Radiological and morphological characteristics of the femoral head osteonecrosis in type I Gaucher disease
- Authors: Mamonov V.E.1, Solovyova A.A.1, Chebotarev D.I.1, Ponomarev R.V.1, Nakonechny V.A.1, Lukina E.A.1
-
Affiliations:
- National Medical Research Center for Hematology
- Issue: Vol 32, No 1 (2025)
- Pages: 107-117
- Section: Original study articles
- Submitted: 20.05.2024
- Accepted: 14.06.2024
- Published: 08.04.2025
- URL: https://journals.eco-vector.com/0869-8678/article/view/632131
- DOI: https://doi.org/10.17816/vto632131
- ID: 632131
Cite item
Abstract
BACKGROUND: Osteonecrosis of the femoral head in Gaucher disease type I is an irreversible bone manifestation of the disease. The cause and mechanisms of osteonecrosis in Gaucher disease are still unknown, and their clinical and radiological characteristics must be taken into account when choosing treatment strategy.
AIM: To analyze the radial and morphological changes in the proximal femur after osteonecrosis of the femoral head in type I Gaucher disease.
MATERIALS AND METHODS: The study included 251 adult patients with type I Gaucher disease from the Russian National Registry; histological examination of 22 removed femoral bone fragments obtained during total hip replacement in 20 patients with Gaucher disease and 9 in patients of the control group was performed.
RESULTS: Aseptic necrosis of the femoral head was found in 30% adults with Gaucher disease, and in 20% patients it was associated with femoral head collapse. Osteosclerosis of the cancellous bone of the metaphysis, enlargement / swelling of the medullary cavity with secondary osteopenia and osteoporosis of the proximal femoral diaphysis often accompanied osteonecrosis of the femoral head, causing technical difficulties during surgery. The histological findings revealed a picture of chronic bone tissue ischaemia of the proximal femoral metaphysis, which was confirmed by the detection of widespread areas of osteosclerosis on radiography and MRI. Bone marrow infiltration by Gaucher cells in histological preparations persisted regardless of the duration of enzyme replacement therapy against the background of preserved regenerative potential of bone tissue.
CONCLUSIONS: The features of the radiological, MRI and histological picture should be taken into account when planning and performing orthopaedic surgery for aseptic necrosis of the femoral head in patients with type I Gaucher disease.
Full Text
ОБОСНОВАНИЕ
Асептический некроз головки бедренной кости (АНГБК) при болезни Гоше (БГ) — это необратимое костное проявление заболевания, нередко приводящее к тяжёлым ортопедическим последствиям. В условиях полноценного обеспечения пациентов препаратами заместительной ферментной терапии (ЗФТ) частота его возникновения значительно снижается, однако не исключается полностью даже на длительных сроках лечения. Этим АНГБК отличается от других костных проявлений БГ, которые либо регрессируют, либо не возникают и не прогрессируют у пациентов, начавших получать ЗФТ. Причина и механизмы возникновения остеонекрозов при БГ до настоящего времени неизвестны, а клинико-рентгенологическая картина АНГБК при БГ имеет свои характерные особенности, которые необходимо учитывать при выборе тактики лечения.
БГ — это ферментопатия, обусловленная дефицитом активности кислой β-глюкозидазы (глюкоцереброзидазы, ГЦБ), наследуемая по аутосомно-рецессивному типу. Она является одной из наиболее распространённых форм лизосомных болезней накопления. Относится к редким заболеваниям: распространённость БГ в России составляет 1 случай на 370 тыс. взрослого населения [1–3]. Основные клинические проявления БГ связаны с увеличением количества тканевых макрофагов в местах их физиологического дома (селезёнка, печень, костный мозг) и включают спленомегалию, гепатомегалию, цитопению и поражение костей [4–6].
Общепринята клиническая классификация БГ, согласно которой выделяют три типа в зависимости от вовлечения центральной нервной системы (ЦНС):
- тип I — наиболее распространённый, встречается в 94% случаев, характеризуется отсутствием неврологических проявлений;
- тип II (острый нейронопатический) — встречается у детей раннего возраста, отличается тяжёлым поражением ЦНС, приводящим к летальному исходу в течение первых двух лет жизни;
- тип III (хронический нейронопатический) — объединяет более разнородную группу пациентов, у которых неврологические осложнения могут проявляться как в раннем детском, так и в подростковом возрасте [7–9].
БГ I типа — наиболее частый клинический вариант заболевания, который проявляется висцеральной (гепатомегалия, спленомегалия), гематологической (цитопения) и костной патологией [10, 11]. Дебют клинической манифестации заболевания может наблюдаться как в детском, так и во взрослом возрасте [2]. Трудности установления диагноза БГ обусловлены вариабельностью клинических проявлений на ранних стадиях. Современное патогенетическое лечение БГ — заместительная ферментная терапия — позволяет в течение 1–2 лет добиться основных целей — значительно редуцировать гематологические и висцеральные проявления [12–14]. Однако сформировавшаяся на момент начала ЗФТ ортопедическая патология остаётся необратимой, а такие костные осложнения БГ, как остеонекрозы, наблюдаются даже после многолетнего лечения, когда все терапевтические цели достигнуты [15, 16]. Данные отечественных и зарубежных исследований говорят об отсутствии достоверной корреляции тяжести поражения костно-суставной системы как с типом мутации гена ГЦБ, так и с остаточной активностью фермента у пациентов с БГ I типа [17].
АНГБК при БГ развивается в любом возрасте, спонтанно, как правило, вне связи с травмой [18, 19]. В исследовании К.А. Лукиной не выявлено достоверной корреляции между тяжестью поражения костно-суставной системы при БГ и наличием тромбофилических мутаций, однако у пациентов с отсутствием остеонекрозов наследственной тромбофилии ни в одном случае не было выявлено [7].
