Masquelet technique in a patient with defect nonunion of the ulna
- Authors: Bugaev G.A.1, Gridina A.N.2, Romanova A.S.2, Struchok A.S.2, Vinogradsky A.E.1,2, Prokopyev D.S.1,2
-
Affiliations:
- Hospital for war veterans
- Ural State Medical University
- Issue: Vol 32, No 2 (2025)
- Pages: 477-485
- Section: Clinical case reports
- Submitted: 26.05.2024
- Accepted: 24.06.2024
- Published: 22.07.2025
- URL: https://journals.eco-vector.com/0869-8678/article/view/632772
- DOI: https://doi.org/10.17816/vto632772
- EDN: https://elibrary.ru/BDQSMB
- ID: 632772
Cite item
Abstract
INTRODUCTION: Orthopedic trauma surgeons face major challenges when dealing with defect nonunions of the upper limb. In cases of treatment failure in forearm pseudarthroses, the incidence of secondary osteomyelitis and bone defects can reach 22% and 7%, respectively. The conventional approach, which includes surgical debridement of the bone cavity, single-stage grafting of the defect, and fragment fixation, is frequently ineffective. According to various authors worldwide, the Masquelet technique has demonstrated favorable outcomes with minimal complications. This method consists of two stages: first, a biological membrane is formed around the defect using a cement spacer; second, the spacer is replaced with an autologous bone graft after the membrane has formed. This technique has several advantages, including improved vascularization and favorable conditions for osteointegration.
CASE DESCRIPTION: We present a successful case of surgical treatment in a patient with defect nonunion of the ulna and chronic osteomyelitis, following failed previous attempts at osteosynthesis and defect grafting. The first stage included modeling resection of the ulnar bone ends to bleeding surfaces, tunnelization, placement of a gentamicin-loaded spacer overlapping the fragment ends, and stabilization using an external fixation device. The second stage consisted of removing the external fixation device and cement spacer, autografting the defect zone with cancellous bone harvested from the iliac crest, closing the graft with the induced membrane, and osteosynthesis of the ulna using a locking compression plate (LCP).
CONCLUSION: The Masquelet technique, when applied step by step in complex cases of forearm bone defect replacement, allows for the restoration of both the ulna and the anatomical and functional integrity of the forearm, improving limb function and facilitating the patient’s return to everyday life and work.
Full Text
ОБОСНОВАНИЕ
Дефекты ложных суставов костей предплечья, или дефекты-псевдоартрозы, возникающие в результате лечения переломов длинных трубчатых костей, осложнённые остеомиелитом, характеризуются длительным процессом заживления и высоким риском последующих осложнений. Согласно статистическим данным, псевдоартрозы костей предплечья составляют до 25% всех случаев ложных суставов длинных трубчатых костей [1]. Частота возникновения послеоперационного остеомиелита, по данным различных авторов, колеблется от 2 до 22,4% [2]. Костные дефекты в структуре псевдоартрозов верхней конечности достигают 7,2% [3].
Сложность данной патологии обусловлена потребностью в выполнении пластики костного дефекта и выбора способа фиксации в условиях хронической инфекции. Классический подход в лечении инфицированных дефектов-псевдоартрозов обречён на неудачу. Это создаёт необходимость поиска эффективных методов лечения для улучшения результатов и снижения рисков осложнений.
В контексте решения данной проблемы техника Masquelet представляет собой прогрессивный метод замещения дефектов длинных трубчатых костей, основанный на принципе двухэтапной реконструкции. Сущность методики заключается в установке цементного спейсера в зону дефекта на первом этапе, что способствует формированию биологической мембраны. На втором этапе происходит реконструкция дефекта путём внедрения аутологичного губчатого костного трансплантата, который интегрируется в ложе дефекта с уже сформированной мембраной. Этот метод не только обеспечивает структурную поддержку для новообразованной кости, но и способствует её реваскуляризации [4].
В свободном доступе по большей части представлены научные материалы, касающиеся применения этой техники на нижних конечностях, при этом о результатах и осложнениях техники Masquelet на верхних конечностях можно узнать из незначительного числа статей [5, 6]. Представленное клиническое наблюдение демонстрирует результат лечения пациента с дефектом-псевдоартрозом локтевой кости техникой Masquelet.
