Evaluation of the elemental composition and radiological density of bone tissue when replacing a metaphyseal defect with bioceramic phosphate-silicate granules (experimental study)
- Authors: Rozhdestvenskiy A.A.1, Dzuba G.G.1, Polonyankin D.A.2
-
Affiliations:
- Omsk State Medical University
- Omsk State Technical University
- Issue: Vol 31, No 3 (2024)
- Pages: 351-366
- Section: Original study articles
- Submitted: 13.12.2023
- Accepted: 27.03.2024
- Published: 17.07.2024
- URL: https://journals.eco-vector.com/0869-8678/article/view/624522
- DOI: https://doi.org/10.17816/vto624522
- ID: 624522
Cite item
Abstract
Background: It is known that bioceramic implants containing various calcium or silicon compounds in isolation demonstrate osteoconductive effect in the replacement of post-traumatic bone defects. The combined use of these elements in single material should potentiate the organotypic filling of the bone cavity by creating favorable ion microenvironment and staged biodegradation.
AIM: To identify the correlation of radiological indicators of the density of newly formed bone tissue and content of micro- and macronutrients in a bone defect when it is replaced by bioceramics with various mass ratio of calcium phosphate and silicate.
MATERIALS AND METHODS: The study was performed on male rabbits of the “white giant” breed, which, after receiving a standardized delimited metaphysical bone defect, implants with variable ratio of calcium phosphate and calcium silicate (in proportions of 40/60, 50/50 and 60/40 wt. %) were used to replace it. The results were evaluated using multispiral computed tomography and scanning electron microscopy energy dispersive analysis with detection by the method of correlation analysis of possible connections between the obtained data.
RESULTS: Quantitative indicators of calcium and phosphorus content in bone regenerate in all groups increased mainly in the period from 30 to 60 days, and silicon content, reaching maximum amounts by the 30th day of the experiment, subsequently decreased monotonously, which showed participation of this element in the starting regenerative processes, and its decrease served as a marker of organotypic restructuring. In the elemental analysis of newly formed bone tissue during implantation of bioceramics containing phosphate and calcium silicate in the proportion of 60/40 wt. %. The highest amounts of calcium, phosphorus and silicon and the highest density of newly formed bone tissue were noted, which had direct correlation, and this pattern was observed both in the early stages (30 days) and throughout the experimental study.
CONCLUSION: Analyzing the data obtained, it can be concluded that it is advisable to study the features of the course of reparative osteogenesis depending on the ionic environment, as well as the high potential of using synthetic bioceramics in general and the prospects of using implants on the basis of phosphate-silicate composites for bone defects replacement.
Full Text
BACKGROUND
Bone tissue deficiency resulting from osteodestructive processes requires organotypic replenishment. In addition to posttraumatic osteogenesis [1] and Ilizarov bone transport methods [2], free bone autograft implantation is an ideal method for bone tissue restoration, which has been recognized in orthopedics in recent decades [3]. With the development of medical technologies and a detailed study of the patterns of bone tissue reparation, the optimal range of materials used increasingly includes bioceramic implants that have undergone a transformation from bioinert and biotolerant to those that optimize and potentiate reparative regeneration at cellular and molecular levels [4]. Owing to its biochemical composition, the implant induces a favorable microenvironment, affecting the elemental composition of the bone, which has an activating effect on osteogenic differentiation of cells, and its staged degradation contributes to the organotypic replacement of the bone defect [5]. Hence, researchers are particularly interested in studying essential (magnesium, copper, zinc, manganese, and iron) and conditionally essential (boron and silicon) microelements of bone tissue, which have varying mechanisms of action in reparative regeneration and can therefore be differentially used in implantable materials. For example, it was revealed that copper, manganese, and zinc are cofactors of enzymes responsible for the synthesis of collagen and glycosaminoglycans, which in turn serve as the basis for bone matrix restoration [6], and their combined deficiency leads to a significant decrease in the calcium level in skeletal tissues [7]. Boron has a dose-dependent effect on the differentiation of bone marrow stromal cells. At a concentration of up to 100 ng/ml, it induces a positive effect, which is confirmed by an increase in levels of osteocalcin; type I collagen; bone morphogenesis proteins 4, 6, and 7; osteopontin, bone sialoprotein, and Runx2; however, at a level >1000 ng/ml, boron inhibits histogenesis [8, 9]. Silicon is crucial in the synthesis of sialoproteins and type I collagen [10] and activates the differentiation of osteoblasts, thereby increasing the osteogenic cellular potential [11]. Several studies have shown that at the initial stages of reparation, the contents of phosphorus and calcium in the intercellular fluid relatively increase, and the concentration of silicon significantly increases by 150–200 times [12]. In the future, as the bone regenerate matures, a reverse trend is expected, including a decrease in the silicon content and an increase in phosphorus and calcium levels [13]. Such a pattern can serve as a marker of an adequate course of the reparative process.
Thus, data on the active participation of silicon in osteogenesis indicate the possibility of developing artificial implantable materials used to replace bone defects, containing silicon along with calcium and phosphorus. Testing of such composites and studying the dynamics of changes in the content of these elements in reparative regeneration of bone tissue are relevant.
This study aimed to identify the correlation between radiographic indicators of the density of newly formed bone tissue and the content of micro- and macroelements in a bone defect when it is replaced with bioceramics with different mass ratios of phosphate and calcium silicate.
MATERIALS AND METHODS
RESEARCH DESIGN
An experimental, single-center, prospective, blind, continuous, controlled study was conducted.
ELIGIBILITY CRITERIA
The study was performed on 3-month-old male white giant rabbits weighing 4000±200 grams.
STUDY CONDITIONS
The study was conducted at the Omsk State Medical University (OmSMU) of the Ministry of Health of Russia.
METHOD OF MEDICAL INTERVENTION
An implant with a variable ratio of calcium phosphate (hydroxyapatite, HA, Ca10(PO4)6(OH)2) and calcium silicate (wollastonite [WT] and β-CaSiO3) containing gelatin as a binding component (RU patent no. 2785143, dated 12/05/2022) was developed and manufactured at OmSMU. Macroscopically, the implant represented a set of spherical granules ranging in size from 0.2 mm to 1.0 mm in diameter, containing HA/WT in a proportion of 60/40 wt.%, 50/50 wt.%, and 40/60 wt.%. The use of these ratios was explained by the choice of the starting point of the study, which was determined at equilibrium amounts of the components, and by identifying the potential for improving regeneration with an increase in the proportion of calcium phosphate or silicate.
Table 1 presents the elemental composition of the initial powders from which the implantable granules were made.
