Complication rate and patient satisfaction following simultaneous bilateral total knee replacement
- Authors: Hammad A.A.1, Abd El Hamid R.G.1, Awad M.E.1, Elkilany M.E.1
-
Affiliations:
- Ain Shams University
- Issue: Vol 32, No 1 (2025)
- Pages: 45-60
- Section: Original study articles
- Submitted: 29.08.2024
- Accepted: 29.10.2024
- Published: 08.04.2025
- URL: https://journals.eco-vector.com/0869-8678/article/view/635499
- DOI: https://doi.org/10.17816/vto635499
- ID: 635499
Cite item
Abstract
BACKGROUND: Advanced knee osteoarthritis (OA) is a common clinical problem requiring knee arthroplasty. X-ray can be used to diagnose knee osteoarthritis. Total knee arthroplasty of the two knees can be done simultaneously or staged in two different sessions.
AIM: To assess simultaneous bilateral total knee arthroplasty based on complications and patient satisfaction and compare the results to those in the literature to provide a clear guideline for appropriate choice for patients.
MATERIALS AND METHODS: A prospective cohort study was conducted in Ain Shams University Hospital in Cairo and Taiba Hospital in Kuwait on 45 cases who suffered from advanced bilateral knee osteoarthritis and underwent simultaneous bilateral total knee arthroplasty between August 2018 and October 2020.
RESULTS: The study was conducted on 45 patients aged 47–75 years (mean age: 64.29±6.23 years). There were 41 females (91.1%) and 4 males (8.9%). Pre- and postoperative patient satisfaction was 15.24±2.45 and 32.18±4.08, respectively, with a mean difference of 16.93. Moreover, the pre- and postoperative objective knee score and Knee Society Scoring System, were 58.90±6.28 and 82.62±5.70, respectively. Additionally, the pre- and postoperative functional knee score were 51.39±8.67 and 73.80±7.75, respectively. Four patients (8.9%) had complications: 3 (6.7%) had superficial infection and 1 (2.2%) had acute coronary syndrome.
CONCLUSION: Simultaneous bilateral total knee arthroplasty can be safe and have low mortality and complication rates with careful preoperative patient selection.
Full Text
BACKGROUND
Advanced knee osteoarthritis (OA) is a common clinical problem requiring knee replacement. Knee osteoarthritis can be diagnosed using several techniques including neuroimaging. X-ray findings of osteoarthritis include subchondral sclerosis, narrowing of the joint space between adjacent bones, and bone spur formation. Moreover, X-ray can be beneficial for surgeons in decision-making during surgical intervention [1].
Geriatric patients suffer from various comorbidities, such as cardiovascular conditions and diabetes mellitus (DM), which affect major surgeries including bilateral total knee arthroplasty, with increased risks of morbidity and mortality following surgical interference [2].
Approximately, one-third of knee replacement patients exhibit bilateral degenerative joint disease. Additionally, they show issues in the contralateral knee joint following replacement of the other joint caused by altered biomechanincs, with subsequent increased loading of the other uninvolved knee resulting in accelerated joint disease in the uninvolved knee and reported limb length discrepancy and increased incidence of contralateral hip replacement after unilateral knee replacement; thus, replacements of both knee joints are typically indicated in advanced knee osteoarthritis [3].
This can be performed in two separate sessions, with one knee following the other by few months as a staged procedure, or by simultaneously replacing both knee joints in the same session [4].
The simultaneous procedure involves one surgical event with single anesthetic exposure, whereas the staged procedure requires two operations under double anesthetics exposure, separated by a variable time interval depending on the preference of the patient and surgeon. The advantages of simultaneous procedure include reduced hospital stay and costs, a single anesthetic exposure, and decreased overall rehabilitation time and, in some cases, patient preference [5].
In contrast, cardiac and respiratory complications of simultaneous bilateral total knee replacement have been reported. Difference in the rate of complications between simultaneous and staged bilateral knee replacement remains controversial [6].
There have been concerns regarding the safety of simultaneous bilateral knee replacement, often leading to hesitation to offer this procedure to patients. Several studies that examined the safety of simultaneous bilateral knee replacement are nonconclusive, making it challenging to reach a clear outcome. Some studies have demonstrated that staged procedures are safer and produce better outcomes than simultaneous procedure [7].
Other studies have described the mortality rate [8] and serious complications, including deep vein thrombosis (DVT), pulmonary embolism (PE), and cardiovascular events, associated with the simultaneous procedure [9].
This study aimed to assess simultaneous bilateral knee replacement based on patients’ satisfaction rate and the occurrence of complications compared to those in two-stage procedures and thus provide a clear guideline about the best candidates who are fit for a single-stage simultaneous bilateral total knee arthroplasty.
AIM
This study aimed to evaluate simultaneous bilateral total knee replacement regarding complications and patient satisfaction and compare them with those in the literature and thus provide a clear guideline for proper choice of patients suitable for single-stage simultaneous bilateral total knee arthroplasty.
MATERIALS AND METHODS
Study design
A prospective cohort study was conducted in Ain Shams University Hospital in Cairo and Taiba Hospital in Kuwait from August 2018 to October 2020. This study included 30 patients who suffered from advanced bilateral knee osteoarthritis and underwent simultaneous bilateral total knee arthroplasty.
Included Patients
The patients’ demographic characteristics and clinical profiles such as age, sex, history of smoking and drinking, time to surgery, and follow-up time were recorded.
Inclusion criteria:
- patients listed for TKA for the treatment of advanced disabling knee arthritis that is nonresponsive to all conservative measures;
- age over 50 years old;
- patients with good general conditions and who are fit for the surgery.
Exclusion criteria:
- revision cases;
- cases of any plane deformity of >30 degrees;
- severe obesity (BMI: ≥40);
- patients who are suffering from vascular or neurological problems in the ipsilateral limb;
- patients with other uncontrolled comorbidities such as diabetes mellitus and cardiopulmonary conditions.
The required sample size was 30 patients. However, the present study included 45 patients with advanced knee osteoarthritis who have almost the same condition in both knee joints and were candidates for bilateral total knee arthroplasty.
Methodology
Preoperative, intraoperative, and postoperative stages.
Preoperative Stage
This includes:
- clinical evaluation (history and examination);
- preoperative preparation of the patient.
Clinical evaluation
Each patient was carefully assessed clinically by taking a detailed medical history and adequate clinical examination.
Medical history
The medical history aimed to cover concurrent illnesses (e.g., diabetes mellitus, hypertension, cardiac, renal, and hepatic problems), medications, allergies, and previous hospitalizations and surgeries. Social history should include occupation, level of physical activity, and smoking history. Furthermore, an anesthesiologist preoperatively examined the patients to identify surgical fitness.
Clinical examination
Comprehensive general and local examination of each patient was performed, emphasizing on the complete examination of the lower limbs. Peripheral arterial pulsation was assessed to detect any vascular insufficiency. Complete examination of both lower limbs showing skin condition for previous scars or sinuses was conducted.
Preoperative preparation of the patient
Four units of blood were prepared for each patient; however, their utilization was dependent on specific circumstances. For hydration prior to surgery, 1 L of Ringer’s solution was administered. A prophylactic broad-spectrum antibiotic (second-generation cephalosporin) at 1.5 gm was administered to all patients approximately 1 hour prior to the induction of anesthesia.