В ряде работ, включая экспериментальные исследования на животных, предложены объяснения двух наиболее частых причин развития АНГБК — алкогольной и связанной с приёмом глюкокортикостероидных гормонов [20–22]. Они сводятся к индуцированию дифференцировки мезенхимных стромальных клеток костного мозга в направлении адипогенеза с увеличением их количества и размеров, что может иметь схожие с БГ механизмы. Клеточные структуры, занимающие внутрикостное внесосудистое пространство, такие как адипоциты или клетки Гоше, могут представлять собой этиологические факторы развития остеонекроза, создавая внутрикостную внесосудистую компрессию, которая может быть объяснена концепцией резистора Старлинга, согласно которой повышение давления в камере с жёсткими стенками может уменьшить ток жидкости в трубке с гибкими стенками, проходящей через камеру. Внутрикостный внесосудистый компартмент может функционировать как камера с жёсткими стенками. Внутрикостная гипертензия или занимающая пространство ткань может в достаточной степени ограничивать микроциркуляцию, вызывая ишемию [23–25].
Имеется ограниченное число публикаций, посвящённых гистологическому исследованию костной ткани при развитии остеонекрозов на фоне ЗФТ БГ [26, 27]. Одна из наиболее представительных — исследование E. Lebel и соавт., выполненное на 26 образцах головок бедренных костей, полученных от 22 пациентов с БГ, оперированных в связи с АНГБК. В работе было показано, что инфильтрация костного мозга клетками Гоше в гистологических препаратах не коррелировала с демографическими данными и тяжестью клинических проявлений; была отмечена связь между снижением степени инфильтрации клетками Гоше и ЗФТ; показатели регенерации костной ткани не коррелировали с ЗФТ или другими характеристиками: большинство образцов продемонстрировали неожиданно хороший регенеративный ответ на остеонекроз, несмотря на тяжёлую инфильтрацию клетками Гоше [27].
В доступной литературе отсутствуют данные, полученные на большой группе пациентов с БГ, объединяющие лучевые методы исследования и анализ гистологических препаратов при АНГБК, которые могут обосновать тактику ортопедического лечения, включая выбор имплантатов и способ их фиксации при тотальном эндопротезировании тазобедренного сустава.
Цель исследования — провести анализ лучевой и морфологической картины изменений проксимального отдела бедра при асептическом некрозе головки бедренной кости у пациентов с болезнью Гоше I типа.
МАТЕРИАЛЫ И МЕТОДЫ
Дизайн исследования
Анализ лучевых данных — МРТ и рентгенограмм проксимального отдела бедренных костей — был выполнен в рамках одноцентрового сплошного неконтролируемого наблюдательного исследования с использованием данных электронной медицинской информационной системы ФГБУ «НМИЦ гематологии» Минздрава России и Российского национального регистра больных Гоше.
Анализ гистологических данных соответствовал критериям одноцентрового проспективного контролируемого нерандомизированного сплошного наблюдательного исследования.
Из числа пациентов с болезнью Гоше, включённых в Российский национальный регистр, были отобраны больные, которым ранее были выполнены МРТ и рентгенография тазобедренных суставов. Оценивали МРТ-изображения и рентгенограммы тазобедренных суставов пациентов с болезнью Гоше. Гистологическое исследование выполняли на операционном материале, полученном при тотальном эндопротезировании тазобедренного сустава, выполненного по поводу АНГБК. В гистологическом исследовании оценивали микропрепараты, полученные из головок бедренных костей пациентов с БГ и в контрольной группе (без БГ).
Пациенты имели различную длительность ЗФТ.
Критерии соответствия
В исследование включали взрослых пациентов с установленным диагнозом БГ I типа, наличием данных рентгенографии тазобедренных суставов в прямой проекции и МРТ-исследования тазобедренных суставов.
Условия проведения
Исследование проведено в ФГБУ «НМИЦ гематологии» Минздрава России.
Продолжительность исследования
Гистологическое исследование головок бедренных костей: начало набора материала — 2006 год, окончание набора материала — 2024 год.
Все пациенты, включённые в исследование, прошли обследование, включавшее в том числе рентгенографию и МРТ тазобедренных суставов, в период с 2004 по 2024 год.
Описание медицинского вмешательства
Рентгенографию тазобедренных суставов в прямой проекции выполняли на системах рентгенодиагностики Prestige SI и Proteus XR/a фирмы «General Electric» (параметры съёмки — 65 кВ и125 мАс для проксимальных отделов бедренных костей, 60 кВ, фокусное расстояние — 1 м).
Магнитно-резонансную томографию тазобедренных суставов выполняли на двух аппаратах: Signa Profile фирмы «General Electric» с индукцией магнитного поля 0,23 Т с использованием катушек Body Flex Coil (M/L) и Ingenia фирмы «Philips» с индукцией магнитного поля 1,5 Т с применением 32-канальных катушек dS FlexCoverage Anterior, dS FlexCoverage Posterior. Использовали разработанный в ФГБУ «НМИЦ гематологии» Минздрава России протокол, адаптированный для скрининга и мониторинга костных проявлений болезни Гоше, который включал следующие параметры:
- плоскость сканирования — корональная;
- толщина сканируемого слоя — 4 мм;
- импульсные последовательности — Т1-ВИ, Т2-ВИ, STIR.
Из макропрепаратов головок бедренных костей на гистологическое исследование забирали случайным образом выбранные фрагменты трабекулярной кости. Изготовление гистологических препаратов: фиксация в 10% формалине, забуференном в течение 24 часов, декальцинация в течение 7 дней в растворе муравьиной кислоты с дистиллированной водой и формальдегидом, обезвоживание в спиртах и насыщение формалином с использованием автомата для гистологической обработки тканей Leica Peloris II, микрoтомия (3–4 микрона) с применением микротома Leica RM2235, стандартная окраска гематоксилином и эозином, микроскопия гистологических препаратов проводилась на световом микроскопе Leica 3000.
При морфологическом исследовании полуколичественным методом оценивали:
- признаки перестройки костных балок (резорбция балок/признаки остеонеогенеза);
- наличие остеобластической реакции (отсутствует/единичные фокусы на отдельных костных балках/выраженная, вовлекающая несколько балок);
- наличие остеокластов (да/нет);
- площадь костномозговых полостей в исследованном материале, занимаемая инфильтратом из клеток Гоше (<25%, 26–50%, 51–75%, >75%);
- характер распределения некробиотических изменений костного мозга.