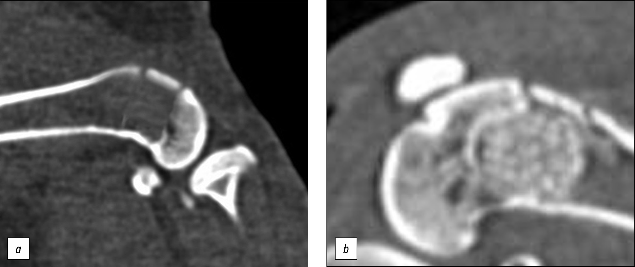
Fig. 1. CT of the metaphyseal defect area: a — the zone of compression defect of the distal metaphysis of the femur of a laboratory animal, group 1 (CT-scan), b — the zone of compression defect of the distal metaphysis of the femur of a laboratory animal, group 3 (CT-scan).
Table 1. The composition of composite powders used to produce granules and the proportion of gelatin in granules, wt. %
HA / WO | Mass fractions of elements in powders | Proportion of gelatine | ||
calcium | phosphorus | silicon | ||
60/40 | 35.3±0.2 | 9.9±0.1* | 8.8±0.2* | 18.7±0.5 |
50/50 | 33.9±0.6 | 8.5±0.2 | 10.7±0.7 | 18.4±0.7 |
40/60 | 33.6±0.7 | 6.8±0.1* | 12.7±0.4* | 20.4±0.3 |
Note. * — differences between groups are statistically significant, HA — hydroxyapatite, WO — wollastonite.
No significant differences were found in the mass fractions of calcium and gelatin in the initial powders in all groups. The highest amount of phosphorus was noted in the 60/40 group, which had a significant difference with the 40/60 group, and that of silicon was observed in the 40/60 group, which was significantly different from the 60/40 group.
Table 2 shows some physical characteristics of the implantable granules.
Table 2. Physical characteristics of granules
HA / WO, weight.% | HV0.02, Mpa | ρav., g/cm3 | ρtrue, g/cm3 | P, % |
60/40 | 22.2±0.4 | 1.09±0.03 | 2.35±0.07 | 52.2±2.1 |
50/50 | 26.7±0.4 | 1.07±0.03 | 2.61±0.12 | 59.6±2.2 |
40/60 | 24.1±0.3 | 1.01±0.04 | 2.27±0.14 | 55.4±3.0 |
Note. HV0,02 — Vickers microhardness, ρav, ρtrue — average and true density of granules, P — granule porosity, HA — hydroxyapatite, WO — wollastonite.
The physical properties of the granules at any ratios of the initial elements did not differ, and the specified parameters of the proposed implantable material seemed comparable and optimal in terms of physicochemical characteristics for its use in replacing bone defects.
The animals were randomly divided into four groups (24 animals in each group): the control group (group 1), wherein the defect was not filled, and three main study groups, wherein the animals were implanted with a material with different ratios of calcium phosphates and silicates into the formed bone defect (group 2 with HA/WT ratio 60/40 wt.%, group 3 with HA/WT ratio 50/50 wt.%, and group 4 with HA/WT ratio 40/60 wt.%). Subsequently, at days 30, 60, and 90, eight animals of each group were withdrawn to analyze the results of the experimental study.
All animals underwent a standardized compression defect of the metaepiphyseal part of the femur under intramuscular sedation with a solution of tiletamine hydrochloride and zolazepam hydrochloride (with the dosage calculated based on body weight), which was filled with the test material in the experimental groups, whereas in the control group, plastic replacement of the defect was not performed. Surgery involved the formation of a full-layer fragment of the cortical plate measuring 10 × 5 mm along the anterior–outer surface of the distal metaepiphysis using a milling saw, followed by its impression to a depth of 8 mm. Moreover, the volume of the formed defect cavity was identical in all series of the experiment and amounted to 400±20 mm3 (RU patent no. 20802431, dated August 28, 2023). After elevation of the osteotomized fragment, the formed post-compression bone cavity remained intact (Fig. 1a), or 0.4 cm3 of synthetic material was placed in the defect site (Fig. 1b). The cortical plate was fixed in the maternal bed, and the soft tissues were sutured layer by layer.
OUTCOME RECORDING METHODS
Bone tissue response to implantation and the dynamics of reparative processes were monitored by X-ray examination (Toshiba Radrex digital X-ray diagnostic complex) and multispiral computed tomography (MSCT, Toshiba Aquilion CXL 128 X-ray computed tomograph) at the initial stages of follow-up (on day 7 after surgery), and on days 30, 60, and 90 after implantation. The density of newly formed bone tissue was measured using MSCT scans in the sagittal projection in standardized indices, Hounsfield units (HU) in five selected identical points located in the area of the proximal, distal sections and the geometric center of the bone cavity, subcortical zones under the resected part, and the contralateral cortical plates. When compared in groups, the indices were summed up and subjected to statistical analysis according to the Misch scale [14], proposed for assessing newly formed bone tissue with the allocation of four variants of regenerate density indices depending on the measurement results. In variant 1, the density exceeding 1250 HU corresponded to an isolated initial layer of compact bone; that from 850 to 1250 HU corresponded to bone with uniform expression of compact and spongy substance, that from 350 to 850 HU corresponded to bone with a porous compact plate and loose spongy substance, and that less than 350 HU corresponded to an almost complete absence of a compact layer and unformed trabecular spongy bone.
The elemental composition of the tissue in the area of the bone defect being replaced was analyzed with scanning electron microscopy and energy-dispersive analysis (SEM-EDA) using a JCM-5700 scanning electron microscope equipped with a JED-2300 (JEOL) X-ray energy-dispersive spectrometer. The average longitudinal section 2 mm thick of the metaphyseal femur in the defect area was assessed in animals withdrawn from the experiment on days 30, 60, and 90. Before the analysis, soft tissues, including the periosteum, were carefully removed from the surface of the bone fragment, and then the bone was dried at 38°C for 4 weeks. To orient the structure of the defect, milling grooves were applied to the macropreparation, limiting the defect area. The study field was lowered by 4 mm from the center of the resected cortical plate, thereby reaching the center of the defect. Using the SEM-EDA method, micrographs and data on the content of calcium, phosphorus, and silicon in the samples and maps of their distribution in the structure of the near-surface layer of the studied bone tissue fragment were obtained.
STATISTICAL ANALYSIS
Statistical processing of the results was performed on a personal computer using statistical functions in Microsoft Excel 2020 and the Statistica 10.0 application package. As part of descriptive statistics, the indicators of the median, lower, and upper quartiles were calculated. To test the hypothesis of normal data distribution, a Gaussian curve was used. The hypothesis of normality was rejected in most samples; thus, the significance of differences was determined using nonparametric statistics. To compare two independent groups, the Mann–Whitney U-test was used. The critical level of significance when testing statistical hypotheses was 0.05. To identify possible relationships between the signs, a correlation analysis was performed using the Spearman rank correlation method. As a result, a number of correlation coefficients (rs) were obtained for the number of variables selected for analysis.
