Arthroscopic surgery for synovial chondromatosis of the hip joint
- Authors: Gushchina D.A.1, Yeltsin A.G1, Mininkov D.S.1, Nazarenko A.G.1
-
Affiliations:
- Priorov Central Research Institute of Traumatology and Orthopedics
- Issue: Vol 32, No 2 (2025)
- Pages: 449-456
- Section: Original study articles
- Submitted: 06.12.2024
- Accepted: 29.01.2025
- Published: 22.07.2025
- URL: https://journals.eco-vector.com/0869-8678/article/view/642588
- DOI: https://doi.org/10.17816/vto642588
- EDN: https://elibrary.ru/OBBKGU
- ID: 642588
Cite item
Abstract
BACKGROUND: The hip joint is an essential anatomical and functional component of the human skeleton, providing support and mobility for the lower limbs. Hip joint disorders significantly impair quality of life. Hip joint diseases are a major concern in modern medicine, particularly considering the increased life expectancy and prevalence of degenerative conditions. Recent studies demonstrate that hip arthroscopy for chondromatosis and other joint pathologies provides favorable clinical outcomes, high patient satisfaction, and low recurrence rates.
AIM: This study aimed to assess the efficacy of hip arthroscopy in the treatment of synovial chondromatosis, including the development and implementation of a novel surgical technique, assessment of clinical outcomes, patient satisfaction, and recurrence rates, and analysis of postoperative rehabilitation.
METHODS: This was a single-center, prospective, interventional, controlled study. It included patients with synovial chondromatosis of the hip treated at the N.N. Priorov National Medical Research Center of Traumatology and Orthopedics between October 29, 2012, and July 25, 2024. Medical interventions included preoperative assessment (medical history, physical examination, MRI), surgical treatment (placement of a damper system on the hip joint, hip arthroscopy with removal of intra-articular loose bodies, coblation of affected capsular areas, and joint debridement), and personalized rehabilitation (exercise therapy to restore joint range of motion). The 12-year follow-up period enabled the assessment of both short- and long-term treatment outcomes. The primary endpoint was improved hip function and pain reduction. Assessment methods included pre- and postoperative clinical examinations, follow-up MRI, and assessment of joint mobility.
RESULTS: The study included 9 patients, all of whom completed follow-up. The mean age was 37 years. The findings demonstrated improved hip function, pain reduction, and absence of intra-articular loose bodies on follow-up MRI. Long-term follow-up allowed for the assessment of recurrence risk and confirmed the long-term efficacy and safety of the arthroscopic technique, contingent on adherence to postoperative recommendations and exercise therapy.
CONCLUSION: Arthroscopy was effective in the treatment of synovial chondromatosis, with favorable clinical outcomes, high patient satisfaction, and low recurrence rates.
Full Text
ОБОСНОВАНИЕ
Синовиальный хондроматоз является патологическим процессом, характеризующимся перерождением синовиальной оболочки в хрящевую ткань, что ведёт к образованию хондромных и костно-хрящевых тел в полости суставов, размеры которых могут варьировать от нескольких миллиметров до 5 см. Данная патология чаще всего диагностируется у мужчин в возрасте от 40 до 70 лет, однако наблюдается и растущее число случаев хондроматоза у детей и подростков. Наиболее выраженные изменения хрящевой ткани регистрируются в крупных суставах, таких как коленные, тазобедренные и плечевые. Несмотря на прогресс в изучении хондроматоза, его этиологические факторы остаются недостаточно понятными. Заболевание