Effect of surface modification of titanium mesh on biological behavior in vivo experiments
- Authors: Smolentsev D.V.1, Lukina Y.S.1, Bionyshev-Abramov L.L.1, Serezhnikova N.B.1,2, Skryabin A.S.3, Shakurov A.V.3, Vesnin V.R.3, Skriabina E.S.3, Tsygankov P.A.4
-
Affiliations:
- Priorov National Medical Research Centre for Traumatology and Orthopaedics
- Sechenov First Moscow State Medical University
- Bauman Moscow State Technical University
- Industrial University of Santander
- Issue: Vol 32, No 1 (2025)
- Pages: 149-159
- Section: Original study articles
- Submitted: 10.10.2024
- Accepted: 01.11.2024
- Published: 08.04.2025
- URL: https://journals.eco-vector.com/0869-8678/article/view/636894
- DOI: https://doi.org/10.17816/vto636894
- ID: 636894
Cite item
Abstract
BACKGROUND: Titanium alloys are widely used in medicine due to their high biocompatibility, corrosion resistance and mechanical strength. However, standard titanium implants have a limited ability to integrate with bone tissue, which can lead to various complications and the need for revision operations. Modification of the implant surface with various biologically active compounds is a promising direction for solving this problem. Among the possible approaches, special attention should be paid to the use of inorganic coatings such as calcium oxides and phosphates, which combine high resistance, corrosion resistance and good mechanical properties.
AIM: Determining the modification effect of the titanium (Grade 2) mesh surface on the biocompatibility and osseogenic properties of materials with in vivo experiments using the small laboratory animals.
MATERIALS AND METHODS: The titanium mesh surface was modified by microarc oxidation in electrolyte with dispersed hydroxyapatite (HAp). The effectiveness of the surface modification was in vivo tested with a trepanation model in the skull of Wistar rats.
RESULTS: The formation of a structured regenerate at the bone surface without a significant defect reduction was revealed. The tissue reaction to the implantation of metal meshes in the defect of the parietal bones of the skull was weak, relatively mature dense connective tissue capsules were formed around the meshes, in which vascularization and inflammatory infiltration were minimal, bone regeneration was observed along the defect edges. Surface modification with microarc oxidation led to more pronounced bone regeneration compared to a surface-unmodified mesh.
CONCLUSION: Modification of the surface of the titanium-based mesh by micro-arc oxidation in the electrolyte with dispersed HAp has a positive effect on bone regeneration when closing defects of flat bones.
Full Text
ОБОСНОВАНИЕ
В настоящее время отмечается увеличение частоты применения металлических (в основном титановых) перфорированных мембран при пластике костных дефектов методом управляемой (направленной) костной регенерации (guide bone regeneration, GBR) [1]. Проблема фиксации металлоконструкций в стоматологии, травматологии-ортопедии и онкологии требует повышения эффективности остеоинтеграции имплантатов. Среди возможных вариантов решения задачи — модификация поверхности конструкций различными биологически активными соединениями органической [2] либо неорганической природы, основными из которых являются оксиды и/или покрытия на основе различных фосфатов кальция [3, 4]. К преимуществам использования неорганических соединений можно отнести их высокую стойкость при хранении медизделий, возможность термической стерилизации, коррозионную стойкость, а также высокие механические характеристики (прежде всего адгезионную прочность). Необходимо отметить, что нанесение оксидных покрытий с помощью микродугового оксидирования (МДО) [5] может обеспечивать плотное прилегание покрытия к подложке и препятствовать отслаиванию. Кроме того, применение методик МДО в среде кальцийсодержащих электролитов позволяет насытить структуру покрытий кальцием и фосфором, что при имплантации в организм может дополнительно способствовать интеграции изделия [6].
Отметим, что, несмотря на длительный период исследования применений МДО, в настоящее время не хватает полноты картины всех протекающих процессов, происходящих при имплантации на границе «имплантат/костная ткань», для создания коммерческих имплантатов с доказано улучшенной интеграцией. В данной статье использована in vivo модель имплантации на дефект черепа лабораторного животного для проведения оценки степени интеграции опытных образцов с покрытием в сравнении с контролем (сетки без покрытий) с помощью микрокомпьютерной томографии (микро-КТ) и гистологии. Подобные исследования могут представлять интерес при отработке технологий медицинского материаловедения и функциональных покрытий.
