Determining the effectiveness of a xenogeneic bone matrix decellularization protocol in in vitro and in vivo studies
- Authors: Smolentsev D.V.1, Lukina Y.S.1, Bionyshev-Abramov L.L.1, Serejnikova N.B.2, Kovalev A.V.1, Berchenko G.N.1
-
Affiliations:
- Priorov Central Institute for Trauma and Orthopedics
- Sechenov First Moscow State Medical University
- Issue: Vol 30, No 4 (2023)
- Pages: 431-443
- Section: Original study articles
- Submitted: 30.10.2023
- Accepted: 31.10.2023
- Published: 15.12.2023
- URL: https://journals.eco-vector.com/0869-8678/article/view/622849
- DOI: https://doi.org/10.17816/vto622849
- ID: 622849
Cite item
Abstract
BACKGROUND: Restoration of tissue integrity, including bone tissue, is currently an extremely urgent task, both because of the increasing number of high-energy traumas accompanied by severe skeletal injuries and the growing number of revision endoprosthetics requiring the use of bone-plastic materials.
AIM: To determine the efficacy of the developed protocol for decellularization of xenogenic bone matrix in preclinical in vitro studies aimed at defining the purification matrix degree, on the basis of histological, microtomographic evaluation, cell culture method, and in vivo studies aimed at identifying the biocompatibility and osteogenic properties of the materials.
MATERIALS AND METHODS: Xenogenic spongiosis tissue of bovine femoral bones was fragmented to the size of 10×10×10 mm and treated with water, hypotonic solution and 3% hydrogen peroxide solution, deep purification by supercritical fluid extraction was applied. The efficiency of the optimal protocol was tested in vitro by cell culture method and in vivo.
RESULTS: The ideal interaction of cell culture with bone-plastic material was revealed, which may be associated with the absence of cytotoxic substances in the matrix, optimal roughness and good adhesive properties of the surface suitable for the formation of focal contacts by bone marrow stromal cells, their adhesion, spreading and proliferation. A pronounced bone callus with formed bone bridges running along the surface of the implanted material was determined 30 days after implantation. By this study period, the defect was practically closed due to the intermedial bone callus, the implanted material is found in the form of individual small osteocyte-free fragments.
CONCLUSIONS: The xenogenic bone matrix purified according to the developed protocol is bio- and cytocompatible, has pronounced osteoconductive properties, effectively stimulates regenerative osteogenesis in living organism.
Full Text
BACKGROUND
Tissue regeneration technologies, including bone regeneration procedures, have been a focus of medical science since the early twentieth century. The success rate of implantations and low incidence of complications support the validity of this field of research [1–4].
The preferred treatment for bone defects is the use of autogenous bone grafts, typically harvested from the patient’s iliac crest or other localizations, such as the iliac crest of the femur or tibial tuberosity. This material is biocompatible and possesses osteoinductive, osteoconductive, and osteogenic properties [5–7]. However, autografts have limitations and may result in complications at the donor site [6–8]. The search for alternatives to autografts has led to the emergence of synthetic, allogeneic, and xenogeneic osteoplastic materials [5].
Xenogenic bone matrix may be a substitute for autologous bone because of the availability of raw materials and positive empirical experience in practical application. However, the properties of each material should be studied in-depth owing to the use of different purification protocols [9–10].
In material cleaning, the primary goal is to eliminate antigens. However, aggressive processing can reduce the positive properties of implants. To maintain osteoconduction, which is a crucial property of bone implants, bone microarchitecture and roughness should be preserved while completely removing bone marrow cells and fat. The natural structure provides a suitable environment for cellular function and differentiation [11].
Decellularization is used to remove cells and immunogenic substances from tissues while preserving the natural extracellular matrix [5, 6] and involves chemical, enzymatic, or mechanical disruption. Decellularization protocols are developed based on factors including tissue density, cellularity, and presence of lipids. For bone tissue containing fat, decellularization is combined with delipidization [7, 8]. However, this process can damage the implant structure. To increase the efficiency and safety of implants, maintaining the matrix structure and removing the cellular component are crucial [12].
Decellularization protocols vary and involve physical, enzymatic, and chemical processes. Physical decellularization is the least destructive method, leaving most components and structures of the extracellular matrix intact after exposure [13]. However, physical action alone is insufficient to remove cell fragments from native tissue and is thus combined with chemical or enzymatic methods [14].
In developing a decellularization protocol, the absence of any inflammatory or immune response should be ensured. This is directly related to the degree of tissue purification and potential matrix structure damage.
This study aimed to assess the efficacy of the developed decellularization protocol of xenogenic bone matrix in preclinical in vitro and in vivo studies. The evaluation was based on the degree of matrix purification, as determined through histological and microtomographic analysis, and cell culture methods. Additionally, the biocompatibility and osteogenic properties of the materials were assessed in in vivo studies.
