Long-term results of surgical treatment of femoral neck fractures using dynamic derotational osteosynthesis
- Authors: Dubrov V.E.1,2, Yudin A.V.1,2, Zuzin D.A.1, Filippov V.V.1, Borodai Y.R.1, Scherbakov I.M.1, Zaitsev R.V.1
-
Affiliations:
- Lomonosov Moscow State University
- Lopukhin Federal Research and Clinical Center of Physical-Chemical Medicine
- Issue: Vol 32, No 1 (2025)
- Pages: 9-25
- Section: Original study articles
- Submitted: 22.07.2024
- Accepted: 10.09.2024
- Published: 08.04.2025
- URL: https://journals.eco-vector.com/0869-8678/article/view/634513
- DOI: https://doi.org/10.17816/vto634513
- ID: 634513
Cite item
Abstract
BACKGROUND: Femoral neck fractures are among the most common injuries of the human skeleton. If in 2004 in Russia the incidence of fractures of the proximal femur in patients over 50 years of age was 105.9 per 100,000 of the population (and in women this figure was almost twice as high as in men), it is expected that by 2025 the number of victims worldwide will have doubled, and by 2050 it will be almost 4.5 million. Existing osteosynthesis techniques do not take into account the peculiarities of the uneven distribution of bone density in the femoral head, which can lead to the placement of fixators in a deliberately weakened area, reduced strength of osteosynthesis, migration of fixators and, as a result, non-union of the fracture.
AIM: To compare the long-term results of dynamic derotation osteosynthesis with the results of femoral neck fracture osteosynthesis with cannulated screws, dynamic hip screws, and V-wires.
MATERIALS AND METHODS: The study was based on the analysis of the results of surgical treatment of 259 patients with femoral neck fractures. In the treatment of 114 (44%) patients (study group), the titanium dynamic derotational fixator Targon FN manufactured by Aesculap B. Braun (Germany) was used. The comparison group included 145 (56%) patients who underwent osteosynthesis using a dynamic femoral screw (40 patients), tensioned V-wires (60 patients) or 3 AO screws (40 patients). There were no significant differences in the distribution of patients by age in the groups considered, which was confirmed by pairwise tests using Holm's multiple comparison correction method.
RESULTS: In Garden III femoral neck fractures, 59.6% of the study group achieved consolidation compared to 34.5% with dynamic hip screw implantation, 22.7% with V-wires and 28.0% with cannulated screws. In Garden IV fractures, consolidation did not occur in any of the observations. The incidence of avascular necrosis of the femoral head is highest in Garden III fractures: 39.2% with dynamic femoral screw implantation, 30.1% with V-wires, 34.2% with cannulated screws and 21.8% with dynamic derotational osteosynthesis. When evaluating the long-term results in patients with consolidated fractures, claudication of the operated limb was observed (in Garden III type fractures in 64% of cases — when using a dynamic derotational fixator, 65% — when using a derotational femoral screw, 100% - when using cannulated screws and V-wires). The maximum femoral neck offset shortening of more than 15% was observed in 7 patients (39%) with dynamic derotational osteosynthesis, in 6 patients (67%) with dynamic femoral screw implantation, in 5 patients (60%) with cannulated screws and in 8 patients (80%) with V-wires.
CONCLUSION: Garden I fractures of the femoral neck do not lead to avascular necrosis of the femoral head. As the angle of the fracture plane increases and the blood supply to the femoral head decreases, the incidence of avascular necrosis increases. The development of claudication in the patients was caused by the reduction in femoral offset length due to osteolysis, which occurred as a result of both the localisation of the fracture plane (fracture factor) and the dynamic function of the implant (fixator factor). Lameness was therefore considered to be the 'payback' for the consolidation of the fracture.
Full Text
ОБОСНОВАНИЕ
Переломы шейки бедренной кости (ШБК) представляют собой одно из наиболее распространённых повреждений человеческого скелета, и если в 2004 г. в России частота переломов проксимального отдела бедренной кости (ПОБК) у пациентов в возрасте 50 лет и старше составила в среднем 105,9 на 100 тыс. населения (причём у женщин этот показатель был почти вдвое выше, чем у мужчин), то в 2025 г. число пострадавших в мире должно увеличиться в два раза, а к 2050 г. — приблизиться к 4,5 млн [1–7].
Существующие методики остеосинтеза не учитывают особенности неравномерного распределения плотности костной ткани головки бедренной кости (БК), что может привести к установке фиксаторов в заведомо ослабленную зону, снижению прочности остеосинтеза, миграции фиксаторов и, как следствие, к несращению перелома [3, 8–13].
Частота неудовлетворительных результатов оперативного лечения больных с переломами ШБК достигает 23–57% [4, 14–19] за счёт развития аваскулярного некроза головки бедренной кости (АНГБК), формирования ложного сустава ШБК [5, 20–26]. Так, по данным В.В. Ключевского [10], осложнения после оперативного лечения ШБК составляют 41,8%, из них в 23,6% случаев отсутствует консолидация костных отломков, а в 18,2% — развивается АНГБК, поэтому частая неудовлетворённость результатами остеосинтеза ШБК заставляет исследователей искать новые способы решения этой проблемы.
Цель работы — произвести сравнительное исследование отдалённых результатов использования метода динамического деротационного остеосинтеза и исходов остеосинтеза фрагментов шейки бедренной кости канюлированными винтами, динамическим бедренным винтом и V-спицами.
МАТЕРИАЛЫ И МЕТОДЫ
Дизайн исследования
Проведён анализ отдалённых результатов оперативного лечения 259 пациентов с переломами шейки бедренной кости (S72.0 по МКБ-10).
Условия проведения
Исследование проводилось среди лиц, находившихся на лечении на клинических базах кафедры травматологии, ортопедии и медицины катастроф факультета фундаментальной медицины МГУ имени М.В. Ломоносова: Медицинский научно-образовательный центр МГУ имени М.В. Ломоносова, ФГБУ ФНКЦ ФХМ имени академика Ю.М. Лопухина ФМБА России, ГБУЗ «ГКБ № 29 им. Н.Э. Баумана ДЗМ».
Продолжительность исследования
Исследование проходило с 2008 по 2023 г.
Критерии соответствия
Критерии включения: пациенты с переломами шейки бедренной кости типа Garden I–IV, перенёсшие оперативные вмешательства в виде остеосинтеза системой ДДО, канюлированными винтами, динамическим бедренным винтом или V-спицами.
Описание медицинского вмешательства
Хирургическое вмешательство всем пациентам было выполнено в течение 48 часов с момента получения травмы. В послеоперационном периоде пациентам группы исследования назначали обязательную дозированную нагрузку на повреждённую конечность 25% от массы тела в течение первых 3 недель, с последующим увеличением нагрузки от 60–80% от массы тела к 8 неделям с момента операции до 100% к 12 неделям. Пациентам группы сравнения с применением V-cпиц и канюлированных винтов нагрузку на конечность не разрешали до появления рентгенологических признаков сращения перелома ввиду высокого риска миграции фиксаторов и вторичного смещения отломков. При использовании динамического бедренного винта (ДБВ) с 5–6-х суток и до консолидации перелома, подтверждённой рентгенологическим исследованием, разрешали нагрузку на повреждённую конечность массой до 15% от массы тела пациента.
