Multislice computed tomography with intravenous bolus contrast enhancement in the assessment of pulmonary arteries
- Authors: Kalinina E.P.1,2, Snimshchikova I.A.1, Belova I.B.1, Konshina A.V.3
-
Affiliations:
- Orel State University named after I.S. Turgenev
- Emergency Medical Care Hospital named after N.A. Semashko
- Priorov National Medical Research Center of Traumatology and Orthopedics
- Issue: Vol 32, No 3 (2025)
- Pages: 614-624
- Section: Original study articles
- Submitted: 13.05.2025
- Accepted: 25.07.2025
- Published: 31.07.2025
- URL: https://journals.eco-vector.com/0869-8678/article/view/678923
- DOI: https://doi.org/10.17816/vto678923
- EDN: https://elibrary.ru/TKDXVJ
- ID: 678923
Cite item
Abstract
BACKGROUND: Patients with COVID-19-associated pneumonia are at high risk of thrombotic complications, including in the postoperative period. Multislice computed tomography with intravenous bolus contrast enhancement improves the visualization of the pulmonary vasculature, enabling accurate identification of thrombi, degree of stenosis, and occlusion. This noninvasive and highly informative method allows for the prompt and precise diagnosis of life-threatening conditions such as pulmonary embolism, as well as the confirmation or exclusion of other vascular conditions. Multislice computed tomography with intravenous bolus contrast enhancement is a modern, rapid, and accurate diagnostic tool for detecting and evaluating pathological changes in the pulmonary arteries, which is critical for an optimal treatment planning and improving patient outcomes.
AIM: The work aimed to evaluate the use of multislice computed tomography with intravenous bolus contrast enhancement in diagnosing pulmonary embolism in patients with COVID-19-associated pneumonia; to analyze the correlation between the incidence of pulmonary embolism and the severity and stage of SARS-CoV-2-induced pneumonia.
METHODS: A retrospective study was conducted including 184 patients with COVID-19-associated pneumonia and suspected pulmonary embolism based on laboratory findings. All patients underwent contrast-enhanced multislice computed tomography angiography to assess pulmonary arterial branches and parenchymal lung changes.
RESULTS: Based on the study findings, pulmonary embolism was diagnosed in one out of five patients, most frequently presenting with mild perfusion deficits and minimal pulmonary parenchymal involvement due to pneumonia.
CONCLUSION: The study demonstrated the high diagnostic value of multislice computed tomography angiography in detecting pulmonary embolism in patients.
Full Text
ОБОСНОВАНИЕ
Профилактика и диагностика тромбоэмболических осложнений имеют большое значение в травматологии и ортопедии, однако в настоящее время объективных методов диагностики тромбоэмболических осложнений недостаточно. В данной статье авторами на примере COVID-19 показана возможность применения мультиспиральной компьютерной томографии (МСКТ) для диагностики тромбоэмболии.
Вспышка новой коронавирусной инфекции произошла в конце 2019 г. в Китайской Народной Республике (КНР) с эпицентром в городе Ухань, 11 февраля 2020 г. было определено официальное название инфекции — COVID-19, официальное название возбудителя инфекции — SARS-CoV-21.
На 1 января 2024 г. с момента начала пандемии в мире зарегистрировано 700,7 млн случаев заражения вирусом SARS-CoV-2, летальных исходов — 6,9 млн, в Российской Федерации на 237 млн случаев заражения приходится 4012 тыс. скончавшихся23.
Течение COVID-19 характеризуется высокой частотой тромботических осложнений, изменениями системы гемостаза и неоднозначными эффектами антикоагулянтной терапии.
Необходимо отметить, что значительное число исследователей выделяют целый ряд тромбоэмболических осложнений, особенно в постоперационном периоде, на фоне перенесённого COVID-19, таких как асептический некроз различных суставов, тромбоэмболия лёгочной артерии (ТЭЛА) — 4,9%, венозные тромбозы (ВТ) — 3,4%, и др. [1–3].
Значительно чаще венозные тромбозы и тромбоэмболия лёгочной артерии встречаются у пациентов, проходивших лечение в отделении реанимации и интенсивной терапии (от 13,7 до 35,3%) [4].
В исследовании С.К. Кононова и О.В. Соловьёва [5] было установлено, что значения риска по прогнозу ТЭЛА в соответствии с существующими шкалами были сопоставимы в группах случаев COVID-19 с ТЭЛА и ТЭЛА без COVID-19 в анамнезе, однако летальность в первой группе была значительно выше (более чем в 2 раза).
Важной особенностью течения COVID-19 является тромботическое поражение сосудистого русла лёгких, часто протекающее без симультанного тромбоза глубоких вен (ТГВ), — до 58%, что определяет уникальность фенотипа заболевания [3, 4].
Благодаря крупнейшему исследованию, проведённому в Испании с использованием 1,5 млн историй болезни, было установлено, что при COVID-19 чаще поражаются периферические ветви лёгочных артерий, реже — лёгочный ствол [6]. Схожие данные получили H.J.A. Adams и T.C. Kwee, которые пришли к выводу, что в 65,3% случаев COVID-19 с ТЭЛА тромбы локализовались в периферических отделах, в 32,9% — в основных лёгочных артериях [7].