MATERIALS AND METHODS
Study design
this is an experimental, single-center, prospective, continuous, uncontrolled study.
Study duration
the study was conducted for 4 months, from March to July 2023, using sequential purification protocols and parallel in vitro and in vivo experiments.
Study settings
the study was conducted in the N.N. Priorov National Medical Research Center of Traumatology and Orthopaedics, Ministry of Health, Russia.
Main outcome of the study
the end point of this study is to validate a previously developed protocol for purifying xenogeneic bone matrix as a potential technology for producing a safe and effective implantable material.
The degree of achievable decellularization and purification of the xenogeneic bone matrix, assessed using various methods, is the main indicator of the material’s safety.
Outcome recording methods
Microtomographic examination of the matrix
The samples underwent scanning using a Bruker SkyScan 1172 X-ray microtomograph (Bruker Belgium, Belgium) in the mode specified by the SkyScan software. Reconstruction was performed in the NRecon program using the Feldkamp algorithm based on the obtained shadow projections. The reconstruction parameters and dynamic range were selected during the preview of the cross sections to achieve optimal image contrast.
The CTvox program, which is included in the tomograph software package, was used to obtain images of the volumetric models of the specimens. To construct the volumetric models, the Marching Cube algorithm was used. This algorithm is based on the explicit hexagonal voxel assignment model developed by Lorensen and Cline (1987).
Densitometric examination of the matrix
The study of the matrix density was conducted on the same specimens by selecting a 5 × 5 × 5-mm zone of interest located in the central part of the specimen using the CTAn 1.20.3.0 program (Fig. 1).
Fig. 1. Area of interest for calculating densitometric indicators.
The densitometric study results are presented as the ratio of substances to biotissue in the central part of the 5 × 5 × 5-mm specimens as a percentage of the total volume, averaged over three measurements.
The degree of purification of the xenogenic bone matrix is represented by the purification factor calculated according to the following formula:
Histological examination of the matrix
The samples were fixed in neutral formalin, decalcified, dehydrated, and embedded in paraffin, and 4-μm-thick sections were obtained and stained with hematoxylin–eosin and picrosirius red. The sections were studied under standard light, phase contrast, and polarization microscopy using a Leica DM 4000 B LED microscope (Leica Microsystems Wetzlar GmbH, Germany) with a Leica DFC 7000 T camera.
Cell culture
Bone marrow stromal cells (BMSCs) were obtained from rabbit cell cultures collected at N.N. Priorov National Medical Research Center of Traumatology and Orthopaedics, Moscow, Russia. After thawing and washing the cells from the cryopreservation medium, they were cultured in T25 flasks (TTP, Switzerland) using DMEM culture medium (Gibco, USA) supplemented with 10% fetal calf serum (Gibco, USA), 1% antibiotic/antimycotic (Gibco, USA), and 2-mM L-glutamine (PanEco, Russia) at 37°C in a humidified atmosphere with 5% CO2. The formation of a confluent monolayer was monitored using a NICON inverted microscope (Japan). When a cell coverage of 75% on the vial surface was achieved, the cells were detached from the bottom of the vial using a 0.25% trypsin solution with ethylenediaminetetraacetic acid (PanEco, Russia).
Cultivation of cells on the surface of the bone matrix
After detaching the adhesive culture of rabbit BMSCs from the surface of the vial, the suspension of viable cells was extracted and dispersed. The cells were then washed with DMEM (Gibco, USA). Then, bone matrix samples were placed at the bottom of the Petri dishes. Suspension cells were seeded onto the upper surface of xenogenic bone matrix samples at a density of 5 × 105 cells per 1 cm2. The Petri dishes were filled with fresh culture medium of the same composition and transferred to a CO2 incubator for further cultivation in an abacterial atmosphere with 5% CO2 for 4 days. The upper surface of the matrix samples, along with the cells, was strictly covered by a layer of culture medium.
For 4 days, the cells interacted with the bone matrix surface, resulting in focal contacts between the cells and matrix.
Rabbit BMSC cell lines from the fourth passage were used in this study. The absence of mycoplasma infection in the stromal cell culture was confirmed using the Hoechst 33258 staining protocol (Sigma, USA).
