Sequential osteosynthesis in the context of modern armed conflicts
- Authors: Kerimov A.A.1, Khominets I.V.1, Perekhodov S.N.2, Kozlov N.S.2, Bekshokov K.K.3, Nelin M.N.1, Kukushko E.A.1, Besedin V.D.1, Tverdokhlebov S.I.4, Kozelskaya A.I.4
-
Affiliations:
- Main Military Clinical Hospital named after N.N. Burdenko
- Russian University of Medicine
- Peoples’ Friendship University of Russia
- National Research Tomsk Polytechnic University (Tomsk Polytechnic University)
- Issue: Vol 32, No 2 (2025)
- Pages: 325-335
- Section: Original study articles
- Submitted: 17.12.2024
- Accepted: 29.01.2025
- Published: 22.07.2025
- URL: https://journals.eco-vector.com/0869-8678/article/view/643121
- DOI: https://doi.org/10.17816/vto643121
- EDN: https://elibrary.ru/YVRMAJ
- ID: 643121
Cite item
Abstract
BACKGROUND: Limb injuries remain the most prevalent combat injuries in modern armed conflicts, accounting for 55% to 75% of all cases. The transosseous compression-distraction osteosynthesis technique developed by Ilizarov has long been used in Russia to treat this patient population. However, given the current rate of mass casualty admissions to central military medical facilities, there is a growing need to improve treatment quality while shortening treatment time. Sequential internal osteosynthesis is one way for improving care. Antibiotic-coated implants reduce the risk of infectious complications during sequential osteosynthesis.
AIM: This study aimed to assess the efficacy of sequential osteosynthesis in the treatment of gunshot fractures of long bones of the limbs in the current armed conflict setting, based on our clinical experience and global scientific data.
METHODS: The study is based on an analysis of treatment outcomes in 320 patients with upper and lower limb injuries who received specialized medical care at the Department of Traumatology and Orthopedics of the N.N. Burdenko Main Military Clinical Hospital, Ministry of Defense of the Russian Federation. Patients were divided into three groups based on the osteosynthesis technique used. All patients were male, aged 18 to 59 years, with a mean age of 32.2 ± 9.02 years. Stepwise X-ray examinations were performed in all patients following osteosynthesis. Functional outcomes of humeral fracture treatment were assessed using the DASH score, whereas functional outcomes of femoral and tibial fracture treatment were evaluated using the Neer–Grantham–Shelton scale.
RESULTS: The study included 90 patients (28.125%) with humeral fractures and 230 patients (71.875%) with lower limb injuries associated with femoral or tibial fractures. Shrapnel wounds and/or blast injuries predominated in 288 cases (90%). An intergroup comparison showed that antibiotic-coated implants significantly (p < 0.0167) accelerated the transition from external to internal fixation and reduced the risk of infectious complications.
CONCLUSION: Sequential osteosynthesis has proven to be an effective two-stage treatment for long bone fractures in wounded individuals. In the context of modern armed conflict, it is considered the primary approach to managing isolated and multiple uncomplicated gunshot fractures, provided that established guidelines are strictly followed. Furthermore, given the recent advances in traumatology and orthopedics, antibiotic-coated implants can be used to reduce the risk of infectious complications.
Full Text
ОБОСНОВАНИЕ
Лечение раненых с боевыми повреждениями конечностей является одной из важнейших задач военной травматологии и ортопедии. Военно-медицинская статистика вооружённых конфликтов последних десятилетий, со времён войны в Афганистане до специальной военной операции, свидетельствует о том, что, независимо от интенсивности боевых действий и используемого вооружения, в структуре боевых санитарных потерь по-прежнему преобладают ранения конечностей, составляя от 55 до 75% от их общего числа [1–4].
В настоящее время военная медицина столкнулась с новыми трудностями при лечении пациентов, получивших ранения в условиях современных вооружённых конфликтов, что обусловлено рядом причин.
Во-первых, существенно изменился характер ведения боевых действий. Отмечается широкое использование высокоточного дальнобойного оружия с большой поражающей способностью, массированное применение беспилотных летательных аппаратов, использование кассетных боеприпасов, в то время как стрелковый бой становится редкостью, а средства индивидуальной бронезащиты не способны обеспечить защиту личного состава от новых видов боеприпасов.
Во-вторых, в структуре современных санитарных потерь отмечается преобладание осколочных ранений и взрывных поражений (до 90%).
В-третьих, применение современной концепции лечебно-эвакуационных мероприятий (сокращение этапов медицинской эвакуации и сроков оказания специализированной помощи) и более совершенных средств оказания первой медицинской помощи приводит к снижению летальности на передовых этапах и соответствующему увеличению числа пациентов в крайне тяжёлом состоянии, попадающих в центральные военно-медицинские организации [1–3, 5].
Всё вышеизложенное, в свою очередь, заставляет оптимизировать тактику и усовершенствовать методики оказания специализированной травматологической помощи раненым [3, 5, 6].
Цель исследования — оценить эффективность методики последовательного остеосинтеза при лечении пациентов с огнестрельными переломами длинных костей конечностей в условиях современного вооружённого конфликта.