Objective score
Only three primary parameters were considered. Pain was measured on a scale of 0–50, with 0 representing severe pain and 50 representing no pain. Stability in both the mediolateral and anteroposterior orientations. Flexion contracture, extension latency, and misalignment were considered as deductions when evaluating the range of motion. Therefore, a well-aligned knee had 125 degrees of motion, had no discomfort, and had negligible anteroposterior and mediolateral instability of 100 points.
Function score
Only walking distance and stair ascending were included, with deductions for walking aids. A patient who is able to walk an unlimited distance and walk up and down staircases normally achieves the maximum function score of 100. The capacity to walk was measured in blocks, which were approximately 100 meters in length. Stair climbing was regarded as normal if the patient was able to ascend and descend stairs without relying on a railing.
Objective knee score
The objective knee score of the original KSS is not substantially different from the new score. In contrast to the previous scoring system, the new objective score allows for patients with a stable, asymptomatic knee and a flexion of >125° to receive over 100 points.
The objective score consists of four parts:
- The femoral–tibial (anatomic) axis is measured on a weight-bearing AP radiograph, and alignment is determined by a maximum of 25 points. A deduction of 10 points is applied for malalignment with varus of <2 degrees and valgus of >10 degrees.
- The knee can be measured in the mediolateral (15 points) and anteroposterior (10 points) axes for a maximum of 25 points due to instability.
- Joint motion permits 1 point for every 5 degrees of joint motion. In contrast to the previous scoring system, which permitted a maximum of 25 points, the new system permits patients with a range of motion over 125° to receive >25 points. Flexion contracture and extension latency are considered deductions: flexion contracture, -2/-5/-10/-15 points and extensor latency, -5/-10/-15 points.
- The symptoms category includes two 10-point scales, spanning from “none” to “severe,” that allow patients to evaluate their pain while walking on level ground and on stairs/inclines. The patient begins with a score of 10 points on each scale for an asymptomatic knee; up to 10 points are deducted based on the patient’s response on each pain scale. An additional inquiry pertains to the patient’s perception of the knee as “normal”. The maximum number of points that may be awarded is 25.
Functional Score
- The functional score is a four-subgroup system with a maximal score of 100.
- The maximum value of walking and standing is 30 points, with deductions for the use of walking aids and supports.
- Standard activities evaluates “standard” activities of daily living and has a limit of 30 points. Patients may respond even if they do not engage in the activities. Patients who respond with “I never do this” receive 0 points for the activity.
- The advanced activities category assesses the ability to perform more strenuous activities, such as running or climbing a ladder, with a limit of 25 points. Patients may respond even if they do not engage in the activities. Patients who respond with “I never do this” receive 0 points for the activity.
- Discretionary activities have a maximum score of 15 points and enable patients to choose 3 activities that are most significant to them from a list of 17 recreational and exercise activities. Patients who do not engage in any discretionary activities will have a functional knee score that is restricted to 85 points. Discretionary activities in the preoperative and postoperative periods do not need to be identical.
Grading of the knee score
A score of 80–100 is considered excellent; 70–79, good; 60–69, fair; and <60, poor.
Patient expectations and satisfaction
These components are crucial in the clinical and functional evaluations of patients who are undergoing knee arthroplasty.
Patient Expectations is a 15-point scale that is administered preoperatively and postoperatively and consists of three questions. The preoperative inquiries reveal the patient’s assessment of the operation’s potential to alleviate knee pain and enhance their capacity to engage in recreational activities and daily activities. The postoperative inquiries indicate the degree to which the patient’s preoperative expectations regarding pain and function have been fulfilled.
Patient satisfaction is assessed at each follow-up appointment and preoperatively. It is a 40-point scale that includes five questions:
- pain intensity while seated (8 points);
- pain intensity while lying in bed (8 points);
- knee function during rising from bed (8 points);
- knee function in performing routine domestic chores (8 points);
- knee function during leisure recreational activities (8 points).
The objective score consists of 100 points and includes subscales for pain, alignment, stability, and range of motion (ROM) and a separate score for function (100 points). The new and old scores were designed to quantify patient outcomes following TKA. The primary differences between the old and new Knee Society Scores are the activities that contribute to the function score, weightings of each activity, and incorporation of additional scales for patient satisfaction and expectations.
The new Knee Society Knee Scoring System is better than the original KSS in evaluating the expectations, satisfaction, and physical activities of patients undergoing TKA. The new score is presented in an uncomplicated manner to identify the various lifestyles and activities of patients. The internal reliability of the score was verified through a straightforward process, and differential item functioning was analyzed.
CCK was used throughout the study to eliminate any bias from the implant regarding pain or satisfaction.
Procedure
Intraoperative Stage
Anesthesia and Surgical Position
In the present study, spinal epidural anesthesia was used.
The patients were placed in a supine position with both knees draped at the same time in a sterile manner and positioned properly with knee stopper and lateral support so that it could be easily flexed and positioned during operation.
Two tourniquets were positioned around both thighs. However, only the one around the first knee to be operated was inflated, and the second one was kept deflated but in place.
Approach and exposure
The procedures were performed sequentially by a single surgical crew who used the same set of instruments for both knees.
Starting with the first knee, a medial parapatellar approach was carried out.
The patella was the focal point of a longitudinal midline skin incision. The parapatellar retinacular incision was extended proximally along the length of the quadriceps tendon, leaving a 3–4 mm portion of the vastus medialis tendon for subsequent closure. The incision was extended 3–4 cm along the medial border of the patellar tendon to the anteromedial surface of the tibia, encircling the medial side of the patella. The anteromedial capsule and deep medial collateral ligament were subperiosteally elevated off the tibia to the posteromedial corner of the knee, exposing the medial side of the knee (Fig. 1).
Fig. 1. Medial parapatellar approach: skin incision (a) and deep dissection (b).
Рис. 1. Медиальный парапателлярный подход: разрез кожи (a) и глубокое рассечение (b).
The knee was extended, and the patella was everted laterally.
Then, the operation was continued by performing a distal femoral cut, first femoral mechanical axis which was determined by the intramedullary guide, which was inserted in the femur, which is situated midline just anterior to the intercondylar notch (Fig. 2). Furthermore, the cutting jig was placed and adjusted to 5–7 degrees of valgus to the intramedullary guide.
Fig. 2. Marking the transepicondylar axis and whiteside line.
Рис. 2. Обозначение трансэпикондилярной оси и белой линии.
After the distal femoral cutting jig was placed, it was fixed with pins, and the distal femoral cut was conducted (Fig. 3).
Fig. 3. a — placing distal femoral jig, b — making distal femoral cut.
Рис. 3. а — установка дистального бедренного фиксатора, b — выполнение дистального бедренного разреза.
Afterward, the femoral size was determined using the sizer by making anterior referencing on the highest point of lateral femoral condyle to avoid notching, and the remaining cuts (anterior, posterior, both chamfers and the box) were taken (Fig. 4).
Fig. 4. a — measuring jig for femoral cut, b — the 4-in-1 cutting jig applied to the femur.
Рис. 4. а — измерительное устройство для разреза бедренной кости, b — устройство «4 в 1» для разреза бедренной кости.
Then, the proximal tibia was cut by adjusting the cutting jig to measure either 2 mm from the lowest point on the defective tibial condyle (medial) or 10 mm from the least affected tibial condyle (lateral) (Fig. 5).
Fig. 5. a — measuring the proximal tibial cut, b — making a tibial cut.
