Surgery features of aneurysmal bone cysts of the spine in children
- Authors: Snetkov A.A.1, Gamayunov R.S.1, Kuleshov A.A.1, Kolesov S.V.1, Akinshina A.D.1
- 
							Affiliations: 
							- N.N. Priorov National Medical Research Center of Traumatology and Orthopedics
 
- Issue: Vol 28, No 1 (2021)
- Pages: 77-88
- Section: Articles
- Submitted: 17.03.2021
- Accepted: 18.03.2021
- Published: 15.03.2021
- URL: https://journals.eco-vector.com/0869-8678/article/view/63523
- DOI: https://doi.org/10.17816/vto63523
- ID: 63523
Cite item
Full Text
Abstract
The article presents the long-term experience of stepwise surgical treatment of pediatric patients with aneurysmal cysts of the spine. The considered material is based on the data of long-term results and various approaches to the resection technique of pathological neoplasm; each approach takes into account the localization, lesion volume, spine growth potential, neurological status, secondary spinal deformity.
Full Text
Аневризмальные кисты позвоночника у детей — актуальная проблема современной травматологии и ортопедии. К настоящему моменту в отечественной и зарубежной литературе описано значительное количество пролеченных пациентов с данной нозологией, однако большинство работ относится к формату «клинический случай» (clinical case), и обобщение результатов связано со значительными сложностями. Систематизированные же данные по лечению данной нозологии достаточно скудны.
Аневризмальные кисты костей (в том числе позвонков) — доброкачественные новообразования, патофизиология которых исследована не до конца, хотя большинство исследователей склоняется к версии, согласно которой в основе процесса лежит сосудистая мальформация [1]. При этом накоплены сведения, согласно которым аневризмальные кисты возникают в локализациях, соответствующих местам более ранних травм [2–4]. К вертебральной локализации относятся от 10 до 30 % всех АКК [5]. АКК позвоночного столба часто характеризуются агрессивным течением; их прогрессирующее увеличение ведет к формированию деформаций позвоночника, неврологическому дефициту и нестабильности [6]. При этом клиническая манифестация или обнаружение АКК, как правило, происходят в течение 1-го или 2-го десятилетия жизни [7, 8].
Хирургический метод исторически являлся основным в лечении АКК различных локализаций (включая и АКК позвоночника), с кюретажем образовавшейся полости и заполнением ее костным материалом либо резекцией en bloc [5]. При этом риск рецидива аневризмальных кист позвоночного столба, по последним данным, составляет 12 % при тотальной (en bloc) резекции позвонка, при субтотальной резекции этот параметр может возрастать до более чем 50 % [1], [9–12].
Вопрос об удалении АКК, расположенных в шейном отделе позвоночника, стоит несколько особняком из-за своей сложности. Хирургический метод считается радикальным методом лечения, однако частота рецидивов данной локализации составляет до 30 % [13, 14]. Зачастую выполняется ламинэктомия, изменяющая анатомо-биомеханические характеристики связочного аппарата в данной области и, соответственно, увеличивающая риск возникновения постламинэктомического кифоза [7, 15–17]. Тактика стабилизации позвоночника у детей (возрастом менее 10 лет) остается дискуссионной, учитывая высокую частоту осложнений и потенциал проста позвоночника. В таких случаях часто предпочитают сочетание фиксации с ортезированием, как с целью послеоперационной иммобилизации , так и с целью дополнительной коррекции. [18–20].
Транспедикулярная фиксация рассматривается многими авторами как необходимый компонент лечения, позволяющий предотвратить формирование постламинэктомического кифоза и возникновение повреждений невральных структур [18, 21–24]. Существует мнение [16], что металлофиксация нужна при резекции более чем 1 суставногоотростка. В настоящее время популярна точка зрения, что для фиксации позвоночника металлоконструкцией, должна присутствовать нестабильность или ее угроза в отдалённый период [15, 16, 25, 26]. Данных по вопросам применения костно-пластического материала в сочетании с металлоконструкцией при аневризмальных костных кистах позвоночника при анализе литературы не выявлено.
По данным работы Panayiotis и соавт. [27], кровотечения наиболее часто происходили при кюретаже АКК в сравнении с другими методами. На этом фоне предварительная эмболизация (по итогам или совместно с селективной ангиографией) является необходимым компонентом в лечении АКК размером больше 5-8 см, а также для тех из них, для которых использование других методов лечения технически крайне сложно или сопряжено с высоким риском [28–33]
Ряд интервенционных методов лечения АКК, в том числе вертебральной локализации, к настоящему моменту весьма широк. Он включает криотерапию, склеротерапию, инъекции концентрата клеток и матрикса костного мозга, селективную артериальную эмболизацию и радионуклидную абляцию [5, 6, 18, 34–36].