МАТЕРИАЛЫ И МЕТОДЫ
Дизайн исследования
Проведено многоцентровое проспективное когортное контролируемое исследование.
Условия проведения
Работа основана на анализе результатов лечения 320 пациентов с ранениями верхних и нижних конечностей, которым оказывали специализированную медицинскую помощь в центре травматологии и ортопедии Главного военного клинического госпиталя (ГВКГ) им. Н.Н. Бурденко Министерства обороны Российской Федерации (МО РФ) в период с 2022 по 2024 г.
Все пациенты являлись военнослужащими мужского пола, возраст которых составил от 18 до 59 лет (средний возраст — 32,2±9,02 года). Тяжесть и характер повреждений у всех раненых были сопоставимы, все пациенты поступили с передовых этапов медицинской эвакуации на этап специализированной помощи в центр травматологии и ортопедии ГВКГ им. Н.Н. Бурденко МО РФ. Всем пациентам выполняли ранний последовательный остеосинтез в сроки до 6 недель с момента получения ранения, на следующий день после операции выполняли контрольную рентгенографию в двух проекциях.
В нашем исследовании пациенты были разделены на три группы (рис. 1):
- I группа — пациенты, которым выполняли последовательный остеосинтез стандартными металлоконструкциями: в ближайшие часы после ранения для иммобилизации повреждённой конечности накладывали аппарат внешней фиксации (АВФ), а после нормализации общего состояния и заживления ран осуществляли конверсию наружного фиксатора на внутренний (накостные пластины, интрамедуллярные штифты);
- II группа — пациенты, которым с целью профилактики инфекционных осложнений при повышенных лабораторных показателях маркеров воспаления и/или незажившей раны выполняли последовательный остеосинтез имплантатами с композитным антибактериальным покрытием, завершали операцию закрытием раны наложением вторичных швов или пластикой местными тканями [7];
- III группа — пациенты с осложнённым течением раневого процесса, которым вследствие наличия высокого риска прогрессирования инфекции при применении внутренней фиксации стержневой АВФ был заменён на спице-стержневой аппарат внутренней фиксации по Г.А. Илизарову.
Рис. 1. Распределение пациентов по методу лечения. АВФ — аппарат внешней фиксации.
Fig. 1. Distribution of patients by treatment method.
Пациенты с переломами костей предплечья не были включены в данное исследование по причине низкой частоты встречаемости повреждений данной локализации в сравнении с остальными сегментами.
Критерии соответствия
Критерии включения: наличие у пациентов, которым выполняли последовательный остеосинтез, изолированных или множественных переломов диафизов плечевой, бедренной и/или большеберцовой кости огнестрельного генеза; наличие информированного добровольного согласия на участие в исследовании.
Критерии невключения: сочетанный характер ранения; наличие у пациентов иммунокомпрометирующих заболеваний и хронических очагов инфекции.
Критерии исключения: отказ пациента от участия в исследовании; невозможность наблюдения за пациентом в течение не менее 6 месяцев после проведения остеосинтеза.
Описание медицинского вмешательства
Всем пациентам, включённым в настоящее исследование, был проведён последовательный остеосинтез огнестрельных переломов длинных костей конечностей с заменой аппаратов внешней фиксации на погружные имплантаты или на спице-стержневые АВФ по Г.А. Илизарову с применением стандартных хирургических методик.
Этическая экспертиза
Все пациенты подписали добровольное информированное согласие на участие в данном исследовании и дали согласие на обработку и публикацию клинического материала в период своего лечения в ГВКГ им. Н.Н. Бурденко. Исследование было одобрено этическим комитетом 24.05.2023 г. (выписка из протокола независимого этического комитета № 266 от 24 мая 2023 года).
В связи со сложностью проведения в условиях военного конфликта этической экспертизы протокола исследования пациенты были включены в исследование до его одобрения.
Решение было принято в связи со значимым эффектом для лечения пациентов и их последующей реабилитации.
Статистический анализ
Проверку нормальности количественных показателей осуществляли при помощи критерия Колмогорова–Смирнова с поправкой Лиллиефорса. В соответствии с результатами проверки распределение исследуемых показателей отличается от нормального, поэтому количественные значения представлены в виде медианы (Me) и межквартильного диапазона (IQR). А для межгруппового сравнения использовали непараметрический критерий Краскела–Уоллиса. В случае обнаружения различий (p <0,0167) производился апостериорный анализ методом попарных сравнений с использованием критерия Манна–Уитни, учитывая поправку Бонферрони, статистически значимыми считались различия при показателях p <0,0167. Связь между признаками изучали с помощью непараметрического коэффициента корреляции Спирмена.
РЕЗУЛЬТАТЫ
Функциональные результаты проведённого оперативного лечения оценивали в сроки от 6 до 12 месяцев после операции. Для оценки функции верхних конечностей применяли опросник DASH. Для оценки функции нижних конечностей нами была использована шкала Neer-Grantham-Shelton.
