Dynamic ultrasonic research mediopatellary synovial folding knee joint
- Authors: Eskin N.A.1, Ochkurenko A.A.1, Kusova F.U.1, Kurpyakov A.P.2, Gorokhvodatsky A.1, Matveeva N.Y.1
-
Affiliations:
- N.N. Priorov National Medical Research Center of Traumatology and Orthopedics
- I.M. Sechenov First Moscow State Medical University (Sechenov University)
- Issue: Vol 28, No 3 (2021)
- Pages: 37-45
- Section: Original study articles
- Submitted: 06.10.2021
- Accepted: 02.11.2021
- Published: 15.09.2021
- URL: https://journals.eco-vector.com/0869-8678/article/view/82526
- DOI: https://doi.org/10.17816/vto82526
- ID: 82526
Cite item
Full Text
Abstract
BACKGROUND: One of the reasons for the formation of pain syndrome in the anterior part of the knee joint is a pathologically thickened mediopatellar synovial plica (MP). MP most often pathologically changes and as a result leads to changes in the nearby structures of the knee joint. However, there are difficulties in assessing the direct impact of MPSS on the articular cartilage of the patella and medial condyle of the femur, for this it is advisable to perform ultrasound examination using functional tests.
AIM: To study the effectiveness of ultrasound examination with the use of functional tests in the diagnosis of MP pathology, which are important in determining tactics and evaluating treatment results.
MATERIALS AND METHODS: The results of a comparative survey of 80 patients are presented. The first stage of the MRI was performed on patients, according to which the type of change in MP was evaluated. The second stage was ultrasound with the use of functional tests.
RESULTS: According to MRI data, type A was detected in 11, type B in 17, type C in 38 and type D in 14 patients. Ultrasound results showed that type A and B MP were not infringed in any case, and type C and D MP were infringed in 24 (63.2%) and 12 (85.7%) cases, respectively.
CONCLUSION: The study made it possible to determine not only the presence or absence of pathologically thickened MP, but also to assess the degree of its influence on nearby joint structures, such as thickness, the degree of vascularization of both the fold itself and the synovial membrane around it, the presence or absence of infringement during flexion and extension of the knee joint and SHELF syndrome, and therefore, the degree of its participation in the formation of pain syndrome.
Keywords
Full Text
Введение
Одной из причин формирования синдрома болей в переднем отделе коленного сустава является патологически утолщенная медиопателлярная синовиальная складка (МПСС). Совместно с инфрапателлярной, супрапателлярной и латеральной складками она формируется во время эмбриогенеза. Если мембраны не полностью распались, то их остатки классифицируются как синовиальные складки. МПСС считается рудиментом, который по ряду причин имеет клинические проявления [1–4]. МПСС чаще всего патологически изменяется (утолщается, повреждается) и вследствие этого приводит к изменениям близлежащих структур коленного сустава [5–8]. В зависимости от различных причин возникает воспаление, гипертрофия, что становится причиной ущемления МПСС и болевого синдрома у пациентов [9–11].
При наличии жалоб у пациента на боли и щелчки в переднемедиальном отделе коленного сустава проводится дифференциальная диагностика между патологией внутреннего мениска, внутренней боковой связки, медиального удерживателя надколенника, поднадколенникового жирового тела и МПСС [12]. Сбор анамнеза, клинический осмотр пациента, рентгенография коленного сустава в 3-х проекциях (для исключения пателлофеморальной дисплазии), магнитно-резонансная томография (МРТ) информативны, но, к сожалению, не позволяют полноценно судить о вовлеченности МПСС в патологический процесс. Если болевой синдром и щелчки возникают только при определенном движении или положении сустава, информации, полученной перечисленными методами, будет недостаточно для постановки диагноза. Методом выбора в таком случае является ультразвуковое исследование (УЗИ), оно позволяет оценить конгруэнтность и хондромаляцию суставных поверхностей, толщину суставного хряща в доступных для исследования областях, анатомическую форму, целостность и структуру менисков, внешних связок (внутренняя боковая связка, наружная боковая связка, собственная связка надколенника), наличие воспалительных изменений капсулы сустава и поднадколенникового жирового тела, МПСС [13]. Современные аппараты для УЗИ не имеют лучевой нагрузки, стоимость исследования невысока и имеется возможность динамического контроля, поэтому метод удобен для применения врачами травматологами-ортопедами на амбулаторном приеме.
