Bone functional remodelling due to overloading: pathologic reconstruction
- Authors: Brusco A.T.1
-
Affiliations:
- Ukrainian Scientific Research Institute of Traumatology and Orthopedics
- Issue: Vol 3, No 1 (1996)
- Pages: 40-47
- Section: Articles
- Submitted: 24.03.2021
- Accepted: 24.03.2021
- Published: 15.03.1996
- URL: https://journals.eco-vector.com/0869-8678/article/view/64084
- DOI: https://doi.org/10.17816/vto64084
- ID: 64084
Cite item
Full Text
Abstract
Experimental study on 68 dogs and clinical observation of 28 patients with bone pathologic remodelling showed that the morphologic base of that process was a reparative response to overtension resulting in local thickening of bone (hyperostosis due to overtension). In case of old chronic process, the creeping fracture occured-willow fracture, during the development of hyperostosis due to overtension. The diagnosis, prevention, treatment of bone pathologic remodelling were presented.
Full Text
При анатомо-функциональном несоответствии в костях могут возникать участки перенапряжения и развиваются изменения, которые называют «патологической перестройкой костей» [3, 10, 11], «ползучим переломом» [12], «усталостным переломом» [21], «стрессовым переломом» [17, 20], а при системных заболеваниях аппарата движения — «лоозеровской зоной перестройки» [15, 19]. Поскольку мышечная активность человека чаще всего связана с определенным видом производственной, бытовой, спортивной и другой деятельности, некоторые авторы [8] рассматривают это заболевание как профессиональное. Для военной и спортивной медицины данная патология стала серьезной проблемой [1, 16].
Патологическая перестройка давно привлекает внимание клиницистов, рентгенологов и морфологов неопределенностью условий возникновения, неясностью патогенеза и морфологической сущности, сходством клиникорентгенологической картины с картиной при травматических повреждениях, воспалительных и опухолевых процессах. Диагностические ошибки достигают в этих случаях 98,4—100% [3], а ошибочный или поздно поставленный диагноз нередко имеет следствием развитие тяжелых осложнений, длительную потерю трудоспособности и даже инвалидность.
Повреждения, связанные с чрезмерной двигательной нагрузкой, встречаются в любом возрасте и во всех костях, за исключением костей черепа [9, 17]. Наиболее часто повреждаются длинные кости нижних конечностей, особенно плюсневые («маршевый перелом», или болезнь Дойчлендера) и кости голени («периостит от перенапряжения», «оссифицирующий периостит», «перелом конькобежцев» и т.п.). У практически здоровых людей патологическая перестройка возникает после длительных динамических нагрузок (маршировка, бег, катание на коньках, лыжах и т.д.), особенно если отсутствует предварительная подготовка [10, 11, 17]. При наличии системных и локальных патологических изменений в костях (остеомаляция, рахит, дистрофические, воспалительные, опухолевые и опухолеподобные заболевания) такие повреждения могут возникать на фоне обычной и даже пониженной функциональной активности вследствие изменения механических и в первую очередь прочностных свойств кости. Такое состояние называют относительной функциональной перегрузкой.
Существующие теории патогенеза повреждений, вызываемых функциональной перегрузкой (микротравматическая, остеокластическая, усталостная, нейротрофическая и др.), которые базируются на данных анализа биопсийного и операционного материала, полученного в поздних стадиях патологического процесса [6, 10, 13, 18], противоречивы и не раскрывают механизма возникновения и морфологической сущности патологической перестройки кости.
Целью настоящего исследования явились изучение морфогенеза, оценка ранних клинико-рентгенологических проявлений и определение диагностических критериев при патологической перестройке костей.
Материал и методы. Исследования проведены на 68 беспородных собаках обоего пола, у которых, используя модель Мюллера [5], изучали динамику изменений структурной организации длинных костей при функциональной перегрузке. Метод основан на том, что после резекции участка диафиза лучевой кости парная локтевая кость испытывает функциональную перегрузку. У 26 собак выполнили одностороннюю и у 42 — двустороннюю резекцию участка диафиза протяженностью 1—2,5 см на границе средней и нижней трети лучевой кости. Вторую операцию производили через 1—3 нед после первой. Контролем служила локтевая кость неоперированной конечности у животных с односторонней резекцией участка диафиза лучевой кости. Сроки клинико-рентгенологического наблюдения составляли от 1 до 845 сут. В каждый срок наблюдения использовали не менее 3 животных.