ETHICAL CONSIDERATIONS
The study was performed in compliance with the principles of humanity set out in the directives of the European Community (86/609 / EEC) and the Helsinki Declaration, based on the approval of the Ethics Committee of OmSMU (no. 128, dated 02/03/2021).
RESULTS
In the postoperative period, the experimental animals were under daily follow-up with control and assessment of vital and laboratory parameters. In days 1–6, changes in the clinical status and behavior of rabbits were observed. In the first 24 hours, the study animals were apathetic, adynamic, did not lean on the operated limb, and refused food. By the end of day 6, the animals had fully restored mobility, appetite, and support ability of the operated limb. In the early postoperative period (day 12), one of the rabbits in the control group had a femur fracture in the area of the formed defect; a slight displacement of the fragments allowed it not to be excluded from the study. In the remaining animals, no traumatic or bacterial complications were detected, which allowed the study to be completed to the final point of withdrawal from the experiment [15].
Control MSCT study performed on day 7 after surgery showed that in all the main groups, the granules completely filled the formed defect, whereas no signs of their migration and pathological periosteal or endosteal reaction were noted. The median density on day 7 after implantation in all experimental groups of animals were very close and ranged from 290 to 305 HU (p >0.05). The median tissue density in the defect area in the control group without implantation of the material at the same time was 108 HU, which was significantly lower than those in the experimental groups.
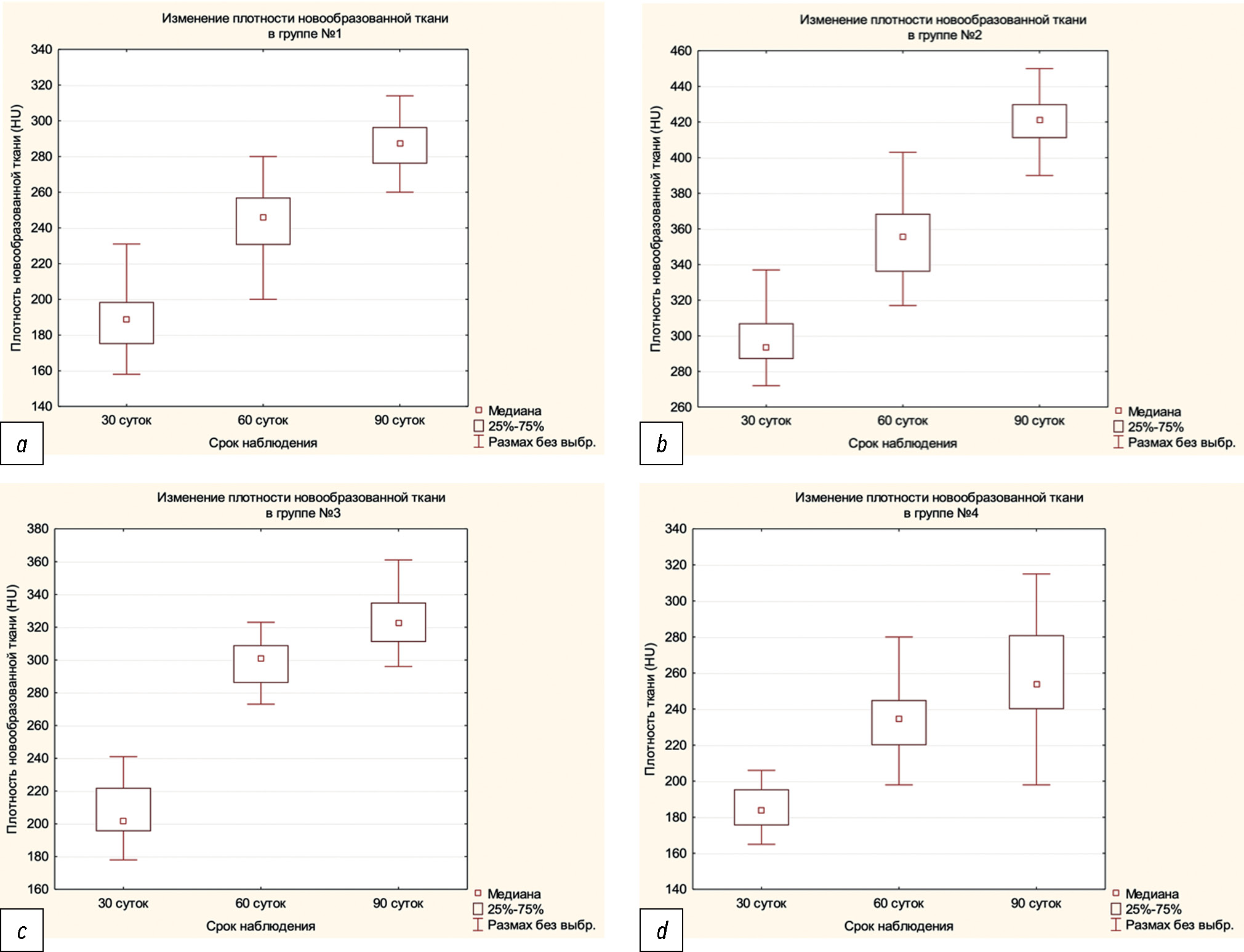
Fig. 2. Density indicators of newly formed bone tissue in the implantation zone of the material in groups: a — group 1, b — group 2, c — group 3, d — group 4.
Subsequently, the MSCT presentation in the control group and in the groups with implantation of materials with different ratios of calcium phosphate and silicate was heterogeneous; however, in all groups, the bone tissue density indicators significantly increased by week 12 of the study (Fig. 2). Thus, in group 1 (Fig. 2a), the average tissue density in the area of the formed defect by the end of the first 4 weeks was 189.1 [175.0; 198.5] HU, and by week 12, demonstrating consistent positive dynamics, it reached 287.1 [276.0; 296.5] HU. Such relatively high average data did not fully correspond to the MSCT presentation, wherein convincing signs of bone regeneration were revealed only in the area of the osteotomized cortical layer and the adjacent endosteal zone. In the central parts of the metaphyseal defect, the parameters of the tissue filling the defect were significantly lower than the density indicators characteristic of unformed spongy bone, which determined the minimum level of the integrative result, which did not correspond to type 4 according to the Misch classification.
In group 2 (Fig. 2b), according to the MSCT study results, after 30 days of follow-up, the newly formed tissue with inadequate homogeneity occupied almost the entire volume of the bone defect and reached the minimum values of intact bone in density, corresponding to type 4 according to the Misch classification. Subsequently, throughout the entire follow-up period, a stable tendency toward compaction and restructuring of the bone regenerate was noted, as expressed in achieving an average density of 421.0 [411.0; 430.0] HU by day 90 (type 3 according to the Misch classification), and the dispersion of indicators in different studied areas became minimal.