В 2013 г. Shiels и Mayerson доказали, что склеротерапия при помощи доксициклина может являться перспективным методом лечения, так как значительно снижает риск осложнений — до менее чем 12 % [37]. При этом имеются сведения о применении данной методики в лечении рецидивирующих АКК С2-С3 позвонков [38]. Имеются сведения о пункционном применении кальцитонина и метилпреднизолона: методы зарекомендовали себя как безопасные (без зарегистрированных побочных эффектов). Кальцитонин снижает активность остеокластов, а метилпреднизолон имеет ангиостатичный и антифибробластический эффект [39, 40].
По нашим данным при пункционном лечении в результате промывания полости кисты растворами аминокапроновой кислоты отмечено значительное снижение её активности и агрессивности, однако в данных обзора литературы данный метод при кистах позвоночного столба фигурировал незначительно.
Внимания заслуживает применение бисфосфонатов для лечения АКК, локализованных в позвонках, описанное в публикации Kieser и соавт. [41] Публикация создана с учетом более ранних наработок Weinstein и соавт.[42]. 6 пациентов в возрасте от 7 до 22 лет (средний возраст 15 лет) получали лечение памидронатом по поводу АКК задних элементов позвонков. В исследовании получены следующие основные результаты: осложнений не зарегистрировано; отек костной ткани купировался на сроках до 3 мес.; дефект костной ткани полностью устранялся (оссифицировался) на сроках в 6-12 мес.
Лучевая терапия, по данным литературы, не может быть рекомендована (за исключением неоперабельных случаев): при ее применении существенен риск развития некроза костной ткани, миелопатии, поражения органов репродуктивной системы [43, 44].
В настоящее время в литературе крайне ограничены сведения о результатах проспективных наблюдений, не относящихся к формату «клинический случай» (case series). Внимания заслуживают данные работы Protas и соавт. [45], выполненной на основе данных 71 пациента с АКК (средний возраст 10,28 ± 3,10 лет с временем наблюдения (follow-up) 55,07 ± 58,48 месяцев, осложнения встретились только у 13 пациентов (18,31 % от общего числа). Из них: симптом Горнера — у 4 пациентов, дисфагия — 2, слабость — 2, неврологический дефицит без специфических синдромных проявлений — 2, периимплантная инфекция — 1, дисфония — 1, повреждение позвоночной артерии — 1, серома области операции — 1, радикулопатический болевой синдром — 1, несращение костной ткани — 1.
Цель — анализ результатов хирургического лечения пациентов с аневризмальными костными кистами позвоночника у детей.
МАТЕРИАЛЫ И МЕТОДЫ
Материалом исследования послужили данные о лечении пациентов с выявленными аневризмальными костными кистами позвоночника в ФГБУ «НМИЦ ТО им. Н.Н. Приорова» в период с 1998 по 2020 в отделении детской костной патологии и подростковой ортопедии, с 2012 по 2020 в отделении патологии позвоночника, отделения детской вертебрологии с 2012 по 2020 г.
Хирургическое лечение проводилось у 78 пациентов в возрасте от 3 до 19 лет. Из них больных мужского пола — 32 (41 %), женского — 46 (59 %). По локализации: шейный отдел — 27 (35 %), грудной отдел — 15 (19 %), поясничный отдел — 21 (27 %), крестцовый отдел — 15 (19 %). В неврологическом статусе у 7 пациентов имелась неврологическая симптоматика связанная с формированием стеноза позвоночного канала новообразованием в виде нарастающего нижнего парапареза и верхнего парапареза в двух случаях за счёт аневризмальной кисты в шейном отделе позвоночника. При этом болевой синдром был выявлено в 62 случаях и в большинстве своём являлся причиной обращения к врачу для дальнейшего дообследования и постановки диагноза.
По данным КТ и МРТ исследований уровень жидкости определялся в 49 (63 %) случаях. По объёму поражения передней средней и задней опороной колонны пациенты распределены следующим образом (таблица).
Таблица. Распределение по локализации патологического очага среди пациентов
Table. Patient distribution by localization of the pathological focus
| Передняя опорная колонна позвоночника | Средняя опорная колонна позвоночника | Задняя опорная колонна позвоночника | |
| Шейный отдел — 27 | 12 | 15 | 20 | 
| Грудной отдел позвоночника — 15 | 6 | 8 | 13 | 
| Поясничный отдел позвоночника — 21 | 11 | 7 | 16 | 
| Крестцовый отдел позвоночника — 15 | 8 | 9 | 7 | 
По данным этой таблицы стоит отметить достаточно частое поражение всех трёх опорных колонн позвоночного столба, однако в шейном , грудном и поясничном отделах — акцент частоты встречаемости смещён к задней опорной колонне. При этом достаточно редко была поражена только одна опорная колонна.
У 14 пациентов аневризмальная киста распространялась на смежные позвонки, что так же потребовало их вовлечение в объём хирургического лечения. Стоит отметить, что такая частота вовлечения смешных костных структур является особенностью анатомического строения позвоночника и плотного контакта сегментов.
