Diagnostics aspects of benign tumors of soft tissues of hand
- 作者: Egiazaryan K.A.1, Lazareva V.V.1, Bondarenko E.A.1, Skvortsova M.A.1, Badriev D.A.1, Shatihina A.O.1
-
隶属关系:
- Pirogov Russian National Research Medical University
- 期: 卷 31, 编号 4 (2024)
- 页面: 575-586
- 栏目: Original study articles
- ##submission.dateSubmitted##: 10.04.2024
- ##submission.dateAccepted##: 13.05.2024
- ##submission.datePublished##: 25.12.2024
- URL: https://journals.eco-vector.com/0869-8678/article/view/630212
- DOI: https://doi.org/10.17816/vto630212
- ID: 630212
如何引用文章
详细
BACKGROUND: Benign soft tissue masses of the hand are defined by the lack of a generally accepted global classification, consistent terminology, and histological identification criteria, as well as a wide range of forms and frequent recurrences. During preoperative preparation in routine clinical practice, imaging and comprehensive clinical examinations are frequently not performed in patients with soft tissue masses of the hand. In the event of a later recurrence, the selection of treatment approach can be challenging due to limited clinical and imaging findings.
AIM: To assess the prevalence of benign soft tissue masses of the hand among all neoplasms of the hand, based on the histological structure, as well as the characteristics of clinical diagnosis and the efficacy of specialized examination methods.
MATERIALS AND METHODS: A retrospective study was performed in 1.355 patients with benign soft tissue masses of the hand and tumor-like lesions for a 10-year period between 2010 and 2020. The diagnosis was based on clinical, X-ray, and ultrasound findings, with a mandatory histological examination of the excised tumor in all patients. To clarify the diagnosis, additional magnetic resonance imaging was used in 53 patients, computed tomography in 15 patients, angiography in 13 patients, and thermographic and radionuclide studies in 28 patients.
RESULTS: Of the 1,355 cases of tumor-like lesions on the hand, 563 (41.5%) were benign soft tissue masses. The most prevalent were benign synoviomas (263 cases; 46.8%), hemangiomas (94 cases; 16.8%), lipomas (62 cases; 11.2%), fibromas (35 cases; 6.2%), glomangiomas (28 cases; 5%), and fibrolipomas (26 cases; 4.6%). Angiofibromyomas, hemangiopericytomas, and lymphangiomas had the lowest prevalence (3 cases each; 0.5%).
CONCLUSION: The study found that benign soft tissue masses of the hand accounted for 41.5% of all tumor-like lesions on the hand, with benign synoviomas being the most prevalent. The diagnostic significance of mandatory X-ray and ultrasound examinations before surgery was confirmed. Only 884 of 1,355 cases (62.5%) had a preliminary diagnosis made prior to imaging studies that matched the final diagnosis based on histomorphological examination of the excised tumor. The feasibility of widespread use of high-resolution MRI for the differential diagnosis of hand neoplasms was determined. The diagnostic significance of angiography, computed tomography, and thermographic and radionuclide studies in detecting benign hand neoplasms was confirmed. It is incorrect to perform surgery without preliminary clinical and imaging examinations. A histomorphological examination of the excised tumor is mandatory in all cases.
全文:
ОБОСНОВАНИЕ
Доброкачественные опухоли мягких тканей (ДОМТ) кисти по-прежнему имеют свою специфику, которая обусловлена, с одной стороны, высокой дифференцированностью тканей кисти и подвижностью элементов, с другой — ограниченными пространственными возможностями для роста новообразований [1–4].
Общепринятой мировой классификации ДОМТ кисти нет. Отсутствие единой терминологии, а также критериев гистологической идентификации при большом многообразии вариантов опухолей и опухолеподобных пролифераций мягких тканей кисти, недостаточное знакомство с ними хирургов часто приводят к ошибочному первоначальному диагнозу и неадекватному лечению. Наиболее полной является гистологическая классификация опухолей мягких тканей и костей Всемирной организации здравоохранения (ВОЗ) 2020 г. для опухолей всех локализаций [5, 6].
Частые рецидивы, число которых, по некоторым данным, достигает 30% [2, 7], можно связать с недостаточной радикальностью оперативных вмешательств и отсутствием инструментального обследования [3, 4]. В ходе предоперационной подготовки в рутинной хирургической практике пациентам с мягкотканным новообразованием кисти зачастую не проводятся инструментальное и полноценное клиническое обследования, больные не направляются на лечение в специализированное отделение, а получают амбулаторное лечение в поликлиниках и частных центрах, часто в недостаточном объёме и вообще без надлежащего гистологического исследования удалённого новообразования [8].
