Application of additive technologies in the treatment of patients with gunshot wounds of the elbow joint
- Authors: Kerimov A.A.1, Kukushko E.A.1, Murzin E.A.1, Onnitsev I.E.1, Khominets I.V.1, Besedin V.D.1, Kucherenko A.A.1
-
Affiliations:
- Main Military Clinical Hospital named after academician N.N. Burdenko
- Issue: Vol 31, No 4 (2024)
- Pages: 527-541
- Section: Original study articles
- Submitted: 27.06.2024
- Accepted: 18.07.2024
- Published: 25.12.2024
- URL: https://journals.eco-vector.com/0869-8678/article/view/633887
- DOI: https://doi.org/10.17816/vto633887
- ID: 633887
Cite item
Abstract
BACKGROUND: Management of patients with upper extremity gunshot wounds that have destroyed the elbow joint is a major challenge in modern traumatic and orthopedic surgery.
AIM: To assess medium-term surgical outcomes in patients with upper extremity gunshot wounds that have destroyed the elbow joint who received combination treatment using additive technology.
MATERIALS AND METHODS: Between 2022 and 2024, 25 patients with upper extremity gunshot wounds that have destroyed the elbow were treated using additive technology in the Center for Traumatology and Orthopedics of the Burdenko Main Military Clinical Hospital of the Ministry of Defense of Russia. All patients were male, with a mean age of 34.5±7.82 years. The mean time from injury to elbow replacement surgery was 193±39 days. The range of motion in the elbow joint was assessed. The QuickDASH and the Oxford Elbow Score were used to subjectively assess treatment outcomes after 3 and 6 months. CT examinations were performed at each stage.
RESULTS: A follow-up examination after 6 months showed an improvement in the range of motion in the majority of patients. The following criteria indicated a positive outcome: range of motion without limitations (Table 4, RF Government Decree No. 565 of July 4, 2013, On Approval of the Regulation on Military Medical Examination), QuickDASH score <45, and Oxford Elbow Score >70. The outcome was good in 17 (68%) patients and satisfactory in 5 (20%) patients. Three (12%) patients had postoperative complications (one patient’s elbow implant component was destroyed, and two patients developed deep periprosthetic infections), resulting in poor outcomes. Thus, the elbow joint function was successfully restored using additive technology in 22 (88%) patients.
CONCLUSION: In patients with upper extremity gunshot wounds that have destroyed the elbow joint, additive technology rapidly and completely restores the upper extremity function. However, the long-term outcomes of this treatment need to be investigated further.
Full Text
ОБОСНОВАНИЕ
В ходе войны в Афганистане и вооружённых конфликтов на Северном Кавказе из общего числа повреждений опорно-двигательного аппарата доля осколочных ранений конечностей составляла в среднем около 60%, а пулевых — около 30%. По частоте повреждений огнестрельные ранения суставов распределились следующим образом: коленный сустав — 38,9%, локтевой — 20,7%, голеностопный — 11,8%, плечевой — 11,7%, тазобедренный — 8,7%, лучезапястный — 8%. Проникающие ранения в сустав выявлены у 79% раненых, непроникающие — у 21% [1]. В современных вооружённых конфликтах обращает на себя внимание изменение характера и структуры ранений; так, по статистике из зоны проведения специальной военной операции в Украине за 2022–2024 гг., отмечается увеличение взрывных и осколочных ранений до 70% от всех поражений военнослужащих [2]. В связи с появлением новых типов вооружения и усовершенствования старых прогрессивно возрастает и тяжесть получаемых ранений.
Восстановление полноценной функции локтевого сустава при огнестрельных ранениях и последствиях тяжёлых травм является одной из трудных задач современной травматологии и ортопедии в силу анатомических особенностей, сложности биомеханики, быстрого развития стойких контрактур, анкилозов и предрасположенности к параартикулярной оссификации [3, 4]. Дополнительная сложность заключается в своеобразии каждого огнестрельного ранения, которое может включать различные по величине и форме комбинации мягкотканных и костных повреждений.
Аддитивные технологии — метод создания трёхмерных объектов путём послойного добавления материала, позволяющего максимально точно воспроизвести предмет необходимой формы, что приводит к персонализированному подходу в медицине [5, 6].
В настоящее время в отечественной научной литературе отсутствует информация о применении аддитивных технологий при огнестрельных ранениях с полным разрушением локтевого сустава.
Цель исследования — оценить среднесрочные результаты хирургического лечения огнестрельных ранений верхних конечностей с разрушением локтевого сустава в комплексном лечении с применением аддитивных технологий.
МАТЕРИАЛЫ И МЕТОДЫ
Дизайн исследования
Проведено проспективное одноцентровое исследование.