Статистический анализ
Обработку статистических данных проводили при помощи программы Statistica 10.0, StatSoft с описательным анализом и анализом статистической значимости различий. Проверку на нормальность выполняли при помощи критерия Колмогорова–Смирнова [10]. Поскольку распределение результатов по шкале Харриса в группах сравнения и исследования не являлось нормальным и, кроме того, группы сравнения и исследования оказались независимыми, был использован непараметрический критерий Манна–Уитни, для вычисления которого применяли определение рангов. Если р-уровень, рассчитанный при помощи этого критерия, был меньше принятого нами уровня значимости 0,05, то группу исследования считали значимо отличной от группы контроля по исследуемому параметру [11]. При сравнении возраста в группах исследования с помощью критерия Краскела–Уоллиса было показано отсутствие статистически значимых различий между группами (χ²=17,94, df=15, p=0,266). Это свидетельствует о том, что распределение возрастов в рассматриваемых группах не имеет значимых различий, что подтверждается проведением попарных тестов с применением поправки на множественность сравнений по методу Холма.
Этическая экспертиза
Все пациенты подписали информированное согласие на лечение. Детализирующая информация, способствующая персонификации включённых в исследование пациентов, отсутствует.
РЕЗУЛЬТАТЫ
Исследование построено на анализе результатов оперативного лечения 259 пациентов с переломами ШБК, находившихся на лечении с 2008 по 2023 г. на клинических базах кафедры травматологии, ортопедии и медицины катастроф факультета фундаментальной медицины МГУ имени М.В. Ломоносова: Медицинский научно-образовательный центр МГУ имени М.В. Ломоносова, ФГБУ ФНКЦ ФХМ имени академика Ю.М. Лопухина ФМБА России, ГБУЗ «ГКБ № 29 им. Н.Э. Баумана ДЗМ». Средний возраст пациентов (182 женщины (70,2%) и 77 мужчин (29,8%)) составил 72 года (от 29 лет до 91 года). Распределение возраста пациентов по типу перелома и фиксатора представлено в табл. 1 и на рис. 1.
Таблица 1. Показатели возраста, сгруппированные по используемому фиксатору и типу перелома
Table 1. Age indicators grouped by fixator used and fracture type
Тип фиксатора | Тип перелома по Garden | Среднее±SD | Me [Q1:Q3] |
V-спицы | I | 62,3±17,6 | 63,5 [54,3:71,5] |
II | 58,8±14,9 | 53,5 [49,3:71,3] | |
III | 55,2±19,9 | 45 [42:73] | |
IV | 59±14,4 | 57 [49,8:65,3] | |
ДБВ | I | 51,7±12,9 | 52 [43:63,3] |
II | 62,2±14,6 | 61 [52:70] | |
III | 64,5±17,6 | 63 [57:75,3] | |
IV | 72±13,1 | 79 [63:79] | |
ДДФ | I | 57,6±21,6 | 57 [44:77] |
II | 57,6±19,2 | 58 [44:71,3] | |
III | 61,4±15,7 | 59,5 [48:72,3] | |
IV | 68,1±14,3 | 73,5 [54,5:77,5] | |
Канюлированные винты | I | 58,7±16,8 | 61 [41,8:71,3] |
II | 65,4±17,8 | 69,5 [49:80,5] | |
III | 66,1±16,7 | 70 [53:77] | |
IV | 68,3±19,6 | 73 [61,8:80,5] |
Примечание (здесь и на рис. 1, 9–11, в табл. 3, 4, 7, 8). ДБВ — динамический бедренный винт, ДДФ — динамический деротационный фиксатор.
Note (here and in Fig. 1, 9–11, Table 3, 4, 7, 8). ДБВ — dynamic hip screw, ДДФ — dynamic derotation fixator.
Рис. 1. Распределение возраста пациентов по типу перелома и фиксатору.
Fig. 1. Distribution of patient age by fracture type and fixator.
Оценку переломов проводили с использованием классификаций АО и Garden [7]. Поводом для привлечения к исследованию классификации Garden в качестве рабочей (табл. 2), помимо её биомеханического принципа, является возможное прогнозирование степени нарушения кровоснабжения головки БК и вторичного смещения отломков под действием силы мышц.
Таблица 2. Распределение пациентов групп исследования и сравнения по типу перелома (классификация Garden)
Table 2. Distribution of patients in study and comparison groups by fracture type (Garden classification)
Группа пациентов | Тип перелома по Garden | Число наблюдений | |
n | % | ||
Группа исследования | I | 17 | 14,9 |
II | 52 | 45,6 | |
III | 28 | 24,6 | |
IV | 14 | 12,3 | |
Всего | 114 | 100 | |
Группа сравнения | I | 27 | 18,6 |
II | 51 | 35 | |
III | 38 | 26,2 | |
IV | 29 | 20 | |
Всего | 145 | 100 | |
При лечении 114 (44%) пострадавших (группа исследования) был применён титановый динамический деротационный фиксатор (ДДФ) Targon FN производства компании Aesculap B. Braun (Германия), представляющий собой титановую пластину с возможностью установки в ШБК под углом 130° к пластине до четырёх параллельных блокируемых в пластине телескопических винтов диаметром 6,5 мм. Пластину фиксируют к кости в её дистальной части двумя разнонаправленными блокирующимися в пластине кортикальными винтами диаметром 4,5 мм, обеспечивающими высокую стабильность пластины за счёт непараллельной установки винтов относительно друг друга. Телескопические винты обеспечивают пассивно контролируемое перемещение до 20 мм вдоль оси шейки бедренной кости без миграции металлоконструкций и травматизации мягких тканей, а поскольку скольжение винта происходит внутри его гильзы, блокированной в пластине, то риск миграции компонента исключается. Блокирование проксимальных и дистальных винтов в пластине повышает ротационную стабильность системы «кость–имплантат».
В группу сравнения вошли 145 (56%) пациентов, при лечении которых был выполнен остеосинтез с использованием динамического бедренного винта, напряжённых V-спиц или трёх винтов по АО.
Операционная бригада в основном была представлена тремя хирургами. Хирургическое вмешательство всем пациентам было выполнено в течение 48 часов с момента получения травмы. В послеоперационном периоде пациентам группы исследования назначали обязательную дозированную нагрузку на повреждённую конечность 25% от массы тела в течение первых 3 недель с последующим увеличением нагрузки от 60–80% от массы тела к 8 неделям с момента операции до 100% к 12 неделям. Пациентам группы сравнения с применением V-cпиц и канюлированных винтов нагрузку на конечность не разрешали до появления рентгенологических признаков сращения перелома ввиду высокого риска миграции фиксаторов и вторичного смещения отломков. При использовании ДБВ с 5–6-х суток и до консолидации перелома, подтверждённой рентгенологическим исследованием, разрешали нагрузку на повреждённую конечность массой до 15% от массы тела пациента.
В работе были использованы клинический и рентгенологический методы. Для оценки функции тазобедренного сустава (ТБС) использовали систему W.H. Harris [27] с интегральным показателем, характеризующим отличную функцию сустава в диапазоне от 90 до 100 баллов, хорошую — от 80 до 89, удовлетворительную — от 70 до 79, неудовлетворительную — ниже 70 баллов (табл. 3). Для оценки качества жизни пациента использовали неспецифический опросник SF-36 (The Short Form-36), отражающий общее благополучие и степень удовлетворённости теми сторонами жизнедеятельности человека, на которые влияет состояние здоровья (табл. 4).
Таблица 3. Сводная оценка функции тазобедренного сустава групп исследования и сравнения по модифицированной шкале Харриса, где F(x) — плотность вероятности, р — уровень статистической значимости.