В дальнейшем при возникновении рецидива возникают затруднения с выбором метода лечения вследствие дефицита клинических и инструментальных данных [4, 8].
Цель исследования — определение преимущественной локализации доброкачественных опухолей мягких тканей кисти в зависимости от гистологического строения, а также особенностей клинической диагностики и эффективности специальных методов исследования.
МАТЕРИАЛЫ И МЕТОДЫ
Дизайн исследования
В ходе данного ретроспективного исследования в результате оценки историй болезни проведён подробный статистический анализ нозологий у пациентов с заключительным диагнозом ДОМТ, изучено совпадение предварительного диагноза ДОМТ и заключительного диагноза до и после проведения инструментального обследования в группах с заключительным диагнозом как ДОМТ, так и других заболеваний и новообразований кисти.
Условия проведения
Моноцентровое исследование проведено на базе специализированного отделения хирургии кисти с 2010 по 2020 г., госпитализация осуществлялась по программе обязательного медицинского страхования.
Критерии включения
В исследование включены все пациенты, госпитализированные в отделение с предварительным клиническим диагнозом ДОМТ кисти.
Описание медицинского вмешательства
Диагностику выполняли на основании клинических, рентгенологических данных, ультразвукового исследования, обязательного гистологического исследования удалённой опухоли, выполненных всем пациентам. Для уточнения диагноза дополнительно проводили магнитно-резонансную томографию (МРТ) 53 пациентам, компьютерную томографию (КТ) — 15 пациентам, ангиографию — 13 пациентам, термографический (ТГ) и радионуклидный методы (РНМ) применяли у 28 больных. Операцию — удаление новообразования с последующим гистохимическим морфологическим исследованием — выполнили всем пациентам.
Описание исследуемых групп
Предметом детального анализа по нозологиям являлись пациенты с заключительным диагнозом ДОМТ кисти, поставленным после гистологического исследования, — 41,6%, то есть 563 случая из 1355 всех опухолеподобных поражений кисти за период изучения. Пациенты с другими заболеваниями и новообразованиями, верифицированными в результате послеоперационного гистологического исследования (58,4%, то есть 792 пациента из 1355), детально по нозологиям не изучались. У всех пациентов с ДОМТ и другими новообразованиями кисти было проведено сравнение частоты совпадения предварительного диагноза ДОМТ и заключительного диагноза в соотношении с объёмом проведённой предварительной инструментальной диагностики.
Статистический анализ
У пациентов с заключительным диагнозом ДОМТ чаще всего встречались доброкачественные синовиомы — 263 случая (46,8%), гемангиомы — 94 (16,8%), липомы — 62 (11%), гломангиомы — 28 (5%), фибролипомы — 26 (4,6%), реже всего — по 3 случая (0,5%) — лимфангиомы, гемангиоперицитомы и ангиофибромиомы. Среди пациентов отмечалось незначительное преобладание женщин — 293 (52%). Преобладали поражения правой кисти. Средний возраст пациентов составил 46,8 года.
На основе полной гистологической классификации ВОЗ-2020 для опухолей мягких тканей всех локализаций была составлена рабочая классификация ДОМТ кисти (табл. 1).
Таблица 1. Рабочая классификация доброкачественных опухолей мягких тканей кисти
Table 1. Working classification of benign soft tissue tumors of the hand
Виды опухолей | Число больных, n (%) |
Опухоли из соединительной ткани (фибробластические опухоли) · фиброма · фибромиксома · ангиофибромиома · дерматофиброма · ретикулогистиоцитома | 35 (6,2) – 3 (0,5) 19 (3,8) – |
Опухоли из синовиальной ткани · доброкачественная синовиома (гигантоклеточная опухоль синовиального влагалища, нодулярный синовит) | 263 (46,8) |
Опухоли из сосудистой ткани · гемангиома (капиллярная, кавернозная, смешанная) · лимфангиома · гемангиоперицитома | 94 (16,8) 3 (0,5) 3 (0,5) |
Опухоли из жировой ткани · липома · фибролипома | 62 (11,2) 26 (4,6) |
Опухоли из нервной ткани · нейрофиброма · неврилеммома (шваннома) · невромы травматические и ампутационные · невромы тактильных окончаний | 9 (1,6) 4 (0,7) – – |
Опухоли из скелетных мышц · рабдомиома | – |
Перицитарные (периваскулярные) опухоли · гломусная опухоль (гломангиома) · ангиолейомиома | 28 (5) – |
Опухоли неясной дифференцировки · миксома (фибромиксома) · пигментный ворсинчато-узловой синовит (виллонодулярный) | 9 (1,6) 5 (0,9) |
Всего | 563 (100) |
Этическая экспертиза
Все пациенты, участвовавшие в исследовании, дали письменное информированное добровольное согласие на медицинское вмешательство и публикацию результатов исследования.