Scanning electron microscopy
Samples of bone matrix with attached stromal cells were removed from Petri dishes, washed with 0.1-M phosphate-buffered saline (PBS) at 37°C, and fixed for 2 hours in a 2% glutaric aldehyde solution in PBS. Prefixation was performed for 2 hours in a 1% OsO4 solution in PBS, followed by dehydration in a series of alcohols of increasing concentration and acetone. Dehydrated samples were dried using the apparatus for liquid replacement by critical point transition (HCP-2, Hitachi, Japan) and subjected to gold sputtering with the ion sputtering unit IB-3 (EIKO, Japan). The surface of the samples with cells was kept on top during sputtering. Then the samples were mounted on aluminum alloy tables for electron microscopy and examined using a Hitachi S-3400N scanning electron microscope (Japan).
Ethical review
the study was approved by the ethical committee of N.N. Priorov National Medical Research Center of Traumatology and Orthopaedics (meeting no. 3; March 22, 2023).
RESULTS
Study objects
this study focused on xenogenic tissue from the femur bones of a 24-month-old cattle. The source material was purchased from the Ostankino meat processing plant in Moscow, Russia. The bones were transported in chilled form and stored at 20°C in an MDF-794 freezer (Sanyo, Japan) to maintain their osteoinductive potential. Before cleaning, the bones were thawed, and the spongiosa bone was selected and fragmented into 10 × 10 × 10-mm pieces using a KT-210 band saw (KT Service, Russia).
The purification protocol consisted of two steps:
1) Primary purification:
- The sample was exposed to running water for 4 h using a PSU-20i orbital shaker (BioSan, Latvia) at 120 rpm under vacuum. The liquid-to-material volume ratio (V liquid/V material) was 10:1.
- The sample was exposed to a hypotonic solution (0.5% NaCl) for 2 h on a shaking table at 120 rpm under vacuum.
- The sample was exposed to 3% hydrogen peroxide (H2O2) solution (Samaramedprom, Russia) in an ultrasonic (US) bath PSB-12035-05 (PSB-Gals, Russia) at 40°C for 8 h.
2) Secondary purification:
- Supercritical fluid extraction was performed using a Water-5000 unit (Waters, USA) at a pressure of 450 bar and a temperature of +35°C. The flow rate of sk-CO2 was maintained at 2±0.5 mL/min for 8 h.
Following the purification protocol, the xenomatrix samples were examined using microtomographic, densitometric, and histological methods and scanning electron microscopy. Additionally, in vitro experiments were conducted on cell culture and in vivo experiments on laboratory animals.
Description of medical intervention
the medical intervention was an in vivo experiment.
Preclinical evaluation of the biocompatibility and resorption of xenogenic bone matrices was performed through in vivo studies on Wistar rats with a body weight of 250–300 g. The studies used a bone perforation model of the tibia of critical size (2/3 diameter) and a subcutaneous implantation model. All surgical procedures and animal husbandry were conducted according to the ethical guidelines for animal experimentation, including the European directive FELASA 2010/63/EU. The animals were anesthetized using a sequential intramuscular injection of 7 mg/kg tiletamine/zolazepam (Zoletil®, Virbac Laboratories, Carros, France) and 13 mg/kg xylazine hydrochloride (Merck, Darmstadt, Germany). The surgical site was shaved and disinfected with an antiseptic.
This study investigated the biological response at the interface between the xenogeneic bone matrix and soft tissue using a subcutaneous implantation model. To create the implantation sites, an incision was made along the spine, and the subcutaneous tissue was separated to form five pockets. Then, matrices were implanted into the pockets, and the animals were observed for 14 days (3 animals) and 1 month (3 animals).
The material was implanted into the defect area using a critical-size bone perforation model. The matrix size was adjusted to fit the defect. The implantation period lasted for 14 days (3 animals) and 1 month (3 animals). Tomographic and histological examinations were performed to evaluate resorption and biocompatibility.
A micro-CT was conducted in vivo after surgery and postmortem at 2 weeks and 1 month after implantation. Micro-CT was performed using a Bruker SkyScan 1178 scanner (Kontich, Belgium) with a voltage of 65 kV and a current of 615 μA, and a 0.5 mm A1 filter was used. The spatial resolution was 84 μm/pixel. The sections were reconstructed using NRecon software, version 1.6.10.4, and 3D reconstructions were performed using CT Vol 2.2.0.0 program.
For histological examination, the specimens were fixed in 10% formalin with neutral buffer, decalcified using a special acidic solution (SoftyDek, Biovitrum, Stockholm, Sweden), subjected to standard alcohol treatment, and placed in paraffin blocks. Subsequently, 4-μm-thick paraffin sections were stained with hematoxylin–eosin following standard protocols. The slides were examined using a Leica DM4000 B universal LED microscope with a Leica DFC7000 T digital video camera (Leica Microsystems, Wetzlar, Germany) following standard methods of light and phase-contrast microscopy.