Ранения плеча с переломами плечевой кости составили 90 (28,125%) случаев от общего числа пострадавших, ранения нижних конечностей — 230 (71, 875%). У 288 раненых (90%) повреждения имели осколочный или взрывной характер. При ранениях верхних конечностей чаще поражались проксимальные отделы плечевой кости (51,25%), в то время как при ранениях нижних конечностей — дистальные отделы (42%) (табл. 1, 2) [2–6, 8, 9].
Таблица 1. Распределение пациентов по поражённым сегментам, n (%)
Table 1. Distribution of patients by affected segments, n (%)
Сегмент конечностей | Исследуемая выборка (n=320) | ||
I группа, n=167 (52,18%) | II группа, n=68 (21,25%) | III группа, n=85 (26,56%) | |
Плечо | 54 (32,33) | 28 (41,17) | 8 (9,41) |
Бедро | 64 (38,32) | 33 (48,52) | 12 (14,11) |
Голень | 49 (29,34) | 7 (10,3) | 65 (76,47) |
Таблица 2. Распределение пациентов в I и II группе по методу остеосинтеза, n (%)
Table 2. Distribution of patients in groups I and II by osteosynthesis method, n (%)
Сегмент конечностей | I группа (n=167) | II группа (n=68) | ||
Накостный остеосинтез | Интрамедуллярный остеосинтез | Накостный остеосинтез | Интрамедуллярный остеосинтез | |
Плечо | 18 (10,77) | 36 (21,55) | 6 (8,82) | 22 (32,35) |
Бедро | 19 (11,37) | 45 (26,94) | 9 (13,23) | 24 (35,29) |
Голень | 12 (7,18) | 37 (22,15) | 2 (2,94) | 5 (7,35) |
Всего | 49 (29,34) | 118 (70,65) | 17 (25) | 51 (75) |
Примечание. Всем пациентам III группы выполняли остеосинтез в аппарате внешней фиксации по методу Г.А. Илизарова.
В качестве основного метода лечения, при возможности его выполнения, нами был использован метод последовательного остеосинтеза.
Последовательный остеосинтез — это двухэтапная методика лечения раненых и пострадавших с переломами длинных костей конечностей. Первым этапом является фиксация отломков костей аппаратом внешней фиксации с целью их стабилизации и минимизации травмы мягких тканей, а вторым этапом после улучшения состояния раненого, заживления ран и при отсутствии признаков инфекции выполняют замену внешнего фиксатора на внутренний [5].
Критериями перехода к внутренней фиксации в нашем исследовании являлись неосложнённое течение раневого процесса, отсутствие признаков воспаления в парастержневых / параспицевых тканях, отсутствие в анализах крови значимого повышения значений маркеров инфекционно-воспалительного процесса (показатели С-реактивного белка, уровень лейкоцитов). Обязательной являлась антибактериальная терапия в послеоперационном периоде.
В тех случаях, когда раннее проведение последовательного остеосинтеза не представлялось возможным вследствие наличия у пациентов незаживших ран мягких тканей в области перелома, значимого повышения маркеров инфекционно-воспалительного процесса в лабораторных анализах и патологического отделяемого из ран нами применялась методика компрессионно-дистракционного остеосинтеза спице-стержневым аппаратом наружной фиксации по Г.А. Илизарову или использовались погружные фиксаторы с антибактериальным композитным покрытием.
Впервые в РФ интрамедуллярные штифты с антибактериальным покрытием на основе полиметилметакрилата с добавлением гентамицина и ванкомицина были применены при лечении открытых переломов костей в 2007 году [10]. Данная методика имеет как известные положительные, так и отрицательные стороны [11–15].
Однако в связи с высокими рисками развития инфекционных осложнений у пациентов с огнестрельными переломами в послеоперационном периоде с целью оптимизации процесса их лечения сотрудниками ГВКГ им. Н.Н. Бурденко и Томского политехнического университета на основании НИР № 39/2023/Д-04 от 07 апреля 2023 года разработаны методика и состав оптимального типа покрытия для внутренних имплантатов на основе метода микродугового оксидирования с добавлением композита (хитозан), а также антибактериальных и антисептических препаратов.
По итогам предварительно выполненной в условиях лаборатории экспериментальной части исследования нами были получены положительные результаты в отношении наиболее часто встречающейся патогенной микрофлоры (рис. 2) [7].
Рис. 2. Антибактериальное действие разработанных покрытий по отношению к внутригоспитальным штаммам бактерий: MAO — микродуговое оксидирование, Chit — хитозан, AM — амикацин.
Fig. 2. Antibacterial effect of the developed coatings against nosocomial bacterial strains : MAO, micro arcoxidation; Chit, chitosan; AM, amikacin.
В I группе всего было пролечено 167 (52,18%) пациентов с использованием методики последовательного остеосинтеза. Среди них было прооперировано 54 раненых с переломами диафиза плечевой кости. Отличные функциональные результаты лечения по опроснику DASH в среднесрочный период наблюдения (6 месяцев после операции) были получены у 24 (44,45%) пациентов, хорошие — у 14 (25,93%), удовлетворительные — у 12 (22,22%), неудовлетворительные — у 4 (7,40%).