Пункция аневризмальной кисты проводилось у 48 пациентов (62 %) в качестве лечебно-диагностической цели, в 30 случаях (38 %) проведено открытое хирургическое лечение без предварительной пункции (рис. 1). В 16 (33 %) случаях при наблюдении отмечены признаки репарации патологического очага. В 35 (73 %) — отмечено снижение активности кисты, в виде уменьшения размеров, снижения степени стеноза позвоночного канала, снижения внутрикистного давления в мм. водного столба. При проведении пункции важным являлась оценка внутрикистного даления. Оценку проводили путём измерения давления водного столба. В среднем от 172 до 330 мм водного столба. Большинство выполненных пункций (37 пациента) показало высокое внутрикистное давление. В 9 случаях давление было незначительным.
Рис. 1. Пункция аневризмальной кисты С4-5 с измерением давления по шкале в мм.водного столба
Fig. 1. Puncture of aneurysmal cyst C4-5 with measurement of pressure in mm water column
Показаниями к проведению лечения пункционным методом являлись:
- аневризмальная киста кости в фазе остеолиза с целью снижения ее активности,
- отсутствие вторичных неврологических признаков,
- аневризмальная киста кости в фазе отграничения.
- дифференциальная диагностика
Показания к отрытому хирургическому вмешательству являлись:
- солидный или агрессивный вариант аневризмальной кисты кости,
- вторичные неврологические нарушения и выраженный болевой синдром.
- поражение опорных структур позвоночника с высоким риском развития патологического перелома.
Объём хирургического вмешательства выбирался в зависимости от следующих критериев: объёма патологического очага и поражения опорных колонн позвоночника, наличия стеноза позвоночного канала и неврологической симптоматики, активности патологического процесса, формирования вторичной деформации позвоночника. Ключевым в выборе тактики хирургического лечения является оценка необходимости и протяженности металлофиксации позвоночника, оценка возможности радикального удаления патологического очага, наличие показаний к проведению костной пластики позвоночника, потенциал роса позвонков у детей.
РЕЗУЛЬТАТЫ И ОБСУЖДЕНИЯ
Результаты лечения прослежены в сроки от 1 года до 18 лет. Оценку результатов лечения мы проводили с учетом онкологических и ортопедических критериев. Критериями оценки результатов являлись: наличие жалоб, отсутствие рецидива заболевания, признаки формирования костного блока, отсутствие рецидива.
Рецидив аневризмальных кист выявлен в 5 случаях у пациентов от 5 до 12 лет (6 %), что потребовало повторного хирургического вмешательства, в результате которого дальнейший рост кисты предотвращался. При наблюдении пациентов старше 12 лет признаков рецидивирования не было выявлено.
Пункционное лечение аневризмальных кист позволяло снизить риск тяжёлого кровотечения, снизить внутрикистное давление, простимулировать репарацию костной ткани, что снижает интраоперационные риски при открытых операциях, снижает вероятность рецидива, и улучшает послеоперационные результаты. При этом пункцию проводили по возможности не реже чем один раз в 2–3 месяца. Количество пункций составляло от 2 до 6 в зависимости от объёмов патологического очага. Положительная динамик при лечении данной группы пациентов отмечалась не ранее чем через 6 месяцев с момента начала лечения (рис. 2). Критерием положительного результата являлось остановка роста кисты, снижение её активности по сравнению с предыдущими пункциями, формирование зон оссификаци по данным КТ. Оптимальным признаком снижения активности являлось отсутствие активного кровотечения при проведении пункции трепаном.
Рис. 2. Пациент 13 лет. Результат проведения пукционного лечения дуги С2 позвонка через 8 месяцев
Fig. 2. 13-year-old patient. The 8-month result of the injection treatment of C2 arch
Проведение пункционного лечения не позволяло полностью отказаться от проведения хирургического лечения с выполнением удаления патологического очага.
В 48 (62 %) случаях потребовалось проведение металлофиксации в ходе хирургического вмешательства с применением винтовых и крючковых опорных элементов, сетчатых Mesh с целью восстановления опороспособности позвоночного столба, из них в 15 случаях металлоконструкция так же позволяла исправить сформировавшуюся деформацию позвоночника с вершиной в проекции аневризмальной кисты. Применялась имплантация гибридным инструментарием в виде транспедикулярных и трансартикуларных винтов и ламинарных крючков. При одностороннем поражении (15 случаев) проводилась фиксация на 1 позвонок выше и ниже уровня поражения, при этом с целью увеличения опороспособности конструкции проводилась имплантация в поражённом позвонке с противоположной стороны. При двухстороннем поражении или при патологическом образовании более чем в 1 позвонке минимальный объём фиксации включал 2 позвонка выше и ниже уровня поражения (33 пациента). Сетчатый Mesh наполненный аутокостью имплантировался при обширном поражении передней опорной колонны и нарушении опороспособности позвоночного столба (6 случаев). При частичном поражении передней опорной колонны и у пациентов до 12 лет выполнялось проведение костной пластики передней опорной колонны позвоночника аутокостью или комбинированной костной пластикой с аллокостью (14 пациентов) из дорсального или вентрального доступа.
