Treatment experience of congenital radioulnar synostosis in children: case reports
- 作者: Shule E.F.1, Kozhevnikov O.V.1, Kralina S.E.1, Gribova I.V1
-
隶属关系:
- Priorov National Medical Research Centre of Traumatology and Orthopaedics
- 期: 卷 32, 编号 3 (2025)
- 页面: 656-664
- 栏目: Clinical case reports
- ##submission.dateSubmitted##: 19.03.2024
- ##submission.dateAccepted##: 11.07.2025
- ##submission.datePublished##: 26.07.2025
- URL: https://journals.eco-vector.com/0869-8678/article/view/629232
- DOI: https://doi.org/10.17816/vto629232
- EDN: https://elibrary.ru/VMZBVD
- ID: 629232
如何引用文章
详细
INTRODUCTION: Congenital radioulnar synostosis is a rare orphan condition that impairs a child’s ability to adapt to everyday life and causes difficulties in acquiring writing and hygiene skills. Parents of children with this condition typically note a pronated position of the forearm and hand, along with the absence of rotational movements in the forearm. The diagnosis is based on radiographs of the forearm, and the type of synostosis is determined according to the Cleary–Omer classification. There is no conservative treatment for this condition. Over 20 surgical techniques have been described, which makes the indications and choice of a particular surgical method a subject of ongoing debate.
CASE DESCRIPTION: This paper presents the clinical experience of treating congenital radioulnar synostosis in 12 children between January 2018 and March 2024. A total of 16 surgical procedures were performed: 14 derotational osteotomies at the synostosis level according to the Green technique with wire fixation, and 2 procedures using a combined method involving derotational osteotomy at the synostosis level with wire fixation and a corrective radial osteotomy in the middle third with plate fixation. The surgical technique and specific features of the fixation method are described in detail. Possible complications are discussed. Treatment outcomes were evaluated over a follow-up period ranging from 1 to 5 years postoperatively. All patients achieved functional positioning of the forearm in the neutral position, improved quality of life, and acquired new hygiene and learning skills. In the postoperative period, transient neuropathy of the deep branch of the radial nerve was observed in 5 out of 16 surgical interventions for congenital radioulnar synostosis, manifested by finger extensor paresis. One case of delayed consolidation was also noted following the two-level osteotomy.
CONCLUSION: Treatment of radioulnar synostosis at a younger age is less traumatic, as the deformity is not multiplanar and does not require additional corrective elements beyond forearm derotation. This procedure is effective in eliminating the pronated position of the limb and improving functional capacity without causing serious complications. Although the risk of complications increases with age at the time of correction, no statistically significant association was found. The current sample requires expansion for more accurate comparison of surgical techniques.
全文:
ВВЕДЕНИЕ
Врождённый радиоульнарный синостоз (ВРУС), или лучелоктевой синостоз, — орфанная патология, при которой на этапе эмбрионального развития происходит нарушение закладки предплечья и разделения лучевой и локтевой кости с формированием их фиброзного или костного сращения [1, 2]. Клинически данная патология проявляется ограничением ротационных движений предплечья и его пронационной установкой, гипермобильностью плечевого и кистевого сустава на поражённой конечности для компенсации функции ротации, затруднением письма и самообслуживания. Чаще всего родители впервые отмечают деформацию и ограничение движений у ребёнка в возрасте до 3 лет, когда ребёнок начинает удерживать в руках бытовые предметы, столовые приборы и рисовать. Постановка диагноза ВРУС строится на клиническом осмотре, рентгенографии или МРТ при фиброзном типе сращения. Основной классификацией ВРУС является рентген-классификация по Cleary-Omer с 4 типами сращения [3]:
- 1-й тип — фиброзное сращение (на рентгенограммах не выявляется, но определяется клинически);
- 2-й тип — ограниченное костное сращение без деформации головки лучевой кости;
- 3-й тип — костное сращение с гипоплазией и дислокацией головки лучевой кости кзади и дугообразной деформацией диафиза лучевой кости;
- 4-й тип — костное сращение с грибовидной головкой лучевой кости и её дислокацией кпереди.
