Биомеханическая оценка функции стопы после дистракционного подтаранного артродеза: проспективное исследование
- Авторы: Орлецкий А.К.1, Косов И.С.1, Шкуро К.В.1, Арапова И.А.1, Васильев Д.О.1, Зейналов В.Т.1, Мурсалов А.К.1, Мицкевич В.А.1
-
Учреждения:
- Национальный медицинский исследовательский центр травматологии и ортопедии им. Н.Н. Приорова
- Выпуск: Том 32, № 2 (2025)
- Страницы: 397-411
- Раздел: Оригинальные исследования
- Статья получена: 08.06.2024
- Статья одобрена: 05.07.2024
- Статья опубликована: 22.07.2025
- URL: https://journals.eco-vector.com/0869-8678/article/view/633337
- DOI: https://doi.org/10.17816/vto633337
- EDN: https://elibrary.ru/WZMMQJ
- ID: 633337
Цитировать
Полный текст
Аннотация
Обоснование. Переломы пяточной кости, внутрисуставные, импрессионные со смещением отломков после консервативного или неадекватного хирургического лечения, могут привести к серьёзной ортопедической проблеме. Артродез подтаранного сустава выполняется после переломов пяточной кости с развитием прогрессирующего остеоартроза. Дистракционный артродез подтаранного сустава показан при выраженной депрессии задней суставной фасетки для восстановления нормальных взаимоотношений заднего отдела стопы.
Цель. Оценить эффективность и безопасность новой тактики хирургического лечения посттравматической деформации пяточной кости.
Материалы и методы. В отделении травматологии и ортопедии № 4 ФГБУ «НМИЦ ТО им. Н.Н. Приорова», г. Москва, в период 2021–2024 гг. было проведено оперативное лечение 27 пациентам с тяжёлой посттравматической деформацией пяточной кости, из них 7 женщин и 20 мужчин, средний возраст которых составил 35 лет (от 22 до 56 лет). Все пациенты оперированы одним хирургом. Среднее время от момента травмы до оперативного лечения — 24,8 мес. (от 9 до 72 мес.).
Результаты. Оценка результатов лечения пациентов, принявших участие в исследовании, проводилась в интервале 12 и 24 мес. после операции. Средний период наблюдения составил 26,2 мес. (от 12 до 56 мес.). Средний показатель визуальной аналоговой шкалы до операции составил 5,1 (от 9 до 2), после операции — 0,8 (от 3 до 0), отмечено значительное снижение болевого синдрома (р >0,001). Средний показатель AOFAS заднего отдела стопы до операции составил 42 (от 39 до 72), после операции — 85 (от 60 до 92), также отмечено улучшение показателей опросника (р >0,001). Осложнения наблюдались у 13 пациентов, 2 пациентам потребовалось повторное хирургическое вмешательство. По результатам динамической педобарографии отмечено увеличение показателей пикового и среднего интеграла давления для всей стопы, среднее время контакта пятки значительно уменьшилось — с 640±166 мс до операции до 515±141 мс после операции (р <0,003). Эти показатели были схожи с показателями здоровой стопы — 530±177 мс соответственно.
Заключение. Дистракционный артродез выполнялся пациентам при тяжёлой посттравматической деформации пяточной кости (угол инклинации таранной кости менее 8 градусов). Дистракция необходима для восстановления высоты пяточной кости и нормальных взаимоотношений заднего отдела стопы в целом. Пациенты были удовлетворены результатом лечения, который был подтверждён не только клинически, рентгенологически, но и путём биомеханического исследования, при помощи динамической педобарографии.
Полный текст
ОБОСНОВАНИЕ
Переломы пяточной кости, внутрисуставные, импрессионные со смещением отломков после консервативного или неадекватного хирургического лечения, могут привести к серьёзной ортопедической проблеме. К сожалению, основную когорту данных пациентов составляют трудоспособные, активные люди в возрасте от 20 до 40 лет. Поздние осложнения сросшихся со смещением внутрисуставных переломов пяточной кости приводят к инвалидизации и представляют сложную клиническую картину [1–6].
Наиболее распространёнными проблемами тяжёлой посттравматической деформации пяточной кости являются выраженная депрессия задней суставной фасетки с развитием подтаранного остеоартроза; изменение анатомии пяточной кости (высота, ширина, длина), приводящее к укорочению ахиллова сухожилия, нарушению ходьбы, хромоте; вздутие / расширение наружной стенки пяточной кости, пяточно-малоберцовый импиджмент, компрессия и дислокация малоберцовых сухожилий; угловая деформация заднего отдела стопы — варус / вальгус; коллапс внутреннего продольного свода; вторичная деформация среднего и переднего отдела стопы, когтеобразная деформация пальцев; горизонтальное положение таранной кости с формированием переднего большеберцово-таранного импиджмента, ограничение дорсифлексии стоп; симптоматические остеофиты латеральной, медиальной, плантарной и дорсальной поверхности пяточной кости; прогрессирование остеоартроза сустава Шопара; невропатия икроножного и большеберцового нервов [7–10].
Артродез подтаранного сустава выполняется после переломов пяточной кости с развитием прогрессирующего остеоартроза. В 1988 г. В. Carr предложил подтаранный дистракционный костно-пластический артродез при посттравматической деформации пяточной кости с депрессией задней суставной фасетки. Дистракция выполняется для восстановления утраченной высоты пяточной кости и восстановления нормальных взаимоотношений заднего отдела стопы [6, 11].
Также мы считаем, что важно выполнять декомпрессию наружной стенки пяточной кости, ревизию малоберцовых сухожилий, удлинение ахиллова сухожилия, корригирующую остеотомию бугра пяточной кости, резекцию остеофитов и т.д. [1, 2]. У хирурга должен быть чёткий план, какие компоненты деформации необходимо исправить, желательно в одну хирургическую сессию.
В нашем исследовании ретро- и проспективно проведена оценка функции 27 стоп, как клинически, так и с помощью динамической педобарографии, до и после хирургической реконструкции.
Цель исследования — улучшение тактики хирургического лечения посттравматической деформации пяточной кости, оценка результатов лечения клинически, рентгенологически и педобарографически (функциональное биомеханическое исследование стоп) до и после оперативного лечения.
МАТЕРИАЛЫ И МЕТОДЫ
Дизайн исследования
Проведено экспериментальное проспективное контролируемое нерандомизированное исследование.
Условия проведения и продолжительность исследования
Исследование выполнено в отделении травматологии и ортопедии № 4 ФГБУ «НМИЦ ТО им. Н.Н. Приорова», г. Москва, в период 2021–2024 гг.
Критерии соответствия
Критерии включения: пациенты с тяжёлой посттравматической деформацией пяточной кости, у которых на рентгенограммах в боковой проекции угол Белера нулевой или отрицательный, угол инклинации таранной кости — менее 8 градусов, подписавшие согласие на добровольное участие в данном исследовании.
Критерии исключения: пациенты, отказавшиеся принимать участие в исследовании, с имеющимся анкилозом подтаранного сустава, пациенты с тяжёлым сосудистым и неврологическим дефицитом, невропатическими заболеваниями (например, артропатией Шарко), хронические курильщики, которые не захотели на период лечения бросить или ограничить курение.
Описание медицинского вмешательства
Все пациенты оперированы одним хирургом.