In group 3 (Fig. 2c), according to the MSCT study, on day 30 after surgery, the average value of the density of newly formed tissue was 202.0 [195.5; 222.0] HU, which was significantly lower than the standard density values of bone tissue according to Misch. The density that determines unformed bone was not achieved by day 90 of the study (322.5 [311.0; 335.1] HU), with a non-critical spread of maximum and minimum values.
Moreover, less positive dynamics of osteogenesis was recorded in group 4 (Fig. 2d) according to MSCT data. On day 30 of follow-up, the average value of the density of newly formed tissue was almost two times lower than the density of unformed spongy bone and amounted to 184.0 [175.5; 195.5] HU. An 18% increase by day 60 and a less obvious 7% improvement by day 90 allowed this indicator to approach only a little closer; however, it still did not correspond to the bone density of type 4 according to the classification of S. Misch.
In assessing the dynamics of the studied indicators in different groups, it should be noted that by day 30 of the experiment, the average value of bone density in group 2 significantly exceeded the similar result in other groups (p <0.01); however, the growth of the parameter in question in days 30–60 was most pronounced in group 3 (p=0.0474), milder in groups 1 and 4 (p=0.0481), and weaker in group 2 (p=0.0491). In days 60–90, the greatest increase in bone density was registered in group 2 (p=0.042), and less intense and almost identical dynamics were revealed in the other experimental groups (p=0.046). Moreover, the final integrative indicators in days 60 and 90 indicated complete replacement of the defect with newly formed bone tissue with obvious signs of the beginning of organotypic restructuring in group 2 (p <0.01). The studied indicators in groups 1 and 4 demonstrated similar dynamics and very close values at the control points of the study, confirming the slow, incomplete, and uneven replacement of the defect with unformed spongy bone (p=0.048). In group 3, despite a significant increase in bone density in days 30–60 of follow-up, which reached 63.8%, the final result by day 90 (with an increase dynamics of 22.2% from days 60–90) did not reach the reference values characteristic of unformed spongy bone (p=0.046) (Fig. 3).
Fig. 3. Diagram of the average density of newly formed bone tissue in the groups during the entire follow-up period.
Table 3. Changes in the content of calcium, phosphorus and silicon on the surface of the cut of newly formed bone tissue (according to the terms of the experiment), Me [LQ; HQ]
Elements | Timing | Groups | |||
Control | 60/40 | 50/50 | 40/60 | ||
Calcium, weight.% | day 30 | 14.61 [13.95; 15.22] | 20.61 [19.75; 21.55]* | 14.75 [12.1; 16.11] | 11.31 [10.29; 12.72] |
day 60 | 26.11 [23.75; 28.45] | 35.51 [32.75; 40.01]* | 24.7 [22.45; 27.65] | 19.95 [17.26; 21.55] | |
day 90 | 28.41 [26.15; 30.22] | 36.02 [30.93; 38.25]* | 24.08 [21.95; 26.95] | 21.75 [19.55; 23.51] | |
Phosphorus, weight.% | day 30 | 6.64 [6.39; 7.18] | 15.58 [13.67; 17.41]* | 12.55 [10.76; 14.65]* | 8.69 [7.84; 9.41]* |
day 60 | 10.10 [9.73; 11.49] | 17.71 [16.35; 18.95]* | 13.53 [11.41; 16.65]* | 12.02 [9.63; 13.11] | |
day 90 | 11.75 [11.23; 12.32] | 18.56 [17.94; 19.17]* | 14.11 [12.18; 15.35]* | 11.61 [10.58; 12.44] | |
Silicon, weight.% | day 30 | 0.75 [0.51; 0.81] | 1.95 [1.79; 2.15]* | 1.45 [1.15; 1.74]* | 0.98 [0.91; 1.15] |
day 60 | 0.23 [0.21; 0.28] | 0.51 [0.25; 0.81]* | 0.17 [0.11; 0.33] | 0.13 [0.03; 0.18] | |
day 90 | 0.04 [0.02; 0.09] | 0.17 [0.08; 0.23]* | 0.11 [0.05; 0.19]* | 0.05 [0.02; 0.07] | |
Note. * — differences between groups are statistically significant (p <0.05).
At the next stage of the study, the bone samples were analyzed using the EDA method. In assessing the amount of calcium, phosphorus, and silicon in the bone tissue of the area of the repaired defect, similar dynamics of the ratio of elements in the study area were recorded in all groups, and the dynamics of changes in absolute quantitative values were the same (p=0.041). However, calcium, phosphorus, and silicon content significantly differed between the groups at different times of the study (Table 3). Calcium levels increased predominantly throughout the monitoring period in all groups (p <0.04). However, they reached their highest value in group 2 by day 30 of follow-up and, at all subsequent times, exceeded the indicators in other groups by 18.3%–44.6% (p=0.03), with a relatively more uniform distribution of elements in the studied areas (Fig. 4).
Fig. 4. Micrography of the surface of a bone sample of a laboratory animal with implantation of granules of the composition HA/WT 60/40 wt.% on day 30 (a, b), maps of the distribution of calcium (c), phosphorus (d) and silicon (e) in this area.
Table 4. The distribution of trace elements in the structure of the newly formed tissue on the 90th day of the study, Me [LQ; HQ]
Group | Calcium, weight.% | Phosphorus, weight.% | Silicon, weight.% |
1 | 28.41 [26.15; 30.22] | 11.75 [11.23; 12.32] | 0.04 [0.02; 0.09] |
2 | 36.02 [30.93; 38.25] | 18.56 [17.94; 19.17] | 0.17 [0.08; 0.23] |
3 | 24.08 [21.95; 26.95] | 14.11 [12.18; 15.35] | 0.11 [0.05; 0.19] |
4 | 21.75 [19.55; 23.51] | 11.61 [10.58; 12.44] | 0.05 [0.02; 0.07] |
The final calcium levels in the group without bioceramic implantation exceeded those in groups 3 and 4 (p=0.045). Similar dynamics were revealed in the change in phosphorus content in the samples (p=0.045). However, unlike calcium, the final mass fractions of phosphorus in groups 1, 3, and 4 were statistically proportionate, although they remained one-third less than that in group 2 on average (p=0.046). The silicon content in all groups demonstrated the opposite trend, as it changed from maximum amounts on day 30 of the experiment to an almost tenfold decrease by day 90. The highest silicon content in the bone defect area was registered in the group of animals that were implanted with a material containing the smallest amount of calcium silicate (group 2, HA/WT 60/40 wt.%). Moreover, the silicon content in the samples decreased at all stages of the study as the proportion of silicon salt in the granules increased (from 40 to 60 wt.% when changing from materials with a HA/WT proportion of 60/40 wt.% to granules containing calcium phosphate and silicate in a ratio of 40/60 wt.%). Not only the low amount of silicon found on day 30 in group 4 was unexpected, but also the tenfold difference in this indicator by the end of the experiment (day 90) compared to the data in group 2 (p=0.002), owing to its maximum values in the initial powders.