Рис. 5. a — измерение проксимального большеберцового разреза, b — выполнение большеберцового разреза.
Moreover, a spacer block was inserted, and the knee was extended to check the extension gap balance and the varus–valgus stability.
If the extension gap was unbalanced, soft tissue was released to obtain a well-balanced gap, and any residual meniscal tissues were removed.
Then, tibial rotation was performed by aligning the tibial base plate with the medial one-third of the tibial tubercle, and the tibia for the keel was prepared. Following this, a tibial trial component was placed (Fig. 6).
Fig. 6. Tibial sizing and preparation.
Рис. 6. Определение размеров и подготовка большеберцовой кости.
Furthermore, a whole trial of both femoral and tibial components was done, stability and balance in extension and flexion were rechecked (Fig. 7), and any residual imbalance was addressed through appropriate soft tissue release or additional bony cuts to obtain a rectangular and balanced flexion and extension gaps.
Fig. 7. Checking the whole alignment of the limb after full trial insertion.
Рис. 7. Проверка полного выравнивания конечности после полной пробной установки.
Finally, if appropriate size was determined, an extensive wash (Fig. 8) was conducted to remove soft tissue and bony debris, and then cement was applied, and the chosen implant was cemented and applied in position (Fig. 9–10).
Fig. 8. Washing and suctioning prior to final implant insertion.
Рис. 8. Промывание и отсасывание перед окончательной установкой имплантата.
Fig. 9. Placing the final tibial implant (a), final femoral implant (b), and polyethylene liner (c).
Рис. 9. Установка окончательного большеберцового имплантата (a), окончательного бедренного имплантата (b) и полиэтиленового вкладыша (c).
Fig. 10. Drain insertion and wound closure.
Рис. 10. Установка дренажа и закрытие раны.
Follow-up
The first follow-up visit was done 2 weeks after the surgery to check the wound and remove the stitches.
The next visit was at 1 month postoperatively and was conducted monthly for 3 months and then every 3 months for 1 year.
Generally, in each visit, the patients’ vital data, namely, blood pressure, temperature, respiratory rate, and pulse, were checked. If any abnormality was detected, patients were investigated further to evaluate for underlying problems.
Moreover, patients were asked if they experienced any constitutional symptoms or chest pain as this could have triggered cardiovascular or pulmonary compromise.
Locally, the patient’s knees were checked for scars, range of motion, pain, and any residual deformity, and an X-ray was done.
Sample size
The minimal number of patients required was 30. However, in the current study, 45 patients with advanced knee osteoarthritis who have almost the same condition in both knee joints and are candidates for bilateral total knee arthroplasty were included.
Statistical analysis
The statistical application for social sciences version 23.0 (SPSS Inc., Chicago, Illinois, USA) was used to analyze the recorded data. Quantitative data were presented as mean ± standard deviation and ranges. Additionally, qualitative variables were presented as percentages and numbers. p <0.05 was considered significant, p <0.001 was deemed highly significant, and p >0.05 was regarded as insignificant.
Ethical committee
Informed written consent was obtained from the patients. This study was conducted after approval from the Ethical Committee of Ain Shams University Hospital and Taiba Hospital in Kuwait City at the period for 2 years (approval code: FWA 000017585).
RESULTS
The study was conducted in patients aged 47–75 years (mean age: 64.29±6.23 years). Regarding sex distribution, 41 patients (91.1%) were females and 4 patients (8.9%) were males (Table 1).
Table 1. Demographic data distribution among study group (n=45)
Таблица 1. Распределение демографических данных в группе исследования (n=45)
Demographic data | Total (n=45) |
Gender | |
Female | 41 (91.1%) |
Male | 4 (8.9%) |
Age (years) | |
Range | 47–75 |
Mean±SD | 64.29±6.23 |
The table 2 shows that the two periods were compared in KSS, and the preoperative and postoperative mean±SD was 58.90±6.28 and 82.62±5.70 (mean difference: 23.72), respectively. A significantly higher mean was noted in postoperative compared to preoperative (p <0.001). Moreover, the FSS preoperative and postoperative mean±SD was 51.39±8.67 and 73.80±7.75 (mean difference: 22.41), respectively. A significantly higher mean was found in postoperative compared to preoperative (p <0.001) (Table 2).
Table 2. Comparison between preoperative and postoperative according to KSS and FSS among patients group
Таблица 2. Сравнение предоперационного и послеоперационного периодов по cистеме оценки коленного сустава (KSS) и функциональной оценке (FSS) среди пациентов
KSS | Range | Mean±SD | Paired Sample t-test | ||
MD±SE | t-test | p-value | |||
KSS | |||||
Preoperative | 38–69 | 58.90±6.28 | 23.72±0.67 | -35.474 | <0.001* |
Postoperative | 67–89 | 82.62±5.70 | |||
FSS | |||||
Preoperative | 30–68 | 51.39±8.67 | 22.41±0.87 | -25.856 | <0.001* |
Postoperative | 60–90 | 73.80±7.75 | |||
Note. MD: mean difference, SE: standard error, * p-value <0.001.
Примечание. MD — средняя разница, SE — стандартная ошибка, * p <0,001.
This table reveals that the two periods were compared in patient expectation, and the preoperative and postoperative mean±SD was 9.42±1.65 and 9.87±1.11 (mean difference: 0.44), respectively. No significant difference was noted between preoperative and postoperative (p >0.05) (Table 3).
Table 3. Comparison between preoperative and postoperative according to patient expectation among study group
Таблица 3. Сравнение предоперационного и послеоперационного периодов в соответствии с ожиданиями пациентов в группе исследования
Patient Expectation | Range | Mean±SD | Paired Sample t-test | ||
MD±SE | t-test | p-value | |||
Preoperative | 7–12 | 9.42±1.65 | 0.44±0.24 | -1.834 | 0.070* |
Postoperative | 8–12 | 9.87±1.11 | |||
Note. MD: mean difference, SE: standard error, * p-value >0.05.
Примечание. MD — средняя разница, SE — стандартная ошибка, * p >0,05
This table shows that the two periods were compared regarding patient satisfaction, and the preoperative and postoperative mean±SD was 15.24±2.45 and 32.18±4.08 (mean difference: 16.93), respectively. A significantly higher mean was found in postoperative than in preoperative (p <0.001) (Table 4).
Table 4. Comparison between preoperative and postoperative according to patient satisfaction among study group
Таблица 4. Сравнение предоперационного и послеоперационного периодов по степени удовлетворённости пациентов в исследуемой группе
Patient Satisfaction | Range | Mean±SD | Paired Sample t-test | ||
MD±SE | t-test | p-value | |||
Preoperative | 6–20 | 15.24±2.45 | 16.93±0.47 | -36.190 | <0.001* |
Postoperative | 12–36 | 32.18±4.08 | |||
Note. MD: mean difference, SE: standard error, * p-value <0.001.
Примечание. MD — средняя разница, SE — стандартная ошибка, * p <0,001.
This table presents that the two periods were compared regarding hemoglobin level, and the preoperative and postoperative mean±SD was 12.76±1.22 and 10.20±0.83 (mean difference: -2.55), respectively. A significant decrease was found in the mean in postoperative compared to preoperative (p <0.001) (Table 5).