Однако, несмотря на все преимущества УЗИ, существуют сложности в оценке прямого воздействия МПСС на суставной хрящ надколенника и медиального мыщелка бедренной кости [14, 15], для этого целесообразно выполнять УЗИ с применением функциональных проб.
Цель исследования — изучить эффективность УЗИ с применением функциональных проб в диагностике патологии МПСС, которые имеют важное значение в определении тактики и оценке результатов лечения.
Материалы и методы
Обследовано 80 пациентов с болями в переднем отделе сустава, в том числе 46 мужчин (57,5%), 34 женщины (42,5%). Средний возраст пациентов — 23,9 лет (18–25 лет). Во время динамического УЗИ у всех пациентов оценивалось состояние 2 суставов для сопоставления клинической картины. Оценка происходила по следующим критериям: тип складки; наличие SHELF-синдрома, ущемления складки в пателлофеморальном сочленении, васкуляризации складки и синовита коленного сустава.
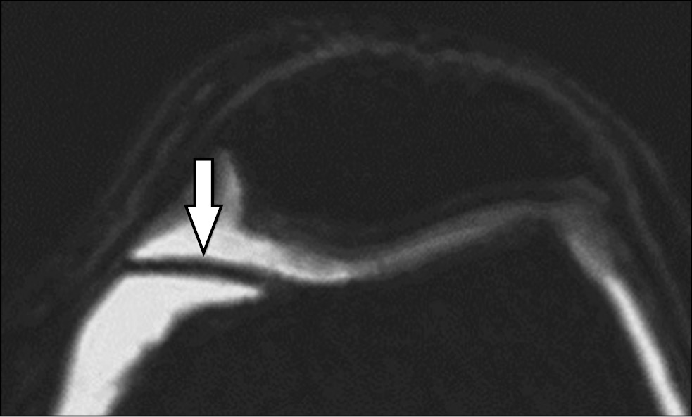
Всем пациентам перед назначением УЗИ было выполнено МРТ коленного сустава на аппарате Ingenia 1.5 Т (Philips, Нидерланды) (рис. 1). МПСС выглядит как полоса низкой интенсивности как на Т1, так и на Т2 взвешенных изображениях, расположенной перед медиальным мыщелком бедренной кости. Она находится непосредственно за жировой складкой треугольной формы. Медиопателлярная пластинка имеет низкую интенсивность сигнала на взвешенных изображениях T1 и T2, ее можно оптимально визуализировать с помощью взвешенных изображений T2 в аксиальной и сагиттальной плоскостях, взвешенные изображения T2 могут быть выполнены с подавлением жира или без него. У всех пациентов проведена оценка типа складки в соответствии с классификацией J. Sakakibara [16].
Рис. 1. Полученная с помощью магнитно-резонансной томографии картина медиопателлярной синовиальной складки
Fig. 1. A picture of the mediopatellar synovial fold obtained using magnetic resonance imaging
Тип А (n=11 пациентов) — складка представлена линейным жгутообразным утолщением синовиальной стенки по медиальной поверхности капсулы сустава.
Тип B (n=17 пациентов) — складка представлена удлиненным линейным тяжем с неровными контурами, но не достигает медиального мыщелка бедренной кости.
Тип С (n=38 пациентов) — складка удлинена, утолщена, с неровными бахромчатыми контурами, распространяется на область медиального мыщелка бедренной кости.
Тип D (n=14 пациентов) — складка распространяется на область медиального мыщелка бедренной кости утолщена, неровная, имеет центральный дефект (фенестрированная складка).