ОПИСАНИЕ КЛИНИЧЕСКОГО СЛУЧАЯ
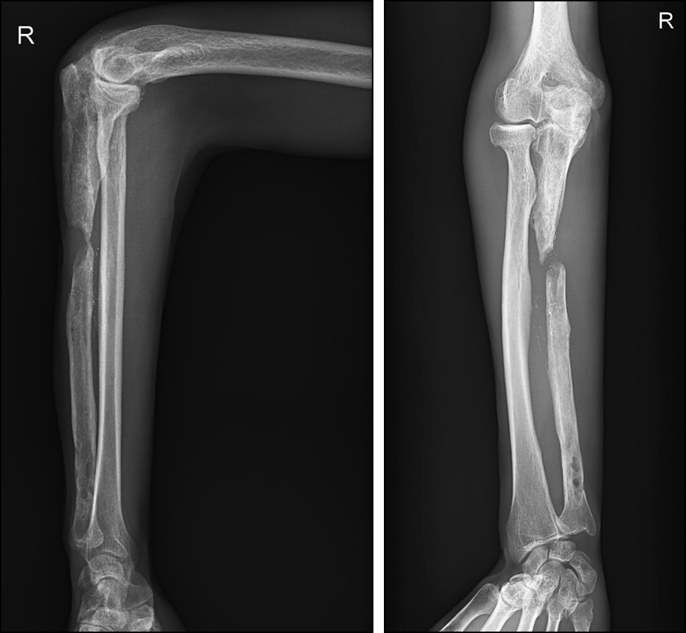
Пациент Р., 42 года, поступил в травматолого-ортопедическое отделение ГАУЗ СО «Свердловский областной клинический психоневрологический госпиталь для ветеранов войн» с жалобами на боль в правом предплечье, выраженное ограничение движений в правом локтевом и лучезапястном суставе, нарушение функции правой верхней конечности. Из анамнеза выяснено, что в 2019 году получена производственная травма. По этому поводу был выполнен закрытый интрамедуллярный блокируемый остеосинтез перелома правой локтевой кости стержнем. Спустя 6 месяцев — излом стержня, псевдоартроз правой локтевой кости в верхней трети диафиза. Выполнены удаление стержня, реостеосинтез локтевой кости пластиной. Спустя 2 недели в верхней трети правого предплечья открылся свищ с гнойным отделяемым. Пациент взят на хирургическую обработку, санацию, выполнено удаление пластины. Конечность фиксирована косыночной повязкой. Данных о бактериальных посевах содержимого раны нет. Признаков инфекции в последующем периоде не наблюдалось. Через 1 год в ином областном учреждении пациенту выполнен остеосинтез правой локтевой кости пластиной с костной аутопластикой трикортикально-губчатым трансплантатом из гребня подвздошной кости. На контрольных рентгенограммах спустя 2 месяца выявлен лизис трансплантата. Жалобы пациента на боли в правом предплечье. Со слов пациента, однократно открывался свищ без содержимого в области оперативного вмешательства, он самостоятельно выполнял перевязки, после чего свищ закрылся. Выполнена повторная операция — удаление пластины из правой локтевой кости, санация, хирургическая обработка, остеосинтез правой локтевой кости аппаратом Илизарова. Спустя 2 месяца — параспицевая инфекция, обострение свищевой формы остеомиелита правого предплечья. Поступил в гнойное отделение Госпиталя для ветеранов войн. Выполнены демонтаж аппарата Илизарова, повторная санация, хирургическая обработка и дренирование. Правая верхняя конечность фиксирована косыночной повязкой. По результатам цитологического и бактериологического исследования раневого содержимого данных об инфекционном процессе не получено. Через 4 месяца обратился в травматолого-ортопедическое отделение Госпиталя для ветеранов войн с диагнозом «дефект-псевдоартроз верхней трети диафиза правой локтевой кости. Хронический посттравматический остеомиелит правой локтевой кости, свищевая форма, ремиссия». Объективно ось правой верхней конечности отклонена за счёт деформации в верхней трети правого предплечья, укорочение правого предплечья составило 2 см (D <S). Активные движения в локтевом суставе ограничены: сгибание — до 100°, разгибание — 130°, ротация предплечья — 5–0–10°. Активные движения в правом лучезапястном суставе ограничены: сгибание — до 15°, разгибание — 0°, отведение и приведение — в минимальной амплитуде. При движениях испытывает умеренную боль. Болезненность при пальпации, пальпаторно определяется дефект до 2 см в верхней трети правой локтевой кости. Крепитации отломков нет. Послеоперационные рубцы от аппарата Илизарова и предыдущих операций по разгибательной поверхности предплечья длиной до 20 см, нормотрофический рубец, безболезненный. Свищ в области хирургических вмешательств эпителизировался. Периферических сосудистых и неврологических расстройств нет. Функциональная оценка по шкале Disability of the Arm, Shoulder and Hand Outcome Measure (DASH) — 76 баллов. По рентгенограммам определяется костный дефект-псевдоартроз верхней трети диафиза правой локтевой кости (рис. 1). Диастаз между отломками локтевой кости до 30 мм.
