Features of radiography of the scaphoid bone of the wrist
- Authors: Zolotov A.S.1, Bochayev B.N.1, Sidorenko I.S.1, Dyachkova J.A.1
-
Affiliations:
- Far Eastern Federal University
- Issue: Vol 31, No 4 (2024)
- Pages: 543-551
- Section: Original study articles
- Submitted: 18.01.2024
- Accepted: 20.02.2024
- Published: 25.12.2024
- URL: https://journals.eco-vector.com/0869-8678/article/view/625759
- DOI: https://doi.org/10.17816/vto625759
- ID: 625759
Cite item
Abstract
BACKGROUND: Scaphoid bone fractures are quite common. Difficulties and inaccuracies in the diagnosis of damages may significantly delay the treatment and reduce its efficacy. Routine X-ray imaging of the wrist joint is insufficiently informative, leaving some fractures undetected. The scaphoid bone has a distinctive shape and position in the wrist joint; thus, when using conventional positioning during X-ray imaging, the fracture line is not always visible, and the scaphoid bone appears shorter. W.R. Stecher, an American surgeon, proposed specific positioning options to examine the entire scaphoid bone, thus improving the diagnosis of scaphoid bone pathology.
AIM: To compare conventional positioning with three Stecher positioning options; to determine the option that best eliminates the distortion (shortening) of scaphoid bone images.
MATERIALS AND METHODS: The study included 13 volunteers aged 23 to 65 years. X-ray imaging of the wrist joint was performed in all volunteers using conventional positioning and three Stecher positioning options. The scaphoid bone length was measured. The results were processed using the MS Excel Analysis ToolPak (descriptive statistics); the Friedman test was used for repeated measurements.
RESULTS: The scaphoid bone length varied when using different positioning options. All volunteers had the shortest scaphoid bone length when using conventional positioning and the longest when using modified Stecher positioning. The difference in measurements between these positioning options was 2 to 8 mm, which is significant for a small anatomical structure.
CONCLUSION: In this study, the option “fingers clenched + elbow deviation” was found to be the best for frontal X-rays of the scaphoid bone. This approach (modified Stecher positioning) produces scaphoid bone images with minimal distortion, which is crucial for diagnosis, preoperative planning, treatment, and outcome assessment.
Keywords
Full Text
ОБОСНОВАНИЕ
Переломы ладьевидной кости встречаются часто, составляя 12,4–29 случаев на 100 000 населения в год [1, 2]. Риск нарушения процесса сращения и формирования ложного сустава довольно высокий. Трудности и ошибки в диагностике повреждений серьёзно влияют на своевременность начала лечения и его эффективность. Рутинные рентгенограммы кистевого сустава не дают полной информации, и в ряде случаев переломы могут остаться нераспознанными. До 20–30% свежих переломов не обнаруживаются на стандартных рентгенограммах [3, 4]. Форма и положение ладьевидной кости в кистевом суставе особенные, поэтому при использовании стандартных укладок на рентгенограммах линия перелома может не визуализироваться, а сама ладьевидная кость выглядит укороченной. Чтобы увидеть ладьевидную кость «во весь рост», американский хирург W.R. Stecher предложил две особые укладки, при которых кистевой сустав разгибался до 20 градусов, при этом устранялся наклон ладьевидной кости в ладонную сторону и кость занимала положение, параллельное плоскости кассеты [5]. Современные хирурги используют проекцию Stecher в модификации, добавив локтевую девиацию [3, 6].
Цель исследования — сравнить стандартную укладку и три варианта укладок по Stecher, определить, какой способ максимально устраняет искажение (укорочение) изображения ладьевидной кости.
МАТЕРИАЛЫ И МЕТОДЫ
Дизайн исследования
Рентгенография кистевого сустава добровольцев в четырёх различных укладках. Сравнительный анализ рентгенограмм для определения наиболее оптимального способа рентгенографии ладьевидной кости запястья.
Критерии соответствия
В исследовании принимали участие добровольцы, у которых не было заболеваний и травм кистевого сустава в анамнезе.