При обследовании определялась вторичная кифотическая деформация в 5 случаях, сколиотическая в 10. Объём сколиотической деформации в среднем составил 16 гр. ± 11,4. Объём остаточной деформации составил 7 гр. ± 4. В 4 случаях был назначен корсет Шено с целью коррекции деформации.
При наличии обширных дефектов проводилась костная пластика аутокостью 11 (22 %) , аллокостью 17 (36 %), пластика с комбинацией ауто- и аллотрансплантатов — 6 (12 %), пластика с применением коллап-Ан гранулами 3 (7 %). По данным зарубежной литературы, использование костнопластического материала проводилось ограничено. Применение костных трансплантатов позволяло добиться более прочного костного блока и наиболее оптимально провести пластику дефекта в проекции удаленного патологического очага.
При наличии стеноза позвоночного канала, проводилась декомпрессия содержимого позвоночного канала в основном из дорсального доступа с выделением дуральной оболочки. Декомпрессия позвоночного канала проведена в 44 случаях. При этом только в 3 случаях оболочки кисты были спаяны с дуральной оболочкой, вероятнее всего за счёт воспалительных изменений и локального эпидурита. У пациентов с неврологическим дефицитом в результате хирургического вмешательства явления пареза полность купированы в сроки от 14 до 28 дней.
Болевой синдром при наблюдении после 3 месяцев с момента операции в 5 случаях был представлен фасеточным болевым синдромом выше и ниже уровня металлофисации. На фоне контроля реабилитолога и ЛФК данные явления были купированы.
Признаки формирования костного блока определялись в период от 3 до 10 месяцев (в среднем 4,5 мес). В 6 случаях признаков костного блока в опорных колоннах не формировалось (период более 1 года наблюдений). Стоит отметить что в трёх из этих случаев костная пластика не проводилась.
Необходимость и сроки удаления металлоконструкций зависели от оценки костного блока в зоне операции, признаков репарации кисты, потенциала роста позвоночника пациента. В трёх случаях металлоконструкция была удалена, в связи с формированием спондилодеза в зоне операции и наличием продолженного роста позвоночника в срок от 2 до 4 лет с момента операции.
В отечественной и зарубежной литературе рассматривается возможность лечения аневризмальных кист позвоночника путем проведения многократной эмболизации кровотока кисты с целью её закрытия. В нашей выборке метод эмболизации применялся в 3 случаях с целью снижения кровотока оболочек АКК перед открытым хирургическим вмешательством для снижения интраоперационной кровопотери.
Клинический пример — пациентка 15 лет.