Рис. 1. Рентгенограммы правого предплечья в двух проекциях.
Fig. 1. Radiographs of the right forearm in two projections .
Результаты физикального, лабораторного и инструментального исследования
Лабораторные показатели (общий анализ крови, общий анализ мочи, С-реактивный белок, скорость оседания эритроцитов) в пределах референсных значений. Объективных данных об активной форме остеомиелита не получено. Результаты цитологического и бактериального посевов отрицательные.
Лечение
Учитывая отягощённый инфекционный анамнез и предстоящий объём реконструкции локтевой кости, обоснованным является применение двухэтапной методики Masquelet. Первым этапом выполнены моделирующая резекция концов фрагментов локтевой кости до кровоснабжаемой костной ткани, туннелизация кортикалов. Размер истинного костного дефекта после моделирующей резекции основных отломков составил до 5,5 см. Установка цементного спейсера с гентамицином (GENTA cemex) производилась с нахлёстом на концы фрагментов для формирования мембраны по всей окружности (рис. 2). Стабилизация локтевой кости выполнена стержневым аппаратом внешней фиксации (АВФ). В послеоперационном периоде раны заживали первичным натяжением без отделяемого. Интраоперационные цитологические и бактериальные посевы отрицательные. Разрешены активные движения в локтевом и лучезапястном суставах с первых суток после операции. Пациент выписан на амбулаторный этап через 7 дней после оперативного вмешательства. Наблюдался у травматолога, швы сняты в травмпункте по месту жительства.
Рис. 2. Рентгенограмма правого предплечья после первого этапа оперативного лечения.
Fig. 2. Radiograph of the right forearm after the first stage of surgical treatment.
Спустя 6 недель госпитализирован в отделение с целью выполнения второго этапа оперативного вмешательства. На момент госпитализации объективных признаков инфекционного процесса не выявлено. Лабораторные показатели в пределах нормы. Функциональная оценка по шкале DASH — 48 баллов.
Вторым этапом выполнены демонтаж АВФ, бережное выделение и сепарация сформированной псевдонадкостницы от прилежащих тканей, удаление интерпонирующего цементного спейсера (рис.3а). Остеосинтез локтевой кости пластиной с угловой стабильностью с восстановлением длины, ротации и осевых взаимоотношений в локтевом и лучезапястном суставе. Аутопластика реципиентной зоны губчатой костной тканью из гребня подвздошной кости без кортикального слоя (рис. 3b). Трансплантат внедрён в ложе дефекта, импактирован. Контакт «фрагмент — трансплантат — фрагмент» полный. Зона губчатого трансплантата укрыта мембраной, плотно ушита (рис. 3с, рис. 4).
Рис. 3. Второй этап реконструкции локтевой кости: a — выделение мембраны, удаление цементного спейсера, b — установка LCP-пластины, костная аутопластика, c — закрытие реципиентной зоны, ушивание мембраны.
Fig. 3. Second stage of ulnar reconstruction: a, dissection of the membrane, removal of the cement spacer; b, application of the LCP plate, autologous bone grafting; c, closure of the recipient site, membrane suturing.
Рис. 4. Рентгенограмма правого предплечья после аутопластики костного дефекта губчатым трансплантатом и остеосинтеза пластиной.
Fig. 4. Radiograph of the right forearm after cancellous bone grafting and plate osteosynthesis.
В послеоперационном периоде пациент получал антибактериальную, сосудистую, инфузионную и симптоматическую терапию. Послеоперационные раны зажили первичным натяжением, включая зону донорского трансплантата. Отделяемого из ран не наблюдалось. С первых суток разрешены пассивные движения в локтевом и лучезапястном суставах. Со второй недели — активные движения. Иммобилизация конечности косыночной повязкой. Пациент выписан на 14-е сутки после реконструктивного вмешательства, швы сняты. Объективных признаков инфекции не выявлено. Синдром «донорского ложа» отсутствует.
