Проблемы при фиксации застарелых повреждений переднего отдела тазового кольца
- Авторы: Лазарев А.Ф.1, Солод Э.И.1, Гудушаури Я.Г.1, Какабадзе М.Г.1, Роскидайло А.С.1, Калинин Е.И.1, Коновалов В.В.1, Марычев И.Н.1
-
Учреждения:
- Национальный медицинский исследовательский центр травматологии и ортопедии им. Н.Н. Приорова
- Выпуск: Том 28, № 3 (2021)
- Страницы: 5-12
- Раздел: Оригинальные исследования
- Статья получена: 01.12.2021
- Статья одобрена: 02.12.2021
- Статья опубликована: 15.09.2021
- URL: https://journals.eco-vector.com/0869-8678/article/view/89514
- DOI: https://doi.org/10.17816/vto89514
- ID: 89514
Цитировать
Аннотация
Актуальность. Актуальной проблемой является хирургическое лечение сочленений таза, в особенности лонного сочленения. При стабилизации в случае застарелых травм таза стандартными методами, применяемыми при лечении пациентов при острых повреждениях таза, выявляются случаи усталостных переломов пластин, миграций металлоконструкции и необходимости повторных оперативных вмешательств. В связи с этим для фиксации повреждений переднего отдела таза при застарелых повреждениях необходимо применение иных, особенных тактических подходов к фиксации переломов костей и разрывов сочленений, разработка адаптированных для таких случаев металлоконструкций.
Цель. Изучение особенностей фиксации при застарелых повреждениях таза и анализ результатов при различных способах фиксации переднего отдела тазового кольца в случаях давних травм.
Материалы и методы. Под нашим наблюдением в первом отделении ФГБУ НМИЦ ТО им. Н.Н Приорова МЗ РФ с 2000 по 2015 год находились 117 пациентов, которым проведено хирургическое лечение с использованием стандартных реконструктивных пластин при застарелых повреждениях переднего отдела таза, применяемых при оперативном лечении острых травм тазового кольца.
Выводы. В 1-й группе, состоящей из 65 пациентов, которым производилась фиксация переднего полукольца реконструктивными пластинами, имплантированными стандартным способом как при острой травме, у 12 пациентов (10,2%) выявлена миграция или перелом металлоконструкций в срок от 2 до 6 мес с момента оперативного вмешательства.
Во 2-й группе 52 пациентам была проведена фиксация переднего полукольца таза двумя пластинами, расположенными на лонных костях взаимоперпендикулярно по отношению друг к другу стандартным методом. Дестабилизация металлоконструкций выявлена у 7 пациентов (13,4%) при рентгенологическом контроле в сроки от 2 нед. до 2 мес после проведенной операции.
Заключение. Стандартный подход к фиксации таких повреждений, как при острых травмах таза (до 3 нед. с момента травмы), не создает условий для стабильной фиксации. В первом случае следует отметить, что после перелома пластины диастаз между лонными костями увеличился практически до того же уровня, что и на момент поступления. Отсюда можно сделать вывод, что фиброзно-рубцовый процесс, сформировавшийся в травматических очагах, создает ригидную деформацию, и при восстановлении анатомической целостности тазового кольца с применением накостного остеосинтеза пластина при застарелых повреждениях испытывает более значительные нагрузки, чем при острой травме, и вызывает усталостный перелом металлоконструкций.
Ключевые слова
Полный текст
Введение
В травматологии в настоящее время актуален вопрос лечения повреждений тазового кольца. Среди травм опорно-двигательного аппарата повреждения тазового кольца составляют от 4 до 8% случаев в структуре травматизма. Повреждения тазового кольца — одни из тяжелейших повреждений опорно-двигательного аппарата. При политравме количество повреждений тазового кольца возрастает до 25%, при травмах в результате ДТП, повреждения таза составляют до 60% случаев [1–3, 6–8, 10]. Зачастую пациенты при таких повреждениях находятся в тяжелом, критическом состоянии, что не позволяет выполнить окончательный остеосинтез повреждений тазового кольца в острый период, и допускается только применение ургентных методов для стабилизации тазового кольца [1, 2, 9, 10]. При экстренной фиксации таза часто не удается провести анатомическое восстановление травматических очагов тазового кольца. Длительное восстановление и стабилизация витальных функций пациента приводит к переходу из острой фазы травмы тазового кольца в застарелую, ригидную форму повреждения [6–8].