Цель исследования — оценка влияния модификации поверхности сетки из сплава ВТ1-00 на биосовместимость и остеогенные свойства материалов в экспериментах in vivo на мелких лабораторных животных.
МАТЕРИАЛЫ И МЕТОДЫ
Описание медицинского вмешательства
Доклиническую оценку биосовместимости и резорбции ксеногенных костных матриксов проводили в исследованиях in vivo на самцах крыс линии Вистар (масса тела 250–300 г) с использованием модели трепанационного отверстия теменных костей черепа. Все хирургические процедуры и содержание животных выполнялись в соответствии с этическими правилами проведения экспериментов на животных, включая европейскую директиву FELASA 2010/63/EU. Животных анестезировали последовательным внутримышечным введением 7 мг/кг тилетамина/золазепама (Zoletil®, лаборатория Virbac, Каррос, Франция) и 13 мг/кг ксилазина гидрохлорида (Merck, Дармштадт, Германия), операционное поле было выбрито и продезинфицировано антисептиком.
Для доступа к костям свода черепа разрезали кожу по средней линии головы, после чего разрезали соединительную ткань черепа и надкостницу и отслаивали их от черепа при помощи шпателя. С применением трепана диаметром 6 мм и стоматологического привода при низкой скорости вращения (около 200 оборотов в минуту) и постоянном смачивании физиологическим раствором (0,9% NaCl) выполняли насечку на теменных костях черепа практически на полную толщину кости (до прозрачности). При помощи элеватора выпиленный фрагмент кости удаляли, тем самым формируя дефект. При удалении костного фрагмента сохраняли целостность твёрдой мозговой оболочки и сосудов. Сетка диаметром 8 мм закрывала отверстие внахлёст, мягкие ткани ушивались поверх. Фотография хирургического поля представлена на рис. 1.
Рис. 1. Фотография хирургического поля.
Fig. 1. Photograph of the surgical field.
Период имплантации составил 3 месяца. Общее количество животных составило шесть, трём из которых имплантировались сетки без модификации поверхности (контрольная группа) и трём — сетки с модификацией поверхности (опытная группа).
Оценка биосовместимости и остеоинтеграции проводилась с помощью томографического и гистологического исследований.
Микротомографическое исследование проводилось in vivo после операции и посмертно через 2 недели и через 1 месяц после имплантации. Микрокомпьютерную томографию выполняли на сканере Bruker SkySkan 1178 (Контич, Бельгия) при напряжении 65 кВ и токе 615 мкА с фильтром A1 0,5 мм. Пространственное разрешение составляло 84 мкм/пиксель. Секции были реконструированы с использованием программного обеспечения NRecon, версия 1.6.10.4. 3D-реконструкции были выполнены в программе CT Vol 2.2.0.0.
Для гистологического исследования образцы фиксировали в 10% формалине с нейтральным буфером, декальцинировали в специальном кислом растворе (SoftyDek, Biovitrum, Стокгольм, Швеция), подвергали стандартной спиртовой обработке и помещали в парафиновые блоки. Затем парафиновые срезы толщиной 4 мкм окрашивали гематоксилином и эозином в соответствии со стандартными протоколами. Полученные предметные стёкла исследовали с помощью универсального светодиодного микроскопа Leica DM4000 B, оснащённого цифровой видеокамерой Leica DFC7000 T (Leica Microsystems, Вецлар, Германия), стандартными методами световой и фазово-контрастной микроскопии.
Объект исследования
В качестве объекта имплантации использованы стандартные медицинские сетки (ООО «Эндокарбон», Россия) толщиной 0,1 мм и с размером сквозных пор 0,5 мм из ВТ1- 00. Поверхность таких изделий подвергалась процедуре микродугового оксидирования в щелочном электролите (5,9 г KOH на 13 л дистиллированной воды с добавлением коммерческого гидроксиапатита (ГАП)). Концентрация ГАП (ООО «Битека», Россия) составляла около 15 г/л. Процесс проходил в течение 30 мин при переменном напряжении 380 В, 50 Гц. Далее сетка подвергалась ультразвуковой промывке в ацетоне и сушке на воздухе в течение суток. Из сеток вырезались круги диаметром 8 мм, которые в дальнейшем имплантировались животным.
