Эндопротезирование головки таранной кости при деформирующем артрозе таранно-ладьевидного сустава
- Авторы: Скребцов В.В.1, Процко В.Г.1,2, Скребцов А.В.1, Тамоев С.К.1, Никитина В.К.1, Кузнецов В.В.1
 - 
							Учреждения: 
							
- Городская клиническая больница им. С.С. Юдина
 - Российский университет дружбы народов
 
 - Выпуск: Том 31, № 4 (2024)
 - Страницы: 665-675
 - Раздел: Клинические случаи
 - Статья получена: 18.01.2024
 - Статья одобрена: 14.03.2024
 - Статья опубликована: 25.12.2024
 - URL: https://journals.eco-vector.com/0869-8678/article/view/625762
 - DOI: https://doi.org/10.17816/vto625762
 - ID: 625762
 
Цитировать
Полный текст
Аннотация
Введение. Таранно-ладьевидный сустав является наиболее распространённой локализацией идиопатического остеоартрита суставов заднего отдела стопы. В настоящее время для лечения остеоартрита таранно-ладьевидного сустава активно используют как двух- или трёхсуставные, так и изолированные артродезы таранно-ладьевидного сустава. Однако блокирование функционально значимых суставов стопы вызывает перегрузку смежных суставов и, как следствие, дегенеративные изменения в них.
Описание клинического случая. Представлен клинический случай оперативного лечения пациента с аваскулярным некрозом головки таранной кости, деформирующим артрозом и фиброзным анкилозом таранно-ладьевидного сустава методом эндопротезирования головки таранной кости оригинальным керамическим имплантатом. Представленный в публикации случай является первым описанием нового метода лечения грубой патологии таранно-ладьевидного сустава эндопротезированием головки таранной кости керамическим имплантатом.
Заключение. Анализ полученных среднесрочных результатов оперативного лечения у пациента с деформирующим артрозом III стадии и фиброзным анкилозом таранно-ладьевидного сустава стопы позволяет сделать вывод о перспективности эндопротезирования головки таранной кости при лечении пациентов с данной патологией. Первые полученные данные показали, что предложенный нами эндопротез и метод его имплантации могут являться методом выбора для сохранения подвижности таранно-ладьевидного сустава.
Полный текст
ВВЕДЕНИЕ
Таранно-ладьевидный сустав играет существенную роль в цикле шага, обеспечивая распределение векторов нагрузки на стопе и пронационно-супинационные движения в стопе [1–3].
Выраженные дегенеративные изменения суставов заднего отдела стопы значительно снижают качество жизни пациента, а также негативно влияют на функцию всей стопы в целом [4]. Среди остеоартритов заднего отдела стопы дегенеративные изменения таранно-ладьевидного сустава встречаются наиболее часто [5].
Консервативные методы лечения грубого дегенеративного поражения таранно-ладьевидного сустава имеют низкую эффективность, а арсенал существующих хирургических методов невелик [6]. В настоящее время всё шире применяются изолированные артродезы таранно-ладьевидного сустава [7]. Несмотря на тенденцию изменения подходов к лечению пациентов от выполнения двух- и трёхсуставных артродезов к более щадящей технике изолированного артродеза таранно-ладьевидного сустава, блокирование функционально значимых суставов приводит к неудовлетворительным результатам, что особенно выражено в долгосрочных результатах [8].
С целью сохранения функции таранно-ладьевидного сустава при его грубых деформациях и деструкциях нами были предложены оригинальная модель эндопротеза головки таранной кости и способ его имплантации [9].
Поиск в отечественных и зарубежных источниках литературы не выявил публикаций об эндопротезировании таранно-ладьевидного сустава. По нашему мнению, представленный в нашей работе случай является первым описанным в литературе докладом об эндопротезировании таранно-ладьевидного сустава керамическим имплантатом.
ОПИСАНИЕ КЛИНИЧЕСКОГО СЛУЧАЯ
Пациент 39 лет обратился с жалобами на боль в среднем и заднем отделах правой стопы во время ходьбы, после физической нагрузки и в покое.
Считает себя больным в течение многих лет. Последние три года боль имеет постоянный характер. В анамнезе отрицает травму и боли в других суставах.