РЕЗУЛЬТАТЫ
Для большинства ДОМТ кисти характерен медленный безболезненный рост. Основными признаками данной патологии являются наличие опухолевидного новообразования и связанной с ним деформации кисти или пальцев, ощущение неловкости и усталости в руке при работе, ограничение или нарушение функции кисти. Для гломангиом характерным симптомом является боль, которая провоцируется холодом, прикосновением или надавливанием на ногтевую пластинку. Боль может возникать и в результате давления опухоли на нервный ствол, носить иррадиирущий характер (в плечо и предплечье) и достигать большой интенсивности. Трофические нарушения особенно характерны при наличии опухоли из сосудистой ткани. Деформация и боль приводят к снижению функциональных возможностей кисти (рис. 1).
Рис. 1. Фибролипома срединного нерва и макродактилия II пальца.
Fig. 1. Fibrolipoma of the median nerve and macrodactyly of the second finger.
Диагностика ДОМТ кисти основывалась как на клинико-рентгенологических данных, так и на данных дополнительных специальных методов исследования. Принимались во внимание жалобы больных, анамнестические данные (давность заболевания, первоначальное место возникновения, особенность опухолевого роста, предыдущее лечение). При рецидиве опухоли выяснялись данные морфологического исследования. При обследовании учитывались локализация опухоли, количество опухолевидных узлов, расширение подкожных вен, изменение кожи над опухолью (наличие изъязвлений). Для большинства опухолей изменение окраски кожных покровов не являлось характерным (за исключением некоторых гемангиом, над которыми кожа в зависимости от глубины расположения опухоли могла быть синюшной, а иногда — тёмно-красного цвета). Наличие багрово-синюшного пятна, расположенного под ногтевой пластинкой, являлось патогномоничным признаком для гломангиомы (рис. 2).
Рис. 2. Гломангиома ногтевой фаланги III пальца, определяется багрово-синюшное пятно.
Fig. 2. Glomangioma of the nail phalanx (the third finger), determined blue stain.
Истончение кожи встречалось при больших и длительно существующих доброкачественных синовиомах, неврилеммомах (рис. 3). При пальпации определялись консистенция образования, контуры, форма, величина, распространённость процесса, наличие болезненности, пульсации, отношение к подлежащим и близлежащим тканям (подвижность, спаянность), изменение местной температуры. ДОМТ кисти характеризовались ограниченностью узлов, чаще имеющих округлую или овальную форму, однородностью консистенции, подвижностью (рис. 4).
Рис. 3. Доброкачественная синовиома II пальца. Множественные бугристые плотные образования 3×2×2 см. Кожные покровы блестящие, истончённые.
Fig. 3. Benign sinovioma of the II finger. Multiple lumpy dense formations 3×2×2 cm. Skin is shiny and thinned.
Рис. 4. Липома — широкая, «пухлая» кисть. Опухоль заполняет межпястные промежутки III и IV пястных костей.
Fig. 4. Lipoma of the hand, the wide, “plump” hand. The tumor fills the intermetacarpal spaces of the third and fourth metacarpal bones.
Однако вышеперечисленные признаки не являлись абсолютными для всех опухолей мягких тканей кисти. Некоторые ДОМТ кисти были малоподвижными, имели плотную или плотно-эластичную консистенцию (доброкачественные синовиомы, дерматофибромы, нейрофибромы и др.). Мягкая консистенция опухоли с флюктуацией характерна не только для миксомы или липомы, но и отмечалась при злокачественных опухолях в случаях их распада или при наличии миксоматозного компонента. Симптом ложной флюктуации обнаруживался и при опухолях с выраженной стромой (неврилеммомы и др.). Чёткость границ опухоли не всегда являлась абсолютным признаком доброкачественной опухоли и может быть обусловлена псевдокапсулой. Такой симптом, как расширение подкожных вен над опухолью, обнаруживался при доброкачественных опухолях (неврилеммомы, гемангиомы) (рис. 5).