Ещё одной важной особенностью течения COVID-19 является возникновение тромбоза лёгочной артерии после исчезновения клинических симптомов заболевания в промежутке между третьей и четвёртой неделями после появления симптомов COVID-19-ассоциированной пневмонии [8, 9].
Учитывая данные исследования, после выполнения поставленной цели и решения задач нами планируется продолжить изучение проблемы и в будущем разработать систему комплексной оценки угроз эмболии не только дыхательной системы, но и других систем, включая тромбоэмболию локомоторных органов.
ЦЕЛЬ
Оценить метод мультиспиральной компьютерной томографии-ангиографии (МСКТ-АГ) при диагностике тромбоэмболии лёгочных артерий у пациентов с COVID- 19-ассоциированной пневмонией; изучить зависимость частоты встречаемости ТЭЛА от степени и стадии пневмонии, вызванной SARS-CoV-2.
МАТЕРИАЛЫ И МЕТОДЫ
Дизайн исследования
Проведено ретроспективное одноцентровое сплошное исследование на основе анализа МСКТ-АГ-изображений 184 пациентов с COVID-19-ассоциированной пневмонией и подозрением на ТЭЛА по лабораторным методам исследований и медицинской документации.
Критерии соответствия
Из сплошного исследования были исключены пациенты со злокачественными новообразованиями (n=5), перенесёнными накануне поступления травмами (n=1), хронической тромбоэмболией по данным МСКТ-АГ (n=2). Объём итоговой выборки составил 176 пациентов.
Условия проведения
В исследовании были изучены данные пациентов, поступивших на стационарное лечение с COVID-19-ассоциированной пневмонией в БУЗ Орловской области «БСМП им. Н.А. Семашко».
Продолжительность исследования
В исследование были включены клинические наблюдения, полученные в период с 25.05.2021 по 30.09.2021 г.
Описание медицинского вмешательства
Для изучения особенностей лучевой семиотики ТЭЛА при COVID-19-ассоциированной пневмонии был использован индекс Кванади, впервые описанный S.D. Qanadli и соавт. [10], являющийся аналогичным индексу Миллера и адаптированный под МКСТ-АГ (рис. 1).
Рис. 1. Схема оценки объёма тромбоэмболического поражения по индексу Qanadli.
Fig. 1. Diagram for assessing the extent of thromboembolic involvement using the Qanadli index.
Всем пациентам проводилась мультиспиральная компьютерная томография-ангиография с внутривенным болюсным контрастированием. МСКТ-ангиография проводилась на 64-срезовом мультиспиральном компьютерном томографе Siemens Definition AS. Во время исследования пациент находился в положении на спине, в краниокаудальном направлении. Для получения артериальной фазы использовался контрастный препарат Ультравист 300 или Ультравист 370. Контрастное вещество вводили с помощью автоматического инжектора со скоростью 4,0–4,5 мл/с через катетер 16–18G, установленный в локтевой вене. Анализ МСКТ-АГ-изображений проводили в программе для просмотра КТ-изображений syngo.via (файлы DICOM) компании Siemens с использованием интеллектуального метода Optimum Contrast.
Ультразвуковую диагностику проводили на ультразвуковом сканере GE Healthcare Logiq P6.
Основной исход исследования
В ходе исследования было установлено, что метод МСКТ-АГ является высокоинформативным и безопасным при оценке состояния лёгочных артерий у пациентов при диагностике тромбоэмболии.
Среди обследованных практически у каждого пятого пациента с COVID-19-ассоциированной пневмонией по данным МСКТ-АГ диагностировали ТЭЛА, чаще всего у женщин в возрасте 70–79 лет.
Пациенты с ТЭЛА при вирусной пневмонии (COVID-19) имели преимущественно лёгкую степень перфузионного дефицита. В 63,8% случаев тромбоэмболы локализовались в периферических отделах лёгочных артерий.
ТЭЛА чаще всего встречалась у пациентов на прогрессирующей (36,9%) и пиковой (36,1%) стадиях вирусной пневмонии. Зависимость КТ-стадии пневмонии у групп пациентов с подтверждённой и неподтверждённой ТЭЛА статистически незначима.
Дополнительные исходы исследования
Половина пациентов с ТЭЛА имели минимальный объём поражения лёгочной паренхимы за счёт превалирующих случаев степени тяжести КТ-1 COVID-19-ассоциированной пневмонии среди всех исследуемых. Зависимость степени тяжести пневмонии у групп пациентов с подтверждённой и неподтверждённой ТЭЛА статистически незначима.
Анализ в подгруппах
В ходе исследования все пациенты были распределены по полу и возрасту, по степени нарушения перфузии лёгких, а также по группам степени тяжести пневмонии на основании КТ-стадий.
Методы регистрации исходов
Мультиспиральная компьютерная томография-ангиография является основным и наиболее чувствительным методом диагностики ТЭЛА, позволяющим определять наличие, локализацию, размер и степень закупорки лёгочной артерии, а также оценивать состояние лёгочной паренхимы и окружающих тканей.