Часть сеток подвергалась заливанию в смолу с последующей полировкой для дальнейшего изучения структуры покрытий. Исследование шлифов сеток с покрытиями проведено с помощью электронной микроскопии (микроскоп Thermo Fisher Scientific, энергия пучка 5–10 кВ). Исследование химического состава покрытия проведено с использованием рамановского микроскопа ATR8300-TW с лазерным источником возбуждения (532 нм) в диапазоне сдвигов 200–3800 см-1. Дополнительно поверхность сеток изучалась с помощью рентгеновской флюоресценции по методике [7] с использованием микроспектрометра M4 Tornado Bruker, позволяющего реализовать прецизионное исследование элементного состава.
Статистический анализ
Не проводился.
Этическая экспертиза
Доклинические испытания одобрены локальным этическим комитетом (№ 4 от 2021 г.).
РЕЗУЛЬТАТЫ
На рис. 2 представлены электронные фотографии шлифа сетки в режимах обратно рассеянных электронов (backscattered electrons, BSE) и вторичных электронов (secondary electrons, SE). На них видны области металлической сетки, собственно покрытия, а также смолы, в которую заливался образец, прежде чем подвергаться полировке. Отчётливо видно, что нанесённое покрытие хорошо контрастируется от металлической основы благодаря своему несколько более тёмному цвету. Толщина нанесённого покрытия составляла в среднем ≈1,0–2,0 мкм на разных участках образца. Растрескивания, точечных или протяжённых дефектов, а также отслаивания покрытия от подложки обнаружено не было.
Рис. 2. Электронные фотографии шлифов сеток с покрытием в режимах визуализации BSE и SE: 1 — титановая сетка, 2 — оксидное покрытие, 3 — смола.
Fig. 2. Electronic photographs of coated mesh sanding in BSE and SE visualization modes: 1 — titanium mesh, 2 — oxide coating, 3 — resin.
На рис. 3 представлены оптические фотографии сетки — исходной (a) и после её обработки (b), полученные с увеличением ×4. Обращает на себя внимание то, что процесс нанесения покрытия приводил к устранению исходного текстурирования поверхности сетки. При этом сохраняется исходная перфорация.
Рис. 3. Оптические фотографии исходной (a) и покрытой (b) сеток, а также рамановские спектры (с): 1 — исходная сетка, 2 — сетка с покрытием.
Fig. 3. Optical photographs of the original (a) and coated (b) grids, as well as the Raman spectra (c): 1 — the original grid, 2 — the coated grid.
В рамановском спектре исходной сетки (рис. 3с) визуализируется только люминесценция, связанная с влиянием подложки. С другой стороны, в спектре покрытия идентифицируются [8] пики 521 и 638 см-1, соответствующие биосовместимой фазе TiO2 — анатазу [9]. В флюоресцентном спектре покрытия обнаружено незначительное количество квантов с энергией 3,71 и 2,01 кэВ, которые можно интерпретировать как следовые включения Ca и P соответственно. Наличие данных элементов обусловлено импрегнированием во время микродугового оксидирования с использованием дисперсных фосфатов кальция.
По данным компьютерной томографии, при использовании модели трепанационного отверстия черепа в экспериментах in vivo и в опытной, и в контрольной группе сразу после имплантации определяется имплантированный сетчатый материал, опирающийся на края костного дефекта и закрывающий собой само трепанационное отверстие кости черепа, что наблюдается на 3D-реконструкции черепа животного (рис. 4).
Рис. 4. 3D-модель черепа животного с установленной сеткой, реконструированная по данным компьютерной томографии.
Fig. 4. A 3D model of an animal’s skull with an installed mesh, reconstructed according to computed tomography data.
Имплантат во всех случаях полностью закрывает дефект с малым смещением к его передней части, за исключением одного животного в опытной группе (животное 5), у которого произошло некоторое смещение сетки, оставившее небольшой сектор просвета, прикрытого только мягкими тканями (табл. 1, 2).