Рис. 5. Неврилеммома II пальца. Видна расширенная подкожная сеть сосудов.
Fig. 5. Nevrilemmoma of the II finger. The dilated subcutaneous vascular network is visible.
Клиническое обследование не всегда позволяло установить вид опухоли, её размеры, точную локализацию и распространённость процесса. Во всех случаях на этапе предварительного обследования были выполнены рентгенография (РГ), ультразвуковое исследование (УЗИ).
В ряде случаев были применены дополнительные специальные методы исследования: магнитно-резонансная томография, ангиография, компьютерная томография, термографический и радионуклидный методы.
Всем пациентам было выполнено гистохимическое морфологическое исследование иссечённой опухоли.
Первичная информация о состоянии костей кисти и мягких тканей получена при выполнении обзорных РГ поражённого участка в двух проекциях и УЗИ области новообразования. Данные исследования были включены в стандарт предварительного обследования при направлении на госпитализацию в клинику и являлись обязательным этапом подготовки пациентов, что совпадает с рекомендациями в литературных источниках [4, 9].
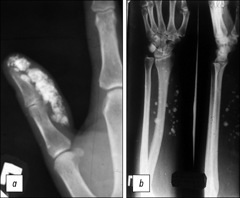
При чтении рентгенограмм обращалось внимание на такие признаки, как наличие дополнительной тени опухоли, тени обызвествления мягких тканей, ограниченная атрофия кости, изменение структуры костной ткани, остеопороз и др. ДОМТ кисти, в особенности при их локализации на пальцах, обычно имеют вид дополнительной тени, иногда более интенсивную плотность (доброкачественные синовиомы, неврилеммомы, фибромы). По форме, характеру и локализации обызвествлений можно отличить доброкачественную опухоль от обызвествлённой гематомы, оссифицирующего миозита, параартикулярных обызвествлений, ограниченного или распространённого кальциноза (рис. 6а). Множественные флеболиты являются патогномоничным признаком гемангиомы (рис. 6b). Наблюдалась локальная атрофия кости от давления медленнорастущей доброкачественной синовиомой, фибромой, неврилеммомой.
Рис. 6. а — параартикулярный кальциноз по ходу сухожильных влагалищ, b — флеболиты при гемангиоме предплечья.
Fig. 6. а — paraarticular calcification along the tendon sheaths, b — flebolity when gemangioma.
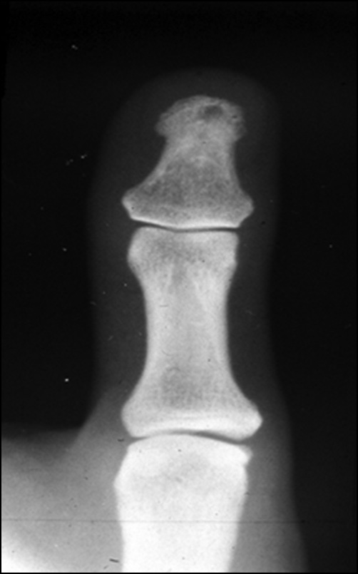
Типичная локализация как бы «выбитого пробойником» дефекта кости (рис. 7), а чаще — груботрабекулярная структура ногтевого отростка являются характерными рентгенологическими признаками гломангиомы. При расположении мягкотканного образования между двумя костями происходило смещение.
Рис. 7. Типичная локализация как бы «выбитого пробойником» дефекта кости при гломангиоме.
Fig. 7. Typical localization of a bone defect “punched out” by a glomangioma.
УЗИ позволило точно определить локализацию опухоли, её границы и размеры, эхогенность, характер взаимоотношения с окружающими тканями, а также исследовать близлежащие структуры и их вторичные изменения (рис. 8). Сочетание УЗИ с цветным допплеровским картированием дало возможность определить степень васкуляризации патологического очага.
Рис. 8. Ультрасонограмма опухолевидного образования (нейрофиброматоз) срединного нерва.
Fig. 8. Ultrasonogram of a tumor-like formation (neurofibromatosis) of the median nerve.