Проводился осмотр пациентов: стоя (лицом к доктору, спиной, боком), подъём на мыски, на пятки на одной и двух стопах, приседание на корточки. Гониометром определялся объём движений в подтаранном (эверсия / инверсия) и голеностопном суставах (дорси- / плантарфлексия).
Оперативное лечение
Объём оперативного вмешательства планировали с учётом классификации посттравматических деформаций пяточной кости по Zwipp / Rammelt (табл. 1).
Таблица 1. Классификация посттравматических деформаций пяточной кости по Zwipp / Rammelt
Table 1. Classification of post-traumatic calcaneal deformities according to Zwipp/Rammelt
Классификация | Характеристики | Лечение | |
Stephens / Sanders | Zwipp / Rammelt | ||
Тип 1 | Тип 0: неправильно сросшийся перелом пяточной кости без остеоартроза подтаранного сустава | «Вздутие» латерального кортикала пяточной кости; интактная суставная поверхность подтаранного сустава | Экзостозэктомия, краевая резекция латерального кортикала пяточной кости, суставсберегающие остеотомии |
Тип 2 | Тип I: остеоартроз | Остеоартроз подтаранного сустава 3-й ст. / болевой синдром | Артродез in situ |
Тип 3 | Тип II: + вальгус / варус | Дополнительно угловая деформация заднего отдела стопы: вальгус / варус | Корригирующий артродез подтаранного сустава с асимметричной резекцией хряща, использование костного трансплантата; остеотомии пяточной кости |
Тип III: + потеря высоты пяточной кости | Дополнительно потеря высоты пяточной кости | Дистракционный костно-пластический артродез подтаранного сустава, выполнение остеотомии пяточной кости при тяжёлых посттравматических деформациях | |
Тип IV: + латеральная дислокация пяточной кости | Дислокация бугристости пяточной кости латерально и краниально (посттравматические деформации, последствия переломов и переломовывихов) | Корригирующая остеотомия вдоль линии перелома с последующим подтаранным артродезом и костной ауто-/аллопластикой | |
Тип V: + наклон таранной кости | Асимметричная деформация с глубокой импрессией тарана с вторичной асимметрией в «вилке» голеностопного сустава | Корригирующая остеотомия / артродез, открытая ревизия голеностопного сустава, коррекция мышечного баланса | |
После проведения анестезиологического пособия (спинальная анестезия) проводился задне-наружный, продольный или слегка дугообразный (дистально) доступ между наружной лодыжкой и ахилловым сухожилием до подошвенной поверхности стопы (при отсутствии предыдущего послеоперационного рубца) (рис. 1).
Рис. 1. I-образный доступ по Gallie. Пунктиром показано горизонтальное положение таранной кости.
Fig. 1. I-shaped approach according to Gallie. The dotted line indicates the horizontal position of the talus.
Остро формировался полнослойный субпериостальный кожно-фасциальный лоскут. При помощи широкого остеотома поводилась резекция «вздутой» наружной стенки пяточной кости. Устанавливался пиновый или лапчатый дистрактор, проводилось удаление рубцовой ткани и остатков хряща с таранной и пяточных костей, затем — остеоперфорация сверлом 2,0 мм.
При наличии у пациента угловой деформации заднего отдела стопы (вальгус более 15 градусов, варус от 0 градусов и более) проводилась корригирующая остеотомия пяточной кости.
По стандартной методике осцилляторной пилой и остеотомом выполнялся забор кортикально-губчатого аутотрансплантата требуемой величины из гребня подвздошной кости. Трансплантат был разделён на два костных блока, которые имплантировались между таранной и пяточной костями (рис. 2).
Рис. 2. Дистракция подтаранного сустава, имплантация двух костных аутоплантатов. Пунктиром показано восстановление угла инклинации таранной кости.
Fig. 2. Subtalar joint distraction and implantation of two autologous bone grafts. The dotted line indicates restoration of the talar inclination angle.
Идеальное положение заднего отдела стопы после установки трансплантатов и металлоконструкции — вальгус 5 градусов. Большеберцово-таранно-пяточная ось всегда учитывалась интраоперационно путём поднятия конечности, экстензии колена, дорсифлексии стопы. Далее проводился окончательный металлоостеосинтез двумя канюлированными винтами 5,5 или 7,0 мм.
Динамическая педобарография: исследование функциональных параметров стопы на программно-аппаратном комплексе F-Scan Mobile
Для данного исследования совместно с ортопедическим центром «Персей» была изготовлена обувь на ортопедической колодке. Она имела 5 типов размеров — с 36-го по 44-й, по размерному шаблону стельки F-Scan Mobile подготавливались и устанавливались в обувь (рис. 3).
Рис. 3. Модуль регистрации и стельки АПК F-Scan, экспериментальная стандартизированная обувь «Персей».
Fig. 3. Clinical Gait Analysis F-Scan Mobile, registration module and insoles, “Perseus” experimental standardized footwear.
После калибровки прибора проводилась тестовая ходьба по прямой, минимум 20 шагов. Далее включалась запись. Исследование биомеханики ходьбы включало: (1) ходьбу по прямой, расстояние 30 м, туда и обратно; (2) ходьбу на беговой дорожке, S=1,5 км/ч, угол наклона — 0 градусов; (3) ходьбу на беговой дорожке, S=1,5 км/ч, угол наклона — 10 градусов (рис. 4).
Рис. 4. Тестирование пациента Г. а — ходьба на тредмиле, угол наклона 0 градусов, b — ходьба на тредмиле, угол наклона 10 градусов.
Fig. 4. Testing of patient G. а — is walking on a treadmill, an angle of inclination of 0 degrees, b — is walking on a treadmill, an angle of inclination of 10 degrees.
Данное исследование позволяло определить подошвенное давление разных областей стопы во время всего цикла ходьбы: от удара пяткой до отрыва носка. Зоны (области) стопы можно разделить на 8 составляющих: (1, 2) задний и средний отдел стопы, (3, 4) головка первой и второй плюсневой кости, (5) головка третьей-пятой плюсневой кости, (6, 7) первый и второй палец стопы, (8) с третьего по пятый палец стопы. Данные были записаны с использованием программного обеспечения F-Scan Mobile.
Для каждой интересующей области и стопы в целом были рассчитаны следующие параметры: интеграл давления по времени, пиковое / максимальное давление, время и площадь контакта. Также измерялся центр силы (центр линии подошвенного давления) для всей поверхности стопы.
Исходы исследования
Основной конечной точкой исследования был клинический исход. Учитывая совокупность клинических результатов лечения пациентов, выделяли четыре вида исходов: отличный, хороший, удовлетворительный и неудовлетворительный.
Дополнительными конечными точками были:
- оценка по визуальной аналоговой шкале (ВАШ);
- оценка по шкале Американской ассоциации ортопедов стопы и голеностопного сустава (American Orthopaedic Foot and Ankle Society, AOFAS) для заднего отдела стопы (hind foot);
- субъективная оценка результатов лечения пациентами.
Методы регистрации исходов
Оценка результатов лечения пациентов, принявших участие в исследовании, проводилась в интервале 12 и 24 мес. после операции.
Для оценки использованы результаты инструментальных методов исследования до операции и после завершения лечения:
- функциональные рентгенограммы (стоя) обеих стоп в прямой, боковой и проекции Зальцмана (определение большеберцово-таранно-пяточной соосности), при необходимости также выполнялась прямая проекция голеностопных суставов;
- компьютерная томография (КТ) обеих стоп; исследование функциональных параметров стопы АПК F-Scan Mobile;
- ультразвуковое исследование;
- электронейромиография и магнитно-резонансная томография по клиническим показаниям.