До сих пор дискуссионной остается проблема о необходимости оперативного лечения переднего отдела таза и выборе метода фиксации таких повреждений. На основе проведенных исследований выявлено, что 60% стабильности тазового кольца обеспечивается за счет задних отделов и всего 10% приходится на переднее полукольцо таза. Следует учесть, что целостность переднего отдела таза обеспечивает 40% стабильности тазового кольца. [1, 4–7]. Наибольшее количество переломов при травмах тазового кольца приходится на ветви лобковых костей и разрывы лобкового симфиза, его доля составляет около 70% случаев при травме таза.
Отдельную проблему представляет собой хирургическое лечение сочленений таза, в особенности лонного сочленения. При стабилизации в случае застарелых травм таза стандартными методами [11], применяемыми при лечении пациентов при острых повреждениях таза, выявляются случаи усталостных переломов пластин, миграций металлоконструкции и необходимости повторных оперативных вмешательств. Для фиксации повреждений переднего отдела таза при застарелых повреждениях требуется применение иных, особенных тактических подходов к фиксации переломов костей и разрывов сочленений, разработка адаптированных для таких случаев металлоконструкций.
Цель работы — изучение особенностей фиксации при застарелых повреждениях таза и анализ результатов при различных способах фиксации переднего отдела тазового кольца в застарелых случаях.
Материалы и методы
Под нашим наблюдением в первом отделении ФГБУ НМИЦ ТО им. Н.Н Приорова МЗ РФ с 2000 по 2015 год находилось 117 пациентов, которым было проведено хирургическое лечение с использованием стандартных реконструктивных пластин при застарелых повреждениях переднего отдела таза, применяемых при оперативном лечении острых травм тазового кольца.
Среди наблюдаемых пациентов большинство — лица трудоспособного возраста 20–59 лет (n=101), в сравнении с лицами старшего возраста (n=12) и более молодого (n=4). Преобладали мужчины — 70 пациентов, женщин — 47. По характеру травмы преобладали травмы, полученные в результате ДТП, — 65 пациентов, при сдавлении объектами — 18, кататравма — 15, иные причины — 19.
У наблюдаемых больных преимущественно жалобы на боли в переднем отделе тазового кольца, усиливающихся при физической нагрузке, на нарушения походки. Пациенты обращались по прошествии от 4 нед. до 3 лет после получения травмы тазового кольца, после консервативного или аппаратного лечения.
Больные тщательно обследовались, проводились беседы с пациентами, включавшие подробный сбор анамнеза, рентгенологическое мультипроекционное исследование, компьютерно-томографическое исследование тазового кольца.
Выбором метода стабилизации тазового кольца у 65 пациентов применены реконструктивные пластины Ассоциации остеосинтеза (АО) и тазовые пластины АО, фиксация проводилась стандартным методом, используемым при острых травмах таза. У 52 пациентов применялась фиксация переднего отдела таза двумя реконструктивными пластинами АО, одна из которых укладывалась стандартно по верхнему краю лонных костей, вторая по передней поверхности лонных костей перпендикулярно по отношению к первой пластине.
Послеоперационное ведение у прооперированных пациентов не имело различий и включало антибактериальную, противовоспалительную, антикоагулянтную терапию, активизация пациентов проводилась на 2-е сутки после операции, пациентам рекомендовалась ходьба с дополнительной опорой на костыли в течение 2 мес с момента оперативного вмешательства, периодические амбулаторные осмотры пациентов и рентген-контроль каждые 2 мес.
Оценка полученных результатов оперативного лечения в обеих группах проводилась по шкале Majeed [12].
Этический комитет: протокол ЛЭК ФГБУ «НМИЦ ТО им. Н. Н. Приорова» Минздрава России № 3 от 22.09.2020.
Результаты
В 1-й группе, состоящей из 65 пациентов, которым производилась фиксация переднего полукольца реконструктивными пластинами, имплантированными стандартным способом как при острой травме, у 12 пациентов (10,2%) выявлена миграция или перелом металлоконструкций в срок от 2 до 6 мес с момента оперативного вмешательства.