Table 5. Comparison between preoperative and postoperative according to hemoglobin level among study group
Таблица 5. Сравнение предоперационного и послеоперационного периодов по уровню гемоглобина в исследуемой группе
Hemoglobin level | Range | Mean±SD | Paired Sample t-test | ||
MD±SE | t-test | p-value | |||
Preoperative | 10–16.8 | 12.76±1.22 | -2.55±0.16 | 15.579 | <0.001** |
At discharge | 9–12.2 | 10.20±0.83 | |||
Note. MD: mean difference, SE: standard error, * p-value <0.001.
Примечание. MD — средняя разница, SE — стандартная ошибка, * p <0,001.
This table reveals that the two periods were compared regarding VAS score, and the preoperative and postoperative mean±SD was 8.62±0.93 and 1.31±1.54 (mean difference: -7.31), respectively. A significant decrease was observed in the mean in postoperative compared to preoperative (p <0.001) (Table 6).
Table 6. Comparison between preoperative and postoperative according to VAS score among study group
Таблица 6. Сравнение предоперационного и послеоперационного периодов по визуальной аналоговой шкале боли в группе исследования
VAS score | Range | Mean±SD | Paired Sample t-test | ||
MD±SE | t-test | p-value | |||
Preoperative | 7–10 | 8.62±0.93 | -7.31±0.17 | 42.840 | <0.001* |
Postoperative | 0–6 | 1.31±1.54 | |||
Note. MD: mean difference, SE: standard error, * p-value <0.001.
Примечание. MD — средняя разница, SE — стандартная ошибка, * p <0,001.
This table shows that the two periods were compared with regard to ROM, and the preoperative and postoperative mean±SD was 105.56±11.20 and 114.50±8.68 (mean difference: 8.94), respectively. A significantly higher mean was found in postoperative compared to preoperative (p <0.001) (Table 7).
Table 7. Comparison between preoperative and postoperative according to ROM among study group
Таблица 7. Сравнение предоперационного и послеоперационного периодов по показателю «диапазон движения (ROM)» в группе исследования
ROM | Range | Mean±SD | Paired Sample t-test | ||
MD±SE | t-test | p-value | |||
Preoperative | 50–130 | 105.56±11.20 | 8.94±1.02 | -8.800 | <0.001* |
Postoperative | 90–130 | 114.50±8.68 | |||
Note. MD: mean difference, SE: standard error, * p-value <0.001 .
Примечание. MD — средняя разница, SE — стандартная ошибка, * p <0,001.
This table shows no significant correlation between percentage of change of KSS, FSS, patient expectation, and patient satisfaction and different parameters (p >0.05) (Table 8).
Table 8. Correlation between percentage of change among pre- and postoperative according to KSS, FSS, patient expectation, and patient satisfaction with different parameters using Pearson correlation coefficient (n=45)
Таблица 8. Корреляция между процентом изменений до и после операции по показателям cистемы оценки коленного сустава (KSS), функциональной оценке (FSS), ожиданиям пациента и удовлетворённости пациента различных параметров с использованием коэффициента корреляции Пирсона (n=45)
Characteristic | Percentage of change of KSS | Percentage of change of FSS | Percentage of change of patient expectation | Percentage of change of patient satisfaction | ||||
r-value | p-value | r-value | p-value | r-value | p-value | r-value | p-value | |
Age (years) | -0.063 | 0.680 | -0.065 | 0.670 | 0.226 | 0.136 | -0.051 | 0.741 |
Blood loss (cc) | -0.058 | 0.704 | -0.076 | 0.621 | -0.146 | 0.337 | -0.038 | 0.807 |
Hospital stay (days) | -0.061 | 0.689 | -0.028 | 0.856 | -0.127 | 0.406 | -0.023 | 0.883 |
Operative time (min) | -0.212 | 0.161 | -0.108 | 0.482 | -0.161 | 0.292 | -0.025 | 0.872 |
No. of transfused packed RBCs | -0.071 | 0.645 | -0.020 | 0.897 | -0.002 | 0.992 | -0.041 | 0.789 |
No. of transfused plasma units | -0.031 | 0.840 | -0.124 | 0.419 | -0.054 | 0.724 | -0.033 | 0.831 |
Note. r — Pearson correlation coefficient, p-value >0.05.
Примечание. r — коэффициент корреляции Пирсона, p >0,05.
CASE 1. PATIENT 16
Age: 64 years.
Sex: Female.
Diagnosis: Bilateral advanced knee osteoarthritis.
Procedure: Bilateral simultaneous knee arthroplasty.
Associated illnesses: Hypertension.
Postoperative follow-up: No postoperative complications were encountered.
Length of hospital stay: 6 days.
Knee Society score:
Characteristic | Preoperative | Postoperative |
Objective KS | 52 | 86 |
Functional KS | 40 | 70 |
Expectation | 12 | 12 |
Satisfaction | 14 | 34 |
Operative time: 150 minutes.
Amount of blood loss in the operation: 600 cc.
Characteristic | Preoperative | Postoperative |
VAS score | 8 | 0 |
Hemoglobin | 10.3 | 10.2 |
Radiological assessment (Fig. 11–14)
Fig. 11. Ap preoperative x-ray showing bilateral knee osteoarthritis.
Рис. 11. Предоперационная рентгенограмма с двусторонним остеоартритом коленного сустава.
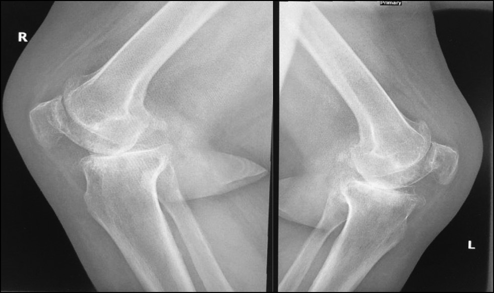
Fig. 12. Lateral preoperative x-ray right and left knees showing osteoarthritis.
Рис. 12. Предоперационная боковая рентгенограмма правого и левого колена с признаками остеоартрита.