Оценка по ВАШ и AOFAS для заднего отдела стопы (hind foot) проводилась до операции и через 6 и 12 мес. после неё (табл. 2).
Таблица 2. Оценка результатов ВАШ и AOFAS через 6 и 12 мес. после операции
Table 2. VAS and AOFAS scores 6 and 12 months postoperatively
Оценка | AOFAS | ВАШ |
До операции | 42 (39–72) | 5,1 (9–2) |
12 мес. после операции | 85 (60–92) | 0,8 (3–0) |
Примечание. ВАШ — визуальная аналоговая шкала, AOFAS — шкала оценки результатов лечения деформации переднего отдела стопы.
Этическая экспертиза
Все пациенты подписали информированное согласие на лечение. Детализирующая информация, способствующая персонификации включённых в исследование пациентов, отсутствует. По результатам рассмотрения документов Комитет по этике при ФГБУ «НМИЦ ТО им. Н.Н. Приорова» Минздрава России принял решение об отсутствии нарушений норм биомедицинской этики при исполнении исследования и одобряет проведение данной клинической работы (протокол № 1/22 от 26 декабря 2022 года).
Статистический анализ
Статистический анализ выполнялся с использованием программного обеспечения Windows 10, с применением парного двустороннего t-критерия для сравнения предоперационных и послеоперационных параметров. Нормальное распределение было подтверждено с помощью критерия хи-квадрат. Корреляция проводилась между оценкой по ВАШ, AOFAS, результатами рентгенологического исследования и динамической педобарографии. Значимость предполагалась при р <0,05.
РЕЗУЛЬТАТЫ
Участники исследования
В выборку включены 27 пациентов с тяжёлой посттравматической деформацией пяточной кости, из них 7 женщин и 20 мужчин, средний возраст которых составил 35 лет (от 22 до 56 лет).
Среднее время от момента травмы до оперативного лечения — 24,8 мес. (от 9 до 72 мес.). Средний период наблюдения составил 26,2 мес. (от 12 до 56 мес.).
Механизм повреждения: у троих пациентов — дорожно-транспортное происшествие, у 24 пациентов повреждение связано с падением с высоты (кататравма). Сторона повреждения: правая — 10 стоп, левая — 17 стоп. Девять пациентов имели сочетанные травмы, такие как закрытая черепно-мозговая травма, компрессионные переломы позвонков, таранной кости, дистального метаэпифиза лучевой кости и костей предплечья, большеберцовой кости, бедра и костей таза. 15 пациентов лечились консервативно гипсовой иммобилизацией 8–14 недель, 12 пациентов с открытыми и закрытыми переломами пяточной кости были оперированы в ранние сроки после травмы. Объём хирургического вмешательства был следующим: 4 пациента — открытая репозиция, металлоостеосинтез пластиной; 4 пациента — скелетное вытяжение, далее — фиксация спицами; 2 пациента — фиксация в аппарате наружной фиксации; 1 пациент — закрытая репозиция с фиксацией винтами; 1 пациент — закрытая репозиция с фиксацией спицами. У 4 пациентов диагностирован ложный сустав пяточной кости, отмечены три случая переднего отростка пяточной кости, один случай ложного сустава тела пяточной кости (табл. 3).
Таблица 3. Сведения о пациентах
Table 3. Patient characteristics
№ | Пол | Возраст | Время от травмы до операции, мес | Механизм травмы | Сторона | Сочетанная травма | Предыдущее лечение | Объём операции | Время операции, мин | Осложнения | ВАШ | AOFAS | ||
до | после | до | после | |||||||||||
1 | Ж | 25л | 24 | Кататравма | П | – | Гипс | ДПА+Cot+ХЭ | 90 | ИОХВ | 4 | 1 | 60 | 90 |
2 | М | 43г | 9 | Кататравма | П | Перелом позвонков | Гипс | ДПА+МОПК | 85 | – | 3 | 0 | 65 | 88 |
3 | Ж | 41г | 11 | Кататравма | Л | – | Гипс | ДПА+ЛОПК+Dw+РО | 80 | – | 6 | 2 | 39 | 75 |
4 | М | 42г | 19 | Кататравма | П | – | – | ДПА | 105 | Замедленная консолидация | 5 | 1 | 51 | 86 |
5 | Ж | 56л | 42 | Кататравма | Л | – | Гипс | ДПА+МОПК | 90 | – | 4 | 0 | 66 | 92 |
6 | М | 55л | 26 | ДТП | Л | Перелом лучевой кости | Гипс | ДПА+N | 75 | – | 3 | 0 | 62 | 80 |
7 | М | 42г | 12 | Кататравма | Л | Перелом таранной кости | Опер. | ДПА+ЛОПК+Dw+РО | 100 | n.suralis | 5 | 1 | 43 | 78 |
8 | М | 38л | 9 | Кататравма | Л | ЗЧМТ, перелом ББ кости; ЛС | Опер. | ДПА | 115 | – | 9 | 2 | 48 | 83 |
9 | М | 47л | 10 | Кататравма | П | – | Опер. | ДПА+МОПК+РО | 90 | – | 4 | 1 | 51 | 84 |
10 | Ж | 54г | 13 | ДТП | Л | – | Опер. | ДПА+МОПК+Cot+ХЭ | 115 | Варус | 6 | 1 | 41 | 79 |
11 | М | 23г | 14 | Кататравма | П | – | Опер. | ДПА+МОПК+РО | 85 | – | 2 | 0 | 65 | 91 |
12 | М | 36л | 41 | Кататравма | Л | Перелом позвонков | Гипс | ДПА+МОПК+РО | 90 | – | 3 | 1 | 60 | 88 |
13 | М | 33г | 60 | Кататравма | П | – | Гипс | ДПА+МОПК | 100 | N.suralis | 5 | 0 | 55 | 86 |
14 | М | 31г | 14 | Кататравма | П | Перелом предплечья; ЛС | Опер. | ДПА+ПКА+РО | 140 | Варус | 3 | 1 | 52 | 82 |
15 | М | 31г | 17 | Кататравма | Л | Перелом ББ кости; ЛС | Гипс | ДПА+МОПК+КППК+РО | 140 | – | 4 | 1 | 57 | 88 |
16 | М | 44г | 20 | Кататравма | П | – | Опер. | ДПА+МОПК | 110 | ИОХВ | 2 | 3 | 58 | 60 |
17 | М | 47л | 26 | Кататравма | Л | – | Опер. | ДПА+РО | 120 | – | 3 | 72 | 90 | |
18 | М | 28л | 15 | Кататравма | Л | Перелом бедра, костей таза | Опер. | ДПА+ЛОПК+Dw | 145 | Варус | 4 | 1 | 60 | 80 |
19 | М | 35л | 72 | Кататравма | Л | – | Гипс | ДПА+МОПК+РО | 130 | – | 4 | 1 | 55 | 88 |
20 | Ж | 33г | 44 | ДТП | Л | Перелом ББ кости; ЛС | Опер. | ДПА+ЛОПК+КППК+РО | 170 | Варус | 2 | 0 | 59 | 90 |
21 | М | 31г | 9 | Кататравма | Л | – | Гипс | ДПА+МОПК+РО | 130 | – | 6 | 1 | 43 | 85 |
22 | М | 30л | 11 | Кататравма | П | – | Гипс | ДПА+НОПК+РО | 140 | – | 8 | 1 | 51 | 84 |
23 | Ж | 22г | 22 | Кататравма | Л | – | Гипс | ДПА+НОПК+РО | 160 | Винт удалён | 5 | 0 | 63 | 87 |
24 | М | 58л | 37 | Кататравма | Л | – | Гипс | ДПА | 95 | – | 4 | 1 | 60 | 87 |
25 | М | 58л | 12 | Кататравма | П | – | Гипс | ДПА+ЛОПК | 115 | – | 3 | 0 | 58 | 79 |
26 | М | 60л | 62 | Кататравма | Л | – | Опер. | ДПА | 100 | – | 6 | 2 | 51 | 88 |
27 | Ж | 50л | 21 | Кататравма | Л | – | Опер. | ДПА | 120 | – | 2 | 1 | 55 | 80 |
Примечание. ВАШ — визуальная аналоговая шкала, AOFAS — шкала оценки результатов лечения деформации переднего отдела стопы, ДПА — дистракционный подтаранный артродез, ПКА — пяточно-кубовидный артродез, КППК — костная аутопластика переднего отростка пяточной кости, МОПК — медиализирующая остеотомия пяточной кости, ЛОПК — латерализирующая остеотомия пяточной кости, НОПК — низводящая остеотомия пяточной кости, Dw — закрытоугольная остеотомия пяточной кости по Dwyer, Cot. — открытоугольная остеотомия медиальной клиновидной кости по Cotton, РО — резекция остеофитов пяточной кости, ХЭ — хейлэктомия (резекция тыльных остеофитов первой плюсневой кости и проксимальной фаланги первого пальца), N — невролиз, декомпрессии большеберцового или икроножного нерва, ЛС — ложный сустав, ЗЧМТ — закрытая черепно-мозговая травма, ББ — большеберцовая.
