Treatment of horizontal dissection of the knee menisci with platelet-rich plasma (PRP). Literature review and analysis of own data
- Authors: Lisitsyn M.P.1, Atlukhanov R.Y.2, Zaremuk A.M.1, Lisitsyna E.M.3
-
Affiliations:
- A.I. Evdokimov Moscow State University of Medicine and Dentistry
- Hospital of the Tsentrosoyuz of the Russian Federation
- Guta Clinic
- Issue: Vol 28, No 3 (2021)
- Pages: 21-36
- Section: Original study articles
- Submitted: 02.12.2021
- Accepted: 14.12.2021
- Published: 15.09.2021
- URL: https://journals.eco-vector.com/0869-8678/article/view/89566
- DOI: https://doi.org/10.17816/vto89566
- ID: 89566
Cite item
Abstract
BACKGROUND: Treatment of damage to the inner layer of the meniscus of the knee joint that does not extend to the articular surface remains an open question. Subsequently, these injuries can cause a complete rupture of the meniscus that already requires surgical treatment. Existing methods of treatment at this stage of meniscus injury have not shown their effectiveness.
AIM: Study the effect of platelet-rich plasma (PRP) on meniscus regeneration.
MATERIALS AND METHODS: The analysis of the 15 patients treatment results with the PRP method, which effectively stimulates regenerative processes, was carried out. The effectiveness of the method was assessed using the following evaluation scales: visual analog scale (VAS), Lequesne scale, WOMAC index (Western Ontario and McMaster Universities Osteoarthritis Index), Lysholm scale, KSS scale (Knee Society Score) and magnetic resonance imaging (MRI).
RESULTS: According to the results of MRI performed after 6 months, there was no progression of meniscus damage after PRP therapy by all parameters.
CONCLUSION: The study showed an improvement in all rating scales. In addition, according to MRI data, after 6 months there was no progression of the degenerative process in the menisci. The presented method can be the first step in the treatment of this pathology.
Full Text
BACKGROUND
Even in the early 20th century, the removal of a damaged meniscus was believed to be the only appropriate treatment. Cases and further studies have revealed that such treatment results in the earlier development of knee joint osteoarthritis. All this drives the need to search for new methods of treatment for this pathology [1, 2]. Over time, a technique was proposed for the partial resection of the damaged meniscus instead of total meniscectomy [3]. In the 1980s, several discoveries indicated the importance of the meniscus in the stabilizing and shock-absorbing functions of the knee joint [4, 5]. In 1989, attempts were made to transplant the meniscus [6]. Currently, we note a tendency toward the maximum preservation of the meniscus [7–9], even if the meniscus was previously considered a rudimentary structure that does not have a useful function in the body [10]. However, it is not always possible to save the meniscus. Complex and chronic injuries most often do not make it possible to restore the anatomical and functional structure of the meniscus. Problems also arise from the inability to prevent the progression of osteoarthritis [11, 12]. Damaged menisci are not prone to self-healing given the peculiarities of the blood supply and structural organization [13–15].
Meniscus lesions are the most common intra-articular knee injury and the most common causes of interventions performed by orthopedic surgeons [16, 17]. The average annual incidence of meniscus lesions is 66 cases per 100,000 populations, including 61 cases that subsequently lead to meniscectomy [18, 19]. Men are at a higher risk for meniscal injuries than women. The incidence ratio in men and women ranges from 2.5:1 to 4:1, and the overall incidence reaches its peak at age 20–29 years for both genders [18–23]. Meniscus lesions are the most common in the right knee joint [18]. Etiological and pathophysiological factors are different and depend strongly on the patient’s age [17, 24]. The combination of these problems creates the basis for the search for new methods of treatment that could prevent the inevitable development of osteoarthritis.