According to data of the EDA analysis of the areas of the restored bone defect, it can be concluded that, at all monitoring periods, the content of calcium, phosphorus, and silicon was significantly higher in group 2 than in the other groups (p=0.02), which was evident by day 90 (p=0.02) (Table 4). Furthermore, the decrease in the silicon level in the studied macropreparations of group 2 at all monitoring periods occurred less rapidly with similar positive dynamics of calcium and phosphorus indicators.
When conducting Spearman’s correlation analysis, significant correlations of medium and high strength were revealed between the level of microelements in the structure of newly formed tissue and bone density in all groups, except for phosphorus in group 3 (in this case, no correlation was noted). The strongest correlation was noted in relation to the amount of silicon and the density of newly formed tissue in groups 1 and 2 (r=−0.848 and r=−0.775, respectively). A direct correlation between calcium content and tissue density was revealed in all study groups and was assessed as a moderate correlation. Changes in the amount of phosphorus in the bone tissue structure did not always correspond to an increase in the density of newly formed tissue; thus, in group 2, a moderate correlation was noted (r=0.458), and in group 3, no correlation was found (r=0.158) (Table 5).
Table 5. Spearman correlation coefficient for the levels of calcium, phosphorus and silicon in biopsies by weight.% and bone density in HU
Group | Elements | rs | p | t (N-2) |
1 | Ca/HU | 0.691 | >0.001 | 6.526 |
P/HU | 0.733 | >0.001 | 7.319 | |
Si/HU | -0.818 | >0.001 | -9.673 | |
2 | Ca/HU | 0.681 | >0.001 | 6.298 |
P/HU | 0.458 | 0.001 | 3.503 | |
Si/HU | -0.775 | >0.001 | -8.34 | |
3 | Ca/HU | 0.573 | 0.0002 | 4.74 |
P/HU | 0.158 | 0.27 | 1.08 | |
Si/HU | -0.696 | >0.001 | -6.58 | |
4 | Ca/HU | 0.573 | >0.001 | 4.74 |
P/HU | 0.559 | 0.00003 | 4.58 | |
Si/HU | -0.694 | >0.001 | -6.54 |
Note. Ca — calcium, P — phosphorus, Si — silicon.
DISCUSSION
SUMMARY OF THE MAIN RESULTS OF THE STUDY
The study results indicate that implants containing calcium phosphates and silicates can be used to fill bone defects, owing to their properties of osteoinduction and osteoconduction in the absence of a pathological inflammatory reaction of the surrounding tissues. The most pronounced osteogenic effect, confirmed by radiation and microscopic research methods, was observed in group 2, wherein materials with a ratio of calcium phosphates and silicates of 60/40 wt.% were implanted into the metaphyseal defect zone.
DISCUSSION OF THE MAIN RESULT OF THE STUDY
The capacity for physiological, reparative regeneration and post-load remodeling is a fundamental characteristic of bone tissue, determining the cycles of replacement and remodeling. These processes include the recruitment and differentiation of populations of osteoblastic and osteoclastic cells which activity is coordinated and regulated by a complex combination of biological, biochemical, and physical factors [16, 17]. Among the most crucial biological components responsible for the reparative activity of bones, various growth factors that manifest as a result of the activation of platelet alpha granules such as PDGF, VEGF, TGF, IGF-I, IGF- II, FGF, TGF-β1, and others [16], biologically active substrates (endostatins, angiopoietins, and thrombospondin I) [18], T-lymphocytes, and pro-inflammatory cytokines, particularly interleukin-17F (IL-17F) [19], are traditionally considered. Several studies highlighted the reorganization of complete hormonal regulation of damaged areas of the skeleton, on which the adequacy and nature of the restorative processes generally depend, noting that it is the cascade of endocrine changes that accompanies physiological and reparative regeneration of bone tissue at all its stages [2023]. In some studies, the process of regulation of intercellular behavior and interaction of determined and induced cellular elements with the extracellular matrix and cytoskeleton is considered as the most critical component of osteogenesis, and the integrins that implement it are actively involved in angiogenesis, cell migration, and general regulation of the cell cycle and in the differentiation of osteoblastic and osteoclastic structures [24].
A problem in the course of reparative regeneration in the area of a bone defect is the need for its clear orientation toward organotypic replacement, as in the early stages of replenishment of lost structures, the growth of connective tissue with its subsequent fibrosis stops the process of neo-osteogenesis. In contrast, the connective tissue growth factor, under certain conditions, acts as the most crucial regulator of skeletogenesis, ensuring the physiological course of mesenchymal condensation, chondrogenesis, and osteogenesis [25]. Some experimental studies have shown that the connective tissue growth factor, which is expressed and secreted by osteoblasts during proliferation, regulatory induces osteogenic differentiation in the osteoblasts, and its pathological expression becomes a component of new mechanisms for the development of non-organotypic replacement and secondary osteoporosis [26]. Fibrosis becomes an unjustified non-specific reaction of the body, physiologically ensuring the isolation of the remaining bone cells from contact with the external environment, but hindering the differentiation and specialization of connective tissue, especially in contact with abiogenic structures (e.g., implants and endoprostheses) [27]. Following this logic, the replacement of the defect with bioimplants has the same risks of uncontrolled growth of undifferentiated connective tissue. This process can be hindered, or more precisely, organotypic replenishment of the defect can be facilitated by staged degradation of the implanted material and by creating a microenvironment that would induce or facilitate the development of further differentiation of growing osteogenic structures. In this regard, relying on the studied mineral composition of bone tissue, many researchers pay attention to the presence and distribution of essential elements in the damage zone. Notably, during bone tissue formation, the concentration of some macro- and microelements increases, in particular calcium, phosphorus, and silicon [12]. It is logical to create such concentrations of these components that would, on the one hand, be able to direct histogenesis in the proper direction and, on the other hand, provide growing tissues with the optimal amount of the required elemental material. Although widely used in modern traumatology and orthopedics, the isolated use of bioimplants consisting of various calcium or silicon compounds has also some drawbacks. It has been established that implants made of calcium phosphates have a serious issue of uncontrolled biodegradation, when slow resorption inhibits the processes of osseointegration, and rapid dissolution can lead to insufficient filling of the bone defect [28]. The use of hydroxyapatite promotes osteogenesis processes; however, this process develops mainly on the bioimplant surface, and undifferentiated connective tissue can form in its center with insufficient degradation [29]. Silicon in bioimplants has a different mechanism of action; gradually releasing, it potentiates osteogenesis by acting primarily on the vascular component of granulation tissue [30]. Because bone tissue, being highly specialized, develops and is restructured under conditions of oxybiotic nutrition, the induction of endothelial cell function through the activation of VEGF and the main fibroblast growth factor provides the necessary biological effect [31, 32]. A high concentration of silicate ions, more than 20 times higher than the initial one, was revealed in the growth zones of young bone, with their maximum amount being in the cytoplasm of osteoblasts, where orthophosphoric acid potentiates their differentiation and increases the concentration of osteogenesis markers, including the procollagen type I carboxy-terminal propeptide [12]. A significant disadvantage of materials made with silicon (bioglass) is that they undergo biodegradation much faster than calcium phosphates, which does not allow them to be used as an osteoconductive framework for relatively slowly growing bone [33].