С учётом классификации посттравматических деформаций пяточной кости по Zwipp / Rammelt из 27 пациентов тип III отмечался у 24 человек, тип IV — у 3.
Основные результаты исследования
Средний показатель ВАШ до операции составил 5,1 (от 9 до 2), после операции — 0,8 (от 3 до 0), отмечено значительное снижение болевого синдрома (р >0,001). Показатели ВАШ представлены в табл. 2 и на рис. 5.
Рис. 5. Показатель ВАШ до операции и через 12 мес. после неё. ВАШ — визуальная аналоговая шкала.
Fig. 5. VASH before the operation and 12 months after it. ВАШ — visual analog scale.
Средний показатель AOFAS заднего отдела стопы до операции составил 42 (от 39 до 72), после операции — 85 (от 60 до 92), также отмечено улучшение показателей опросника (р >0,001). Показатели AOFAS представлены в табл. 2 и на рис. 6.
Рис. 6. Показатели AOFAS до операции и через 12 мес. после неё. AOFAS — шкала оценки результатов лечения деформации заднего отдела стопы.
Fig. 6. AOFAS before the operation and 12 months after it. AOFAS — a scale for evaluating the results of treatment of hindfoot deformity.
Было получено незначительное улучшение показателей гониометрии голеностопного сустава: активная дорсифлексия, среднее значение до операции — 6 градусов (от 0 до 20 градусов), после операции — 10 градусов (от 5 до 25 градусов).
Отмечено, что активная плантарфлексия голеностопного сустава уменьшилась с 18 градусов (от 15 до 30 градусов) — среднее значение до операции до 12 градусов (от 10 до 20 градусов) — среднее значение после операции.
Осложнения наблюдались у 13 пациентов, 2 пациентам потребовалось повторное хирургическое вмешательство (7%). Полученные осложнения включали:
- инфекции области хирургического вмешательства (ИОХВ). Поверхностная ИОХВ была отмечена у одного пациента — отхождение послеоперационной гематомы с частичным расхождением краёв раны. После этапных перевязок и антибиотикотерапии через 2,5 мес. — заживление вторичным натяжением, повторных хирургических вмешательств не потребовалось. Глубокая ИОХВ отмечалась у пациента 44 лет, который был ранее оперирован в 2020 г., — открытая репозиция, металлоостеосинтез спицами. Через 3 мес. после выполнения дистракционного артродеза пациенту проведена ревизионная операция — удаление металлоконструкции и трансплантатов, секвестрнекрэктомия. Раны зажили вторичным натяжением, повторной реконструктивно-пластической операции не потребовалось;
- невропатия ветвей икроножного нерва — у 6 пациентов, у 4 отмечалось восстановление чувствительности через 4–6 мес., у 2 пациентов гипостезия не регрессировала. Болезненных невром n. suralis отмечено не было;
- замедленная консолидация — у одного пациента 42 лет, который признался, что продолжал курить после операции. Сращение было отмечено в сроке 11 мес. после операции. Повторного хирургического вмешательства не потребовалось;
- остаточная варусная деформация заднего отдела стопы — у 4 пациентов. На аксиальной проекции варус — 0–10 градусов, одному пациенту потребовалась повторная операция — корригирующая остеотомия бугра пяточной кости по Dwyer с латерализацией. Консолидация состоялась в стандартные сроки, заживление и восстановление прошли без осложнений.
Рентгенологические данные
Костный пяточно-таранный анкилоз был достигнут у всех 27 пациентов, что подтверждалось лучевыми методами исследования — КТ и рентгенологическим.
Средние значения до- и послеоперационных рентгенологических измерений приведены в табл. 4.
Таблица 4. Средние значения до- и послеоперационных рентгенологических измерений
Table 4. Mean pre- and postoperative radiographic measurements
Измерение | До операции | После операции (12 мес.) | Здоровая стопа |
Высота таранной и пяточной кости, мм | 68 (52–78) | 82 (71–89) | 82 (71–92) |
Угол наклона пяточной кости, гр. | 8 (0–17) | 18 (10–22) | 25 (14–30) |
Угол инклинации таранной кости, гр. | 6 (-8–16) | 20 (12–26) | 22 (16–28) |
Угол наклона таранной кости, гр. | 8 (-2–19) | 17 (10–22) | 20 (13–26) |
Таранно-пяточный угол, гр. | 10 (0–22) | 23 (13–31) | 30 (19–35) |
Несмотря на то, что показатели высоты таранной и пяточной кости (ВТПК), таранно-пяточного угла (ТПУ), угла наклона таранной кости (УНТК), угла инклинации таранной кости (УИТК) значительно улучшились после дистракционного подтаранного артродеза (р <0,001), они не могли полностью соответствовать показателям здоровой контралатеральной стопы. Угол наклона пяточной кости (УНПК) можно было частично скорректировать за счёт низводящей остеотомии бугра пяточной кости.
До хирургического лечения у 14 пациентов дополнительно отмечались остеоартроз голеностопного, таранно-ладьевидного, пяточно-кубовидного суставов (I–III стадии по Н.С. Косинской), из них у 3 пациентов — остеоартроз голеностопного сустава II стадии, у 1 пациента — I стадии; остеоартроз таранно-ладьевидного сустава: у 1 пациента — III стадии, у 2 — II стадии, у 1 — I стадии; остеоартроз пяточно-кубовидного сустава: у 2 пациентов — III стадии, у 1 — II стадии, у 1 — I стадии. После хирургического лечения из 27 пациентов у двоих отмечено прогрессирование остеоартроза голеностопного сустава II стадии (7,4%) и у троих — таранно-ладьевидного и пяточно-кубовидного суставов II–III стадии (11,1%).