Main results of the study
based on microtomographic and histological studies, no macroscopic changes in the trabecular bone structure were observed after exposure to our cleaning protocol. This is supported by the results of the tomographic study (Fig. 2). The bone trabeculae form a cellular network of normal cancellous bone, as shown in the histological study (Fig. 3). The bone matrix has a normal thin-fiber structure. According to the results of the tomographic study (Fig. 2), the clearance factor of the xenogenic bone matrix was approximately 0.91±0.05. Table 1 presents the proposed screening method based on micro-CT by the density range for the substance/tissue, which provides a quick assessment of the degree of clearance of the intertrabecular space. Although this method is coarse and cannot be used as the only control method, it is the least labor-intensive and fastest and can be applied for primary screening in the purification process.
Fig. 2. Results of tomographic examination: a — 3D reconstruction, b — micro-CT slice.
Fig. 3. Histological examination. Microscopy: a — bright field, hematoxylin-eosin, magnification ×50; b — polarized, picrosirius red, magnification ×50; c — phase contrast, hematoxylin-eosin, magnification ×100
Table 1. Density range for substance/fabric
Substance (tissue) | Hounsfield density range (HU) |
Air | -1000–-816 |
Intertrabecular tissue | -816–+301 |
Mineralized bone tissue | +314–+2487 |
The developed protocol involves a combination of hypotonic solution, running water, and hydrogen peroxide along with US to achieve effective cleaning without disrupting the bone structure, which was a crucial goal. The use of flowing water helps preserve the bone trabeculae, resulting in minimal osteocytes in the intertrabecular space. The literature indicates that hypotonic solutions can cause cell lysis through osmotic effects, with minimal changes in matrix molecules and architecture [15]. Based on our experimental results, prolonged hypotonic solution exposure can cause minor structural disturbances, such as thinning of bone trabeculae that are arranged more loosely and in parallel, which may lead to decreased bone density, elasticity, and resilience, resulting in increased bone fragility. Moreover, hypotonic solutions are effective in lysing cells but not in removing cellular debris [16]. Therefore, additional exposure is required to remove residual cellular fragments. These methods have an advantage over chemical methods in that they result in low immune reactions owing to the lack of exposure to chemical reagents that may remain in trace amounts after use. Physical methods are used to purify tissue by altering its physical characteristics, disrupting the cell membrane, inducing cell lysis, and removing cells and other contents [17].
Exposure to US can cause cell lysis; however, it is more commonly used to facilitate chemical exposure and cellular material removal. Hydrogen peroxide damages, inactivates, and eliminates various microorganisms by interacting with cell membrane lipids. The combined interaction of hydrogen peroxide and ultrasound increases the cleaning efficiency, which depends on hydrogen peroxide concentration. US treatment results in cell membrane integrity disruption, pore formation, and cell lysis. This leads to an increase in membrane permeability, which promotes and facilitates peroxide penetration deep into the matrix. In our study, bone matrix purification through fluid extraction proved to be an effective step in the purification protocol.
Xenogenic bone matrix is safe and effective for complete purification of the intertrabecular space of bone tissue from cellular components while preserving the micro- and macrostructure. This has been confirmed through in vitro experiments in cellular studies and in vivo experiments on experimental animals.
This study evaluated the cytotoxicity and biocompatibility of xenogeneic bone matrix and its ability to induce a cellular response. The viability, adhesive, and proliferative activity of rabbit BMSCs were investigated through cell culture experiments, followed by scanning electron microscopy of matrix samples with adherent bone marrow stromal cells transplanted on their surface.
Scanning electron microscopy of the xenogenic bone matrix revealed a confluent monolayer of adherent rabbit BMSCs cells on the bone-plastic material surface in the form of a suspension due to gravity. Rounded cells, which were distant from each other, were identified (Fig. 4). After 4 days of cultivation on the matrix surface, the cells had a longitudinally elongated shape and spread out while tightly adhering to each other. Newly synthesized collagen fibers were visible between the cell edges and underlying matrix. The cells measure approximately 80 μm in the longitudinal direction and 10–12 μm in the cross section. Confluent monolayer formation within 6 days indicates an ideal interaction between the cell culture and bone-plastic material. This may be because of the absence of cytotoxic substances in the matrix, optimal roughness, and good adhesive properties of the matrix surface, which are suitable for focal contact formation by bone marrow stromal cells and their adhesion, spreading, and proliferation. Cell spreading on the substrate is a mechanobiologic factor that stimulates cell division in adherent cultures. The supporting surface of the matrix is assumed to have a positive charge.
Fig. 4. Appearance of rabbit BMSCs when cultivated on the surface of a xenogeneic bone matrix on the 6th day after seeding (SEM study).