Операцию выполняли под гексеналовым наркозом (0,5 мл 10% раствора на 1 кг массы тела собаки внутриплеврально). Рентгенологические исследования проводили в динамике: до и в день оперативного вмешательства, а при больших сроках наблюдения ежемесячно и накануне вывода животного из опыта (введение внутриплеврально летальной дозы 20% раствора гексенала). После рентгенографии кости предплечья распиливали на кусочки и готовили тонкие срезы. На рентгенограммах с помощью штангенциркуля или окулярной линейки измеряли длину и ширину локтевой кости до операции и в последующем в дни рентгенологического контроля (измерения проводились однотипно и на стандартных рентгенограммах). На основании этих данных определяли степень утолщения и индекс массивности локтевой кости после перегрузки [5].
Достоверность различий средних величин оценивали по t-критерию Стьюдента.
Статистическая обработка результатов измерений и корреляционный анализ проведены на ЭВМ СМ-4 по стандартной программе CORRE из «Пакета программ обработки данных методами математической статистики ПАСТ СМ ЭВМ».
Кроме того, были проанализированы данные клинико-рентгенологического наблюдения за 28 больными в возрасте от 4 до 65 лет с патологической перестройкой бедренной [4], большеберцовой [8], малоберцовой [2] и плюсневых [14] костей.
Результаты и обсуждение. Изучение динамики рентгенологических и морфологических показателей (форма и структура костей) в эксперименте показало, что функциональное перенапряжение неповрежденной кости уже ко 2—3-м суткам активизирует периостальное и эндостальное костеобразование, однотипное репаративной реакции при переломах. Этот процесс костеобразования, протекающий на фоне острого расстройства внутрикостного кровоснабжения и называемый репаративной реакцией на перенапряжение (рис. 1), приводит к локальному утолщению кости — гиперостозу.
Рис. 1. Репаративная реакция на перенапряжение (16-е сутки функциональной перегрузки).
Окраска гематоксилином и эозином. Ув. 12.
Рис. 2. Гиперостоз от перенапряжения: рентгенограммы локтевой кости до (а), через 130 (б) и 845 (в) сут функциональной перегрузки.
Рис. 3. Ползучий перелом в день его возникновения.
a — рентгенограмма: стрелкой показано поперечное просветление на уровне метадиафиза локтевой кости; б — гистотопографический препарат (тот же случай): надлом компактной кости с частичным повреждением периостального и эндостального регенерата (окраска гематоксилином и эозином. У в. 20).
В первые 1—1,5 мес функциональной перегрузки происходит быстрое увеличение толщины самого тонкого участка диафиза локтевой кости. Со 2-го месяца это увеличение замедляется за счет физиологической перестройки и распространяется на всю кость (рис. 2).
Корреляционный анализ зависимости степени утолщения локтевой кости от исходного индекса ее массивности выявил сильную отрицательную связь (г = -0,74), т.е. чем ниже индекс массивности этой кости был до перегрузки, тем выше степень ее утолщения. Уравнение линейной регрессии имеет вид:
х2 = (-5,72+0,99) х1+ 367,83,
где — исходный индекс массивности локтевой кости, х2 — степень утолщения этой кости вследствие функциональной перегрузки (в процентах).
Эти расчеты позволяют прогнозировать степень утолщения кости с погрешностью, близкой к 2,5%. Уравнение имеет достоверный коэффициент регрессии (r = 5,80), являющийся статистически значимым при n — 30.
В норме любое изменение структуры и формы костей в различных условиях нагрузки обычно происходит путем физиологической перестройки, а при функциональной перегрузке — путем репаративной реакции на перенапряжение, и потому эту реакцию следует оценивать как патологическую перестройку.