Table 3. Summary assessment of hip function in the study and comparison groups using the modified Harris scale, where F(x) is the probability density, p is the level of statistical significance
Тип фиксатора | Тип перелома по Garden | Баллы по шкале Харриса | р |
ДДФ | I | 98 | <0,05 |
II | 90 | <0,05 | |
III | 78 | <0,05 | |
IV | 29 | <0,05 | |
ДБВ | I | 95 | <0,05 |
II | 88 | <0,05 | |
III | 45 | <0,05 | |
IV | 27 | <0,05 | |
V-спицы | I | 90 | <0,05 |
II | 79 | <0,05 | |
III | 23 | <0,05 | |
IV | 20 | <0,05 | |
Канюлированные винты | I | 94 | <0,05 |
II | 87 | <0,05 | |
III | 38 | <0,05 | |
IV | 23 | <0,05 |
Таблица 4. Оценка параметров качества жизни по опроснику SF-36 у пациентов групп исследования и сравнения, где р — уровень статистической значимости
Table 4. Assessment of quality of life parameters according to the SF-36 questionnaire in patients of the study and comparison groups, where p — level of statistical significance
Тип фиксатора | Тип перелома по Garden | Физический компонент здоровья | Психологический компонент здоровья | р |
ДДФ | I | 97 | 92 | <0,05 |
II | 89 | 87 | <0,05 | |
III | 70 | 71 | <0,05 | |
IV | 30 | 32 | <0,05 | |
ДБВ | I | 95 | 92 | <0,05 |
II | 85 | 84 | <0,05 | |
III | 55 | 50 | <0,05 | |
IV | 22 | 20 | <0,05 | |
V-спицы | I | 90 | 91 | <0,05 |
II | 76 | 70 | <0,05 | |
III | 34 | 36 | <0,05 | |
IV | 21 | 22 | <0,05 | |
Канюлированные винты | I | 96 | 97 | <0,05 |
II | 89 | 90 | <0,05 | |
III | 50 | 53 | <0,05 | |
IV | 37 | 38 | <0,05 |
Оценку отдалённых результатов лечения проводили через 1 год после операции при помощи рентгенографии в двух проекциях и/или мультиспиральной компьютерной томографии (МСКТ) тазобедренного сустава с определением анатомических соотношений элементов бедренной кости. МСКТ применяли в том случае, когда была визуализирована картина несращения перелома при рентгенографии тазобедренного сустава более чем через 5 месяцев с момента выполнения операции. Также МСКТ и/или магнитно-резонансную томографию (МРТ) тазобедренного сустава использовали при подозрении на развитие АНГБК.
Проводили оценку наличия хромоты на оперированную нижнюю конечность при консолидации перелома у пациентов обеих групп исследования.
Измерение длины офсета проводили по обзорной рентгенографии таза либо при помощи МСКТ. На рисунке отмечали переднюю верхнюю ость таза (точка А), медиальную поверхность верхушки большого вертела (точка В) и центр вращения в ТБС (точка С). Соединяя точки А и В, имитировали линию действия мышц-абдукторов, к которой из точки С проводили перпендикуляр, полученный отрезок ВС представлял собой плечо силы мышц-абдукторов по соответствующей методике.
Гистологический метод использовали для анализа костной структуры головки БК у пациентов, перенёсших оперативное вмешательство по поводу перелома ШБК методом ДДФ. Объектами исследования были удалённые во время аутопсии 5 пациентов 5 макропрепаратов костной ткани, взятой из верхнего и нижнего полюсов головки БК, ШБК. Всего исследовано 5 макропрепаратов от 5 пациентов. Изучаемые области — костная ткань, взятая из верхнего и нижнего полюса головки бедренной кости, шейки бедренной кости. Сначала материал фиксировали 10% раствором формалина в течение 24 часов, затем декальцинировали в 10% растворе азотной кислоты до размягчения. Дальнейшую фиксацию осуществляли последовательно алюмокалиевыми квасцами, этиловым спиртом с возрастающей концентрацией, ксилолами, и, наконец, проводилась заливка парафином. Фиксированный таким образом материал при помощи микротома Leica RM 21125 RTS нарезали на слои толщиной 4–5 микрон, окрашивали по Ван Гизону и помещали на предметные стёкла. Гистологическое исследование выполнялось на микроскопе Leica DM 4000 B.
Обработку статистических данных проводили при помощи программы Statistica 10.0, StatSoft с описательным анализом и анализом статистической значимости различий. Проверку на нормальность выполняли при помощи критерия Колмогорова–Смирнова [10]. Поскольку распределение результатов по шкале Харриса в группах сравнения и исследования не являлось нормальным и, кроме того, группы сравнения и исследования оказались независимыми, был использован непараметрический критерий Манна–Уитни, для вычисления которого применяли определение рангов. Если р-уровень, рассчитанный при помощи этого критерия, был меньше принятого нами уровня значимости 0,05, то группу исследования считали значимо отличной от группы контроля по исследуемому параметру [11]. При сравнении возраста в группах исследования с помощью критерия Краскела–Уоллиса было показано отсутствие статистически значимых различий между группами (χ²=17,94, df=15, p=0,266). Это свидетельствует о том, что распределение возрастов в рассматриваемых группах не имеет значимых различий, что подтверждается проведением попарных тестов с применением поправки на множественность сравнений по методу Холма.
ОБСУЖДЕНИЕ
Клинические исходы лечения в течение 1 года после операции были оценены у 97 пациентов группы исследования (пациенты с переломами ШБК, при лечении которых был использован метод ДДФ) и 102 пациентов группы сравнения (пациенты с переломами ШБК, при лечении которых был использован остеосинтез с помощью ДБВ, канюлированных винтов и V-спиц). Остальные больные выбыли из-под контроля ввиду смены места жительства, смерти и других причин, в связи с чем были исключены из исследования.
При переломе типа I и II по Garden в группе исследования сращение наступило в 100% наблюдений; сращение переломов ШБК по типу Garden III достигнуто в 59,6% случаев (28 пациентов). В группе сравнения при использовании V-спиц в лечении переломов типа Garden I сращение достигнуто в 96,7% наблюдений, Garden II — в 90,4%, Garden III — в 46,7%. При применении канюлированных винтов сращение переломов достигнуто в 95,2% при типе Garden I, 85,3% — Garden II и 45,3% — Garden III. При выполнении остеосинтеза с использованием ДБВ сращение достигнуто в 100% наблюдений при переломах типа Gаrden I, 95,2% — при Garden II и 12,5% — при Garden III. При переломах типа Garden IV и в группе сравнения, и в группе исследования сращение перелома не достигнуто ни в одном наблюдении.
Осложнения хирургического лечения и несращения переломов ШБК были обнаружены у 10 пациентов группы исследования (8,8% от числа пациентов этой группы, из которых у 9 пациентов перелом можно было отнести к типу Garden IV и у 1 — к типу Garden III), что заставило произвести анализ причин осложнений (миграция фиксатора, развитие АНГБК), частота и характер которых представлены в табл. 5, 6. Каких-либо осложнений в подгруппе исследования Garden I–II не отмечалось.
Таблица 5. Сравнительная частота развития аваскулярного некроза головки бедренной кости, миграции фиксатора и ложного сустава у пациентов группы сравнения через 12 месяцев после оперативного вмешательства, где p — уровень статистической значимости
Table 5. Comparative incidence of avascular necrosis of the femoral head, fixator migration and pseudoarthrosis in patients of the comparison group 12 months after surgery, where p is the level of statistical significance
Вид фиксатора | Тип перелома по Garden | Развитие АНГБК | Миграция фиксатора | Ложный сустав | Всего осложнений, n (%) | р |
ДБВ | I | 0 | 0 | 0 | 0 (0) | <0,05 |
II | 0 | 1 | 0 | 1 (5) | <0,05 | |
III | 2 | 1 | 2 | 5 (25) | <0,05 | |
IV | 2 | 1 | 2 | 5 (25) | <0,05 | |
V-спицы | I | 0 | 1 | 0 | 1 (3,3) | <0,05 |
II | 0 | 3 | 0 | 3 (10) | <0,05 | |
III | 6 | 6 | 4 | 16 (53,3) | <0,05 | |
IV | 9 | 7 | 6 | 22 (73,3) | <0,05 | |
Канюлированные винты | I | 0 | 1 | 0 | 1 (5) | <0,05 |
II | 1 | 2 | 0 | 3 (15) | <0,05 | |
III | 5 | 3 | 3 | 11 (55) | <0,05 | |
IV | 8 | 5 | 2 | 15 (75) | <0,05 | |
Итого | 33 | 31 | 19 | 83 |
Примечание. АНГБК — аваскулярный некроз головки бедренной кости, ДБВ — динамический бедренный винт.