Таблица 1. Рентгенограммы костей черепа с установленным имплантатом (контрольная группа)
Table 1. X-ray images of the skull bones with the implant installed (control group)
Время | Животное 1 | Животное 2 | Животное 3 |
0 суток | |||
1 месяц | |||
2 месяца | |||
3 месяца |
Таблица 2. Рентгенограммы костей черепа с установленным имплантатом (опытная группа)
Table 2. X-ray images of the skull bones with the implant installed (experimental group)
Время | Животное 4 | Животное 5 | Животное 6 |
0 суток | |||
1 месяц | |||
2 месяца | |||
3 месяца |
Через один месяц после имплантации во всех случаях опытной группы со стороны участка с большей площадью контакта имплантата с краем кости отмечается увеличение рентгенологической плотности, что, скорее всего, свидетельствует о процессе перестройки кости и образовании регенерата от краёв дефекта. С противоположной стороны тоже отмечается перестройка костного фрагмента, но в меньшей степени. Просвет, не закрытый сеткой, сохраняется. Сверху и снизу над имплантатом равномерно распределено «облако» с повышенной рентгеновской плотностью, что может свидетельствовать об образовании регенерата, скорее всего мягкотканного, в отличие от зоны контакта «имплантат — кость». В отличие от опытных образцов сверху и снизу имплантата не отмечается никаких зон изменения рентгенологической плотности.
Через два месяца после имплантации во всех случаях опытной группы со стороны переднего края дефекта определяется уже структурированный регенерат, его высота к краю дефекта уменьшена. С противоположной стороны костный край тоже приобрёл чёткие формы, повторяющие изгиб пластины. Над имплантатом и под ним неравномерные структуры уплотнений организовались в более чёткие структуры, в большей степени сверху, плотно прилегая к имплантату. В контрольной группе также определяется структурированный регенерат, его высота к краю дефекта уменьшена. С противоположной стороны костный край тоже приобрёл чёткие формы, повторяющие изгиб пластины, по-прежнему не наблюдаются уплотнения над имплантатом и под ним.
Через три месяца после имплантации изменения в окружающих тканях продолжают наметившуюся ранее динамику. Относительно массивный регенерат в области максимального контакта с имплантатом структурировался, обладает плотностью кортикальной кости, утончён ближе к трепанационному отверстию, но значительного сокращения площади дефекта не произошло. С противоположной стороны костный край утолщается и структурируется. Участки уплотнения окружающей ткани сократились и расположены в основном на наружной стороне имплантата.
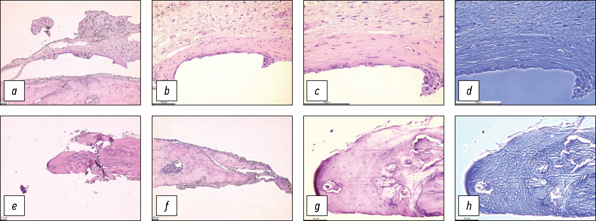
При морфологическом исследовании выявлено, что к трём месяцам после имплантации материала в контрольной группе на месте удалённой сетки были видны остатки соединительнотканной капсулы и фрагменты мозговой оболочки (с остатками шовного материала) (рис. 5а). Капсула обладает плотной структурой и состоит из продольно расположенных коллагеновых волокон и редких фибробластов между ними с минимальным количеством сосудов и незначительной лимфо-макрофагальной инфильтрацией (рис. 5b–d). Во внутреннем слое капсулы сохраняется тонкий макрофагальный слой, что может свидетельствовать о меньшей зрелости капсулы (рис. 5е–h). Краевые участки кости на границе дефекта регенерировали, в них выявляется молодая кость с большим количеством остеоцитов. На границе с молодой костью наблюдаются дистрофия и перестройка старой кости (рис. 5e, g, h).
Рис. 5. Изображения участков имплантации сеток (контрольная группа) через три месяца после операции: а, е, f — стандартная световая микроскопия, увеличение ×50; b, g — стандартная световая микроскопия, увеличение ×200; c — стандартная световая микроскопия, увеличение ×400; d — фазово-контрастная микроскопия, увеличение ×400; h — фазово-контрастная микроскопия, увеличение ×200. Окраска гематоксилин-эозином.