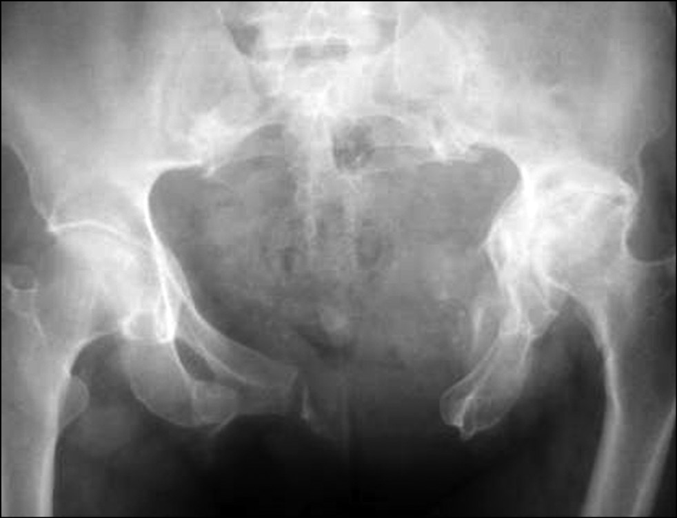
Клинический пример № 1. Пациент, 52 года, травма в результате дорожно-транспортного происшествия 1 год 1 мес назад. По месту травмы проводилось консервативное лечение со скелетным вытяжением за бугристость правой большеберцовой кости в течение 1 мес. Пациент поступил в первое отделение ФГБУ НМИЦ ТО им. Н.Н Приорова спустя год после травмы с диагнозом: «Застарелый разрыв лонного сочленения. Неправильно срастающийся перелом правой вертлужной впадины. Асептический некроз головки правой бедренной кости. Застарелый вывих головки правой бедренной кости. Разрыв правого и левого крестцово-подвздошного со-членения» (рис. 1).
Рис. 1. Пациент, 52 года. Рентген через 1 год после травмы: а — прямая проекция, b — краниальная проекция
Fig. 1. Patient, 58 years old. X-rays 1 year after injury: a — frontal, b — out-let
После обследования и подготовки пациента, принято решение о проведении металлодеза переднего полукольца таза реконструктивной пластиной (рис. 2).
Рис. 2. Рентгенограмма после операции
Fig. 2. X-rays after surgery
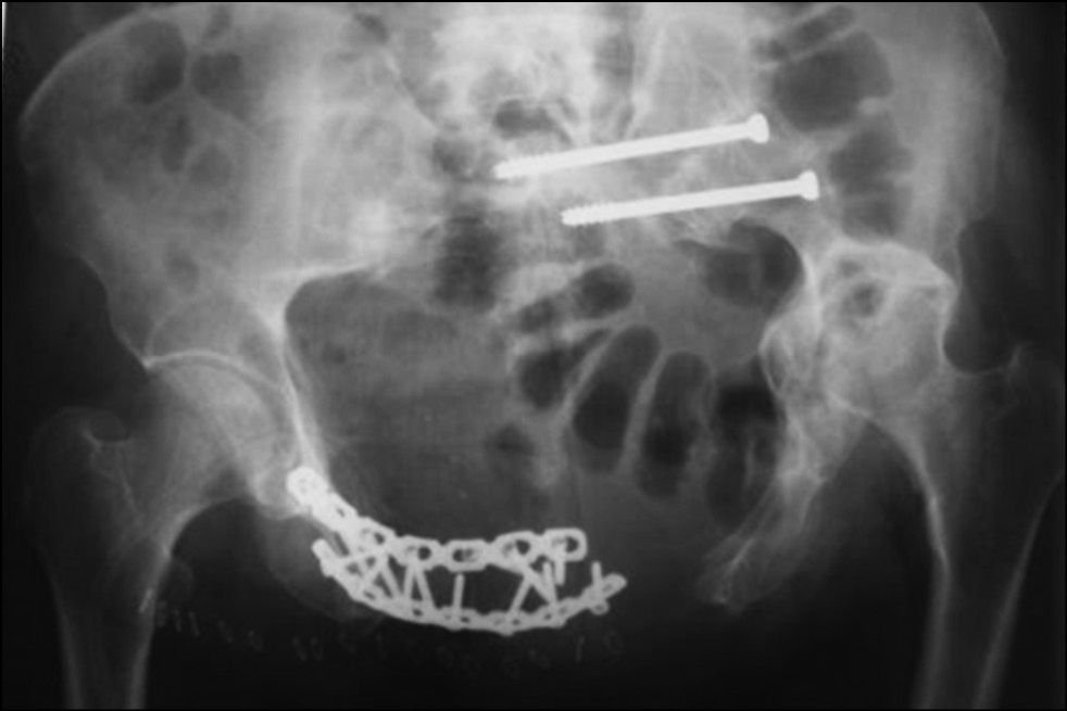
Через 34 дня пациент обратился на консультацию с жалобой на боли в переднем отделе таза. На рентгенограмме была выявлена дестабилизация металлоконструкции (рис. 3).
