. 8. Three-dimensional CT reconstruction after surgery, posterior view. Resection of the sacrum at the level of the S3 vertebra (arrow).
During wound revision, additional hemostasis was performed, and silicone drainage was installed through the intraperitoneum. The wound was sutured layer by layer, and sutures and staples were applied to the skin. The patient was then turned to the back, and the previously placed skin sutures were removed. A wound revision was performed, and no signs of bleeding or damage to the abdominal cavity or pelvic organs were detected. Finally, the wound on the anterior abdominal wall was sutured layer by layer with tubular drainage. Passive drainage was used for both drains during surgery, which lasted 215 min. The surgery resulted in blood loss of 700 mL and removal of a tumor weighing 1800 g. No complications were observed during the procedure, and the Cell Saver device was used.
A tumor and a fragment of the sacrum with soft tissues measuring 20 × 11 × 10 cm were sent to the pathology department (Fig. 7). The tumor was a densely elastic lumpy nodule with a diameter of approximately 12.5 cm and was covered by a thin translucent capsule. Its content was red-blue and translucent. Along the edge, areas of bone density with several red dense fibers measuring 7.0 × 9.0 cm were defined. The node section presented multiple cystic cavities of varying sizes. Within these cavities, a dense mass with a lobular-grained appearance and a yellowish–pink liquid content (approximately 200 mL in volume) was observed. The surrounding soft tissue had varying textures, with rough areas of red–gray and yellowish–brown color. In some places, dirty yellow foci and hemorrhages injected by vessels were noted. The bone adjacent to the saw cut easily. Grayish shiny lobular soft tissue was present both inside and outside the bone during sawing (Fig. 9).
Fig. 9. Photograph of a macroscopic specimen: longitudinal section of a fragment of the sacrum and a tumor node growing from it. Numerous areas of hemorrhage are noteworthy.
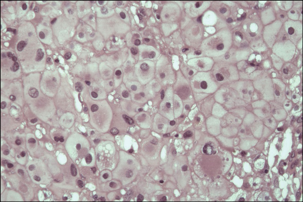
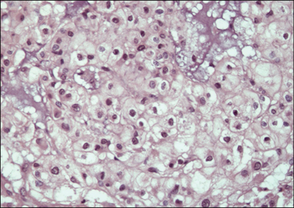
Histological examination of the surgical material revealed a solid neoplasm composed of strands or nests of epithelioid-type cells located in the mucoid intercellular matrix. The pathologic tissue was divided into lobules of different configurations and sizes by connective tissue layers. The tumor cells had large, rounded nuclei with moderate atypia and prominent nuclei. The cytoplasm was abundant and pale, with numerous cytoplasmic vacuoles, also known as physaliform cells (Fig. 10). In addition, epithelium-like cells with dense eosinophilic cytoplasm and weakly expressed vacuolization were found (Fig. 11). The cell population was predominantly mononuclear but also included binuclear and multinuclear cells, as well as cells with a ring-shaped vacuolized cytoplasm with the nucleus displaced to the cell membrane. Mitotic activity was low, and single atypical mitoses were detected. The tumor exhibited densely arranged syncytium-forming cells with a poorly expressed intercellular mucoid matrix in some areas, whereas other areas showed a predominance of the latter with only a few tumor cell islets. In addition, numerous necroses and hemorrhages were observed throughout the tumor.
Fig. 10. Micrograph. Conventional chordoma with characteristic physaliform cells with pronounced vacuolization of the light cytoplasm. Hematoxylin and eosin staining. ×400.
Fig. 11. Micrograph. Conventional chordoma. An area of densely packed epithelial-like cells with mild vacuolation and eosinophilic cytoplasm. Hematoxylin and eosin staining. ×400.
Thus, the histological picture is consistent with that of a conventional chordoma. The pathomorphologist reported that the resection margin was free of tumor (R0), confirming the surgery’s radicality.