Note. АНГБК — avascular necrosis of the femoral head, ДБВ — a dynamic femoral screw.
Таблица 6. Частота осложнений при использовании динамического деротационного фиксатора (группа исследования) в зависимости от типа перелома по Garden, где p — уровень статистической значимости
Table 6. Frequency of complications in the use of dynamic derotational fixator (study group) depending on the type of Garden fracture, where p is the level of statistical significance
Тип перелома по Garden | Осложнения остеосинтеза | Всего осложнений (%) | р | |||
Развитие АНГБК | Миграция фиксатора | Ложный сустав | «Биопротез» | |||
I | 0 | 0 | 0 | 0 | 0 | <0,05 |
II | 0 | 0 | 0 | 0 | 0 | <0,05 |
III | 2 | 1 | 1 | 2 | 28,5 | <0,05 |
IV | 3 | 3 | 3 | 2 | 100 | <0,05 |
Примечание. АНГБК — аваскулярный некроз головки бедренной кости.
Note. АНГБК — avascular necrosis of the femoral head.
Осложнения хирургического лечения, а также нарушение репаративной регенерации костной ткани в виде несращения переломов были отмечены у 41 пациента группы сравнения (28,3% от количества пациентов этой группы при переломах Garden I–IV), что заставило произвести анализ причин возникновения осложнений (миграция фиксатора, развитие АНГБК), частота и характер которых представлены в табл. 5, 6 и на рис. 2. Наибольшая частота осложнений в обеих группах была отмечена при переломах типа Garden IV, наименьшая — при типе Garden I, клинически значимый интерес представляют осложнения при переломах типа Garden II и III, отображённые на рис. 2.
Рис. 2. Доля аваскулярного некроза головки бедренной кости, миграции фиксатора и развития ложного сустава у пациентов обеих групп через 12 месяцев после оперативного вмешательства.
Примечание. АНГБК — аваскулярный некроз головки бедренной кости, ДБВ — динамический бедренный винт.
Fig. 2. The proportion of avascular necrosis of the femoral head, fixator migration and pseudoarthrosis development in patients of both groups 12 months after surgery.
Note. АНГБК — avascular necrosis of the femoral head, ДБВ — dynamic hip screw.
В группе исследования при переломах Garden III в 4 наблюдениях (3%) и Garden IV в 5 наблюдениях (3,5%) была обнаружена миграция металлофиксатора («прорезание» проксимальных телескопических винтов через ГБК) без возникновения болевого синдрома (консолидация перелома наступила у двоих пациентов) (см. табл. 6).
При анализе результатов остеосинтеза фрагментов ШБК ДДФ у пациентов группы исследования в 6 наблюдениях (4,3%) спустя 1 год после выполненной операции была выявлена рентгенологическая картина несращения перелома ШБК. В 3 наблюдениях (2,6%) пациенты с переломами типа Garden III (в возрасте от 75 лет) самостоятельно передвигались при помощи трости, болей в области тазобедренного сустава у них не отмечалось, субъективно оценивали результат операции как хороший (на удаление металлоконструкции с последующим эндопротезированием тазобедренного сустава никто из этих пациентов не согласился). У двоих пациентов с переломами типа Garden IV и классической клинической картиной несращения перелома, сопровождающейся болью и резким ограничением функции конечности, было произведено удаление металлоконструкции и эндопротезирование тазобедренного сустава, после чего боли регрессировали, пациенты вернулись к привычному для них образу жизни.
Прижизненно диагностированное несращение перелома ШБК в условиях ДДФ, сопровождающегося полным восстановлением функции нижней конечности и отсутствием болевого синдрома, иллюстрирует следующее клиническое наблюдение.
Пациентка Н., № и/б 2224-2015, 50 лет, пострадала в результате дорожно-транспортного происшествия. Через 1 час с момента получения травмы бригадой скорой медицинской помощи доставлена в клинику, диагностирован перелом ШБК справа (Garden III). На вторые сутки пребывания в стационаре выполнена операция методом ДДФ. Пациентку после выписки из стационара неоднократно приглашали на повторные исследования, однако ввиду отсутствия жалоб на приёмы она не приходила. Через 1 год с момента операции амбулаторно выполнила МСКТ таза (проведение которой не было связано с послеоперационной диагностикой), визуализированы КТ-признаки несращения перелома ШБК с формированием замыкательных пластинок в условиях ДДФ (рис. 3). При этом функция конечности и опороспособность восстановлены полностью, пациентка вернулась к привычному преморбидному активному образу жизни. Оценка качества жизни пациентки, рассчитанная с использованием опросника SF-36, соответствует хорошему функциональному результату (физический компонент здоровья — 33,5 балла, психологический — 37,2). Показатель по шкале Харриса составил 76 баллов и был оценён как хороший функциональный результат. От предложенного эндопротезирования ТБС отказалась.
Рис. 3. КТ-картина несращения перелома шейки бедренной кости у пациентки через 12 месяцев с момента операции.
Fig. 3. CT image of non-union of femoral neck fracture in a patient 12 months after surgery.
Таким образом, при наличии рентгенологически подтверждённого несращения перелома ШБК в условиях остеосинтеза с использованием методики ДДФ у этой пациентки не отмечалось ни болевого синдрома, ни функциональных нарушений нижней конечности, требующих хирургического лечения; такой клинико-рентгенологической картины мы не наблюдали ни у одного пациента с ложным суставом ШБК из группы сравнения.
В 8 наблюдениях группы исследования (7%) при остеосинтезе с помощью ДДФ была допущена техническая ошибка при расположении пластины относительно диафиза БК, что привело к отстоянию пластины от кости (рис. 4). Послеоперационный ортопедический режим у таких пациентов не отличался от такового других больных группы исследования. При этапных контрольных осмотрах пациентов с использованием рентгенологических исследований осложнений не выявлено. Таким образом, установлено, что эта техническая ошибка не влияет на сращение перелома ШБК, не приводит к миграции фиксаторов и не увеличивает риск патологических периимплантных переломов в отдалённом послеоперационном периоде.
Рис. 4. Рентгенограмма пациента с отстоянием пластины от диафиза бедренной кости.
Fig. 4. X-ray of a patient with a plate distance from the femoral shaft.
Следующий клинический пример демонстрирует достаточно редкий вид послеоперационного осложнения для группы исследования — миграцию металлофиксатора. Пациентка Н., № и/б 7124/2019, 50 лет, поступила в клинику через 1,5 часа после дорожно-транспортного происшествия с изолированным переломом ШБК справа, тип Garden III (рис. 5).
Рис. 5. Рентгенография тазобедренного сустава пациентки Н. при поступлении.
Fig. 5. X-ray of the hip joint of patient N. upon admission.
Учитывая возраст пациентки (50 лет), от эндопротезирования ТБС было решено воздержаться. Через 18 часов с момента получения травмы была выполнена операция методом ДДФ с использованием 4 телескопических винтов в ШБК (рис. 6).
Рис. 6. Рентгенография тазобедренного сустава пациентки Н. после операции.
Fig. 6. X-ray of the hip joint of patient N. after surgery.