Консервативное лечение ВРУС не представляется возможным, так как не позволяет устранить пронационную контрактуру предплечья. В мировой литературе описано более 20 видов оперативного лечения ВРУС, в том числе с попытками восстановления активной ротации предплечья, однако самая распространённая тактика — выведение предплечья в среднеротационное положение за счёт остеотомии одной или двух костей предплечья [4]. Мы считаем данный подход к лечению пациентов с ВРУС наиболее целесообразным и хотим поделиться нашим опытом оперативного лечения лучелоктевого синостоза.
ОПИСАНИЕ КЛИНИЧЕСКИХ СЛУЧАЕВ
Выполнение медицинского вмешательства
На базе 10-го отделения НМИЦ ТО им. Н.Н. Приорова у пациентов с радиоульнарным синостозом при отсутствии дополнительных элементов деформации применяется деротационная остеотомия на уровне синостоза с фиксацией спицами. Методика основана на операции, описанной W.T. Green, с модификацией K.D. Plancher [5, 6]. Методика операции: трансоссально под ЭОП-контролем вводится спица в костномозговой канал локтевой кости, накладывается жгут на верхнюю треть плеча, затем через доступ 3–4 см по локтевой поверхности предплечья в проекции синостоза осуществляется визуализация и разметка спицей места предполагаемой остеотомии (рис. 1, a). Место остеотомии подбирается по рентгенограммам и располагается дистальнее венечного отростка, в пределах костного блока синостоза, перпендикулярно оси локтевой кости. Далее осцилляторной пилой производится остеотомия локтевой и лучевой кости, трудные для удаления пилой костные мостики удаляются долотом, предплечье на ранее введённой осевой спице мануально ротируется до среднего положения (0 градусов между пронацией и супинацией, большой палец направлен вверх, а ладонь направлена кнутри) (рис. 1, b) и транскутанно фиксируется спицами. Перед зашиванием раны дополнительно проводится фасциотомия экстензоров и мышц-сгибателей (рис. 1, c). Кровопотеря во время операции минимальна, среднее время операции составило 1 час 10 минут. На период сращения и фиксации спицами накладывается гипсовая повязка от верхней трети плеча до пальцев кисти в среднем положении предплечья со сгибанием локтевого сустава под 90 градусов.
Рис. 1. Методика оперативного вмешательства: а — введение трансоссальной спицы в канал локтевой кости для проведения ротационного манёвра, разметка зоны остеотомии спицей; b — остеотомия пилой и долотом, зона синостоза пересечена полностью, контроль спицы и начало ротационного манёвра; с — рассечение фасции для предотвращения компартмент-синдрома. Использованы фотографии пациентки Ч. из клинического случая 1 данной статьи (дата согласия на публикацию от законного представителя — 01.07.2023 г.).
Fig. 1. Surgical technique: a, insertion of a transosseous wire into the ulnar canal for rotational maneuver and marking of the osteotomy zone with the wire; b, osteotomy performed with a saw and chisel, complete transection of the synostosis zone, wire control and initiation of rotational maneuver; c, fasciotomy to prevent compartment syndrome. Photographs of patient Ch. from clinical case 1 of this article were used (date of legal representative’s consent for publication: July 1, 2023).
С января 2018 по март 2024 г. в отделении прооперировано 12 пациентов (16 конечностей) с ВРУС в возрасте от 3 до 14 лет (7 лет±3,5 [SD]), из них 7 девочек (58,3%) и 5 мальчиков (41,7%), 4 пациента (33,3%) с двусторонним поражением и 8 (66,7%) с односторонним (2 справа, 6 слева). Отмечено 15 конечностей с деформацией 3-го типа по Cleary-Omer, 1 конечность с деформацией 4-го типа по Cleary-Omer. У всех пациентов на первичном осмотре выявлялись положительный «симптом трубача» — отсутствие супинации при сгибании локтевого сустава и попытке ребёнка коснуться кончика носа, патологическая установка предплечья от 60 до 100 градусов пронации и отсутствие пассивной и активной ротации предплечья, объём сгибания и разгибания в локтевом суставе полный (10–0–150 градусов). Клиническая оценка объёмов движений в суставах верхней конечности проводилась по ноль-проходящему методу Маркса. Отмечено, что у детей старшего возраста к пронационной контрактуре предплечья добавляются другие компоненты деформации, например лучевая косорукость.