Переломы диафизов бедренной и большеберцовой кости в данной группе наблюдали в 113 случаях. При оценке функциональных результатов лечения по опроснику Neer-Grantham-Shelton у 48 (42,47%) пациентов были получены отличные результаты, у 27 (23,9%) — хорошие, у 31 (27,43%) — удовлетворительные, а у 7 (6,2%) функция нижних конечностей после прохождения оперативного и реабилитационного лечения была оценена как неудовлетворительная.
Средний срок стационарного лечения раненых с момента поступления до проведения раннего последовательного остеосинтеза в данной группе составил 18,3±3,46 суток.
Из 167 пациентов I группы, которым был выполнен последовательный остеосинтез, послеоперационные осложнения были выявлены у 19 (11,37%). Осложнения инфекционного характера в виде развития свищевой формы остеомиелита были выявлены у 8 (4,79%) пострадавших, осложнения неинфекционного характера (замедленная консолидация, несращение перелома) — у 11 (6,58%) пациентов, что потребовало проведения реостеосинтеза.
Клинический пример 1
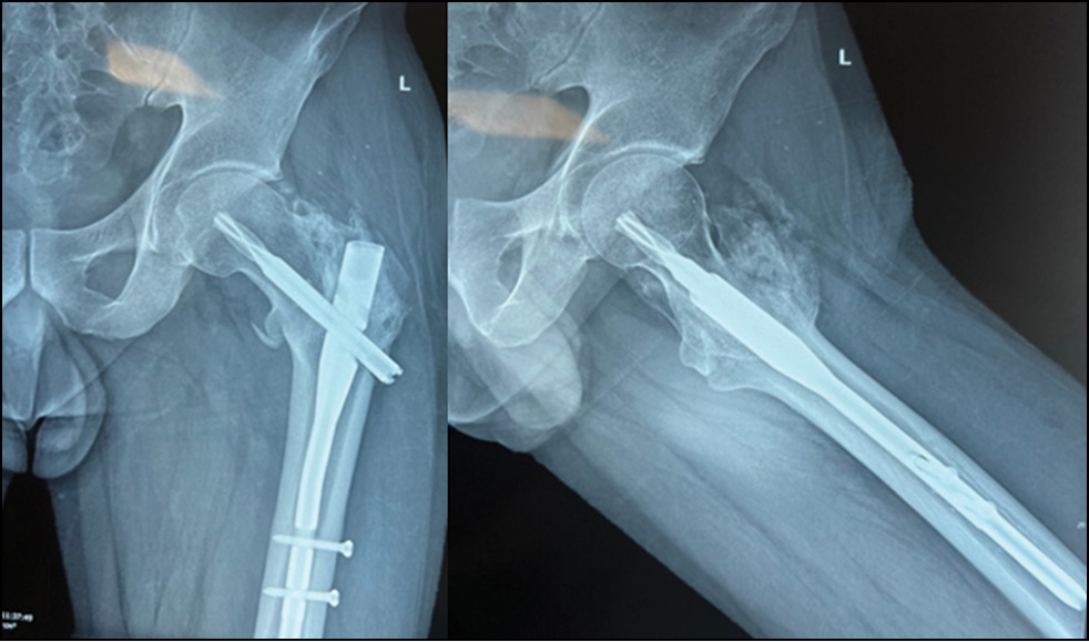
Раненый 36 лет, поступил с диагнозом «осколочное сквозное ранение левой ягодичной области с разрушением большого вертела и чрезвертельным переломом левой бедренной кости со смещением костных отломков» (рис. 3–6).
Рис. 3. Пациент 1: a — внешний вид пациента с наложенным аппаратом внешней фиксации компоновки «таз — бедро» — огнестрельное осколочное сквозное ранение проксимального отдела левой бедренной кости с разрушением большого вертела и чрезвертельным переломом со смещением отломков, b — рентгенограмма после первого этапа — стабилизация повреждённой конечности в аппарате внешней фиксации.
Fig. 3. Patient 1: a, the patient with an external fixation device in a “pelvis–femur” configuration; through-and-through shrapnel wound of the proximal left femur with destruction of the greater trochanter and a displaced intertrochanteric fracture; b, radiograph after the first stage: stabilization of the injured limb using external fixation.
Рис. 4. Пациент 1: a — рентгенограмма после демонтажа аппарата внешней фиксации и внутреннего остеосинтеза проксимальным бедренным штифтом с блокированием, b — внешний вид в первые сутки после операции.
Fig. 4. Patient 1: a, radiograph after removal of the external fixation device and internal osteosynthesis with proximal locking of a femoral nail; b, the patient on the first postoperative day.
Рис. 5. Пациент 1: контрольные рентгенограммы спустя 6 месяцев после проведения последовательного остеосинтеза.
Fig. 5. Patient 1: follow-up radiographs six months after sequential osteosynthesis.
Рис. 6. Пациент 1: a — спустя 6 месяцев после операции, b — функциональный результат лечения.
Fig. 6. Patient 1: a, six months postoperatively; b, functional outcome of treatment.