При физикальном обследовании выявлены умеренный отёк мягких тканей области среднего и заднего отделов, уплощение продольного свода правой стопы, симптом «подглядывающих пальцев» положительный (рис. 1).
Рис. 1. Внешний вид стоп до проведённого лечения: а — вид сбоку, b — вид сзади. Определяются уплощение внутреннего продольного свода, положительный симптом «подглядывающих пальцев», вальгусное положение пяточной кости.
Fig. 1. Appearance of the feet before treatment: а — side view, b — rear view. Flattening of the internal longitudinal arch, a positive sign of “too many toes”, valgus position of the heel bone are determined.
Определяется выраженная болезненность правой стопы при пальпации в проекции таранно-ладьевидного сустава. Сгибание-разгибание в правом голеностопном суставе — в полном объёме, но болезненные в крайних точках. Супинация-пронация правой стопы не определяются. Неврологического дефицита не выявлено. При тестировании пациента до операции по шкале AOFAS Ankle-Hindfoot получено 53 балла, по шкале VAS — 9 баллов.
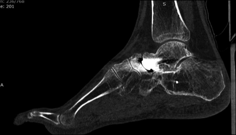
По данным компьютерной томографии выявлены грубая деформация суставных поверхностей таранно-ладьевидного сустава, аваскулярные кисты в головке таранной кости (рис. 2).
Рис. 2. Мультиспиральная компьютерная томография срезов стопы: а — сагиттальная плоскость, b — аксиальная плоскость. Определяются грубые дегенеративные изменения, выраженное сужение суставной щели таранно-ладьевидного сустава. В головке таранной кости определяется киста.
Fig. 2. MSCT sections of the foot: а — sagittal plane, b — axial plane. MSCT sections of the foot: gross degenerative changes, pronounced narrowing of the joint space of the talonavicular joint. A cyst is detected in the head of the talus.
Результаты динамической педобарографии на предоперационном этапе показали выраженные биомеханические изменения в поражённой стопе в процессе шага (рис. 3).
Рис. 3. Динамическая педобарография обеих стоп до проведённого лечения: а — левая стопа, b — правая стопа. Отмечается увеличение времени контакта, среднего давления, показателей коэффициента «интегральное давление/время в заднем отделе правой стопы».
Fig. 3. Dynamic pedobarography in accordance with the foot before treatment: а — left foot, b — right foot. An indicator of an increase in contact time, average pressure, indicators of the integral pressure/time coefficient in the hindfoot of right foot.
В правой стопе отмечается увеличение времени контакта, среднего давления, показателей коэффициента «интегральное давление/время в заднем отделе стопы» в сравнении с контралатеральной стопой. Максимальное давление для правой стопы составило 621 кПа. Разница между пиковым давлением правой и левой стоп в предоперационном периоде составила 147 кПа (23,7%). Пиковое давление левой стопы было равно 474 кПа. Время контакта заднего отдела правой стопы в процессе шага составило 0,65 с, 86,7% от всего цикла шага, что на 20% больше, чем в левой стопе. Для левой стопы этот показатель был равен 0,50 с (66,7%). При анализе результатов правой стопы также определяется большее среднее давление по наружному краю заднего отдела стопы. Среднее давление по наружному краю правой стопы больше на 7,8% и равно 573 кПа.
В среднем отделе правой стопы определяется увеличение максимального давления в сравнении с контралатеральной стопой. Для правой стопы показатель пикового давления на 71% больше, чем для левой стопы. Данные показатели составляли 170 кПа для здоровой стопы и 290 кПа для поражённой стопы.
В переднем отделе правой стопы определяется значимое уменьшение времени контакта и пикового давления в сравнении с левой стопой. При этом отмечается выраженное снижение максимального давления в переднем отделе правой стопы, что отображает уменьшение пропульсивной фазы шага. Для правой стопы данный показатель был равен 197 кПа, что на 53,7% меньше, чем для контралатеральной конечности в её переднем отделе.
Наблюдаемые изменения свидетельствуют о грубом нарушении переката в правой стопе. Определяется изменение походки по типу «штампующей походки» с преобладанием опоры на задний отдел стопы. Отмечается увеличение давления по наружной поверхности стопы, что подтверждает ограничение пронационно-супинационных движений в стопе и патологическом перекате через наружный отдел стопы с большим давлением в среднем и переднем отделах стопы (рис. 4).