Рис. 3. Через 34 дня после операции
Fig. 3. 34 days after surgery
Во 2-й группе 52 пациентам проводилась фиксация переднего полукольца таза двумя пластинами, расположенными на лонных костях взаимоперпендикулярно по отношению друг к другу стандартным методом. Дестабилизация металлоконструкций выявлена у 7 пациентов (13,4%) при рентгенологическом контроле в сроки от 2 нед. до 2 мес после проведенной операции.
Клинический пример № 2. Пациентка, 53 года, поступила через 4 нед. после кататравмы с диагнозом: «Последствия тяжелой сочетанной травмы. Застарелый разрыв лобкового симфиза и крестцово-подвздошных сочленений с обеих сторон. Застарелый перелом левой лонной и седалищной костей, левой вертлужной впадины. Вертикальное смещение левой половины таза» (рис. 4).
Рис. 4. Обзорная рентгенография таза
Fig. 4. Plain radiography of the pelvis
Пациентке проведена компьютерная томография таза (рис. 5).
Рис. 5. Компьютерная томография таза
Fig. 5. Computed tomography of the pelvis
Нами было принято решение провести двухэтапное оперативное лечение. На первом этапе была выполнена мобилизация левого крестцово-подвздошного сочленения с наложением скелетного вытяжения за бугристость левой большеберцовой кости сроком на 14 дней (рис. 6).
Рис. 6. Рентгенограмма после мобилизации левого крестцово-подвздошного сочленения
Fig. 6. X-ray after the mobilization of the left sacroiliac joint
После низведения левой половины таза на втором этапе нами выполнен металлодез переднего полукольца таза двумя реконструктивными пластинами и произведена фиксация левого крестцово-подвздошного сочленения двумя канюлированными винтами (рис. 7, 8).
Рис. 7. Обзорная рентгенография таза после операции
Fig. 7. Plain radiography of the pelvis after surgery
Рис. 8. Каудальная рентгенография таза. Проекция in-let
Fig. 8. Caudal radiography of the pelvis. In-let projection
Несмотря на то, что была произведена стабилизация переднего полукольца таза двумя пластинами и фиксация заднего отдела тазового кольца, когда через 14 сут после хирургического лечения пациентка начала двигательную активность, была выявлена дестабилизация металлоконструкции (рис. 9).
Рис. 9. Обзорная рентгенография таза. Дестабилизация металлоконструкций
Fig. 9. Plain radiography of the pelvis. Destabilization of metal structures
При статистическом анализе отдаленных результатов хирургического лечения в исследуемых группах нами выявлено: в 1-я группе, со стабилизацией с применением одной пластины, средний балл при оценке по шкале Majeed составил 67±0,5, что соответствует удовлетворительным результатам лечения; во 2-й группе, с выполненной стабилизацией двумя пластинами, средний балл составил 74±1,1, что можно расценить как хорошие результаты (таблица).
Таблица. Оценка результатов лечения с использованием шкалы Majeed
Table. Evaluation of treatment results using the Majeed scale
Результат оперативного лечения | 1-я группа | 2-я группа | ||
одна пластина | две пластины | |||
абс. | доля, % | абс. | доля, % | |
Отличный | 8 | 12,3 | 16 | 38,8 |
Хороший | 14 | 21,5 | 23 | 44,2 |
Удовлетворительный | 31 | 47,7 | 6 | 11,5 |
Плохой | 12 | 18,5 | 7 | 13,5 |
Итого | 65 | 100,0 | 52 | 100,0 |
– в том числе дестабилизация | 12 | 10,2 | 7 | 13,4 |
Обсуждение
Анализ результатов, полученных в ходе исследования, дает нам основание считать, что при хирургической стабилизации застарелых повреждений переднего полукольца таза применение стандартных подходов не всегда эффективно, необходим поиск особенного, отличного от стандартных методик лечения острых повреждений, адаптированный подход к выбору метода и средств хирургической стабилизации при застарелых повреждениях. По прошествии времени при отсутствии, по различным причинам, соответствующего лечения переломов и разрывов сочленений тазового кольца образуются рубцово-фиброзные спайки тазового кольца, которые редко обеспечивают стабильность таза как единой системы, что приводит к ригидной посттравматической деформации тазового кольца.