Based on CT data, the model of bone perforation in in vivo experiments showed that after implantation, the material adhered tightly to the bone walls and was located in the bone defect area, without any migration (Fig. 5). After 14 days, the material remained visible in the projection of the defect; however, partial resorption was observed. The area of the defect decreased, and regeneration formation from the bone edges was observed. No radiologic signs of inflammation were found. After 30 days of implantation, the material was observed in the projection of the defect, and significant resorption of the material was determined. It was mainly preserved in the medullary canal (Fig. 6). The defect area significantly reduced, and a pronounced bone callus with formed bone bridges running along the surface of the implanted material was noted.
Fig. 5. Orthogonal projections and 3D model of the rat tibia: a — at the time of implantation, b — after 14 days.
Fig. 6. Orthogonal projections and 3D model of the rat tibia: a — at the time of implantation, b — after 30 days.
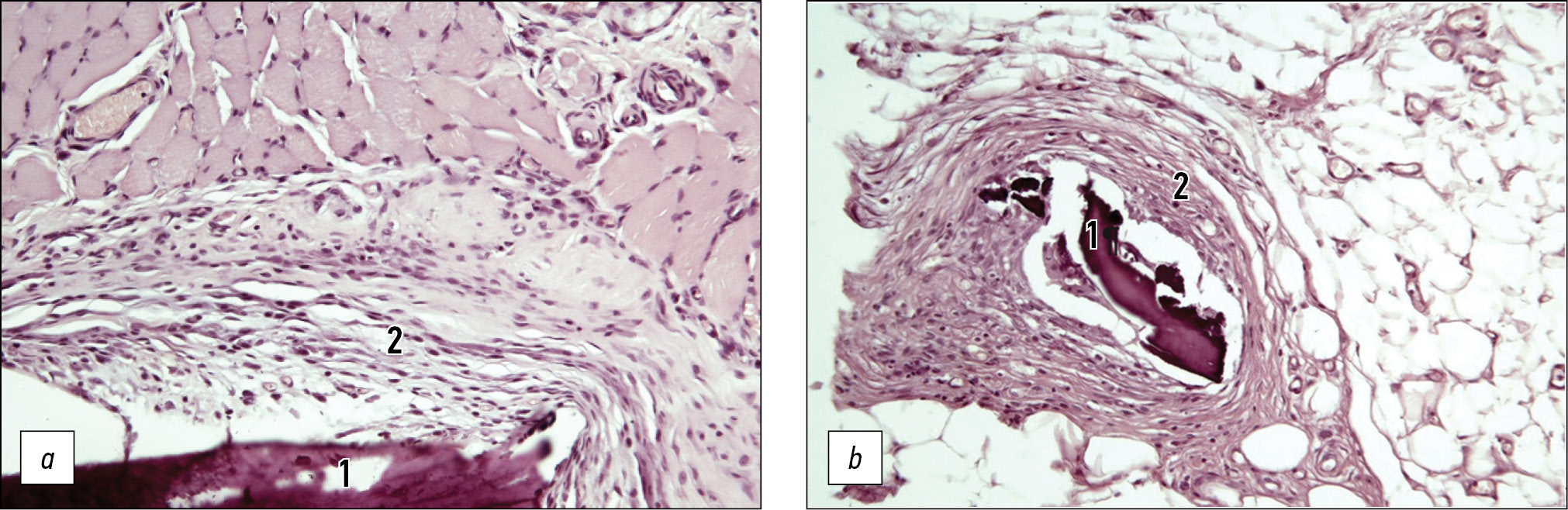
A morphological study showed that 14 days after subcutaneous implantation of the material, an immature connective tissue capsule had formed. The capsule had an inner layer adjacent to the implant and an outer layer bordering the fibers of the transverse striated muscles. The inner layer lacked neutrophilic leukocytes and contained loosely arranged histiocytes and a few unoriented fibroblasts. In contrast, the outer layer had fewer histiocytes and more fibroblasts, some of which formed bundles of oriented fibroblasts (Fig. 7a).
On day 30 after implantation, a connective tissue capsule had formed around the material. The capsule contained few cellular elements, predominantly oriented fibroblasts, and few histiocytes. Neutrophilic leukocytes and giant multinucleated foreign body cells were not detected (Fig. 7b). Bundles of collagen fibers were determined to have mostly developed in the outer layers of the formed connective tissue capsule, compared to the previous term of the study.
Fig. 7. Histological examination. Subcutaneous implantation. Standard light microscopy. Magnification ×200. Hematoxylin-eosin staining: a — on the 14th day (1 — implant fragment, 2 — forming connective tissue capsule, consisting of two layers); b — on day 30 (1 — implant fragment, 2 — maturing connective tissue capsule and forming bundles of collagen fibers).