часто ассоциируется с дегенеративными изменениями суставов, а также с посттравматическими процессами, что подчёркивает необходимость дальнейшего изучения его патогенеза [1]. Наиболее распространёнными факторами, способствующими развитию приобретённой хрящевой островковой метаплазии синовиальной оболочки, являются как единичные, так и множественные травмы, систематические физические нагрузки, а также инфекции, которые могут вызывать воспалительные процессы в суставах. Механизм хондроматоза включает хрящевую метаплазию клеток синовиальной оболочки, обладающих нормальной гистологической структурой, что ведёт к образованию хрящевых узелков [2]. Макроскопически в синовиальной оболочке обнаруживаются плотные бугорковые участки, некоторые из которых могут напоминать полипы на тонкой ножке. Первоначально эти метаплазированные островки остаются соединёнными с синовиальной оболочкой, но по мере прогрессирования заболевания могут отшнуровываться, превращаясь в свободные внутрисуставные образования, известные как «суставные мыши». По данным статистики, наличие хрящевых или костно-хрящевых узелков в 50% случаев связано с образованием костных эрозий, а в 30% — с развитием дегенеративных изменений суставного гиалинового хряща [3]. Важно отметить, что хондроматоз может приводить к значительному ухудшению функциональных возможностей суставов, вызывая болевой синдром и ограничивая подвижность. Анализ 1300 артроскопических операций на коленном, плечевом, голеностопном и локтевом суставах при различных патологиях за период 1993–2001 гг. показал высокую эффективность малоинвазивных артроскопических операций при заболеваниях суставов, что уже 20 лет назад дало основание к более широкому применению их в практике лечебных учреждений. Результаты современных исследований российских и зарубежных авторов показывают, что артроскопия тазобедренного сустава (ТБС) для лечения его хондроматоза показывает хорошие клинические результаты, удовлетворённость пациентов и низкую распространённость рецидивов [4–7]. Кроме того, артроскопические методы успешно реализуются при лечении и других патологий ТБС — например, импиджмент-синдрома или синдрома щёлкающего бедра [8–11].
Цель работы — оценить эффективность инновационной хирургической методики лечения и послеоперационной реабилитации синовиального хондоматоза с применением артроскопии тазобедренного сустава.
МАТЕРИАЛЫ И МЕТОДЫ
Дизайн исследования
Проведено ретроспективное одноцентровое выборочное неконтролируемое исследование.
Критерии соответствия
Настоящее исследование включало анализ пациентов с синовиальным хондроматозом тазобедренного сустава, в период с 29 октября 2012 по 25 июля 2024 года проходивших лечение на базе ФГБУ «НМИЦ ТО им. Н.Н. Приорова» Минздрава России.
Условия проведения
Исследование было проведено на базе ФГБУ «НМИЦ ТО им. Н.Н. Приорова» Минздрава России. В ФГБУ «НМИЦ ТО им. Н.Н. Приорова» Минздрава России впервые в отечественной клинической практике выполнена артроскопия тазобедренного сустава. Разработана собственная методика проведения артроскопии тазобедренного сустава (получен патент № 2000111196/14 от 06.05.2000 г. Миронов С.П., Малахов О.А., Орлецкий А.К., Кожевников О.В., Малахова С.О. Способ артроскопии тазобедренного сустава).
Продолжительность исследования
Операции проводились в период с 2012 по 2024 г. Такой длительный временной интервал наблюдений обеспечил значимую базу данных для оценки как краткосрочных, так и долгосрочных результатов терапии. Продолжительное наблюдение за состоянием пациентов позволило не только оценить непосредственные послеоперационные эффекты, но и выявить динамику восстановления сустава и возможные рецидивы в отдалённой перспективе.