Исход и результаты последующего наблюдения
На контрольном осмотре через 1 год после окончания лечения пациента беспокоило незначительное ограничение движений в лучезапястном суставе. Болевой синдром как в области правого предплечья, так и «донорского ложа» отсутствовал. Признаков инфекции за текущий год не отмечал. Лабораторные показатели в пределах нормы. Функциональная оценка по шкале DASH — 25 баллов — расценивалась как хорошая. Пациент полностью вернулся к социальной жизни, бытовой и трудовой деятельности (рис. 5).
Рис. 5. Функциональный результат прооперированной конечности через 1 год после реконструкции.
Fig. 5. Functional outcome of the operated limb one year after reconstruction.
На рентгенограммах правого предплечья в двух проекциях через год, после второго этапа оперативного лечения, определяется полноценная костная перестройка трансплантата и сращение локтевой кости (рис. 6).
Рис. 6. Рентгенограммы правого предплечья через 1 год после реконструкции.
Fig. 6. Radiographs of the right forearm one year after reconstruction.
ОБСУЖДЕНИЕ
Проведённые цитологические и гистологические исследования состава индуцированной мембраны в экспериментальной модели показали, что образующаяся вокруг спейсера мембрана обеспечивает достаточное кровоснабжение и содержит большое количество мезенхимальных стволовых и эпителиоподобных клеток, фибробластов, миофибробластов, а также вырабатывает факторы роста и морфогенетические белки. Индуцированная мембрана обладает антимикробной активностью благодаря наличию антиоксидантов, которые выделяются вместе с факторами роста и могут разрушать ДНК микроорганизмов, вызывая их цитолиз. Присутствие некоторых пептидов также может вызывать бактериостатический эффект путём ингибирования клеточного деления. Ещё одним предполагаемым механизмом является наличие местных пептидов, которые могут ингибировать секрецию бактериальной биоплёнки и, следовательно, препятствовать адгезии микроорганизмов к окружающим поверхностям [7, 8].
Основываясь на полученных авторами данных, считаем, что формируемая кровоснабжаемая мембрана цито- и гистологически подобна надкостнице и в некоторых публикациях упоминается как псевдо- и неонадкостница [9].
В проспективном исследовании F. Gindraux и соавт. определили средние сроки формирования псевдонадкостницы: для верхней конечности — 6 недель, для нижней — 8 недель. Пациенты после реконструкции верхней конечности восстанавливались раньше. На последнем этапе наблюдения все пациенты были в состоянии переносить нагрузку в полном объёме без остаточной боли [10].
Наш клинический пример наглядно демонстрирует, что для формирования полноценной псевдомембраны вокруг интерпонирующего спейсера достаточно 6 недель. Проблем с рецидивом инфекции как на первом, так и на втором этапе лечения не возникло. Однако некоторые авторы упоминают случаи обострения хронического очага остеомиелита уже после установки спейсера, достигающие 8,7% [11]. По нашему мнению, если данная проблема возникает после первого этапа реконструкции, то решается повторной хирургической обработкой, санацией и заменой цементного спейсера с возможностью добавить антибиотик по результатам посевов. Такая процедура может повторяться до купирования инфекционного процесса. При этом важно учитывать сроки и зрелость мембраны: по некоторым данным, её индукционная и репаративная способность начинает уменьшаться после 8-й недели [12, 13]. В такой ситуации имеет смысл иссечь псевдонадкостницу и переустановить спейсер до формирования новой мембраны. Удобство и универсальность аппарата внешней фиксации позволяют внеочагово застабилизировать любой сегмент конечности при минимальном риске повторного инфицирования, а в случае рецидива инфекции выполнить ревизионное вмешательство без потребности в удалении металлоконструкции. Также преимущество АВФ заключается в возможности для пациента начать раннюю разработку движений в смежных суставах и профилактике контрактур. В нашем клиническом наблюдении удалось улучшить функции верхней конечности до второго этапа лечения на 28 баллов по шкале DASH.