Этическая экспертиза
Научная статья «Лучевая и морфологическая картина асептического некроза головки бедренной кости при болезни Гоше I типа» одобрена к публикации на заседании Этического комитета ФГБУ «НМИЦ гематологии» Минздрава России № 179 от 25.04.2024 г.
РЕЗУЛЬТАТЫ
Объекты (участники) исследования
Выполнен анализ рентгенограмм и МРТ-изображений проксимального отдела бедренных костей у 251 взрослого пациента с БГ I типа. Мужчин было 103 (41%), женщин — 148 (59%). Средний возраст составил 38 лет (от 18 до 85 лет).
У 20 пациентов (9 мужчин, 11 женщин) проведено гистологическое исследование 22 головок бедренных костей, полученных при эндопротезировании тазобедренного сустава по поводу АНГБК. Из них 7 получали ЗФТ до операции менее 1 года. Контрольная группа состояла из 9 пациентов без БГ, которым было выполнено тотальное эндопротезирование тазобедренного сустава по поводу АНГБК.
Основные результаты исследования
Из 251 пациента у 75 (30%) выявлено наличие АНГБК, причём у 17 — с двух сторон. Из этих 92 случаев АНГБК в 35 (38%) не наблюдали деформацию головки бедра и развитие вторичного коксартроза. Изменения были выявлены на МРТ и рентгенограммах при первичном обследовании пациентов, а участки остеонекроза соответствовали типам 2 и 3А по классификации ARCO с размером менее 15% поверхности (рис. 1). В динамике при контрольных МРТ-исследованиях не было отмечено увеличение размеров выявленных ранее очагов. В остальных 57 случаях наблюдалась деформация головки бедренной кости, причём клиническая и рентгенологическая картина значительно различалась у пациентов с дебютом АНГБК в детстве (11 больных) и взрослом возрасте (46 больных).
Рис. 1. МРТ тазобедренных суставов (Т2-взвешенное изображение, корональная проекция). II стадия кортикомедуллярного остеонекроза головки левой бедренной кости (симптом двойной линии), тип 2А по классификации АRCO.
Fig. 1. MRI of the hip joints (T2-WI, coronal projection). Stage II corticomedullary osteonecrosis of the left femoral head (double line symptom), type 2A to ARCO classification.
У 11 взрослых пациентов, перенёсших АНГБК в детском возрасте, сформировались изменения по типу coxa magna с типичным укорочением шейки бедренной кости и грибовидной деформацией головки. В 8 случаях мы наблюдали равномерную, нормальных размеров рентгенологическую суставную щель в сочетании с конгруэнтностью суставных поверхностей тазобедренного сустава (рис. 2). В клинической картине отсутствовал болевой синдром. Ограничения объёма движений отсутствовали либо были клинически незначимыми. Укорочение конечности поддавалось коррекции ортопедической обувью. Но у 3 пациентов с деформацией coxa magna во взрослом возрасте наблюдали вторичный коксартроз, потребовавший оперативного вмешательства.
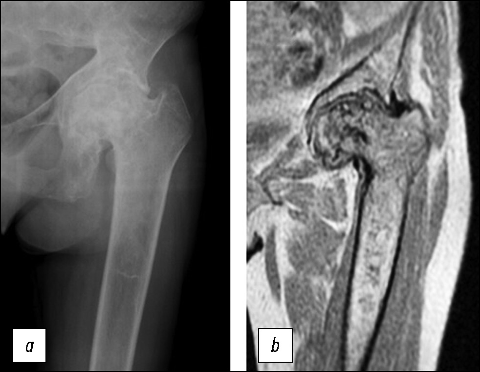
Рис. 2. МРТ тазобедренных суставов: a — Т1-взвешенное изображение, корональная проекция, b — рентгенограмма правого тазобедренного сустава в прямой проекции. Деформация головки правой бедренной кости по типу coxa magna у взрослого пациента с болезнью Гоше, перенёсшего асептический некроз головки бедренной кости в детском возрасте.
Fig. 2. MRI of the hip joints: a — T1-WI, coronal projection, b — X-ray of the right hip. Right femoral head deformity of the coxa magna type in an adult patient with Gaucher disease who suffered osteonecrosis of the femoral head in childhood.
Асептический некроз с коллапсом головки бедра и формированием вторичного коксартроза у взрослых пациентов, как правило, возникал до начала ЗФТ. Патогенетическое лечение не влияло на течение ортопедической патологии. Напротив, в трёх случаях (у двоих пациентов) мы наблюдали дебют АНГБК через 4, 14 и 15 лет от начала ЗФТ (рис. 3). У одной пациентки, длительно получающей ЗФТ, отмечали обратное развитие остеонекроза, диагностированного на стадии отёка костного мозга, по данным МРТ.
Рис. 3. Фрагмент МРТ тазобедренного сустава через 9 лет заместительной ферментной терапии (Т1-взвешенное изображение, корональная проекция) (а). МРТ через 14 лет заместительной ферментной терапии (b — Т1-взвешенное изображение, с — STIR, корональные проекции). Рентгенограмма того же тазобедренного сустава в прямой проекции через 14 лет заместительной ферментной терапии (d). Стрелкой указан участок кортикомедуллярного остеонекроза с секвестрацией (тип 3В по классификации АRCO).
Fig. 3. MRI of the hip after 9 years of enzyme replacement therapy (T1-WI, coronal projection) (a). MRI after 14 years of enzyme replacement therapy (b — T1-WI, c — STIR, coronal projections). X-ray of the same hip after 14 years of enzyme replacement therapy (d). The arrow indicates the site of corticomedullary osteonecrosis with sequestration (type 3B to ARCO classification).
У пациентов с БГ, как и в общей популяции, коллапс головки бедра развивался при размерах очага асептического некроза более 30% поверхности с локализацией на нагружаемых участках.
АНГБК нередко сочетался с другими костными проявлениями заболевания. Это, в первую очередь, нарушение костного ремоделирования в виде цилиндрического расширения (или вздутия) проксимального отдела диафиза бедренной кости с вторичной остеопенией и остеопорозом той же локализации (рис. 4, 5). При БГ расширение/ вздутие костномозговой полости проксимального отдела диафиза бедра не распространялось на шейку и головку, где, напротив, нередко наблюдали склерозирование губчатой кости.