Fig. 5. Images of mesh implantation sites (control group) three months after surgery: a, e, f — standard light microscopy, magnification ×50; b, g — standard light microscopy, magnification ×200; c — standard light microscopy, magnification ×400; d — phase contrast microscopy, magnification ×400; h — phase contrast microscopy, magnification ×200. Hematoxylin-eosin staining.
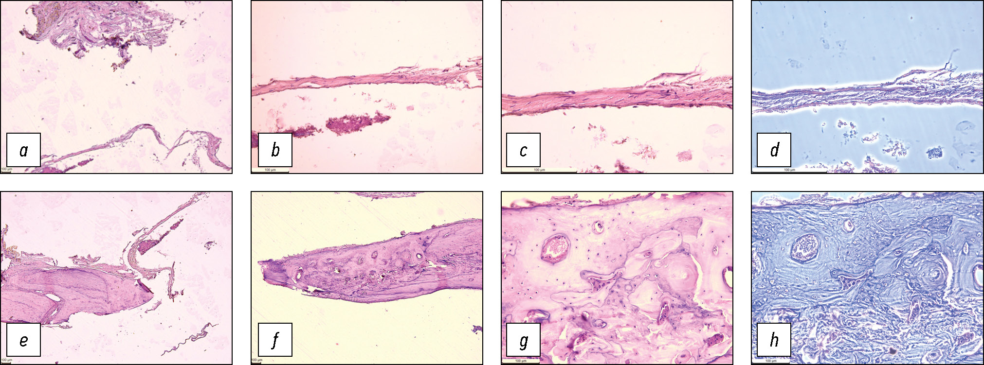
В опытной группе на месте удалённой сетки также видны остатки соединительнотканной капсулы и фрагменты мозговой оболочки (с остатками шовного материала) (рис. 6а). Капсула значительно тоньше по сравнению с контролем и имеет более зрелую структуру без внутреннего макрофагального слоя (рис. 6b–d). Она состоит из продольно и плотно расположенных коллагеновых волокон с единичными фибробластами между ними, с минимальными васкуляризацией и лимфо-макрофагальной инфильтрацией. Зоны костной регенерации, наблюдаемые по краям дефекта, большего размера, чем в контроле, и формирующаяся молодая кость более зрелая, с формированием в некоторых участках гаверсовой системы (рис. 6е–h). На границе с молодой костью отмечаются незначительная дистрофия и перестройка старой кости.
Рис. 6. Изображения участков имплантации сеток (опытная группа) через 3 месяца после операции: а, e, f — стандартная световая микроскопия, увеличение ×50; b, g — стандартная световая микроскопия, увеличение ×200; c — стандартная световая микроскопия, увеличение ×400; d — фазово-контрастная микроскопия, увеличение ×400; h — фазово-контрастная микроскопия, увеличение ×200. Окраска гематоксилин-эозином.
Fig. 6. Images of mesh implantation sites (experimental group) 3 months after surgery: a, e, f — standard light microscopy, magnification ×50; b, g — standard light microscopy, magnification ×200; c — standard light microscopy, magnification ×400; d — phase contrast microscopy, magnification ×400; h — phase contrast microscopy, magnification ×200. Hematoxylin-eosin staining.
ОБСУЖДЕНИЕ
Гидроксиапатит, являясь основным минеральным компонентом костной ткани человека, способен взаимодействовать с окружающими тканями, стимулируя процессы регенерации. Покрытия ГАП широко используются в титановых биоматериалах для улучшения биосовместимости и формирования костной ткани [10, 11].
Покрытие титановых сеток методом микродугового оксидирования является перспективным методом обработки данных имплантатов, так как этот метод позволяет добиться получения равномерного оксидного покрытия (в реализованном случае ≈1,0–2,0 мкм), что было доказано с помощью электронной микроскопии. Как показано с помощью рамановской спектроскопии, в структуре покрытия детектируется биосовместимая фаза TiO2 (анатаз) без обнаружения значительного количества других соединений, в том числе токсических. Добавка в электролит нанодисперсного ГАП приводит к насыщению поверхности следовыми (на фоне подложки) количествами Ca и P, высвобождение которых в процессе имплантации может дополнительно способствовать остеоинтеграции. При этом сохраняется сетчатая структура имплантата (наличие исходной перфорации поверхности), стимулирующая клеточную пролиферацию тканей in vivo. Реализованный метод также не приводил к возникновению следов отслаивания покрытия, микротрещин, образованию острых краёв, которые потенциально могли бы травмировать окружающие ткани.