Всем пациентам было выполнено УЗИ коленного сустава с применением функциональных проб. Обследование с использованием линейного преобразователя 12 МГц с аппертурой 38 мм (система JU 22; Philips Medical Systems) проводил врач, который не участвовал в консервативном лечении и последующей операции. Перед УЗИ врач знакомился с результатами МРТ.
Критерий включения в исследование: видимое «ущемление» патологически утолщенной МПСС в пателлфеморальном сочленении. Критерии исключения: любые сочетанные повреждения, включая патологию менисков, повреждения боковых и крестообразных связок, повреждения суставного хряща опорных поверхностей коленного сустава, а также МПСС типа А и В.
Этическая экспертиза. Протокол исследования был одобрен локальным этическим комитетом по биологической и медицинской этике ФГБУ «ЦИТО им. Приорова» Минздрава России (№ 3 от 26.10.2017).
Результаты
Существует два способа ультразвуковой диагностики.
Первый способ описан в работе Ł. Paczesny, J. Kruczyński (2009) [17]. Сначала проведено стандартное сонографическое исследование сустава в соответствии с методикой N. Grobbelaar, J.A. Bouffard (2000) [18]. Во время стандартного сонографического исследования жидкость в верхнем углублении была идентифицирована с помощью баллотировки датчика [19]. Затем проведен динамический тест МПСС. Исследуемого располагали лежа на спине, с полностью вытянутой нижней конечностью в коленном суставе и расслабленной четырехглавой мышцей. Датчик размещали в поперечном положении над переднемедиальной частью коленного сустава (рис. 2), что позволяло визуализировать медиальную границу надколенника, надколенниковый хрящ и выпуклую часть медиального мыщелка бедренной кости.
Рис. 2. Расположение конечности и датчика при сонографии медиопателлярной синовиальной складки, а также проведение динамического теста
Fig. 2. Location of the limb and transducer during sonography of the mediopatellar synovial fold, as well as the dynamic test
МПСС берет начало на медиальной стенке полости коленного сустава, идет косо вниз к инфрапателлярной жировой подушке. МПСС в норме тонкая, розовая и эластичная (рис. 3). Может быть связана с супрапателлярной складкой. Выявляемость МПСС колеблется от 18,5 до 72,0%. Классификация МПСС: а) отсутствует, б) рудиментарная, в) полная, г) парная, д) фенестрированная, е) высокая. Причинами патологического изменения МПСС могут быть непрямая травма, прямой удар или хроническая травматизация в процессе спортивной деятельности (в том числе с явлениями синовита). Показатель заболеваемости МПСС составляет от 3,25 до 11% случаев.
Рис. 3. Иллюстрация и схема расположения медиопателлярной синовиальной складки коленного сустава
Fig. 3. Illustration and layout of the mediopatellar synovial fold of the knee joint
Хроническая травматизация и воспаление вызывали фиброз МПСС, которая теряла свою эластичность и становилась толстой и неэластичной. В результате движений складка ущемлялась между надколенником и мыщелком бедренной кости. При этом наблюдалась односторонняя (двусторонняя) хондромаляция суставных поверхностей пателлофеморального сустава.
Правильность размещения ультразвукового датчика корректировали для достижения визуализации плоскостных сонографических ориентиров с помощью рентгенографического снимка (рис. 4). Эти положения ультразвукового трансдьюсера позволяли визуализировать медиальную границу надколенника, надколенниковый хрящ и выпуклую границу медиального мыщелка бедренной кости, а также МПСС. После определения правильного расположения первым пальцем левой руки смещали надколенник в медиальную сторону сустава во время динамической сонографии (см. рис. 1). Правильное расположение трансдьюсера определялось с помощью трех плоскостных сонографических ориентиров: выпуклая, округлая передняя поверхность медиальной части бедренной кости; медиальная граница надколенника, покрытая гипоэхогенным эхом хряща; МПСС.