Всего выполнено 16 оперативных вмешательств: 14 операций деротационной остеотомии на уровне синостоза по методике Грина с фиксацией спицами (средний возраст детей 5,9±2,2 года) и 2 операции [у детей 12 и 14 лет (в среднем 13±1,4 года) с односторонней тяжёлой деформацией с вывихом головки локтевой кости в дистальном радиоульнарном сочленении] по комбинированной методике: деротационная остеотомия на уровне синостоза с фиксацией спицами и корригирующая остеотомия лучевой кости в средней трети с фиксацией пластиной.
Сращение остеотомии в зоне синостоза занимало 6 недель, спицы удалялись через 8 недель. Все пациенты после удаления спиц проходили восстановительное лечение, включающее активную и пассивную разработку движений в локтевом суставе и обучение навыкам гигиены и письма в условиях нового положения предплечья.
Результаты
Результаты прослежены на сроках 1–5 лет после операции, пациенты наблюдаются в первый год 1 раз в полгода, затем явка на консультацию 1 раз в год. У всех пациентов достигнуты функциональная установка предплечья в среднем положении, улучшение качества жизни и приобретение новых навыков гигиены и обучения. Отмечен 1 случай замедленной консолидации диафиза лучевой кости у 14-летней пациентки при проведении комбинированной методики. После курса восстановительного лечения все пациенты продемонстрировали полный объём движений в локтевом суставе 10–0–150 градусов. Рецидивов деформации не наблюдалось.
В послеоперационном периоде в 5 (31,25%) случаях из 16 оперативных вмешательств при ВРУС (3 случая из 14 при лечении с применением методики Грина — 21,4%, 2 случая из 2 при использовании комбинированной двухуровневой методики — 100%) отмечались преходящие явления невропатии глубокой ветви лучевого нерва, что проявлялось парезом разгибателей пальцев кисти. Причиной невропатии во всех случаях являлся отёк мягких тканей области оперативного вмешательства, в непосредственной близости к анатомическому расположению нерва. УЗ-признаков повреждения нерва не отмечалось. На фоне дополнительной медикаментозной терапии у всех пациентов произошёл регресс симптомов невропатии на стационарном этапе лечения до 12-го дня после операции. Риск развития невропатии не увеличивался в зависимости от градуса изначальной пронационной установки. При проведении статистического анализа с помощью хи-квадрата Пирсона статистической зависимости появления неврологического дефицита от методики лечения не отмечалось (p=0,152), также не отмечено статистической зависимости развития неврологического дефицита от возраста оперативного вмешательства (p=0,105). Мы считаем, что такие значения обусловлены малым количеством выборки. Показатели зависимости возраста, градуса пронационной установки и появления неврологической симптоматики представлены в диаграмме рассеивания, данные приведены с учётом количества оперативных вмешательств, дети с двусторонним поражением указаны дважды (рис. 2). При оценке неврологического дефицита в зависимости от пола ребёнка у девочек отмечено поражение нерва в 1 случае из 7 (14,3%), а у мальчиков — в 4 случаях из 5 (80%).
Рис. 2. Диаграмма зависимости возраста, угла пронации и появления неврологической симптоматики. Выделены невропатии глубокой ветви лучевого нерва.
Fig. 2. Diagram showing the relationship between age, pronation angle, and the onset of neurological symptoms. Neuropathies of the deep branch of the radial nerve are highlighted.
Клинический случай 1
Пациентка Ч., 7 лет. Первое обращение — в 5 лет, жалобы на ограничение пронационных движений в предплечьях, затруднение самообслуживания. Ограничение движений отметили в 1,5 года, с возрастом проблема усугублялась. При первичном осмотре выявлялось следующее: вынужденное положение кистей в положении пронации, при попытке пассивной супинации в движение вовлекаются локтевой и плечевой суставы, гипермобильность кистевых суставов, активная супинация предплечья отсутствует, «проба трубача» положительная с обеих сторон, пронационная установка правого предплечья — 70 градусов, левого — 60 градусов (рис. 3, a). На рентгенограммах — проксимальный радиоульнарный синостоз, тип 3 по Cleary-Omer, с обеих сторон (рис. 3, b, c).