Условия проведения
За период с 2022 по 2024 г. в Центре травматологии и ортопедии ФГБУ «ГВКГ им. Н.Н. Бурденко» Минобороны России были пролечены 25 пациентов после огнестрельных ранений с полным разрушением локтевого сустава с применением аддитивных технологий. Все пациенты были мужcкого пола, их средний возраст составил 34,5±7,82 года. Количество хирургических обработок до реконструктивного вмешательства — 3,5±1,5. При обширных мягкотканных дефектах 5 пациентам потребовалось выполнить пластическое замещение с использованием несвободного кожно-мышечного (торакодорзального) лоскута. Средний срок установки индивидуального 3D-имплантата локтевого сустава от получения ранения составил 193±39 суток (табл. 1). На всех этапах проводили компьютерно-томографическое исследование на аппарате GE Optima CT660 (General Electric, СШA). Напряжение на рентгеновской трубке составляло 100 кВ, сила тока — автоматическая модуляция, скорость вращения гентри — 0,37 с. Параметр удаления артефактов был установлен на высоком значении, толщина срезов — 1,0 мм (реконструкция — 0,625 мм).
Таблица 1. Характеристика пациентов
Table 1. Patient characteristics
Показатель | Значение |
Всего пациентов | 25 |
Возраст (лет) | 34,5±7,82 |
Пол (муж.) | 25 |
Количество хирургических обработок до реконструктивного вмешательства | 3,5±1,5 |
Время от получения ранения до индивидуального эндопротезирования локтевого сустава (суток) | 193±39 |
Количество выполненных реконструктивно-пластических замещений при обширных дефектах мягких тканей | 5 |
Критерии соответствия
Критерии включения: пациенты вне зависимости от пола и возраста (старше 18 лет), получившие изолированные огнестрельные ранения верхней конечности с разрушением локтевого сустава; наличие информированного добровольного согласия на участие в исследовании; возможность наблюдения за пациентом не менее 6 месяцев после реконструктивной операции.
Критерии невключения: наличие хронического остео-миелита плечевой кости, костей предплечья или очагов хронической инфекции вне повреждённого сегмента, невозможность активного осознанного участия пациента в проведении исследования.
Критерии исключения: повторное ранение, отказ от продолжения участия в исследовании.
Пациенты при поступлении были обследованы с применением клинических, лабораторных и инструментальных методов исследования. Всем больным выполнялась первичная или повторная первичная хирургическая обработка ран (рис. 1), которая включала взятие бактериального посева для определения микрофлоры и чувствительности к антибактериальным препаратам, радикальный дебридмент с удалением свободно лежащих костных отломков вне зависимости от их размера, фиксацию отломков аппаратом внешней фиксации — комплектом стержневым военно-полевым «плечо — предплечье — кисть». При нестабильной фиксации, выполненной на ранних этапах оказания медицинской помощи, проводили дополнительные стержни Шанца для минимизации подвижности отломков. По показаниям выполняли фасциотомию.
Рис. 1. Оценка состояния мягких тканей при поступлении пациента в стационар.
Fig. 1. Assessment of the condition of the soft tissues upon admission of the patient to the hospital.
При поступлении у всех пациентов брался посев из ран, назначалась эмпирическая антибактериальная терапия.
У 13 (52%) пациентов был выявлен один возбудитель, у 12 (48%) — два или более. Максимальное количество выявленных микроорганизмов у одного пациента составило 5. Самым распространённым возбудителем у наших пациентов являлся Acinetobacter baumannii (20%). При исследовании посева совместно с выявлением возбудителя одновременно определялась чувствительность к различным антибактериальным препаратам, что в определённых случаях значительно влияло на дальнейшую терапию (табл. 2). Всем пациентам проводилось обширное симптоматическое лечение, включавшее терапию анемии, борьбу с гипопротеинемией, при необходимости оказывалась помощь смежных специалистов для стабилизации общесоматического состояния.
Таблица 2. Результаты бактериологического исследования
Table 2. Results of bacteriological examination
Возбудитель | Количество пациентов | Процентное соотношение |
Enterococcus faecalis | 3 | 12 |
Staphylococcus epidermidis | 1 | 4 |
Klebsiella pneumoniae | 2 | 8 |
Pseudomonas aeruginosa | 2 | 8 |
Acinetobacter baumannii | 5 | 20 |
От 2 до 5 микроорганизмов | 12 | 48 |
Всего пациентов | 25 | 100 |
Рана динамически оценивалась при повторных хирургических обработках, для ускорения заживления использовали физические методы лечения (гидромеханическое очищение раны при помощи аппарата Pulse Vac, ультразвуковую кавитацию, лазерную терапию). При отсутствии явных некротизированных тканей и гнойного отделяемого у всех пациентов применяли вакуумную терапию в режиме постоянной вакуумной аспирации с уровнем отрицательного давления 120 мм рт. ст. для полноценной эвакуации раневого отделяемого (рис. 2).
Рис. 2. Эвакуация раневого отделяемого при помощи вакуумной терапии.
Fig. 2. Evacuation of wound fluid using vacuum therapy.
Готовность раны к закрытию определяли по следующим критериям: отсутствие раневого отделяемого, наличие обильных грануляций, нормализация лабораторных показателей крови (рис. 3). Средний срок закрытия раны составлял 10–13 суток.
Рис. 3. Подготовленная к закрытию кожного дефекта рана.
Fig. 3. Prepared wound for closure of the skin defect.
Повреждения мягких тканей подразделяли на ограниченные и обширные дефекты, что значительно влияло на тактику ведения пациентов (рис. 4).
Рис. 4. Алгоритм подготовки пациента к индивидуальному эндопротезированию.
Примечание. ПХО — первичная хирургическая обработка.
Fig. 4. Algorithm for preparing a patient for individual endoprosthetics.