Что касается способа фиксации на втором этапе, то здесь применяются как накостные, так и интрамедуллярные погружные конструкции [14]. Каждый способ имеет свои обоснованные преимущества и недостатки. Считаем, что выбор фиксации зависит от конкретного случая и подбирается индивидуально, порой интраоперационно. В нашем случае мы принимали во внимание факт отсутствия признаков инфекции, отрицательные результаты бактериологических посевов, длительность ремиссии хронического остеомиелита, состояние мягких тканей и кровоснабжения зоны дефекта. Также учитывалось пожелание пациента об отсутствии каких-либо внешних фиксаторов. Во избежание нарушения эндостального кровоснабжения мы решили отказаться от использования интрамедуллярного блокируемого остеосинтеза в пользу накостного. Объём нарушения периостального кровоснабжения после выполнения остеосинтеза мостовидной пластиной с угловой стабильностью в нашем случае показался нам не критичным для дальнейшей консолидации отломков.
При лечении пациентов с крупными (более 10 см) дефектами и псевдоартрозами длинных трубчатых костей [15] в центре внимания по-прежнему остаётся применение свободной и несвободной костной пластики, основанной на явлении дистракционного остеогенеза по методу Илизарова. В сложных случаях эта техника позволяет успешно решать несколько проблем одновременно (потерю костной ткани, недостаток мягких тканей и наличие гнойной инфекции). Так, по данным различных авторов, положительные долгосрочные результаты лечения составляли от 77 до 100% [16]. Несомненно, успешные результаты лечения зависят от опыта хирурга и совершенства управления дистракционным регенератом методом Илизарова. В ином случае можно столкнуться с такими осложнениями, как «ишемический» регенерат, рефрактуры незрелого регенерата, повторное формирование псевдоартроза и остаточные деформации конечности [17].
В одном из недавних исследований Д.Ю. Борзунов и соавт. продемонстрировали возможности уникального комбинирования техники Masquelet и несвободной костной пластики по Илизарову для замещения обширных дефектов длинных трубчатых костей. Экспериментальная часть работы показала, что численная плотность новообразованных микрососудов в индуцированной мембране при чрескостном остеосинтезе гораздо выше, чем при других способах фиксации, а предшествующие попытки замещения костного дефекта иными методами влияют на кровоснабжение псевдонадкостницы. Полученные результаты лечения в практической части данного труда позволяют прогнозировать поведение трансплантата при выполнении костной пластики. Достигается полная органотипическая перестройка дистракционного регенерата, что позволяет избежать деформации и рефрактур новообразованной кости [18].
Считаем обоснованным применение внеочагового компрессионно-дистракционного остеосинтеза по Илизарову в сочетании с техникой индуцированной мембраны (Masquelet) как на первом, так и на втором этапе лечения, особенно в условиях присутствия полирезистентной микрофлоры и высоких рисков рецидива инфекции.
По-прежнему не утихают научные дебаты касательно антибактериальной терапии. Учёные не пришли к единому мнению о том, какой антибактериальный препарат добавлять в костный цемент и в какой дозировке. По этому поводу проводятся экспериментальные исследования. Наиболее используемыми антибиотиками, доказавшими свою эффективность и совместимость с костным цементом, являются ванкомицин, гентамицин и клиндамицин из группы гликопептидов [19]. За счёт своего устойчивого поддержания концентрации в спейсере и пролонгированного высвобождения в окружающие мягкие ткани они позволяют элиминировать инфекцию. Важно отметить, что данная группа препаратов в высоких концентрациях оказывает цитотоксический эффект, в том числе и на новообразованную мембрану. Так, ванкомицин в дозировке 6,0 г и более замедляет созревание неонадкостницы, подавляя в ней ангиогенез и дифференцировку мезенхимальных клеток [20]. Напротив, ванкомицин в дозировке 1,0–4,0 г в 40 г цемента оказывает положительное влияние на созревание мембраны, а в некоторой мере даже стимулирует её остеогенные свойства при мерном высвобождении действующего вещества на протяжении 6 недель. Мы использовали костный цемент с гентамицином с заявленной концентрацией 1,0 г в 40 г порошковой взвеси.