Рис. 3. Результаты первичного осмотра пациентки Ч.: а — клинически пациентка может супинировать кисть за счёт гипермобильности кистевого сустава и вовлечения ротации плеча с обеих сторон, пронационная установка — 60 градусов; b — рентгенография в прямой проекции обоих предплечий, проксимальный радиоульнарный синостоз, тип 3 по Cleary-Omer, с обеих сторон; с — рентгенография в боковой проекции обоих предплечий, проксимальный радиоульнарный синостоз, тип 3 по Cleary-Omer, с обеих сторон (дата согласия на публикацию от законного представителя — 01.07.2023 г.).
Fig. 3. Initial examination findings of patient Ch.: a, clinically, the patient is able to supinate the hand due to wrist joint hypermobility and involvement of shoulder rotation on both sides; pronation position, 60 degrees; b, anteroposterior radiograph of both forearms showing proximal radioulnar synostosis, Cleary–Omer type 3, bilaterally; c, lateral radiograph of both forearms showing proximal radioulnar synostosis, Cleary–Omer type 3, bilaterally (date of legal representative’s consent for publication: July 1, 2023).
Проведена операция: корригирующая остеотомия костей правого предплечья на уровне синостоза, металло-остеосинтез спицами (рис. 4, a). Наложена гипсовая лонгета по задней поверхности плеча и предплечья от пястно-фаланговых суставов до средней трети плеча в положении сгибания локтевого сустава под 90 градусов с выведением предплечья в среднее положение. Послеоперационный период протекал без осложнений, активные движения правой кистью пациентка начала выполнять сразу после окончания действия проводниковой анестезии. Спицы удалены через 8 недель по достижении сращения зоны остеотомии (рис. 4, b, с). На контрольных консультациях мать ребёнка отметила улучшение самообслуживания девочки, облегчение процессов письма и рисования правой рукой. Через полгода пациентка поступила в отделение для оперативного лечения на левой руке. Выполнена аналогичная операция с фиксацией спицами и наложением гипсовой лонгеты. В послеоперационном периоде невропатии глубокой ветви лучевого нерва не наблюдалось. Спицы удалены через 8 недель по достижении консолидации костных отломков.
Рис. 4. Результаты послеоперационного осмотра пациентки Ч.: а — правая верхняя конечность после оперативного лечения (июль 2023 г.); b — правая верхняя конечность после удаления спиц — консолидация зоны остеотомии; с — сравнение клинически оперированной правой и неоперированной левой верхней конечности (дата согласия на публикацию от законного представителя — 01.07.2023 г.).
Fig. 4. Postoperative examination findings of patient Ch.: a, right upper limb after surgery (July 2023); b, right upper limb after wire removal, consolidation of the osteotomy site; c, clinical comparison of the operated right and non-operated left upper limbs (date of legal representative’s consent for publication: July 1, 2023).
Во время обеих госпитализаций для удаления спиц проведён курс реабилитации и обучения лечебной физкультуре для разработки движений в локтевом суставе и кисти. Проводились занятия с массажными мячами, фитнес-мячами, фитнес-резинками, утяжелителями и каретками по стандартной схеме отделения реабилитации пациентов с тугоподвижностью локтевого сустава (рис. 5).
Рис. 5. Результаты осмотра пациентки Ч. в период реабилитации: а — разработка пассивного разгибания и сгибания левого локтевого сустава в каретке (февраль 2024 г.); b — разработка активного разгибания и сгибания левого локтевого сустава с мячом на плоскости (февраль 2024 г.); с — внешний вид пациентки после проведения оперативных вмешательств на обеих верхних конечностях, процесс реабилитации левого локтевого сустава (дата согласия на публикацию от законного представителя — 01.07.2023 г.).
Fig. 5. Rehabilitation period findings of patient Ch.: a, passive extension and flexion exercises of the left elbow joint using a carriage device (February 2024); b, active extension and flexion exercises of the left elbow joint with a ball on a flat surface (February 2024); c, appearance of the patient after surgeries on both upper limbs, rehabilitation of the left elbow joint in progress (date of legal representative’s consent for publication: July 1, 2023).