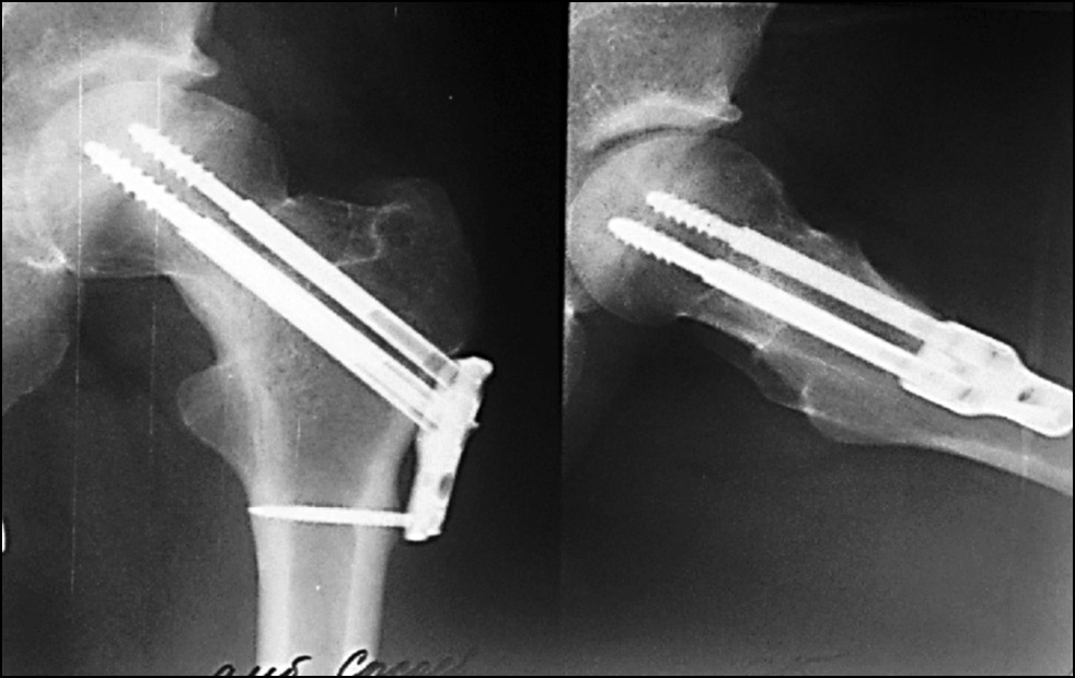
Пациентка была обучена ходьбе с дозированной нагрузкой на оперированную конечность до 35% от массы тела. На 5-е сутки пребывания в стационаре была выписана на амбулаторное лечение. На контрольные консультации и этапную рентгенографию после операции пациентка не приходила. Через 4 месяца с момента операции в связи с появившимися болями в области послеоперационного рубца пациентка обратилась в клинику. Факт повторной травмы категорически отрицает, при детальном сборе анамнеза выяснено, что через 2 недели с момента операции пациентка самостоятельно отказалась от костылей, ходила с полной нагрузкой на оперированную конечность. При выполнении контрольной рентгенографии ТБС через 6 месяцев с момента операции диагностирована миграция телескопического винта кнаружи, линия перелома ШБК прослеживается (рис. 7a).
Рис. 7. Рентгенография тазобедренного сустава пациентки Н. с миграцией телескопического винта: a — через 6 месяцев с момента операции, b — после удаления мигрировавшего винта.
Fig. 7. X-ray of the hip joint of patient N. with migration of the telescopic screw: a — 6 months after the operation, b — after removal of the migrated screw.
Ввиду наличия миграции фиксатора и прослеживающейся линии перелома на рентгенограмме пациентке предложено оперативное вмешательство — эндопротезирование ТБС. От предложенной операции больная категорически отказалась, настаивая на удалении мигрировавшего компонента металлоконструкции, что и было выполнено через 6 месяцев с момента операции (рис. 7b).
После удаления винта пациентка, несмотря на рекомендации дозирования нагрузки на оперированную конечность, продолжала ходить без дополнительной опоры. Через 6 месяцев с момента получения перелома ШБК при контрольной рентгенографии костей таза (рис. 8) обнаружена консолидация перелома. Пациентка ходит без дополнительной опоры и без хромоты, симптом Транделенбурга отрицательный. Оценка качества жизни пациентки, рассчитанная с использованием опросника SF-36, соответствовала хорошему функциональному результату (физический компонент здоровья — 28,5 балла, психологический — 29,1 балла). Показатель по шкале Харриса составил 90 баллов и был оценён как отличный функциональный результат.
Рис. 8. Рентгенография костей таза пациентки Н. через 6 месяцев с момента перелома шейки бедренной кости.
Fig. 8. X-ray of the pelvic bones of patient N. 6 months after the fracture of the femoral neck.
Таким образом, все осложнения могут быть подразделены на связанные с позиционированием металлофиксатора, нарушением послеоперационного ортопедического режима у больного, неправильным выбором тактики использования ДДФ (например, при переломах ШБК типа Garden IV, а также Garden III у пациентов старшей возрастной группы). Концепция ДДФ позволяет в большинстве случаев достичь хорошего конечного клинического эффекта оперативного лечения (сращение перелома, восстановление функции конечности) даже при наличии осложнений в интра- и послеоперационном периодах.
В группе исследования сращение переломов ШБК по типу Garden III достигнуто в 59,6% случаев (28 пациентов). При переломах типа Garden III в группе сравнения сращение перелома достигнуто при использовании динамического бедренного винта в 44,5% (9 пациентов), V-спиц — 32,7% (10 пациентов), канюлированных винтов — 38,0% (8 пациентов).
При переломах Garden IV и в группе сравнения, и в группе исследования сращение перелома не достигнуто ни в одном наблюдении.
Наибольшая частота развития АНГБК (диагностированная при помощи МРТ) была выявлена при остеосинтезе переломов V-спицами и канюлированными винтами (33 и 35% соответственно); при использовании в качестве фиксаторов ДДФ и ДБВ частота аваскулярного некроза составляла 8 и 18% соответственно.
У ряда пациентов обеих групп при оценке отдалённых результатов была отмечена хромота на оперированную нижнюю конечность при сращении перелома (табл. 7). Пациентов с переломами типа Garden IV к исследованию причин возникновения хромоты не привлекали в связи с отсутствием сращения при этом типе перелома.
Таблица 7. Процентное соотношение пациентов со сросшимся переломом шейки бедренной кости и наличием хромоты на оперированную конечность, где р — показатель значимости
Table 7. The degree of reduction in the offset length in patients of both groups with lameness on the operated limb with a percentage ratio, where p is the significance indicator
Тип перелома по Garden | Фиксатор, % | ||||
ДДФ | ДБВ | Канюлированные винты | V-спицы | р | |
I | 0 | 0 | 0 | 14 | <0,05 |
II | 33 | 45 | 75 | 71 | <0,05 |
III | 64 | 65 | 100 | 100 | <0,05 |
Развитие хромоты у этих пациентов было вызвано уменьшением плеча силы мышц-абдукторов (длины офсета), в связи с чем было выполнено измерение длины офсета и выделено три степени его укорочения (табл. 8).