Описание медицинского вмешательства
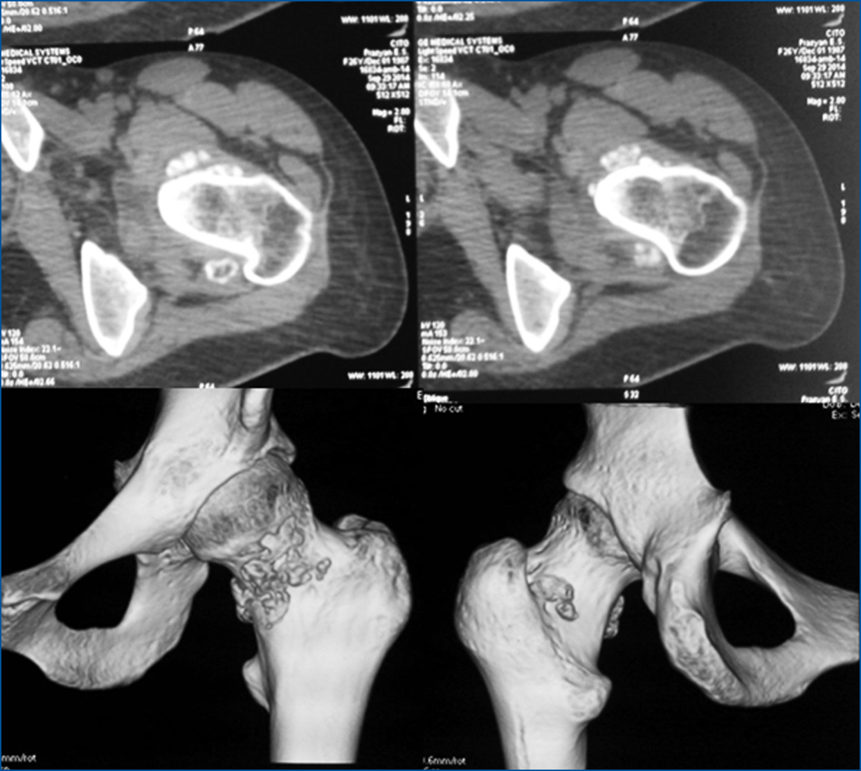
Перед операцией у всех пациентов были проведены сбор жалоб и анамнеза, физический осмотр с целью оценки функционального состояния суставов и их подвижности, а также магнитно-резонансная томография (МРТ) для визуализации внутрисуставных изменений (рис. 1, 2).
Рис. 1. Пациентка Р., хондроматоз тазобедренного сустава: фото до лечения.
Fig. 1. Patient R., synovial chondromatosis of the hip: preoperative photograph.
Рис. 2. Пациентка Р., хондроматоз тазобедренного сустава: результаты компьютерной томографии.
Fig. 2. Patient R., synovial chondromatosis of the hip: computed tomography findings.
Постоперационные обследования включали повторный осмотр, оценку движений в ТБС (рис. 3) и контрольные МРТ.
Рис. 3. Пациентка Р.: восстановление объёма движений в тазобедренном суставе после операции.
Fig. 3. Patient R.: restoration of hip joint range of motion after surgery.
Хирургическое вмешательство включало проведение оперативного лечения — наложение демпферной системы на тазобедренный сустав, удаление хондромных тел, коблацию изменённых участков капсулы сустава и санацию сустава методом артроскопии. В послеоперационном периоде для восстановления полного объёма движений в суставе назначается лечебная физкультура (ЛФК). Реабилитационные мероприятия были адаптированы индивидуально в зависимости от клинической картины и результатов операции.
Основной исход исследования
Основной конечной точкой исследования были функциональное состояние ТБС и интенсивность болевых ощущений.
Дополнительные исходы исследования
Дополнительно проведена оценка динамики восстановления сустава. Кроме того, оценивалась безопасность методики хирургического лечения и послеоперационной реабилитации — по частоте развития рецидивов в ближайшем и отдалённом послеоперационном периоде.
Методы регистрации исходов
До и после операции проводились клинические осмотры, оценка движений в ТБС и контрольные МРТ для оценки динамики восстановления подвижности сустава.
Этическая экспертиза
В исследование были включены данные только тех пациентов, от которых (или от законных представителей которых) получено добровольное информированное согласие на использование медицинских данных в научных целях. Исследование одобрено этическим комитетом при ФГБУ «НМИЦ ТО им. Н.Н. Приорова» Минздрава России (выписка из протокола заседания Комитета по этике № 1/25 от 04 апреля 2025 года).