Рис. 4. Графики динамической педобарографии до лечения: а — левая стопа, b — правая стопа. Определяется значительное увеличение времени контакта и максимального давления заднего отдела правой стопы. При этом отмечается более высокое максимальное давление по наружному краю заднего отдела стопы (красная линия графика) в сравнении с внутренним краем (розовая линия).
Fig. 4. Dynamic pedobarography charts before treatment: а — left foot, b — right foot. A significant increase in contact time and maximum pressure of the rear part of the right foot is determined. In this case, a higher maximum pressure is determined along the outer edge of the hindfoot (red line of the graph) in comparison with the inner edge (pink line).
Пациенту был установлен диагноз: аваскулярный некроз головки таранной кости, деформирующий артроз таранно-ладьевидного сустава III стадии, фиброзный анкилоз таранно-ладьевидного сустава правой стопы. Плоско-вальгусная деформация правой стопы.
На первом этапе лечения пациент проходил курсы консервативной противовоспалительной терапии, использовал индивидуальные ортопедические стельки. Однако эффект терапии имел кратковременный характер. Последние 6 месяцев эффекта от консервативной терапии отмечено не было.
Вследствие этого пациент был вынужден резко ограничить свою двигательную активность и занятия спортом. После консультативного приёма больному было предложено хирургическое лечение. С пациентом обсуждался вариант артродеза таранно-ладьевидного сустава, были разъяснены все риски и положительные стороны этого метода оперативного вмешательства. Однако больной настаивал на сохранении движений в таранно-ладьевидном суставе. Исходя из этого нами было предложено эндопротезирование головки таранной кости керамическим имплантатом с замещением очагов аваскулярного некроза головки таранной кости костными губчатыми аллотрансплантатами. Эндопротез выполнен из циркониевой оксидной керамики, стабилизированной иттрием, которая является биосовместимым и биологически инертным материалом. Эндопротез содержит суставную головку с гладкой суставной поверхностью и шершавую ножку, за счёт чего происходит самозаклинивание ножки в подготовленном для имплантации канале головки и шейки таранной кости и обеспечивается его беспрепятственное скольжение по суставной поверхности ладьевидной кости. Пациент был информирован о сохранении возможности выполнения артродеза таранно-ладьевидного сустава в случае неудовлетворительных результатов данного лечения.
Методика оперативного вмешательства
В ходе операции применялась спинальная анестезия. Положение на операционном столе — на спине. Тыльным доступом между сухожилиями передней большеберцовой мышцы и длинным разгибателем первого пальца была выполнена артротомия таранно-ладьевидного сустава. Произведено удаление костно-хрящевых экзостозов по тыльной поверхности головки таранной и ладьевидной кости. По направителю выполнена резекция поражённой суставной поверхности головки таранной кости (рис. 5).
Рис. 5. Резецированный фрагмент головки таранной кости.
Fig. 5. Resected fragment of the head of the talus.
Наружно-боковым доступом был выделен передний суставной отросток пяточной кости и произведена его остеотомия. Это позволило мобилизовать и вывести в рану культю головки и шейки таранной кости без дополнительного рассечения связочного аппарата стопы. У данного пациента в головке таранной кости была обнаружена и интраоперационно выделена киста. Была выполнена её экскохлеация до кровоточащей костной ткани (рис. 6).
Рис. 6. Киста головки таранной кости.
Fig. 6. Cyst of the head of the talus.
Дефект головки таранной кости заполнен костными губчатыми аллотрансплантатами. По анатомической оси шейки таранной кости проведена спица-направитель. По спице при помощи канюлированного рашпиля был сформирован канал для ножки эндопротеза. Рашпиль и спица удалены. В сформированный канал в шейке таранной кости установлен керамический эндопротез головки таранной кости (рис. 7).
Рис. 7. Интраоперационный вид правой стопы после имплантации эндопротеза головки таранной кости.
Fig. 7. Intraoperative view of the right foot after implantation of the endoprosthesis of the head of the talus.
Головка эндопротеза вправлена в суставную впадину ладьевидной кости. После этого выполнены репозиция и остеосинтез переднего суставного отростка пяточной кости. Клинически и с использованием электронно-оптического преобразователя был определён объём движений таранно-ладьевидного сустава. После туалета ран растворами антисептиков рассечённые мягкие ткани ушили послойно (рис. 8).