Note. ПХО — primary surgical treatment.
При ограниченных дефектах использовали первично-отсроченные или вторичные швы, пластику местными тканями. При обширных комбинированных дефектах у 5 (20%) пациентов применяли несвободный кожно-мышечный (торакодорзальный) лоскут с установкой цементного антибактериального спейсера (рис. 5).
Рис. 5. Рентгенограмма правого локтевого сустава пациента А. с установленным антибактериальным цементным спейсером.
Fig. 5. X-ray of patient A. right elbow joint with an antibacterial cement spacer installed.
В момент выполнения повторных хирургических обработок оценивали окончательный костный дефицит, состояние мышечно-связочного аппарата. При невозможности восстановить функцию локтевого сустава последовательным остеосинтезом или при помощи стандартного полусвязанного протеза принимали решение об изготовлении индивидуального эндопротеза. Основным показанием к применению аддитивной технологии является полное разрушение или отсутствие проксимальной трети локтевой кости. Все пациенты являются действующими военнослужащими, для которых артродез сустава неприменим в связи с невозможностью возвращения пациента в строй, данное оперативное пособие рассматривали только как вариант лечения после возникновения осложнений эндопротезирования.
Реконструктивное вмешательство проводили не раньше чем через 3 месяца при соблюдении следующих условий: отсутствие клинических и лабораторных признаков воспаления в области планируемого вмешательства, отсутствие хронических инфекционных процессов, комплаентность пациента.
Описание оперативного вмешательства
Индивидуальное эндопротезирование локтевого сустава состоит из нескольких последовательных этапов.
Первый этап — предоперационное планирование виртуальной операции. Выполняется сравнительная мультиспиральная компьютерная томография обеих верхних конечностей от головки плечевой кости до уровня лучезапястного сустава с толщиной среза не более 1 мм. На основе полученных материалов при помощи специальной программы (Materialise) на персональном компьютере создаётся модель повреждённого сустава пациента, далее проводится удаление всех свободнолежащих костных и металлических фрагментов, сопоставление с контралатеральным здоровым суставом. С учётом полученных результатов компьютерной томографии с целью профилактики возможных осложнений, связанных с изменением осей восстановленной конечности, которые влекут за собой преждевременный износ и разрушение конструкции, проводится расчёт анатомических и биомеханических осей, а также выстраивается ротационный профиль. Далее хирургом создаётся рендер (набросок) будущего индивидуального 3D-имплантата (протеза) и передаётся для дальнейшей работы инженеру-проектировщику (рис. 6).
Рис. 6. Создание компьютерной 3D-модели: а — костный скелет без аппаратов внешней фиксации, b — смоделированный имплантат локтевого сустава.
Fig. 6. Creation of a 3D computer model: a — bone skeleton without external fixation devices, b — simulated elbow joint implant.
Второй этап — проведение операции на полимерной модели. На основе предоперационного планирования создаются полимерный прототип 3D-имплантата и точная копия повреждённого сустава. Хирург отрабатывает технику операции и при выявлении недостатков вносит необходимые изменения в компьютерную модель имплантата.
Третий этап — создание 3D-имплантата и набора вспомогательных шаблонов для остеотомий из стерилизуемого фотополимера. Индивидуальный 3D-протез изготавливается из сплава титана (90%), алюминия (6%) и ванадия (4%) (рис. 7) (заявка на патент № 2024100781).
Рис. 7. Вид индивидуального эндопротеза.
Fig. 7. View of an individual endoprosthesis.
Четвёртый этап — выполнение имплантации эндопротеза локтевого сустава с использованием индивидуального 3D-протеза.
Оперативное вмешательство выполняется под жгутом. Для визуализации локтевого сустава используется стандартный задний доступ с учётом состояния кожного покрова. Выполняется мобилизация сухожилия трёхглавой мышцы из рубцового конгломерата. Всегда осуществляется идентификация и при необходимости невролиз локтевого нерва. По подготовленным шаблонам проводится резекция плечевой и локтевой кости, далее — рассверливание костномозговых каналов до необходимого размера, установка компонентов эндопротеза по технологии «press fit», подшивание сухожилия трёхглавой мышцы плеча к имплантату. Выполняется установка активного дренажа по Редону, ушивание раны, асептическая повязка, гипсовая иммобилизация от верхней трети плеча до лучезапястного сустава.
Пятый этап — проведение в послеоперационном периоде (во временных промежутках 1, 2, 3, 6, 12 месяцев) контрольного компьютерно-томографического исследования, позволяющего оценить положение металлоконструкции и регенерацию костной мозоли.
Стандартный протокол лечения в послеоперационном периоде включал иммобилизацию в течение 4 недель, антибактериальную терапию, анальгетики. После окончания срока иммобилизации проводили реабилитационное лечение, направленное на увеличение тонуса мышц, восстановление амплитуды движений в локтевом суставе.
Результаты лечения пациентов оценивали через 3 и 6 месяцев по следующим характеристикам:
- амплитуда движения (сгибание, разгибание, ротационные движения) по таблице 4 Постановления Правительства РФ № 565 от 04.07.2013 г. «Об утверждении Положения о военно-врачебной экспертизе» 1;
- показатели функциональных шкал Quick DASH, Oxford Elbow Score [7].