В соответствии с результатами микро-КТ в начальный период после имплантации титановых сеток в область дефекта теменных костей черепа заметны различия между опытной и контрольной группами, свидетельствующие о начале образования костного регенерата в опытной группе, растущего от краёв костного дефекта к имплантату. Покрытие на основе гидроксиапатита оказывает положительное влияние на остеоинтеграцию имплантата.
Положительная динамика в опытной группе с уплотнением костного регенерата с последующим структурированием в области максимального контакта превосходит динамику в контрольной группе, которая также наблюдается в имплантационном периоде, что подтверждает высокую биосовместимость титанового сплава, однако увеличение регенерации при наличии модификации поверхности титановых сеток гидроксиапатитом доказывает её эффективность. Костная регенерация по краям дефектов подтверждается результатами гистологического исследования, указывающими на наличие новообразованной костной ткани.
Согласно результатам гистологического исследования, тканевая реакция на имплантацию металлических сеток в область дефекта теменных костей черепа является слабой, что свидетельствует о нетоксичности материала и его хорошей биосовместимости. Вокруг имплантатов формируются относительно зрелые плотные соединительнотканные капсулы, в которых васкуляризация и воспалительная инфильтрация минимальны. Модификация поверхности титановых сеток гидроксиапатитом ускоряет процесс созревания капсул, что характеризуется уменьшением их толщины и отсутствием внутреннего макрофагального слоя.
М. Hirota и соавт. наблюдали положительный эффект покрытия гидроксиапатитом сетки из титанового волокна на ранних сроках имплантации, когда имплантированная в дефект черепа крысы сетка показала десятикратное образование кости по сравнению с сеткой из титанового волокна без покрытия через 3 недели после имплантации, тогда как в сетке из титанового волокна с покрытием ГА через 6 недель после имплантации образование кости было только четырёхкратным [12].
Основные причины увеличения регенераторного потенциала имплантатов связаны со способностью гидроксиапатитовых покрытий стимулировать остеогенез. Это является следствием их гидрофильности, способности адсорбировать белки, которые играют ключевую роль в костеобразовании, что создаёт благоприятную среду для пролиферации и дифференцировки остеобластов. Гидрофильность поверхности необходима для адсорбции, адгезии и пролиферации остеобластов. Остеобласты демонстрируют усиленное созревание и функциональную активность в присутствии гидроксиапатита [13, 14].
A.I. Kozelskaya и соавт. показали зависимость остеогенной дифференцировки мезенхимальных стволовых клеток от активности щелочной фосфатазы, вызывающей образование кальцификатов после 20 дней культивирования клеток, на образцах титановых имплантатов, полученных c помощью 3D-печати. Самая низкая активность остеогенной дифференциации наблюдалась у немодифицированных контрольных образцов Ti, тогда как образцы, полученные путём нанесения гидроксиапатитовых покрытий способом микродугового оксидирования, показали высокую стимуляцию остеогенной дифференцировки клеток [15].
Таким образом, модификация сеток методом микродугового оксидирования с нанесением покрытия гидроксиапатита оказывает положительный эффект на остеоинтеграцию с формированием более тонких и зрелых соединительнотканных капсул и более выраженной костной регенерацией по сравнению с контролем.
ЗАКЛЮЧЕНИЕ
В ходе выполнения работы были исследованы биосовместимость и остеоинтегративный потенциал титановых сеток с модифицированной поверхностью методом микродугового оксидирования в экспериментах in vivo.
Полученные данные свидетельствуют о том, что образовавшийся регенерат в области максимального контакта с имплантатом со временем структурировался, его рентгенологическая плотность увеличивалась и происходило утончение ближе к трепанационному отверстию с одной стороны и утолщение с другой, но значительного сокращения площади дефекта не отмечалось. Модификация поверхности методом микродугового оксидирования титановых сеток, изначально обладающих высокой биосовместимостью, оказывает положительный эффект с формированием более тонких и зрелых соединительнотканных капсул и более выраженной костной регенерацией по сравнению с контролем. Указанный метод модификации поверхности может быть использован для повышения остеоинтегративных свойств имплантатов.