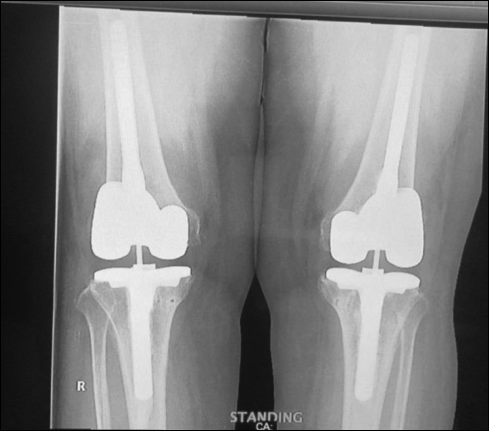
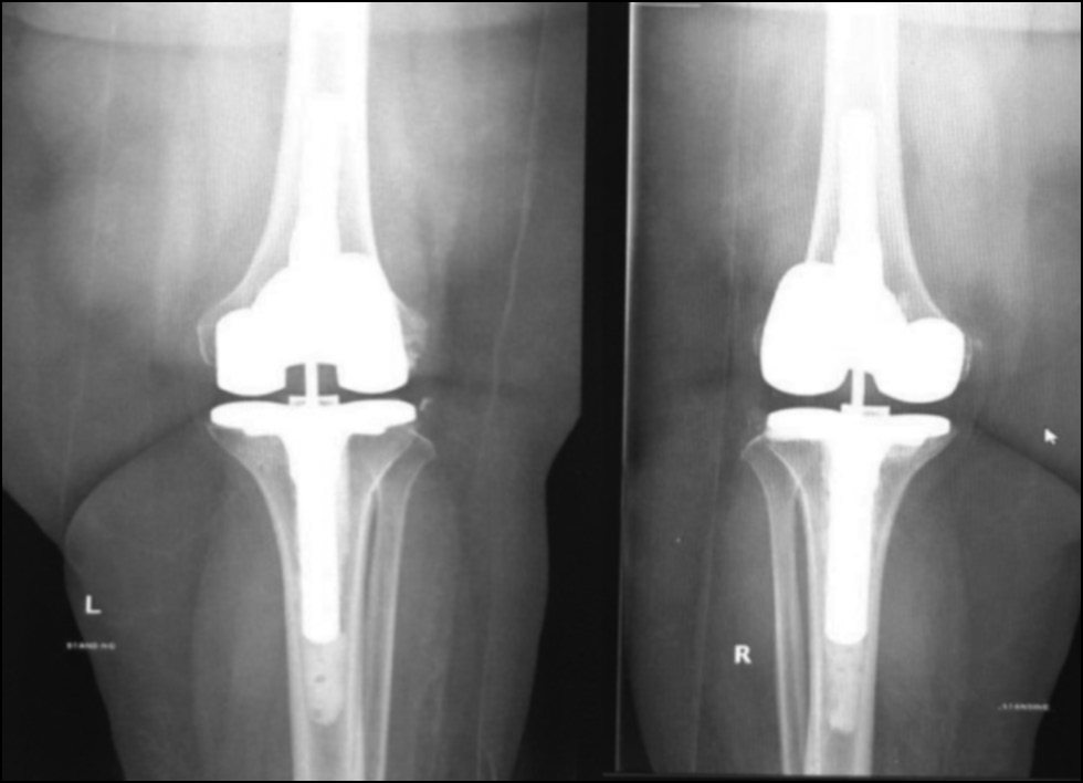
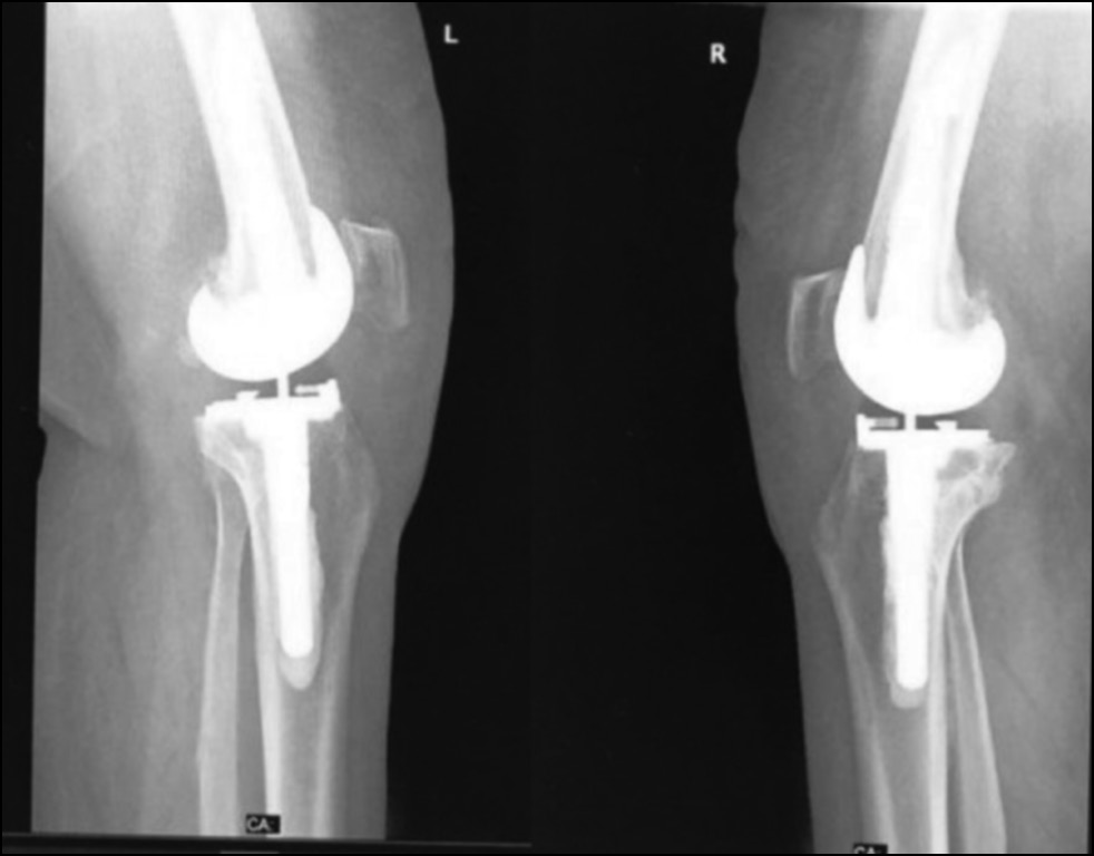
Fig. 13. Ap postoperative x-ray showing bilateral total knee arthroplasty.
Рис. 13. Послеоперационная рентгенограмма с двусторонней тотальной артропластикой коленного сустава.
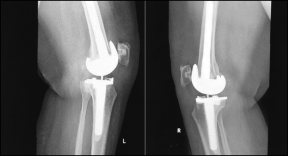
Fig. 14. Lateral postoperative x-ray right and left knees showing bilateral total knee arthroplasty.
Рис. 14. Послеоперационная боковая рентгенограмма правого и левого колена, демонстрирующая двустороннюю тотальную артропластику коленного сустава.
CASE 2. PATIENT 3
Age: 67 years.
Sex: Female.
Diagnosis: Bilateral advanced knee osteoarthritis.
Procedure: Bilateral simultaneous knee arthroplasty.
Associated illnesses: DM and hypertension.
Postoperative follow-up: No postoperative complications were encountered.
Length of hospital stay: 6 days.
Knee Society score:
Characteristic | Preoperative | Postoperative |
Objective KS | 61 | 82 |
Functional KS | 55 | 66 |
Expectation | 7 | 10 |
Satisfaction | 18 | 30 |
Operative time: 130 minutes.
Amount of blood loss in the operation: 700 cc.
Characteristic | Preoperative | Postoperative |
VAS score | 8 | 3 |
Hemoglobin | 11.3 | 9.9 |
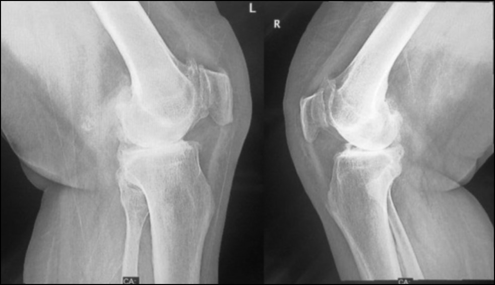
Radiological assessment (Fig. 15–18)
Fig. 15. Ap preoperative x-ray showing bilateral knee osteoarthritis.
Рис. 15. Предоперационная рентгенограмма с двусторонним остеоартритом коленного сустава.
Fig. 16. Lateral preoperative x-ray right and left knees showing osteoarthritis.
Рис. 16. Предоперационная боковая рентгенограмма правого и левого колена с признаками остеоартрита.