РЕЗУЛЬТАТЫ
Объекты (участники) исследования
Настоящее исследование включало анализ 9 пациентов (одному из них выполнено 2 операции), проходивших лечение синовиального хондроматоза тазобедренного сустава методом артроскопии в период с 29 октября 2012 по 25 июля 2024 года на базе ФГБУ «НМИЦ ТО им. Н.Н. Приорова» Минздрава России. Средний возраст пациентов на момент операции составил 28,6 года (от 10 до 37 лет).
Основные результаты исследования
Образование «суставной мыши» может приводить к её ущемлению между суставными поверхностями, что, в свою очередь, способно вызывать частичную или полную блокаду сустава. После удаления хондромных тел, как правило, восстанавливается подвижность в суставе. Тем не менее частые или продолжительные эпизоды «заклинивания» могут способствовать развитию тугоподвижности, контрактур и атрофии мышц конечности. Постоянная травматизация суставных хрящей свободными хондромными телами может привести к их разрушению и, как следствие, к деформирующему остеоартрозу, включая такие его формы, как гонартроз и коксартроз.
Рентгенографические исследования выявляют множественные шаровидные или овальные тени с чёткими контурами. Обызвествление хондромных тел может проявляться в виде локализованных очагов или линий, что указывает на периодические отложения солей кальция. В редких случаях при синовиальном хондроматозе обызвествление может быть недостаточным для рентгенографической визуализации, что создаёт дополнительные трудности для диагностики. Необходимо подчеркнуть, что обзорная рентгенография позволяет обнаружить только те внутрисуставные тела, которые содержат соли кальция, поскольку рентгеновское излучение в основном поглощается плотными частями кости, содержащими эти соли. Мягкие ткани, такие как надкостница, костный мозг, сосуды и нервы, а также суставной и ростковый хрящ, не формируют отчётливую тень на рентгенограммах.
Для более детальной оценки количества, размеров и расположения хрящевых телец применяются дополнительные методы визуализации, такие как ультразвуковое исследование, МРТ и компьютерная томография [3, 12]. Эти методы обеспечивают более глубокое исследование анатомических структур сустава и динамики патологических изменений, что имеет ключевое значение для выбора оптимальной тактики лечения и профилактики осложнений. Например, МРТ позволяет получить высококачественные изображения мягких тканей и выявить изменения на ранних стадиях заболевания.
Магнитно-резонансная томография считается одним из наиболее информативных и неинвазивных методов диагностики хондроматоза суставов. Эта методика позволяет выявлять хондромные тела даже на стадии, когда они ещё не подверглись обызвествлению, а также диагностировать сопутствующие патологии сустава, такие как эрозии суставных поверхностей и наличие значительного выпота. В 80% случаев при МРТ визуализируются эрозивные изменения, что особенно важно для оценки состояния сустава и прогнозирования дальнейшего развития заболевания. Хондромные тела на МРТ могут иметь различную интенсивность сигнала, что связано с содержанием в них кальция, хрящевой и зрелой костной ткани.
Тем не менее, несмотря на высокую диагностическую ценность МРТ, значимое подтверждение диагноза «синовиальный хондроматоз» возможно лишь при проведении артроскопии, которая предоставляет возможность непосредственно осмотреть полость сустава и подтвердить наличие хондромных тел. Важным дополнением к артроскопии является биопсия синовиальной оболочки, позволяющая оценить степень метапластических изменений и повреждений суставных поверхностей. Эти инвазивные процедуры необходимы для точной диагностики, особенно когда требуется дифференциация хондроматоза от других заболеваний, таких как хронические артриты и хондрокальциноз, которые могут иметь схожие клинические проявления.
Нежелательные явления
Клинические проявления хондроматоза суставов зачастую схожи с симптомами подострого артрита, что может затруднять точную дифференциальную диагностику. У пациентов наблюдаются умеренные артралгии, ограниченная подвижность в суставе, а также характерный хруст при движении. Если в полости сустава накапливается выпот, могут возникать припухлость мягких тканей и локальное повышение температуры, что свидетельствует о возможном воспалительном процессе.