Результаты динамического исследования функциональных параметров стопы
Показатели пикового давления для всей стопы увеличились с 67,9±23,4 Н/см2 до коррекции до 80,8±27,1 Н/ см2 после коррекции (р <0,03), для здоровой контралатеральной конечности эти значения составили 78,9±28,1 Н/ см2. Из этого следует, что после хирургической коррекции значения пикового давления для оперированной стопы были приближены к нормальным показателям.
Средний интеграл давления как общий показатель нагрузки на стопу увеличился как на оперированной стопе — с 35,4±14,5 до 38,7±15,0 Н/см2, так и на нетравмированной стопе — с 40,5±14,9 до 43,6±16,2 Н/см2.
Среднее время контакта пятки значительно уменьшилось: до операции — 640±166 мс, после операции — 515±141 мс (р <0,003). Эти показатели были схожи со значениями здоровой стопы — 530±177 мс соответственно.
Среднее значение давления на задний отдел стопы (пятка) снизилось после операции, для среднего отдела стопы — умеренно увеличилось. Также отмечено значительное увеличение среднего давления на 3–5-ю и 8-ю области стопы, которое было приближено к значениям контралатеральной конечности.
Субъективная оценка результатов
Субъективная оценка результатов лечения: 5 пациентов (18,5%) — отличный результат, 14 пациентов (51,8%) — хороший, 7 пациентов (25,9%) — удовлетворительный, один пациент (3,8%) оценил результат лечения как неудовлетворительный.
ОБСУЖДЕНИЕ
Артродез подтаранного сустава in situ успешно выполняется при сросшихся со смещением переломах пяточной кости. Однако если не учитывается грубое нарушение анатомических параметров пяточной кости (изменение высоты, ширины, длины), угловая деформация с нарушением большеберцово-таранно-пяточной соосности, наличие болезненных остеофитов пяточной кости, выполнение изолированного пяточно-таранного артродеза будет недостаточным [3, 4, 6, 12–15]. В. Carr первым описал дистракционный артродез подтаранного сустава для лечения тяжёлой посттравматической деформации пяточной кости [3, 5, 11]. В нашем исследовании мы использовали два костных трикортикальных аутотрансплантата из гребня подвздошной кости и во всех случаях получили 100% сращение. H.J. Trnka при использовании аллотрансплантатов в 4 случаях не получил консолидации (анкилоза) и отказался от рутинного использования алломатериалов для костно-пластического подтаранного артродеза [7, 8, 16, 17].
В работах Н.С. Коновальчука и Г.В. Коробушкина были описаны основные постулаты, когда есть прямые показания к выполнению дистракционного артродеза подтаранного сустава: на рентгенограммах угол инклинации таранной кости — менее 6,5 градуса [3, 4]. M.S. Myerson и G.E. Quill пришли к выводу, что дистракционный артродез следует выполнять при потере таранно-пяточной высоты более 8 мм [18].
Заднелатеральный продольный доступ по Gallie наиболее предпочтителен при дистракционном артродезе: он был выполнен 25 пациентам, и мы не получили ни одного осложнения, связанного с доступом [19]. Двоим пациентам выполнен расширенный L-образный доступ, так как они ранее были оперированы, после удаления металлоконструкции поперечный разрез был сразу ушит, и только после этого мы переходили к дистракции и имплантации костных аутоплантатов. Было отмечено, что при дистракции закрытие дистального разреза при L-образном доступе может привести к проблеме с заживлением кожных покровов в послеоперационном периоде [5, 20].
Учитывая, что у 25 пациентов отмечался положительный тест Сильвершельда, проводилась манипуляция по удлинению ахиллова сухожилия — по Strayer (20 пациентов) и Hoke (5 пациентов). Анализ публикаций по данной тематике показал, что удлинению ахиллова сухожилия уделяется мало внимания. Мы пришли к выводу, что при одномоментной дистракции и коррекции деформации пяточной кости в сагиттальной (вальгус / варус) и фронтальной плоскостях (плантаризация, то есть низведение бугра пяточной кости) необходимо устранение контрактуры икроножно-камбаловидного комплекса путём его удлинения [2, 5, 21–23].
Также мы не нашли в отечественной литературе проспективного исследования, посвящённого лечению посттравматической деформации пяточной кости путём выполнения дистракционного костно-пластического артродеза и одномоментной корригирующей остеотомии пяточной кости с анализом динамической педобарографии и её корреляции с клиническими и рентгенологическими результатами.
Важными рентгенологическими параметрами являются ВТПК и УИТК, которые в значительной мере поддаются коррекции после операции. Проводя анализ рентгенограмм через 12–24 мес., мы пришли к выводу, что при установке двух аутоплантатов возможна импрессия с потерей коррекции на 1–1,5 мм, при имплантации одного костного блока — на 3 мм и более. Данные выводы схожи с наблюдениями S.C. Chan и I.J. Alexander, которые описали среднее снижение ВТПК на 4,7 мм через 18 мес. после дистракционного артродеза [24, 25].
Угол Белера не подходит для оценки результатов подтаранного артродеза, поскольку таранно-пяточное сочленение анкилозирует с костными блоками, а верхняя граница пяточной кости декортицирована и, следовательно, чётко не очерчена [6, 26, 27]. Поэтому в нашем исследовании мы не учитывали угол Белера на боковых рентгенограммах.
Показанием к выполнению корригирующей остеотомии пяточной кости является наличие у пациента угловой деформации заднего отдела стопы: вальгус более 15 градусов, варус 0 и более градусов. При вальгусной деформации выполнялась медиализация бугра пяточной кости на 8–10 мм, также низведение на 1 см, при варусной деформации до 10 градусов — латерализация бугра пяточной кости на 5–7 мм, более 10 градусов — закрытоугольная остеотомия по Dwyer с последующей латерализацией пяточного бугра. Это также было освещено в работах Н. Zwipp, А. Farouk, R.M. Atkins, где авторы выполняют остеотомию пяточной кости при тяжёлых деформациях с нарушением соосности заднего отдела стопы [23, 28–31].
Интраоперационным ориентиром после корригирующей остеотомии является вальгус заднего отдела стопы 5 градусов [20]. В нашем исследовании это было подтверждено динамической педобарографией (АПК F-Scan Mobile). При анкилозе подтаранного сустава возможна минимальная инверсия в поперечном суставе предплюсны (Шопар). Пяточно-таранный анкилоз приводит к дополнительной нагрузке на наружную колонну стопы, увеличивает давление на латеральный отдел средней и передней части стопы. Увеличение нагрузки на наружную колонну стопы может приводить к прогрессированию артроза в пяточно-кубовидном суставе, боли в проекции основания пятой плюсневой кости.
На предоперационном планировании важно учитывать объём необходимой дистракции. Он может быть ограничен мягкими тканями, мышечной ригидностью и контрактурой ахиллова сухожилия, которая постепенно формируется у пациентов с посттравматической деформацией пяточной кости. Максимальная пяточно-таранная дистракция может привести к увеличению некроза кожи, боли в месте инсерции ахиллова сухожилия, тракционной невралгии икроножного и большеберцового нервов [7, 16].