Наиболее ранние рентгенологические изменения в костях при патологической перестройке — возникновение нежных периостальных наслоений (периостальное костеобразование) или появление склероза (эндостальное костеобразование) на ограниченном участке кости. Чаще эти признаки сочетаются; при этом в диафизарном отделе преобладает периостальный, а в метафизе — эндостальный компонент репаративной реакции.
В период формирования периостальных наслоений и эндостального регенерата из-за активизации в сосудистых каналах резорбционных процессов происходит рарефикация компактной кости, что приводит к временному понижению предела механической прочности кости. В этих условиях при продолжающейся нагрузке часто в метадиафизе или (реже) в диафизе на рентгенограммах обнаруживается полоса просветления.
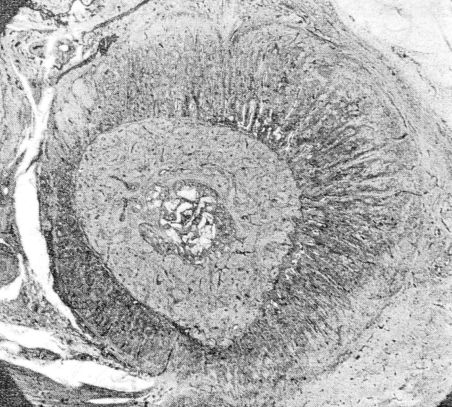
Морфологические исследования, проведенные в первые часы и дни после появления полосы просветления, показывают, что в рарефицированной компактной кости на уровне развивающегося гиперостоза от перенапряжения возникает поперечная трещина, надлом (рис. 3). Целость эндостального и периостального регенерата при этом сохраняется — полностью или частично. В дальнейшем (2—14-е сутки), если нагрузка на конечность продолжается, щель постепенно распространяется по поперечнику кости (рис. 4). Такое течение патологического процесса позволило назвать указанное повреждение кости «ползучим переломом» [12]. В зоне надлома в эти сроки образуются участки активизации остеопластической резорбции и пролиферации фиброретикулярных клеточных элементов, происходит врастание в щель остеогенной ткани. В костной ткани вблизи щели ползучего перелома нарастают некробиотические и некротические изменения, увеличивается количество микротрещин. Резорбция костных краев приводит к неравномерному расширению щели. Спустя 1—2 мес щель почти на всем протяжении заполняется фиброзной и хрящевой тканями (рис. 5).
Более частая локализация патологической перестройки в области метадиафиза обусловлена особенностями его строения. Компактная кость здесь значительно тоньше, а характерное для диафиза продольное направление остеонов уступает тангенциальному. Этим объясняется понижение в физиологических условиях до 40% предела механической прочности кости в направлении к эпифизу [2].
Таким образом, морфологической сущностью патологической перестройки является репаративная реакция на перенапряжение. В период ее прогрессирования при сохраняющейся функциональной нагрузке может произойти механическое нарушение целости кости (надлом) — ползучий перелом.
Анализ наших клинических наблюдений показал, что для начальной стадии патологической перестройки (возникновение репаративной реакции на перенапряжение) характерна перемежающаяся клиническая симптоматика, в чем и заключается причина позднего обращения к врачу. Клинические проявления повреждения костей при функциональном перенапряжении предшествуют рентгенологическим. В начале заболевания, сразу после функциональной перегрузки, возникает ощущение усталости, распирания в области пораженного сегмента, затем появляются боли неопределенной локализации, исчезающие в покое и усиливающиеся при нагрузке. По мере прогрессирования заболевания боль, локальная болезненность, припухлость и отек становятся постоянными, нарушаются функция и трудоспособность. При рентгенологическом исследовании в конце 2-й недели можно обнаружить локальную периостальную и эндостальную реакцию, при этом полосы просветления отсутствуют (рис. 6). Эндостальное костеобразование проявляется участком склерозирования кости (рис. 7) и является основным рентгенологическим признаком патологической перестройки [11, 14]. В дальнейшем, в течение 4— 6 нед, если функциональную нагрузку ограничить, клиническая симптоматика исчезает, периостальные наложения на рентгенограммах постепенно уплотняются и сливаются с компактной костью, вызывая гиперостоз от перенапряжения (рис. 8).