Условия проведения
Исследование проводилось в декабре 2022 года в медицинском центре ДВФУ.
Способ медицинского вмешательства
Рентгенография кистевого сустава в различных укладках.
Методы регистрации исходов
Полученные с помощью С-дуги изображения переносились на персональный компьютер для последующего анализа рентгенограмм.
Описание исследования
В исследовании принимали участие 13 волонтёров в возрасте от 23 до 66 лет. Средний возраст составил 36,8±12,9 года. Среди волонтёров было 7 мужчин и 6 женщин. У волонтёров не было заболеваний и травм кистевого сустава в анамнезе. Рентгенография выполнялась с помощью мобильной хирургической С-дуги Philips BV Vectra, расстояние от трубки до детектора — 85 см. Все волонтёры использовали защитные свинцовые фартуки и воротники. Исследовался правый кистевой сустав. Нас интересовала рентгенограмма в прямой проекции. Для этого пациент усаживался на низкий стул, чтобы плечевой сустав находился на одном уровне с кистевым. Кисть и предплечье укладывались на экран С-дуги. Рядом с исследуемой областью помещалась монета для возможной калибровки и масштабирования изображения.
Выполнялись четыре снимка:
- рутинная рентгенография кистевого сустава в прямой проекции (R): пальцы разогнуты, кистевой сустав в нейтральном положении (рис. 1);
- рентгенография по Stecher, первый вариант (S1): кисть укладывается на подставку, что позволяет разогнуть кистевой сустав на 20 градусов (подставку изготовили из коробки для компакт-дисков) (рис. 2);
- рентгенография по Stecher, второй вариант (S2): пальцы сгибаются в кулак, что позволяет умеренно разогнуть кистевой сустав (рис. 3);
- рентгенография по Stecher, модифицированный вариант (SM): пальцы сгибаются в кулак, что позволяет умеренно разогнуть кистевой сустав, одновременно выполняется максимальная локтевая девиация в кистевом суставе (рис. 4).
Рис. 1. Рутинная укладка.
Fig. 1. Routine position.
Рис. 2. а — импровизированная подставка (угол 20 градусов), b — укладка по Stecher, первый вариант (S1).
Fig. 2. а — improvised stand (angle of 20 degrees), b — Stecher position, first variant (S1).
Рис. 3. Рентгенография по Stecher, второй вариант (S2).
Fig. 3. Stecher radiography, second variant (S2).
Рис. 4. Рентгенография по Stecher, модифицированный вариант (SM).
Fig. 4. Stecher radiography, modified version (SM).
Полученные изображения переносились на персональный компьютер. При анализе рентгенограмм определяли длину ладьевидной кости. Для этого проводили продольную ось от середины проксимального полюса ладьевидной кости до середины дистальной части ладьевидной кости. Измеряли расстояние от крайних точек на этой линии (рис. 5) [7, 8].
Рис. 5. Рентгенограмма волонтёра № 3: а — рутинная укладка (R), длина ладьевидной кости 22 мм; b — укладка по Stecher, модифицированный вариант (SM), длина ладьевидной кости 28 мм. Определение продольной оси ладьевидной кости. Красная линия соединяет середину проксимального полюса ладьевидной кости и середину дистальной части ладьевидной кости. Измеряется расстояние от крайних точек на этой линии.
Fig. 5. Radiograph of volunteer #3: а — routine position (R), length of the scaphoid bone 22 mm; b — Stecher position, modified version (SM), the length of the scaphoid bone 28 mm. Determination of the longitudinal axis of the scaphoid bone. The red line connects the middle of the proximal pole of the scaphoid bone and the middle of the distal part of the scaphoid bone. The distance from these points on this line is measured.
Статистический анализ
Для обработки результатов исследования использовали пакет анализа в MS Excel (описательная статистика) и непараметрический тест Фридмана для повторяющихся измерений.