Что касается выбора оптимального трансплантата и способа его получения, то, согласно последним рекомендациям для костной пластики по Masquelet, используется система рассверливания, ирригации и аспирации RIA (reamer-irrigator-aspirator) [21]. Данная система производит сбор губчатого вещества и костной крошки, содержащих стволовые клетки и факторы роста, при этом удаляет жировую эмульсию. Учитывая стоимость данного оборудования и его отсутствие в нашей клинике, забор аутотрансплантата производился путём кюретажа содержимого подвздошной кости. В области гребня подвздошной кости формировалось кортикально-надкостничное «окно», которое позволяет выполнить забор губчатого вещества костной ложкой. По окончании процедуры кортикально-надкостничный лоскут возвращается на место и импактируется. Такой способ позволяет избежать дефекта донорского участка и не беспокоит пациента в будущем. Недостатком данной манипуляции служит ограниченный объём аутотрансплантата, которого может не хватить для производимой пластики. В литературе предлагают использовать различные остеоиндуктивные и остеокондуктивные материалы в дополнение к основному трансплантату [22–24].
ЗАКЛЮЧЕНИЕ
Представленное клиническое наблюдение демонстрирует возможность успешного замещения костного дефекта с восстановлением анатомической целостности локтевой кости, длины конечности и взаимоотношений в смежных суставах, что позволило пациенту улучшить функцию конечности и вернуться к социальной жизни, повседневным обязанностям, трудовой деятельности. Главным преимуществом данной методики замещения костных дефектов по сравнению с другими является формирование кровоснабжаемой биологической мембраны (псевдонадкостницы), которая улучшает питание основного трансплантата и минимизирует риск его лизиса, особенно в условиях предшествующих попыток выполнить реконструкцию с нарушением периостального кровоснабжения. Также при наличии хронического остеомиелита и высокого риска инфекционных осложнений данная методика позволяет минимизировать риск инфекции за счёт установки цементного спейсера с возможностью добавления в него антибактериального препарата, а при рецидиве инфекции после первого этапа — выполнить ревизию и санацию с последующей переустановкой интерпонирующего спейсера до купирования инфекционного процесса. Основными существующими недостатками техники Masquelet являются вероятность развития синдрома «донорского ложа», а также продолжительность лечения, требующая от пациента соблюдения строгих рекомендаций и комплаенса с лечащим врачом.
ДОПОЛНИТЕЛЬНАЯ ИНФОРМАЦИЯ
Вклад авторов. А.Н. Гридина, А.С. Романова, А.С. Стручок — сбор материала, написание текста и промежуточное редактирование статьи; Г.А. Бугаев, Д.С. Прокопьев, А.Е. Виноградский — хирургическое лечение пациента, разработка дизайна исследования, написание текста и итоговое редактирование статьи. Все авторы одобрили финальную версию перед публикацией, а также согласились нести ответственность за все аспекты работы, гарантируя надлежащее рассмотрение и решение вопросов, связанных с точностью и добросовестностью любой её части.
Источники финансирования. Отсутствуют.
Раскрытие интересов. Авторы заявляют об отсутствии отношений, деятельности и интересов (личных, профессиональных или финансовых), связанных с третьими лицами (коммерческими, некоммерческими, частными), интересы которых могут быть затронуты содержанием статьи, а также иных отношений, деятельности и интересов за последние три года, о которых необходимо сообщить.
Оригинальность. При создании настоящей работы авторы не использовали ранее опубликованные сведения (текст, данные).
Генеративный искусственный интеллект. При создании настоящей статьи технологии генеративного искусственного интеллекта не использовали.
Рассмотрение и рецензирование. Настоящая работа подана в журнал в инициативном порядке и рассмотрена по обычной процедуре. В рецензировании участвовали два внешних рецензента, член редакционной коллегии и научный редактор издания.
Информированное согласие на публикацию. Авторы получили письменное согласие пациента на публикацию его медицинских данных и фотографий (25.04.2024 г.).
ADDITIONAL INFORMATION
Author contributions: A.N. Gridina, A.S. Romanova, A.S. Struchok: data curation, writing—original draft, writing—review & editing; G.A. Bugaev, D.S. Prokopyev, A.E. Vinogradsky: investigation, methodology, writing—original draft, writing—review & editing. All the authors approved the final version of the manuscript to be published and agreed to be accountable for all aspects of the work, ensuring that questions related to the accuracy or integrity of any part of the work are appropriately investigated and resolved.
Funding sources: No funding.
Disclosure of interests: The authors have no relationships, activities, or interests (personal, professional, or financial) related to for-profit, not-for-profit, or private third parties whose interests may be affected by the content of the article, as well as no other relationships, activities, or interests in the past three years to disclose.