Рис. 8. Интраоперационные изображения с электронно-оптического преобразователя правого голеностопного сустава и стопы: а — в боковой проекции, b — в переднезадней проекции. Положение имплантата, скобы-коннектора корректное.
Fig. 8. Intraoperative images from the electron-optical converter of the right ankle and foot: а — in lateral projection, b — in anteroposterior projection. The position of the implant and connector bracket is correct.
В послеоперационном периоде выполнена иммобилизация голеностопного сустава задней гипсовой шиной в течение 8 недель. Пациенту рекомендованы исключение опоры на оперированную стопу, ходьба при помощи костылей в течение всего периода иммобилизации. Пациент получал профилактику тромбоэмболических осложнений: ривароксабан 10 мг перорально 1 раз в сутки в течение 8 недель. После прекращения иммобилизации назначены лечебная физкультура, дозированная нагрузка на правую нижнюю конечность. Контрольные осмотры через 8 недель, 6, 12 и 24 месяца после операции.
Результаты лечения
На контрольном осмотре через 24 месяца пациент ходит с полной опорой на правую нижнюю конечность. Он полностью вернулся к привычному для него образу жизни, возобновил занятия спортом и туристические походы в горы. Отёк мягких тканей правой стопы не определяется (рис. 9).
Рис. 9. Внешний вид правой стопы через 24 месяца после операции: а — вид сбоку, b — вид сзади.
Fig. 9. Appearance of the right foot after 24 months. after operation: а — side view, b — rear view.
Послеоперационные рубцы состоятельные, без признаков воспаления. Объём движений в правом голеностопном суставе полный, безболезненный. Объём супинационно-пронационных движений правой стопы в суставе Шопара — 10°–0°–10°. Пальпация таранно-ладьевидного сустава безболезненная. При тестировании пациента по шкале AOFAS Ankle-Hindfoot получено 93 балла, по шкале VAS — 1 балл. Осевые взаимоотношения правого голеностопного сустава и правой стопы правильные.
По данным рентгенографии с нагрузкой и компьютерной томографии признаков нестабильности эндопротеза головки таранной кости не отмечено (рис. 10, 11).
Рис. 10. Рентгенограмма правого голеностопного сустава и стопы через 2 года после операции.
Fig. 10. X-ray of the right ankle and foot 2 years after surgery.
Рис. 11. Сагиттальный срез компьютерной томограммы правого голеностопного сустава и стопы через 24 месяца после проведённого лечения: не определяются лизис около ножки эндопротеза, признаки прогрессирования дегенеративных изменений суставной поверхности ладьевидной кости.
Fig. 11. Sagittal section of a CT scan of the right ankle joint and foot 24 months after treatment: no lysis was detected near the leg of the endoprosthesis, no signs of progression of degenerative changes in the articular surface of the scaphoid bone.
Результаты динамической педобарографии спустя 24 месяца после проведённого лечения позволяют сделать заключение о восстановлении физиологического паттерна шага (рис. 12).
Рис. 12. Результаты динамической педобарографии через 24 месяца после проведённого лечения: определяется восстановление переката правой стопы с физиологическим распределением нагрузки по всей поверхности опоры.
Fig. 12. Results of dynamic pedobarography 24 months after treatment: restoration of the roll of the right foot with physiological distribution of the load over the entire surface of the support is determined.
Согласно результатам послеоперационной динамической педобарографии, спустя 24 месяца после проведённого лечения в послеоперационном периоде определяется уменьшение максимального давления и времени контакта заднего отдела правой стопы. Время опоры правой и левой стопы равно 0,68 и 0,66 с соответственно. При этом максимальное давление правой стопы составило 474 кПа, что на 3 кПа и 0,6% меньше, чем максимальное давление левой стопы. При этом разница до и после проведённого лечения между двумя правыми стопами составила 31% с уменьшением давления в послеоперационном периоде. При этом не определяется разницы между наружным и внутренним краями заднего отдела стопы (рис. 13).