Этическая экспертиза
Добровольцы дали письменное информированное согласие на участие в исследовании и публикацию его результатов. Пациенты, рентгенограммы которых представлены в обсуждении, дали письменное информированное согласие на публикацию снимков.
РЕЗУЛЬТАТЫ
У 13 волонтёров длина ладьевидной кости при использовании разных укладок оказалась неоднородной (табл. 1). При применении рутинной укладки (R) длина ладьевидной кости варьировала в пределах от 18 до 24 мм, в среднем составляя 20,5±0,55 мм (М±m). При использовании укладки S1 — от 19 до 27 мм, в среднем 22,5±0,70 мм. При применении укладки S2 — от 20 до 27 мм, в среднем 23,5±0,62 мм. При использовании укладки SM — от 21 до 28 мм, в среднем 24,8±0,68 мм.
Таблица 1. Длина ладьевидной кости в зависимости от способа укладки, мм
Table 1. Length of the navicular bone depending on the method of stacking, mm
Номер волонтёра | R | S1 | S2 | SM |
1 | 21 | 22 | 23 | 25 |
2 | 20 | 23 | 24 | 25 |
3 | 22 | 25 | 26 | 28 |
4 | 20 | 22 | 23 | 24 |
5 | 23 | 24 | 24 | 25 |
6 | 24 | 27 | 27 | 28 |
7 | 20 | 21 | 22 | 23 |
8 | 22 | 26 | 27 | 27 |
9 | 18 | 22 | 22 | 23 |
10 | 20 | 21 | 24 | 28 |
11 | 18 | 19 | 20 | 21 |
12 | 21 | 20 | 23 | 24 |
13 | 18 | 20 | 21 | 22 |
Среднее значение | 20,5 | 22,5 | 23,5 | 24,8 |
Среднее стандартное отклонение | 1,9 | 2,44 | 2,15 | 2,34 |
Примечание. R — рутинная рентгенография, S1 — рентгенография по Stecher, первый вариант, S2 — рентгенография по Stecher, второй вариант, SM — рентгенография по Stecher, модифицированный вариант.
Note. R — routine radiography, S1 — Stecher radiography, first variant, S2 — Stecher radiography, second variant, SM — Stecher radiography, modified variant.
У всех 13 волонтёров минимальная длина ладьевидной кости определялась при применении рутинной укладки (R), максимальная — при использовании модифицированной укладки по Stecher (SM). Разница в измерениях между упомянутыми укладками в среднем составила от 2 до 8 мм, что существенно для небольшого анатомического объекта.
Для обработки результатов использовали пакет анализа в MS Excel (описательная статистика), анализировались медианы, 25-й и 75-й процентили, лимиты рядов. Внутри всех рядов значения моды, медианы и округлённого до целого числа среднего арифметического совпадали. Отмечены различия в средних величинах и лимитах во всех сравниваемых рядах (увеличение их значений от ряда R к SM). Тест Фридмана был проведён на 13 испытуемых для изучения влияния типа укладки кисти на размеры изображения ладьевидной кости. Статистика теста (Q) составила 35,51, а соответствующее p <0,00001. Следовательно, у нас есть достаточно доказательств, чтобы заключить, что тип укладки приводит к статистически значимым различиям в размерах ладьевидной кости, определяемых по рентгенограмме. Способ рентгенографии SM позволил получить изображение кости с минимальным искажением её длины.