Величина объёма тромбоэмболического поражения по индексу Кванади складывается из оценки локализации проксимального уровня тромбоэмбола и степени окклюзии им сосуда (рис. 1). Тромбоэмболу присваивается балл (см. рис. 1) в зависимости от локализации (А), а именно — его проксимального уровня. Один балл равен одному сегменту лёгкого. При локализации тромбоэмбола в проксимальной артерии другие в её периферических ветвях не учитываются. Локализованный в субсегментарной ветви тромбоэмбол получает балл как сегментарный. Нарушение перфузии (В) оценивается в 0, 1 или 2 балла, где 0 баллов означает отсутствие тромба, 1 балл — неполную окклюзию, 2 балла — полную окклюзию. Дефицит перфузии по индексу Кванади рассчитывается по формуле:
(А+В) / 40×100%,
где 40 — максимальный балл. Для оценки степени нарушения перфузии лёгких мы использовали табл. 1 [10].
Таблица 1. Степень нарушения перфузии лёгких
Table 1. Degree of pulmonary perfusion impairment
Степень | Дефицит перфузии, % |
I (лёгкая) | До 29 |
II (средняя) | 30–44 |
III (тяжёлая) | 45–59 |
IV (крайне тяжёлая) | 60 и более |
Всем пациентам при МСКТ-АГ одномоментно было произведено нативное исследование для оценки степени поражения лёгочной паренхимы COVID-19-ассоциированной пневмонией (КТ-0 — КТ-4) с помощью полуколичественной шкалы с расчётом объёма для долей и сегментов лёгких и последующим суммированием результатов.
Половозрастная характеристика пациентов представлена в табл. 2.
Таблица 2. Распределение пациентов с COVID-19-ассоциированной пневмонией при подозрении на ТЭЛА по возрасту и полу
Table 2. Distribution of patients with COVID-19-associated pneumonia and suspected pulmonary embolism by age and sex
Пол пациентов | Количество полных лет | Всего | |||||||
20–29 | 30–39 | 40–49 | 50–59 | 60–69 | 70–79 | 80–89 | 90–99 | ||
Женщины | – | 3 | 5 | 13 | 26 | 17 | 8 | 2 | 102 |
Мужчины | 2 | 2 | 6 | 9 | 33 | 30 | 16 | 4 | 74 |
Всего | 2 | 5 | 11 | 22 | 59 | 47 | 24 | 6 | 176 |
Примечание. ТЭЛА — тромбоэмболия лёгочной артерии.
Этическая экспертиза
Проведение ретроспективного исследования одобрено Локальным этическим комитетом ФГБОУ ВО «Орловский государственный университет имени И.С. Тургенева», г. Орёл, протокол № 1 от 14.10.2024 г. Исследование выполнено в соответствии с руководящими принципами Хельсинкской декларации и стандартами GCP.
Все пациенты дали письменное добровольное информированное согласие на обработку персональных данных, использование результатов медицинского обследования в научных и образовательных целях, анонимную публикацию результатов.
Статистический анализ
Размер выборки предварительно не рассчитывался, а выборка формировалась из всех доступных на момент сбора данных пациентов, соответствующих критериям исследования.
Методы статистического анализа данных
Проведён расчёт доверительных интервалов и коэффициента ранговой корреляции Спирмена; количественные данные включены в таблицы с абсолютными и относительными частотами, а также доверительными интервалами. При анализе данных использовались следующие статистические критерии:
- расчёт доверительных интервалов для разницы в пропорциях;
- коэффициент ранговой корреляции Спирмена для оценки взаимосвязи между признаками.
РЕЗУЛЬТАТЫ
Объекты (участники) исследования
В исследовании участвовали данные 184 пациентов с COVID-19-ассоциированной пневмонией и подозрением на тромбоэмболию лёгочных артерий по результатам лабораторных методов исследований. С учётом исключённых из исследования лиц с известными ранее или впервые выявленными злокачественными новообразованиями (n=5), перенесёнными накануне поступления травмами (n=1), хронической тромбоэмболией по данным МСКТ-АГ (n=2) в исследование вошли 176 пациентов, из них 102 (58%) женщины и 74 (42%) мужчины, медиана возраста которых составила 67 лет.
Основные результаты исследования
Как показал анализ данных, приведённых в табл. 2, подозрению на ТЭЛА по лабораторным методам исследования у пациентов с вирусной пневмонией COVID-19 чаще подвержены мужчины в возрасте 60–69 лет.
С помощью МСКТ-АГ ТЭЛА была подтверждена в 36 (20,5%) случаях. Данную группу составляли 12 мужчин и 24 женщины в возрасте 60–69 лет (табл. 3).
Таблица 3. Распределение пациентов с COVID-19-ассоциированной пневмонией с подтверждённой ТЭЛА по возрасту и полу
Table 3. Distribution of patients with COVID-19-associated pneumonia and confirmed pulmonary embolism by age and sex
Пол пациентов | Количество полных лет | Всего | |||||||
20–29 | 30–39 | 40–49 | 50–59 | 60–69 | 70–79 | 80–89 | 90–99 | ||
Женщины | – | – | 2 | 3 | 7 | 8 | 3 | 1 | 24 |
Мужчины | – | – | – | 1 | 7 | 3 | 1 | – | 12 |
Всего | – | – | 2 | 4 | 14 | 11 | 4 | 1 | 36 |
Примечание. ТЭЛА — тромбоэмболия лёгочной артерии.
При изучении данных пациентов с подтверждённой ТЭЛА (36 человек) было установлено, что у 23 (63,8%) пациентов проксимальный тромбоэмбол располагался в сегментарных и субсегментарных ветвях, в 9 (25%) случаях — в долевых ветвях и в 2 (5,6%) случаях — в главных долевых артериях и лёгочном стволе.