Рис. 4. Рентгенограмма коленного сустава. Позиции ультразвукового датчика при проведении исследования: 1 — датчик расположен неправильно, более проксимально; 2 — датчик расположен в правильной позиции; 3 — датчик расположен неправильно, более дистально
Fig. 4. X-ray of the knee joint. Positions of the ultrasonic transducer during the study: 1 — the transducer is located incorrectly, more proximally; 2 — the sensor is in the correct position; 3 — the sensor is located incorrectly, more distally
После правильного расположения датчика, проводилась статическая оценка тканей вокруг медиальной границы надколенника (рис. 5). В этой проекции (рис. 5б) наличие МПСС определялось как непрерывная полосо-образная эхоструктура, расположенная непосредственно на передней поверхности медиального мыщелка бедренной кости. Его необходимо было отличать от другой анатомической структуры в этой области, а именно крыловидной складки, которая представляла собой синовиальную складку, появлявшуюся при расслабленном состоянии коленного сустава [21]. Эхосигнал крыловидной складки имел треугольную форму и визуализировался как структура повышенной эхогенности по сравнению с эхогенностью складки и локализовался непосредственно под медиальной поддерживающей связки надколенника.
Рис. 5. Сонограммы коленного сустава: a — сонограмма при расположении датчика в рентгенологическом положении 1, более проксимально; b — сонограмма при расположении датчика в рентгенологическом положении 2, правильно; c — сонограмма при расположении датчика в рентгенологическом положении 3, более дистально. Стрелками обозначена медиопателлярная синовиальная складка
Fig. 5. Knee joint sonograms: a — sonogram when the sensor is located in the X-ray position 1, more proximally; b — sonogram when the sensor is located in the X-ray position 2, correct; c — sonogram when the sensor is located in X-ray position 3, more distally. Arrows indicate the mediopatellar synovial fold
Если ультразвуковой датчик располагался слишком проксимально, то определялось ультразвуковое изображение медиальной головки четырехглавой мышцы над медиальным мыщелком бедренной кости (рис. 5а). Если датчик располагался слишком дистально по отношению медиальному мыщелку бедренной кости, его изображение становилось вогнутым, неправильным с невозможностью визуализации расположения надколенника (рис. 5в).
После статической ультразвуковой визуализации МПСС проводился динамический тест (рис. 6). Надколенник смещали пальцем в медиальном направлении, чтобы добиться медиального смещения примерно на 1–2 см. Затем прекращали смещение, и надколенник резко возвращался в свое нормальное положение. Давление, оказываемое на датчик для оценки боли или дискомфорта при движении надколенника, использовалось такое же, как при обычном сонографическом исследовании.
Рис. 6. Сонограммы до (а) и после (b) проведения динамического теста. Стрелками обозначена медиопателлярная синовиальная складка
Fig. 6. Sonograms before (a) and after (b) the dynamic test. Arrows indicate the mediopatellar synovial fold
При проведении динамического теста оценивались следующие критерии:
1) наличие непрерывной эхогенной складки, смещающейся по медиальному мыщелку бедренной кости во время медиального и латерального перемещения надколенника. Это подтверждало наличие МПСС, но не определяло ее патологическое состояние (рис. 6а);
2) ущемление эхогенной складки под надколенником во время медиального движения надколенника. Это позволяло выявить контакт МПСС с надколенником, так называемый внутренний импинджмент-синдром, вызванный ущемлением МПСС [20] (рис. 6б);
3) боль или дискомфорт, возникающие при динамической сонографии.
Результаты теста считались положительными, если во время динамического УЗИ отмечены все три критерия. Если эхоизображение МПСС не было обнаружено сонографически (пропущен критерий 1) или если МПСС заканчивалась над медиальным мыщелком бедренной кости и не соприкасалась с гиалиновым хрящом надколенника во время движения надколенника, то результат динамического теста расценивался как отрицательный. Если ручные манипуляции во время теста не вызывали боли или дискомфорта (пропущен критерий 3), результаты также расценивались как отрицательные.
Второй способ. Пациент располагался на кушетке, лежа на спине, колено согнуто до 60° (рис. 7а).