ОБСУЖДЕНИЕ
Общепринятым показанием для рентгенографии запястья в двух стандартных проекциях является патология дистального отдела предплечья, кистевого сустава и пястных костей [6]. При подозрении на перелом (несращение или ложный сустав) ладьевидной кости назначаются особые укладки как дополнение к стандартным проекциям. Необходимость этого связана с тем, что в стандартных проекциях ладьевидная кость выглядит укороченной, так как имеет особую форму, а её ось не совпадает с осью предплечья и кисти. «Скафоид» в переводе с греческого означает «лодка». Название ладьевидной кости (os scaphoideum) указывает на её специфическую форму. Элемент вращения тела кости добавляет сложности и уникальности её анатомическому строению и трёхмерной геометрии [9, 10]. Типичным является положение ладьевидной кости под углом к продольной оси запястья во фронтальной и сагиттальной плоскости. Угол наклона ладьевидной кости в обеих плоскостях может достигать 45 градусов [3]. По мнению D.A. Peterson и соавт. [11], угол наклона в сагиттальной плоскости варьирует в пределах 40–60 градусов. Чтобы уменьшить наклон ладьевидной кости в сагиттальной плоскости, W.R. Stecher предложил особую укладку с использованием валика, при которой кистевой сустав разгибался до 20 градусов, при этом устранялся наклон ладьевидной кости в ладонную сторону и кость занимала положение, параллельное плоскости кассеты [3]. Если собрать пальцы в кулак, получается аналогичная позиция ладьи и без использования валика. Это стало вторым вариантом укладки по Stecher. Такой манёвр может несколько расширить линию перелома, и её будет легче обнаружить. Если такое положение кисти вызывало боль, то автор рекомендовал наклонить трубку рентгеновского аппарата в сторону локтевого сустава при нейтральном положении запястья. Таким менее удовлетворяющим манёвром можно нивелировать естественный наклон ладьевидной кости.
В 1949 году С. Bridgman предложил использовать при выполнении рентгенографии ладьевидной кости подставку в 17 градусов для разгибания запястья и добавил локтевую девиацию [11]. Фактически это была модификация первого варианта способа по Stecher с чуть менее высокой подставкой, но с локтевой девиацией. Если наклонить трубку рентгеновского аппарата в сторону локтевого сустава, подставку можно не применять [11].
В 1960 году O. Russe опубликовал работу, посвящённую диагностике и лечению переломов ладьевидной кости, в которой рекомендовал кроме стандартных укладок (прямой и боковой) использовать дополнительные косые, с наружной и внутренней ротацией предплечья в 15–20 градусов от нейтрального положения в прямой проекции [12].
В 1973 году появился ещё один оригинальный способ рентгенографии ладьевидной кости: F.M. Ziter описал особую косую проекцию, которая стала носить его имя [13]. С помощью валика на уровне тенара кисть из нейтрального положения ротируется кнаружи на 30 градусов и отводится в локтевую сторону. Луч центрируется на анатомическую табакерку, а трубка рентгеновского аппарата наклоняется в сторону локтевого сустава под углом 20 градусов. Фактически получается модификация одной из косых проекций Russe.
Несколько поколений хирургов и радиологов изучали особенности рентгенографии ладьевидной кости и предлагали специфические укладки. Наиболее популярной в настоящее время является проекция Stecher в модификации «пальцы в кулак + локтевая девиация» [3, 6].
Для повышения качества диагностики современные хирурги используют в одном исследовании сразу несколько проекций. Так появились выражения «серия рентгенограмм», «ладьевидный квартет» [6, 14]. J.P. Compson и соавт. рекомендуют применять 5 снимков в разных проекциях: прямая проекция + локтевая девиация, проекция Ziter или Stecher с локтевой девиацией, боковая проекция, косая с полусупинацией в 45 градусов, косая с полупронацией в 45 градусов [15]. «Полный набор» от корейских хирургов также состоит из 5 укладок: прямой, боковой, двух косых и прямой с локтевой девиацией [14]. O. Berber и соавт. предлагают использовать серию из 4 рентгенограмм — прямая проекция, боковая, косая с пронацией в 45 градусов, проекция Ziter [16].
Логичным и понятным для практического врача является алгоритм диагностики, предложенный хирургом U. Lanz и радиологом R. Schmitt [6]. При подозрении на перелом (несращение или ложный сустав) ладьевидной кости сначала выполняют рентгенографию в трёх проекциях — две стандартные (прямая и боковая) и проекция Stecher. Необходимость в третьей проекции связана с тем, что в стандартных проекциях ладьевидная кость выглядит укороченной, так как её ось не совпадает с осью предплечья и кисти. После анализа рентгенограмм в указанных проекциях для получения дополнительной информации ставятся показания для проведения дополнительных методов исследования — компьютерной и/или магнитно-резонансной томографии.