Рис. 13. Результаты динамической педобарографии через 24 месяца после проведённого лечения: в сравнении графиков динамической педобарографии обеих стоп определяется умеренное снижение силы переднего отдела правой стопы (красный график) с сохранением физиологического паттерна в заднем и среднем отделах.
Fig. 13. Results of dynamic pedobarography 24 months after treatment: comparison of dynamic pedobarography graphs of both feet reveals a moderate decrease in the strength of the forefoot of the right foot (red graph) with preservation of the physiological pattern in the rear and middle sections.
В послеоперационном периоде определяется уменьшение максимального давления в среднем отделе правой стопы. Максимальное давление в среднем отделе правой стопы составило 123 кПа. Для левой стопы данный показатель составил 181 кПа. Разница в до- и послеоперационном периоде правой стопы составила 163 кПа, или 58 %. Данные показатели максимального давления в среднем отделе стопы входят в границы физиологического давления согласно показателю Relative midfoot index (RMI), где максимальное давление в среднем отделе стопы <0,8 согласно расчётам по формуле [10].
В переднем отделе правой стопы определяется увеличение давления, которое в послеоперационном периоде приобретает значения, соответствующие среднефизиологической норме. При этом разница между правой и левой стопами в послеоперационном периоде составила 116 кПа (31%) при сравнении максимального давления в переднем отделе стопы. В переднем отделе левой стопы максимальное давление составило 372 кПа, в то же время в переднем отделе правой стопы максимальное давление равнялось 256 кПа. Определяется значительное увеличение максимального давления, времени контакта под головкой первой плюсневой кости, что свидетельствует о восстановлении пронации переднего отдела стопы во время пропульсивной фазы шага.
Данные показатели отображают восстановление естественного паттерна шага правой стопы со среднефизиологическим распределением нагрузки.
ОБСУЖДЕНИЕ
Таранно-ладьевидный сустав имеет одно из наиболее важных функциональных значений для всей стопы в целом. Некоторыми авторами проводится аналогия с тазобедренным суставом, и в таком случае таранно-ладьевидному суставу предложено название «acetabulum pedis», подчёркивающее схожий тип движений в суставе [11].
Способность изменять форму и определять направление движений головки таранной кости является неотъемлемой частью функции сустава Шопара и позволяет выполнять скользящие вращательные движения в дополнение к движениям в сагиттальной плоскости.
Исследование C.J. Nester и соавт. было посвящено изучению объёма движений в суставах стопы [12]. Методика исследования подразумевала использование маркированных пинов, установленных в кость, что по точности исследования на сегодняшний день делает данное исследование одним из самых объективных. Согласно результатам исследования, таранно-ладьевидный сустав является наиболее подвижным суставом стопы. Суммарный объём движений в трёх плоскостях превышает 40°. В сагиттальной плоскости объём движений равен 10,6°, что делает данный сустав третьим по объёму движений стопы в данной плоскости. Однако во фронтальной и поперечной плоскостях объём движений в таранно-ладьевидном суставе превышает таковой остальных суставов и равен 13,6 и 16,5° соответственно. Согласно теориям M.A. MacConaill и И.A. Полиевктова, стопа представляет собой скрученную пружину или спираль, которая скручивается и раскручивается во время ходьбы [11, 13]. В зависимости от фазы шага благодаря движениям в суставе Шопара происходит разблокирование и блокирование суставов среднего отдела стопы, что обеспечивает амортизацию и адаптацию стопы к опоре во время переката через пятку и жёсткость стопы для эффективной передачи силы во время переката через средний и передний отделы стопы. Таким образом, в очередной раз подчёркивается важность таранно-ладьевидного сустава в биомеханике шага [14].
Остеоартриты суставов среднего и заднего отделов стопы остаются не до конца изученной проблемой. Согласно Е. Roddy, современные методы лечения не являются однозначно эффективными [15]. Рентгенологические признаки артрозных изменений таранно-ладьевидного сустава встречаются в 33% случаев, в то время как симптоматические проявления остеоартроза таранно-ладьевидного сустава составляют 5,8% [16]. Основными причинами, вызывающими дегенеративные изменения в таранно-ладьевидном суставе, являются плоско-вальгусная деформация стопы, ревматоидный полиартрит, последствия перенесённой травмы [17].