Учитывая случаи дестабилизации металлоконструкций в исследуемых группах (в 1-й — 10,2% и 2-й — 13,4%), а также анализ полученных отдаленных результатов, есть основания полагать, что применение стандартных подходов при стабилизации переднего полукольца таза малоэффективны в случаях застарелых повреждений тазового кольца.
Использование методов фиксации, применяемых при острых травмах (до 3 нед. с момента травмы), в случае застарелых повреждений не позволяет достичь необходимых условий для стабильной фиксации. В первом клиническом примере отмечено, что при дестабилизации металлоконструкции диастаз между лобковыми костями вернулся к тому же уровню, что и при поступлении. Исходя из этого, мы приходим к выводу, что фиброзно-рубцовый процесс, сформированный в травматических очагах имеет стойкую, ригидную структуру, и при достижении анатомической репозиции таза с применением стандартного способа накостного остеосинтеза пластина испытывает более сильные механические нагрузки, чем в случае свежего повреждения, и происходит усталостный перелом металлоконструкции.
Во втором клиническом случае причиной дестабилизации металлоконструкции мы предполагаем, что из-за того, что использование двух пластин вынуждает фиксировать их большим количеством винтов непосредственно в верхних ветвях лобковой кости, это обуславливает снижение количества костной массы и становится причиной снижения прочности самой кости. Обе пластины и каждая пластина в отдельности несут разнонаправленные нагрузки, которые испытывает лобковый симфиз, что приводит к нестабильности металлоконструкции.
Учитывая данные факторы дестабилизации металлоконструкций, возникла необходимость разработки новых металлоконструкций, биомеханически адаптированных для стабилизации переднего отдела тазового кольца в случаях застарелых травм.
Выводы
- При оперативном лечении застарелых повреждений переднего отдела таза требуется новый особенный подход, отличающийся от лечения схожих переломов и разрывов сочленений при свежих травмах.
- При застарелых повреждениях переднего полукольца таза, в связи с ригидностью таза за счет фиброзно-рубцового процесса, действуют более значительные силы на разрыв, дестабилизируюшие стандартные металлоконструкции, что обуславливает необходимость поиска новых фиксаторов, способных противостоять действующим на разрыв силам.
- Застарелые повреждения переднего полукольца таза зачастую сопровождают повреждения задних отделов таза, которые также требуют проведения фиксации.
Дополнительная информация / Additional info
Вклад авторов. Все авторы подтверждают соответствие своего авторства международным критериям ICMJE (все авторы внесли существенный вклад в разработку концепции, проведение исследования и подготовку статьи, прочли и одобрили финальную версию перед публикацией).
Author contribution. Thereby, all authors made a substantial contribution to the conception of the work, acquisition, analysis, interpretation of data for the work, drafting and revising the work, final approval of the version to be published and agree to be accountable for all aspects of the work.
Источник финансирования. Работа выполнена в рамках государственного задания «Оперативное лечение застарелых разрывов лонного симфиза и их осложнений с использованием кастомизированных имплантов» № 121052600266-3.
Funding source. The work was done within the framework of the state assignment “Surgical treatment of chronic ruptures of the pubic symphysis and their complications using customized implants” No. 121052600266-3.
Конфликт интересов. Авторы декларируют отсутствие явных и потенциальных конфликтов интересов, связанных с публикацией настоящей статьи.
Competing interests. The authors declare that they have no competing interests.
Информированное согласие на публикацию. Авторы получили письменное согласие законных представителей пациента на публикацию медицинских данных и фотографий.
Consent for publication. Written consent was obtained from the patient for publication of relevant medical information and all of accompanying images within the manuscript.