Some studies have shown that the use of implantable materials based on composites, including calcium phosphate and silicate, in replacing bone tissue defects shows comparatively better results than their separate use [13, 34, 35]. The combined use of these substances can potentiate the strengths of each of the components and relatively neutralize the weaknesses. Accordingly, the study of the features of changes in the amounts of phosphorus, calcium, and silicon in growing bone tissue can provide indirect information on the features of its regeneration and the dependence of the elemental composition on the stage of the process and determine the optimal ratio of the studied components in the implant composition. A highly informative tool for such a study is the combined SEM-EDA method, which allows visualization of the surface morphology of biological object samples, identification of the qualitative and quantitative elemental composition of their surface layer, and collection of data on the integral and local distribution of atoms of chemical elements in the mapping mode [36].
In general clinical practice, the widely used test for monitoring and visualizing bone tissue regenerative processes is routine X-ray examination, owing to its availability, sufficient degree of objectivity, and simplicity. Its significant drawback is the lack of objective criteria that allow identifying, evaluating, and comparing areas of reparative activity. The next generation of X-ray methods, multispiral computed tomography, which enables detecting areas of interest in numerical values, HU, does not have this drawback. The basis for comparing bone tissue density is the scale proposed by Misch and Kircos in 1999. They indicated 150 HU as the lower limit of bone density; however, in some studies, bone tissue was diagnosed at a density >200 HU, that of muscle tissue is 148 HU, and undifferentiated tissue is from 5 to 135 HU [37]. The consensus opinion is that organotypic bone remodeling is detected with an optical density of the tissue under study exceeding 350 HU [38–40], which was adopted as the main criterion in the present study.
The starting point of the study was determining the radiographic density of bone defect structures during their initial filling with phosphate–silicate granules. Since day 7 after defect replacement, the median densities in the experimental groups did not have a significant difference and significantly (more than 2 times) exceeded this indicator in group 1 without defect replacement with implants. it can be recognized that the initial radiographic density of bone defect structures was determined by the density of the implanted material and did not depend on the ratio of phosphates and silicates in its composition. By day 30 after implantation, a decrease in density indices by 3.5% was noted in group 2 and by more than 50% in groups 3 and 4 and a moderate increase in the control group by 75% (up to 189 HU). We believe that such a significant decrease in density indices by this time in the experimental groups was primarily due to the primary fragmentation and degradation of the implanted material and the low area of newly formed bone tissue. According to previously obtained data, its area ranged from 8.51 [6.25; 9.97] in group 2 to 6.11 [4.75; 8.21] in group 3 and 3.68 [2.87; 4.88] in group 4 [15]. A less significant decrease in density in group 2 was explained by a large amount of new bone.
Additionally, the residual granules of the implanted biocomposites had a direct effect on the radiographic density. Morphometric study showed that all the groups contained fragments of granular material (15–35 μm in size) tightly embedded in the newly formed trabecular structure. However, by day 90, their quantity did not exceed 7.9% of the total defect volume in group 2 and remained at 17.4% and 17.3% in groups 3 and 4, respectively, whereas the area of newly formed bone tissue in group 2 was 23.06 [19.51; 26.01]%, 17.5 [15.4; 20.8]% in group 3, and 7.6 [4.5; 9.3]% in group 4 [15]. Consequently, the area of newly formed tissue had a greater effect on the radiographic density of the regenerated segment than the remaining, partially resorbed, granule fragments.
Comparison of the data obtained with SEM and MSCT with the determination of correlations between them became the main objective of the study.
The study of the elemental composition of bone preparations using the EDA method showed that in group 2, at all follow-up periods, the content of calcium, phosphorus, and silicon was not only the highest, but also had a statistically significant difference with the control and experimental groups, with the amount of calcium and phosphorus increasing only until day 60 and the silicon content decreasing tenfold by day 90. In group 4, the mass fractions of calcium and phosphorus, although increasing until day 90, were the lowest and comparable with the indicators in the control group. Significantly higher level of silicon was determined on day 30 in the control group, but significantly lower level than in other experimental groups was noted. The data of group 3 occupied an intermediate position, but were closest to the indicators of group 4. Thus, the maximum accumulation of calcium in the bone defect zone was revealed in group 2, which was generally proportional to its concentration in the powders.
Based on the data obtained, it can be assumed that the focus on the number of elements in the original material cannot be accepted as an isolated factor determining the resource of ionic action. This study showed a more crucial role of the ratios of calcium phosphates and silicates in the implanted material for the manifestation of their regenerative potential. The best potentiating effect with a mass content of 60% HA and 40% WT in granules, indicating the greatest expression and duration of bone tissue formation, is explained by an earlier and higher degree of material degradation, including with the use of tissue active cellular elements (e.g., giant cells of foreign bodies), with subsequent faster capture and accumulation of them by osteoblastic cells. Notably, when using phosphate–silicate implants with a HA/WT ratio of 40/60 wt.%, the MSCT density of newly formed tissue in the area of the formed defect by day 90 was lower than in group 1, where the metaphyseal defect area remained unfilled.
The results obtained by the SEM-EDA method were compared with those with the objective X-ray presentation. It revealed that the best results of defect replacement were noted in group 2, where bone structures were registered by day 30, which continued organotypic reorganization on days 60 and 90 of the experiment and eventually reached the density of mature spongy bone. In other experimental and control groups, the bone regenerate density indices by day 90 of the study significantly fell behind the results of group 2, with closer values recorded in animals of group 3 and the lowest and comparable ones in groups 1 and 4. The correlation between the radiographic data obtained and the levels of calcium, phosphorus, and silicon showed a high closeness of the relationship between the amount of calcium and bone regenerate density, which is a studied and explainable pattern. The direct correlation between the high silicon content in the early stages of connective tissue specialization and the radiographic bone density revealed in this study confirms the importance of this microelement in regenerative processes, and its decrease can serve as a marker of organotypic restructuring. Conversely, according to the data obtained, the probable optimal ratio of calcium phosphate (hydroxyapatite) and calcium silicate (wollastonite) was approximately 60/40 mass%. The data of the experiment indicate that a further increase in the calcium silicate content leads to a slowdown in organotypic restructuring and in the formation of the bone regenerate. The prospects of the study are identification of the limits of the regenerative potential of implants with a proportional decrease in the amount of silicon in the implanted biomaterials.