Early postoperative period
The patient received antibiotic prophylaxis and prolonged antibiotic therapy, prophylaxis for thromboembolic complications, anesthesia, anti-inflammatory medication, gastroprotective therapy, enterosorbent therapy, stimulation of intestinal peristalsis, infusion therapy, and dressings. In addition, the patient received an infusion of blood auto components prepared during the outpatient stage. The wound on the anterior abdominal wall healed through primary tension on postoperative day 12. However, in the sacral area, the wound healed with marginal necrosis. The sutures were removed on postoperative day 20.
Although the S3 roots were isolated and preserved on both sides, the patient experienced neurological complications such as pelvic-organ dysfunction, specifically fecal and urinary incontinence. No neurological disorders were observed in the lower extremities, and no trophic disorders were found in the lower extremities or pelvis.
Upon discharge, the patient’s neurological disorder had regressed. The patient began to partially retain urine and feces and experienced a bladder-filling sensation.
On postoperative day 5, the patient was mobilized and began to walk with additional support on crutches while wearing a hernia bandage. The drains were removed from the surgical site on postoperative day 6, and the urethral catheter was removed on postoperative day 10. Ultrasound examination did not detect any residual urine in the bladder after emptying.
The patient was discharged to continue rehabilitation and reconstructive treatment at the hospital. Permanent dynamic follow-up was planned with control examinations according to the oncologic protocol at both the patient’s place of residence and our institute.
DISCUSSION
Chordoma, a primary tumor of the sacrum, accounts for approximately 25% of all lesions and 50% of malignant lesions [15]. It is the fourth most common primary malignant bone tumor, followed by osteosarcoma, chondrosarcoma, and Ewing’s sarcoma [5]. The timely diagnosis of tumors can be difficult because of slow asymptomatic growth and the absence of early clinical symptoms. Delayed detection of a large tumor may hinder the provision of necessary medical care in regional medical institutions [16, 17].
Thus, based on our observations, the tumor developed asymptomatically. Only after it had reached a significant size did the patient experienced pronounced complaints that forced him to consult a doctor.
When a tumor in the sacrococcygeal region is suspected, radiation diagnostics require CT and MRI in addition to radiography.
In this case, CT and MRI clearly established the tumor boundaries and their relationship with the surrounding anatomical structures. This information determined the planned course of radical surgical intervention, which required a multidisciplinary team of surgeons.
Chordomas can be identified using CT. Scans may reveal a focus of lytic destruction of the sacral and coccygeal vertebrae spreading into soft tissues. The structure of the tumor margins may include small, partially resorbed bone fragments or, more commonly in the chondroid variant, calcinates. In myxomatous changes, areas of reduced density can be observed. On MR tomograms in T1-weighted images, the tumor has a hypointense signal, sometimes with hyperintense areas. In fat-suppressed modes, the hyperintense signal area exhibited hypointense septa and inclusions associated with hemorrhages, necrosis, partially lysed bony fragments, and calcination. The tumor is inhomogeneously contrasted on both CT and MRI [1].
Chordomas that are more intensively contrast-enhanced express genes responsible for tumor growth more actively, have a richer stroma morphologically, and tend to recur earlier clinically [18]. Therefore, contrast-enhanced tomographic examination has additional prognostic value and influences the evaluation of the volume of the surgical intervention.
Preoperative morphologic diagnosis is typically based on fine-needle or trephine biopsy. Open biopsy is avoided because of the increased recurrence risk [13]. In this study, the preoperative examination included a trephine biopsy under CT navigation.
Chordomas are classified into conventional (most common, with the chondroid chordoma subtype), dedifferentiated, and low-differentiated types [19].