Во II группе были пролечены 68 пациентов с использованием внутренних имплантатов с антибактериальным покрытием. Из них ранения верхних конечностей с переломом плечевой кости составили 28 (41,17%) случаев, ранения нижних конечностей с переломом бедренной кости наблюдали в 33 (48,52%) случаях, большеберцовой кости — в 7 (10,29%).
В данной клинической группе функциональные результаты лечения верхних конечностей были оценены по вышеупомянутому опроснику как отличные у 12 (42,85%) пациентов, как хорошие — у 8 (28,57%), удовлетворительные — у 4 (14,29%), а у 4 (14,29%) пациентов результат лечения был оценён как неудовлетворительный При оценке функции нижних конечностей после проведённого лечения отличные результаты получены у 21 (52,5%) пациента, хорошие — у 12 (30%), удовлетворительные — у 4 (10%), неудовлетворительные — у 3 (7,5%).
Сроки стационарного лечения у пациентов II группы составили 13,9±2,22 суток, что было значимо (p <0,0167) на 24,04% ниже, чем у пациентов с использованием стандартной методики последовательного остеосинтеза. Мы связываем это с выполнением операции последовательного остеосинтеза имплантатами с антибактериальным покрытием с единовременным наложением вторичных швов на предварительно подготовленные и очищенные раны, а не дожидаясь их полного заживления, как было принято ранее.
При этом инфекционные осложнения в данной группе пациентов были выявлены всего у 2 пострадавших (2,94%). Замедленная консолидация и несращения отмечались у 4 пациентов (5,88%).
Клинический пример 2
Раненый 29 лет, поступил с этапов медицинской эвакуации на вторые сутки после получения ранения с диагнозом «огнестрельное осколочное слепое ранение правого плеча с оскольчатым переломом средней трети диафиза плечевой кости». На 12-е сутки после ранения пациенту была выполнена закрытая репозиция: остеосинтез плечевой кости интрамедуллярным штифтом с блокированием и антибактериальным напылением с одномоментным наложением вторичных швов на рану (рис. 7–9).
Рис. 7. Пациент 2: a — внешний вид пациента с наложенным аппаратом внешней фиксации, b — рентгенограммы плечевой кости при поступлении.
Fig. 7. Patient 2: a, the patient with an external fixation device; b, radiographs of the humerus on admission.
Рис. 8. Пациент 2: a — интрамедуллярный штифт с нанесённым путём микродугового оксидирования антибактериальным покрытием, b — контрольные рентгенограммы после остеосинтеза.
Fig. 8. Patient 2: a, intramedullary nail with an antibiotic coating applied via micro-arc oxidation; b, follow-up radiographs after osteosynthesis.
Рис. 9. Пациент 2: a — контрольная рентгенограмма спустя 6 месяцев после операции, b — функция верхней конечности после прохождения реабилитационного лечения.
Fig. 9. Patient 2: a, follow-up radiograph six months after surgery; b, upper limb function after rehabilitation.
В III исследуемой группе были пролечены 85 (26,56%) пациентов, из них у 8 (9,41%) отмечались переломы плечевой кости, у 12 (14,11%) — бедренной кости, а у 65 (76,47%) — переломы костей голени. При лечении данной категории раненых в связи с наличием обширных дефектов мягких тканей, развитием местных инфекционно-воспалительных осложнений раневого процесса используется методика последовательного остеосинтеза. Исходя из данных факторов, нами в качестве оптимального метода лечения был выбран внеочаговый компрессионно-дистракционный остеосинтез по Г.А. Илизарову.
Функциональные результаты лечения пациентов данной группы представлены в табл. 3, 4.
Таблица 3. Функциональные результаты лечения переломов верхних конечностей у пациентов исследуемых групп по опроснику DASH, n (%)
Table 3. Functional outcomes of upper limb fracture treatment in study groups based on the DASH score, n (%)
Функциональный результат | I группа | II группа | III группа* |
Отличный | 24 (44,45) | 12 (42,85) | 1 (12,5) |
Хороший | 14 (25,93) | 8 (28,57) | 2 (25) |
Удовлетворительный | 12 (22,22) | 4 (14,29) | 3 (37,5) |
Неудовлетворительный | 4 (7,40) | 4 (14,29) | 2 (25) |
Итого | 54 (100) | 28 (100) | 8 (100) |
Примечание. * после демонтажа аппарата Илизарова.
Таблица 4. Функциональные результаты лечения переломов нижней конечности по шкале Neer-Grantham-Shelton, n (%)
Table 4. Functional outcomes of lower limb fracture treatment based on the Neer–Grantham–Shelton scale, n (%)
Функциональный результат | I группа | II группа | III группа* |
Хороший | 36 (31,86) | 15 (37,5) | 32 (41,56) |
Удовлетворительный | 64 (56,64) | 18 (45) | 26 (33,76) |
Неудовлетворительный | 13 (11,5) | 7 (17,5) | 19 (24,68) |
Итого | 113 (100) | 40 (100) | 77 (100) |
Примечание. * после демонтажа аппарата Илизарова.
