Surgery for benign tumors and tumor-like bone pathology using alloplasty with demineralized bone grafts
- Authors: Seinyan S.G.1, Aivazyan V.P.1, Khanamiryan T.V.1
-
Affiliations:
- Yerevan Institute of Traumatology and Orthopedics
- Issue: Vol 3, No 2 (1996)
- Pages: 18-22
- Section: Articles
- Submitted: 26.03.2021
- Accepted: 26.03.2021
- Published: 15.06.1996
- URL: https://journals.eco-vector.com/0869-8678/article/view/64218
- DOI: https://doi.org/10.17816/vto64218
- ID: 64218
Cite item
Full Text
Abstract
One hundred six patients with benign tumors and tumor-like bone pathology underwent surgical treatment. Depending upon clinical pattern of pathologic process, tumor structure, its location, spreading degree, as well as with account of the tendency of one or the other tumor type to recurrence, different resections (marginal, parietal, segmental) were performed. For the replacement of defects, the alloplasty with demineralized bone grafts was used, in some cases it was associated with extrafocal osteosynthesis. In follow-up period (from 2 to 13 years) none of patients (106) had developed metastases. One hundred two patients did not show orthopaedic pathology, 4 patients had minor deformities and manifestations of deforming arthrosis with moderate disturbance of neighbouring joint function. The conclusion was made about the efficacy and perspectiveness of this method.
Full Text
Проблема лечения больных с доброкачественными опухолями и опухолеподобными заболеваниями костей, в том числе вопрос выбора костно-пластического материала для замещения дефектов, образующихся после удаления очага поражения, остаются актуальными и дискутабельными. Благодаря усилиям исследователей и клиницистов ведущих ортопедических и онкологических клиник мира достигнуты заметные успехи в диагностике и лечении данной патологии. Наиболее эффективным признан хирургический метод лечения: радикальное удаление патологического очага с замещением дефекта пластическим материалом. Преимущество костной аутопластики не вызывает сомнений, однако этот метод может быть использован не всегда, поскольку и он имеет ряд существенных недостатков: ограниченность донорских ресурсов, дополнительная операционная травма, возможность возникновения перелома или инфицирования в месте взятия аутотрансплантата, а также невозможность выполнения аутопластики при системных заболеваниях скелета [1, 2, 7].
Поиски высокоэффективного трансплантационного материала продолжаются, и в этой связи особый интерес, на наш взгляд, представляет деминерализованная кость — костный матрикс [6, 10, 12, 13]. Данные литературы и результаты собственных экспериментальных и клинических исследований [3—6, 8—11] убедили нас в целесообразности применения костного матрикса при хирургическом лечении доброкачественных опухолей и опухолеподобных поражений скелета.
Настоящее сообщение основано на опыте лечения 106 больных, находившихся в Центре ортопедии, травматологии и реабилитации Министерства здравоохранения Республики Армения с 1980 по 1994 г. Женщин среди них было 55, мужчин — 51. Возраст пациентов — от 15 до 70 лет, преобладали лица молодого возраста (61 человек — от 15 до 25 лет). Всем больным проводилось комплексное обследование с применением общеклинического, рентгенологического, биохимического, бактериологического, цитологического, гистологического методов. В ряде случаев с целью определения истинного размера патологического очага выполнялось радионуклидное исследование с использованием 99тТс-пирофосфата.
На основании полученных данных доброкачественный характер патологического процесса был установлен у 103 больных, озлокачествление его — у 3. В 29 случаях точный диагноз поставлен только после гистологического исследования биопсийного материала. Диагностированы следующие формы опухолей и опухолеподобных поражений костей: остеоидная остеома — 13 больных, остеокластома — 30, хондрома — 27, хондробластома — 4, хондромиксоидная фиброма — 2, солитарная костная киста — 7, метафизарный костный дефект (неоссифицирующая фиброма) — 1, эозинофильная гранулема — 2, фиброзная дисплазия — 20. По локализации поражения больные распределялись следующим образом: ключица — 2, плечевая кость — 10, локтевая — 3, лучевая — 7, кость запястья — 1, фаланги пальцев кисти — 25, подвздошная кость — 1, бедренная — 21, большеберцовая — 21, малоберцовая — 7, пяточная — 3, фаланги пальцев стопы — 5.
Выбор метода оперативного лечения зависел от характера клинического течения патологического процесса, состояния больного, структуры опухоли, ее локализации, степени поражения и, что немаловажно, от склонности той или иной формы опухоли к рецидивированию.
Больным с эксцентрическим поражением кости производили краевую резекцию и, если очаг деструкции был небольшим — до 1/3 диаметра кости, дефект замещали деминерализованным аллогенным костным трансплантатом (рис. 1). В эту группу вошло 15 больных.