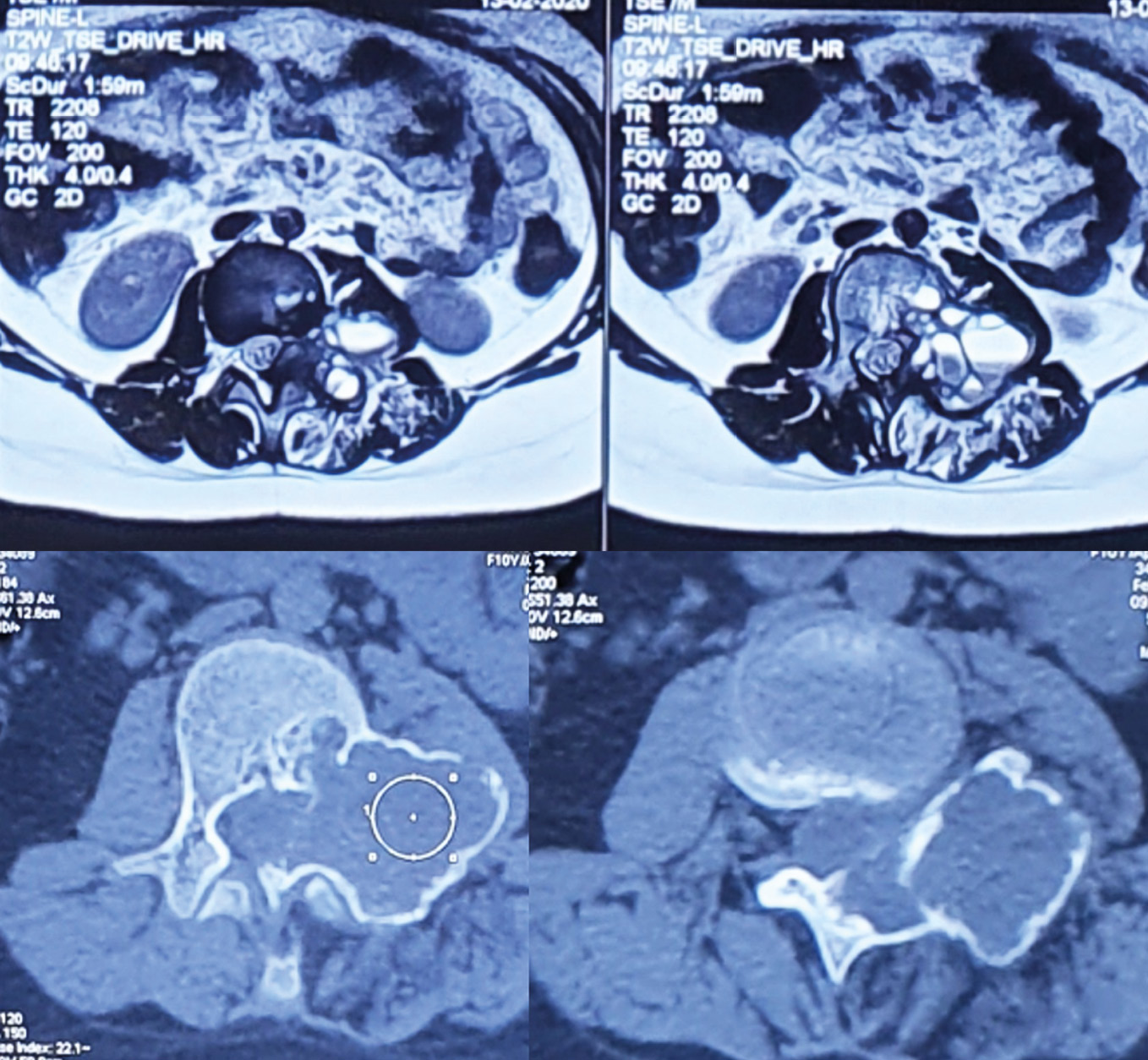
Обратилась по месту жительства с болями в поясничном отделе позвоночника. При попытке консервативного лечения, боли резко усилились. При дообследовании по данным КТ и МРТ поясничного отдела позвоночника выявлено патологическое образование в L3 позвонке с формированием стеноза позвоночного канала (рис. 3).
Рис. 3. КТ и МРТ исследования при поступлении
Fig. 3. CT and MRI examinations upon admission
При проведении Лечебно-диагностической пункции получено высокое давление (242 мм водного столба). Отправленный на гистологическое исследование материал подтвердил диагноз аневризмальная киста позвонка L3. Проводились повторные пункции с интервалом в 1.5 месяца. После 3 манипуляции отмечено стойкое снижение болевого синдрома, снижение степени активности кисты и стеноза позвоночного канала.
По данным КТ исследований отмечены признаки частично репарации костной ткани позвонка (рис. 4). Далее было проведено открытое хирургическое вмешательство (рис. 5) в объёме — ТПФ на уровнях L2-4 позвонков, гемиламинэктомия L3 справа, удаление оболочек анверизмальной кисты, декомпрессия позвоночного канала., комбинированная пластика костного дефекта с применением ауто- и аллотрансплантатов. Время хирургического вмешательства составило 2 ч. 15 мин. Объём кровопотери — 240 мл.
Рис. 4. КТ и МРТ через 5 месяцев на фоне проведенного пункционного лечения с менее выраженным стенозом содержимого позвоночного канала
Fig. 4. CT and MRI results after 5 months of puncture treatment with less pronounced stenosis of the spinal canal
Рис. 5. Рентген после хирургического вмешательства и внешний вид послеоперационной раны
Fig. 5. X-ray after surgery; the postoperative wound
Пациентка вертикализирована на 3 сутки в ортопедическом ортезе с фиксацией поясничного отдела позвоночника. Болевой синдром полностью купирован на 5 сутки. При динаммческом наблюдении в течении 1,5 лет (рис. 6). Признаков рецидива не выявлено. Костный блок сформировался на 9 месяц с момента операции. При КТ исследовании отмечена стабильность металлофиксации, отсутствие признаков рецидива патологического процесса, интеграция в костный блок аллотрансплантата, а так же восстановление костной ткани по типу «памяти формы».
Рис. 6. КТ зоны операции через 1,5 лет с момента хирургического вмешательства
Fig. 6. CT scan of the operation area in 1.5 years after surgery
Учитывая возраст пациентки и отсутствие выраженного продолженного роста позвоночного столба (Risser 4) показаний к удалению металлоконструкции на момент последнего наблюдения не выявлено.