Об авторах
Анатолий Федорович Лазарев
Национальный медицинский исследовательский центр травматологии и ортопедии им. Н.Н. Приорова
Email: lazarev.anatoly@gmail.com
д-р мед. наук, профессор, врач – травматолог-ортопед
Россия, 127299, Москва, ул. Приорова 10Эдуард Иванович Солод
Национальный медицинский исследовательский центр травматологии и ортопедии им. Н.Н. Приорова
Email: doctorsolod@mail.ru
д-р мед. наук, профессор, врач – травматолог-ортопед
Россия, 127299, Москва, ул. Приорова 10Яго Гогиевич Гудушаури
Национальный медицинский исследовательский центр травматологии и ортопедии им. Н.Н. Приорова
Email: gogich71@mail.ru
д-р мед. наук, врач – травматолог-ортопед
Россия, 127299, Москва, ул. Приорова 10Малхаз Гурамович Какабадзе
Национальный медицинский исследовательский центр травматологии и ортопедии им. Н.Н. Приорова
Email: malkhaz@mail.ru
канд. мед. наук, врач – травматолог-ортопед
Россия, 127299, Москва, ул. Приорова 10Александр Сергеевич Роскидайло
Национальный медицинский исследовательский центр травматологии и ортопедии им. Н.Н. Приорова
Email: al-sergeevich@mail.ru
канд. мед. наук, врач – травматолог-ортопед
Россия, 127299, Москва, ул. Приорова 10Евгений Игоревич Калинин
Национальный медицинский исследовательский центр травматологии и ортопедии им. Н.Н. Приорова
Автор, ответственный за переписку.
Email: Kalinin_evgeny@mail.ru
ORCID iD: 0000-0003-2766-5670
врач – травматолог-ортопед, аспирант
Россия, 127299, Москва, ул. Приорова 10Вячеслав Валерьевич Коновалов
Национальный медицинский исследовательский центр травматологии и ортопедии им. Н.Н. Приорова
Email: slava2801@yandex.ru
ORCID iD: 0000-0002-8954-9192
ординатор
Россия, 127299, Москва, ул. Приорова 10Иван Николаевич Марычев
Национальный медицинский исследовательский центр травматологии и ортопедии им. Н.Н. Приорова
Email: dr.ivan.marychev@mail.ru
ORCID iD: 0000-0002-5268-4972
ординатор
Россия, 127299, Москва, ул. Приорова 10Список литературы
- Ruedi T.P., Buckley R.E., Morgan C.G. AO principles of fracture management. 2nd ed. Switzerland: AO Publishing, 2007. P. 696–717.
- Simon R.R., Sherman S.C., Koenigsknecht S.J. Emergency orthopedics: the extremities. New York: McGraw-Hill, 2007. P. 361–391.
- Tile M. Acute pelvic fractures: I. Causation and classification // J Am Acad Orthop Surg. 1996. Vol. 4, N 3. P. 143–151. doi: 10.5435/00124635-199605000-00004
- Дятлов М.М. Сложные повреждения таза. Что делать? Руководство для врачей и студентов. Гомель: Гомельский государственный медицинский университет, 2006. 496 с.
- Tornetta P., Matta J.M. Internal fixation of unstable pelvic ring injuries // Orthop Trans. 1994. Vol. 18, N 4. P. 727–733.
- Лазарев А.Ф., Гудушаури Я.Г., Костив Е.П., и др. Клинические аспекты осложнений повреждений таза // Тихоокеанский медицинский журнал. 2017. № 1. C. 17–23. doi: 10.17238/PmJ1609-1175.2017.1.17-23
- Стэльмах К.К. Лечение нестабильных повреждений таза // Травматология и ортопедия России. 2005. № 4. С. 31–38.
- Шлыков И.Л. Варианты хирургической техники в зависимости от вида деформации таза // Пермский медицинский журнал. 2009. Т. 26, № 6. C. 50–53.
- Иванов П.А., Заднепровский Н.Н. Эффективность различных компоновок стержневых аппаратов внешней фиксации таза у пациентов с политравмой на реанимационном этапе // Вестник травматологии и ортопедии им Н.Н. Приорова. 2014. Т. 21, № 1. C. 12–18. doi: 10.17816/vto20140112-18
- Ушаков С.А., Лукин С.Ю., Никольский А.В. Лечение вертикально нестабильных повреждений тазового кольца у пострадавших с осложненной травмой таза // Вестник травматологии и ортопедии им Н.Н. Приорова. 2014. Т. 21, № 1. C. 26–31. doi: 10.17816/vto20140126-31
- Донченко С.В., Дубров В.Э., Голубятников А.В., и др. Способы окончательной фиксации тазового кольца, основанные на расчетах конечноэлементной модели // Вестник травматологии и ортопедии им Н.Н. Приорова. 2014. Т. 21, № 1. C. 38–44. doi: 10.17816/vto20140138-44
- Majeed S.A. Grading the outcome of pelvic fractures // J Bone Joint Surg. 1989. Vol. 71, N 2. P. 304–306. doi: 10.1302/0301-620X.71B2.2925751
Дополнительные файлы