При распространении патологического процесса на 1/3 диаметра кости и центрическом расположении очага с сохранением части кортикального слоя производили пристеночную резекцию по такой схеме: а) трепанация пораженной кости и тщательное удаление мягкотканного компонента опухоли; б) детальный осмотр стенок полости, обработка ее антисептическими растворами; в) обработка стенок электрофрезами или долотами и вскрытие костномозгового канала; г) замещение образовавшегося дефекта аллогенным деминерализованным костным трансплантатом. Считаем необходимым обратить внимание на следующее: воспринимающее трансплантат ложе должно быть подготовлено очень тщательно — иссекаются перегородки, кость обрабатывается до появления «кровавой росы». И только после этого начинают укладывать трансплантат. Делают это в определенном порядке: после укладки каждого слоя производят компакцию уложенного трансплантата и так — до заполнений полости. При этом нужно следить за тем, чтобы не оставалось «мертвых» пространств, а если они остаются, между пластинками деминерализованной кости необходимо уложить более мелко нарезанные стружки матрикса. Последним этапом является укладка костно-матричного полуцилиндра вровень с кортикальным слоем. К зоне имплантации подводят конец дренажной трубки и послойно ушивают мягкие ткани.
Этот метод достаточно радикален и при технически правильном выполнении дает хорошие результаты. На 77 произведенных нами подобных операций приходится лишь один случай рецидива заболевания. Ретроспективный анализ этого случая убедил нас в нерадикальности выполненной операции и допущении технических погрешностей. Больной был оперирован повторно, наступило выздоровление.
К числу упомянутых выше 77 оперативных вмешательств мы отнесли и так называемую широкую пристеночную резекцию, произведенную при локализации процесса вблизи суставного конца кости с охватом метаэпифизарной зоны. В этих случаях в отдаленные сроки после операции при полном восстановлении костной структуры в области резекции у некоторых больных (у 2 из 6) отмечены изменения в суставе в виде явлений деформирующего артроза или умеренной деформации этой области. Подобные ортопедические последствия поддаются в дальнейшем лечению (эндопротезирование, корригирующие остеотомии и др.), и это, несомненно, более приемлемо для больных, чем калечащие операции.
У 15 больных была произведена сегментарная резекция, или, как ее называют иначе, резекция кости на протяжении. В зависимости от состояния надкостницы выполнялась резекция с удалением надкостницы или без такового, с наложением аппарата внешней фиксации типа Илизарова, Волкова—Оганесяна, Лазарева или системы АО (рис. 2). В этих случаях можно использовать также методы стабильной фиксации погружными конструкциями. Данный метод оперативного вмешательства и фиксации в сочетании с аллопластикой деминерализованными костными трансплантатами позволил в ряде случаев избежать ампутации конечности и обеспечил хороший анатомо-функциональный результат у 12 из 15 больных.
Итак, в общей сложности нами произведено 107 органосохраняющих костно-пластических операций с использованием в качестве трансплантационного материала аллогенного костного матрикса, заготовленного, стерилизованного и консервированного по методикам, разработанным в экспериментально-морфологическом отделении Центра травматологии, ортопедии и реабилитации М3 Армении. Анализ отдаленных результатов лечения (срок наблюдения от 2 до 13 лет) позволил установить, что все 106 пациентов онкологически здоровы. Ортопедически здоровы 102 человека, и лишь у 4 имеются незначительные деформации и явления деформирующего артроза с умеренным нарушением функции близлежащего сустава.
Таким образом, радикальное хирургическое вмешательство с аллопластикой костным матриксом можно считать эффективным и перспективным методом лечения при доброкачественных опухолях и опухолеподобных поражениях костей. Применение его позволяет намного снизить частоту инвалидизации больных, сокращает сроки восстановления трудоспособности. Метод доступен и дает существенный социально-экономический эффект.
Рис. 1. Рентгенограммы больного с остеоидной остеомой нижней трети большеберцовой кости.
а — до операции, б — после выполнения краевой резекции очага с замещением дефекта аллогенным костным матриксом, в — через 3 мес, г — через 6 мес, д — через 9 мес после операции.