Таблица 8. Степень уменьшения длины офсета у пациентов обеих групп с наличием хромоты на оперированную конечность с процентным отношением, где р — показатель значимости
Table 8. Degree of reduction in offset length in patients of both groups with the presence of claudication on the operated limb with percentage, where p is the significance index
Фиксатор | Тип перелома по Garden | Степень укорочения в процентном отношении от первоначальной величины офсета | р | ||
До 5% | От 5 до 10% | Свыше 15% | |||
ДДФ | I | 0 (0%) | 0 (0%) | 0 (0%) | <0,05 |
II | 11 (65%) | 5 (29%) | 1 (6%) | <0,05 | |
III | 4 (22%) | 7 (39%) | 7 (39%) | <0,05 | |
ДБВ | I | 0 (0%) | 0 (0%) | 0 (0%) | <0,05 |
II | 1 (17%) | 3 (50%) | 2 (33%) | <0,05 | |
III | 0 (0%) | 3 (33%) | 6 (67%) | <0,05 | |
Канюлированные винты | I | 0 (0%) | 0 (0%) | 0 (0%) | <0,05 |
II | 1 (17%) | 4 (67%) | 1 (17%) | <0,05 | |
III | 0 (0%) | 2 (40%) | 5 (60%) | <0,05 | |
V-спицы | I | 1 (100%) | 0 (0%) | 0 (0%) | <0,05 |
II | 1 (20%) | 3 (60%) | 1 (20%) | <0,05 | |
III | 0 (0%) | 2 (20%) | 8 (80%) | <0,05 | |
Изначально изменение офсета определяли по уменьшению его абсолютной величины (в мм), что, однако, не позволяло проводить сравнение антропометрических характеристик у пациентов разного пола, роста и конституции. Таким образом, конечным методом определения степени изменения офсета был выбран расчёт его уменьшения в процентном отношении от контралатеральной неповреждённой стороны. При переломах типа Garden I только в одном клиническом наблюдении с применением V-спиц было выявлено уменьшение длины офсета до 5%, типа Garden II — от 5 до 15%. В группе исследования при использовании ДДФ при переломах типа Garden II в 65% наблюдений отмечено уменьшение офсета до 5%; в группе сравнения при переломах типа Garden II основное количество наблюдений было при снижении офсета от 5 до 10% (при применении ДБВ в 50% наблюдений, канюлированных винтов — в 67%, V-спиц — в 60%). Максимальные же изменения длины офсета (более 15 мм) были отмечены у пациентов с переломами типа Garden III в обеих группах (при использовании ДДФ — 39%, ДБВ — 67%, канюлированных винтов — 60%, V-спиц — 80%).
Таким образом, возникновение хромоты у пациентов со сросшимся переломом ШБК было следствием консолидации перелома на фоне уменьшения величины офсета вследствие произошедшего остеолиза как в результате степени смещения отломков перелома (фактор перелома), так и имплантации металлоконструкции (фактор фиксатора). Отсутствие или минимальное смещение отломков при переломах типа Garden I не приводит к терминальному нарушению кровоснабжения и, следовательно, к развитию остеонекроза кости с последующей её резорбцией. При переломах типа Garden III хромота возникает в 64% случаев сращения переломов при использовании ДДФ, в группе сравнения — в 65% при имплантации динамического бедренного винта и в 100% при применении V-спиц. Таким образом, динамика роста хромоты и уменьшение офсета соответствуют типу фиксации перелома (рис. 9–11). Важно отметить, что высокая доля хромоты связана с большей долей сращения переломов ШБК, следовательно, хромоту при переломах типа Garden III мы расцениваем как последствие сращения перелома; таким образом, мы «расплачиваемся» хромотой за консолидацию перелома.
Рис. 9. Зависимость степени укорочения офсета от типа перелома по Garden у пациентов обеих групп, %.
Fig. 9. Dependence of the degree of offset shortening on the type of fracture according to Garden in patients of both groups (%).
Рис. 10. Зависимость частоты хромоты от типа перелома по Garden у пациентов со сросшимися переломами шейки бедренной кости, %.
Fig. 10. Dependence of the frequency of lameness on the type of fracture according to Garden in patients with healed fractures of the femoral neck (%).
Рис. 11. Зависимость частоты консолидации перелома шейки бедренной кости от типа перелома по Garden, %.
Fig. 11. Dependence of the frequency of consolidation of femoral neck fracture on the type of fracture according to Garden (%).
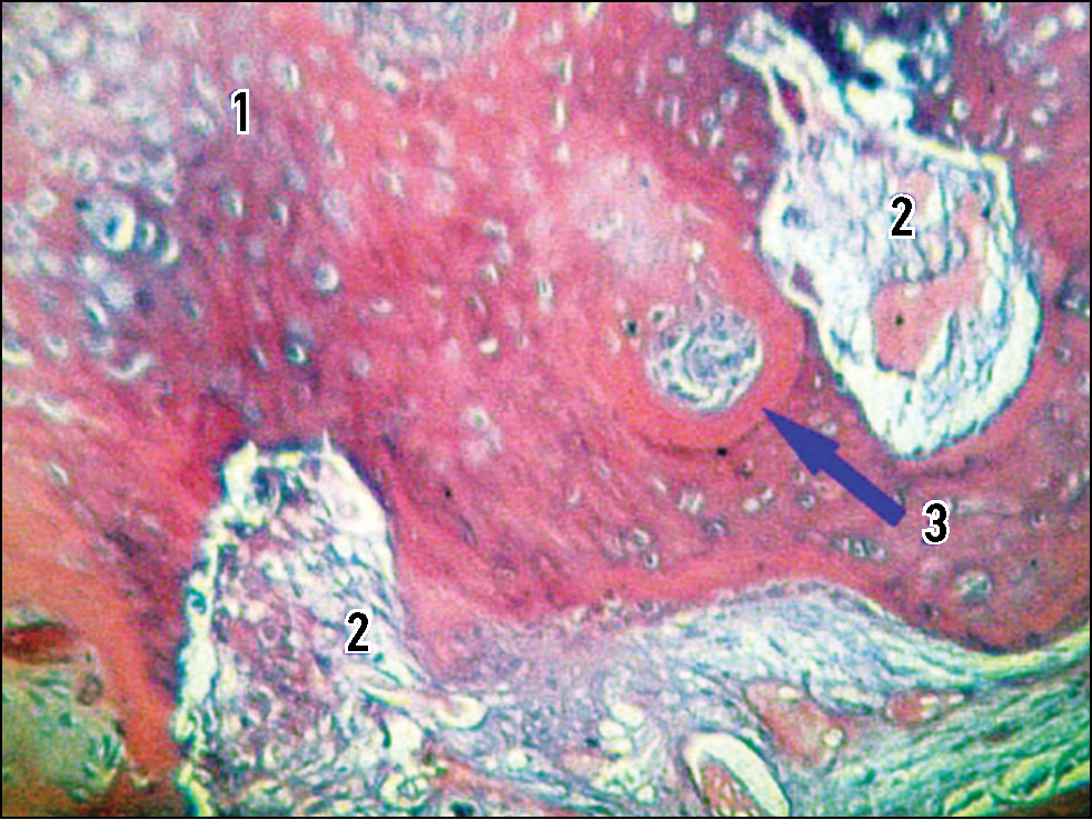
В группе исследования при переломах типа Garden III в 4 наблюдениях (3%) и Garden IV в 5 наблюдениях (3,5%) была обнаружена миграция металлофиксатора (перфорация проксимальных телескопических винтов через ГБК); у двоих пациентов с переломами ШБК типа Garden III консолидация перелома наступила после удаления мигрировавших фиксаторов. Эта перфорация была результатом технической ошибки выполнения хирургического вмешательства — неправильного расположения фиксатора относительно топографо-анатомических ориентиров бедренной кости с введением телескопических винтов в задне-верхний полюс ГБК (cut-out-эффект). У двоих пациентов с переломами типа Garden IV было выполнено удаление металлофиксатора с последующим эндопротезированием сустава; трое пациентов c переломами типа Garden III от повторных хирургических вмешательств отказались из-за незначительного болевого синдрома и приемлемости функциональных возможностей поражённой конечности для жизни (показатель по шкале Харриса — 78–84). Впоследствии эти три пациента, отказавшиеся от эндопротезирования ТБС, умерли через 18, 20, 24 месяца с момента перелома ШБК от причин, не связанных с последствиями миграции фиксатора (острое нарушение мозгового кровообращения у двоих, рак головки поджелудочной железы у одного пациента). При аутопсии этих пациентов макроскопически было выявлено отсутствие сращения перелома с наличием грубых соединительнотканных рубцов в области перелома и отсутствием видимой патологической подвижности. Микроскопически визуализировано образование хрящевых клеток в области перелома (рис. 12).