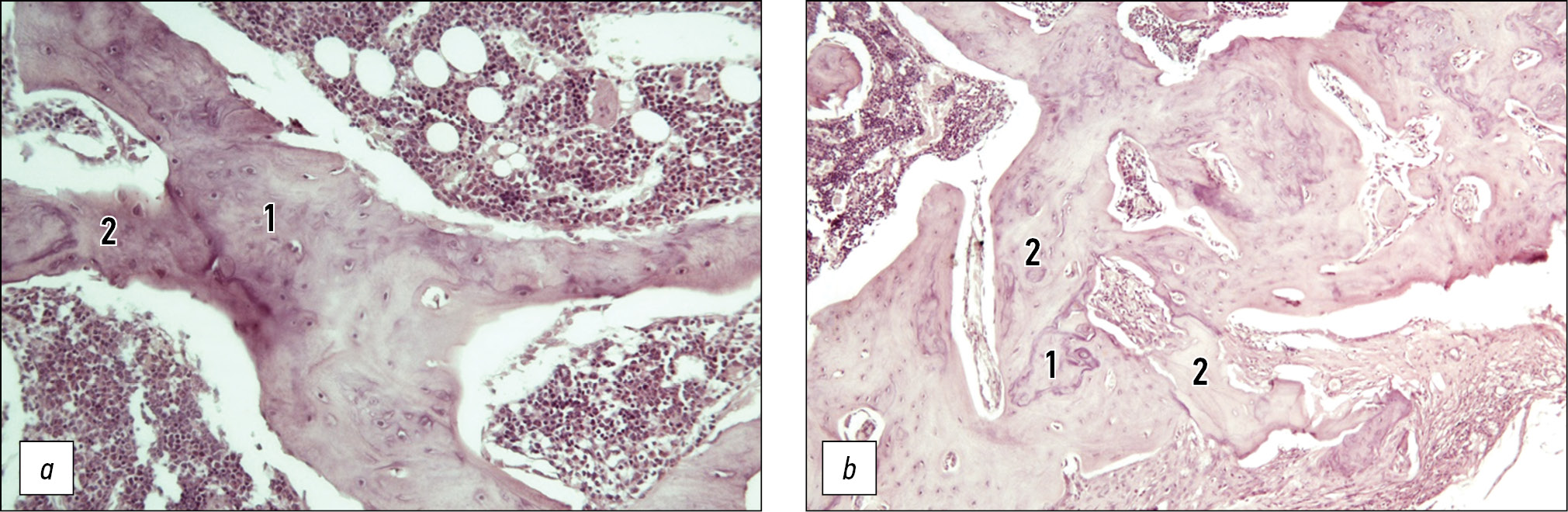
On day 14, the implanted material underwent partial cellular resorption in the bone defect. Newly formed immature osteoid bone with a trabecular structure was detected in the most mature areas near the endosteal surface of the cortical plate, whereas no lamellar bone was observed. Additionally, cells of hematopoietic bone marrow were detected near the recipient margin. The newly formed bone near the central area of the defect appeared to be less mature than that in the marginal zone. Implant fragments were covered with loose connective tissue containing histiocytes, fibroblasts, and vessels of varying sizes. No neutrophilic leukocytes were detected. The cortical plate remained open, and an intermediate bone callus was observed (Fig. 8a).
By day 30 after implantation, the implant gradually resorbed, and relatively mature bone structures with a lamellar structure and osteons formed in the bone defect area. Furthermore, a cellular array of hematopoietic bone marrow was determined. At this point, the defect was almost closed because of the intermedial bone callus, and the implanted material was found in separate small fragments without osteocytes (Fig. 8b), and no signs of inflammatory reactions were found in any of the cases studied. No pronounced leukocytic or histiocytic reaction and no formation of giant multinucleated foreign body cells were detected.
Fig. 8. Histological examination. Bone implantation. Standard light microscopy. Magnification ×200. Hematoxylin-eosin staining: a — on the 14th day (1 — fragment of the implant, 2 — newly formed bone on the surface of the implant); b — on day 30 (1 — implant fragment, 2 — newly formed bone).
Adverse events
no adverse events were observed during the study.
DISCUSSION
Summary of the main result of the study
the xenosilver processing protocol was developed and proven effective through various evaluation methods. However, monotechnology evaluation may not accurately reflect the true state of the material. Therefore, multiple methods should be used when performing quality control to verify the purity of the implant.
Discussion of the main result of the study
the proposed bone matrix purification protocol enables decellularization of the raw material, thereby reducing the risk of rejection and ensuring safe material implantation. Moreover, the purification process, without the use of physical methods, is an ineffective method for implant preparation. The data obtained from in vitro and in vivo experiments may be beneficial in obtaining high-quality products when implementing the developed technology.