ЗАКЛЮЧЕНИЕ
В настоящее время подход к лечению аневризмальных кист позвоночника сформулирован с учётом подходов ортопедического, нейрохирургического и онкологического профилей. При этом в современных наблюдениях нет единого мнения в подходах к данной хирургической патологии. Основной задачей для помощи при данном диагнозе является снижение активности и агрессивности течения аневризмальной кисты и дальнейшее хирургическое устранение патологического очага с восстановлением опороспособности позвоночного столба. В отличие от публикаций по хирургическому лечению кист других локализаций, при аневризмальных кистах позвоночника редко проводят пункционное лечение в случаях высокой активности и отсутствия показаний к хирургическому лечению по витальным показаниям. Однако, данный метод является важным ключевым звеном, позволяющим существенно улучшить результаты в хирургическом лечении данной группы пациентов. Так же отмечено высокое значение металлофиксации , но при этом снижена роль проведения костной пластики дефекта с применением ауто- и аллопластического костного материала. Проведение адекватной пластики позволяет существенно повлиять на опороспособность позвоночного столба и добиться более выраженного костного блока. Учитывая потенциал роста позвоночного столба, хирургическое лечение стоит рассматривать с возможной перспективной удаления металлоконструкции после формирования костного блока. В том числе, при формировании вторичной деформации позвоночника, необходимо планировать хирургическое лечение с потенциалом коррекции.
В случае нарастания неврологической симптоматики, при крупных аневризмальных кистах, более оптимальным является проведение эмболизации с дальнейшим удалением патологического очага.
Каждый случай аневризмальной кисты кости требует дифференцированного подхода к лечению, зависит от объёма патологического очага, объема поражения опорных колонн позвоночника, наличия стеноза позвоночного канала и неврологической симптоматики, активности патологического процесса, формирования вторичной деформации позвоночника, потенциала роста позвоночника.
ДОПОЛНИТЕЛЬНАЯ ИНФОРМАЦИЯ
Конфликт интересов. Авторы декларируют отсутствие явных и потенциальных конфликтов интересов, связанных с публикацией настоящей статьи.
Источник финансирования. Не указан.
About the authors
Aleksandr A. Snetkov
N.N. Priorov National Medical Research Center of Traumatology and Orthopedics
							Author for correspondence.
							Email: isnetkov@gmail.com
				                	ORCID iD: 0000-0001-5837-9584
				                																			                								
PhD
Russian Federation, 10 Priorova str., Moscow, 127299Roman S. Gamayunov
N.N. Priorov National Medical Research Center of Traumatology and Orthopedics
														Email: cito11@hotbox.ru
				                					                																			                								
traumatologist – orthopedist
Russian Federation, 10 Priorova str., Moscow, 127299Alexander A. Kuleshov
N.N. Priorov National Medical Research Center of Traumatology and Orthopedics
														Email: cito-spine@mail.ru
				                	ORCID iD: 0000-0002-9526-8274
				                	SPIN-code: 7052-0220
																		                								
MD, PhD
Russian Federation, 10 Priorova str., Moscow, 127299Sergey V. Kolesov
N.N. Priorov National Medical Research Center of Traumatology and Orthopedics
														Email: dr-kolesov@yandex.ru
				                	ORCID iD: 0000-0001-9657-8584
				                	SPIN-code: 1989-6994
																		                								
MD, PhD, prof
Russian Federation, 10 Priorova str., Moscow, 127299Aleksandra D. Akinshina
N.N. Priorov National Medical Research Center of Traumatology and Orthopedics
														Email: akinshinaad@cito-priorov.ru
				                					                	SPIN-code: 8740-6190
																		                								
PhD
Russian Federation, 10 Priorova str., Moscow, 127299References
- Desai SB, O’Brien C, Shaikh R, et al. Multidisciplinary management of spinal aneurysmal bone cysts: a single-center experience. Interv Neuroradiol. 2019;25(5):564–569. doi: 10.1177/1591019919848130
- Capanna R, Campanacci DA, Manfrini M. Unicameral and aneurysmal bone cysts. Orthop Clin North Am. 1996;27(3):605–614.
- Gibbs CJ, Hefele M, Peabody T. Aneurysmal bone cyst of the extremities. Factors related to local recurrence after curettage with a high-speed burr. J Bone Jt Surg Am. 1999;81:1671–1678.