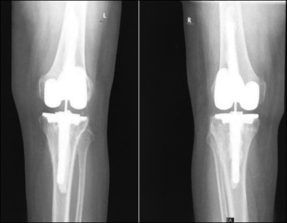
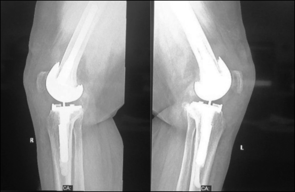
Fig. 17. Ap postoperative x-ray showing bilateral total knee arthroplasty.
Рис. 17. Послеоперационная рентгенограмма с двусторонней тотальной артропластикой коленного сустава.
Fig. 18. Lateral postoperative x-ray right and left knees showing bilateral total knee arthroplasty.
Рис. 18. Послеоперационная боковая рентгенограмма правого и левого колена, демонстрирующая двустороннюю тотальную артропластику коленного сустава.
CASE 3. PATIENT 24
Age: 60 years.
Sex: Female.
Diagnosis: Bilateral advanced knee osteoarthritis.
Procedure: Bilateral simultaneous knee arthroplasty.
Associated illnesses: DM and hypertension.
Postoperative follow-up: No postoperative complications were encountered.
Length of hospital stay: 6 days.
Knee Society score:
Characteristic | Preoperative | Postoperative |
Objective KS | 68 | 88 |
Functional KS | 50 | 80 |
Expectation | 12 | 10 |
Satisfaction | 16 | 34 |
Operative time: 130 minutes.
Amount of blood loss in the operation: 650 cc.
Characteristic | Preoperative | Postoperative |
VAS score | 8 | 0 |
Hemoglobin | 14.1 | 10.4 |
Radiological assessment (Fig. 19–22)
Fig. 19. Ap preoperative x-ray showing bilateral knee osteoarthritis.
Рис. 19. Предоперационная рентгенограмма с двусторонним остеоартритом коленного сустава.
Fig. 20. Lateral preoperative x-ray right and left knees showing osteoarthritis.
Рис. 20. Предоперационная боковая рентгенограмма правого и левого колена с признаками остеоартрита.
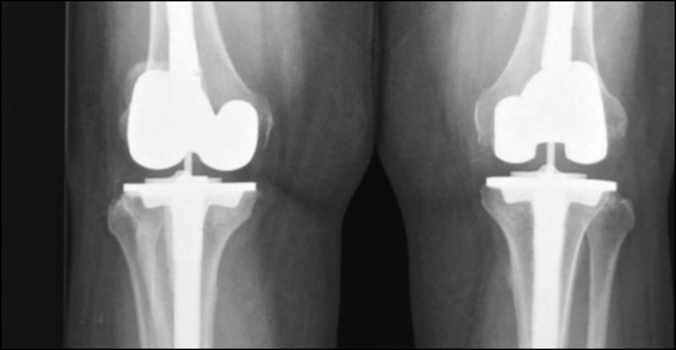
Fig. 21. Ap postoperative x-ray showing bilateral total knee arthroplasty.
Рис. 21. Послеоперационная рентгенограмма с двусторонней тотальной артропластикой коленного сустава.
Fig. 22. Lateral postoperative x-ray right and left knees showing bilateral total knee arthroplasty.
Рис. 22. Послеоперационная боковая рентгенограмма правого и левого колена, демонстрирующая двустороннюю тотальную артропластику коленного сустава.
CASE 4. PATIENT 25
Age: 65 years.
Sex: Male.
Diagnosis: Bilateral advanced knee osteoarthritis.
Procedure: Bilateral simultaneous knee arthroplasty.
Associated illnesses: No associated comorbidities.
Postoperative follow-up: No postoperative complications were encountered.
Length of hospital stay: 6 days.
Knee Society score:
Characteristic | Preoperative | Postoperative |
Objective KS | 54 | 78 |
Functional KS | 60 | 80 |
Expectation | 8 | 11 |
Satisfaction | 14 | 34 |
Operative time: 180 minutes.
Amount of blood loss in the operation: 1000 cc.
Characteristic | Preoperative | Postoperative |
VAS score | 10 | 1 |
Hemoglobin | 12.6 | 9.4 |
Radiological assessment (Fig. 23–26)
Fig. 23. Ap preoperative x-ray showing bilateral knee osteoarthritis.
Рис. 23. Предоперационная рентгенограмма с двусторонним остеоартритом коленного сустава.
Fig. 24. Lateral preoperative x-ray right and left knees showing osteoarthritis.
Рис. 24. Предоперационная боковая рентгенограмма правого и левого колена с признаками остеоартрита.
Fig. 25. Ap postoperative x-ray showing bilateral total knee arthroplasty.
Рис. 25. Послеоперационная рентгенограмма с двусторонней тотальной артропластикой коленного сустава.
Fig. 26. Lateral postoperative x-ray right and left knees showing bilateral total knee arthroplasty.
Рис. 26. Послеоперационная боковая рентгенограмма правого и левого колена, демонстрирующая двустороннюю тотальную артропластику коленного сустава.
DISCUSSION
Approximately one-third of knee replacement patients exhibit degenerative joint disease symptoms bilaterally and encounter problems in the contralateral knee joint following replacement of the other joint due to altered biomechanincs with subsequent increased loading of the other uninvolved knee, resulting in accelerated joint disease in the uninvolved knee and limb length discrepancy and increased incidence of contralateral hip replacement after unilateral knee replacement; thus, replacements of both knee joints are usually indicated in advanced knee osteoarthritis [3].
This can be performed in two separate sessions, with one knee following the other by few months as a staged procedure, or by replacing both knee joints in the same session as a simultaneous procedure [4].
The simultaneous procedure involves one surgical event with single anesthetic exposure, whereas the staged procedure requires two operations under double anesthetics exposure, separated by a variable time interval depending on the preference of the patient and surgeon. The advantages of simultaneous procedure include reduced hospital stay and costs, a single anesthetic exposure, and decreased overall rehabilitation time and, in some cases, patient preference [5].
In contrast, various cardiac and respiratory complications of simultaneous bilateral total knee replacement have been reported. Difference in the rate of complications between simultaneous and staged bilateral knee replacement remains controversial [6].
Concerns regarding the safety of simultaneous bilateral knee replacement have been noted, leading to hesitation to offer this procedure to patients. Several studies that examined the safety of simultaneous bilateral knee replacement are nonconclusive, making it difficult to reach a clear outcome. Some studies have demonstrated that staged procedures are safer and produce better outcomes than simultaneous procedure [7].
Moreover, other studies have described the mortality rate [8] and serious complications, including DVT, PE, and cardiovascular events, associated with simultaneous procedure [9].
The present study aimed to investigate simultaneous bilateral total knee replacement based on complications such as surgical site infection, DVT, PE, cardiac events, and patient satisfaction measured by the new Knee Society Score and compare the results to those in the literature and thus provide a clear guideline for the appropriate choice of patients suitable for single-stage simultaneous bilateral total knee arthroplasty. The study included 45 patients with the same inclusion and exclusion criteria.
The study was conducted on a wide age group ranging from 47 to 75 years, (mean age of 64.29±6.23 years). As regards sex distribution, there was female predominance with 41 females with percentage 91.1% and 4 males with percentage 8.9%. Regarding patient satisfaction, the comparison of Preoperative and Postoperative was 15.24±2.45, compared to 32.18±4.08 respectively, the mean difference 16.93.