Важную роль в ведении пациентов с хондроматозом суставов играет не только своевременная диагностика, но и последующее комплексное лечение, которое может включать реабилитационные мероприятия для восстановления подвижности суставов и предотвращения развития таких осложнений, как контрактуры или тугоподвижность. По сравнению с артротомией тазобедренного сустава артроскопическое лечение является малоинвазивной операцией, которая ассоциируется с уменьшением послеоперационной боли, более ранним улучшением диапазона движения, более коротким курсом реабилитации [13]. По данным разных авторов, частота рецидивов хондроматоза варьирует от 7 до 22% [14].
ОБСУЖДЕНИЕ
Лечение хондроматоза синовиальной оболочки носит преимущественно хирургический характер, поскольку консервативные методы оказываются малоэффективными. Выбор объёма оперативного вмешательства определяется формой заболевания. При стабильной форме хондроматоза, характеризующейся наличием ограниченного числа хондромных тел, может быть достаточно артроскопической операции с удалением внутрисуставных тел и частичной синовэктомией. В ходе этой процедуры удаляются участки синовиальной оболочки, подвергшиеся хрящевой метаплазии, что способствует предотвращению дальнейшего прогрессирования заболевания.
При прогрессирующей форме хондроматоза, когда существует риск рецидивов, рекомендуется более радикальное хирургическое вмешательство — артротомия с тотальной синовэктомией. Эта операция позволяет полностью удалить изменённые участки синовиальной оболочки, что значительно снижает вероятность повторного развития заболевания. Однако, несмотря на успешное хирургическое лечение, пациенты должны оставаться под наблюдением для своевременной диагностики возможных осложнений и раннего выявления признаков рецидива.
Резюме основного результата исследования
Исследование по артроскопии тазобедренного сустава при синовиальном хондроматозе включало анализ 9 пациентов. Операция заключалась в наложении демпферной системы, удалении хондромных тел, коблации изменённых участков капсулы и санации сустава. До и после операции проводились клинические осмотры, оценка движений в ТБС и контрольные МРТ. Результаты показали улучшение функционального состояния суставов и снижение болевых ощущений у пациентов при соблюдении рекомендаций. В долгосрочной перспективе выявлены стабильные положительные результаты лечения и отсутствие рецидивов.
Обсуждение основного результата исследования
Уже 20 лет назад была доказана высокая эффективность малоинвазивных артроскопических операций при заболеваниях суставов [10]. Артроскопия тазобедренного сустава при хондроматозе является эффективным методом лечения, который позволяет улучшить функциональное состояние суставов и снизить болевые ощущения у пациентов. Результаты исследования подтверждают эффективность и безопасность данной методики [4–7]. Кроме того, артроскопия может быть использована для удаления свободных внутрисуставных образований («суставных мышей»), которые способны вызывать боль и ограничение подвижности.
Ограничения исследования
Для более точных выводов необходимо проведение дальнейших исследований с большим количеством пациентов и более длительным периодом наблюдения.
ЗАКЛЮЧЕНИЕ
Исследование подтвердило эффективность артроскопии тазобедренного сустава в лечении синовиального хондроматоза, обеспечивающей хорошие клинические результаты, высокую удовлетворённость пациентов и низкий уровень рецидивов. Операции, проведённые на базе ФГБУ «НМИЦ ТО им. Н.Н. Приорова» Минздрава России, включали наложение демпферной системы на тазобедренный сустав, удаление хондромных тел, коблацию изменённых участков капсулы сустава и санацию сустава методом артроскопии, что способствовало восстановлению функции ТБС.
При проведении отдалённой повторной диагностики через несколько лет после вмешательства не было выявлено отрицательной динамики, что свидетельствует о стабильных положительных результатах лечения и отсутствии рецидивов заболевания в долгосрочной перспективе при своевременной диагностике и индивидуализированном подходе.