ДОПОЛНИТЕЛЬНО
Вклад авторов. Все авторы одобрили рукопись (версию для публикации), а также согласились нести ответственность за все аспекты работы, гарантируя надлежащее рассмотрение и решение вопросов, связанных с точностью и добросовестностью любой её части.
Источник финансирования. Исследование выполнено за счёт гранта Российского научного фонда (проект № 20-79-10190П), https://rscf.ru/project/23-79-50005/.
Раскрытие интересов. Авторы заявляют об отсутствии отношений, деятельности и интересов за последние три года, связанных с третьими лицами (коммерческими и некоммерческими), интересы которых могут быть затронуты содержанием статьи.
Рассмотрение и рецензирование. Настоящая работа подана в журнал в инициативном порядке и рассмотрена по обычной процедуре. В рецензировании участвовали два внешних рецензента, член редакционной коллегии и научный редактор издания.
ADDITIONAL INFO
Author contribution. All authors provided approval of the version to be published and agree to be accountable for all aspects of the work in ensuring that questions related to the accuracy or integrity of any part of the work are appropriately investigated and resolved.
Funding source. The study was funded by the Russian Science Foundation grant (Project No. 20-79-10190П), https://rscf.ru/project/23-79-50005/.
Disclosure of interests. The authors declare the absence of relationships, activities and interests (personal, professional or financial) related to third parties (commercial, non-profit, private), whose interests may be affected by the content of the article, as well as other relationships, activities and interests over the past three years, which must be reported.
Provenance and peer-review. This paper was submitted to the journal on an initiative basis and reviewed according to the usual procedure. Two external reviewers, a member of the editorial board and the scientific editor of the publication participated in the review.
About the authors
Dmitry V. Smolentsev
Priorov National Medical Research Centre for Traumatology and Orthopaedics
Author for correspondence.
Email: SmolentsevDV@cito-priorov.ru
ORCID iD: 0000-0001-5386-1929
SPIN-code: 3702-1955
Russian Federation, 10 Priorova str., 127299 Moscow
Yulia S. Lukina
Priorov National Medical Research Centre for Traumatology and Orthopaedics
Email: lukina_rctu@mail.ru
ORCID iD: 0000-0003-0121-1232
SPIN-code: 2814-7745
Cand. Sci. (Engineering)
Russian Federation, 10 Priorova str., 127299 MoscowLeonid L. Bionyshev-Abramov
Priorov National Medical Research Centre for Traumatology and Orthopaedics
Email: sity-x@bk.ru
ORCID iD: 0000-0002-1326-6794
SPIN-code: 1192-3848
Russian Federation, 10 Priorova str., 127299 Moscow
Natalia B. Serezhnikova
Priorov National Medical Research Centre for Traumatology and Orthopaedics; Sechenov First Moscow State Medical University
Email: natalia.serj@yandex.ru
ORCID iD: 0000-0002-4097-1552
SPIN-code: 2249-9762
Cand. Sci. (Biology)
Russian Federation, 10 Priorova str., 127299 Moscow; MoscowAndrey S. Skryabin
Bauman Moscow State Technical University
Email: terra107@yandex.ru
ORCID iD: 0000-0002-8578-2632
SPIN-code: 3286-8502
Cand. Sci. (Engineering)
Russian Federation, MoscowAlexey V. Shakurov
Bauman Moscow State Technical University
Email: shakurov@bmstu.ru
ORCID iD: 0000-0001-6110-8101
SPIN-code: 1894-4707
Cand. Sci. (Engineering), associate professor
Russian Federation, MoscowVladimir R. Vesnin
Bauman Moscow State Technical University
Email: vesnin.volodya@gmail.com
ORCID iD: 0000-0003-1829-9891
SPIN-code: 7496-0481
Russian Federation, Moscow
Elizaveta S. Skriabina
Bauman Moscow State Technical University