Рис. 12. Формирование пластинчатых костных трабекул (3) из гипертрофированных хрящевых клеток (1). Хорошо васкуляризированная рубцовая ткань (2) (×100).
Fig. 12. Formation of lamellar bone trabeculae (3) from hypertrophied cartilage cells (1). Well vascularised scar tissue (2) (×100).
Через 1 год после оперативного лечения при помощи шкалы Харриса и опросника качества жизни SF-36 была проведена оценка функциональных результатов. Полученные данные (средний балл по шкале Харриса в группе исследования (F(x)=78 (68–88)) показали преимущество метода ДДФ над методиками, использованными в лечении пациентов группы сравнения ((F(x)=64 (56–80) для ДБВ, (F(x)= 25 (20–43) для V-спиц и (F(x)=44 (33–59) для канюлированных винтов). Развитие хромоты у пациентов группы исследования, связанное с уменьшением плеча силы мышц-абдукторов, наблюдалось в 33% отдалённых наблюдений при переломах типа Garden II и 64% — при Garden III. В группе сравнения при переломах типа Garden I хромота отмечена в 11% наблюдений при применении V-cпиц; при переломах типа Garden II хромота отмечена в 75% клинических случаев при использовании ДБВ и канюлированных винтов и в 71% — при применении V-спиц; при переломах типа Garden III — в 100% после применения ДБВ и V-cпиц и в 87,5% — при использовании канюлированных винтов. В группе исследования (физический компонент здоровья по SF-36 составил 26,65, психологический — 35,56) отмечены снижение интенсивности боли, увеличение оценки жизненной активности больных и физического функционирования конечности; также социальная адаптация происходила раньше, чем у пациентов группы сравнения (физический компонент здоровья — 22,76, психологический — 26,84). Наименьшее количество АНГБК диагностировано у пациентов группы исследования (8% клинических наблюдений), в то время как наибольшая частота развития АНГБК была отмечена при остеосинтезе переломов V-спицами и канюлированными винтами (33 и 35%).
У 68 пациентов группы сравнения (26,3% от общего числа) была отмечена миграция фиксаторов с появлением выраженного болевого синдрома, причём консолидация перелома не наступила ни в одном наблюдении.
Наиболее частым видом послеоперационных осложнений при использовании V-спиц, канюлированных винтов и ДБВ была миграция металлофиксаторов с перфорацией бедренной кости (см. табл. 5).
Таким образом, в группе сравнения всего было обнаружено 83 различного рода осложнения в периоде до 1 года после операции, что составило 57% от количества пациентов этой группы (см. табл. 5). Стоит отметить, что у некоторых пациентов группы сравнения наблюдалось сочетание осложнений, например миграция металлофиксатора и развитие АНГБК или несращение перелома с миграцией фиксатора. Принципиально важно указать, что у пациентов группы исследования при анализе отдалённых результатов никогда не было отмечено более одного вида осложнений.
ЗАКЛЮЧЕНИЕ
- Через 12 месяцев после операции у пациентов с переломами шейки бедренной кости типа Garden I и II при использовании методики динамического деротационного остеосинтеза сращение перелома наступило в 100% клинических наблюдений, при использовании динамического бедренного винта — в 75,2%, V-спиц — в 67,5%, канюлированных винтов — в 65,15%. При переломах шейки бедренной кости типа Garden III в группе исследования сращение достигнуто в 59,6%, в группе сравнения — в 34,5% при имплантации динамического бедренного винта, в 22,7% — при применении V-спиц, в 28,0% — при применении канюлированных винтов. При переломах типа Garden IV консолидации не возникло ни в одном наблюдении.
- Переломы шейки бедренной кости типа Garden I не приводят к развитию аваскулярного некроза головки бедренной кости. С увеличением угла плоскости перелома и, соответственно, ухудшением кровоснабжения головки бедренной кости отмечено возрастание частоты развития аваскулярного некроза, достигающее максимума при типе перелома Garden III: в 39,2% — при имплантации динамического бедренного винта, в 30,1% — при применении V-спиц, в 34,2% — при применении канюлированных винтов и в 21,8% — при использовании динамического деротационного остеосинтеза.
- Хромота при сросшемся переломе шейки бедренной кости связана с происходящим остеолизом в зоне перелома и, вследствие этого, уменьшением офсета бедра как в результате степени смещения отломков перелома (фактор перелома), так и динамической функции имплантата (фактор фиксатора). При сросшихся переломах типа Garden I хромота не возникает. После применения динамического деротационного остеосинтеза при переломах типа Garden II хромота была отмечена в 33% клинических наблюдений, при Garden III — в 64%. При переломах типа Garden II после использования динамического бедренного винта или канюлированных винтов хромота возникала в 75% (и в 71% при применении V-спиц), при переломах типа Garden III — в 100% при имплантации динамического бедренного винта и V-спиц и в 87,5% — при использовании канюлированных винтов. Всё это в совокупности позволяет предположить, что конструктивные особенности фиксатора влияют на формирование офсета.
ДОПОЛНИТЕЛЬНО
Вклад авторов. Все авторы одобрили финальную версию перед публикацией, а также согласились нести ответственность за все аспекты работы, гарантируя надлежащее рассмотрение и решение вопросов, связанных с точностью и добросовестностью любой её части.
Этическая экспертиза. Все пациенты подписали информированное согласие на лечение. Детализирующая информация, способствующая персонификации включённых в исследование пациентов, отсутствует.
Источники финансирования. Отсутствуют.
Раскрытие интересов. Авторы декларируют отсутствие явных и потенциальных конфликтов интересов, связанных с проведённым исследованием и публикацией настоящей статьи.
Оригинальность. При создании настоящей работы авторы не использовали ранее опубликованные сведения (текст, данные).
Доступ к данным. Доступ к данным, полученным в настоящем исследовании, закрыт по причине конфиденциальности (наличия в базе данных сведений, на основании которых могут быть идентифицированы участники исследования, и отсутствия их согласия на распространение этих сведений).
Рассмотрение и рецензирование. Настоящая работа подана в журнал в инициативном порядке и рассмотрена по обычной процедуре. В рецензировании участвовали два внешних рецензента, член редакционной коллегии и научный редактор издания.
ADDITIONAL INFO
Author contribution. All authors have approved the final version before publication and have also agreed to be responsible for all aspects of the work, ensuring that issues relating to the accuracy and integrity of any part of it are properly addressed and resolved.
Ethics approval. All patients signed an informed consent for treatment. There is no detailed information to facilitate the personification of the patients included in the study.
Funding sources. No funding.
Disclosure of interests. The authors declare that they have no competing interests.
Statement of originality. The authors did not use previously published information (text, data) to create this paper.
Data availability statement. Access to the data obtained in this study is closed due to confidentiality (the presence in the database of information on the basis of which the study participants can be identified and the lack of their consent to the dissemination of this information).
Provenance and peer-review. This paper was submitted to the journal on an initiative basis and reviewed according to the usual procedure. Two external reviewers, a member of the editorial board and the scientific editor of the publication participated in the review.
About the authors
Vadim E. Dubrov
Lomonosov Moscow State University; Lopukhin Federal Research and Clinical Center of Physical-Chemical Medicine
Email: vduort@gmail.com
ORCID iD: 0000-0001-5407-0432
SPIN-code: 8598-7995
MD, Dr. Sci. (Medicine), professor
Russian Federation, Moscow; 1a Malaya Pirogovskaya str., 119435 MoscowAleksandr V. Yudin
Lomonosov Moscow State University; Lopukhin Federal Research and Clinical Center of Physical-Chemical Medicine
Author for correspondence.