Study limitations
the study’s main limitation was the small number of animals included, which prevented drawing statistically significant conclusions. This limitation negatively affected the evaluation of implant efficacy. Further research is planned to expand on this topic.
CONCLUSIONS
This study investigated the effectiveness of a protocol for clearing xenogenic spongiosa bone tissue using physical and chemical methods in both in vitro and in vivo experiments. Histological and tomographic examinations of the matrices confirmed complete purification of the intertrabecular space from blood vessels and cellular elements and preservation of the microarchitectonics of native bone tissue.
Results showed that the xenogenic bone matrix, purified according to the developed protocol, is suitable for the adhesion and spreading of BMSCs in vitro and is bio- and cytocompatible and can provide mechanical support for cell proliferation and association into a cell layer under culture conditions. These characteristics are crucial for the effective stimulation of regenerative osteogenesis in living organisms. The histological data of the in vivo experiment confirmed the absence of an inflammatory reaction after implantation in both the soft tissues and formed bone defect. Regeneration occurs at the bone edges, indicating the material’s osteoconductive properties. The presence of mature bone in the regenerate and almost complete closure of the defect by day 30 indicate good regenerative potential.
ДОПОЛНИТЕЛЬНО
Вклад авторов. Все авторы подтверждают соответствие своего авторства международным критериям ICMJE (все авторы внесли существенный вклад в разработку концепции, проведение исследования и подготовку статьи, прочли и одобрили финальную версию перед публикацией). Наибольший вклад распределён следующим образом: Д.В. Смоленцев — обзор литературы, сбор и анализ литературных источников, написание текста и редактирование статьи, оперирование лабораторных животных, проведение микротомографии; Ю.С. Лукина — обзор литературы, сбор и анализ литературных источников, подготовка и написание текста статьи, проведение микротомографии; Л.Л. Бионышев-Абрамов — сбор и анализ литературных источников, оперирование лабораторных животных, проведение микротомографии; Н.Б. Сережникова, Г.Н. Берченко — гистологические исследования; А.В. Ковалёв — клеточные испытания.
Источник финансирования. Авторы заявляют об отсутствии внешнего финансирования при проведении исследования и подготовке публикации.
Конфликт интересов. Авторы декларируют отсутствие явных и потенциальных конфликтов интересов, связанных с проведённым исследованием и публикацией настоящей статьи.
ADDITIONAL INFO
Author contribution. All authors made a substantial contribution to the conception of the work, acquisition, analysis, interpretation of data for the work, drafting and revising the work, final approval of the version to be published and agree to be accountable for all aspects of the work. D.V. Smolentsev — literature review, collection and analysis of literary sources, writing and editing the article, operating on laboratory animals, conducting microtomography; Yu.S. Lukina — literature review, collection and analysis of literary sources, preparation and writing of the article, conducting microtomography; L.L. Bionyshev-Abramov — collection and analysis of literary sources, operating on laboratory animals, conducting microtomography; N.B. Serezhnikova, G.N. Berchenko — histological studies; A.V. Kovalev — cell tests.
Funding source. This study was not supported by any external sources of funding.
Competing interests. The authors declare that they have no competing interests.
About the authors
Dmitriy V. Smolentsev
Priorov Central Institute for Trauma and Orthopedics
Author for correspondence.
Email: SmolentsevDV@cito-priorov.ru
ORCID iD: 0000-0001-5386-1929
Russian Federation, Moscow
Yulia S. Lukina
Priorov Central Institute for Trauma and Orthopedics
Email: lukina_rctu@mail.ru
ORCID iD: 0000-0003-0121-1232
SPIN-code: 2814-7745
Cand. Sci. (Tech.)
Russian Federation, MoscowLeonid L. Bionyshev-Abramov
Priorov Central Institute for Trauma and Orthopedics
Email: sity-x@bk.ru
ORCID iD: 0000-0002-1326-6794
Russian Federation, Moscow
Natalya B. Serejnikova
Sechenov First Moscow State Medical University
Email: natalia.serj@yandex.ru
ORCID iD: 0000-0002-4097-1552
SPIN-code: 2249-9762
Cand. Sci. (Biol.)
Russian Federation, MoscowAlexey V. Kovalev
Priorov Central Institute for Trauma and Orthopedics
Email: kovalevav@cito-priorov.ru
ORCID iD: 0000-0003-1277-5228
SPIN-code: 2413-5980
MD, Cand. Sci. (Med.)
Russian Federation, MoscowGennadiy N. Berchenko
Priorov Central Institute for Trauma and Orthopedics
Email: berchenkogn@cito-priorov.ru
ORCID iD: 0000-0002-7920-0552
SPIN-code: 3367-2493
MD, Dr. Sci. (Med.)