Email: elzabra@yandex.ru
ORCID iD: 0009-0000-1881-2822
Russian Federation, Moscow
Petr A. Tsygankov
Industrial University of Santander
Email: piotrtsy@mail.ru
ORCID iD: 0000-0002-1221-9988
SPIN-code: 5218-3083
Colombia, Bucaramanga
References
- Aprile P, Letourneur D, Simon-Yarza T. Membranes for Guided Bone Regeneration: A Road from Bench to Bedside. Adv Healthcare Mater. 2020;9(19):2000707. doi: 10.1002/adhm.202000707
- Baylón K, Rodríguez-Camarillo P, Elías-Zúñiga A, et al. Past, present and future of surgical meshes: A review. Membranes. 2017;7(3):47. doi: 10.3390/membranes7030047
- Dorozhkin SV. Synthetic amorphous calcium phosphates (ACPs): Preparation, structure, properties, and biomedical applications. Biomater Sci. 2021;9(23):7748–7798. doi: 10.1039/d1bm01239h
- Skriabin AS, Shakurov AV, Vesnin VR, et al. Titanium Membranes with Hydroxyapatite/Titania Bioactive Ceramic Coatings: Characterization and In Vivo Biocompatibility Testing. ACS Omega. 2022;7(51):47880–47891. doi: 10.1021/acsomega.2c05718
- Tsygankov PA, Skryabin AS, Krikorov AA, et al. Formation of a combined bioceramics layer on titanium implants. J Phys Conf Ser. 2019;1386:012011. doi: 10.1088/1742-6596/1386/1/012011
- Gnedenkov SV, Scharkeev YP, Sinebryukhov SL, et al. Formation and properties of bioactive surface layers on titanium. Inorg Mater Appl Res. 2011;2:474–481. doi: 10.1134/S2075113311050133
- Scriabin AS, Vesnin VR, Shakurov AV, et al. Production of calcium-containing oxide coatings on titanium membranes for the tasks of maxillofacial surgery and dentistry. Prikladnaya fizika. 2024;(4):63–69. (in Russ.). doi: 10.51368/1996-0948-2024-4-63-69
- Balachandran U, Eror NG. Raman spectra of titanium dioxide. J Solid State Chem. 1982;42(3):276–282. doi: 10.1016/0022-4596(82)90006-8
- Lin G-W, Chen J-S, Tseng W, Lu F-H. Formation of anatase TiO2 coatings by plasma electrolytic oxidation for photocatalytic applications. Surf Coat Technol. 2019;357:28–35. doi: 10.1016/j.surfcoat.2018.10.010
- Yang Y, Kim KH, Agrawal CM, Ong JL. Effect of post-deposition heating temperature and the presence of water vapor during heat treatment on crystallinity of calcium phosphate coatings. Biomaterials. 2003;24(28):5131–7. doi: 10.1016/s0142-9612(03)00459-9
- Lavos-Valereto IC, Wolynec S, Deboni MCZ, Koenig Jr B. In vitro and in vivo biocompatibility testing of Ti–6AI–7Nb alloy with and without plasma-sprayed hydroxyapatite coating. J Biomed Mater Res. 2001;58(6):727–33. doi: 10.1002/jbm.1072
- Hirota M, Ametani A, Monden Y, Noishiki Y, Hayakawa T, Tohnai I. Molecular precursor method facilitates thin hydroxyapatite coating of titanium fiber web scaffold and enhances bone formation: experimental study in rat cranial bone defects. Int J Oral Maxillofac Implants. 2010;25(5):888–92.
- Naderi A, Zhang B, Belgodere JA, Sunder K, Palardy G. Improved biocompatible, flexible mesh composites for implant applications via hydroxyapatite coating with potential for 3-dimensional extracellular matrix network and bone regeneration. ACS applied materials & interfaces. 2021;13(23):26824–26840. doi: 10.1021/acsami.1c09034
- Kylmäoja E, Holopainen J, Abushahba F, Ritala M, Tuukkanen J. Osteoblast attachment on titanium coated with hydroxyapatite by atomic layer deposition. Biomolecules. 2022;12(5):654. doi: 10.3390/biom12050654
- Kozelskaya AI, Rutkowski S, Frueh J, et al. Surface modification of additively fabricated titanium-based implants by means of bioactive micro-arc oxidation coatings for bone replacement. Journal of Functional Biomaterials. 2022;13(4):285. doi: 10.3390/jfb13040285
Supplementary files

