Email: udin_av2007@mail.ru
SPIN-code: 7945-7640
MD
Russian Federation, Moscow; 1a Malaya Pirogovskaya str., 119435 MoscowDmitry A. Zuzin
Lomonosov Moscow State University
Email: zuz-pas59@yandex.ru
MD
Russian Federation, MoscowVladislav V. Filippov
Lomonosov Moscow State University
Email: vfil@mail.ru
ORCID iD: 0000-0002-4195-3153
SPIN-code: 4934-8191
MD, Dr. Sci. (Medicine)
Russian Federation, MoscowYakov R. Borodai
Lomonosov Moscow State University
Email: ipetrovzif@gmail.com
MD
Russian Federation, MoscowIvan M. Scherbakov
Lomonosov Moscow State University
Email: imscherbackov@yandex.ru
ORCID iD: 0000-0001-5487-9039
SPIN-code: 2031-0375
MD, Cand. Sci. (Medicine)
Russian Federation, MoscowRuslan V. Zaitsev
Lomonosov Moscow State University
Email: zaitcev-doc@gmail.com
MD, Cand. Sci. (Medicine)
Russian Federation, MoscowReferences
- Ardashov IP, Grigoruk AA, Kalashnikov VV. Opyt lecheniya perelomov shejki bedrennoj kosti puchkami V-obraznyh spic. Medicina v Kuzbasse. 2012;11(2):18–23. (In Russ.). EDN: PUOSMF
- Belinov NV, Bogomolov NI, Ermakov VS, Namokonov EV. Zakrytyj kompressionnyj osteosintez pri perelomah shejki bedrennoj kosti sposobom avtorov. N.N. Priorov Journal of Traumatology and Orthopedics. 2005;(1):16. (In Russ.). EDN: OIONYL
- Gil’fanov SI. Lechenie perelomov proksimal’nogo otdela bedra [dissertation]. Yaroslavl, 2010. 262 р. (In Russ.).
- Bogopol’skij OE. Instrumental’naya diagnostika i predoperacionnoe planirovanie artroskopii tazobedrennogo sustava pri femeroacetabulyarnom impidzhment-sindrome: lekciya. Travmatologiya i ortopediya Rossii. 2021;27(4):155–168. (In Russ.). doi: 10.21823/2311-2905-1636 EDN: WMVHEF
- Gneteckij SF. Subkortikal’nyj osteosintez perelomov shejki bedrennoj kosti u lic molodogo i srednego vozrasta (kliniko-eksperimental’noe issledovanie) [dissertation]. Moscow, 2003. 129 р. (In Russ.). EDN: QEFLNF
- Ezhov IYu. Hirurgicheskoe lechenie perelomov shejki bedrennoj kosti i ih oslozhnenij [dissertation]. Nizhniy Novgorod, 2010. 41 р. (In Russ.). EDN: QHAOKR
- Ivanova IU. Hirurgicheskoe lechenie bol’nyh s subkapital’nymi perelomami shejki bedra [dissertation]. Petrozavodsk, 1998. 180 р. (In Russ.).
- Ismailov SI, Hodzhamberdieva DSh, Rihsieva NT. Osteoporoz i nizkoenergeticheskie perelomy shejki bedra kak oslozhnenie razlichnyh endokrinnyh zabolevanij. Mezhdunarodnyj endokrinologicheskij zhurnal. 2013;(5):113–120. (In Russ.). EDN: RCEABZ
- Karev DB, Karev BA, Boltrukevich SI. Oshibki i oslozhneniya v lechenii pacientov s medial’nymi perelomami shejki bedrennoj kosti. Vestnik Vitebskogo GMU. 2009;8(1):39–44. (In Russ.).
- Klyuchevskij VV. Hirurgiya povrezhdenij. Yaroslavl, 1999. 784 р. (In Russ.).
- Kolondaev AF, Rodionova SS, Solod EI. Kombinirovannoe lechenie perelomov shejki bedrennoj kosti na fone osteoporoza. Russkij medicinskij zhurnal. 2004;12(24):1388–1392. (In Russ.).
- Lazarev AF, Solod EI, Ragozin AO. Lechenie perelomov proksimal’nogo otdela bedrennoj kosti na fone osteoporoza. N.N. Priorov Journal of Traumatology and Orthopedics. 2004;(4):27–31. (In Russ.). EDN: OIZQQP
- Lazarev AF, Nikolaev AP, Solod EI. Politenzofascikulyarnyj osteosintez pri perelomah shejki bedrennoj kosti u bol’nyh pozhilogo i starcheskogo vozrasta. N.N. Priorov Journal of Traumatology and Orthopedics. 1999;(1):21–26. (In Russ.).
- Lazarev AF, Solod EI. Maloinvazivnyj perkutannyj osteosintez perelomov shejki bedrennoj kosti u pozhilyh bol’nyh na fone osteoporoza. Klinicheskaya gerontologiya. 2003;(6):24–27. (In Russ.).
- Lemeshko BYu. Ob oshibkah, sovershaemyh pri ispol’zovanii neparametricheskih kriteriev soglasiya. Izmeritel’naya tekhnika. 2004;(2):15–20. (In Russ.).
- Samodaj VG, Ryl’kov MI, Brekhov VL. K voprosu o lechenii zakrytyh perelomov shejki bedra. Vestnik eksperimental’noj i klinicheskoj hirurgii. 2009;2(4):335–338. (In Russ.).
- Sidorenko EV. Metody matematicheskoj obrabotki v psihologii. Saint-Petersburg: Rech’; 2007. 349 р. (In Russ.). EDN: QXQKTZ
- Bonnaire F, Zenker H, Lill C, Weber AT, Linke B. Treatment strategies for proximal femur fractures in osteoporotic patients. Osteoporos Int. 2005;16 Suppl 2:S93–S102. doi: 10.1007/s00198-004-1746-7
- Garden RS. Classification of subcapital fractures of the femoral neck. J Bone Joint Surg. 1964;(46):630–635.
- Harris WH. Traumatic arthritis of the hip after dislocation and acetabular fractures: treatment of mold arthroplasty. An end-results study using a new method of result evaluation. J Bone Joint Surg Am. 1969;51(4):737–55.
- Horan BF, Holland RB, Warden JC. How best to fix a broken hip. Med J Aust. 2000;172(1):47–8.
- Huusko Т, Karppi P, Avikainen V. Randomised, clinically controlled trial of intensive geriatric rehabilitation in patients with hip fracture: subgroup analysis of patients with dementia. BMJ. 2000;321(7269):1107–11. doi: 10.1136/bmj.321.7269.1107
- Kim JW, Nam KW, Yoo JJ. The role of preoperative bone scan for determining the treatment method for femoral neck fracture. Int Orthop. 2007;31(1):61–4. doi: 10.1007/s00264-006-0138-3
- Moroni A, Hoang-Kim A, Lio V. Current augmentation fixation techniques for the osteoporoticpatient. Scand J Surg. 2006;95(2):103–9. doi: 10.1177/145749690609500205
- Parker MJ, Stedtfeld HW. Internal fixation of intracapsular hip fractures with a dynamic locking plate; initial experience and results for 83 patients treated with a new implant. Injury. 2010;41(4):348–51. doi: 10.1016/j.injury.2009.09.004
- Schmidt J, Letsch R, Kuhling J. Stability of screw fixation of femoral neck fractures — a biomechanical trial. Osteo Trauma Care. 2005;(13):76–81.
- Instructions for processing data obtained with the SF-36 questionnaire. Available from: http://bono-esse.ru/blizzard/RPP/sf36.pdf. (In Russ.).
Supplementary files