Statement of originality: No previously published material (text, or data) was used in this article.
Generative AI: No generative artificial intelligence technologies were used to prepare this article.
Provenance and peer-review: This paper was submitted unsolicited and reviewed following the standard procedure. The peer review process involved two external reviewers, a member of the editorial board, and the in-house scientific editor.
Consent for publication: Written informed consent was obtained from the patient for the publication of their medical data and images (April 25, 2024).
About the authors
Gleb A. Bugaev
Hospital for war veterans
Author for correspondence.
Email: glebbugaev97@gmail.com
ORCID iD: 0000-0002-0176-0090
SPIN-code: 7217-0354
MD
Russian Federation, 25 Soboleva st, Yekaterinburg, 620036Anna N. Gridina
Ural State Medical University
Email: Annagridina934@gmail.com
ORCID iD: 0009-0004-7561-4274
student
Russian Federation, YekaterinburgAntonina S. Romanova
Ural State Medical University
Email: Antonina.r.03@mail.ru
ORCID iD: 0000-0003-4247-4733
student
Russian Federation, YekaterinburgArina S. Struchok
Ural State Medical University
Email: Rinaas500@mail.ru
ORCID iD: 0000-0002-3708-7977
student
Russian Federation, YekaterinburgAlexander E. Vinogradsky
Hospital for war veterans; Ural State Medical University
Email: vinalexc@mail.ru
ORCID iD: 0000-0003-2912-6291
MD, Cand. Sci. (Medicine)
Russian Federation, 25 Soboleva st, Yekaterinburg, 620036; YekaterinburgDmitriy S. Prokopyev
Hospital for war veterans; Ural State Medical University
Email: d_prok@list.ru
ORCID iD: 0000-0002-6058-0647
SPIN-code: 4718-0550
MD
Russian Federation, 25 Soboleva st, Yekaterinburg, 620036; YekaterinburgReferences
- Chernyaev SN, Neverov VA. Modern concepts of treatment of complicated diaphyseal forearm fractures (literature review). N.N. Priorov Journal of Traumatology and Orthopedics. 2020;27(4):73–79. doi: 10.17816/vto35163 EDN: BSLUEF
- Kryuchkov RA, Kunafin MS, Khunafin SN. Osteomyelitis after osteosynthesis using of metal in patients with closed fractures of tubular bones. Creative surgery and oncology. 2013;(4):62–64. doi: 10.24060/2076-3093-2013-0-4-62-64 EDN: ZOQFHH.
- Goryachev AN, Fominykh AA, Ignatiev AG. Rotational contracture in patients with fractures of the forearm bones. Orthopaedic Genius. 2001(2):97–98. (in Russ.).
- Masquelet AC. Muscle reconstruction in reconstructive surgery: soft tissue repair and long bone reconstruction. Langenbecks Arch Surg. 2003;388(5):344–6. doi: 10.1007/s00423-003-0379-1
- Luo TD, Nunez FA Jr, Lomer AA, Nunez FA Sr. Management of recalcitrant osteomyelitis and segmental bone loss of the forearm with the Masquelet technique. J Hand Surg Eur Vol. 2017;42(6):640–642. doi: 10.1177/1753193416650171
- El Farhaoui A, Benalia K, Lachkar A, Abdeljaouad N, Yacoubi H. The induced membrane technique: A therapeutic option for managing bone defects in the upper extremity: Case series for 7 patients. Ann Med Surg (Lond). 2022;81:104533. doi: 10.1016/j.amsu.2022.104533
- Pelissier P, Masquelet AC, Bareille R, Pelissier SM, Amedee J. Induced membranes secrete growth factors including vascular and osteoinductive factors and could stimulate bone regeneration. J Orthop Res. 2004;22(1):73–79. doi: 10.1016/S0736-0266(03)00165-7
- Roukoz S, El Khoury G, Saghbini E, et al. Does the induced membrane have antibacterial properties? An experimental rat model of a chronic infected nonunion. Int Orthop. 2020;44(2):391–398. doi: 10.1007/s00264-019-04453-4
- Dilogo IH, Primaputra MRA, Pawitan JA, Liem IK. Modified Masquelet technique using allogeneic umbilical cord-derived mesenchymal stem cells for infected non-union femoral shaft fracture with a 12 cm bone defect: a case report. Int J Surg Case Rep. 2017;34:11–6. doi: 10.1016/j.ijscr.2017.03.002