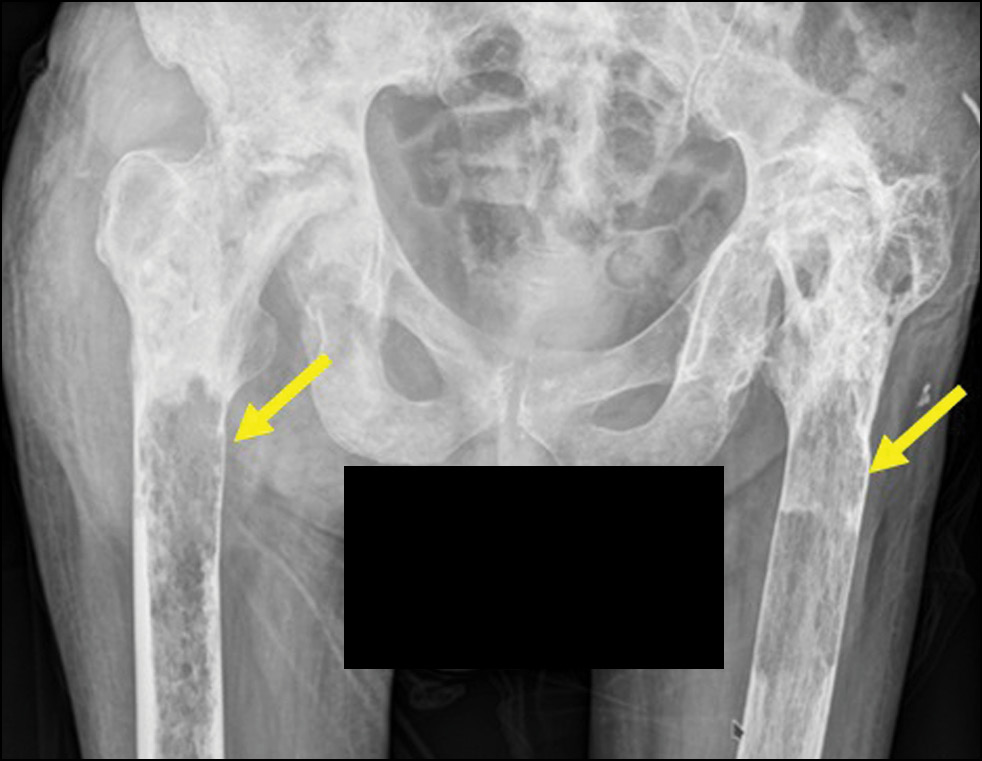
Рис. 4. Рентгенограмма тазобедренного сустава в прямой проекции (a) и фрагмент МРТ Т1-ВИ (b) проксимального отдела бедренной кости. Кортикомедуллярный остеонекроз головки бедренной кости, тип 4 по классификации АRCO. Расширение полости костномозгового канала в проксимальном диафизе бедренной кости с негомогенным разрежением костной ткани на рентгенограмме, а также участками постинфарктного медуллярного остеонекроза на МРТ.
Fig. 4. X-ray of the hip in direct projection (a) and an MRI T1-WI (b) of the proximal femur. Corticomedullary osteonecrosis of the femoral head type 4 to ARCO classification. Expansion of the bone marrow canal cavity in the proximal diaphysis of the femur with inhomogeneous bone thinning on the X-ray, as well as areas of postinfarction medullary osteonecrosis on MRI.
Рис. 5. Рентгенограмма тазобедренных суставов в прямой проекции. Головки бедренных костей разрушены, вертлужные впадины деформированы, суставные щели не прослеживаются. Выраженная перестройка видимых костей с наличием неоднородных участков уплотнения, разнокалиберных (до 4 см) участков разрежения без чётких контуров. Резкое истончение коркового слоя проксимального диафиза бедренных костей (указано стрелкой).
Fig. 5. X-ray of the hips in direct projection. The femoral heads are destroyed, the acetabulum is deformed, and the articular crevices are not visible. Pronounced restructuring of visible bones with the presence of heterogeneous areas of compaction, various-sized (up to 4 cm) areas of rarefaction without clear contours. Sharp thinning of the cortical layer of the proximal diaphysis of the femoral bones (indicated by the arrow).
Остеосклероз губчатой кости проксимального метафиза бедра (шейка и межвертельная зона) был выявлен в 63% случаев АНГБК (рис. 6). И только в 15% случаев остеосклероз проксимального метафиза, сопряжённый с АНГБК, сочетался с расширением/вздутием костномозговой полости проксимального отдела диафиза бедра. Увеличение размеров расширения/вздутия в проксимальном отделе диафиза бедренной кости у пациентов после начала патогенетического лечения не наблюдали, в отличие от АНГБК.
Рис. 6. Рентгенограмма тазобедренного сустава в прямой проекции (a), фотография поперечного опила шейки бедра (b). Резко выраженный коксартроз в исходе кортикомедуллярного остеонекроза головки левой бедренной кости с частичным её разрушением. Участки медуллярного остеонекроза с остеосклерозом в проксимальном метафизе.
Fig. 6. X-ray of the hip in direct projection (a), photograph of the transverse sawdust of the femoral neck (b). Pronounced hip osteoarthritis in the outcome of corticomedullary osteonecrosis of the head of the left femur with partial destruction. Areas of medullary osteonecrosis with osteosclerosis in the proximal metaphysis.
При гистологическом исследовании в опытной группе клетки Гоше занимали от 10 до 90% (медиана — 30%) площади костномозговых полостей. Очаговые некробиотические изменения клеток Гоше на разных участках инфильтрата встречали во всех исследуемых случаях, в двух случаях определяли обширные поля некроза клеток Гоше. В 13% случаев определяли поля отёка «опустошённой» стромы костного мозга, наиболее вероятно — реактивные изменения, расположенные перифокально по отношению к участкам некроза. Во всех случаях выявляли мозаичный грубоволокнистый фиброз стромы костного мозга, преимущественно с вовлечением периваскулярных областей. В 87% случаев определяли признаки реактивной перестройки костных балок с участками активации надкостницы и фокусами остеокластической резорбции. При слепом методе исследования не прослеживалось зависимости сочетания и степени выраженности обнаруженных особенностей морфологической картины, равно как и площади костномозговых полостей, занимаемой клетками Гоше, от наличия и длительности проводимой ЗФТ (рис. 7, 8а, 9а).