Ангиография использовалась при диагностике опухолей (13 случаев), в которых преобладал сосудистый компонент, для уточнения локализации опухоли, её размеров и взаимоотношения с близлежащими тканями, что важно для определения тактики и объёма оперативного вмешательства. Прямыми признаками опухоли являлись наличие гиперваскуляризации, контрастирование опухоли или её пазух (рис. 9), косвенными — смещение магистральных сосудов и реже — сужение их просвета. Эти признаки встречались как в отдельности, так и в сочетании.
Рис. 9. Контрастирование сосудистых пазух опухоли.
Fig. 9. Contrast vascular sinuses of the tumor.
КТ помогала при выявлении новообразований костей кисти (рис. 10). Однако она играла свою роль также и в выявлении участков минерализации и костных включений в опухолях мягких тканей кисти, периостальной реакции.
Рис. 10. КТ: гигантома, исходящая из сухожилия-сгибателя III пальца.
Fig. 10. CT: gigantoma of the flexor of the third finger.
Применение МРТ с высокой разрешающей способностью (на аппаратах мощностью 1,5 Тесла и более) позволяло определять очаги размером менее 0,3 мм, уточнять их расположение и сделать предварительные заключения о природе опухоли, характере васкуляризации (рис. 11).
Рис. 11. МРТ: фиброма лучезапястного сустава.
Fig. 11. MRI: the fibroma of wrist joint.
Дифференциальная диагностика ДОМТ кисти проводилась со злокачественными опухолями мягких тканей и с опухолями костей кисти — как злокачественными, так и доброкачественными, а также с опухолевидными поражениями кожи, ложными аневризмами, синовиальными кистами, хроническим теносиновитом специ-фического и неспецифического характера, поражением мягких тканей вследствие нарушения обмена веществ. С целью дифференциальной диагностики между доброкачественными и злокачественными опухолями нами применялись ТГ и РНМ (рис. 12, 13). Обнаружение злокачественных новообразований сопровождается аномальным тепловым распределением, появлением зоны гипертермии и увеличением их интенсивности за счёт усиления кровоснабжения и метаболических процессов опухоли. При радионуклидном методе отсутствие очага повышенного накопления радиофармпрепарата позволяло исключить злокачественное поражение.
Рис. 12. Термограмма обеих кистей. Определяется зона гипертермии в I межпястном промежутке с температурной разницей 2,2 °С. Рабдомиосаркома.
Fig. 12. Termogramma of hands. A hyperthermia zone is determined in the first intercarpal space with a temperature difference of 2.2 °C. Rhabdomyosarcoma.
Рис. 13. Скенограмма обеих кистей. Повышенное накопление радиофармпрепарата в области IV пальца и IV пястной кости. Хондросаркома.
Fig. 13. Skenogramma, both hands. Increased accumulation of radiopharmaceutical in the area of the fourth finger and fourth metacarpal bone. Chondrosarcoma.
ОБСУЖДЕНИЕ
Таким образом, в ходе исследования получено подтверждение литературных данных относительно распространённости ДОМТ кисти [1, 7, 8]. Можно сделать вывод, что наблюдается рост заболеваемости: так, в 1980 г., по архивным данным, ДОМТ составляли 26%, а в 2020 г. — 41,6% от всех опухолеподобных образований кисти. Однако следует учесть, что наши исследования проводились в специализированном отделении хирургии кисти.
В структуре ДОМТ кисти преобладают доброкачественные синовиомы, преимущественно локализующиеся по ходу или сбоку сухожилия, а также в области межфаланговых суставов [3, 4, 10–15]. Гломангиомы локализуются в области ногтевого ложа, а липомы чаще располагаются на ладонной поверхности кисти [11], реже — на пальцах, гемангиомы — преимущественно на ладонной поверхности пальцев и кисти. Они характеризуются медленным ростом и доброкачественным течением [1, 8, 16].
Диагностика ДОМТ кисти имеет свои особенности и должна основываться на клинико-рентгенологических и ультрасонографических данных (в большинстве случаев) и, при необходимости, на результатах применения дополнительных специальных методов исследования [14, 16–18].
МРТ была выполнена в 53 случаях. В 3 случаях фибролипоматоза срединного нерва с макродактилией при проведении МРТ были обнаружены характерные МР-признаки: продольно ориентированные цилиндрические нервные пучки, окружённые жировой тканью, входящей в состав пучков.