Среди пациентов данной группы число отличных и хороших функциональных результатов лечения верхних и нижних конечностей было меньшим, чем в остальных, что, по нашему мнению, связано как с тяжестью имеющихся повреждений, так и с общими недостатками длительной внешней фиксации в аппарате, такими как развитие контрактур в смежных суставах, мышечные атрофии, дискомфорт со стороны пациента, динамический контроль и уход за элементами аппарата внешней фиксации.
Кроме того, средний срок лечения пациентов данной группы составил 17,9±6,05 суток, что связано с необходимостью выполнения этапных хирургических обработок ран мягких тканей и динамическим наблюдением за пациентом как до установки аппарата Илизарова, так и после него.
При оценке результатов лечения у 17 пациентов (20%) развились местные инфекционные осложнения в парастержневых и параспицевых тканях, которые были успешно купированы путём перевязок, антибиотикотерапии, а в некоторых случаях — перемонтажом аппарата. У 11 (12,94%) пациентов при контрольном обследовании спустя один год после операции было выявлено образование ложного сустава в зоне перелома, что потребовало проведения ревизионных операций.
ОБСУЖДЕНИЕ
Методика последовательного остеосинтеза широко применяется на современном этапе развития травматологии и ортопедии и позволяет избежать таких недостатков лечения при помощи АВФ, как развитие стойких контрактур, атрофии мышц, сосудистых нарушений, воспаления в области мест выхода спиц или стержней [2, 5, 16].
Исследования ряда авторов показали эффективность методики последовательного остеосинтеза, использование которой позволяло значимо сократить средние сроки стационарного лечения, снизить частоту инфекционных осложнений, увеличить долю хороших и отличных функциональных результатов лечения раненых с огнестрельными переломами длинных костей конечностей и быстрее возвратить раненых к военной службе, что подтверждается результатами нашего исследования [5, 6, 16, 17].
Кроме того, на сегодняшний день по-прежнему ведётся поиск оптимальных систем доставки в зону перелома антибактериальных и антисептических препаратов. В мировой литературе имеются данные о неэффективности использования костного цемента с добавлением гентамицина, который уже длительное время применяется для лечения и профилактики развития инфекционных осложнений, что требует разработки более совершенных систем [14, 15].
Разработанное в ходе данного клинического исследования антибактериальное покрытие внутренних фиксаторов на основе кальций-фосфатного покрытия с нанесением на поверхность хитозана в комбинации с антибактериальными или антисептическими препаратами показало значимую эффективность действия по отношению к наиболее часто встречающимся штаммам микроорганизмов, что согласуется с исследованиями ряда других авторов [18–20]. Данное покрытие для интрамедуллярных штифтов и накостных пластин позволяет проводить последовательный остеосинтез открытых переломов в более ранние сроки и снизить число инфекционных осложнений в послеоперационном периоде.
ЗАКЛЮЧЕНИЕ
Последовательный остеосинтез хорошо зарекомендовал себя как двухэтапный метод лечения раненых с переломами длинных костей конечностей, позволяющий избежать ряда негативных последствий, возникающих при длительном использовании аппаратов внешней фиксации, что подтверждается данными отечественной и зарубежной литературы, а также результатами нашего исследования.
Однако применение методики последовательного остеосинтеза в условиях нынешнего военного конфликта ограничено, что связано как с массовостью поступления раненых в центральные военно-медицинские организации Минобороны России, так и с тяжестью повреждений, полученных в результате применения современных ранящих снарядов.
При этом следует отметить, что если раньше методика последовательного остеосинтеза считалась уникальной и применялась лишь в индивидуальных случаях ввиду низкой частоты встречаемости огнестрельных ранений в мирное время, то на сегодняшний день, в условиях современного вооружённого конфликта, последовательный остеосинтез рассматривается как основной метод при лечении изолированных и множественных неосложнённых огнестрельных переломов костей конечностей при строгом соблюдении определённых рекомендаций (неосложнённое течение раневого процесса, отсутствие признаков воспаления в парастержневых / параспицевых тканях, отсутствие в анализах крови значимого повышения значений маркеров инфекционно-воспалительного процесса).
Кроме того, на современном этапе с целью снижения рисков послеоперационных осложнений возможно применение имплантатов с нанесением разработанного антибактериального покрытия, которое может позволить оптимизировать сроки перехода с внешней фиксации на внутреннюю и снизить количество послеоперационных инфекционных осложнений, что подтверждается результатами данного исследования.
ДОПОЛНИТЕЛЬНАЯ ИНФОРМАЦИЯ
Вклад авторов. Все авторы одобрили финальную версию перед публикацией, а также согласились нести ответственность за все аспекты работы, гарантируя надлежащее рассмотрение и решение вопросов, связанных с точностью и добросовестностью любой её части.
Источники финансирования. Отсутствуют.
Раскрытие интересов. Авторы заявляют об отсутствии отношений, деятельности и интересов (личных, профессиональных или финансовых), связанных с третьими лицами (коммерческими, некоммерческими, частными), интересы которых могут быть затронуты содержанием статьи, а также иных отношений, деятельности и интересов за последние три года, о которых необходимо сообщить.