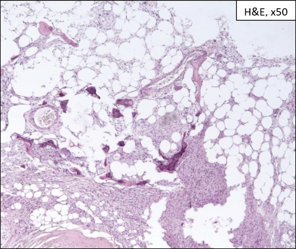
Рис. 7. Микрофотограмма гистологического препарата спонгиозной кости головки бедра пациента с болезнью Гоше, окраска гематоксилином и эозином, ув. ×50. Видна очагово-интерстициальная инфильтрация костного мозга клетками Гоше с фокусами перестройки костных балок и мозаичным периваскулярным склерозом.
Fig. 7. Microphotogram of histological preparation of the spongy bone of the femoral head in patient with Gaucher disease, stained with hematoxylin and eosin, ×50. Focal interstitial infiltration of bone marrow by Gaucher cells with foci of bone girder reconstruction and mosaic perivascular sclerosis is visible.
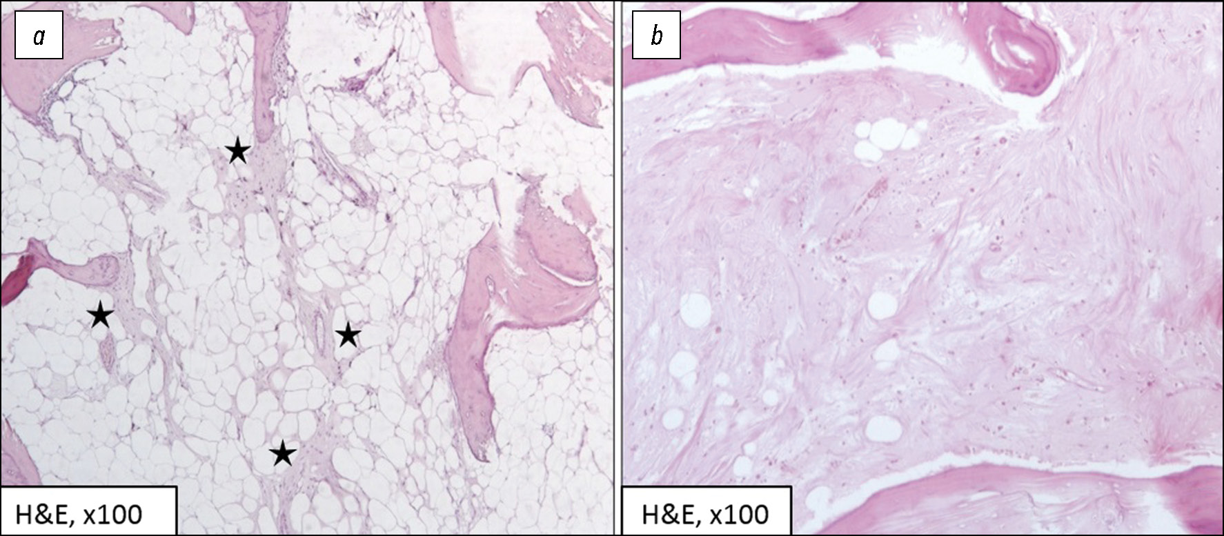
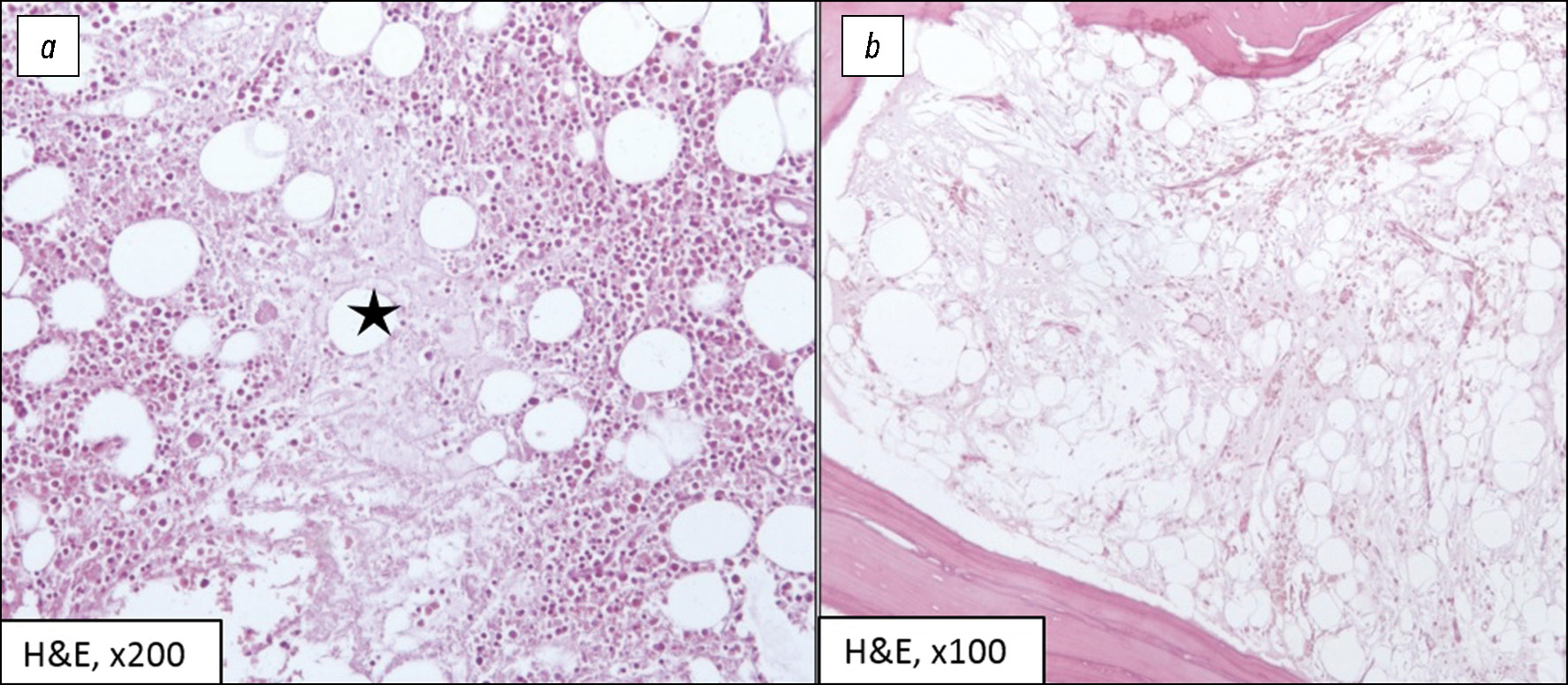
Рис. 8. Микрофотограммы гистологических препаратов срезов спонгиозной кости головки бедра пациента с болезнью Гоше (a) и контрольной группы (b), окраска гематоксилином и эозином, ув. ×200 (a) и ×100 (b). Определяются: a — локальные участки некроза (обозначены звёздочкой), b — обширные поля некроза костного мозга в операционном материале пациентов из контрольной группы.