The results of this study demonstrate the feasibility of evaluating the features of the course of reparative osteogenesis depending on the ionic environment, as well as the high potential for the use of synthetic bioceramics in general and the possibility of using implants based on phosphate–silicate composites to replace bone defects.
CONCLUSION
The stages of accumulation of calcium, phosphorus, and silicon ions are directly associated with the radiographic indicators of bone regenerate density and change in the processes of regeneration and specialization of the structures of the damaged area.
Quantitative indicators of calcium and phosphorus content in the bone regenerate increase mainly in days 30–60, and silicon indicators reach their maximum values by day 30 of the experiment and then slowly decrease. This indicates that this microelement is crucial in the starting regenerative processes, and its decrease can serve as a marker of organotypic restructuring.
Synthetic granules containing calcium phosphate (hydroxyapatite) and calcium silicate (wollastonite) in a ratio of 60/40 mass% showed the greatest potential for regenerative action in the early stages (30 days) and throughout the experimental study.
Additional Info
Autor contribution. All authors confirm that their authorship meets the international ICMJE criteria (all authors have made a significant contribution to the development of the concept, research and preparation of the article, read and approved the final version before publication). The greatest contribution is distributed as follows: A.A. Rozhdestvenskiy — conducting an experimental study, data collection, literature review, data analysis, statistical processing, writing a text; G.G. Dzuba — literature review, analysis of the results obtained, writing the text, editing the article; D.A. Polonyankin — literature review, analysis of the results obtained, writing the text, editing the article
Funding source. The study was carried out as part of the fulfillment of the state task of the Ministry of Health of the Russian Federation № 056-00048-22-00 dated January 10, 2022.
Competing interests. The authors declare that they have no competing interests.
Дополнительно
Вклад авторов. Все авторы подтверждают соответствие своего авторства международным критериям ICMJE (все авторы внесли существенный вклад в разработку концепции, проведение исследования и подготовку статьи, прочли и одобрили финальную версию перед публикацией). Наибольший вклад распределён следующим образом: А.А. Рождественский — проведение экспериментального исследования, сбор данных, обзор литературы, анализ данных, статистическая обработка, написание текста; Г.Г. Дзюба — обзор литературы, проведение экспериментального исследования, написание текста, редактирование статьи; Д.А. Полонянкин — сбор данных, редактирование статьи.
Источник финансирования. Исследование осуществлено в рамках выполнения государственного задания Минздрава России № 056-00048-22-00 от 10 января 2022 г.
Конфликт интересов. Авторы декларируют отсутствие явных и потенциальных конфликтов интересов, связанных с проведённым исследованием и публикацией настоящей статьи.
About the authors
Andrey A. Rozhdestvenskiy
Omsk State Medical University
Author for correspondence.
Email: Rozhdestvensky@bk.ru
ORCID iD: 0000-0002-9566-6926
SPIN-code: 3348-5229
MD
Russian Federation, 56 Serova str., 644020 OmskGerman G. Dzuba
Omsk State Medical University
Email: germanort@mail.ru
ORCID iD: 0000-0002-4292-213X
SPIN-code: 3290-2830
MD, Dr. Sci. (Medicine), associate professor
Russian Federation, 56 Serova str., 644020 OmskDenis A. Polonyankin
Omsk State Technical University
Email: apolonyankin@omgtu.ru
ORCID iD: 0000-0001-6799-3105
SPIN-code: 8251-9838
Cand. Sci. (Pedagogy)
Russian Federation, OmskReferences
- Shteinle AV. Posttraumatic regeneration of bone tissue (part 1). Siberian Medical Journal. 2009;4(1):101–108. EDN: KZFTDH
- Borzunov DYu. Non-free bone grafting according to G.A. Ilizarov in the problem of rehabilitation of patients with long bones defects and pseudoarthroses. Genij Ortopedii. 2011;(2):21–26. EDN: OGCTHL
- Bokov AE, Mlyavykh SG, Shirokova NY, et al. Current Trends in the Development of Materials for Bone Grafting and Spinal Fusion (Review). Modern Technologies in Medicine. 2018;10(4):203–219. doi: 10.17691/stm2018.10.4.24
- Putliayev VI. Modern bioceramic materials. Sorov education journal. 2004;8(1):44–50.
- Zhou P, Xia D, Ni Z, et al. Calcium silicate bioactive ceramics induce osteogenesis through oncostatin M. Bioact Mater. 2020;6(3):810–822. doi: 10.1016/j.bioactmat.2020.09.018
- Persikov AV, Brodsky B. Unstable molecules form stable tissues. Proceedings of the National Academy of Sciences of the United States of America. 2002;99(3):1101–1103. doi: 10.1073/pnas.042707899
- Gromova OA, Troshin Iyu, Limanova OA. Calcium and its synergists in supporting the structure of connective and bone tissue. Attending doctor. 2014;(5):69. EDN: SCPKLN
- Mu Y, Du Z, Xiao L, et al. The Localized Ionic Microenvironment in Bone Modelling/Remodelling: A Potential Guide for the Design of Biomaterials for Bone Tissue Engineering. J Funct Biomater. 2023;14(2):56. doi: 10.3390/jfb14020056
- Gharbi A, Oudadesse H, El Feki H, et al. High Boron Content Enhances Bioactive Glass Biodegradation. J Funct Biomater. 2023;14(7):364. doi: 10.3390/jfb14070364
- Jugdaohsingh R. Silicon and bone health. J Nutr Health Aging. 2007;11(2):99–110.
- Zhou B, Jiang X, Zhou X, et al. GelMA-based bioactive hydrogel scaffolds with multiple bone defect repair functions: therapeutic strategies and recent advances. Biomater Res. 2023;27(1):86. doi: 10.1186/s40824-023-00422-6
- Skripnikova IA, Guriev AV. Micronutrients in the prevention of osteoporosis: focus on silicon. Osteoporosis and osteopathy. 2014;17(2):36–40. doi: 10.14341/osteo2014236-40
- Ros-Tárraga P, Mazón P, Revilla-Nuin B, et al. High temperature CaSiO3-Ca3(PO4)2 ceramic promotes osteogenic differentiation in adult human mesenchymal stem cells. Mater Sci Eng C Mater Biol Appl. 2020;(107):110355. doi: 10.1016/j.msec.2019.110355
- Misch CE, Kircos LT. Diagnostic imaging and techniques. In: Misch C.E., editor. Contemporary Implant Dentistry. 2nd ed. Mosby; St. Louis; 1999. Р. 73–87.