Со времени публикации W.R. Stecher прошло около 90 лет. Оригинальная авторская методика не утратила актуальности и является полезным дополнением к рутинному рентгенологическому исследованию, так как до 20–30% свежих переломов не обнаруживается на стандартных рентгенограммах [3, 4]. Способ Stecher помогает не только в диагностике острой травмы — он полезен и при планировании операции, оценке процесса консолидации перелома или ложного сустава ладьевидной кости на этапах лечения [3]. В отличие от стандартных рентгенограмм данный метод помогает определить истинный размер дефекта кости, степень деформации, состояние суставных поверхностей (рис. 6, 7).
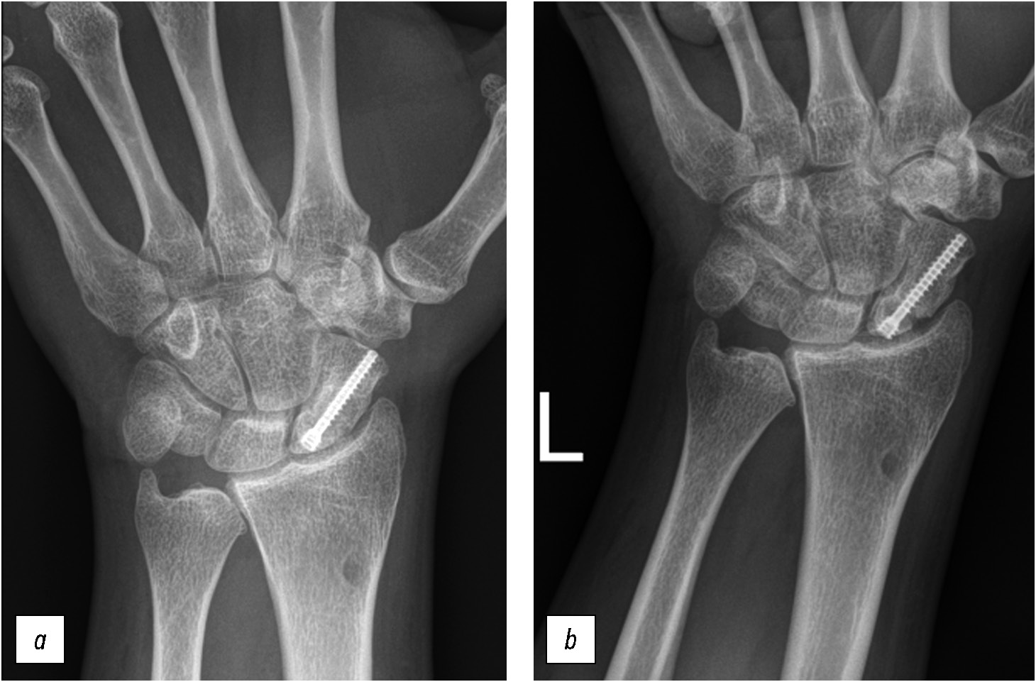
Рис. 6. Рентгенограммы кистевого сустава пациента 22 лет: а — стандартная укладка, b — рентгенография по Stecher, модифицированный вариант (SM): выявлен ложный сустав ладьевидной кости со значительным дефектом кости.
Fig. 6. Radiographs of the wrist joint of a 22-year-old patient: а — standard position, b — radiography according to Stecher, modified version (SM): a scaphoid nonunion with a significant bone defect was detected.
Рис. 7. Рентгенограммы кистевого сустава пациента 34 лет после операции по поводу ложного сустава ладьевидной кости: а — стандартная укладка, достигнута консолидация; b — рентгенография по Stecher, модифицированный вариант (SM): выявлены дефект суставной поверхности ладьевидной кости, начальные признаки деформирующего артроза кистевого сустава.