Fig. 8. Microphotograms of histological preparations of sections of the spongy bone of the femoral head in patient with Gaucher disease (a) and the control group (b), staining with hematoxylin and eosin, ×200 (a) and ×100 (b). The following are determined: a — local areas of necrosis (indicated by an asterisk), b — extensive fields of bone marrow necrosis in the surgical material of patients from the control group.
Рис. 9. Микрофотограммы гистологических препаратов срезов спонгиозной кости головки бедра пациента с болезнью Гоше (a) и контрольной группы (b), окраска гематоксилином и эозином, ув. ×100. Определяются: a — мозаичный, преимущественно периваскулярный фиброз (участки фиброза обозначены звёздочками), b — поля грубоволокнистой соединительной ткани в операционном материале пациентов из контрольной группы.
Fig. 9. Microphotograms of histological preparations of sections of the spongy bone of the femoral head in patient with Gaucher disease (a) and the control group (b), stained with hematoxylin and eosin, ×100. The following are determined: a — mosaic, mainly perivascular fibrosis (areas of fibrosis are indicated by asterisks), b — fields of coarse fibrous connective tissue in the surgical material of patients from the control group.
В контрольной группе пациентов были выявлены очаги и обширные поля некроза костного мозга на разных этапах организации, с формированием полей грубоволокнистого фиброза и выпадением солей кальция (петрификаты). Перифокально был выражен отёк стромы, встречались геморрагии и фокусы гиалиноза стромы и периваскулярного склероза, что отличалось от картины мозаичного фиброза, обнаруженного в опытной группе. Отмечены отсутствие или слабая выраженность признаков реактивной перестройки костных балок, единичные фокусы активации надкостницы (рис. 8b, 9b).
ОБСУЖДЕНИЕ
Резюме основного результата исследования
АНГБК выявляется у 30% пациентов с БГ, а у 20% больных он сопровождается коллапсом головки бедра, что делает его ведущей инвалидизирующей ортопедической патологией и определяет социальную значимость в этой группе больных.
Анализ гистологических препаратов костной ткани подтвердил наличие инфильтрации костного мозга клетками Гоше у пациентов на всех сроках патогенетического лечения. Возможно, скопления клеток Гоше в костномозговых полостях проксимального отдела бедренной кости в меньшей мере доступны для экзогенного фермента.
Обсуждение основного результата исследования
В результате гистологического исследования выявлены различия с контрольной группой АНГБК без БГ. Мозаичность областей некроза и фиброза, равномерно распределённых в группе БГ, по сравнению с крупноочаговым характером изменений в контрольной группе позволяет предположить различия патогенеза ишемических повреждений. Крупноочаговый характер ишемии в контрольной группе характерен для повреждения/обструкции (например, путём эмболии) сосудов крупного и среднего калибра, что приводит к нарушению кровотока на одном крупном участке, на периферии которого неравномерно выражены некробиотические изменения, что обусловлено неравномерным распределением кровообращения по коллатеральным сосудам. В свою очередь, мозаичность распределения признаков ишемии — фиброза, очагов некроза и некробиоза небольших размеров, встречающихся среди неизменённой ткани, предполагает участие в патогенезе сосудов мелкого калибра и микроциркуляторного русла. Синхронное повреждение или эмболия многочисленных сосудов мелкого калибра в данной анатомической области маловероятны, что требует отдать приоритет теории об ином механизме нарушения кровотока. Среди прочих механизмов патогенеза АНГБК при БГ можно отдать предпочтение концепции внутрикостной внесосудистой компрессии, согласно которой происходит сдавление сосудов инфильтратом из клеток Гоше, вследствие чего развивается ишемия, которая потенцирует фиброгенез и дальнейшее ухудшение кровообращения в вовлечённой области, что, в свою очередь, приводит к формированию участка некроза [20–22]. Перифокально по отношению к участку некроза развивается реактивный отёк тканей, что, со своей стороны, может оказывать влияние на соседние очаги инфильтрации клеток Гоше, запуская цепную реакцию, приводящую к развитию асептического некроза головки бедренной кости. Большая выраженность признаков реактивной перестройки костных балок в группе БГ по сравнению с контрольной группой также позволяет предположить более продолжительный период развития ишемических изменений в сопоставлении с острым развитием ишемии при повреждении/эмболии крупного сосуда.
Длительная ишемия костной ткани проксимального метаэпифиза бедра при АНГБК подтверждается выявлением распространённых участков остеосклероза при рентгенографии и МРТ-исследовании. Остеосклероз трабекулярной кости виден невооружённым глазом при оперативных вмешательствах, затрудняя, например, имплантацию бедренного компонента эндопротеза.
Особенности кровоснабжения головки бедра и высокий репаративный потенциал в детском возрасте определяют особенности клинико-рентгенологической картины АНГБК у детей с БГ, когда можно наблюдать формирование coxa magna без тяжёлого вторичного коксартроза [23, 24].
Такое проявление БГ, как расширение/вздутие кости, может сочетаться с остеосклерозом при АНГБК, но никогда не распространяется на головку и шейку бедра, что может указывать на различные патологические процессы, приводящие к их возникновению. Тем не менее сочетание АНГБК с остеосклерозом метафизарной кости, расширением/вздутием костномозговой полости проксимального отдела диафиза бедра с вторичной остеопенией и остеопорозом приводит к структурно-анатомическим изменениям, значительно затрудняющим выполнение ортопедических операций [13].