Общепринятой тактикой лечения остеоартрита таранно-ладьевидного сустава является его артродез [18]. Однако данный метод лечения нельзя назвать биомеханически обоснованным. Имеются публикации, результаты которых говорят о том, что любой из вариантов блокирования функционально значимых суставов стопы приводит к отрицательным последствиям для функции всей стопы [19]. Движения в суставах заднего отдела стопы после изолированного артродеза сустава Шопара практически полностью исчезают, что значительно снижает адаптационные механизмы стопы во время цикла шага [2, 20]. Отсутствие движений в суставах стопы вызывает повышенную нагрузку, дегенеративные изменения в смежных суставах, что впоследствии приводит к их остеоартриту и развитию болевого синдрома [21]. По данным авторов, изолированное блокирование таранно-ладьевидного сустава может уменьшить движение подтаранного сустава на 36–90% и существенно ограничивает движение в пяточно-кубовидном суставе. После двойного артродеза движение подтаранного сустава уменьшается на 62% [7, 22]. Это может привести к вторичному артрозу голеностопного, пяточно-кубовидного и ладьевидно-клиновидного суставов.
Одним из оперативных методов сохранения подвижности дегенеративно изменённого таранно-ладьевидного сустава является интерпозиционная артропластика. Однако в литературе есть только единичные сообщения о её применении, и оценить эффективность метода не представляется возможным [23].
Таким образом, все методы оперативного лечения, которые применяют в настоящее время у пациентов с клинически проявляющимся деформирующим артрозом таранно-ладьевидного сустава на стопе, направлены на выполнение артродеза. Они могут применяться изолированно на таранно-ладьевидном суставе, затрагивать два или три сустава заднего отдела стопы. Однако все эти процедуры в той или иной степени ограничивают функцию всего заднего отдела стопы, приводят к перегрузке и разрушению смежных суставов. Для сохранения функции заднего отдела стопы после оперативного лечения повреждений таранно-ладьевидного сустава нами были предложены эндопротез головки таранной кости и способ его имплантации [9].
Через 24 месяца после эндопротезирования головки таранной кости у пациента определяются практически полное купирование болевого синдрома, восстановление подвижности суставов среднего и заднего отделов стопы и опороспособности всей нижней конечности.
ЗАКЛЮЧЕНИЕ
Анализ полученных среднесрочных результатов оперативного лечения у пациента с деформирующим артрозом III стадии и фиброзным анкилозом таранно-ладьевидного сустава стопы показал, что эндопротезирование головки таранной кости является перспективным направлением лечения грубых дегенеративных изменений таранно-ладьевидного сустава. Первые полученные данные внушают надежду, что предложенный нами эндопротез и метод его имплантации являются методом выбора для сохранения подвижности таранно-ладьевидного сустава и позволяют избежать его артродеза.
Поиск в базах данных PubMed и EMBASE по запросам «эндопротезирование таранно-ладьевидного сустава» не дал результата. Мы уверены в том, что данная публикация — единственный отчёт, описывающий процедуру эндопротезирования головки таранной кости для лечения пациентов с выраженным остеоартритом таранно-ладьевидного сустава.
ДОПОЛНИТЕЛЬНО
Вклад авторов. Все авторы подтверждают соответствие своего авторства международным критериям ICMJE (все авторы внесли существенный вклад в разработку концепции, проведение исследования и подготовку статьи, прочли и одобрили финальную версию перед публикацией).
Источник финансирования. Авторы заявляют об отсутствии внешнего финансирования при проведении исследования и подготовке публикации.
Конфликт интересов. Авторы декларируют отсутствие явных и потенциальных конфликтов интересов, связанных с проведённым исследованием и публикацией настоящей статьи.
Информированное согласие. Авторы получили письменное согласие пациента на публикацию его медицинских данных (05.01.2024 г.).
ADDITIONAL INFO
Author contribution. All authors confirm that their authorship meets the international ICMJE criteria (all authors have made a significant contribution to the development of the concept, research and preparation of the article, read and approved the final version before publication).
Funding source. The authors state that there is no external funding when conducting the research and preparing the publication.
Competing interests. The authors declare that they have no competing interests.
Consent for publication. The patient gave his written consent for publication of his medical data (January 5, 2024).
Об авторах
Владимир Владимирович Скребцов
Городская клиническая больница им. С.С. Юдина
							Автор, ответственный за переписку.