Клинический случай 2
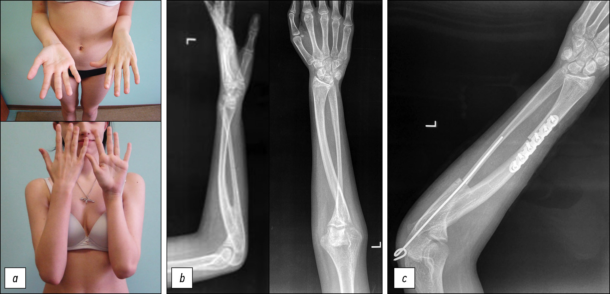
Пациентка П., 15 лет. Первое обращение — в 14 лет, жалобы на нарушение движений в левой верхней конечности, ограничение движений в левом локтевом суставе, нарушение самообслуживания. Диагноз радиоульнарного синостоза слева выставили в 1 год по месту жительства, однако оперативное лечение не было предложено, отметили нарастание деформации и ограничения движений во время роста ребёнка. При первичном осмотре выявлялось следующее: ротационные движения в правом предплечье в полном объёме, слева — отсутствуют, вынужденное установочное положение левой верхней конечности, гиперпронация предплечья до 100 градусов, активная наружная ротация отсутствует, положительная «проба трубача» слева, пальпаторно отмечается подвывих головки локтевой кости (рис. 6, a). На рентгенограммах — проксимальный радиоульнарный синостоз протяжённостью до 6 см, саблевидная деформация лучевой кости, нарушение оси в дистальной трети, укорочение локтевой кости, нарушение костно-суставных взаимоотношений в лучезапястном суставе, головка локтевой кости в состоянии подвывиха (рис. 6, b). Применение вмешательства только на зоне синостоза в данном случае является недостаточным из-за тяжести деформации, старшего возраста ребёнка и протяжённости синостоза, поэтому принято решение провести оперативное вмешательство по комбинированной методике с дополнительной остеотомией лучевой кости (рис. 6, с).
Рис. 6. Пациентка П.: а — внешний вид пациентки (декабрь 2022 г.); b — рентгенограммы при госпитализации; с — оперативное вмешательство на левой верхней конечности (февраль 2023 г.). Дата согласия законного представителя на публикацию — 10.12.2022 г.
Fig. 6. Patient P.: a, appearance of the patient (December 2022); b, radiographs at the time of hospital admission; c, surgical intervention on the left upper limb (February 2023). Informed consent for publication was obtained from the legal representative on December 10, 2022.
В послеоперационном периоде пациентка отметила отсутствие активного разгибания первого пальца левой кисти, на консультацию приглашён невролог. По результатам УЗ-исследования поверхностной и глубокой ветви лучевого нерва не выявлено нарушения их анатомической целостности, но обнаружено интимное прилежание глубокой ветви лучевого нерва к остеотомированной лучевой кости. Невролог назначил спазмолитики, витамины группы В в комплексе, L-карнитин курсом на 2 недели. Через 12 дней после операции симптомы невропатии лучевого нерва полностью регрессировали. Через 8 недель на рентгенограмме зона остеотомии через синостоз в стадии консолидации, однако зона остеотомии лучевой кости не консолидирована, начата активная разработка движений в локтевом суставе. Выполнено удаление фиксирующих спиц, пластина и винты оставлены до окончания консолидации зоны остеотомии лучевой кости. Проводилась консервативная терапия препаратами кальция и витамина D. На плановой консультации через полгода — замедленная консолидация зоны остеотомии лучевой кости, на рентгенограммах отмечается увеличение муфты костной мозоли вокруг зоны сращения, остеосинтез стабилен, подвижности отломков нет (рис. 7, a), состояние коррекции левого предплечья сохраняется (рис. 7, b). Проведена операция: удаление металлоконструкции, остеопластика скользящим аутотрансплантатом зоны замедленной консолидации по Хахутову (рис. 7, с), наложена гипсовая лонгета, начат период наблюдения за сращением и перестройкой трансплантата.