Fig. 7. Radiographs of the wrist joint of a 34-year-old patient after surgery for a scaphoid nonunion: а — standard position, consolidation achieved; b — Stecher modified radiography (SM): defect of the articular surface of the scaphoid bone, initial signs of arthrosis of the wrist joint were detected.
Целью нашего исследования был поиск оптимального варианта укладки с минимальным искажением изображения ладьевидной кости на рентгенограмме в прямой проекции. Из четырёх вариантов укладки (стандартная и три способа Stecher) укладка «пальцы в кулак + локтевая девиация запястья» оказалась самой эффективной, в меньшей степени искажающей длину и форму ладьевидной кости.
Методика легко воспроизводима, при выполнении не требует специальных приспособлений. Современная диагностика патологии кистевого сустава включает и более сложные и дорогостоящие методы исследования — компьютерную и магнитно-резонансную томографию. В то же время, по мнению ряда авторов, для корректной оценки изменений и смещения в области перелома (ложного сустава) ладьевидной кости необходима комплексная оценка данных и компьютерной томографии, и рентгенографии [17–19]. Поэтому рентгенография остаётся доступным, полезным и востребованным методом.
ЗАКЛЮЧЕНИЕ
Наиболее оптимальным способом выполнения рентгенографии ладьевидной кости в прямой проекции в нашем исследовании оказался вариант укладки № 4 (SM) — «пальцы в кулак + локтевая девиация». Данный способ (Stecher в модификации) позволяет получить изображение исследуемой кости с минимальным искажением, что является важным для диагностики, предоперационного планирования, лечения и оценки его результатов.
ДОПОЛНИТЕЛЬНО
Вклад авторов. Все авторы подтверждают соответствие своего авторства международным критериям ICMJE (все авторы внесли существенный вклад в разработку концепции, проведение исследования и подготовку статьи, прочли и одобрили финальную версию перед публикацией).
Источник финансирования. Авторы заявляют об отсутствии внешнего финансирования при проведении исследования и подготовке публикации.
Конфликт интересов. Авторы декларируют отсутствие явных и потенциальных конфликтов интересов, связанных с проведённым исследованием и публикацией настоящей статьи.
Информированное согласие. Авторы получили письменное согласие волонтёров на публикацию их медицинских данных (02.12.2022).
ADDITIONAL INFO
Autor contribution. All authors confirm that their authorship meets the international ICMJE criteria (all authors have made a significant contribution to the development of the concept, research and preparation of the article, read and approved the final version before publication).
Funding source. The authors state that there is no external funding when conducting the research and preparing the publication.
Competing interests. The authors declare that they have no competing interests.
Consent for publication. The volunteers gave their written consent for publication of their medical data (Dec 2 2022).
About the authors
Aleksandr S. Zolotov
Far Eastern Federal University
Email: dalexpk@gmail.com
ORCID iD: 0000-0002-0045-9319
SPIN-code: 3925-9025
MD, Dr. Sci. (Medicine), professor, Medical Center
Russian Federation, 10 vil. Ajax, Russian island, 690920 VladivostokBair N. Bochayev
Far Eastern Federal University
Email: rockn.rolla.93@mail.ru
ORCID iD: 0009-0008-8169-4652
MD, resident, Medical Center
Russian Federation, 10 vil. Ajax, Russian island, 690920 VladivostokIlya S. Sidorenko
Far Eastern Federal University
Email: sidorenko.is@dvfu.ru
ORCID iD: 0009-0001-4910-4391
MD, Medical Center
Russian Federation, 10 vil. Ajax, Russian island, 690920 VladivostokJulia A. Dyachkova
Far Eastern Federal University
Author for correspondence.