Этическая экспертиза
Пациенты подписали добровольное информированное согласие на участие в исследовании и дали согласие на обработку и публикацию клинического материала. Исследование одобрено этическим комитетом.
Статистический анализ
Анализ полученных данных проводили с помощью приложения Microsoft Excel и пакета прикладных программ Statistica 8.0. Для определения типа распределения признаков был использован критерий Шапиро–Уилка. Сравнение показателей в послеоперационном периоде с исходным уровнем осуществляли с применением t-критерия Стьюдента для зависимых выборок или непараметрического критерия Вилкоксона (двусторонний тест), множественные сравнения анализировали с помощью теста ANOVA по Фридману. Результаты представлены в виде М±σ, где М — среднее значение показателя, σ — среднеквадратическое отклонение, или Ме (Q1; Q3), где Ме — медиана, Q1 и Q3 — 25% и 75% квартили. Различия принимались за статистически значимые при р <0,05.
РЕЗУЛЬТАТЫ
При контрольном обследовании через 6 месяцев у всех пациентов отмечалось значительное улучшение амплитуды движения, совокупный прирост показателей (градусов) составил: сгибание — 85,6±18,6, пронация — 56,2±6,73, супинация — 56,3±8,8 (табл. 3), затем при дальнейшем наблюдении функция конечности оставалась на достигнутом уровне.
Таблица 3. Показатели амплитуды движения локтевого сустава (градусы, М±σ)
Table 3. Indicators of the amplitude of movement of the elbow joint (degrees, M±σ)
Амплитуда движения | До операции | Через 3 месяца | Через 6 месяцев | Прирост показателей за 6 месяцев |
Сгибание | 146±16,4 | 99,6±9,23* | 60,9±10,3* # | 85,6±18,6 |
Разгибание | 177±3,97 | 179±1,78 | 180±0,85 | |
Супинация | 19±5,95 | 44,6±7,55* | 75,1±8,02* # | 56,3±8,8 |
Пронация | 21,7±5,72 | 55,1±9,67* | 77,9±3,94* # | 56,2±6,73 |
Примечание. * — различия статистически значимы в сравнении с показателями до операции, # — то же в сравнении с показателями через 3 месяца, р <0,001, критерий Вилкоксона (двусторонний тест).
Note. * — differences are statistically significant compared with preoperative values, # — the same compared with values after 3 months, p <0.001, Wilcoxon test (two-sided test).
У 17 пациентов определялись движения в пределах нормальных значений, что составило 68%, у 5 пациентов (20%) имело место незначительное ограничение амплитуды движения. Для оценки удовлетворённости проводимым лечением пациентам выдавались для заполнения два опросника: Quick DASH и Oxford Elbow Score. Результаты представлены в табл. 4, на рис. 8, 9.
Таблица 4. Результаты лечения по функциональным шкалам (баллы) (М±σ)
Table 4. Treatment results according to functional scales (scores) (M±σ)
Шкала | До операции | Через 3 месяца | Через 6 месяцев | Изменения за 6 месяцев |
Quick DASH | 63,9±8,67 | 52,2±8,58 | 45,1±8,3 | 18,8±8,15 |
Oxford Elbow Score | 43±9,19 | 65,1±6,52 | 71,9±4,37 | 28,8±9,72 |
Рис. 8. Оценка результатов лечения по функциональной шкале Quick DASH (баллы, Ме [Q1; Q3]).
Fig. 8. Evaluation of treatment results using the Quick DASH functional scale (scores, Me [Q1; Q3]).
Рис. 9. Оценка результатов лечения по функциональной шкале Oxford Elbow Score (баллы, Ме [Q1; Q3]).
Fig. 9. Assessment of treatment results using the Oxford Elbow Score functional scale (points, Me [Q1; Q3]).
За хороший результат мы принимали следующие критерии: амплитуда движения без ограничений по таблице 4 Постановления Правительства РФ № 565 от 04.07.2013 г. «Об утверждении Положения о военно-врачебной экспертизе», по функциональным шкалам — менее 45 баллов по Quick DASH, более 70 баллов по Oxford Elbow Score. У 17 (68%) пациентов был получен хороший результат, у 5 (20%) — удовлетворительный, у 3 (12%) пациентов отмечался неудовлетворительный результат.
В раннем послеоперационном периоде у 1 пациента по результатам фистулографии выявлена поверхностная инфекция области хирургического вмешательства, ограниченная кожными покровами и подкожно-жировой клетчаткой. Пациенту проводились этапные хирургические обработки с последующим закрытием раны с использованием вторичных швов. Через 6 и 12 месяцев пациент был повторно обследован с применением клинических, лабораторных, инструментальных методов исследования. Данных о повторном рецидиве не получено.
У 2 пациентов выявлена глубокая перипротезная инфекция, которая потребовала удаления имплантатов с последующей установкой антибактериальных спейсеров. Во время операции по удалению эндопротеза выполнялся повторный забор посева. По результатам бактериологического исследования у пациентов выделился тот же возбудитель, что и после огнестрельного ранения. Один пациент повторно обратился с резким ограничением функции прооперированной конечности через 3 месяца. Из анамнеза известно, что пациент не соблюдал ортопедический режим (ограничение весовой нагрузки на оперированную конечность не более 2 кг). При обследовании больного выявлено разрушение локтевого компонента эндопротеза (рис. 10), что потребовало одномоментного его удаления и замены.