Conventional chordomas are typically diagnosed in patients of varying ages; however, they are more frequently observed in men during the fourth to seventh decades of life. Morphologically, conventional chordomas exhibit a lobular structure that is divided into lobules by connective tissue septa. The cells are epithelioid, rounded, and contain eosinophilic cytoplasm, forming nests, layers, or chains. In this case, physaliform cells with the vesicular cytoplasm characteristic of chordomas were detected [4, 20]. However, classical physaliform cells may be relatively rare or absent in conventional chordomas [5]. The matrix is myxoid and may predominate over the cellular component. Nuclear atypism is moderate and mitoses are infrequent. Chondroid chordomas, which are more commonly found at the skull base, have a tumor composition that includes areas similar to the intercellular matrix of cartilaginous tumors. Other types of chordomas are much less common.
Low-differentiated chordomas are rare chordomas that typically occur during childhood and young adulthood. It is most commonly found at the skull base, less frequently in the cervical spine, and rarely in the sacrococcygeal region. The histological picture is characterized by the predominance of epithelioid cells with foci of rhabdoid morphology. Physaliform cells, which are characteristic of conventional chordomas, are absent. If present, the myxoid stroma is usually focal [21].
Dedifferentiated chordomas, a rare type, are typically found in the sacrococcygeal region, similar to the conventional type. It is characterized by both conventional chordoma and highly malignant spindle and/or pleomorphic sarcoma [19, 22].
The differential diagnoses typically include chondrosarcoma, cancer metastasis, chordoid meningioma, and myoepithelial bone tumor. In cases of highly malignant variants of the tumor, differential diagnosis with dedifferentiated chondrosarcoma, malignant rhabdoid tumor, rhabdoid meningioma, and epithelioid sarcoma may be necessary. Immunohistochemical examination can help clarify the diagnosis. Specifically, brachyury, which is characteristic of any notochordal neoplasm, has recently been used. However, areas of chordoma dedifferentiation lose both the morphological picture typical of this tumor and positive reactions to cytokeratins, protein S-100, and brachyury. This can lead to diagnostic errors based on the results of fine-needle or trepan biopsy [19, 22].
The tumor’s morphological, immunohistochemical, and genetic features may have a prognostic value. Studies have shown that the presence of necrotic areas in chordomas, higher mitotic activity, Ki-67 and P53 expression, and the combination of chromosome 22 deletion and PBRM1 alterations are associated with reduced recurrence-free and overall survival rates [23, 24].
Unlike conventional chordomas, dedifferentiated chordomas tend to grow rapidly, reach large sizes, and have poorer treatment results and shorter survival times. They also have high metastasis rates [22, 25]. Low-differentiated chordomas, which have a high malignant potential, are also characterized by worse clinical outcomes [21, 26].
Surgical treatment is the primary treatment for patients with sacral chordomas. The sacrum can be resected at high, medium, or low levels, which are defined by levels up to the S2 vertebrae (or roots), up to S3, and below (total and lateral, respectively). The course of the surgical treatment depends on both the tumor volume and localization [27, 28]. The soft tissue component of the tumor can spread into the pelvic cavity, causing compression and adhesion of the pelvic organs. However, there was no penetration of the pelvic organs. In many cases, the tumor can be isolated using ablative techniques within the volume of marginal excision without opening the capsule. In contrast, the posterior spread of chordomas necessitates a wide excision to achieve radicality because of its infiltrative growth into the muscle tissue [27]. If the tumor spreads above the level of the S3 vertebra and the tumor component is present in the front, posterior access alone is not technically feasible, and laparotomy is used to isolate its anterior surface [27].
In this case, the tumor destroyed the sacrum below S3. However, the large intrapelvic component that spread proximally and was in close contact with the pelvic organs required isolation and ablative removal by a multidisciplinary surgical team. Two accesses were also necessary.
Radical tumor removal is the main factor in reducing recurrence risk [14, 29]. In addition, the efficacy of treating recurrent chordomas is significantly lower than that of the primary chordomas [30]. Other factors that increase the recurrence risk with nonradical intervention include the peculiarities of the tumor’s morphological structure (such as more mitoses, necrosis zones, areas of dedifferentiation, and contrast) and its large size [11, 13, 18, 22]. Although chordomas progress slowly, recurrence remains the primary reason for limiting the life expectancy of patients [11]. In this case, striving for the best oncologic results was inevitably associated with traumatization, which can lead to postoperative complications and neurological disorders.