- Gindraux F, Loisel F, Bourgeois M, et al. Induced membrane maintains its osteogenic properties even when the second stage of Masquelet’s technique is performed later. Eur J Trauma Emerg Surg. 2020;46(2):301–312. doi: 10.1007/s00068-019-01184-4
- Liu X, Min HS, Chai Y, Yu X, Wen G. Masquelet technique with radical debridement and alternative fixation in treatment of infected bone nonunion. Front Surg. 2022;9:1000340. doi: 10.3389/fsurg.2022.1000340
- Karger C, Kishi T, Schneider L, Fitoussi F, Masquelet AC; French Society of Orthopaedic Surgery and Traumatology (SoFCOT). Treatment of posttraumatic bone defects by the induced membrane technique. Orthop Traumatol Surg Res. 2012;98(1):97–102. doi: 10.1016/j.otsr.2011.11.001
- Rigal S, Merloz P, Le Nen D, Mathevon H, Masquelet AC; French Society of Orthopaedic Surgery and Traumatology (SoFCOT). Bone transport techniques in posttraumatic bone defects. Orthop Traumatol Surg Res. 2012;98(1):103–8. doi: 10.1016/j.otsr.2011.11.002
- Masquelet AC, Fitoussi F, Begue T, Muller GP. Reconstruction of the long bonesby the induced membrane and spongy autograft. Ann Chir Plast Esthet. 2000;45(3):346–53. (in French).
- Ladutko DYu, Podhaisky VN, Ladutko YuN, et al. Algorithm of surgical treatment of large bone defects of long tubular bones by vascularized bone grafting. Issues of Reconstructive and Plastic Surgery. 2021;24(3–4):63–75. doi: 10.52581/1814-1471/78/06 EDN: QEHHQP
- Borzunov DY, Kolchin SN, Malkova TA. Role of the Ilizarov non-free bone plasty in the management of long bone defects and nonunion: Problems solved and unsolved. World J Orthop. 2020;11(6):304–318. doi: 10.5312/wjo.v11.i6.304
- Wen G, Zhou R, Wang Y, et al. Management of post-traumatic long bone defects: A comparative study based on long-term results. Injury. 2019;50(11):2070–2074. doi: 10.1016/j.injury.2019.07.029
- Borzunov DYu, Mokhovikov DS, Kolchin SN, Gorbach EN. Combined use of epy Ilizarov non-free bone plasty and Masquelet technique in patients with acquired bone defects and pseudarthrosis. Orthopaedic Genius. 2020;26(4):532–538. doi: 10.18019/1028-4427-2020-26-4-532-538 EDN: XUDFWY
- Liodakis E, Giannoudis VP, Sehmisch S, Jha A, Giannoudis PV. Bone defect treatment: does the type and properties of the spacer affect the induction of Masquelet membrane? Evidence today. Eur J Trauma Emerg Surg. 2022;48(6):4403–4424. doi: 10.1007/s00068-022-02005-x
- Xie J, Wang W, Fan X, et al. Masquelet technique: effects of vancomycin concentration on quality of the induced membrane. Injury. 2022;53(3):868–877. doi: 10.1016/j.injury.2021.11.003
- McCall TA, Brokaw DS, Jelen BA, et al. Treatment of large segmental bone defects with reamer-irrigator-aspirator bone graft: technique and case series. Orthop Clin North Am. 2010;41(1):63–73. doi: 10.1016/j.ocl.2009.08.002
- Cho JW, Kim J, Cho WT, et al. Circumferential bone grafting around an absorbable gelatin sponge core reduced the amount of grafted bone in the induced membrane technique for critical-size defects of long bones. Injury. 2017;48(10):2292–305. doi: 10.1016/j.injury.2017.08.012
- Harrell DB, Caradonna E, Mazzucco L, et al. Non-hematopoietic essential functions of bone marrow cells: a review of scientific and clinical literature and rationale for treating bone defects. Orthop Rev (Pavia). 2015;7(4):5691. doi: 10.4081/or.2015.5691
- Baboolal TG, Boxall SA, El-Sherbiny YM, et al. Multipotential stromal cell abundance in cellular bone allograft: comparison with fresh age-matched iliac crest bone and bone marrow aspirate. Regen Med. 2014;9(5):593–607. doi: 10.2217/rme.14.17
Supplementary files