Невропатия икроножного нерва — частое осложнение при дистракционном артродезе подтаранного сустава, по данным различных авторов, встречаемость данной проблемы в процентном соотношении составляет от 0 до 20 [32, 33].
В нашем исследовании невропатия икроножного нерва была у 6 пациентов (22%), у 4 пациентов отмечено восстановление чувствительности через 4–6 мес., у 2 пациентов (7,4%) гипостезия не регрессировала. Болезненных невром n.suralis отмечено не было, повторного вмешательства не потребовалось.
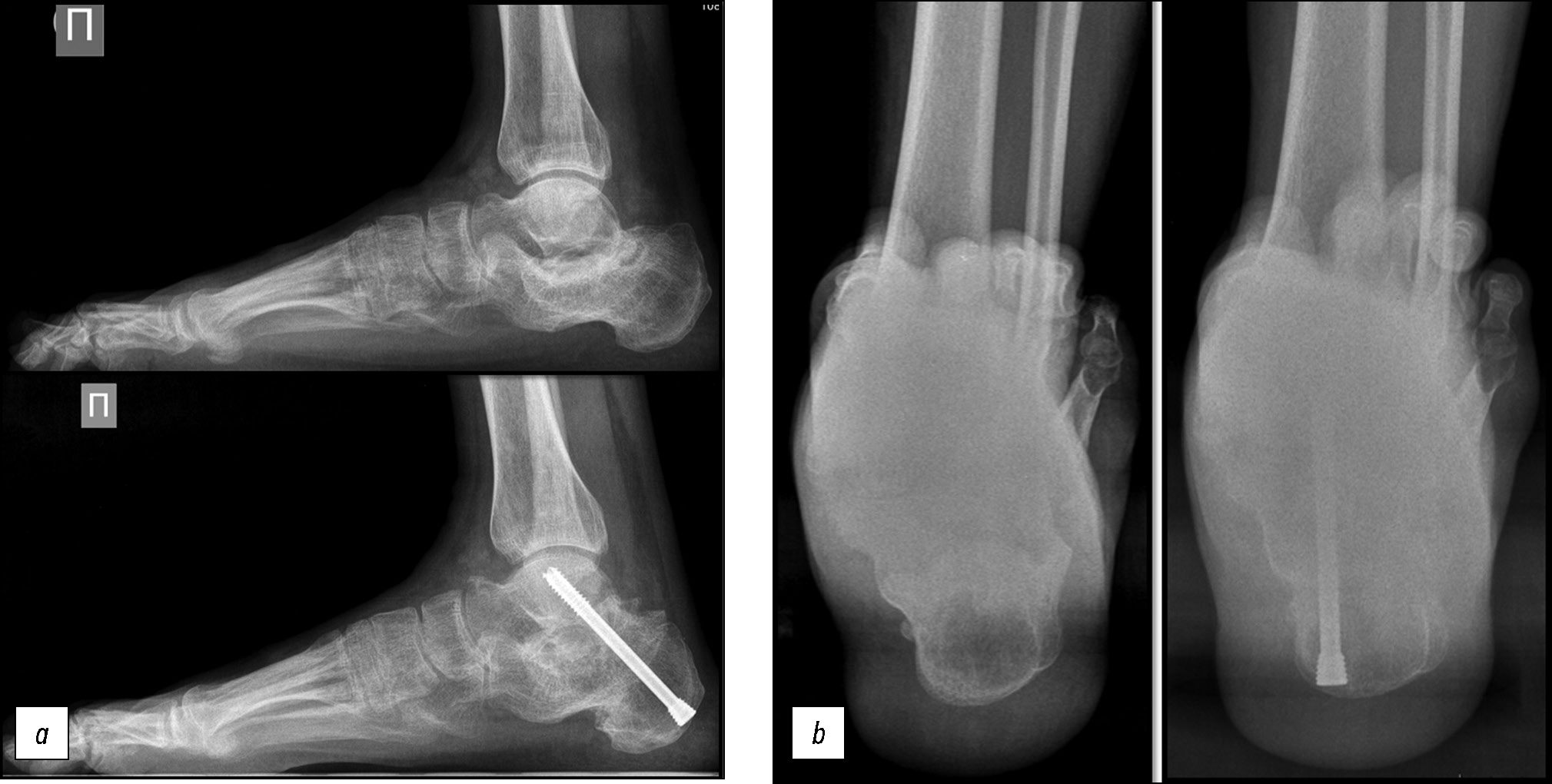
Клинический случай
Представлен результат лечения пациента М., 31 года, в анамнезе кататравма, лечение консервативное, гипсовая иммобилизация. Через 11 мес. после травмы пациенту выполнена операция в следующем объёме: (1) удлинение правого ахиллова сухожилия по Страйеру; (2) краевая резекция наружной стенки пяточной кости, декомпрессия малоберцовых сухожилий; (3) корригирующая остеотомия правой пяточной кости с низведением; (4) дистракционный артродез подтаранного сустава, металлоостеосинтез; (5) тенотомия короткого сгибателя второго-пятого пальцев; (6) мини-инвазивная остеотомия проксимальной фаланги четвёртого-пятого пальцев (рис. 7).
Рис. 7. Рентгенограммы пациента М. в боковой проекции (a) и проекции Зальцмана (b) до операции и через 12 мес. после неё.
Fig. 7. X-ray of patient M. in the lateral (a) and Saltzman projection (b) before surgery and 12 months after it.
Все пациенты, принявшие участие в исследовании, были вызваны на контрольный осмотр через 8 и 14 недель после операции. Через 2 мес. после операции пациенты проходили КТ-исследование оперированной стопы, где основным показателем была перестройка аутоплантатов с начальными явлениями формирования таранно-пяточного анкилоза. Через 3,5 мес. после операции выполнялись нагрузочные рентгенограммы стоп в трёх проекциях. На рентгенограммах стоп в боковой проекции оценивались следующие параметры: высота таранной и пяточной кости, мм; угол наклона пяточной кости, мм; угол наклона пяточной кости, градусы; угол инклинации таранной кости, градусы; угол наклона таранной кости, градусы; таранно-пяточный угол, градусы (рис. 8). Большеберцово-таранно-пяточное положение и его соосность оценивались на функциональных рентгенограммах стоп в проекции Зальцмана.
Рис. 8. Рентгенограмма нормальной стопы в боковой проекции с нагрузкой, демонстрирующая рентгенографические параметры заднего отдела стопы. a — высота таранной и пяточной кости, b — угол наклона пяточной кости, c — угол инклинации таранной кости, d — угол наклона таранной кости, e — таранно-пяточный угол.
Fig. 8. Weight-bearing lateral radiograph of a normal foot demonstrating radiographic measurements for hindfoot alignment. a — talocalcaneal height, b — calcaneal pitch angle, c — talar inclination angle, d — talus declination angle, e — lateral talocalcaneal angle.
Оценка результатов до и после операции проводилась по единому протоколу одним доктором. В протокол были включены следующие параметры: жалобы, опросник ВАШ (0–10 баллов), AOFAS (0–94 балла, так как инверсия / эверсия была исключена), повседневная активность, выход на работу, занятия спортом. Клиническое обследование включало оценку послеоперационного рубца, наличие отёка, невропатии икроножного и большеберцового нерва, необходимость ношения индивидуальной ортопедической обуви, гиперкератозы, способность ходить на пятках, полупальцах, наличие триггерных зон в стопе и голеностопном суставе. Также проводилась гониометрия голеностопного сустава, объём движений сравнивался с контралатеральной конечностью.