Таким образом, ТЭЛА у пациентов с COVID-19-ассоциированной пневмонией имеет преимущественно периферическую локализацию, что совпадает с результатами исследования R.M. Kwee и соавт. [7].
Несмотря на преобладающую периферическую локализацию тромбоэмболов, в зависимости от численности поражения сегментарных и субсегментарных ветвей ТЭЛА может приобретать высокую степень перфузионного дефицита. Данные, приведённые в табл. 4, демонстрируют оценку степени перфузионного дефицита у пациентов с подтверждённой ТЭЛА, а наибольшее количество пациентов — 29 (80,5%) — имели лёгкую степень тяжести нарушения лёгочного кровообращения. Тяжёлая (III) и крайне тяжёлая (IV) степень перфузии лёгких наблюдалась в 11,2% случаев, а средняя (II) степень — в 8,3% (см. табл. 4).
Таблица 4. Распределение пациентов с ТЭЛА по степени нарушения перфузии лёгких
Table 4. Distribution of patients with pulmonary embolism by degree of pulmonary perfusion impairment
Степень нарушения перфузии лёгких | ТЭЛА | |
абс. | % | |
I | 29 | 80,5 |
II | 3 | 8,3 |
III | 2 | 5,6 |
IV | 2 | 5,6 |
Всего | 36 | 100 |
Примечание. ТЭЛА — тромбоэмболия лёгочной артерии.
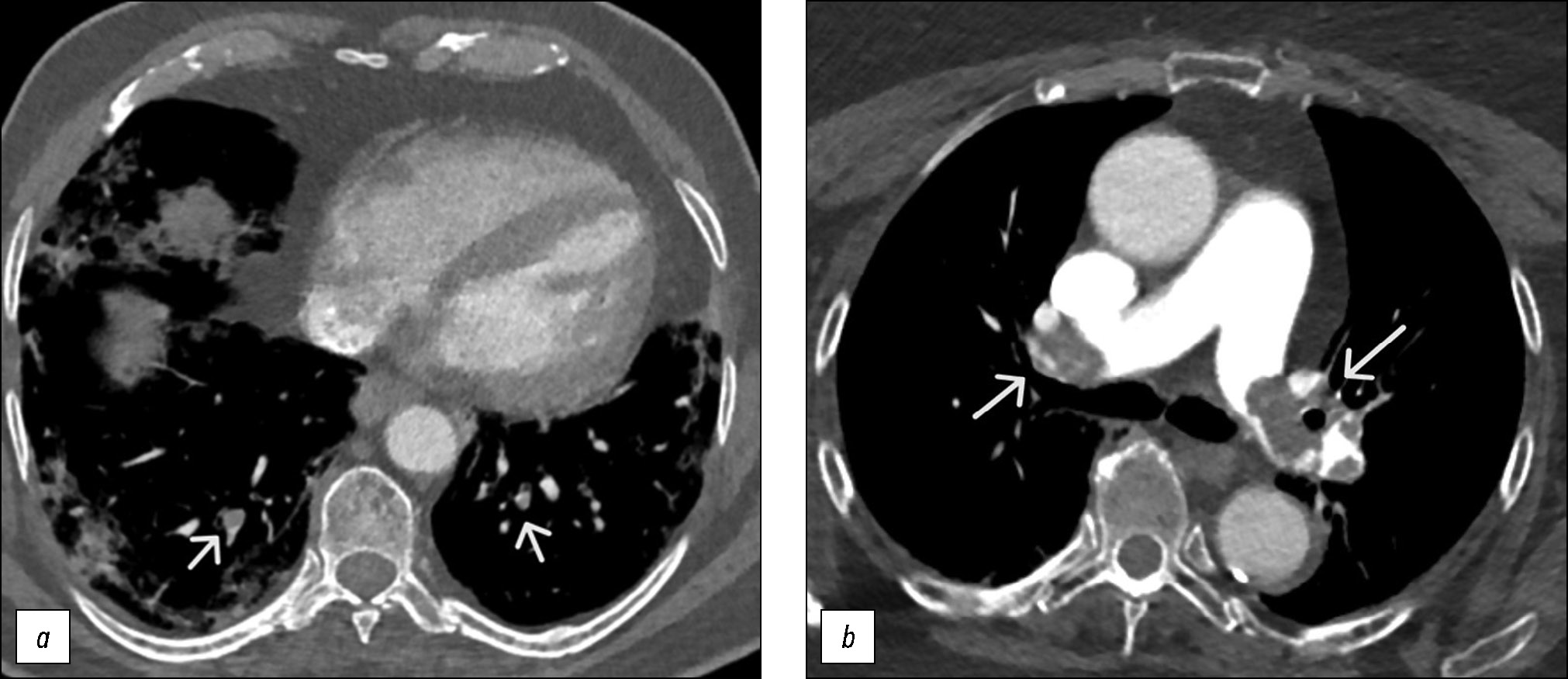
Клиническая картина пневмонии при положительном ПЦР-тесте на COVID-19 и результатах анализа D-димера >3000 нг/мл представлена на рис. 2. Отличительным критерием является наличие признаков тромбоза глубоких вен нижних конечностей (рис. 2, b) и их отсутствие (рис. 2, a) по данным УЗИ.