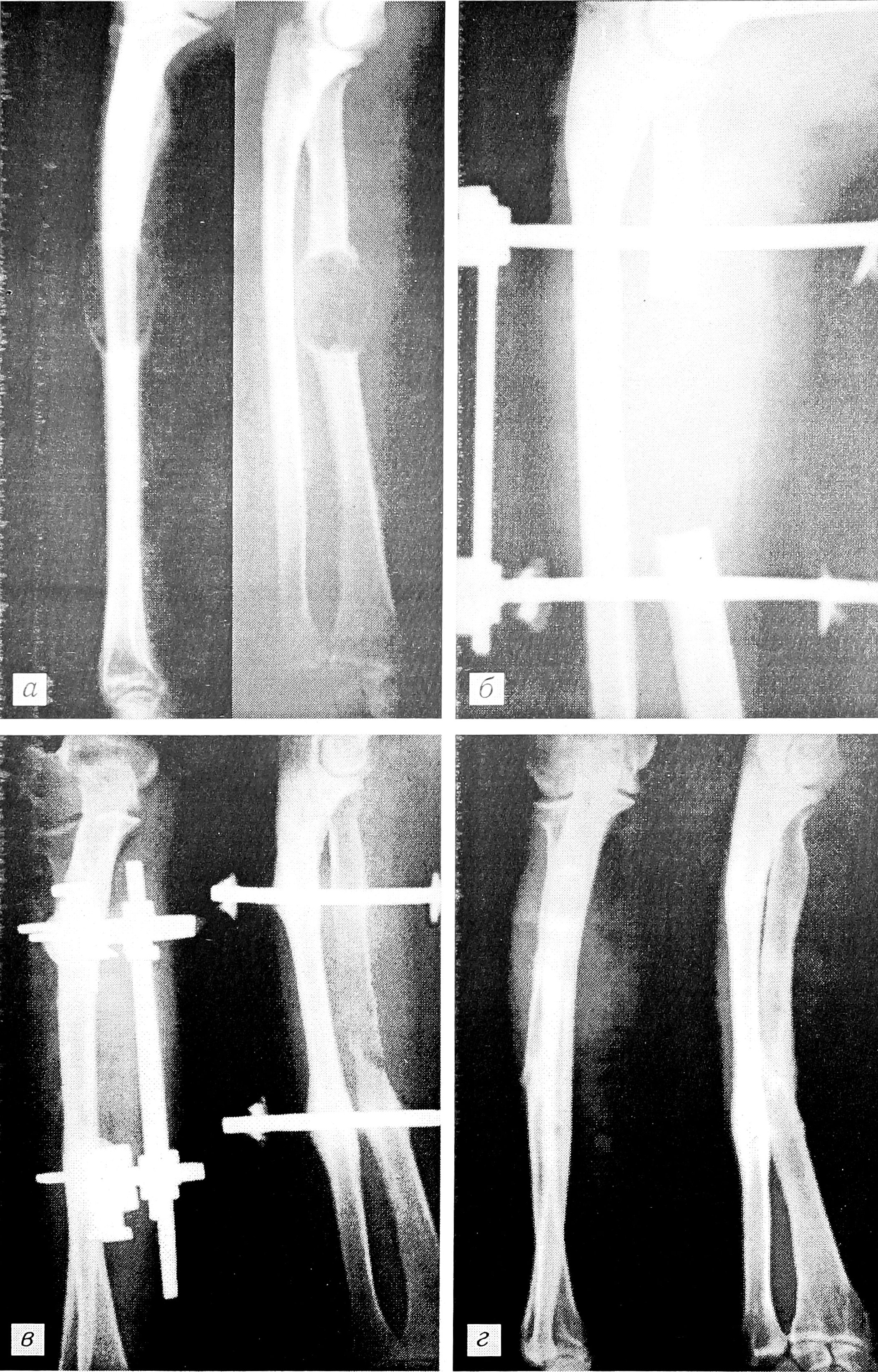
Рис. 2. Рентгенограммы больного с гигантоклеточной опухолью лучевой кости.
а — до операции, б — после выполнения сегментарной резекции с наложением аппарата Илизарова и замещением дефекта аллогенным костным матриксом, в — через 6 мес, г — через 1,5 года после операции.
About the authors
S. G. Seinyan
Yerevan Institute of Traumatology and Orthopedics
Author for correspondence.
Email: info@eco-vector.com
Armenia, Yerevan
V. P. Aivazyan
Yerevan Institute of Traumatology and Orthopedics
Email: info@eco-vector.com
Armenia, Yerevan
T. V. Khanamiryan
Yerevan Institute of Traumatology and Orthopedics
Email: info@eco-vector.com
Armenia, Yerevan
References
- Зацепин С.Т., Махсон Н.Е., Бурдыгин В.Н., Махсон АН. //Московская городская онкологическая конференция, 8-я: Материалы. — М., 1977. — С. 236—237.
- Марин И.М. Хирургическое лечение доброкачественных костных опухолей. — Кишинев, 1981.
- Мгоян Г.Х., Кололи К.А. //Вестн. хирургии. — 1990. — N 2. — С. 81—85.
- Осепян И.А. //Съезд травматологов-ортопедов Республик Закавказья, 5-й: Тезисы. — Ереван, 1984. — С. 177.
- Осепян И.А., Вардеванян Г.Г., Айвазян В.П. //Ортопед. травматол. — 1989. — N 3. — С. 21—23.
- Ханин А.А. и др. //Экспер. клин. мед. (АН Арм. ССР). — 1978. — N 3. — С. 44—50.
- Чаплин В.Д. Опухоли костей. — М., 1974.
- Heckman J.D., Boyan B.D., Aufdemorte T.В., Abbott J.T. //J. Bone Jt Surg. — 1991. — Vol. 73A, N 5. — P. 750— 764.
- Kakiuchi M., Hosoya T., Takaoka K. et al. //Int. Orthop. — 1985. — Vol. 9, N 3. — P. 181—188.
- Schweiberer L., Stutzle H. //Arch. Orthop. Traum. Surg. — 1990. —Vol. 109, N 1. — P. 1—8.
- Tiedeman J J., Huurman W.W., Connolly J.F., Strates B.S. //Clin. Orthop. — 1991. — Vol. 265. — P. 302—305.
- Urist M. //Science. — 1965. — Vol. 150, N 12. — P. 893—899.
- Urist M. //Clin. Orthop. — 1977. — Vol. 124. — P. 251—266.