The severity of neurological disorders depends on the level of sacral resection. Therefore, preserving the S3 roots during surgery, rather than bilaterally resecting the roots, prevents severe postoperative pelvic-organ dysfunction in most patients [25, 31, 32]. In addition, preserving the S1 roots at high tumor locations can help avoid significant walking disorders and improve the patient’s quality of life [31]. In this example, we could preserve both the S3 roots during surgery. This helped prevent persistent and severe neurological disorders and created more favorable conditions for the patient’s rehabilitation in the postoperative period.
Extensive resections that involve ligation of intrapelvic vessels and muscle excision, as well as proximity to the anus in the posterior access area, can increase the risk of necrosis and suppuration during the postoperative period. Liquorrhea has been reported in some patients. Up to 25% of all operations require repeated interventions because of local complications, which significantly increases the treatment costs and hospital stay [1].
Recent studies have shown that high-dose radiation therapy can reduce the recurrence risk following nonradical surgical intervention. A retrospective analysis of the treatment of 1478 patients with cordomas revealed that adjuvant radiation therapy with a total focal dose of >65 Gy reduced tumor regrowth and significantly increased the 5-year overall survival in cases of nonablative removal, from 70.6% to 82.3%. Proton therapy and stereotactic radiotherapy resulted in the best outcome. However, no additional effect of radiation therapy was observed in cases of radical surgery; therefore, it is not recommended [8].
Because of the radicality of the surgery performed, radiation therapy was not recommended during the postoperative period despite the large tumor size and unfavorable morphological features (presence of numerous necrotic foci).
Radiation therapy is typically used as a palliative treatment for patients with advanced tumors or other comorbidities that prevent radical surgical treatment, either pre- or postoperatively [33, 34].
The study of the etiopathogenesis of tumors, including chordomas, can help identify potential targets for pharmacological intervention. For instance, clinical trials have recently been conducted on targeted therapy with low-molecular-weight tyrosine kinase inhibitors, which may become an effective component of combination treatment or a palliative therapy option for patients with cordomas. Studies on immunotherapy are promising, and sporadic reports on its clinical application are encouraging [35–37]. The potential to influence various metabolic pathways in tumor cells provides hope for personalized drug therapy for patients with chordomas. In addition, it justifies the combined use of multiple drugs to achieve a synergistic effect [37].
CONCLUSIONS
Diagnosis and treatment of sacral chordomas pose a significant challenge in modern onco-orthopedics. Radical tumor removal is the preferred treatment for these patients. However, surgery may result in high intraoperative blood loss, and postoperative neurological complications are common. In many cases, radical intervention may be difficult or impossible because of complex localization and delayed detection associated with the clinical course. A thorough examination, a multidisciplinary approach, and preoperative planning can reduce the risks of complications during the intra- and postoperative periods and improve the quality of life of these patients. Modern advancements in radiation therapy and the development of new methods for targeted and immune therapy offer promising prospects for treating patients with comorbidities and those diagnosed with advanced-stage diseases.
The clinical observation confirms the challenge of the early detection of sacrococcygeal chordomas and highlights the importance of oncological vigilance by primary care physicians. The diagnostic process involves CT, MRI, trepanation biopsy, and morphologic verification by an experienced pathologist. This enables the development and implementation of a plan for radical surgical intervention by a multidisciplinary team. The patient’s life prognosis was favorable after the tumor was removed in a single block, despite its large size. Preservation of neural structures was maximized to minimize functional impairment.
ДОПОЛНИТЕЛЬНО
Вклад авторов. Все авторы подтверждают соответствие своего авторства международным критериям ICMJE (все авторы внесли существенный вклад в разработку концепции, проведение исследования и подготовку статьи, прочли и одобрили финальную версию перед публикацией).
Источник финансирования. Авторы заявляют об отсутствии внешнего финансирования при проведении исследования и подготовке публикации.