- Bollini G, Jouve JL, Cottalorda J, et al. Aneurysmal bone cyst in children: analysis of twenty-seven patients. J Pediatr Orthop B. 1998;7(4):274–285. doi: 10.1097/01202412-199810000-00005
- Rapp TB, Ward JP, Alaia MJ. Aneurysmal bone cyst. J Amer Acad Ortho Surg. 2012;20(4):233–241. doi: 10.5435/JAAOS-20-04-233
- Ameli NO, Abbassioun K, Saleh H, Eslamdoost A. Aneurysmal bone cysts of the spine. Report of 17 cases. J Neurosurg. 1985;63(5):685–690. doi: 10.3171/jns.1985.63.5.0685
- Beiner JM, Sastry A, Berchuck M, et al. An aneurysmal bone cyst in the cervical spine of a 10-year old girl: a case report. Spine (Phila Pa 1976). 2006;31(14):E475–479. doi: 10.1097/01.brs.0000222126.91514.cb
- Ropper AE, Cahill KS, Hanna JW, et al. Primary vertebral tumors: a review of epidemiologic, histological, and imaging findings, Part I: benign tumors. Neurosurgery. 2012;70(1):211–219; discussion 219. doi: 10.1227/NEU.0b013e31822d5f17
- Papagelopoulos PJ, Currier BL, Shaughnessy WJ, et al. Aneurysmal bone cysts of the spine: management and outcome. Spine (Phila Pa 1976). 1998;23(5):621–628. doi: 10.1097/00007632-199803010-00018
- Dormans JP, Hanna BG, Johnston DR, Khurana JS. Surgical treatment and recurrence rate of aneurismal bone cysts in children. Clin Orthop Relat Res. 2004;(421):205–211. doi: 10.1097/01.blo.0000126336.46604.e1
- Voronovich IR, Pashkevich LA. Opukholi pozvonochnika. Minsk: BelTsNII; 2000. (In Russ).
- Zatsepin ST. Kostnaya patologiya vzroslykh: rukovodstvo dlya vrachei. Moscow: Meditsina; 2001. (In Russ).
- Hay MC, Paterson D, Taylor TK. Aneurysmal bone cysts of the spine. J Bone Joint Surg Br. 1978;60-B(3):406–411. doi: 10.1302/0301-620X.60B3.681419
- Schaffer L, Kranzler L, Siqueira E. Aneurysmal bone cyst of the spine. A case report. Spine (Phila Pa 1976). 1985;10(4):390–393. doi: 10.1097/00007632-198505000-00017
- Sebaaly A, Ghostine B, Kreichati G, et al. Aneurysmal bone cyst of the cervical spine in children: a review and a focus on available treatment options. J Pediatr Orthop. 2015;35(7):693–702. doi: 10.1097/BPO.0000000000000365
- Novais EN, Rose PS, Yaszemski MJ, Sim FH. Aneurysmal bone cyst of the cervical spine in children. J Bone Joint Surg Am. 2011;93(16):1534–1543. doi: 10.2106/JBJS.J.01430
- Khalil I, Alaraj A, Otrock Z, et al. Aneurysmal bone cyst of the cervical spine in a child: case report and review of the surgical role. Surg Neurol. 2006;65(3):298–303.
- Boriani S, De Iure F, Campanacci L, et al. Aneurysmal bone cyst of the mobile spine: report on 41 cases. Spine (Phila Pa 1976). 2001;26(1):27–35. doi: 10.1097/00007632-200101010-00007
- Lastikka M, Aarnio J, Helenius I. Instrumented cervical spinal fusions in children: indications and outcomes. J Child Orthop. 2017;11(6):419–427. doi: 10.1302/1863-2548.11.170115.
- de Kleuver M, van der Heul RO, Veraart BE.Aneurysmal bone cyst of the spine: 31 cases and the importance of the surgical approach. J Pediatr Orthop B. 1998;7(4):286–292. doi: 10.1097/01202412-199810000-00006
- Vogel LC, Lubicky JP. Cervical spine fusion: not protective of cervical spine injury and tetraplegia. Am J Orthop. 1997;26(9):636–640.
- Seller K, Jäger M, Krämer R, et al. Occurrence of a segmental kyphosis after laminectomy of C2 for an aneurysmatic bone cysts—course and treatment strategy. Z Orthop Ihre Grenzgeb. 2004;142(1):83–87. (In German). doi: 10.1055/s-2004-817659
- Bell DF, Walker JL, O’Connor G, Tibshirani R. Spinal deformity after multiple-level cervical laminectomy in children. Spine (Phila Pa 1976). 1994;19(4):406–411. doi: 10.1097/00007632-199402001-00005
- Yasuoka S, Peterson HA, MacCarty CS. Incidence of spinal column deformity after multilevel laminectomy in children and adults. J Neurosurg. 1982;57(4):441–445. doi: 10.3171/jns.1982.57.4.0441
- Naumov DG, Speranskaya EA, Mushkin MA, et al. Spinal aneurysmal bone cyst in children: systematic review of the literature. Hirurgiâ pozvonočnika (Spine Surgery). 2019;16(2):49–55. doi: 10.14531/ss2019.2.49-55
- Mushkin AYu, Mal’chenko OV. Onkologicheskaya vertebrologiya: izbrannye voprosy. Novosibirsk; 2012. (In Russ).