Оригинальность. При создании настоящей работы авторы не использовали ранее опубликованные сведения (текст, данные).
Генеративный искусственный интеллект. При создании настоящей статьи технологии генеративного искусственного интеллекта не использовали.
Рассмотрение и рецензирование. Настоящая работа подана в журнал в инициативном порядке и рассмотрена по обычной процедуре. В рецензировании участвовали два внешних рецензента, член редакционной коллегии и научный редактор издания.
Информированное согласие на публикацию. Авторы получили письменное согласие пациентов на публикацию их медицинских данных и фотографий в период их нахождения на стационарном лечении.
ADDITIONAL INFORMATION
Author contributions: All the authors approved the final version of the manuscript to be published and agreed to be accountable for all aspects of the work, ensuring that questions related to the accuracy or integrity of any part of the work are appropriately investigated and resolved.
Funding sources: No funding.
Disclosure of interests: The authors have no explicit or potential conflicts of interests associated with the publication of this article.
Statement of originality: No previously published material (text, or data) was used in this article.
Generative AI: No generative artificial intelligence technologies were used to prepare this article.
Provenance and peer-review: This paper was submitted unsolicited and reviewed following the standard procedure. The peer review process involved two external reviewers, a member of the editorial board, and the in-house scientific editor.
Consent for publication: Written informed consent was obtained from all patients for the publication of their medical data and images during their inpatient treatment.
About the authors
Artur A. Kerimov
Main Military Clinical Hospital named after N.N. Burdenko
Email: kerartur@yandex.ru
ORCID iD: 0000-0001-5783-6958
SPIN-code: 3131-1308
MD, Cand. Sci. (Medicine)
Russian Federation, 3 Gospitalnaya pl., Moscow, 105094Igor V. Khominets
Main Military Clinical Hospital named after N.N. Burdenko
Author for correspondence.
Email: khominets24_91@mail.ru
ORCID iD: 0000-0003-0964-653X
SPIN-code: 5928-5370
MD, Cand. Sci. (Medicine)
Russian Federation, 3 Gospitalnaya pl., Moscow, 105094Sergey N. Perekhodov
Russian University of Medicine
Email: PEREKHODOV-SN@msmsu.ru
ORCID iD: 0000-0001-7166-0290
SPIN-code: 8770-6877
MD, Dr. Sci. (Medicine), Professor
Russian Federation, MoscowNikolay S. Kozlov
Russian University of Medicine
Email: meddikk@yandex.ru
ORCID iD: 0000-0002-0873-1380
SPIN-code: 5118-9215
MD, Cand. Sci. (Medicine), Associate Professor
Russian Federation, MoscowKazbek K. Bekshokov
Peoples’ Friendship University of Russia
Email: kazbek.bekshokov.99@mail.ru
ORCID iD: 0000-0002-2667-341X
SPIN-code: 8906-6553
MD, resident
Russian Federation, MoscowMaksim N. Nelin
Main Military Clinical Hospital named after N.N. Burdenko
Email: nelinmaksimdoc@gmail.com
ORCID iD: 0009-0000-0198-7693
SPIN-code: 5143-3630
MD
Russian Federation, 3 Gospitalnaya pl., Moscow, 105094Evgeniy A. Kukushko
Main Military Clinical Hospital named after N.N. Burdenko
Email: doctrauma87@gmail.com
ORCID iD: 0000-0002-2941-9601
SPIN-code: 6736-1323
MD
Russian Federation, 3 Gospitalnaya pl., Moscow, 105094Vladimir D. Besedin
Main Military Clinical Hospital named after N.N. Burdenko
Email: BesedinVD@yandex.ru
ORCID iD: 0000-0001-9087-1421
SPIN-code: 9908-6830
MD
Russian Federation, 3 Gospitalnaya pl., Moscow, 105094Sergey I. Tverdokhlebov
National Research Tomsk Polytechnic University (Tomsk Polytechnic University)
Email: tverd@tpu.ru
ORCID iD: 0000-0002-2242-6358
SPIN-code: 9005-9207
Cand. Sci. (Physics and Mathematics), Associate Professor
Russian Federation, TomskAnna I. Kozelskaya
National Research Tomsk Polytechnic University (Tomsk Polytechnic University)
Email: kozelskayaai@tpu.ru
ORCID iD: 0000-0003-0168-0952
SPIN-code: 7317-8713
MD, Cand. Sci. (Medicine), Associate Professor
Russian Federation, TomskReferences
- Trishkin DV, Kryukov EV, Davydov DV, et al. Development of the concept of providing medical care to the wounded with injuries of the musculoskeletal system in modern conditions. Military Medical Journal. 2024;345(5):4–11. doi: 10.52424/00269050_2024_345_5_4 EDN: TALTJH