Рис. 4. Распространение щели по поперечнику кости при ползучем переломе: заполнение периферических отделов щели остеогенной тканью (9-е сутки со дня возникновения ползучего перелома).
Гистотопографический препарат. Окраска гематоксилином и эозином. Ув. 60.
Рис. 5. Свежий новообразованный участок щели и участок, заполненный фиброзной соединительной тканью (85-е сутки со дня возникновения ползучего перелома).
Окраска гематоксилином и эозином. Ув. 80.
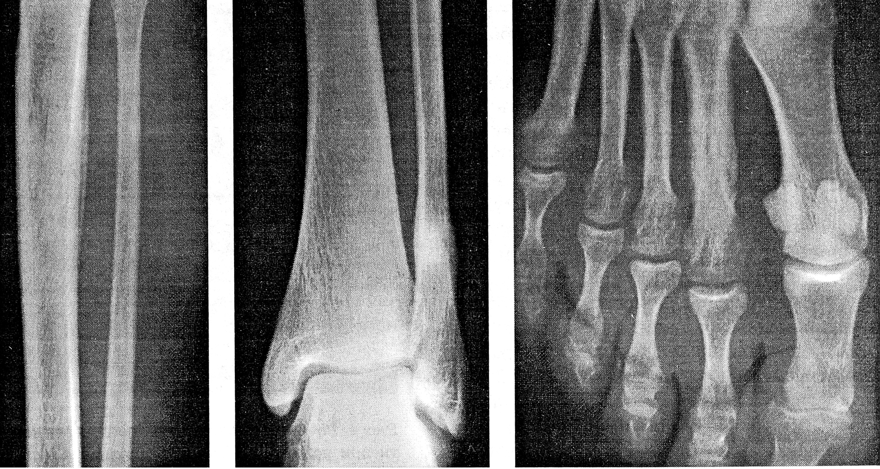
Рис. 6-8
Рис. 6. Периостальная реакция на перенапряжение большеберцовой кости правой голени у ребенка 4 лет (1,5 мес от начала заболевания).
Рис. 7. Полоса просветления, окруженная зоной склероза, в дистальной трети диафиза малоберцовой кости. Ограниченные периостальные наслоения (голень женщины 57 лет, длительность заболевания 7 мес).
Рис. 8. Гиперостоз от перенапряжения II плюсневой кости у женщины 36 лет (1,5 года от начала заболевания).
Если больной, несмотря на боли, продолжает выполнять свои обычные занятия (что чаще всего и бывает), клиническая симптоматика патологической перестройки становится постоянной, боли резко усиливаются и локализуются, нарастают отек и локальная болезненность. При повторных рентгенологических исследованиях на фоне эндостального и периостального костеобразования может появиться полоса просветления — ползучий перелом — с неравномерной зоной склероза вокруг и периостальными наслоениями, «разволокнением» и рарефикацией компактной кости на этом же уровне. Гистоморфологические исследования операционного и биопсийного материала выявляют периостальное и эндостальное костеобразование, в рарефицированной компактной кости щель, выполненную фиброзной соединительной и хрящевой тканями, выраженную остеокластическую резорбцию на уровне щели [1, 18].
Итак, в соответствии с данными клиникорентгенологических и морфологических исследований можно выделить три стадии патологической перестройки кости:
I стадия — репаративная реакция на перенапряжение, обычно приводящая при ограничении или прекращении нагрузки к развитию гиперостоза от перенапряжения;
II стадия — надлом кости (ползучий перелом), возникающий в зоне развивающегося гиперостоза от перенапряжения при продолжении нагрузки;
III стадия — заживление надлома и восстановление органной структуры кости при прекращении функциональной нагрузки.
Поскольку данные повреждения часто встречаются у детей и подростков, особое значение приобретает вопрос о влиянии функциональной перегрузки на структурную организацию эпифизарного хряща и рост кости в длину.