В одном случае у пациента с предварительным диагнозом «синовиальная киста», предварительно подтверждённым результатами УЗИ и МРТ, выполненной на аппарате мощностью 0,5 Тесла, на операции была обнаружена кавернозная гемангиома. Таким образом, в клинически неоднозначных случаях ДОМТ кисти была подтверждена необходимость проведения МРТ с высокой разрешающей способностью (на аппаратах мощностью 1,5 Тесла и выше).
КТ кисти проводилась 15 пациентам с целью выявления участков минерализации костных включений при ДОМТ кисти.
Ангиография была выполнена 13 пациентам, ТГ и РНМ — в 28 случаях, морфологическое исследование иссечённой опухоли проводилось всем оперированным пациентам.
Предварительный диагноз на этапе клинического обследования до направления на инструментальное обследование в общей группе из 1355 пациентов (ДОМТ и другие заболевания и новообразования кисти) совпадал с заключительным диагнозом, поставленным в результате гистоморфологического исследования иссечённых тканей в 884 случаях из 1355 (65,2%), на этапе после РГ и УЗИ — в 1030 случаях (75,5%).
В группе ДОМТ показатели были другими: предварительный диагноз, поставленный до направления на РГ и УЗИ, совпадал с заключительным у 376 пациентов из 563 (66,8% от общего количества пациентов с ДОМТ), предварительный диагноз после РГ и УЗИ совпадал с заключительным в 475 из 563 случаев (84,3% от общего количества пациентов с ДОМТ).
В группе других новообразований и заболеваний кисти предварительный диагноз, поставленный до направления на РГ и УЗИ, совпадал с заключительным у 508 пациентов из 792 (64,1% от общего количества пациентов с другими новообразованиями и заболеваниями кисти), предварительный диагноз после РГ и УЗИ совпадал с заключительным в 555 случаях (70,1% от общего количества пациентов с другими новообразованиями и заболеваниями кисти) (табл. 2).
Таблица 2. Совпадение предварительного диагноза с заключительным до и после инструментального обследования в разных группах
Table 2. Coincidence of preliminary diagnosis with the final one before and after instrumental examination in different groups
Показатель | ДОМТ | Другие заболевания и новообразования кисти | ДОМТ и другие заболевания и новообразования кисти |
Совпадение предварительного диагноза (до РГ и УЗИ) с заключительным диагнозом (после гистохимического исследования иссечённой опухоли) | 376 (66,8) | 508 (64,1) | 884 (65,2) |
Совпадение предварительного диагноза (после РГ и УЗИ) с заключительным диагнозом (после гистохимического исследования иссечённой опухоли) | 475 (84,3) | 555 (70,1) | 1030 (75,5) |
Всего пациентов | 563 (100) | 792 (100) | 1355 (100) |
Примечание. ДОМТ — доброкачественные опухоли мягких тканей кисти, РГ — рентгенография, УЗИ — ультразвуковое исследование.
Note. ДОМТ — soft tissues benign tumors, РГ — roentgenography, УЗИ — ultrasonography.
Таким образом, была подтверждена диагностическая эффективность РГ и УЗИ у пациентов со всеми видами новообразований и заболеваний кисти, причём наибольшая эффективность отмечалась у пациентов с ДОМТ (табл. 2).
Была выявлена целесообразность обязательного предварительного МРТ-исследования на аппаратуре высокой мощности, которое в нашей работе проводилось в 53 случаях.
ЗАКЛЮЧЕНИЕ
Установлено, что доброкачественные опухоли мягких тканей кисти составили 41,5% из всех опухолеподобных поражений кисти, подтверждена преобладающая распространённость доброкачественных синовиом. Обоснована диагностическая ценность обязательного проведения РГ и УЗИ перед оперативным лечением по поводу любого новообразования кисти, так как совпадение предварительного диагноза на этапе до инструментального обследования и заключительного диагноза после гистоморфологического обследования всего удалённого препарата было только в 884 случаях из 1355 (65,2%), совпадение предварительного диагноза на этапе после инструментального обследования и заключительного диагноза после гистоморфологического обследования отмечалось в 1030 случаях (75,5%), причём наибольшая эффективность такого обследования выявлена у пациентов с ДОМТ. Определена целесообразность широкого назначения МРТ высокой разрешающей способности для дифференциальной диагностики новообразований кисти. Отмечена диагностическая ценность ангиографии, компьютерной томографии, термографического и радионуклидного методов в распознавании доброкачественных новообразований кисти. Выполнение оперативного вмешательства без предварительного проведения предварительных клинического и инструментального обследований является ошибочным. Гистоморфологическое исследование всей иссечённой опухоли должно выполняться в обязательном порядке во всех случаях.