Рис. 2. Мультиспиральная компьютерная томография-ангиография при тромбоэмболии лёгочных артерий: a — тромбоз периферических ветвей лёгочных артерий (короткие стрелки), b — массивная тромбоэмболия главных лёгочных артерий (длинные стрелки).
Fig. 2. Multislice computed tomography angiography in pulmonary embolism: a, thrombosis of peripheral branches of the pulmonary arteries (short arrows); b, massive embolism of the main pulmonary arteries (long arrows).
При оценке зависимости частоты встречаемости ТЭЛА от степени тяжести COVID-19-ассоциированной пневмонии сравнивали случаи подтверждённой ТЭЛА и степень тяжести COVID-19-ассоциированной пневмонии у этих же пациентов, где КТ-0 означает пациента с пневмонией в стадии разрешения (табл. 5).
Таблица 5. Распределение пациентов с ТЭЛА по степени тяжести COVID-19-ассоциированной пневмонии
Table 5. Distribution of patients with pulmonary embolism by severity of COVID-19-associated pneumonia
Степень тяжести пневмонии | ТЭЛА | |
абс. | % | |
КТ-0 (норма) | 1 | 2,8 |
КТ-1 (минимальная) | 18 | 50 |
КТ-2 (средняя) | 6 | 16,7 |
КТ-3 (значительная) | 4 | 11,1 |
КТ-4 (критическая) | 7 | 19,4 |
Всего | 36 | 100 |
Примечание. ТЭЛА — тромбоэмболия лёгочной артерии.
Исходя из полученных данных, следует, что из 36 пациентов с ТЭЛА в половине случаев вирусная пневмония встречалась в минимальном объёме поражения лёгочной паренхимы — у 18 пациентов (50%); с критической степенью тяжести — у 7 пациентов (19,4%), средней степенью — у 6 пациентов (16,7%), значительной — у 4 пациентов (11,1%) и всего в одном случае (2,8%) — на фоне отсутствия поражения лёгочной ткани ввиду регресса воспалительной инфильтрации. Ряд авторов также наблюдали в своих исследованиях случаи ТЭЛА после купирования клинических и рентгенологических симптомов вирусной пневмонии COVID-19 [11, 12].
Однако представленные выше данные о преобладании минимального объёма поражения лёгочной ткани вирусной пневмонией у пациентов с ТЭЛА, вероятно, могут быть следствием превалирующих случаев КТ-1 степени тяжести COVID-19-ассоциированной пневмонии у всех исследуемых. Для определения силы влияния фактора мы произвели интервальную оценку с точным указанием значения p (табл. 6). Уровень значимости p <0,05, что соответствует уровню доверия 95%. Исходя из полученных результатов таблицы, где значение p во всех ячейках больше 0,05, мы принимаем нулевую гипотезу (H0), а именно отсутствие статистической значимости различий между показателями.
Таблица 6. Сравнение КТ-степени COVID-19-ассоциированной пневмонии у пациентов с подтверждённой и неподтверждённой ТЭЛА
Table 6. Comparison of computed tomography severity score of COVID-19-associated pneumonia in patients with and without confirmed pulmonary embolism
КТ-степень тяжести пневмонии | ТЭЛА не подтверждена (n=140) | ТЭЛА подтверждена (n=36) | Границы доверительного интервала | p | |||
абс. | % | абс. | % | Нижняя | Верхняя | ||
КТ-0 | 6 | 4,29 | 1 | 2,78 | -0,0482 | 0,0783 | 0,680 |
КТ-1 | 53 | 37,86 | 18 | 50,00 | -0,3035 | 0,0606 | 0,185 |
КТ-2 | 44 | 31,43 | 6 | 16,67 | 0,0036 | 0,2916 | 0,080 |
КТ-3 | 18 | 12,86 | 4 | 11,11 | -0,0992 | 0,1341 | 0,778 |
КТ-4 | 19 | 13,57 | 7 | 19,44 | -0,1999 | 0,0825 | 0,376 |
Примечание. ТЭЛА — тромбоэмболия лёгочной артерии.
Для определения взаимосвязи степени тяжести пневмонии у групп пациентов с подтверждённой и неподтверждённой ТЭЛА использовали коэффициент ранговой корреляции Спирмена при p <0,05. Коэффициент корреляции Спирмена (p) равен 0,9, рнабл <ркрит, зависимость признаков статистически незначима. Исходя из рис. 3, связь между исследуемыми признаками — прямая, сильная.
Рис. 3. Взаимосвязь степени тяжести пневмонии у групп пациентов с подтверждённой и неподтверждённой тромбоэмболией лёгочной артерии.
Fig. 3. Relationship between the severity of pneumonia in groups of patients with and without confirmed pulmonary embolism.
Дополнительные результаты исследования
Для оценки зависимости частоты встречаемости ТЭЛА от КТ-стадии COVID-19-ассоциированной пневмонии сравнили случаи подтверждённой ТЭЛА и КТ-стадию COVID-19-ассоциированной пневмонии у этих же пациентов.
По полученным данным, ТЭЛА чаще всего встречается на прогрессирующей (36,9%) и пиковой (36,1%) стадиях вирусной пневмонии. Подобным способом, как и при оценке зависимости частоты встречаемости ТЭЛА от степени тяжести COVID-19-ассоциированной пневмонии, уточнили силу влияния КТ-стадии вирусной пневмонии COVID-19 на группы пациентов с подтверждённой и неподтверждённой ТЭЛА — путём интервальной оценки с точным указанием значения p (табл. 7). Уровень значимости p <0,05, что соответствует уровню доверия 95%.