Установлено, что функциональная перегрузка, изменяя естественные условия распределения механических напряжений, вызывает явления хронического эпифизеолиза. Рентгенологически он характеризуется неравномерностью высоты эпифизарного хряща и возникновением осевой деформации кости, микроскопически — сминанием основного вещества хряща, деформацией и расслоением колонок хондроцитов, нарушением эндохондрального окостенения и хондрогенеза, прогрессирующим нарастанием дистрофических изменений, возникновением участков некроза и явлений деструкции [4]. Возможно, что дистрофические изменения, возникающие в эпифизарном хряще при авитаминозах, некоторых нарушениях обмена и эндокринных заболеваниях, могут в условиях функциональной перегрузки способствовать развитию эпифизеолиза и деформации. Постепенное уменьшение функциональной нагрузки и нормализация биомеханического баланса способствуют восстановлению структурной организации эпифизарного хряща, процессов хондрогенеза и эндохондрального окостенения, т.е. условий для роста кости в длину.
Отмечено, что чем раньше прекращается функциональная перегрузка кости, тем полнее восстанавливаются структурная организация эпифизарного хряща и рост кости. Это указывает на необходимость раннего выявления признаков патологической перестройки и профилактики нарушений роста и осевых деформаций длинных костей конечностей при абсолютных функциональных перегрузках у юных спортсменов и ортопедо-травматологических больных.
Диагностика патологической перестройки основывается на характерной рентгенологической картине, анамнестических данных о факторах, обусловивших возникновение механического перенапряжения кости. Большое значение имеют данные рентгенологического исследования в динамике и томографии. Патологическую перестройку необходимо дифференцировать с воспалительными, онкологическими заболеваниями и травмой.
Основным в профилактике рассматриваемого нарушения является устранение причин возникновения перенапряжений в костях. При анатомо-функциональном несоответствии, обусловленном неполноценностью кости, усилия должны быть направлены на выявление и устранение имеющихся деформаций, восстановление анатомической формы и повышение предела механической прочности костей, ослабленных вследствие системных или локальных заболеваний. В случае невозможности устранить или уменьшить анатомическую неполноценность костей для предотвращения патологической перестройки рекомендуются щадящий режим труда и быта, использование разгружающих приспособлений (супинаторы при плоскостопии, трость, КОСТЫЛИ И Т.П.).
У лиц с анатомо-функциональной неполноценностью мышц и связок, приводящей при нагрузке к нарушению перераспределения и выравнивания механических напряжений в костях, патологическая перестройка чаще всего возникает при длительных однообразных нагрузках. Это, как правило, люди, приобщающиеся к физическому труду и занятиям спортом впервые или после долгого перерыва. Бессистемные, форсированные занятия спортом, выполнение физической работы, особенно в условиях низкой культуры производства и спорта, без достаточной предварительной подготовки могут стать причиной патологической перестройки (репаративная реакция на перенапряжение). Постепенное наращивание нагрузки на аппарат движения при одновременном общеукрепляющем лечении имеет первостепенное значение в ее профилактике.
При выявлении патологической перестройки основные лечебные мероприятия должны быть направлены на разгрузку больной конечности и коррекцию анатомо-биомеханических соотношений. В результате таких мер патологическая перестройка в течение 1—1,5 мес заканчивается локальным утолщением кости (гиперостоз от перенапряжения) и трудоспособность восстанавливается.
В случае возникновения в процессе развития гиперостоза от перенапряжения надлома кости — ползучего перелома (II стадия патологической перестройки) необходима иммобилизация поврежденного сегмента гипсовой повязкой на срок 1—1,5 мес с последующим ограничением функциональной нагрузки конечности в течение 2—3 мес. Для укрепления мышц и улучшения их трофики, восстановления регионарного кровообращения назначают ЛФК, массаж, электролечебные процедуры, бальнеотерапию и медикаментозное лечение. При поздней диагностике, особенно если щель ползучего перелома распространилась на весь поперечник кости, сроки консервативного лечения увеличиваются до года и более; может возникнуть и необходимость оперативного вмешательства [7].