Конфликт интересов. Авторы декларируют отсутствие явных и потенциальных конфликтов интересов, связанных с проведённым исследованием и публикацией настоящей статьи.
Информированное согласие на публикацию. Авторы получили письменное согласие пациента на публикацию медицинских данных и фотографий.
ADDITIONAL INFO
Author contribution. All authors made a substantial contribution to the conception of the work, acquisition, analysis, interpretation of data for the work, drafting and revising the work, final approval of the version to be published and agree to be accountable for all aspects of the work.
Funding source. This study was not supported by any external sources of funding.
Competing interests. The authors declare that they have no competing interests.
Consent for publication. Written consent was obtained from the patient for publication of relevant medical information and all of accompanying images within the manuscript.
About the authors
Anton G. Nazarenko
Priorov National Medical Research Center for Traumatology and Orthopedics
Email: nazarenkoag@cito-priorov.ru
ORCID iD: 0000-0003-1314-2887
SPIN-code: 1402-5186
MD, Dr. Sci. (Med.), Professor of the RAS
Russian Federation, MoscowVadim Yu. Karpenko
Priorov National Medical Research Center for Traumatology and Orthopedics
Email: Karpenko@cito-priorov.ru
ORCID iD: 0000-0002-8280-8163
SPIN-code: 1360-8298
MD, Dr. Sci. (Med.)
Russian Federation, MoscowAleksandr F. Kolondaev
Priorov National Medical Research Center for Traumatology and Orthopedics
Email: klnd@inbox.ru
ORCID iD: 0000-0002-4216-8800
SPIN-code: 5388-2606
MD, Cand. Sci. (Med.)
Russian Federation, MoscowNikita A. Lyubeznov
Priorov National Medical Research Center for Traumatology and Orthopedics
Email: nikitkalyubeznov@gmail.com
Russian Federation, Moscow
Gennadiy N. Berchenko
Priorov National Medical Research Center for Traumatology and Orthopedics
Email: berchenko@cito-bone.ru
ORCID iD: 0000-0002-7920-0552
SPIN-code: 3367-2493
MD, Dr. Sci. (Med.), Professor
Russian Federation, MoscowIgor N. Karpov
Priorov National Medical Research Center for Traumatology and Orthopedics
Author for correspondence.
Email: igoukarpoff@mail.ru
ORCID iD: 0000-0002-3135-9361
SPIN-code: 5943-3689
MD, Dr. Sci. (Med.), Professor
Russian Federation, MoscowMikhail V. Alekseev
Ryzhikh National Medical Research Centre for Coloproctology
Email: doctor-pro@mail.ru
ORCID iD: 0000-0001-5655-6567
SPIN-code: 9343-8872
MD, Dr. Sci. (Med.)
Russian Federation, MoscowAleksandr M. Kuzminov
Ryzhikh National Medical Research Centre for Coloproctology
Email: info@gnck.ru
ORCID iD: 0000-0002-7544-4752
SPIN-code: 4255-0201
MD, Dr. Sci. (Med.), Professor
Russian Federation, MoscowYuliya V. Alimova
Ryzhikh National Medical Research Centre for Coloproctology
Email: doctoralimova@gmail.com
ORCID iD: 0000-0001-7245-4042
SPIN-code: 1828-7903
Russian Federation, Moscow
Anatoly L. Karasev
Priorov National Medical Research Center for Traumatology and Orthopedics
Email: karaseva81@mail.ru
ORCID iD: 0000-0002-3356-5193
Russian Federation, Moscow
Kirill A. Antonov
Priorov National Medical Research Center for Traumatology and Orthopedics
Email: osteopathology6@mail.ru
Russian Federation, Moscow
References
- Barber SM, Sadrameli SS, Lee JJ, Fridley JS, Teh BS, Oyelese AA, Telfeian AE, Gokaslan ZL. Chordoma — Current Understanding and Modern Treatment Paradigms. J Clin Med. 2021;10(5):1054. doi: 10.3390/jcm10051054
- Corallo D, Trapani V, Bonaldo P. The notochord: structure and functions. Cell Mol Life Sci. 2015;72(16):2989–3008. doi: 10.1007/s00018-015-1897-z
- Evans S, Khan Z, Jeys L, Grimer R. Extra-axial chordomas. Ann R Coll Surg Engl. 2016;98(5):324–8. doi: 10.1308/rcsann.2016.0138
- Dahlin DC, Unni KK. Bone Tumors. General aspects and Data on 8,542 Cases. 4th ed. Springfield, Illinois; 1986. P. 379–390.