Russian Federation, MoscowReferences
- Pelegrine AA, Teixeira ML, Sperandio M, et al. Can bone marrow aspirate concentrate change the mineralization pattern of the anterior maxilla treated with xenografts? A preliminary study. Contemp Clin Dent. 2016;7(1):21–6. doi: 10.4103/0976-237X.177112
- Barone A, Aldini NN, Fini M, et al. Xenograft versus extraction alone for ridge preservation after tooth removal: a clinical and histomorphometric study. J Periodontol. 2008;79(8):1370–7. doi: 10.1902/jop.2008.070628
- Brugnami F, Then PR, Moroi H, et al. GBR in human extraction sockets and ridge defects prior to implant placement: clinical results and histologic evidence of osteoblastic and osteoclastic activities in DFDBA. Int J Periodontics Restorative Dent. 1999;19(3):259–67.
- Esposito M, Grusovin MG, Felice P, et al. The efficacy of horizontal and vertical bone augmentation procedures for dental implants — a Cochrane systematic review. Eur J Oral Implantol. 2009;2(3):167–84.
- Vo TN, Kasper FK, Mikos AG. Strategies for controlled delivery of growth factors and cells for bone regeneration. Advanced Drug Delivery Reviews. 2012;64(12):1292–1309. doi: 10.1016/j.addr.2012.01.016
- Belthur MV, Conway JD, Jindal G, Ranade A, Herzenberg JE. Bone graft harvest using a new intramedullary system. Clin Orthop. 2008;466(12):2973–2980. doi: 10.1007/s11999-008-0538-3
- Conway JD. Autograft and nonunions: morbidity with intramedullary bone graft versus iliac crest bone graft. Orthop Clin North Am. 2010;41(1):75–84. doi: 10.1016/j.ocl.2009.07.006
- Schwartz CE, Martha JF, Kowalski P, Wang DA, Bode R, Li L, Kim DH. Prospective evaluation of chronic pain associated with posterior autologous iliac crest bone graft harvest and its effect on postoperative outcome. Health Qual Life Outcomes. 2009;7:49. doi: 10.1186/1477-7525-7-49
- Bigham AS, Dehghani SN, Shafiei Z, Torabi Nezhad S. Xenogenic demineralized bone matrix and fresh autogenous cortical bone effects on experimental bone healing: radiological, histopathological and biomechanical evaluation. J Orthop Traumatol. 2008;9(2):73–80. doi: 10.1007/s10195-008-0006-6
- Erkhova LV, Panov YM, Gavryushenko NS, et al. Supercritical Treatment of Xenogenic Bone Matrix in the Manufacture of Implants for Osteosynthesis. Russ J Phys Chem B. 2020;14(7):1158–1162. doi: 10.1134/S1990793120070064
- Brydone AS, Meek D, Maclaine S. Bone grafting, orthopaedic biomaterials, and the clinical need for bone engineering. Proceedings of the Institution of Mechanical Engineers, Part H: Journal of Engineering in Medicine. 2010;224(12):1329–1343. doi: 10.1243/09544119jeim770
- Thangarajah T, Shahbazi S, Pendegrass CJ, Lambert S, Alexander S, Blunn GW. Tendon Reattachment to Bone in an Ovine Tendon Defect Model of Retraction Using Allogenic and Xenogenic Demineralised Bone Matrix Incorporated with Mesenchymal Stem Cells. PLoS One. 2016;11(9):e0161473. doi: 10.1371/journal.pone.0161473
- Sackett SD, Tremmel DM, Ma F, Feeney AK, Maguire RM, Brown ME, et al. Extracellular matrix scaffold and hydrogel derived from decellularized and delipidized human pancreas. Sci Rep. 2018;8(1):1–16. doi: 10.1038/s41598-018-28857-1
- Hussey GS, Dziki JL, Badylak SF. Extracellular matrix-based materials for regenerative medicine. Nat Rev Mater. 2018;3(7):159–73. doi: 10.1038/s41578-018-0023-x
- Keane TJ, Swinehart IT, Badylak SF. Methods of tissue decellularization used for preparation of biologic scaffolds and in vivo relevance. Methods. 2015;84:25–34. doi: 10.1016/j.ymeth.2015.03.005
- Hillebrandt KH, Everwien H, Haep N, Keshi E, Pratschke J, Sauer IM. Strategies based on organ decellularization and recellularization. Transpl Int. 2019;32(6):571–85. doi: 10.1111/tri.13462.
- Nonaka PN, Campillo N, Uriarte JJ, et al. Effects of freezing/thawing on the mechanical properties of decellularized lungs. J Biomed Mater Res — Part A. 2014;102(2):413–419. doi: 10.1002/jbm.a.34708
Supplementary files