ДОПОЛНИТЕЛЬНАЯ ИНФОРМАЦИЯ
Вклад авторов. Д.А. Гущина — клиническая работа с пациентами, обзор литературы, сбор и анализ литературных источников, написание текста и редактирование статьи; А.Г. Ельцин — обзор литературы, сбор и анализ литературных источников, подготовка и написание текста статьи; Д.С. Мининков — сбор и анализ литературных источников, подготовка и написание текста статьи; А.Г. Назаренко — обзор литературы, сбор и анализ литературных источников, написание текста и редактирование статьи. Все авторы одобрили финальную версию перед публикацией, а также согласились нести ответственность за все аспекты работы, гарантируя надлежащее рассмотрение и решение вопросов, связанных с точностью и добросовестностью любой её части.
Источники финансирования. Отсутствуют.
Раскрытие интересов. Авторы заявляют об отсутствии отношений, деятельности и интересов (личных, профессиональных или финансовых), связанных с третьими лицами (коммерческими, некоммерческими, частными), интересы которых могут быть затронуты содержанием статьи, а также иных отношений, деятельности и интересов за последние три года, о которых необходимо сообщить.
Оригинальность. При создании настоящей работы авторы не использовали ранее опубликованные сведения (текст, данные).
Генеративный искусственный интеллект. При создании настоящей статьи технологии генеративного искусственного интеллекта не использовали.
Рассмотрение и рецензирование. Настоящая работа подана в журнал в инициативном порядке и рассмотрена по обычной процедуре. В рецензировании участвовали два внешних рецензента, член редакционной коллегии и научный редактор издания.
Информированное согласие на публикацию. Авторы получили письменное согласие пациентов (или их законных представителей) на публикацию их медицинских данных и фотографий.
ADDITIONAL INFORMATION
Author contributions: D.A. Gushchina: investigation, writing—original draft, writing—review & editing; A.G. Yeltsin: investigation, writing—original draft; D.S. Mininkov: investigation, writing—original draft; A.G. Nazarenko: investigation, writing—original draft, writing—review & editing. All the authors approved the final version of the manuscript to be published and agreed to be accountable for all aspects of the work, ensuring that questions related to the accuracy or integrity of any part of the work are appropriately investigated and resolved.
Funding sources: No funding.
Disclosure of interests: The authors have no relationships, activities, or interests (personal, professional, or financial) related to for-profit, not-for-profit, or private third parties whose interests may be affected by the content of the article, as well as no other relationships, activities, or interests in the past three years to disclose.
Statement of originality: No previously published material (text, or data) was used in this article.
Generative AI: No generative artificial intelligence technologies were used to prepare this article.
Provenance and peer-review: This paper was submitted unsolicited and reviewed following the standard procedure. The peer review process involved two external reviewers, a member of the editorial board, and the in-house scientific editor.
Consent for publication: Written informed consent was obtained from all patients for the publication of their medical data and images.
About the authors
Daria A. Gushchina
Priorov Central Research Institute of Traumatology and Orthopedics
Author for correspondence.