ЗАКЛЮЧЕНИЕ
Дистракционный артродез выполнялся пациентам при тяжёлой посттравматической деформации пяточной кости, то есть на боковых рентгенограммах определялись отрицательный угол Белера, угол инклинации таранной кости менее 8 градусов, тип III, IV по классификации Zwipp / Rammelt. Дистракция необходима для восстановления высоты пяточной кости и нормальных взаимоотношений заднего отдела стопы в целом. При использовании задне-наружного доступа по Gallie мы не получили серьёзных осложнений с заживлением раны. В качестве костной пластики из гребня подвздошной кости были забраны два аутотрансплантата, фиксация проводилась двумя канюлированными безголовчатыми винтами. Костное сращение было зарегистрировано в 100% случаев. При тяжёлой многокомпонентной деформации пяточной кости в обязательном порядке были выполнены удлинение ахиллова сухожилия, резекция наружной стенки, декомпрессии малоберцовых сухожилий, корригирующая остеотомия пяточной кости, дистракционный подтаранный костно-пластический артродез, а также, по показаниям, коррекция деформации среднего и переднего отдела стопы, то есть вмешательство на всём сегменте. За одну хирургическую сессию проводилось 5 и более процедур. Пациенты были удовлетворены результатом лечения, который был подтверждён не только клинически, рентгенологически, но и путём биомеханического исследования, при помощи динамической педобарографии. Из минусов: в исследовании не учитывались пациенты после корригирующей остеотомии пяточной кости по линии перелома по методике Romash.
ДОПОЛНИТЕЛЬНАЯ ИНФОРМАЦИЯ
Вклад авторов. Все авторы одобрили финальную версию перед публикацией, а также согласились нести ответственность за все аспекты работы, гарантируя надлежащее рассмотрение и решение вопросов, связанных с точностью и добросовестностью любой её части.
Источники финансирования. Отсутствуют.
Раскрытие интересов. Авторы заявляют об отсутствии отношений, деятельности и интересов (личных, профессиональных или финансовых), связанных с третьими лицами (коммерческими, некоммерческими, частными), интересы которых могут быть затронуты содержанием статьи, а также иных отношений, деятельности и интересов за последние три года, о которых необходимо сообщить.
Оригинальность. При создании настоящей работы авторы не использовали ранее опубликованные сведения (текст, данные).
Генеративный искусственный интеллект. При создании настоящей статьи технологии генеративного искусственного интеллекта не использовали.
Рассмотрение и рецензирование. Настоящая работа подана в журнал в инициативном порядке и рассмотрена по обычной процедуре. В рецензировании участвовали два внешних рецензента, член редакционной коллегии и научный редактор издания.
Информированное согласие на публикацию. Авторы получили письменное согласие пациентов на публикацию их медицинских данных и фотографий (31.10.2023 г.).
ADDITIONAL INFORMATION
Author contributions: All the authors approved the final version of the manuscript to be published and agreed to be accountable for all aspects of the work, ensuring that questions related to the accuracy or integrity of any part of the work are appropriately investigated and resolved.
Funding sources: No funding.
Disclosure of interests: The authors have no relationships, activities, or interests (personal, professional, or financial) related to for-profit, not-for-profit, or private third parties whose interests may be affected by the content of the article, as well as no other relationships, activities, or interests in the past three years to disclose.
Statement of originality: No previously published material (text, or data) was used in this article.
Generative AI: No generative artificial intelligence technologies were used to prepare this article.
Provenance and peer-review: This paper was submitted unsolicited and reviewed following the standard procedure. The peer review process involved two external reviewers, a member of the editorial board, and the in-house scientific editor.
Consent for publication: Written informed consent was obtained from all patients for the publication of their medical data and images (October 31, 2023).
Об авторах
Анатолий Корнеевич Орлецкий
Национальный медицинский исследовательский центр травматологии и ортопедии им. Н.Н. Приорова
Email: nova495@mail.ru
д-р мед. наук, профессор
Россия, 127299, Москва, ул. Приорова, д. 10Игорь Семёнович Косов
Национальный медицинский исследовательский центр травматологии и ортопедии им. Н.Н. Приорова
Email: kozeti@mail.ru
ORCID iD: 0009-0008-7053-7213
SPIN-код: 3260-8950
д-р мед. наук
Россия, 127299, Москва, ул. Приорова, д. 10Константин Викторович Шкуро
Национальный медицинский исследовательский центр травматологии и ортопедии им. Н.Н. Приорова
Автор, ответственный за переписку.
Email: shkuro_kostya@mail.ru
ORCID iD: 0009-0004-8259-7994
SPIN-код: 3442-1306
MD
Россия, 127299, Москва, ул. Приорова, д. 10Ирина Андреевна Арапова
Национальный медицинский исследовательский центр травматологии и ортопедии им. Н.Н. Приорова
Email: ryb4sirina@yandex.ru
ORCID iD: 0009-0005-7216-3065
MD
Россия, 127299, Москва, ул. Приорова, д. 10Дмитрий Олегович Васильев
Национальный медицинский исследовательский центр травматологии и ортопедии им. Н.Н. Приорова
Email: A-tendo@mail.ru
ORCID iD: 0000-0002-6573-3243
канд. мед. наук
Россия, 127299, Москва, ул. Приорова, д. 10Вадим Тофикович Зейналов
Национальный медицинский исследовательский центр травматологии и ортопедии им. Н.Н. Приорова
Email: zeinalov_vadim@mail.ru
ORCID iD: 0000-0002-4815-3685
SPIN-код: 2703-9129
канд. мед. наук
Россия, 127299, Москва, ул. Приорова, д. 10Анатолий Камалович Мурсалов
Национальный медицинский исследовательский центр травматологии и ортопедии им. Н.Н. Приорова
Email: tamerlanmursalov@gmail.com
ORCID iD: 0000-0002-3829-5524
SPIN-код: 9035-8198
канд. мед. наук
Россия, 127299, Москва, ул. Приорова, д. 10Виктор Александрович Мицкевич
Национальный медицинский исследовательский центр травматологии и ортопедии им. Н.Н. Приорова
Email: mitvictor@mail.ru
ORCID iD: 0009-0008-8392-8571
д-р мед. наук, профессор
Россия, 127299, Москва, ул. Приорова, д. 10Список литературы
- Shkuro KV, Zeinalov VT, Arapova IA, Levin AN, Vasiliev DO. Anatomical and functional guidelines for the correction hindfoot malalignment. N.N. Priorov Journal of Traumatology and Orthopedics. 2023;30(1):15–28. doi: 10.17816/vto321523 EDN: JEAFUQ