Рис. 10. Разрушенный локтевой компонент.
Fig. 10. Collapsed ulnar component.
Таким образом, количество пациентов, у которых было достигнуто успешное восстановление функции верхней конечности, составило 22 (88%).
Клинический пример
Военнослужащий Д., 25 лет. Из анамнеза и представленной медицинской документации известно, что во время выполнения боевой задачи пациент получил осколочное ранение области правого локтевого сустава. Первая помощь оказана на месте. В первые сутки после ранения выполнена первичная хирургическая обработка, наложен стержневой аппарат внешней фиксации КСТ, проведена медикаментозная терапия. На 10-е сутки после ранения пациент доставлен авиатранспортом в ФГБУ «Главный военный клинический госпиталь им. Н.Н. Бурденко» Минобороны России. По результатам осмотра и обследования установлен диагноз: осколочное сквозное проникающее ранение правого локтевого сустава с внутрисуставным оскольчатым переломом проксимальных метаэпифизов обеих костей предплечья с дефектом костной ткани. Посттравматическая невропатия локтевого и лучевого нервов (рис. 11).
Рис. 11. Пациент Д.: а — внешний вид раны при поступлении, b — рентгенограммы при поступлении.
Fig. 11. Patient D.: a — appearance of the wound upon admission, b — radiographs upon admission.
При первичном осмотре определялась рана по задне-наружной поверхности правого локтевого сустава размерами 18×8 см, занимающая 2/3 диаметра поверхности локтевого сустава, дном раны являлись мышцы, свободнолежащие костные отломки, определялось серозное отделяемое. Сразу при поступлении взят бактериальный посев из раны для определения микрофлоры и чувствительности к антибактериальным препаратам. Пациенту проводилось лечение в объёме перемонтажа аппарата внешней фиксации предплечья, выполнялись повторные хирургические обработки с использованием физических методов лечения (гидромеханическое очищение раны при помощи аппарата Pulse Vac, ультразвуковая кавитация, лазер). Далее применялся метод вакуумной терапии раны (VАС) в режиме постоянной вакуумной аспирации. Медикаментозная терапия включала анальгетики, эмпирическую схему антибактериальной терапии широкого спектра действия при поступлении (цефоперазон/сульбактам 1 г + 1 г 2 раза в день в/в капельно + метронидазол 500 мг 3 раза в день в/в капельно), на 7-е сутки произведена смена антибактериальной терапии на линезолид 600 мг 2 раза в день согласно полученному бактериологическому посеву. Достигнуто заживление раны первичным натяжением на 25-е сутки после ранения (рис. 12).
Рис. 12. Пациент Д. Внешний вид локтевого сустава после заживления раны.
Fig. 12. Patient D. Appearance of the elbow joint after wound healing.
Через 8 недель после ранения аппарат демонтирован. Пациент прошёл полноценный курс реабилитации (санаторно-курортное лечение, лечебная физкультура (ЛФК), физиотерапия). Несмотря на проводимое консервативное лечение, у пациента сохранялись выраженное нарушение функции конечности, болевой синдром, значительное снижение качества жизни. В связи с неудовлетворительным результатом (по шкале Oxford Elbow Score — 34 балла, по шкале Quick DASH — 69 баллов) принято решение о выполнении эндопротезирования локтевого сустава индивидуальным протезом.
Для предоперационной подготовки выполнена сравнительная компьютерная томография обеих верхних конечностей от головок плечевых костей до лучезапястных суставов. По результатам исследования построена трёхмерная компьютерная модель локтевого сустава пациента. Далее выполнено создание первичной модели имплантата и костей, образующих локтевой сустав (рис. 13).
Рис. 13. Пластиковая модель имплантата с локтевым суставом.
Fig. 13. Plastic model of an implant with an elbow joint.
Через 15 недель после получения ранения пациенту выполнено оперативное вмешательство. Положение пациента лёжа на животе, выполнен типичный задний доступ к локтевому суставу размером 18 см, в ране определялся дефект сухожилия трёхглавой мышцы плеча. На протяжении 7 см выполнен невролиз локтевого нерва. По заранее подготовленным шаблонам проведены резекция костей (рис. 14), рассверливание костномозговых каналов плечевой и локтевой кости, имплантация компонентов по технологии «press fit» (рис. 15), подшивание сухожилия трёхглавой мышцы плеча к имплантату. Выполнены установка активного дренажа по Редону, послойное ушивание раны, асептическая повязка, гипсовая иммобилизация в разгибании конечности 160 градусов.
Рис. 14. Пациент Д. Резекция костей по индивидуальным шаблонам: а — плечевой, b — локтевой.
Fig. 14. Patient D. Bone resection using individual templates: a — humerus, b — ulna.
Рис. 15. Пациент Д. Интраоперационная оценка амплитуды движения локтевого сустава после имплантации эндопротеза: а — разгибание, b — нейтральное положение, с — сгибание.
Fig. 15. Patient D. Intraoperative assessment of the range of motion of the elbow joint after implantation of the endoprosthesis: a — extension, b — neutral position, c — flexion.