Выявленное при гистологическом исследовании отсутствие снижения регенеративного потенциала костной ткани при БГ согласуется с данными ранее опубликованного исследования E. Lebel и соавт. [27]. Это позволяет использовать при эндопротезировании тазобедренного сустава у пациентов с БГ бесцементные компоненты, требующие дальнейшей остеоинтеграции.
ЗАКЛЮЧЕНИЕ
Таким образом, к возникновению АНГБК при БГ приводит длительная ишемия костной ткани проксимального метаэпифиза бедра на фоне инфильтрации костного мозга клетками Гоше независимо от длительности ЗФТ, нередко сопровождающаяся развитием остеосклероза. У пациентов с БГ не отмечено снижения регенеративного потенциала костной ткани в проксимальном метафизе бедра, что позволяет рассчитывать на остеоинтеграцию имплантатов при ортопедических вмешательствах. АНГБК при БГ может сочетаться с другими костными проявлениями, такими как расширение/вздутие костномозговой полости проксимального отдела диафиза с развитием остеопении и остеопороза, что требует индивидуального подхода при планировании оперативного лечения ортопедической патологии.
ДОПОЛНИТЕЛЬНО
Вклад авторов. Все авторы одобрили финальную версию перед публикацией, а также согласились нести ответственность за все аспекты работы, гарантируя надлежащее рассмотрение и решение вопросов, связанных с точностью и добросовестностью любой её части. Наибольший вклад распределён следующим образом: В.Е. Мамонов — хирургическое лечение пациентов, обзор литературы, сбор и анализ данных Российского регистра пациентов с БГ, анализ МРТ и рентгенограмм, написание текста и редактирование статьи; А.А. Соловьёва — разработка протокола МРТ-исследования при болезни Гоше, выполнение и анализ МРТ-изображений и рентгенограмм; Д.И. Чеботарёв — проведение гистологического исследования; Р.В. Пономарёв — сбор данных, ведение и предоставление выкладки данных из Российского регистра пациентов с БГ; В.А. Наконечный — курация и участие в хирургическом лечении пациентов, сбор МРТ-изображений и рентгенограмм из базы медицинской информационной системы; Е.А. Лукина — редактирование текста статьи, общее руководство исследованием.
Источники финансирования. Отсутствуют.
Раскрытие интересов. Авторы декларируют отсутствие явных и потенциальных конфликтов интересов, связанных с проведённым исследованием и публикацией настоящей статьи.
Рассмотрение и рецензирование. Настоящая работа подана в журнал в инициативном порядке и рассмотрена по обычной процедуре. В рецензировании участвовали два внешних рецензента, член редакционной коллегии и научный редактор издания.
ADDITIONAL INFO
Author contribution. All authors have approved the final version before publication and have also agreed to be responsible for all aspects of the work, ensuring that issues relating to the accuracy and integrity of any part of it are properly addressed and resolved. The greatest contribution is distributed as follows: V.E. Mamonov — surgical treatment of patients, literature review, collection and analysis of data from the Russian Registry of patients with GD, analysis of MRI and radiographs, writing and editing the article; A.A. Solovyova — development of the protocol of MRI studies in GD, execution and analysis of MRI images and radiographs; D.I. Chebotarev — histological examination; R.V. Ponomarev — data collection, maintenance and provision of data calculations from the Russian Registry of patients with GD; V.A. Nakonechny — supervision and participation in the surgical treatment of patients, collection of MRI images and radiographs from the database of the medical information system; E.A. Lukina — editing of the text of the article, oversaw the project.
Funding sources. No funding.
Disclosure of interests. The authors declare that they have no competing interests.
Provenance and peer-review. This paper was submitted to the journal on an initiative basis and reviewed according to the usual procedure. Two external reviewers, a member of the editorial board and the scientific editor of the publication participated in the review.
About the authors
Vasily E. Mamonov
National Medical Research Center for Hematology
Author for correspondence.
Email: vasily-mamonov@yandex.ru
ORCID iD: 0000-0001-7795-4564
SPIN-code: 1773-9159
MD, Cand. Sci. (Medicine)
Russian Federation, 4 Novy Zykovsky proezd, 125167 MoscowAnastasia A. Solovyova
National Medical Research Center for Hematology
Email: solov136@mail.ru
ORCID iD: 0000-0001-5112-3594
SPIN-code: 9792-4499
MD, Cand. Sci. (Medicine)
Russian Federation, 4 Novy Zykovsky proezd, 125167 MoscowDmitry I. Chebotarev
National Medical Research Center for Hematology
Email: chebadmitry@gmail.com
ORCID iD: 0000-0003-2146-0818
SPIN-code: 8463-6699
MD, Cand. Sci. (Medicine)
Russian Federation, 4 Novy Zykovsky proezd, 125167 MoscowRodion V. Ponomarev
National Medical Research Center for Hematology
Email: ponomarev.r.v@icloud.com
ORCID iD: 0000-0002-1218-0796
SPIN-code: 1618-7375
MD, Cand. Sci. (Medicine)
Russian Federation, 4 Novy Zykovsky proezd, 125167 MoscowVladislav A. Nakonechny
National Medical Research Center for Hematology
Email: vlasmon96@yandex.ru
ORCID iD: 0009-0008-6247-3221
SPIN-code: 6856-4906
MD
Russian Federation, 4 Novy Zykovsky proezd, 125167 MoscowElena A. Lukina
National Medical Research Center for Hematology
Email: elenalukina02@gmail.com
ORCID iD: 0000-0002-8774-850X
SPIN-code: 7829-5794
MD, Dr. Sci. (Medicine), professor
Russian Federation, 4 Novy Zykovsky proezd, 125167 MoscowReferences
- Krasnopolskaya KD. Hereditary metabolic diseases. Moscow: NGO Fohat Center for Social Adaptation and Rehabilitation of Children; 2005. Р. 20–22. (In Russ.)