							Email: Skrebtsov@mail.ru
				                	ORCID iD: 0000-0003-0833-6628
				                	SPIN-код: 6002-7102
																		                								
канд. мед. наук
Россия, 115446, Москва, Коломенский проезд, д. 4Виктор Геннадьевич Процко
Городская клиническая больница им. С.С. Юдина; Российский университет дружбы народов
														Email: 89035586679@mail.ru
				                	ORCID iD: 0000-0002-5077-2186
				                	SPIN-код: 4628-7919
																		                								
д-р мед. наук, профессор
Россия, 115446, Москва, Коломенский проезд, д. 4; МоскваАлександр Владимирович Скребцов
Городская клиническая больница им. С.С. Юдина
														Email: Skrebtsovalex@mail.ru
				                	ORCID iD: 0000-0002-1418-3368
				                	SPIN-код: 3682-4569
																		                								
MD
Россия, 115446, Москва, Коломенский проезд, д. 4Саргон Константинович Тамоев
Городская клиническая больница им. С.С. Юдина
														Email: Sargonik@mail.ru
				                	ORCID iD: 0000-0001-8748-0059
				                	SPIN-код: 2986-1390
																		                								
канд. мед. наук
Россия, 115446, Москва, Коломенский проезд, д. 4Виктория Константиновна Никитина
Городская клиническая больница им. С.С. Юдина
														Email: vcnikitina@gmail.com
				                	ORCID iD: 0000-0002-0064-3175
				                	SPIN-код: 9868-0332
																		                								
MD
Россия, 115446, Москва, Коломенский проезд, д. 4Василий Викторович Кузнецов
Городская клиническая больница им. С.С. Юдина
														Email: vkuznecovniito@gmail.com
				                	ORCID iD: 0000-0001-6287-8132
				                	SPIN-код: 6499-2760
																		                								
канд. мед. наук
Россия, 115446, Москва, Коломенский проезд, д. 4Список литературы
- Fogel G.R., Katoh Y., Rand J.A., Chao E.Y.S. Talonavicular Arthrodesis for Isolated Arthrosis 9.5-Year Results and Gait Analysis // Foot Ankle Int. 1982. Vol. 3, № 2. Р. 105–113. doi: 10.1177/107110078200300210
 - Astion D.J., Deland J.T., Otis J.C., Kenneally S. Motion of the Hindfoot after Simulated Arthrodesis // JBJS. 1997. Vol. 79, № 2. Р. 241–6. doi: 10.2106/00004623-199702000-00012
 - Savory K.M., Wülker N., Stukenborg C., Alfke D. Biomechanics of the hindfoot joints in response to degenerative hindfoot arthrodesis // Clinical Biomechanics. 1998. Vol. 13, № 1. Р. 62–70. doi: 10.1016/S0268-0033(97)00016-8
 - Golightly Y.M., Gates L.S. Foot Osteoarthritis: Addressing an Overlooked Global Public Health Problem // Arthritis Care Res (Hoboken). 2021. Vol. 73, № 6. Р. 767–769. doi: 10.1002/acr.24181
 - Menz H.B., Munteanu S.E., Landorf K.B., Zammit G.V., Cicuttini F.M. Radiographic evaluation of foot osteoarthritis: sensitivity of radiographic variables and relationship to symptoms // Osteoarthritis Cartilage. 2009. Vol. 17, № 3. Р. 298–303. doi: 10.1016/j.joca.2008.07.011
 - Kalichman L., Hernández-Molina G. Midfoot and forefoot osteoarthritis // The Foot. 2014. Vol. 24, № 3. Р. 128–134. doi: 10.1016/j.foot.2014.05.002
 - Kim D.H., Berkowitz M.J. Allograft Dermal Matrix Interpositional Arthroplasty in the Treatment of Failed Revision Arthrodesis at the Talonavicular Joint // Foot Ankle Int. 2014. Vol. 35, № 6. Р. 619–622. doi: 10.1177/1071100714528497
 - Zhang K., Chen Y., Qiang M., Hao Y. Effects of five hindfoot arthrodeses on foot and ankle motion: Measurements in cadaver specimens // Sci Rep. 2016. Vol. 6, № 1. Р. 35493. doi: 10.1038/srep35493
 - Патент РФ на изобретение № 2801233 С2/ 30.01.23. Бюл. № 4. Карлов А.В., Скребцов В.В., Процко В.Г. Эндопротез головки таранной кости и способ его имплантации. Режим доступа: https://yandex.ru/patents/doc/RU2801233C2_20230803?ysclid=m2x4sz9a40659836660 EDN: QKADIX
 - Arno F., Roman F., Martin W., Jennifer G., Monika H. Facilitating the interpretation of pedobarography: The relative midfoot index as marker for pathologic gait in ankle osteoarthritic and contralateral feet // J Foot Ankle Res. 2016. Vol. 9, № 1. doi: 10.1186/s13047-016-0177-y
 - MacConaill M.A. The postural mechanism of the human foot // Proc R Ir Acad. 1944–45. Vol. 50B. Р. 265–78.