Email: Gushchina-DA@yandex.ru
ORCID iD: 0000-0003-1877-3557
MD
Russian Federation, 10 Priorova st, Moscow, 127299Alexander G Yeltsin
Priorov Central Research Institute of Traumatology and Orthopedics
Email: agyeltsin@gmail.com
ORCID iD: 0000-0002-7736-9493
SPIN-code: 6411-2484
MD, Cand. Sci. (Medicine)
Russian Federation, 10 Priorova st, Moscow, 127299Dmitry S. Mininkov
Priorov Central Research Institute of Traumatology and Orthopedics
Email: 45040311@mail.ru
ORCID iD: 0000-0002-9490-6932
SPIN-code: 1494-3179
MD, Cand. Sci. (Medicine)
Russian Federation, 10 Priorova st, Moscow, 127299Anton G. Nazarenko
Priorov Central Research Institute of Traumatology and Orthopedics
Email: nazarenkoag@cito-priorov.ru
ORCID iD: 0000-0003-1314-2887
SPIN-code: 1402-5186
Corresponding Member of the Russian Academy of Sciences, MD, Dr. Sci. (Medicine), Professor of RAS
Russian Federation, 10 Priorova st, Moscow, 127299References
- Rodionova OV, Zavadovskaya VD, Zhogina TV, Perova TB. A radiodiagnosis case of synovial chondromatosis. Medical Visualization. 2009;(4):38–42. EDN: KZGJJZ
- Freire V, Moser TP, Lepage-Saucier M. Radiological identification and analysis of soft tissue musculoskeletal calcifications. Insights Imaging. 2018;9(4):477–492. doi: 10.1007/s13244-018-0619-0
- Zhang X, Gao G, Wang J, Xu Y. Clinical outcomes after arthroscopic treatment of synovial chondromatosis in the hip. Cartilage. 2021;13(1_suppl):1325S–1330S. doi: 10.1177/1947603520912316
- Iyengar K, Mishra A, Vaish A, et al. Primary synovial chondromatosis of the hip joint (PrSC of the hip): A retrospective cohort analysis and review of the literature. Journal of Clinical Orthopaedics and Trauma. 2022;35:102068. doi: 10.1016/j.jcot.2022.102068
- Murzich AE. Arthroscopy in the diagnosis and treatment of hip joint pathology. Novosti Khirurgii. 2019;27(6):723–731. doi: 10.18484/2305-0047.2019.6.723 EDN: WVBGRM
- de Sa D, Horner NS, MacDonald A, et al. Arthroscopic surgery for synovial chondromatosis of the hip: a systematic review of rates and predisposing factors for recurrence. Arthroscopy. 2014;30(11):1499–1504. doi: 10.1016/j.arthro.2014.05.033
- Zogby AM, Bomar JD, Johnson KP, Upasani VV, Pennock AT. Nonoperative management of femoroacetabular impingement in adolescents: Clinical outcomes at a mean of 5 years: A prospective study. The American Journal of Sports Medicine. 2021;49(11):960–2967. doi: 10.1177/03635465211030512
- Dai Z, Chen Z, Liao Y, Tang Z, Cui J. Comparison of arthroscopic versus open surgery on external snapping hip caused by gluteal muscle contracture. Hip International. 2018;28(2):173–177. doi: 10.1177/1120700017754013
- Hunter DJ, Eyles J, Murphy NJ, et al. Multi-centre randomised controlled trial comparing arthroscopic hip surgery to physiotherapist-led care for femoroacetabular impingement (FAI) syndrome on hip cartilage metabolism: the Australian FASHIoN trial. BMC Musculoskeletal Disorders. 2021;22(1):697–697. doi: 10.1186/s12891-021-04576-z
- Lazko FL, Zagorodny NV, Lyalina VV, et al. The experience of conducting 1300 arthroscopies of large joints. RUDN Journal of Medicine. 2002;(2):92–93. (in Russ.).
- Liu Y, Li J, Ma N, et al. Arthroscopic treatment of synovial chondromatosis of hip joint. Journal of Orthopaedic Surgery and Research. 2020;15(1):405. doi: 10.1186/s13018-020-01928-8
- Chaudhary A, Dahal A, Shrestha R, et al. Arthroscopic management of recurrent synovial chondromatosis of the hip: a case report. Annals of Medicine and Surgery. 2023;85(8):4071-4074. doi: 10.1097/MS9.0000000000000999
- Zhilyakov AV. The case of diagnosis and treatment of hip chondromatosis. Ural Medical Journal. 2007;(10):85–86. (in Russ.). EDN: KXCXAB
- Boulytcheva IV, Fedorova AV, Kochergina NV, et al. Synovial chondromatosis of the spine. Case report. Literature review. Bone and soft tissue sarcomas, tumors of the skin. 2017;(4):23–27. EDN: SCWHMI
Supplementary files