- Lukina EA. Gaucher’s disease. 10 years later. Moscow: Practical Medicine LLC; 2021. (In Russ.)
- Meikle PJ, Hopwood JJ, Clague AE, Carey WF. Prevalence of Lysosomal Storage Disorders. The Journal of the American Medical Association. 1999;281(3):249–254. doi: 10.1001/jama.281.3.249
- Lukina EA, Sysoeva EP, Mamonov VE, et al. Clinical guidelines for the diagnosis and treatment of Gaucher’s disease. Savchenko VG, editor. Moscow: National Hematology Society; 2014. (In Russ.)
- Lukina EA. Gaucher’s disease. Moscow: Litterra; 2012. (In Russ.)
- Ponomarev RV. Dynamics of laboratory parameters reflecting the functional activity of the macrophage system in patients with type I Gaucher disease on the background of pathogenetic therapy [dissertation]. Moscow; 2020. 22 р. (In Russ.) EDN: JNFXZJ
- Lukina KA. Clinical and molecular factors associated with damage to the osteoarticular system in Gaucher disease type I [dissertation]. Moscow; 2013. 142 р. (In Russ.) EDN: VTLTMR
- Ponomarev RV, Lukina EA. Gaucher’s disease: achievements and prospects. Therapeutic archive. 2021;93(7):830–836. (In Russ.) doi: 10.26442/00403660.2021.07.200912
- Solovyova AA, Yatsyk GA, Ponomarev RV, et al. Reversible and irreversible changes in the osteoarticular system in Gaucher disease type I. Hematology and transfusiology. 2019;64(1):49–59. (In Russ.) doi: 10.35754/0234-5730-2019-64-1-49-59
- Hughes D, Mikosch P, Belmatoug N, et al. Gaucher Disease in Bone: From Pathophysiology to Practice. Journal of Bone and Mineral Research. 2019;34(6):996–1013. doi: 10.1002/jbmr.3734
- Zimran A. How I treat Gaucher disease. Blood. 2011;118(6):1463–1471. doi: 10.1182/blood-2011-04-308890
- Biegstraaten M, Cox TM, Belmatoug N, et al. Management goals for type 1 Gaucher disease: An expert consensus document from the European working group on Gaucher disease. Blood Cells, Molecules, and Diseases. 2018;68:203–208. doi: 10.1016/j.bcmd.2016.10.008
- Elstein D, Itzchaki M, Mankin HJ. Skeletal involvement in Gaucher’s disease. Baillière’s Clinical Haematology. 1997;10(4):793–816. doi: 10.1016/s0950-3536(97)80041-8
- Futerman AH, Zimran A. Gaucher disease. Boca Raton: CRC Press Taylor & Francis Group; 2007.
- Solovyova AA. Characteristics and monitoring of changes in the osteoarticular system in adult patients with Gaucher’s disease type I [dissertation]. Moscow; 2019. 26 p. (In Russ.) EDN: QCZSLU
- Wenstrup RJ, Roca-Espiau M, Weinreb NJ, Bembi B. Skeletal aspects of Gaucher disease: a review. The British Journal of Radiology. 2002;75(Suppl_1):A2–A12. doi: 10.1259/bjr.75.suppl_1.750002
- Malakhov OO, Tsykunov MB, Malakhov OA, Gundobina OS. Restoration of function in coxarthrosis on the background of Gaucher disease. Bulletin of Restorative Medicine. 2014;61(3):40–45. (In Russ.) EDN: SQIRPZ
- Khan A, Hangartner T, Weinreb NJ, Taylor JS, Mistry PK. Risk factors for fractures and avascular osteonecrosis in type 1 Gaucher disease: A study from the International Collaborative Gaucher Group (ICGG) Gaucher Registry. Journal of Bone and Mineral Research. 2012;27(8):1839–1848. doi: 10.1002/jbmr.1680
- Masi L, Brandi ML. Gaucher disease: the role of the specialist on metabolic bone diseases. Clinical Cases in Mineral and Bone Metabolism. 2015;12(2):165–169. doi: 10.11138/ccmbm/2015.12.2.165
- Kawai K, Tamaki A, Hirohata K. Steroid-induced accumulation of lipid in the osteocytes of the rabbit femoral head. A histochemical and electron microscopic study. The Journal of bone and joint surgery. American volume. 1985;67(5):755–63.
- Wang GJ, Sweet DE, Reger SI, Thompson RC. Fat-cell changes as a mechanism of avascular necrosis of the femoral head in cortisone-treated rabbits. The Journal of bone and joint surgery. American volume. 1977;59(6):729–35.
- Wang Y, Li Y, Mao K, et al. Alcohol-Induced Adipogenesis in Bone and Marrow: A Possible Mechanism for Osteonecrosis. Clinical Orthopaedics & Related Research. 2003;410:213–224. doi: 10.1097/01.blo.0000063602.67412.8
- Aaron RK, Gray R. Osteonecrosis: etiology, natural history, pathophysiology, and diagnosis. Callaghan JJ, Rosenberg AG, Rubash HE, editors. Philadelphia: Lippincott: Williams & Wilkins; 2007. Р. 465–476.
- George G, Lane JM. Osteonecrosis of the Femoral Head. J Am Acad Orthop Surg Glob Res Rev. 2022;6(5):e21.00176. doi: 10.5435/JAAOSGlobal-D-21-00176
- Ikemura S, Yamamoto T, Motomura G, et al. Lipid metabolism abnormalities in alcohol-treated rabbits: a morphometric and haematologic study comparing high and low alcohol doses. International Journal of Experimental Pathology. 2011;92(4):290–295. doi: 10.1111/j.1365-2613.2011.00773.x
- De Fost M, van Noesel CJM, Aerts JMFG, et al. Persistent bone disease in adult type 1 Gaucher disease despite increasing doses of enzyme replacement therapy. Haematologica. 2008;93(7):1119–1120. doi: 10.3324/haematol.12651
- Lebel E, Elstein D, Peleg A, et al. Histologic findings of femoral heads from patients with Gaucher disease treated with enzyme replacement. American Journal of Clinical Pathology. 2013;140(1):91–96. doi: 10.1309/AJCPFVSAEGO67NGT
Supplementary files