Таблица 7. Сравнение КТ-стадии COVID-19-ассоциированной пневмонии у пациентов с подтверждённой и неподтверждённой ТЭЛА
Table 7. Comparison of computed tomography stage of COVID-19-associated pneumonia in patients with and without confirmed pulmonary embolism
КТ-стадия пневмонии | ТЭЛА не подтверждена (n=140) | ТЭЛА подтверждена (n=36) | Границы доверительного интервала | p | |||
абс. | % | абс. | % | Нижняя | Верхняя | ||
Ранняя | 1 | 0,71 | 2 | 5,56 | -0,1245 | 0,0277 | 0,045 |
Прогрессирование | 55 | 39,29 | 12 | 33,33 | -0,1144 | 0,2334 | 0,512 |
Пиковая | 62 | 44,29 | 13 | 36,11 | -0,0954 | 0,2589 | 0,376 |
Неполное разрешение | 16 | 11,43 | 8 | 22,22 | -0,2536 | 0,0377 | 0,092 |
Разрешение | 6 | 4,29 | 1 | 2,78 | -0,0482 | 0,0783 | 0,680 |
Примечание. ТЭЛА — тромбоэмболия лёгочной артерии.
Анализируя данные, представленные в табл. 7, можно сделать вывод, что только при ранней стадии пневмонии p <0,05, но за счёт малой выборки данного признака и близкого значения p к 0,05 есть вероятность ошибочно отвергнутой Н0 гипотезы.
Для определения взаимосвязи стадии пневмонии у групп пациентов с подтверждённой и неподтверждённой ТЭЛА использовали коэффициент ранговой корреляции Спирмена при p >0,05. Коэффициент корреляции Спирмена (p) равен 0,9, рнабл <ркрит. Зависимость признаков статистически незначима. Исходя из рис. 4, связь между исследуемыми признаками — прямая, сильная.
Рис. 4. Взаимосвязь стадий пневмонии у групп пациентов с подтверждённой и неподтверждённой тромбоэмболией лёгочной артерии.
Fig. 4. Relationship between the stages of pneumonia in groups of patients with and without confirmed pulmonary embolism.
Нежелательные явления
Непосредственно нежелательных явлений, связанных с проведением МСКТ-АГ, выявлено не было.
ОБСУЖДЕНИЕ
Резюме основного результата исследования
Исследование показало, что мультиспиральная компьютерная томография с контрастным усилением является информативным методом диагностики тромбоэмболии лёгочных артерий у пациентов с COVID-19-ассоциированной пневмонией. У каждого пятого из 176 обследованных пациентов была выявлена ТЭЛА. При этом у большинства из них отмечалась лёгкая степень перфузионного дефицита и периферическая локализация тромбоэмболов (в 63,8% случаев — в сегментарных и субсегментарных ветвях лёгочных артерий). Статистически значимой зависимости между наличием ТЭЛА и степенью тяжести / стадией пневмонии не выявлено.
Обсуждение основного результата исследования
Основная цель исследования заключалась в оценке метода мультиспиральной компьютерной томографии с контрастным усилением для диагностики тромбоэмболии лёгочных артерий у пациентов с COVID-19-ассоциированной пневмонией, а также в изучении взаимосвязи частоты встречаемости ТЭЛА от степени и стадии пневмонии, вызванной SARS-CoV-2.
Анализ результатов позволяет сделать вывод о высокой диагностической ценности МСКТ-АГ в выявлении ТЭЛА у пациентов с COVID-19-ассоциированной пневмонией. Из 176 обследованных пациентов у каждого пятого (20,5%) была подтверждена ТЭЛА, что подчёркивает актуальность проблемы тромбоэмболических осложнений при COVID-19. При этом характерным для данной группы пациентов было преобладание лёгких форм перфузионного дефицита (80,5% случаев относились к I степени нарушения лёгочного кровообращения) и периферической локализации тромбоэмболов (63,8% — в сегментарных и субсегментарных ветвях лёгочных артерий).
Эти результаты согласуются с данными других исследований, например, работы H.J.A. Adams и T.C. Kwee, которые также отмечали преобладание периферической локализации тромбоэмболов у пациентов с COVID-19 и ТЭЛА, что подтверждает значимость полученных результатов и подчёркивает важность использования МСКТ-АГ для диагностики ТЭЛА при COVID-19.
Что касается взаимосвязи между степенью тяжести и стадией пневмонии и частотой встречаемости ТЭЛА, то статистически значимой зависимости выявлено не было. Несмотря на то, что половина пациентов с ТЭЛА имели минимальный объём поражения лёгочной паренхимы (степень тяжести пневмонии КТ-1), а ТЭЛА наиболее часто диагностировалась на прогрессирующей и пиковой стадиях пневмонии, расчёт коэффициента ранговой корреляции Спирмена и анализ доверительных интервалов показали отсутствие статистически значимой связи между этими параметрами.
Это важно в контексте ранее опубликованных данных, которые указывали на различные риски развития ТЭЛА в зависимости от степени тяжести пневмонии и других факторов. Настоящее исследование подчёркивает, что развитие ТЭЛА при COVID-19 не зависит напрямую от степени тяжести или стадии пневмонии, что может иметь значение для клинической практики и разработки стратегий профилактики и лечения. Дополнительно стоит отметить, что исследование выявило преобладание ТЭЛА у женщин в возрасте 70–79 лет, что может указывать на специфические группы риска, требующие более тщательного мониторинга и профилактики тромбоэмболических осложнений.