In comparing Objective knee score by using the Knee Society Scoring system, in each of Preoperative and Postoperative was 58.90±6.28, compared to 82.62±5.70 respectively, the mean difference 23.72. Also, the comparison in Functional knee score with the mean±SD in each of Preoperative and Postoperative was 51.39±8.67, compared to 73.80±7.75 respectively, the mean difference 22.41. Among the study population (45) patients, 4 patients (8.9%) had complications out of them 3 patients (6.7%) had superficial infection and one patient (2.2%) had acute coronary syndrome.
Alghadir et al. [10] studied 50 patients who underwent simultaneous bilateral knee arthroplasty between 2016 and 2019. The average age (mean±SD) of the patients was 61.8±9.2 years, whereas in our study, the mean age was 64.29±6.23 years. The preoperative and postoperative mean±SD VAS score was 8.9±1 and 2.2±1.2 (mean difference: -6.7), respectively. In the present study, it was 8.62±0.93 preoperatively and 1.31±1.54 postoperatively, with a mean difference of -7.31.
Levy et al. [11] conducted a study on 116 patients who underwent simultaneous bilateral knee arthroplasty between January 2009 and December 2016. The average age of the patients was 69 years. The preoperative and postoperative KSS objective score was 41.7 and 75.8, respectively, and in the current study, it was 58.9 preoperatively and 82.62 postoperatively.
The preoperative and postoperative KSS functional score was 34 and 68.2, respectively. In the present study, it was 51.39 preoperatively and 73.8 postoperatively. Moreover, the preoperative and postoperative patient expectation was 13.8 and 10.6, respectively. In our study, it was 9.42 preoperatively and 9.87 postoperatively. In Levy et al.’s study, the mean operative time was 75.8 (48–120) minutes, whereas in our study, it was 145.67 (100–200) minutes. Additionally, in their study, the mean length of hospital stay was 8.2 (4–21) days, whereas in our study, it was 6.33 (6–10) days.
Wan et al. [12] performed a study on 95 patients who underwent simultaneous bilateral knee arthroplasty between January 2016 and December 2017.
The average age (mean±SD) of the patients was 65.6±5.31 years. In this study, the mean length of hospital stay was 6.64 (3–12) days. Furthermore, the mean operative time was 152.8 (68–278) minutes, and in our study, it was 145.67 (100–200) minutes. In Wan et al.’s study, the average hemoglobin drop was 3.03 g/dl, with a mean preoperative Hb of 13.5 g/dl and mean postoperative Hb of 10.47 g/dl. In our study, the average hemoglobin drop was 2.55 g/dl, with a mean preoperative Hb of 12.76 g/dl and mean postoperative Hb of 10.20 g/dl.
Gromov et al. [13] carried out a retrospective study on 284 patients who were selected to receive bilateral simultaneous knee arthroplasty between 2008 and 2014 and followed up to detect postoperative complications. Two patients (0.7%) were reported to develop DVT and two patients (0.7%) had PE.
In our study, the DVT and PE rates were 0%, with no patients reported to have developed each of these conditions.
Regarding cardiac events, mainly chest pain and cardiac ischemia, in Gromov et al.’s study, four patients (1.4%) were reported to develop cardiac events, whereas in our study, 1 patient (2.2%) was reported to develop cardiac ischemia that was managed medically. Moreover, infection rate was measured in Gromov et al.’s study. Eight patients (2.8%) were found to have infection. Six of them required surgical debridement, and two were treated medically. In our study, three patients (6.7%) were reported to have infection. All of them were managed medically with antibiotics until improvement was noted. None of them required surgical debridement.
Sarzaeem et al. [14] performed a prospective cohort study from 2013 and 2015, wherein 60 patients underwent simultaneous bilateral knee replacement. In this study, no patients developed DVT, which is the same as in our study.
Wong et al. [15] retrospectively studied 413 patients who were selected to receive simultaneous bilateral knee arthroplasty between 2008 and 2013 and followed up the patients to detect postoperative complications. Eleven patients (2.7 %) were found to develop DVT, and eight patients (1.9 %) had PE.
Regarding cardiac events, such as chest pain and cardiac ischemia, in Wong et al.’s study, only one patient (0.2%) was reported to develop cardiac ischemia (myocardial infarction), whereas in our study, one patient (2.2%) was found to have cardiac ischemia that was managed medically. Additionally, infection rate was measured in Wong et al.’s study. Four patients (0.97%) were detected to have infection and were managed medically. In our study, none of the patients required surgical debridement.
Liu et al. [16] conducted a meta-analysis of 18 studies between January 2000 and October 2018 and discussed complications following simultaneous bilateral knee arthroplasty.
Twelve studies reported DVT in 1.39% of patients who underwent simultaneous bilateral knee replacement. Eight studies in the meta-analysis reported PE, with an estimated incidence of approximately 0.95%. In the current study, the incidence of PE was 0%.
Mardani-Kivi et al. [17] retrospectively analyzed 272 patients who underwent simultaneous bilateral knee replacement between 2009 and 2016 and assessed their postoperative knee scores and complications.
Two patients (0.73%) were reported to develop DVT, and 15 patients (5.51%) had PE.
In this study, the infection rate was measured, and only 1 case (0.36%) of infection was found, which was managed medically.
Najfeld et al. [18] performed a retrospective study on 53 patients who underwent simultaneous bilateral knee replacement between January 2017 and December 2020 and assessed operation time and surgical and medical complications.
In this study, the average hemoglobin drop was 2.4 (g/ dl), with a mean preoperative Hb of 14.1 g/dl and mean postoperative Hb of 11.7 g/dl. In this study, the mean length of hospital stay was 8 (4–16) days.
Further studies with a larger sample size is required to determine such criteria.
Limitation
A definitive criterion for selection of suitable patients for bilateral simultaneous knee arthroplasty was not set because of the limited number of complications.
CONCLUSION
Bilateral simultaneous total knee arthroplasty can be safe and induce low mortality and complication rates with careful preoperative patient selection.
ADDITIONAL INFO
Author contribution. All authors have approved the final version before publication and have also agreed to be responsible for all aspects of the work, ensuring that issues relating to the accuracy and integrity of any part of it are properly addressed and resolved.
Funding sources. No funding.
Disclosure of interests. The authors declare that they have no competing interests.
Statement of originality. The authors did not use previously published information (text, data) to create this paper.
Generative AI. Generative AI technologies were not used for this article creation.
Consent for publication. The patients gave their written consent for publication of their medical data.
Provenance and peer-review. This paper was submitted to the journal on an initiative basis and reviewed according to the usual procedure. Two external reviewers, a member of the editorial board and the scientific editor of the publication participated in the review.
ДОПОЛНИТЕЛЬНО
Вклад авторов. Все авторы одобрили финальную версию перед публикацией, а также согласились нести ответственность за все аспекты работы, гарантируя надлежащее рассмотрение и решение вопросов, связанных с точностью и добросовестностью любой её части.
Источники финансирования. Отсутствуют.
Раскрытие интересов. Авторы декларируют отсутствие явных и потенциальных конфликтов интересов, связанных с проведённым исследованием и публикацией настоящей статьи.
Оригинальность. При создании настоящей работы авторы не использовали ранее опубликованные сведения (текст, данные).
Генеративный искусственный интеллект. При создании настоящей статьи технологии генеративного искусственного интеллекта не использовали.
Информированное согласие. Авторы получили письменное согласие пациентов на публикацию их медицинских данных.