- Czerniak B. Dorfman and Czerniak’s Bone Tumors. 2nd ed. Elsevier; 2015. P. 1179–1216.
- McMaster ML, Goldstein AM, Bromley CM, Ishibe N, Parry DM. Chordoma: incidence and survival patterns in the United States, 1973–1995. Cancer Causes Control. 2001;12(1):1–11. doi: 10.1023/a:1008947301735
- Pan Y, Lu L, Chen J, Zhong Y, Dai Z. Analysis of prognostic factors for survival in patients with primary spinal chordoma using the SEER Registry from 1973 to 2014. J Orthop Surg Res. 2018;13(1):76. doi: 10.1186/s13018-018-0784-3
- Dial BL, Kerr DL, Lazarides AL, Catanzano AA, Green CL, Risoli T Jr, Blazer DG, Goodwin RC, Brigman BE, Eward WC, Larrier NA, Kirsch DG, Mendoza-Lattes SA. The Role of Radiotherapy for Chordoma Patients Managed With Surgery: Analysis of the National Cancer Database. Spine (Phila Pa 1976). 2020;45(12):E742–E751. doi: 10.1097/BRS.0000000000003406
- Parry DM, McMaster ML, Liebsch NJ, Patronas NJ, Quezado MM, Zametkin D, Yang XR, Goldstein AM. Clinical findings in families with chordoma with and without T gene duplications and in patients with sporadic chordoma reported to the Surveillance, Epidemiology, and End Results program. J Neurosurg. 2020;134(5):1399–1408. doi: 10.3171/2020.4.JNS193505
- Burdygin VN, Morozov AK, Belyaeva AA. Primary sacral tumors in adults: diagnostic problems. N.N. Priorov Journal of Traumatology and Orthopedics. 1998;5(1):3–12. (In Russ). doi: 10.17816/vto104020
- Stacchiotti S, Casali PG, Lo Vullo S, Mariani L, Palassini E, Mercuri M, Alberghini M, Pilotti S, Zanella L, Gronchi A, Picci P. Chordoma of the mobile spine and sacrum: a retrospective analysis of a series of patients surgically treated at two referral centers. Ann Surg Oncol. 2010;17(1):211–9. doi: 10.1245/s10434-009-0740-x
- Varga PP, Szövérfi Z, Fisher CG, Boriani S, Gokaslan ZL, Dekutoski MB, Chou D, Quraishi NA, Reynolds JJ, Luzzati A, Williams R, Fehlings MG, Germscheid NM, Lazary A, Rhines LD. Surgical treatment of sacral chordoma: prognostic variables for local recurrence and overall survival. Eur Spine J. 2015;24(5):1092–101. doi: 10.1007/s00586-014-3728-6
- Bergh P, Kindblom LG, Gunterberg B, Remotti F, Ryd W, Meis-Kindblom JM. Prognostic factors in chordoma of the sacrum and mobile spine: a study of 39 patients. Cancer. 2000;88(9):2122–34. doi: 10.1002/(sici)1097-0142(20000501)88:9<2122::aid-cncr19>3.0.co;2-1
- Ruggieri P, Angelini A, Ussia G, Montalti M, Mercuri M. Surgical margins and local control in resection of sacral chordomas. Clin Orthop Relat Res. 2010;468(11):2939–47. doi: 10.1007/s11999-010-1472-8
- Wang J, Li D, Yang R, Tang X, Yan T, Guo W. Epidemiological characteristics of 1385 primary sacral tumors in one institution in China. World J Surg Oncol. 2020;18(1):297. doi: 10.1186/s12957-020-02045-w
- Keykhosravi E, Rezaee H, Tavallaii A, Tavassoli A, Maftouh M, Aminzadeh B. A Giant Sacrococcygeal Chordoma: A Case Report. Brain Tumor Res Treat. 2022;10(1):29–33. doi: 10.14791/btrt.2022.10.e12
- Phang ZH, Saw XY, Nor NFBM, Ahmad ZB, Ibrahim SB. Rare case of neglected large sacral Chordoma in a young female treated by wide En bloc resection and Sacrectomy. BMC Cancer. 2018;18(1):1112. doi: 10.1186/s12885-018-5012-3