ДОПОЛНИТЕЛЬНО
Вклад авторов. К.А. Егиазарян — концепция и дизайн исследования, написание текста статьи; В.В. Лазарева — поиск и анализ публикаций, анализ и интерпретация данных, написание и редактирование текста статьи; Е.А. Бондаренко — поиск и анализ публикаций, анализ и интерпретация данных, написание и редактирование текста статьи; M.А. Скворцова — поиск и анализ публикаций, анализ и интерпретация данных, написание и редактирование текста статьи; Д.А. Бадриев — анализ и интерпретация данных, написание и редактирование текста статьи; А.О. Шатихина — поиск и анализ публикаций, анализ и интерпретация данных. Все авторы подтверждают соответствие своего авторства международным критериям ICMJE (все авторы внесли существенный вклад в разработку концепции, проведение исследования и подготовку статьи, прочли и одобрили финальную версию перед публикацией).
Источник финансирования. Авторы заявляют об отсутствии внешнего финансирования при проведении исследования и подготовке публикации.
Конфликт интересов. Авторы декларируют отсутствие явных и потенциальных конфликтов интересов, связанных с проведённым исследованием и публикацией настоящей статьи.
ADDITIONAL INFO
Autor contribution. K.A. Yeghiazaryan — concept and design of the study, writing the text of the article; V.V. Lazareva — search and analysis of publications, analysis and interpretation of data, writing and editing of the text of the article; E.A. Bondarenko — search and analysis of publications, analysis and interpretation of data, writing and editing of the text of the article; M.A. Skvortsova — search and analysis of publications, analysis and interpretation of data, writing and editing of the text of the article; D.A. Badriev — analysis and interpretation of data, writing and editing of the text of the article; A.O. Shatikhina — search and analysis of publications, analysis and interpretation of data. All authors confirm that their authorship meets the international ICMJE criteria (all authors have made a significant contribution to the development of the concept, research and preparation of the article, read and approved the final version before publication).
Funding source. The authors state that there is no external funding when conducting the research and preparing the publication.
Competing interests. The authors declare that they have no competing interests.
作者简介
Karen Egiazaryan
Pirogov Russian National Research Medical University
Email: egkar@mail.ru
ORCID iD: 0000-0002-6680-9334
SPIN 代码: 5488-5307
MD, Dr. Sci. (Medicine), professor
俄罗斯联邦, 1 Ostrovityanova str., 117997 MoscowValentina Lazareva
Pirogov Russian National Research Medical University
Email: wlazareva@mail.ru
ORCID iD: 0000-0001-6060-973X
SPIN 代码: 3014-4510
MD, Cand. Sci. (Medicine), associate professor
俄罗斯联邦, 1 Ostrovityanova str., 117997 MoscowElena Bondarenko
Pirogov Russian National Research Medical University
Email: elenabond09@mail.ru
ORCID iD: 0009-0003-6939-6736
SPIN 代码: 3862-8280
MD, Cand. Sci. (Medicine), assistant
俄罗斯联邦, 1 Ostrovityanova str., 117997 MoscowMaria Skvortsova
Pirogov Russian National Research Medical University
编辑信件的主要联系方式.