Таким образом, результаты исследования подтверждают эффективность МСКТ-АГ как метода диагностики ТЭЛА у пациентов с COVID-19-ассоциированной пневмонией и указывают на необходимость активного использования этого метода для своевременного выявления ТЭЛА вне зависимости от характеристик пневмонического процесса. Это имеет важное значение для улучшения исходов лечения пациентов с COVID-19 и снижения риска тромбоэмболических осложнений. Результаты показывают высокую диагностическую ценность МСКТ-АГ в выявлении ТЭЛА у пациентов с COVID-19-ассоциированной пневмонией. Возраст и пол пациентов могут влиять на результаты, как показано в исследовании (преобладание ТЭЛА у женщин в возрасте 70–79 лет). Также на результаты могут оказывать влияние состояние пациентов и наличие сопутствующих заболеваний.
Ограничения исследования
Основными ограничениями проведения МСКТ-АГ являются избыточный вес пациента (более 200 кг), его тяжёлое состояние, беременность, аллергические реакции на контрастные вещества, детский возраст и психологическое состояние пациента.
ЗАКЛЮЧЕНИЕ
В ходе проведённого исследования было установлено, что ТЭЛА чаще отмечалась у пациентов в стадиях прогрессирующей (36,9%) и пиковой (36,1%) вирусной пневмонии, у каждого пятого пациента с COVID-19-ассоциированной пневмонией по данным МСКТ-АГ диагностировали ТЭЛА, при этом чаще у женщин в возрасте 70–79 лет.
Пациенты с ТЭЛА при вирусной пневмонии COVID-19 имели преимущественно лёгкую степень перфузионного дефицита. В 63,8% случаев тромбоэмболы локализовались в периферических отделах лёгочных артерий.
Половина пациентов с ТЭЛА имели минимальный объём поражения лёгочной паренхимы за счёт превалирующих случаев КТ-1 степени тяжести COVID-19-ассоциированной пневмонии у всех исследуемых.
Зависимость КТ-стадии пневмонии у групп пациентов с подтверждённой и неподтверждённой ТЭЛА статистически незначима.
ДОПОЛНИТЕЛЬНАЯ ИНФОРМАЦИЯ
Вклад авторов. Калинина Е.П. — обзор литературы, написание текста, сбор и обработка материалов, статистическая обработка данных, подготовка рисунков и таблиц; Снимщикова И.А. — разработка концепции и дизайна исследования, редактирование, окончательное утверждение рукописи для публикации; Белова И.Б. — создание концепции и редактирование публикации; Коньшина А.В. — сопоставление с существующими исследованиями, участие в обсуждении полученных результатов, анализ, редактура статьи. Все авторы внесли существенный вклад в разработку концепции, проведение исследования и подготовку статьи, прочли и одобрили финальную версию перед публикацией.
Этическая экспертиза. Проведение ретроспективного исследования одобрено Локальным этическим комитетом ФГБОУ ВО «Орловский государственный университет имени И.С. Тургенева», г. Орёл, протокол № 1 от 14.10.2024 г. Исследование выполнено в соответствии с руководящими принципами Хельсинкской декларации и стандартами GCP.
Согласие на публикацию. Все участники настоящего исследования подписывали информированное согласие на обработку персональных данных и публикацию в научных статьях.
Источник финансирования. Работа выполнена в ОГУ имени И.С. Тургенева в рамках государственного задания № 075-00195-25-00 на 2025 год и на плановый период 2026 и 2027 годов, проект FSGN-2024-0014 (1024041900023-6-3.1.3;3.2.12;3.2.4).
Раскрытие интересов. Авторы заявляют об отсутствии отношений, деятельности и интересов (личных, профессиональных или финансовых), связанных с третьими лицами (коммерческими, некоммерческими, частными), интересы которых могут быть затронуты содержанием статьи, а также иных отношений, деятельности и интересов за последние три года, о которых необходимо сообщить.
Оригинальность. При создании настоящей работы авторы не использовали ранее опубликованные сведения (текст, данные).
Генеративный искусственный интеллект. При создании настоящей статьи технологии генеративного искусственного интеллекта не использовали.
Рассмотрение и рецензирование. Настоящая работа подана в журнал в инициативном порядке и рассмотрена по обычной процедуре. В рецензировании участвовали два внешних рецензента, член редакционной коллегии и научный редактор издания.
ADDITIONAL INFO
Author contributions: E.P. Kalinina: review, writing—original draft, data curation, formal analysis, visualization; I.A. Snimschikova: conceptualization, writing—review & editing, manuscript approval for publication; I.B. Belova: conceptualization, writing—review & editing; A.V. Konshina: validation, discussion of obtained results, formal analysis, writing—review & editing. All the authors made substantial contributions to the conceptualization, investigation, and manuscript preparation, and reviewed and approved the final version prior to publication.
Ethics approval: The retrospective study was approved by the Local Ethics Committee of Orel State University named after I.S. Turgenev, Orel, Russia, Protocol No. 1 dated October 14, 2024. The study was conducted in accordance with the principles of the Declaration of Helsinki and Good Clinical Practice guidelines.