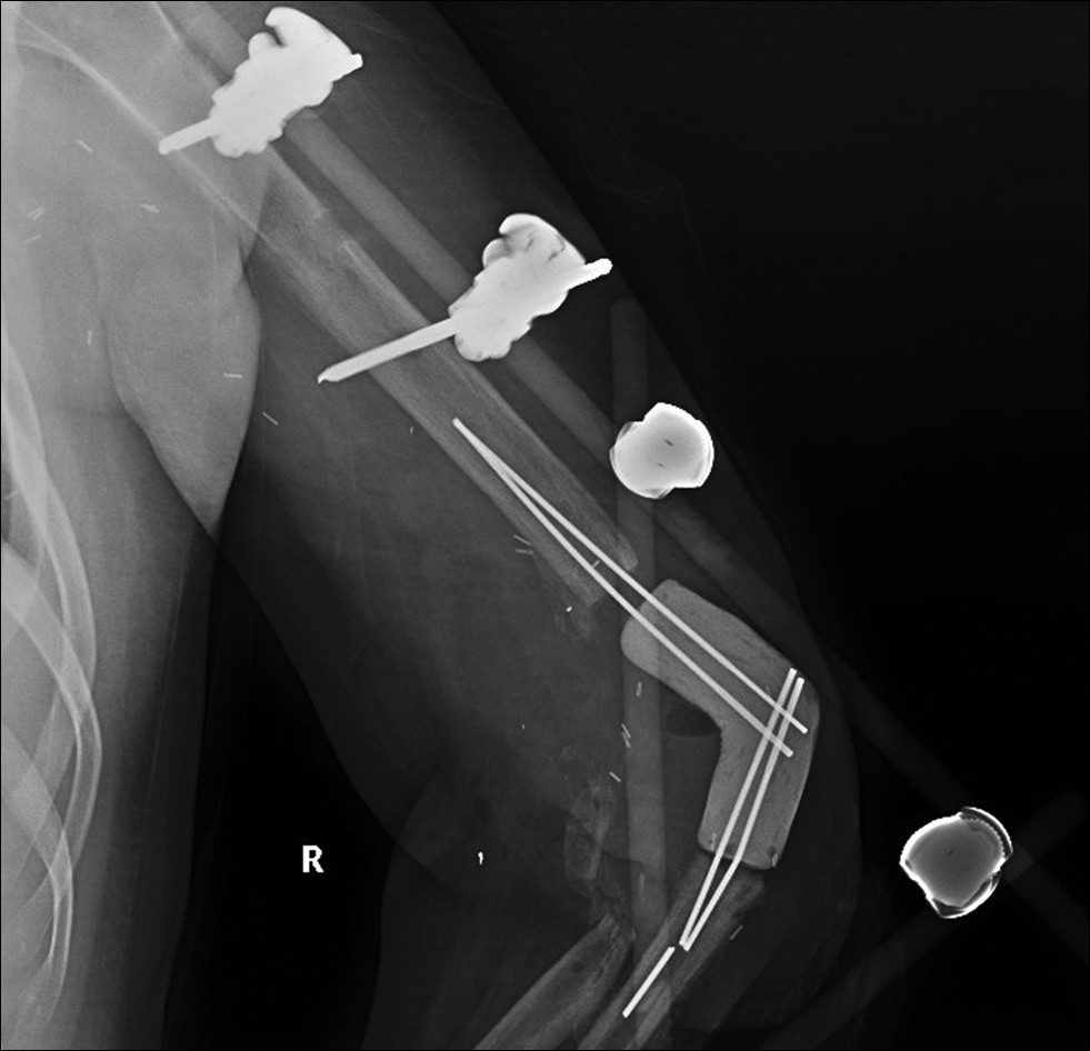
Послеоперационный период протекал без особенностей, выполнен рентген-контроль (рис. 16). Рана зажила первичным натяжением без признаков воспалительной реакции. Гипсовая иммобилизация снята через 4 недели с момента операции. После окончания срока иммобилизации начат курс ЛФК с целью восстановления амплитуды движений в локтевом суставе, увеличения тонуса мышц плеча.
Рис. 16. Пациент Д. Рентгенологический контроль после оперативного вмешательства: а — передне-задняя проекция, b — боковая проекция.
Fig. 16. Patient D. X-ray control after surgery: a — anterior-posterior projection, b — lateral projection.
Через 3 месяца болевых ощущений нет, отмечаются парестезии, незначительное ограничение амплитуды движения в области IV, V пальцев правой кисти. Результаты по шкалам Quick DASH, Oxford Elbow Score — 45 и 84 балла соответственно. Амплитуда движений в правом локтевом суставе: сгибание — 45 градусов, разгибание — 180 градусов, пронация — 90 градусов, супинация — 60 градусов (рис. 17, 18).
Рис. 17. Пациент Д. Функциональный результат через 3 месяца: а — сгибание, b — разгибание.
Fig. 17. Patient D. Functional result after 3 months: a — flexion, b — extension.
Рис. 18. Пациент Д. Функциональный результат через 3 месяца: а — пронация, b — нейтральная позиция, с — супинация.
Fig. 18. Patient D. Functional result after 3 months: a — pronation, b — neutral position, c — supination.