Рис. 7. Пациентка П.: а — замедленная консолидация зоны остеотомии левой лучевой кости; b — внешний вид пациентки перед удалением металлоконструкции и остеопластики, левое предплечье сохраняет положение коррекции (функционально выгодное положение); с — рентгенография после удаления металлоконструкции и остеопластики по Хахутову. Дата согласия законного представителя на публикацию — 10.12.2022 г.
Fig. 7. Patient P.: a, delayed consolidation of the osteotomy site in the left radius; b, clinical appearance of the patient prior to hardware removal and osteoplasty; the left forearm maintains the corrected position, functionally favorable; c, radiograph after hardware removal and osteoplasty according to Khakhutov. Informed consent for publication was obtained from the legal representative on December 10, 2022.
ОБСУЖДЕНИЕ
Как отмечалось выше, есть две основные концепции оперативного лечения ВРУС: с восстановлением активной ротации и с корригирующей остеотомией. Вмешательства с иссечением зоны синостоза и попыткой восстановления активной ротации, по данным литературы, не оправдывают себя, так как отмечаются случаи рецидивов синостоза и угасание достигнутой ротации. Корригирующие остеотомии, в свою очередь, можно разделить на две группы: разноуровневые остеотомии и вмешательства на зоне синостоза. В будущем планируется написание обзора литературы по методикам оперативного лечения ВРУС и их сравнение, в данной статье мы преследовали цель поделиться собственным опытом и сравнить собственные результаты лечения по двум методикам. Также среди преимуществ нашей методики мы можем выделить отсутствие потребности в повторной операции по удалению спиц (спицы загибаются над кожей для удаления в перевязочной под местным обезболиванием), аккуратную работу с мягкими тканями и использование защитников, остеотомию дальнего кортикала долотом (пила не воздействует на мягкие ткани вокруг), проведение спицы по каналу локтевой кости с помощью молотка (спица отталкивается от кортикалов и не прободает их).
ЗАКЛЮЧЕНИЕ
По опыту отделения, у детей младшего возраста деформация не является многоплоскостной, дугообразная деформация лучевой кости отсутствует, что позволяет выполнить коррекцию только за счёт зоны синостоза. Чем старше ребёнок, тем сложнее его деформация и тем обширнее оперативное вмешательство по её устранению. Риск развития осложнений растёт с повышением возраста ребёнка на момент коррекции, однако статистически значимой зависимости не выявлено, выборка на данный момент требует расширения для наиболее точного сравнения методик.
Деротационная остеотомия костей предплечья на уровне синостоза является эффективным и достаточно малотравматичным оперативным вмешательством, позволяющим устранить пронационную контрактуру предплечья, улучшить функциональные возможности верхней конечности без появления серьёзных осложнений.
ДОПОЛНИТЕЛЬНАЯ ИНФОРМАЦИЯ
Вклад авторов: Е.Ф. Шуле — организация исследования, сбор и анализ литературных источников, курация пациентов, сбор данных исследования, подготовка и написание текста статьи; О.В. Кожевников — хирургическое лечение пациентов, курация процесса написания статьи, редактирование статьи; С.Э. Кралина — курация пациентов, сбор данных исследования, хирургическое лечение пациентов; И.В. Грибова — курация пациентов, сбор данных исследования, хирургическое лечение пациентов, редактирование текста статьи. Все авторы одобрили финальную версию перед публикацией, а также согласились нести ответственность за все аспекты работы, гарантируя надлежащее рассмотрение и решение вопросов, связанных с точностью и добросовестностью любой её части.
Источники финансирования. Отсутствуют.
Раскрытие интересов. Авторы декларируют отсутствие явных и потенциальных конфликтов интересов, связанных с проведённым исследованием и публикацией настоящей статьи.
Оригинальность. При создании настоящей работы авторы не использовали ранее опубликованные сведения (текст, данные).
Генеративный искусственный интеллект. При создании настоящей статьи технологии генеративного искусственного интеллекта не использовали.
Рассмотрение и рецензирование. Настоящая работа подана в журнал в инициативном порядке и рассмотрена по обычной процедуре. В рецензировании участвовали два внешних рецензента, член редакционной коллегии и научный редактор издания.