В данном положении находили МПСС, проводили ее морфологическую оценку (эхоструктура, форма, нарушение анатомической непрерывности, наличие дефектов и т. д.), оценивали наличие и/или отсутствие жидкостного образования, при возможности проводили замеры складки и ее взаимоотношение с надколенником и медиальным мыщелком бедренной кости.
Затем проводили динамический тест, который заключался в разгибании и сгибании коленного сустава, и оценивали местонахождение МПСС и ее взаимоотношение с медиальным отделом надколенника и мыщелка бедренной кости (рис. 7б).
Рис. 7. Положение датчика и конечности при исследовании медиопателлярной синовиальной складки (а) и проведении динамического теста (b)
Fig. 7. Position of the transducer and limb in the study of the mediopatellar synovial fold (a) and the dynamic test (b)
Критерии оценки МПСС соответствовали критериям, описанным при первом способе диагностики.
На УЗИ невозможно было отличить патологически утолщенную МПСС типа А от типа В и патологически утолщенную МПСС типа С от типа D, но так как на первом этапе всем пациентам выполнено МРТ, был известен тип складки каждого пациента. Проведение динамических проб при УЗИ показало, что из 80 обследованных пациентов в 44 (55,0%) случаях ущемления патологически утолщенной МПСС не выявлено, а в 36 (45,0%) случаях складка ущемлялась (таблица). У всех пациентов с патологически утолщенной МПСС типа А (n=11) и В (n=17), а также у 14 пациентов с типом С и у 2 — с типом D складка не ущемлялась. У них выявлена другая патология коленного сустава, они получили соответствующее консервативное лечение. У 24 пациентов с МПСС типа С и у 12 — с типом D выявлено ущемление патологически утолщенной МПСС между надколенником и медиальным мыщелком бедренной кости, что составило 30,0 и 15% от общего числа пациентов соответственно. Однако из 38 пациентов с патологически утолщенной МПСС типа С ущемление выявлено в 24 (63,2%) случаях, а с патологически утолщенной МПСС типа D из 14 пациентов ущемление выявлено в 12 (85,7%) случаях.
Таблица. Результаты проведения динамических проб при ультразвуковом исследовании медиопателлярной синовиальной складки
Table. The results of dynamic tests during ultrasound examination of the mediopatellar synovial fold
Тип складки | Случаи | Доля, % |
А — без ущемления | 11 | 13,8 |
Б — без ущемления | 17 | 21,2 |
C — без ущемления | 14 | 17,5 |
C — с ущемлением | 24 | 30,0 |
D — без ущемления | 2 | 2,5 |
D — c ущемлением | 12 | 15,0 |
Всего | 80 | 100,0 |
Кроме того, динамическое УЗИ позволяло дифференцировать ущемление в пателлофеморальном сочленении МПСС с ущемлением поврежденной части поднадколеникового жирового тела.
Еще одно преимущество УЗИ — возможность динамического контроля эффективности проведенного лечения МПС.
Выводы
УЗИ позволило определить не только наличие или отсутствие патологически утолщенную МПСС, ее ущемление при движении коленного сустава, но и оценить степень влияния патологически утолщенной МПСС на близлежащие структуры сустава (толщина, степень васкуляризации как самой складки, так и синовиальной оболочки вокруг нее, наличие или отсутствие ущемления при сгибании и разгибании коленного сустава и наличии SHELF-синдрома), а, следовательно, степень ее участия в формировании болевого синдрома.
Доказано, что МПСС типа А и В не ущемлялась между медиальным мыщелком бедренной кости и надколенником, поэтому эти пациенты в оперативном лечении не нуждались. В этих случаях достаточно проведения консервативного лечения в зависимости от выявленной патологии помимо МПСС.
УЗИ с применением функциональных проб при синдроме патологически утолщенной МПСС типа С и D позволило оценить целесообразность назначения консервативной терапии и необходимость проведения оперативного метода лечения.