Через 6 месяцев пациент вернулся к исполнению обязанностей военной службы в полном объёме в соответствии с занимаемой должностью, награждён государственными наградами.
ОБСУЖДЕНИЕ
Амплитуда движения локтевого сустава, необходимая для повседневной жизни, входит в так называемую функциональную арку 100 градусов (30 градусов — сгибание, 130 градусов — разгибание) и 100 градусов ротационных движений (50 градусов — супинация, 50 градусов — пронация) [8]. По общему мнению, высокая функциональная значимость локтевого сустава заставляет добиваться оптимальной амплитуды движения для полноценной жизни человека [9, 10]. Ограничение движения сустава часто приводит к неудовлетворённости результатом лечения как пациента, так и врача, что особенно актуально при лечении больных с огнестрельными ранениями с полным разрушением локтевого сустава. Лечение данных пациентов представляет собой сложную проблему травматологии и ортопедии. Необходимость оптимального метода лечения для каждого отдельного пациента сопряжено с объективными трудностями, которые связаны как с тяжестью полученного ранения, так и с организационными возможностями лечебного учреждения [11, 12]. Технологии аддитивного производства позволяют активно решать проблемы персонифицированной медицины, что, в свою очередь, способствует улучшению качества жизни пациентов [13, 14].
Наше исследование показало, что применение индивидуальных 3D-протезов локтевого сустава является прогрессивным методом лечения у пациентов с полным разрушением сустава. Метод не только позволяет вернуть пациенту возможность самообслуживания, но и помогает вернуться к исполнению служебных обязанностей в полном объёме.
Ограничения исследования
При детальном рассмотрении мы видим следующие недостатки нашего исследования. Во-первых, короткий срок наблюдений не позволяет нам оценить степень асептического расшатывания эндопротезов. В нашем исследовании не зарегистрировано ни одного случая подобного осложнения. При огнестрельном ранении локтевого сустава поражается не только костная система, но и динамические, статические стабилизаторы сустава, что значимо влияет на распределение нагрузки на имплантат, а значит, и на выживаемость эндопротеза. Во-вторых, несмотря на достижение функционально выгодной амплитуды движения у 88% пациентов, мы отметили, что по субъективным шкалам некоторые пациенты отмечают определённые ограничения в повседневной жизни, что мы также связываем с комплексным повреждением тканей области локтевого сустава. В-третьих, анализ результатов лечения показал, что даже проведение всеобъемлющих лечебных мероприятий, направленных на уничтожение раневой микрофлоры, не даёт нам гарантий полной эрадикации инфекционных агентов в области интереса. Наблюдение за данной группой пациентов будет продолжено для определения закономерностей и улучшения данной технологии.
ЗАКЛЮЧЕНИЕ
Применение аддитивных технологий в лечении пациентов с огнестрельными ранениями верхних конечностей, сопровождающимися разрушением локтевого сустава, позволяет в короткие сроки вернуть полноценную функцию верхней конечности, однако отдалённые результаты данного лечения требуют дальнейшего изучения.
ДОПОЛНИТЕЛЬНО
Вклад авторов. Все авторы подтверждают соответствие своего авторства международным критериям ICMJE (все авторы внесли существенный вклад в разработку концепции, проведение исследования и подготовку статьи, прочли и одобрили финальную версию перед публикацией).
Источник финансирования. Авторы заявляют об отсутствии внешнего финансирования при проведении исследования и подготовке публикации.
Конфликт интересов. Авторы декларируют отсутствие явных и потенциальных конфликтов интересов, связанных с проведённым исследованием и публикацией настоящей статьи.
Информированное согласие. Пациент подписал добровольное информированное согласие на участие в исследовании и дал согласие на обработку и публикацию клинического материала (13.03.2023).
ADDITIONAL INFO
Autor contribution. All authors confirm that their authorship meets the international ICMJE criteria (all authors have made a significant contribution to the development of the concept, research and preparation of the article, read and approved the final version before publication).
Funding source. The authors state that there is no external funding when conducting the research and preparing the publication.
Competing interests. The authors declare that they have no competing interests.
Consent for publication. The patient gave his written consent for publication of his medical data (March 13, 2023).
1 Постановление Правительства РФ № 565 от 04.07.2013 г. «Об утверждении Положения о военно-врачебной экспертизе». Режим доступа: https://www.consultant.ru/document/cons_doc_LAW_149096/?ysclid=m2j4n7h246354236666
About the authors
Artur A. Kerimov
Main Military Clinical Hospital named after academician N.N. Burdenko
Email: kerartur@yandex.ru
ORCID iD: 0000-0001-5783-6958
SPIN-code: 3131-1308
MD, Cand. Sci. (Medicine)
Russian Federation, 3 Gospitalnaya pl., 105094 MoscowEvgeniy A. Kukushko
Main Military Clinical Hospital named after academician N.N. Burdenko
Email: doctrauma87@gmail.com
ORCID iD: 0000-0002-2941-9601
SPIN-code: 6736-1323
MD
Russian Federation, 3 Gospitalnaya pl., 105094 MoscowEvgeniy A. Murzin
Main Military Clinical Hospital named after academician N.N. Burdenko
Author for correspondence.