- Esipov AV, Sukhorukov AL, Musailov VA, et al. The magnitude and structure of isolated limb wounds in modern local conflicts (Literature review). Military Medical Journal. 2023;344(3):33–39. doi: 10.52424/00269050_2023_344_3_33 EDN: IOTYEX
- Kryukov EV, Davydov DV, Khominets VV, et al. Stage-by-stage treatment of the wounded with injuries of the musculoskeletal system in modern armed conflict. Military Medical Journal. 2023;34(3):4–17. doi: 10.52424/00269050_2023_344_3_4 EDN: HWUCXD
- Chandler H, MacLeod K, Penn-Barwell JG; Severe Lower Extremity Combat Trauma (SeLECT) Study Group. Extremity injuries sustained by the UK military in the Iraq and Afghanistan conflicts: 2003–2014. Injury. 2017;48(7):1439–1443. doi: 10.1016/j.injury.2017.05.022
- Khominets VV, Shapovalov VM, Mikhailov SV, Brizhan LK. Treatment of wounded in limbs in wars and armed conflicts. Monograph. St. Petersburg: Historical Illustration; 2021. 304 p. EDN: IUQQOX
- Shchukin AV. Improvement of sequential osteosynthesis in the treatment of wounded with gunshot fractures of long limb bones [dissertation]. 2018. 197 p. (In Russ.). EDN: CVGYII
- Kozelskaya AI, Früh A, Rutkowski S, et al. Antibacterial double-layer calcium phosphate/chitosan composite coating on metal implants for tissue engineering. Colloids and Surfaces A: Physicochemical and Engineering Aspects. 2025;705(2). doi: 10.1016/j.colsurfa.2024.135652
- Fox JP, Markov NP, Markov AM, et al. Plastic surgery at war: a scoping review of current conflicts. Military medicine. 2021;186(3–4):e327–e335. doi: 10.1093/milmed/usaa361
- Gritsyuk AA. Reconstruction and plastic surgery of combat injuries of limbs [dissertation]. Moscow, 2006. 43 р. (In Russ.). EDN: QEAXNN
- Ivanov PA, Sokolov VA, Bialik EI, et al. The use of intramedullary interlocked pins with an active antibacterial coating in the treatment of severe open fractures and their complications. Bulletin of Traumatology and orthopedics named after N.N. Priorov. 2009;(1):13–18. EDN: KCKVMJ
- Solanki T, Maurya MK, Singh PK. Results of Antibiotic-Impregnated Cement/Polymer-Coated Intramedullary Nails in the Management of Infected Nonunion and Open Fractures of Long Bones. Cureus. 2023;15(8). doi: 10.7759/cureus.43421
- Thonse R, Conway J. Antibiotic cement-coated interlocking nail for the treatment of infected nonunions and segmental bone defects. J Orthop Trauma. 2007;21(4):258–68. doi: 10.1097/bot.0b013e31803ea9e6
- Vargas-Hernández JS, Sánchez CA, Renza S, Leal JA. Effectiveness of antibiotic-coated intramedullary nails for open tibia fracture infection prevention. A systematic review and meta-analysis. Injury. 2023;54 Suppl 6:110857. doi: 10.1016/j.injury.2023.110857
- Volotovsky PA, Sitnik AA, Tapalsky DV, et al. The immediate results of the clinical application of a blocked intramedullary fixator with a three-component antibacterial coating for infected fractures and non-joints of long tubular bones. News of surgery. 2020;28(6):680–687. EDN: CBTFDR
- Gutha Y, Pathak JL, Zhang W, Zhang Y, et al. Antibacterial and wound healing properties of chitosan/poly (vinyl alcohol)/zinc oxide beads (CS/PVA/ZnO). Int J Biol Macromol. 2017;103:234–241. doi: 10.1016/j.ijbiomac.2017.05.020
- Artemyev AA, Kerimov AA, Peredonov SN, et al. Sequential external osteosynthesis of gunshot fractures of limb bones at the stages of medical evacuation. Medical Bulletin of the N.N. Burdenko State Medical University. 2023;(1):22–31. doi: 10.53652/2782-1730-2023-4-1-22-31 EDN: YALOZN
- Yudin KA. Sequential osteosynthesis in the treatment of wounded with gunshot fractures of the long bones of the lower extremities. Izvestia of the Russian Military Medical Academy. 2019;38(S1–2):283–285. EDN: ZZJAXJ
- Alavi M, Nokhodchi A. An overview on antimicrobial and wound healing properties of ZnO nanobiofilms, hydrogels, and bionanocomposites based on cellulose, chitosan, and alginate polymers. Carbohydr Polym. 2020;227:115349. doi: 10.1016/j.carbpol.2019.115349
- Ghaseminejad-Raeini A, Azarboo A, Pirahesh K, et al. Antibiotic-Coated Intramedullary Nailing Managing Long Bone Infected Non-Unions: A Meta-Analysis of Comparative Studies. Antibiotics (Basel). 2024;13(1):69. doi: 10.3390/antibiotics13010069
- Rashki S, Asgarpour K, Tarrahimofrad H, et al. Chitosan-based nanoparticles against bacterial infections. Carbohydr Polym. 2021;251:117108. doi: 10.1016/j.carbpol.2020.117108
Supplementary files