Информированное согласие на публикацию. Авторы получили от пациентов и их законных представителей добровольное информированное согласие на публикацию медицинских данных в обезличенной форме. Работа соответствует нормам биомедицинской этики (заседание комитета по этике № 4/25 от 03.07.2025 г. при ФГБУ «НМИЦ ТО им. Н.Н. Приорова» Минздрава России).
ADDITIONAL INFORMATION
Author contributions: E.F. Shule: project administration, search and analysis of publications, patient curation, data curation, writing—original draft; O.V. Kozhevnikov: investigation, supervision, writing— review & editing; S.E. Kralina: patient curation, data curation, investigation; I.V. Gribova: patient curation, data curation, investigation, writing— review & editing. All the authors approved the final version of the manuscript to be published and agreed to be accountable for all aspects of the work, ensuring that questions related to the accuracy or integrity of any part of the work are appropriately investigated and resolved.
Funding sources: No funding.
Disclosure of interests: The authors have no explicit or potential conflicts of interests associated with the publication of this article.
Statement of originality: No previously published material (text, or data) was used in this article.
Generative AI: No generative artificial intelligence technologies were used to prepare this article.
Provenance and peer-review: This paper was submitted unsolicited and reviewed following the standard procedure. The peer review process involved two external reviewers, a member of the editorial board, and the in-house scientific editor.
Consent for publication: Voluntary informed consent was obtained from the patients and their legal representatives for publication of anonymized medical data. The study complies with the principles of biomedical ethics (Ethics Committee Meeting No. 4/25 dated July 3, 2025, at the Priorov National Medical Research Center for Traumatology and Orthopedics, Ministry of Health of the Russian Federation).
作者简介
Elizaveta Shule
Priorov National Medical Research Centre of Traumatology and Orthopaedics
编辑信件的主要联系方式.
Email: dr_liza@bk.ru
ORCID iD: 0009-0006-2524-7087
SPIN 代码: 9048-7919
俄罗斯联邦, Moscow
Oleg Kozhevnikov
Priorov National Medical Research Centre of Traumatology and Orthopaedics
Email: kozhevnikovov@cito-priorov.ru
ORCID iD: 0000-0003-3929-6294
SPIN 代码: 9538-4058
MD, Dr. Sci. (Medicine)
俄罗斯联邦, MoscowSvetlana Kralina
Priorov National Medical Research Centre of Traumatology and Orthopaedics
Email: Kralina_s@mail.ru
ORCID iD: 0000-0001-6956-6801
SPIN 代码: 9178-0184
MD, Cand. Sci. (Medicine)
俄罗斯联邦, MoscowInna Gribova
Priorov National Medical Research Centre of Traumatology and Orthopaedics
Email: 10otdcito@mail.ru
ORCID iD: 0000-0001-7323-0681
SPIN 代码: 5618-4231
MD, Cand. Sci. (Medicine)
俄罗斯联邦, Moscow参考
- Siemianowicz A, Wawrzynek W, Besler K. Congenital radioulnar synostosis — case report. Pol J Radiol. 2010;75(4):51–4.
- Bhatt CR, Mehta CD. Case Report: Congenital Radioulnar Synostosis and Its Embryological Correlation and Functional Assessment. Journal of Anatomical Society of India. 2011;60(2):236–238. doi: 10.1016/S0003-2778(11)80035-3
- Cleary JE, Omer GE Jr. Congenital proximal radio-ulnar synostosis. Natural history and functional assessment. J Bone Joint Surg Am. 1985;67(4):539–45.
- Fedorova YA, Vissarionov SV, Proschenko YN, Gevorgiz SA, Zakharyan EA. Surgical Treatment of Congenital Radioulnar Synostosis in Children: Systematic Review. Traumatology and Orthopedics of Russia. 2022;28(3):83–96. doi: 10.17816/2311-2905-1764 EDN: GBPXUI
- Green WT, Mital MA. Congenital radio-ulnar synostosis: surgical treatment. J Bone Joint Surg Am. 1979;61(5):738–43.
- Erratum to “Book Review: Plancher KD. Review of Mastercases — Hand and Wrist Surgery, Thieme, 2004, ISBN: 3-13-127741-6, pp. 581” [Injury 36 (5) (2005) 687]. Injury. 2005;36(8):999. doi: 10.1016/j.injury.2005.04.007
补充文件