- Rozhdestvenskiy AA, Dzuba GG, Erofeev SA, et al. Reparative regeneration when replacing a bone defect with a synthetic granular implant based on various combinations of calcium phosphate and silicate. Polytrauma. 2023;(4):63–71. EDN: BVAOQD
- Kupka JR, Sagheb K, Al-Nawas B, Schiegnitz E. The Sympathetic Nervous System in Dental Implantology. J Clin Med. 2023;12(8):2907. doi: 10.3390/jcm1208290
- Takayama T, Imamura K, Yamano S. Growth Factor Delivery Using a Collagen Membrane for Bone Tissue Regeneration. Biomolecules. 2023;13(5):809. doi: 10.3390/biom13050809
- Koritkin AA, Zukin AA, Zakharova DV, Novikova YaS. The use of platelet-rich plasma in replacing the focus of avascular necrosis of the femoral head with allografts. Traumatology and orthopedics of Russia. 2018;24(1):115–122. doi: 10.21823/2311-2905-2018-24-1-115-122
- Blazgenko AN, Rodin IA, Ponkina O, et al. Influence of A-PRP-therapy on reparative regeneration of bone tissue in fresh limb fractures. Innovative medicine of Kuban. 2019;3(15):32–38. doi: 10.35401/2500-0268-2019-15-3-32-38
- Wang Y, Kim J, Chan A, Whyne C, Nam D. A two-phase regulation of bone regeneration: IL-17F mediates osteoblastogenesis via C/EBP-β in vitro. Bone. 2018;116:47–57. doi: 10.1016/j.bone.2018.07.007
- Monageng E, Offor U, Takalani NB, Mohlala K, Opuwari CS. A Review on the Impact of Oxidative Stress and Medicinal Plants on Leydig Cells. Antioxidants (Basel). 2023;12(8):1559. doi: 10.3390/antiox12081559
- Dedov II, Melnichenko GA. Endocrinology. Moscow: GEOTAR-Media; 2019. 1112 p.
- Gao M, Du Z, Dong Q, Su S, Tian L. DAP1 regulates osteoblast autophagy via the ATG16L1-LC3 axis in Graves’ disease-induced osteoporosis. J Orthop Surg Res. 2023;18(1):711. doi: 10.1186/s13018-023-04171-z
- Miromanov AM, Gusev KA. Hormonal regulation of osteogenesis: a review of the literature. Traumatology and orthopedics of Russia. 2021;27(4):120–130. doi: 10.21823/2311-2905-1609
- Aguilar A, Gifre L, Ureña-Torres P, et al. Pathophysiology of bone disease in chronic kidney disease: from basics to renal osteodystrophy and osteoporosis. Front Physiol. 2023;14:1177829. doi: 10.3389/fphys.2023.1177829
- Hwang J, Lee SY, Jo CH. Degenerative tendon matrix induces tenogenic differentiation of mesenchymal stem cells. J Exp Orthop. 2023;10(1):15. doi: 10.1186/s40634-023-00581-4
- Xu B, Wang X, Wu C, et al. Flavonoid compound icariin enhances BMP-2 induced differentiation and signalling by targeting to connective tissue growth factor (CTGF) in SAMP6 osteoblasts. PloS One. 2018;13(7):e0200367. doi: 10.1371/journal.pone.0200367
- Shkurupy VA, Kim V, Kovner AV, Cherdanceva LA. Connective tissue and the problems of its pathological conditions. Bulletin of Siberian Medicine. 2017;16:75–85. doi: 10.20538/1682-0363-2017-4-75-85
- Mofakhami S, Salahinejad E. Biphasic calcium phosphate microspheres in biomedical applications. J Control Release. 2021;338:527–536. doi: 10.1016/j.jconrel.2021.09.004
- Kamitakahara M, Tatsukawa E, Shibata Y, et al. Effect of silicate incorporation on in vivo responses of α-tricalcium phosphate ceramics. J Mater Sci Mater Med. 2016;27(5):97. doi: 10.1007/s10856-016-5706-5
- Dashnyam K, Buitrago JO, Bold T, et al. Angiogenesis-promoted bone repair with silicate-shelled hydrogel fiber scaffolds. Biomater Sci. 2019;7(12):5221–5231. doi: 10.1039/c9bm01103j
- Edranov SS, Matveeva NY, Kalinichenko SG. Osteogenic and Regenerative Potential of Free Gingival Graft. Bull Exp Biol Med. 2021;171:404–401. doi: 10.1007/s10517-021-05237-w
- Zhang J, Liu Y, Chen Y, et al. Adipose-Derived Stem Cells: Current Applications and Future Directions in the Regeneration of Multiple Tissues. Stem Cells Int. 2020;2020:8810813. doi: 10.1155/2020/8810813
- Karadjian M, Essers C, Tsitlakidis S, et al. Biological Properties of Calcium Phosphate Bioactive Glass Composite Bone Substitutes: Current Experimental Evidence. Int J Mol Sci. 2019;20(2):305. doi: 10.3390/ijms20020305
- Keshavarz M, Alizadeh P, Kadumudi FB, et al. Multi-leveled Nanosilicate Implants Can Facilitate Near-Perfect Bone Healing. ACS Appl Mater Interfaces. 2023;15(17):21476–21495. doi: 10.1021/acsami.3c01717
- Polonyankin DA, Blesman AI, Postikov DV, Teployhov AA. Theoretical foundations of scanning electron microscopy and energy dispersive analysis of nanomaterials: tutorial. Omsk: OmGTU; 2019. 116 p.
- Chuiko AN, Kopitov AA. Computed tomography and basic mechanical characteristics of bone tissues. Medical visualization. 2012;(1):102–107. EDN: OYWKSL
- Misch CE. Density of bone: Effect on treatment planning, surgical approach, and healing. In: Contemporary Implant Dentistry. St. Louis, MI, USA; 1993. P. 469–485.
- Yablokov AE. Evaluation of the optical density of bone tissue in dental implantation. Russian Dentistry. 2019;12(3):8–13. doi: 10.17116/rosstomat2019120318
- Baek YW, Lim YJ, Kim B. Comparison of Implant Surgery Methods of Cortical Tapping and Cortical Widening in Bone of Various Density: A Three-Dimensional Finite Element Study. Materials (Basel). 2023;16(8):3261. doi: 10.3390/ma16083261
Supplementary files