Email: murzin1992@list.ru
ORCID iD: 0000-0003-2879-6509
SPIN-code: 9952-2795
MD
Russian Federation, 3 Gospitalnaya pl., 105094 MoscowIgor E. Onnitsev
Main Military Clinical Hospital named after academician N.N. Burdenko
Email: ionnicev@mail.ru
ORCID iD: 0000-0002-3858-2371
SPIN-code: 9659-4740
MD, Dr. Sci. (Medicine)
Russian Federation, 3 Gospitalnaya pl., 105094 MoscowIgor V. Khominets
Main Military Clinical Hospital named after academician N.N. Burdenko
Email: khominets24_91@mail.ru
ORCID iD: 0000-0003-0964-653X
SPIN-code: 5928-5370
MD, Cand. Sci. (Medicine)
Russian Federation, 3 Gospitalnaya pl., 105094 MoscowVladimir D. Besedin
Main Military Clinical Hospital named after academician N.N. Burdenko
Email: BesedinVD@yandex.ru
ORCID iD: 0000-0001-9087-1421
SPIN-code: 9908-6830
MD
Russian Federation, 3 Gospitalnaya pl., 105094 MoscowAnna A. Kucherenko
Main Military Clinical Hospital named after academician N.N. Burdenko
Email: gaydykovaanna94@gmail.com
ORCID iD: 0009-0000-1884-8446
SPIN-code: 9391-4436
Russian Federation, 3 Gospitalnaya pl., 105094 Moscow
References
- Khominets VV, Kudyashev AL, Dresvyannikov AS, et al. Experimental assessment of the severity of concussion injury of the knee and elbow joints. Vestnik Rossijskoj voenno-medicinskoj akademii. 2016;(2):126–130. (In Russ.). EDN: WDCIKT
- Trishkin DV, Kryukov EV, Alekseev DE, et al. Military field surgery. National leadership. Samokhvalov IM, editor. 2nd ed., reprint. and add. Moscow: GEOTAR-Media; 2024. 1056 р. (In Russ.). doi: 10.33029/9704-8036-6-VPX-2024-1-1056
- Prokhorenko VM, Alexandrov TI, Chorny SI, Slobodskoy AB. Endoprosthetics of the elbow joint in intraarticular fractures and the consequences of injuries. Sovremennye problemy nauki i obrazovaniya. 2017;(5):144. (In Russ.). EDN: ZQNHIZ
- Gritsuk AA, Lychagin AV, Kryukov EV, et al. Features of prosthetics of the elbow joint in case of wounds and injuries: long-term results. Voenno-medicinskij zhurnal. 2017;338(12):37–44. (In Russ.). doi: 10.17816/RMMJ73433
- Su A, Al’Aref SJ. History of 3D Printing. In: 3D Printing Applications in Cardiovascular Medicine. 2018. Р. 1–10. doi: 10.1016/B978-0-12-803917-5.00001-8
- Hoang D, Perrault D, Stevanovic M. Surgical applications of three-dimensional printing: a review of the current literature. Ann Transl Med. 2016;4(23):456. doi: 10.21037/atm.2016.12.18
- Aliev AG, Ambrosenkov AV, Kovalenko AN, et al. Cross-cultural adaptive adaptation and validation of the Russian version of the Oxford Elbow Score questionnaire for patients with elbow joint pathology. Sovremennye problemy nauki i obrazovaniya. 2017;(5). (In Russ.). doi: 10.17513/spno.26900
- Morrey BF, Askew LJ, Chao EY. A biomechanical study of normal functional elbow motion. J Bone Joint Surg AM. 1981;63(6):872–877.
- Aliev AG, Ambrosenkov AV, Cherkasov MA, et al. The history of the development of elbow arthroplasty. Vestnik travmatologii i ortopedii im. N.N. Priorova. 2021;28(2):55–62. (In Russ.). doi: 10.17816/vto44908
- Everding NG, Maschke SD, Hoyen HA, Evans PJ. Prevention and treatment of elbow stiffness: A 5-year update. J Hand Surg Am. 2013;38(12):2496–2507. doi: 10.1016/j.jhsa.2013.06.007
- Davey MS, Hurley ET, Gaafar M. Long-term outcomes of total elbow arthroplasty: a systematic review of studies at 10-year follow-up. J Shoulder Elbow Surg. 2021;30:1423–1430. doi: 10.1016/j.jse.2020.11.014
- Macken AA, Prkic A, Kodde IF. Global trends in indications for total elbow arthroplasty: a systematic review of national registries. EFORT Open Rev. 2020;5(4):215–220. doi: 10.1302/2058-5241.5.190036
- Davydov DV, Brizhan LK, Kerimov AA, et al. The use of additive technologies in the replacement of gunshot defects of limb bones. Vestnik Nacional’nogo mediko-hirurgicheskogo centra im. N.I. Pirogova. 2022;17(4):57–64. (In Russ.). doi: 10.25881/20728255_2022_17_4_2_57
- Wu N, Li S, Liu Y, et al. Novel exploration of 3D printed personalized total elbow arthroplasty to solve the severe bone defect after internal fixation failure of comminuted distal humerus fracture: a case report. Medicine. 2020;99(31):e21481. doi: 10.1097/MD.0000000000021481
Supplementary files





