- Park M, Park I, Hong CK, Kim SH, Cha YJ. Differences in stromal component of chordoma are associated with contrast enhancement in MRI and differential gene expression in RNA sequencing. Sci Rep. 2022;12(1):16504. doi: 10.1038/s41598-022-20787-3
- Soft Tissue and Bone Tumours. WHO Classification of Tumours. 5th ed. Vol. 3. WHO Classification of Tumours Editorial Board. 2020. P. 451–457. Available from: https://publications.iarc.fr/588
- Schajowicz F. Tumors and Tumorlike Lesions of Bone: Pathology, Radiology, and Treatment. 2nd ed. Springer–Verlag; 1994. P. 459–468.
- Shih AR, Cote GM, Chebib I, Choy E, DeLaney T, Deshpande V, Hornicek FJ, Miao R, Schwab JH, Nielsen GP, Chen YL. Clinicopathologic characteristics of poorly differentiated chordoma. Mod Pathol. 2018;31(8):1237–1245. doi: 10.1038/s41379-018-0002-1
- Hung YP, Diaz-Perez JA, Cote GM, Wejde J, Schwab JH, Nardi V, Chebib IA, Deshpande V, Selig MK, Bredella MA, Rosenberg AE, Nielsen GP. Dedifferentiated Chordoma: Clinicopathologic and Molecular Characteristics With Integrative Analysis. Am J Surg Pathol. 2020;44(9):1213–1223. doi: 10.1097/PAS.0000000000001501
- Tauziéde-Espariat A, Bresson D, Polivka M, Bouazza S, Labrousse F, Aronica E, Pretet JL, Projetti F, Herman P, Salle H, Monnien F, Valmary-Degano S, Laquerrière A, Pocard M, Chaigneau L, Isambert N, Aubriot-Lorton MH, Feuvret L, George B, Froelich S, Adle-Biassette H. Prognostic and Therapeutic Markers in Chordomas: A Study of 287 Tumors. J Neuropathol Exp Neurol. 2016;75(2):111–20. doi: 10.1093/jnen/nlv010
- Bai J, Shi J, Li C, Wang S, Zhang T, Hua X, Zhu B, Koka H, Wu HH, Song L, Wang D, Wang M, Zhou W, Ballew BJ, Zhu B, Hicks B, Mirabello L, Parry DM, Zhai Y, Li M, Du J, Wang J, Zhang S, Liu Q, Zhao P, Gui S, Goldstein AM, Zhang Y, Yang XR. Whole genome sequencing of skull-base chordoma reveals genomic alterations associated with recurrence and chordoma-specific survival. Nat Commun. 2021;12(1):757. doi: 10.1038/s41467-021-21026-5
- Nachwalter RN, Rothrock RJ, Katsoulakis E, Gounder MM, Boland PJ, Bilsky MH, Laufer I, Schmitt AM, Yamada Y, Higginson DS. Treatment of dedifferentiated chordoma: a retrospective study from a large volume cancer center. J Neurooncol. 2019;144(2):369–376. doi: 10.1007/s11060-019-03239-3
- Yeter HG, Kosemehmetoglu K, Soylemezoglu F. Poorly differentiated chordoma: review of 53 cases. APMIS. 2019;127(9):607–615. doi: 10.1111/apm.12978
- Varga PP, Szövérfi Z, Lazary A. Surgical treatment of primary malignant tumors of the sacrum. Neurol Res. 2014;36(6):577–87. doi: 10.1179/1743132814Y.0000000366
- Fourney DR, Rhines LD, Hentschel SJ, Skibber JM, Wolinsky JP, Weber KL, Suki D, Gallia GL, Garonzik I, Gokaslan ZL. En bloc resection of primary sacral tumors: classification of surgical approaches and outcome. J Neurosurg Spine. 2005;3(2):111–22. doi: 10.3171/spi.2005.3.2.0111
- Musaev ERo. Modern approaches to surgical treatment of patients with pelvic bone tumors [dissertation]: 14.00.14. Moscow; 2008. 46 р. Available from: https://medical-diss.com/medicina/sovremennye-podhody-k-hirurgicheskomu-lecheniyu-bolnyh-opuholyami-kostey-taza (In Russ).