Доказано, что более 66% патологически утолщенной МПСС типа С и практически все патологически утолщенные МПСС типа D ущемлялись, поэтому в этих случаях целесообразно выполнять оперативное вмешательство.
Результаты проведенного исследования с применением динамических проб позволили модифицировать протокол диагностики и лечения патологически утолщенной МПСС с включением в него четкого критерия возможности использования консервативной терапии или проведения оперативного вмешательства.
Дополнительная информация / Additional info
Вклад авторов. Все авторы подтверждают соответствие своего авторства международным критериям ICMJE (все авторы внесли существенный вклад в разработку концепции, проведение исследования и подготовку статьи, прочли и одобрили финальную версию перед публикацией).
Author contribution. Thereby, all authors made a substantial contribution to the conception of the work, acquisition, analysis, interpretation of data for the work, drafting and revising the work, final approval of the version to be published and agree to be accountable for all aspects of the work.
Источник финансирования. Не указан.
Funding source. Not specified.
Конфликт интересов. Авторы декларируют отсутствие явных и потенциальных конфликтов интересов, связанных с публикацией настоящей статьи.
Competing interests. The authors declare that they have no competing interests.
About the authors
Nikolay A. Eskin
N.N. Priorov National Medical Research Center of Traumatology and Orthopedics
Email: cito-uchsovet@mail.ru
ORCID iD: 0000-0003-4738-7348
SPIN-code: 1215-9279
MD, PhD, Dr. Sci. (Med.), professor, head of the department of ultrasound diagnostics
Russian Federation, MoscowAlexander A. Ochkurenko
N.N. Priorov National Medical Research Center of Traumatology and Orthopedics
Email: cito-omo@mail.ru
ORCID iD: 0000-0002-1078-9725
SPIN-code: 8324-2383
MD, PhD, Dr. Sci. (Med.), professor, traumatologist-orthopedist
Russian Federation, MoscowFatima U. Kusova
N.N. Priorov National Medical Research Center of Traumatology and Orthopedics
Email: kusova_cito@mail.ru
MD, PhD, Cand. Sci. (Med.), ultrasound diagnostics doctor
Russian Federation, MoscowAnton P. Kurpyakov
I.M. Sechenov First Moscow State Medical University (Sechenov University)
Email: Avodatskiy@mail.ru
SPIN-code: 3398-7972
MD, PhD, Cand. Sci. (Med.), traumatologist-orthopedist
Russian Federation, MoscowAlexandr Gorokhvodatsky
N.N. Priorov National Medical Research Center of Traumatology and Orthopedics
Author for correspondence.
Email: Avodatskiy@mail.ru
ORCID iD: 0000-0002-5855-1214
SPIN-code: 8033-8688
MD, traumatologist-orthopedist
Russian Federation, MoscowNatalya Yu. Matveeva
N.N. Priorov National Medical Research Center of Traumatology and Orthopedics
Email: nymatveeva@gmail.com
MD, PhD, Cand. Sci. (Med.), ultrasound diagnostics doctor
Russian Federation, MoscowReferences
- Ogata S, Uhthoff HK. The development of synovial plicae in human knee joints: an embryologic study. Arthroscopy. 1990;6(4):315–321. doi: 10.1016/0749-8063(90)90063-j
- Pipkin G. Knee injuries: the role of the suprapatellar plica and suprapatellar bursa in simulating internal derangements. Clin Orthop Relat Res. 1971;74:161–176.
- Anderson H. Histochemical studies on the histogenesis of the knee and superior tibio fibular joints. Acta Anat (Basel). 1961;46:279–303. doi: 10.1159/000141791
- Calpur OU, Copuroglu C, Ozcan M. United unresorbed medial and lateral plicae as anterior mesenchymal synovial septal remnant. Knee Surg Sports Traumatol Arthrosc. 2002;10(6):378–380. doi: 10.1007/s00167-002-0297-8
- Broukhim B, Fox JM, Blazina ME, et al. The synovial shelf syndrome. Clin Orthop Relat Res. 1979;(142):135–138.