Email: person.orto@yandex.ru
ORCID iD: 0000-0003-2669-1316
SPIN 代码: 8879-7769
MD, Cand. Sci. (Medicine), associate professor
俄罗斯联邦, 1 Ostrovityanova str., 117997 MoscowDenis Badriev
Pirogov Russian National Research Medical University
Email: ill1dan@mail.ru
ORCID iD: 0000-0003-3497-5933
SPIN 代码: 4884-4390
MD, assistant
俄罗斯联邦, 1 Ostrovityanova str., 117997 MoscowAnastasia Shatihina
Pirogov Russian National Research Medical University
Email: shatikhina00@mail.ru
ORCID iD: 0009-0007-3469-3801
student
俄罗斯联邦, 1 Ostrovityanova str., 117997 Moscow参考
- Rassol EE. Work experience of the city center for outpatient hand surgery. Medicine and the organization of public health. 2018;3(1):29–32. (in Russ.). EDN: USUTBD
- Anokhin AA, Anokhin PA. Assessment of efficiency of diagnostics and treatment at patients with benign synovioma. Journal of Siberian Medical Sciences. 2013;(3):35. (in Russ.). EDN: QHXXHD
- Chulovskaya IG, Egiazaryan KA, Skvortsova MA, Lobachev EV. Ultrasound Diagnostics of Synovial Cysts of the Hand and Wrist. Travmatologiya i ortopediya Rossii. 2018;24(2):108–116. (in Russ.). doi: 10.21823/2311-2905-2018-24-2-108-116
- Kotel’nikov GP, Kolsanov AV, Nikolaenko AN, et al. Surgical treatment of benign tumors and tumor-like diseases of hand bones. Khirurgiya. Zhurnal im. N.I. Pirogova. 2018;(1):86–89. (in Russ.). doi: 10.17116/hirurgia2018186-89
- Kallen ME, Hornick JL. The 2020 WHO Classification: What’s New in Soft Tissue Tumor Pathology? Am J Surg Pathol. 2021;45(1):e1–e23. doi: 10.1097/PAS.0000000000001552
- Sbaraglia M, Bellan E, Dei Tos AP. The 2020 WHO Classification of Soft Tissue Tumours: news and perspectives. Pathologica. 2021;113(2):70–84. doi: 10.32074/1591-951X-213
- Anokhin AA, Anokhin PA. Algorithm of examination and treatment of radiopaque soft tissue formations of the musculoskeletal system. Journal of Siberian Medical Sciences. 2014;(3):32. (in Russ.). EDN: SQRGUR
- Egiazarian KA, Magdiev DA. Analysis of specialized medical care to patients with injuries and diseases of the hand in Moscow and ways to it optimization. Vestnik traumatologii i ortopediyi im. N.N. Priorova. 2012;(2):8–12. (in Russ.). EDN: PFJFZF
- Fujibuchi T, Imai H, Miyawaki J, et al. Hand tumors: A review of 186 patients at a single institute. J Orthop Surg (Hong Kong). 2021;29(1):2309499021993994. doi: 10.1177/2309499021993994
- Nasnikova IY, Es’kin NA, Fineshin AI, Markina NY. Ultrasound diagnostics of benign neoplasms in soft tissues of the hand and forearm. Kremlin medicine. Clinical Bulletin. 2011;(1):77–84. (in Russ.). EDN: ORNFOB
- Lichon S, Khachemoune A. Clinical presentation, diagnostic approach, and treatment of hand lipomas: a review. Acta dermatovenerologica Alpina, Pannonica, Adriat. 2018;27(3):137–139.
- Horcajadas AB, Lafuente JL, de la Cruz Burgos R, et al. Ultrasound and MR findings in tumor and tumor-like lesions of the fingers. Eur Radiol. 2003;13(4):672–685. doi: 10.1007/s00330-002-1477-0
- Puri A, Rajalbandi R, Gulia A. Giant cell tumour of hand bones: outcomes of treatment. J Hand Surg Eur Vol. 2021;46(7):774–780. doi: 10.1177/17531934211007820
- Vilanova JC, Woertler K, Narváez JA, et al. Soft-tissue tumors update: MR imaging features according to the WHO classification. Eur Radiol. 2007;17(1):125–138. doi: 10.1007/s00330-005-0130-0
- Theumann N, Baur A, Hauger O, Meyer P, Mouhsine E. Imaging of tumors and tumor-like diseases of the hand. Rev Med Suisse. 2005;1(46):2983–2988.
- Stacy GS, Bonham J, Chang A, Thomas S. Soft-Tissue Tumors of the Hand-Imaging Features. Can Assoc Radiol J. 2020;71(2):161–173. doi: 10.1177/0846537119888356
- Mardani P, Askari A, Shahriarirad R, et al. Masson’s Tumor of the Hand: An Uncommon Histopathological Entity. Case Rep Pathol. 2020;2020:4348629. doi: 10.1155/2020/4348629
- Sobanko JF, Dagum AB, Davis IC, Kriegel DA. Soft tissue tumors of the hand. 1. Benign. Dermatologic Surg. 2007;33(6):651–667. doi: 10.1111/j.1524-4725.2007.33140.x
补充文件
