- Zeynalov VT, Samkov AS, Kardanov AA, et al. Complex surgical treatment as a method of correction of multicomponent deformation of the foot in casesof background posttraumatic deformations of the calcaneus. The Department of traumatology and orthopedics. 2017;4(30):17–26. EDN: YWESTY
- Konovalchuk NS, Sorokin EP, Lasunskiy SA, Fomichev VA, Chugaev DV. The main sources of pain in patients with consequences of calcaneal fractures: literature review and clinical observations. Mod Probl Sci Educ. 2018;(2):19. doi: 10.17513/spno.27465 EDN: XNYEIX
- Korobushkin G, Chebotarev V, Ishkinyaev I, Miroshnikova E. Case report. Treatment patient with malunited calcaneal fractures. Evaluation clinical outcome 11-years follow-up after reconstructive romash osteotomy with lateral decompression and subtalar arthrodesis. Traumatol Orthopаedics Kazakhstan. 2021;4(59):46–53. doi: 10.52889/1684-9280-2021-4-60-46-53 EDN: FQRCIF
- Rammelt S, Grass R, Zawadski T, Biewener A, Zwipp H. Foot function after subtalar distraction bone-block arthrodesis. A prospective study. J Bone Joint Surg Br. 2004;86(5):659–68. doi: 10.1302/0301-620X.86B5
- Rammelt S, Zwipp H. Corrective arthrodeses and osteotomies for post-traumatic hindfoot malalignment: indications, techniques, results. Int Orthop. 2013;37(9):1707. doi: 10.1007/S00264-013-2021-3
- Rammelt S, Marx C. Managing Severely Malunited Calcaneal Fractures and Fracture-Dislocations. Foot and Ankle Clinics. 2020;25(2):239–256. doi: 10.1016/j.fcl.2020.02.005
- Zwipp H, Rammelt S. Subtalare arthrodese mit calcaneus-osteotomie. Orthopade. 2006;35(4):387–404. doi: 10.1007/s00132-005-0923-5
- Kalensky VO, Ivanov PA. The main causes of unsatisfactory outcomes of treatment for foot injuries. Russ Sklifosovsky J “Emergency Med. Care”. 2018;7(2):122–128. doi: 10.23934/2223-9022-2018-7-2-122-128 EDN: UUOQXO
- Pakhomov IA. Development of a biomechanically sound method of treating patients with the consequences of calcaneal fractures consolidated in a vicious position, complicated by extensor contracture of the ankle joint. Polytrauma. 2010;(4):24–29. (in Russ.). EDN: NCGVWF
- Carr JB, Hansen ST, Benirschke SK. Subtalar distraction bone block fusion for late complications of os calcis fractures. Foot Ankle. 1988;9(2):81–86. doi: 10.1177/107110078800900204
- Easley ME, Trnka HJ, Schon LC, Myerson MS. Isolated subtalar arthrodesis. J Bone Joint Surg Am. 2000;82(5):613–624. doi: 10.2106/00004623-200005000-00002
- Flemister AS, Infante AF, Sanders RW, Walling AK. Subtalar arthrodesis for complications of intra-articular calcaneal fractures. Foot ankle Int. 2000;21(5):392–399. doi: 10.1177/107110070002100506
- Dahm DL, Kitaoka HB. Subtalar arthrodesis with internal compression for post-traumatic arthritis. J Bone Joint Surg Br. 1998;80(1):134–8. doi: 10.1302/0301-620X.80B1.7879
- Schepers T. The subtalar distraction bone block arthrodesis following the late complications of calcaneal fractures: a systematic review. Foot (Edinb). 2013;23(1):39–44. doi: 10.1016/j.foot.2012.10.004
- Trnka HJ, Easley ME, Lam PWC, et al. Subtalar distraction bone block arthrodesis. J Bone Joint Surg Br. 2001;83(6):849–54. doi: 10.1302/0301-620X.83B6.10537
- Chen YJ, Huang TJ, Hsu KY, et al. Subtalar distractional realignment arthrodesis with wedge bone grafting and lateral decompression for calcaneal malunion. J Trauma. 1998;45(4):729–37. doi: 10.1097/00005373-199810000-00018
- Myerson M, Quill GE. Late complications of fractures of the calcaneus. J. Bone Joint Surg Am. 1993;75(3):331–41. doi: 10.2106/00004623-199303000-00004
- Gallie WE. Subastragalar arthrodesis in fractures of the os calcis. J Bone Jt Surgery Am. 1943;25:731–736.
- Thompson MJ, Roukis TS. Management of Calcaneal Fracture Malunion with Bone Block Distraction Arthrodesis: A Systematic Review and Meta-Analysis. Clin Podiatr Med Surg. 2019;36(2):307–321. doi: 10.1016/j.cpm.2018.10.011
- Yu GR, Yu X. Surgical Management of Calcaneal Malunion. J Orthop. Trauma Rehabil. 2013;17(1):2–8. doi: 10.1016/j.jotr.2012.04.001
- Jackson JB, Jacobson L, Banerjee R, Nickisch F. Distraction Subtalar Arthrodesis. Foot and Ankle Clinics. 2015;20(2):335–51. doi: 10.1016/j.fcl.2015.02.004
- Shkuro KV, Zeinalov VT. Single plane transverse osteotomy of the calcaneus as a method of hindfoot correction in acquired static-dynamic deformations. Dep Traumatol Orthop. 2019;(2):21–31. doi: 10.17238/issn2226-2016.2019.2.21-31 EDN: WMOWYA
- Chan SC, Alexander IJ. Subtalar arthrodesis with interposition tricortical iliac crest graft for late pain and deformity after calcaneus fracture. Foot ankle Int. 1997;18(10):613–5. doi: 10.1177/107110079701801002
- Chung HJ, Bae SY, Choo JW. Mid-term follow up results of subtalar distraction arthrodesis using a double bone-block for calcaneal malunion. Yonsei Med J. 2014;55(4):1087–94. doi: 10.3349/ymj.2014.55.4.1087
- Rammelt S, Grass R, Zawadski T, Biewener A, Zwipp H. Foot function after subtalar distraction bone-block arthrodesis. A prospective study. J Bone Joint Surg Br. 2004;86(5):659–68. doi: 10.1302/0301-620X.86B5.14205
- Amendola A, Lammens P. Subtalar arthrodesis using interposition iliac crest bone graft after calcaneal fracture. Foot Ankle Int. 1996;17(10):608–14. doi: 10.1177/107110079601701004
- Zwipp H, Rammelt S. Posttraumatic deformity correction at the foot. Zentralbl Chir. 2003;128(3):218–26. doi: 10.1055/S-2003-38536
- Farouk A, Ibrahim A, Abd-Ella MM, El Ghazali S. Effect of Subtalar Fusion and Calcaneal Osteotomy on Function, Pain, and Gait Mechanics for Calcaneal Malunion. Foot Ankle Int. 2019;40(9):1094–1103. doi: 10.1177/1071100719853291
- Atkins RM. The treatment of calcaneal malunion. Foot Ankle Clin. 2014;19(3):521–40. doi: 10.1016/J.FCL.2014.06.016
- Banerjee R, Saltzman C, Anderson RB, Nickisch F. Management of calcaneal malunion. J Am Acad Orthop Surg. 2011;19(1):27–36. doi: 10.5435/00124635-201101000-00004
- Monaco SJ, Brandao RA, Manway JM, Burns PR. Subtalar Distraction Arthrodesis with Fresh Frozen Femoral Neck Allograft: A Retrospective Case Series. Foot Ankle Spec. 2016;9(5):423–8. doi: 10.1177/1938640016656783
- Al-Ashhab MEA. Treatment for calcaneal malunion. Eur J Orthop Surg Traumatol. 2013;23(8):961–6. doi: 10.1007/S00590-012-1110-0
Дополнительные файлы



