- Papagelopoulos PJ, Choudhury SN, Frassica FJ, et al. Treatment of aneurysmal bone cysts of the pelvis and sacrum. J Bone Joint Surg Am. 2001;83(11):1674–1681. doi: 10.2106/00004623-200111000-00009
- Cisneros AJ, Gomez CH, Benedicto FC, et al. Aneurysmal bone cyst of the ischium. Int Orthop. 1985;9(1):49–54. doi: 10.1007/BF00267037
- De Cristofaro R, Biagini R, Boriani S, et al. Selective arterial embolization in the treatment of aneurysmal bone cyst and angioma of bone. Skeletal Radiol. 1992;21(8):523–527. doi: 10.1007/BF00195235
- Green JA, Bellemore MC, Marsden FW. Embolization in the treatment of aneurysmal bone cysts. J Pediatr Orthop. 1997;17(4):440–443.
- Kónya A, Szendröi M. Aneurysmal bone cysts treated by superselective embolization. Skeletal Radiol. 1992;21(3):167–172. doi: 10.1007/BF00242130
- Murphy WA, Strecker EB, Schoenecker PL. Transcatheter embolisation therapy of an ischial aneurysmal bone cyst. J Bone Joint Surg Br. 1982;64(2):166–168. doi: 10.1302/0301-620X.64B2.7068734
- Guibaud L, Herbreteau D, Dubois J, et al. Aneurysmal bone cysts: percutaneous embolization with an alcoholic solution of zein: series of 18 cases. Radiology. 1998;208(2):369–373. doi: 10.1148/radiology.208.2.9680561.
- Barbanti-Brodano G, Girolami M, Ghermandi R, et al. Aneurysmal bone cyst of the spine treated by concentrated bone marrow: clinical cases and review of the literature. Eur Spine J. 2017;26(Suppl 1):158–166. doi: 10.1007/s00586-017-4978-x
- Boriani S, Lo SF, Puvanesarajah V, et al. Aneurysmal bone cysts of the spine: treatment options and considerations. J Neurooncol. 2014;120(1):171–178. doi: 10.1007/s11060-014-1540-0
- Gushcha AO, Konovalov NA, Arestov SO, et al. Surgical treatment of primary spinal tumors: tactics and results. Hirurgiâ pozvonočnika (Spine Surgery). 2015;12(3):72–82. doi: 10.14531/ss2015.3.72-82
- Shiels WE 2nd, Mayerson JL. Percutaneous doxycycline treatment of aneurysmal bone cysts with low recurrence rate: a preliminary report. Clin Orthop Relat Res. 2013;471(8):2675–2683. doi: 10.1007/s11999-013-3043-2
- Doyle A. Recurrent aneurysmal bone cyst of the cervical spine in childhood treated with doxycycline injection. Skeletal Radiol. 2015;44(4):609–612. doi: 10.1007/s00256-014-2027-y
- Tonomura ET, Ramos P, Hemais PM, et al. Aneurysmal bone cyst at C2. Imaging evaluation after intralesional injection of calcitonin and methylprednisolone. Arq Neuropsiquiatr. 2008;66(3B):711–715. doi: 10.1590/s0004-282x2008000500020
- Rai AT, Collins JJ. Percutaneous treatment of pediatric aneurysmal bone cyst at C1: a minimally invasive alternative: a case report. AJNR Am J Neuroradiol. 2005;26(1):30–33.
- D Kieser DC, Mazas S, Cawley DT, et al. Bisphosphonate therapy for spinal aneurysmal bone cysts. Eur Spine J. 2018;27(4):851–858. doi: 10.1007/s00586-018-5470-y
- Weinstein R, Roberson P, Manolagas S. Giant osteoclast formation and long-term oral bisphosphonate therapy. Engl J Med. 2009;360(1):53–62. doi: 10.1056/NEJMoa0802633
- Tsai JC, Dalinka M, Fallon M, et al. Fluid–fluid level: a nonspecific finding in tumors of bone and soft tissue. Radiology. 1990;175(3):779–782. doi: 10.1148/radiology.175.3.2160676
- Vergel De Dios AM, Bond JR, Shives TC, et al. Aneurysmal bone cyst. A clinicopathologic study of 238 cases. Cancer. 1992;69(12):2921–2931. doi: 10.1002/1097-0142(19920615)69:12<2921::aid-cncr2820691210>3.0.co;2-e
- Protas M, Jones LW, Sardi JP, et al. Cervical spine aneurysmal bone cysts in the pediatric population: a systematic review of the literature. Pediatr Neurosurg. 2017;52(4):219–224. doi: 10.1159/000475820
Supplementary files
 
				
			 
					 
						 
						 
									
 
  
  
  Email this article
			Email this article 







 СМИ зарегистрировано Федеральной службой по надзору в сфере связи, информационных технологий и массовых коммуникаций (Роскомнадзор).
 СМИ зарегистрировано Федеральной службой по надзору в сфере связи, информационных технологий и массовых коммуникаций (Роскомнадзор).