Email: diachkova.iua@dvfu.ru
ORCID iD: 0009-0009-7107-3614
MD, Cand. Sci. (Medicine), Medical Center
Russian Federation, 10 vil. Ajax, Russian island, 690920 VladivostokReferences
- Duckworth AD, Jenkins PJ, Aitken SA, et al. Scaphoid fracture epidemiology. J Trauma Acute Care Surg. 2012;72(2): E41–5. doi: 5.10.1097/TA.0b013e31822458e8 22439232
- Garala K, Taub NA, Dias JJ. The epidemiology of fractures of the scaphoid: impact of age, gender, deprivation and seasonality. Bone Joint J. 2016;98-B(5):654–9. doi: 10.1302/0301-620X.98B5.36938 27143737
- Schmitt R, Rosenthal H. Imaging of Scaphoid Fractures According to the New S3 Guidelines. Fortschr Röntgenstr. 2016;188(5):459–69. doi: 10.1055/s-0042-104660
- Yang T-H, Horng M-H, Li R-S, Sun Y-N. Scaphoid Fracture Detection by Using Convolutional Neural Network. Diagnostics. 2022;12(4):895. doi: 10.3390/diagnostics12040895
- Stecher WR. Roentgenography of the carpal navicular bone. Am J Roentgenol. 1937;37:704–705. doi: 10.1016/S0733-8627(20)30923-8
- Lanz U, Schmitt R. Diagnostic Imaging of the Hand. Thieme; 2008. doi: 10.1055/b-002-76310
- Ten Berg PW, Dobbe JG, Meermans G, et al. Estimating Scaphoid Lengths Using Anatomical Measurements in the Wrist. J Hand Surg Am. 2016;41(9):e279-84. doi: 10.1016/j.jhsa.2016.07.053
- Elatta MA, Elglaind SM, Talat E, Alqaseer AM, Basheer HM. Scapho-Capitate Ratio for Estimation of Scaphoid Length. J Hand Surg Asian Pac Vol. 2019;24(2):202–207. doi: 10.1142/S2424835519500279
- Compson JP, Waterman JK, Heatley FW. The radiological anatomy of the scaphoid. Part 1: Osteology. J Hand Surg [Br]. 1994;19(2):183–7. doi: 10.1016/0266-7681(94)90160-0
- Compson JP. The anatomy of acute scaphoid fractures: a three-dimensional analysis of patterns. J Bone Joint Surg Br. 1998;80(2):218–24. doi: 10.1302/0301-620x.80b2.6926
- Peterson DA, Brandser EA, Steyers CM. Imaging scaphoid fractures and nonunions: familiar methods and newer trends. Iowa Orthop J. 1996;16:97–103.
- Russe O. Fracture of the carpal navicular: diagnosis, non-operative treatment, and operative treatment. J Bone Joint Surg Am. 1960;42-А:759–68.
- Ziter FM Jr. A modified view of the carpal navicular. Radiology. 1973;108(3):706–7. doi: 10.1148/108.3.706
- Goo Hyun Baek, Bong Cheol Kwon. Carpal fracture and instability. In: Urbaniak JR, editor. Hand Surgery Worldwild. Konstantaras medical Publications; 2011. P:265–270.
- Compson JP, Waterman JK, Heatley FW. The radiological anatomy of the scaphoid. Part 2: Radiology. J Hand Surg [Br]. 1997;22(1):8–15. doi: 10.1016/s0266-7681(97)80005-8
- Berber O, Ahmad I, Gidwani S. Fractures of the scaphoid. BMJ. 2020;369:m1908. doi: 10.1136/bmj.m1908
- Golubev IO, Kutepov IA, Balura GG, et al. First experience of arthroscopic treatment of patients with false joint of the middle third scaphoid bone of the hand. N.N. Priorov Journal of Traumatology and Orthopedics. 2019;(3):14–20. doi: 10.17116/vto201903114
- Amrami KK, Frick MA, Matsumoto JM. Imaging for Acute and Chronic Scaphoid Fractures. Hand Clin. 2019;35(3):241–257. doi: 10.1016/j.hcl.2019.03.001
- Golubev I. Slight Elongation of the Scaphoid and Cancellous Bone Graft Without Compression for Treatment of Scaphoid Nonunions. Hand Clin. 2022;38(3):351–356. doi: 10.1016/j.hcl.2022.04.002
Supplementary files