Рассмотрение и рецензирование. Настоящая работа подана в журнал в инициативном порядке и рассмотрена по обычной процедуре. В рецензировании участвовали два внешних рецензента, член редакционной коллегии и научный редактор издания.
About the authors
Amr A. Hammad
Ain Shams University
Author for correspondence.
Email: amrkader67@yahoo.com
MD
Egypt, CairoRadwan G. Abd El Hamid
Ain Shams University
Email: radwanmetwaly@med.asu.edu.eg
MD
Egypt, CairoMohamed E. Awad
Ain Shams University
Email: Mohamed_awad2007@hotmail.com
MD
Egypt, CairoMohab E. Elkilany
Ain Shams University
Email: Mohabelkilany@gmail.com
MSc
Egypt, CairoReferences
- Altman RD, Gold GE. Atlas of individual radiographic features in osteoarthritis, revised. Osteoarthritis Cartilage. 2007; 15 (A):A1–56.
- Scott CEH, Howie CR, MacDonald D. Predicting dissatisfaction following total knee replacement. 2010: J Bone Joint Surg [Br] 2010; 92-B:1253-8.
- Mundermann A, Dyrby CO, Andriacchi TP. Secondary gait changes in patients with medial compartment knee osteoarthritis: increased load at the ankle, knee, and hip during walking. Arthritis Rheum 2005; 52:2835–44.
- Odum SM, Troyer JL, Kelly MP, Dedini RD, Bozic KJ. A cost-utility Analysis comparing the cost-effectiveness of simultaneous and staged bilateral total knee arthroplasty. J Bone JointSurg Am 2013; 95(16):1441.
- Hooper GJ, Hooper NM, Rothwell AG, Hobbs T. Bilateral total joint arthroplasty: the early results from the New Zealand National Joint Registry. J Arthroplasty 2009: 24:1174–1177.
- Hussain N, Chien T, Hussain F, Bookwala A, Simunovic N, Shetty V, Bhandari M. Simultaneous versus staged bilateral total knee arthroplasty a meta-analysis evaluating mortality, peri-operative complications and infection rates. HSSJ 2013; 9:50– 59.
- Husted H, Troelsen A, Otte KS, Kristensen BB, Holm G, Kehlet H. Fast-track surgery for bilateral total knee replacement. J Bone Joint Surg Br 2011; 93(3):351–356.
- Hu J, Liu Y, Lv Z, Li X, Qin X, Fan W. Mortality and morbidity associated with simultaneous bilateral or staged bilateral total knee arthroplasty: a meta-analysis. Arch Orthop Trauma Surg, 2011: 131(9):1291–1298.
- Noble J, Goodall JR, Noble DJ. Simultaneous Bilateral Total Knee Replacement: A persistent controversy. The Knee 2009; 16:420–426.
- Altman R and Gold G. Atlas of individual radiographic features in osteoarthritis, revised. Osteoarthritis and Cartilage, 2007; 15: A1–A56.
- Scott CEH, Howie CR, MacDonald D, Biant LC. Predicting dissatisfaction following total knee replacement. The Journal of Bone and Joint Surgery. British Volume, 2010; 92-B(9): 1253–1258.
- Mündermann A, Dyrby CO, Andriacchi TP. Secondary gait changes in patients with medial compartment knee osteoarthritis: Increased load at the ankle, knee, and hip during walking. Arthritis & Rheumatism, 2005; 52(9): 2835–2844.
- Odum SM, Troyer JL, Kelly MP, Dedini RD, Bozic KJ. A Cost-Utility Analysis Comparing the Cost-Effectiveness of Simultaneous and Staged Bilateral Total Knee Arthroplasty. The Journal of Bone & Joint Surgery, 2013; 95(16): 1441–1449.
- Hooper GJ, Hooper NM, Rothwell AG, Hobbs T. Bilateral Total Joint Arthroplasty. The Journal of Arthroplasty, 2009; 24(8), 1174–1177.
- Hussain N, Chien T, Hussain F, Bookwala A, Simunovic N, Shetty V, Bhandari M. Simultaneous Versus Staged Bilateral Total Knee Arthroplasty. HSS Journal 2013; 9(1): 50–59.
- Husted H, Troelsen A, Otte KS, Kristensen BB, Holm G, Kehlet H. Fast-track surgery for bilateral total knee replacement. The Journal of Bone and Joint Surgery. British Volume, 2011; 93-B(3), 351–356.
- Hu J, Liu Y, Lv Z, Li X, Qin X, Fan W. Mortality and morbidity associated with simultaneous bilateral or staged bilateral total knee arthroplasty: a meta-analysis. Archives of Orthopaedic and Trauma Surgery, 2011; 131(9), 1291–1298.
- Noble J, Goodall J, Noble D. Simultaneous Bilateral Total Knee Replacement: A persistent controversy. The Knee, 2009; 16(6), 420–426.
- Alghadir AH, Iqbal ZA, Anwer S, et al. Comparison of simultaneous bilateral versus unilateral total knee replacement on pain levels and functional recovery. BMC Musculoskelet Disord 2020; 21: 246.
- Levy Y, Azar M, Raffaelli A, Tran L, Carles M, et al. “One-Session Bilateral Total Knee Replacement: Late Complications and Survivorship.” Orthopaedics & Traumatology: Surgery & Research, 2020; 106(5): 903–906.
- Wan RC, Fan JC, Hung YW, Kwok KB, et al. “Cost, Safety, and Rehabilitation of Same-Stage, Bilateral Total Knee Replacements Compared to Two-Stage Total Knee Replacements.” Knee Surgery & Related Research, 2021; 33(1): 654.
- Gromov K, Troelsen A, Stahl Otte K, Ørsnes T, et al. “Morbidity and Mortality after Bilateral Simultaneous Total Knee Arthroplasty in a Fast-Track Setting.” Acta Orthopaedica, 2016; 87(3): 286–290.
- Sarzaeem MM, Omrani FA, Abousaidi SR, et al. “Comparison of Staged Bilateral and Simultaneous Bilateral Total Knee Arthroplasty in Deep Vein Thrombosis Occurrence.” Trauma Monthly, In Press, no. In Press, 2017.
- Wong E, Nguyen CL, Park S, et al. “Simultaneous, Same-Anaesthetic Bilateral Total Knee Arthroplasty Has Low Mortality and Complication Rates.” Knee Surgery, Sports Traumatology, Arthroscopy, 2018; 26(11): 3395–3402.
- Liu L, Liu H, Zhang H, Song J, et al. “Bilateral Total Knee Arthroplasty. Simultaneous or staged? A systematic review and meta-analysis ” Medicine, 2019; 98(22): 19.
- Mardani-Kivi M, Leili EK, Azari Z, et al. “Bilateral Total Knee Arthroplasty: Simultaneous versus Staging in the Same or in Twice Hospitalization.” Journal of Clinical Orthopaedics and Trauma, 2021; 14: 59–64.
- Najfeld M, Kalteis T, Spiegler C, Ley C, et al. “The Safety of Bilateral Simultaneous Hip and Knee Arthroplasty versus Staged Arthroplasty in a High-Volume Center Comparing Blood Loss, Peri- and Postoperative Complications, and Early Functional Outcome.” Journal of Clinical Medicine, 2021; 10(19): 4507.
Supplementary files





