 - Nester C.J., Liu A.M., Ward E., et al. In vitro study of foot kinematics using a dynamic walking cadaver model // J Biomech. 2007. Vol. 40, № 9. Р. 1927–1937. doi: 10.1016/j.jbiomech.2006.09.008
 - Полиевктов И.А. Стопа человека в норме и патологии. Дзауджикау: Гос. изд-во Сев.-Осет. АССР, 1949. 112 с.
 - Conti M.S., Ellis S.J. Spare the Talonavicular Joint! The Role of Isolated Subtalar Joint Fusion in the Treatment of Progressive Collapsing Foot Deformity // Foot Ankle Clin. 2021. Vol. 26, № 3. Р. 591–607. doi: https://doi.org/10.1016/j.fcl.2021.05.005
 - Roddy E., Thomas M.J., Marshall M., et al. The population prevalence of symptomatic radiographic foot osteoarthritis in community-dwelling older adults: cross-sectional findings from the Clinical Assessment Study of the Foot // Ann Rheum Dis. 2015. Vol. 74, № 1. Р. 156–163. doi: 10.1136/annrheumdis-2013-203804
 - Roddy E., Menz H.B. Foot osteoarthritis: latest evidence and developments // Ther Adv Musculoskelet Dis. 2018. Vol. 10, № 4. Р. 91–103. doi: 10.1177/1759720X17753337
 - Weinheimer D. Talonavicular arthrodesis // Clin Podiatr Med Surg. 2004. Vol. 21, № 2. Р. 227–240. doi: 10.1016/j.cpm.2004.01.003
 - Crevoisier X. The Isolated Talonavicular Arthrodesis // Foot Ankle Clin. 2011. Vol. 16, № 1. Р. 49–59. doi: 10.1016/j.fcl.2010.11.002
 - Zhang K., Chen Y., Qiang M., Hao Y. Effects of five hindfoot arthrodeses on foot and ankle motion: Measurements in cadaver specimens // Sci Rep. 2016. Vol. 6, № 1. Р. 35493. doi: 10.1038/srep35493
 - Wülker N., Stukenborg C., Savory K.M., Alfke D. Hindfoot Motion after Isolated and Combined Arthrodeses: Measurements in Anatomic Specimens // Foot Ankle Int. 2000. Vol. 21, № 11. Р. 921–927. doi: 10.1177/107110070002101106
 - Jia X., Qiang M., Chen Y., Zhang K., Chen S. The influence of selective arthrodesis on three-dimensional range of motion of hindfoot joint: A cadaveric study // Clinical Biomechanics. 2019. Vol. 69. Р. 9–15. doi: 10.1016/j.clinbiomech.2019.06.011
 - Fortin P.T. Posterior tibial tendon insufficiency: Isolated fusion of the talonavicular joint // Foot Ankle Clin. 2001. Vol. 6, № 1. Р. 137–151. doi: 10.1016/S1083-7515(03)00087-1
 - Patel A., Eleftheriou K.I., Anand A., Rosenfeld P. Bilateral Excision Arthroplasty and Interpositional Allograft for Severe Talonavicular Osteoarthritis // Foot Ankle Int. 2013. Vol. 34, № 9. Р. 1294–1298. doi: 10.1177/1071100713484006
 
Дополнительные файлы
				
			
						
					
						
									