- Ailon T, Torabi R, Fisher CG, Rhines LD, Clarke MJ, Bettegowda C, Boriani S, Yamada YJ, Kawahara N, Varga PP, Shin JH, Saghal A, Gokaslan ZL. Management of Locally Recurrent Chordoma of the Mobile Spine and Sacrum: A Systematic Review. Spine (Phila Pa 1976). 2016;41(Suppl 20):S193–S198. doi: 10.1097/BRS.0000000000001812
- Zoccali C, Skoch J, Patel AS, Walter CM, Maykowski P, Baaj AA. Residual neurological function after sacral root resection during en-bloc sacrectomy: a systematic review. Eur Spine J. 2016;25(12):3925–3931. doi: 10.1007/s00586-016-4450-3
- Cheng EY, Ozerdemoglu RA, Transfeldt EE, Thompson RC Jr. Lumbosacral chordoma. Prognostic factors and treatment. Spine (Phila Pa 1976). 1999;24(16):1639–45. doi: 10.1097/00007632-199908150-00004
- Demizu Y, Jin D, Sulaiman NS, Nagano F, Terashima K, Tokumaru S, Akagi T, Fujii O, Daimon T, Sasaki R, Fuwa N, Okimoto T. Particle Therapy Using Protons or Carbon Ions for Unresectable or Incompletely Resected Bone and Soft Tissue Sarcomas of the Pelvis. Int J Radiat Oncol Biol Phys. 2017;98(2):367–374. doi: 10.1016/j.ijrobp.2017.02.030
- Jin CJ, Berry-Candelario J, Reiner AS, Laufer I, Higginson DS, Schmitt AM, Lis E, Barzilai O, Boland P, Yamada Y, Bilsky MH. Long-term outcomes of high-dose single-fraction radiosurgery for chordomas of the spine and sacrum. J Neurosurg Spine. 2019:1–10. doi: 10.3171/2019.7.SPINE19515
- Ozair MZ, Shah PP, Mathios D, Lim M, Moss NS. New Prospects for Molecular Targets for Chordomas. Neurosurg Clin N Am. 2020;31(2):289–300. doi: 10.1016/j.nec.2019.11.004
- Akinduro OO, Suarez-Meade P, Garcia D, Brown DA, Sarabia-Estrada R, Attia S, Gokaslan ZL, Quiñones-Hinojosa A. Targeted Therapy for Chordoma: Key Molecular Signaling Pathways and the Role of Multimodal Therapy. Target Oncol. 2021;16(3):325–337. doi: 10.1007/s11523-021-00814-5
- Yang X, Li P, Kang Zh, Li W. Targeted therapy, immunotherapy, and chemotherapy for chordoma. Curr Med. 2023;2(3). doi: 10.1007/s44194-022-00017-8
Supplementary files