Consent for publication: Written informed consent was obtained from all participants of this study for the processing and publication of personal data in scientific articles.
Funding sources: This study was conducted at Orel State University named after I.S. Turgenev as part of State Assignment No. 075-00195-25-00 for 2025 and the planned period of 2026–2027, project FSGN-2024-0014 (1024041900-023-6-3.1.3; 3.2.12; 3.2.4).
Disclosure of interests: The authors have no relationships, activities, or interests (personal, professional, or financial) related to for-profit, not-for-profit, or private third parties whose interests may be affected by the content of the article, as well as no other relationships, activities, or interests in the past three years to disclose.
Statement of originality: No previously published material (text, or data) was used in this article.
Generative AI: No generative artificial intelligence technologies were used to prepare this article.
Provenance and peer-review: This paper was submitted unsolicited and reviewed following the standard procedure. The peer review process involved two external reviewers, a member of the editorial board, and the in-house scientific editor.
1 https://www.who.int/ru/emergencies/diseases/novel-coronavirus-2019/technical-guidance/naming-the-coronavirus-disease-(covid-2019)-and-the-virus-that-causes-it
2 https://www.who.int/emergencies/diseases/novel-coronavirus-2019/situation-reports
3 https://rospotrebnadzor.ru/documents/details.php?ELEMENT_ID=30171
About the authors
Ekaterina P. Kalinina
Orel State University named after I.S. Turgenev; Emergency Medical Care Hospital named after N.A. Semashko
Email: med@oreluniver.ru
ORCID iD: 0009-0009-0437-7386
SPIN-code: 9559-4991
Russian Federation, Orel; Orel
Irina A. Snimshchikova
Orel State University named after I.S. Turgenev
Email: snimshikova@mail.ru
ORCID iD: 0000-0002-4258-963X
SPIN-code: 2728-3520
MD, Dr. Sci. (Medicine), Professor
Russian Federation, OrelIrina B. Belova
Orel State University named after I.S. Turgenev
Email: med@oreluniver.ru
ORCID iD: 0009-0000-3549-4643
SPIN-code: 4014-1902
Russian Federation, Orel
Anna V. Konshina
Priorov National Medical Research Center of Traumatology and Orthopedics
Author for correspondence.
Email: astro.cito@ya.ru
ORCID iD: 0009-0000-0353-0849
SPIN-code: 6755-1368
Cand. Sci. (Biology)
Russian Federation, MoscowReferences
- Panin MA, Petrosyan AS, Hadjiharalambus KH, Boiko AV. Osteonecrosis of the femoral head after COVID-19: a series of clinical observations. Traumatology and Orthopedics of Russia. 2022;28(1):110–117.
- Averkov OV. Venous thromboses and PE in hospitalized patients with COVID-19. Russian National Congress of Cardiologists. 2021.
- Piroth L, Cottenet J, Mariet AS, et al. Comparison of the characteristics, morbidity, and mortality of COVID-19 and seasonal influenza: a nationwide, population-based retrospective cohort study. Lancet Respir Med. 2021;9(3):251–259. doi: 10.1016/S2213-2600(20)30527-0
- Klok FA, Kruip MJHA, van der Meer NJM, et al. Incidence of thrombotic complications in critically ill ICU patients with COVID-19. Thromb Res. 2020;191:145–147. doi: 10.1016/j.thromres.2020.04.013
- Kononov SK, Solovyov OV. Features of the clinical picture and outcomes in patients with pulmonary embolism and previous COVID-19 infection. Russian National Congress of Cardiologists. 2021.
- Miro O, Jiménez C, Mebazaa A, et al. Pulmonary embolism in patients with COVID-19: incidence, risk factors, clinical characteristics, and outcome. Eur Heart J. 2021;42(33):3127–3142. doi: 10.1093/eurheartj/ehab314
- Kwee RM, Adams HJA, Kwee TC. Pulmonary embolism in patients with COVID-19 and value of D-dimer assessment: a meta-analysis. Eur Radiol. 2021;31(11):8168–8186. doi: 10.1007/s00330-021-08003-8
- Kanso M, Cardi T, Marzak H, et al. Delayed pulmonary embolism after COVID-19 pneumonia: a case report. Eur Heart J Case Rep. 2020; 4(6):1–4. doi: 10.1093/ejhcr/ytaa449
- Vechi HT, Maia LR, Alves MDM. Late acute pulmonary embolism after mild coronavirus disease 2019 (COVID-19): a case series. Rev Inst Med Trop Sao Paulo. 2020;62:e63. doi: 10.1590/S1678-9946202062063
- Qanadli SD, Hajjam ME, Vieillard-Baron A, et al. New CT index to quantify arterial obstruction in pulmonary embolism: comparison with angiographic index and echocardiography. AJR Am J Roentgenol. 2001;176(6):1415–20. doi: 10.2214/ajr.176.6.1761415
- COVID-19 coronavirus pandemic [Internet]. Available from: https://www.worldometers.info/coronavirus/#countries. Accessed: June 21, 2025.
- Suh Y, Hong H, Ohana M, et al. Pulmonary Embolism and Deep Vein Thrombosis in COVID-19: A Systematic Review and Meta-Analysis. Radiology. 2021;298(2):E70–E80. doi: 10.1148/radiol.2020203557
Supplementary files