Заметки на полях рукописи
При ознакомлении со статьей А.Т. Бруско впечатляет высокий уровень экспериментального исследования. Это касается в первую очередь большого количества животных (68 собак), разнообразия гистологического материала, особенно на ранних этапах перестроечного процесса, морфологической картины хронического эпифизеолиза, оригинальных биомеханических характеристик патологически перестраивающейся кости.
Однако довольно большая часть статьи, посвященная клинико-рентгенологическим проявлениям, а также лечению перестроечного процесса, на наш взгляд, страдает рядом недостатков.
Общепринятый в мировой клинической практике термин для обозначения патологической перестройки кости — «стрессовый перелом», о чем вскользь упоминает автор. Стрессовый перелом — это перелом от напряжения. Данный термин в достаточной мере отражает этиологию и патогенез перестроечного процесса. Напряжение не может быть ни физиологическим, ни патологическим. Оно может быть либо высоким, либо низким для конкретной кости или даже ее отдельного участка. Действуя во времени, циклически, оно вызывает перестройку кости компенсаторного характера (физиологическая перестройка). Если между циклами повышенной нагрузки нет достаточного перерыва, в костной ткани в местах высоких напряжений не успевают развиться компенсаторные изменения, тогда и происходит описанный автором статьи процесс патологической перестройки во всем его морфологическом разнообразии. При этом не обязательно появление зон Лоозера (надломов кортикального слоя), что и принято называть стрессовым переломом. Достаточно и болезненной распространенной периостальной реакции, скажем, на передней поверхности большеберцовой кости — так называемого стрессового периостита, что само по себе не исключает наличия скрытой зоны Лоозера. Локализация зоны воздействия повышенных напряжений на кость определяется распространенностью стрессовых изменений, выявляемых клинико-рентгенологически и, что особенно важно, сцин- тиграфически. Последний метод позволяет поставить диагноз стрессового перелома на 2—3 нед раньше рентгенологического и наиболее достоверно показывает локализацию и распространенность стрессовых изменений в костной ткани.
Все вышесказанное относительно стрессовых изменений в кости основывается на клинико-экспериментальном исследовании, проведенном в ЦИТО в середине 80-х годов в отделении спортивной и балетной травмы, а также в морфологическом отделении и лаборатории биомеханики. Результаты этой работы обобщены в книге С.П. Миронова и Е.Ш. Ломтатидзе «Стрессовые переломы у спортсменов и артистов балета» (1991). Хотелось бы особо подчеркнуть, что результаты экспериментального исследования позволили с успехом применить у пациентов со стрессовыми переломами оперативные вмешательства, часть которых базируется на принципах остеосинтеза пластинами АО.
Небезынтересны в этом исследовании данные о вариантах развития сосудистой сети (как артериальной, так и венозной) в конечностях, пораженных перестроечным процессом, сочетании стрессовых периоститов с так называемым хроническим футлярным синдромом мышц голени, требующим широкой фасциотомии пораженного футляра.
А.Т. Бруско определяет прочность кости, измеряя ее толщину на рентгенограмме, и приходит к выводу о ее ослаблении, указывая при этом на полученные им данные об эндостальном и периостальном костеобразовании, что в целом приводит к утолщению кости. Такой подход вряд ли корректен без измерения деформационных характеристик перестраивающейся кости хотя бы на трехточечный изгиб. Мы исследовали это явление именно таким образом и пришли к выводу, что на начальных этапах стрессовых изменений в костной ткани прочность ее возрастает почти в два раза, но способность упруго деформироваться снижается почти на такую же величину. На определенном этапе упругие деформации переходят в пластические, что и характеризуется появлением надлома кортикального слоя.
К сожалению, автор, имея обширный экспериментальный и клинический материал, ни разу не предпринял попытки провести его электронно-микроскопический анализ. Выполненное нами исследование позволяет предположить у таких пациентов нарушение фибриллогенеза, а также нарушение кристаллической структуры кости, деформацию и укрупнение кристаллов, очаги «бескристаллических зон», повреждение внеклеточного матрикса, внутриклеточные изменения и т.д. Эти данные в значительной мере дополняют гистологическую картину стрессовых изменений кости, хотя и требуют дальнейшего осмысления.