- Jackson RW, Marshall DJ, Fujisawa Y. The pathological medial shelf. Orthop Clin North Am. 1982;13(2):307–312.
- Mital MA, Hayden J. Pain in the knee in children: the medial plica shelf syndrome. Orthop Clin North Am. 1979;10(3):713–722.
- Moller H. Incarcerating mediopatellar synovial plica syndrome. Acta Orthop Scand. 1981;52(3):357–361. doi: 10.3109/17453678109050115
- Schindler OS. ‘The Sneaky Plica’ revisited: morphology, pathophysiology and treatment of synovial plicae of the knee. Knee Surg Sports Traumatol Arthrosc. 2014;22(2):247–262. doi: 10.1007/s00167-013-2368-4
- Yuan HF, Guo CA, Yan ZQ. Mediopatellar plica as a risk factor for knee osteoarthritis. Chin Med J (Engl). 2015;128(2):277–278. doi: 10.4103/0366-6999.149237
- Wang HS, Kuo PY, Yang CC, Lyu SR. Matrix metalloprotease-3 expression in the medial plica and pannus-like tissue in knees from patients with medial compartment osteoarthritis. Histopathology. 2011;58(4):593–600. doi: 10.1111/j.1365-2559.2011.03783.x
- Dupont JY. Synovial plicae of the knee. Controversies and review. Clin Sports Med. 1997;16(1):87–122. doi: 10.1016/s0278-5919(05)70009-0
- ultrasound.net.ua [Internet]. Abstracts of the V Congress of UAFUD 2016 [cited 2021 Sep 30]. Ponomarenko SA, Abdullaev RYa, Sysun LA, Kalashnikov VI. Ul’trazvukovaya diagnostika patologii sinovial’nykh skladok kolennykh sustavov; [about 1 screen]. Available from: http://ultrasound.net.ua/materiali/materialii-konferencii-ta-zjizdiv/v-kongres-uafud-2016/tezi-v-kongresu-uafud/ultrazvukovaja-diagnostika-patologii-sinovialnykh-skladok-kolennykh-sustavov/
- Lee YH, Song HT, Kim S, et al. Infrapatellar plica of the knee: revisited with MR arthrographies undertaken in the knee flexion position mimicking operative arthroscopic posture. Eur J Radiol. 2012;81(10):2783–2787. doi: 10.1016/j.ejrad.2011.12.028
- Weckstrom M, Niva MH, Lamminen A, et al. Arthroscopic resection of medial plica of the knee in young adults. Knee. 2010;17(2):103–107. doi: 10.1016/j.knee.2009.07.010
- Sakakibara J. Arthroscopic study on lino’s band (plica synovialis mediopatellaris). J Jpn Orthop Assoc. 1976;50:513–522.
- Paczesny L, Kruczynski J. Medial plica syndrome of the knee: diagnosis with dynamic sonograph radiology. Radiology. 2009;251(2):439–446. doi: 10.1148/radiol.2512081652
- Grobbelaar N, Bouffard JA. Sonography of the knee, a pictorial review. Semin Ultrasound CT MR. 2000;21(3):231–274. doi: 10.1016/s0887-2171(00)90045-3
- Karim Z, Wakefield RJ, Quinn M, et al. Validation and reproducibility of ultrasonography in the detection of synovitis in the knee: a comparison with arthroscopy and clinical examination. Arthritis Rheum. 2004;50(2):387–394. doi: 10.1002/art.20054
- Munzinger U, Ruckstuhl J, Scherrer H, Gschwend N. Internal derangement of the knee joint due to pathologic synovial folds: the mediopatellar plica syndrome. Clin Orthop Relat Res. 1981;(155):59–64.
- Guney A, Bilal O, Oner M, et al. Short- and mid-term results of plica excision in patients with mediopatellar plica and associated cartilage degeneration. Knee Surg Sports Traumatol Arthrosc. 2010;18(11):1526–1531. doi: 10.1007/s00167-010-1125-1
Supplementary files