В заключение можно добавить, что хирург-ортопед должен быть вооружен современным представлением о стрессовых изменениях в костной ткани, поскольку это явление выходит далеко за рамки спортивной и иной высокой физической активности. К сожалению, исследовательская работа в этом направлении в мире, в том числе в странах СНГ, проводится разобщенно, без единого плана, и немудрено, что мы не знаем достижений наших коллег в этом сложном разделе костной патологии. Имея четкое представление о природе и клинических проявлениях стрессовой реакции кости, хирург-ортопед может применять богатый арсенал методов хирургического лечения этой патологии, а не занимать выжидательную позицию в надежде на самоликвидацию очага стрессового перелома при устранении так необходимой в жизни физической активности.
Канд. мед. наук Е.Ш. Ломтатидзе
About the authors
A. T. Brusco
Ukrainian Scientific Research Institute of Traumatology and Orthopedics
Author for correspondence.
Email: info@eco-vector.com
Ukraine, Kiev
References
- Абелъдяев В.Д. Патологическая перестройка костей голени и стопы у военнослужащих: Дис. ... канд. мед. наук. — Л., 1977.
- Богданов В.А. Физиология движений: (Руководство по физиологии). — Л., — С. 5—37.
- Богоявленский И.Ф. Патологическая функциональная перестройка костей скелета. — Л., 1976.
- Бруско А.Т. //Ортопед. травматол. — 1983. — N 8. — С. 38—42.
- Бруско А.Т. Изменения структурной организации длинных костей под влиянием функциональной перегрузки (экспериментально-клиническое исследование): Дис. ... д-ра мед. наук. — Киев, 1984.
- Виноградова Т.П. //Арх. пат. — 1951. — N 6. — С. 73—76.
- Волков М.В., Миронова З.С., Баднин И.А. //Ортопед. травматол. — 1984. — N 7. — С. 19—23.
- Грацианская Л.Н., Элькин М.А. Профессиональные заболевания конечностей от функционального перенапряжения. — Л., 1984.
- Долчук М.З., Беженуца B.I. Перебудова в кістках при функціональних перевантаженнях. — Киев, 1978.
- Миронова З.С., Меркулова Р.И., Богуцкая Е.В. и др. Перенапряжение опорно-двигательного аппарата у спортсменов. — М., 1982.
- Полежаев В.Г. Патологическая перестройка костей при перегрузочной болезни у военнослужащих (клинико-рентгено-морфологическое исследование): Ав- тореф. дис. ... д-ра мед. наук. — Киев, 1980.
- Рохлин Д.Г. Очерки рентгенологии ранений и заболеваний военного времени. — 1945. — С. 43—56.
- Ситенко М.И. //Ортопед. травматол. — 1928. — Кн. 3. — С. 1—8.
- Суслова О.Я. //Второй Всероссийский съезд рентгенологов и радиологов. — Л., 1966. — С. 74—77.
- Хмельницкий О.К., Некачалов В.В., Зиновьев А.С. Общая патоморфология костно-суставного аппарата. — Новосибирск, 1983.
- Apel J., Mitze R. //Med. Sport. — 1975. — Bd. 15. — S. 322—324.
- Devas M.B. Stress fractures. — London—New York, 1975.
- Johnson L.C., Stradford H.T., Geis R.W. et al. //J. Bone Jt Surg. — 1963. — Vol. 45A, N 7. — P. 1542.
- Looser E. //Zbl. Chir. — 1920. — Vol. 47. — P. 1470— 1474.
- Morris J.M., Blickenstaff L.D. Fatige fractures. A clinical study. — Springfield, 1967.
- Zweymuller K. //Arch. Orthop. Unfall-Chir. — 1974. — Bd. 80, N 2. — S. 95—106.
Supplementary files