The word “meniscus” comes from the Greek “meniskos” and is translated as “crescent” [15]. The menisci acquire their shape at weeks 8–10 of gestation, formed from the mesenchymal tissue surrounding the joint [25, 26]. Fetal menisci have a cellular structure and a pronounced vascular pattern over the entire surface [27]. As the fetus develops, there is a gradual increase in collagen fibers in the menisci, accompanied by a decrease in the number of cellular structures [27, 28]. At this stage of fetal development, joint movements form the main orientation of collagen fibers in the meniscus. By age 9–10 years, only 10%–30% of the meniscus surface has a vascular network, and at a more mature age, only 10%–25% of the meniscus surface on the periphery has vessels and nerve endings [27]. A mature meniscus of an adult has three zones, namely, red (internal), rich in vascular network; white (peripheral), depleted in blood vessels; and intermediate. The regenerative capacity should be directly related to the blood circulation in this area, whereas the white area remains susceptible to permanent post-traumatic and degenerative damage [29]. During this period, the areas of the medial and lateral menisci account for 51%–74% and 75%–93%, respectively, of the area of the corresponding tibial plateau [27].
The knee joint menisci are paired, and as the name implies, they are crescent-shaped (Fig. 1) and located between the tibial plateau and femoral condyles. The meniscus is represented by fibrous cartilage. The shape of the menisci fits perfectly between the concave surface of the femoral condyles and tibial plateau, which has a flatter surface [30]. The medial and lateral menisci have different sizes, as the lateral menisci are 32.4–35.7 mm long and 26.6–29.3 mm wide, whereas the medial menisci are 40.5–45.5 long and 27 mm wide [31, 32]. Although both menisci are wedge- and crescent-shaped, the lateral menisci have various sizes, shapes, thicknesses, and degrees of mobility than the medial ones [27, 33].
Fig. 1. Knee joint structure: 1 — anterior cruciate ligament; 2 — posterior cruciate ligament; 3 — articular cartilage; 4 — internal lateral ligament; 5 — external lateral ligament; 6 — medial meniscus; 7 — lateral meniscus; 8 — tibia; 9 — fibula; 10 — femur; 11 — patella.
The main stabilizing ligaments of the menisci (Fig. 2) are the medial collateral ligament, transverse ligament, meniscofemoral ligaments, and ligaments fixed to the anterior and posterior horns [34]. The posterior horns of the menisci are tightly attached to the subchondral bone of the tibial plateau [35, 36]. This ligamentous apparatus transmits the transverse and tensile load from the soft tissues to the bone and reduces the contact area between the articular surfaces [35]. The most common site of attachment of the anterior horn of the medial meniscus is the intercondylar region of the tibial plateau [37]. The posterior horn of the medial meniscus is attached to the tibial plateau in front of the attachment site of the posterior cruciate ligament [38, 39]. The medial meniscus body is in close contact with the joint capsule [40]. The anterior horn of the lateral meniscus is attached to the tibial plateau in front of the intercondylar eminence, immediately posterior and lateral to the anterior cruciate ligament. The posterior horn attaches to the tibia between the insertions of the anterior cruciate ligament and the posterior horn of the medial meniscus [38]. In addition, there is a zone of contact with the popliteal muscle [41]. The posterior edges of the menisci are in direct contact with the joint capsule, while their outer surfaces remain free and loose [40]. The meniscofemoral ligaments, also known as the Humphrey and Wriesberg ligaments, connect the posterior horn of the lateral meniscus to the insertion of the posterior cruciate ligament on the medial condyle of the femur. Only 46% of people have both of these ligaments; however, 100% of the population has at least one of them [34].
Fig. 2. Knee meniscus ligaments: 1 — posterior cruciate ligament; 2 — tribal collateral ligament; 3 — medial meniscus; 4 — anterior cruciate ligament; 5 — patellar ligament; 6 — transverse ligament of knee; 7 — posterior meniscofemoral ligament; 8 — tribiofibular joint, superior tribiofibular joint; 9 — fibular collateral ligament; 10 — head of fibula; 11 — lateral meniscus.
The structural aspects of menisci represent a very important part of the study of their reparative capabilities (Fig. 3). The meniscus consists of a dense extracellular matrix that consists mainly of water (72%), collagen (22%), and cell inclusions [42]. Other components are glycosaminoglycans (17%), DNA (2%), adhesion glycoproteins (<1%), and elastin (<1%) [13, 43]. Proportions may vary depending on age, injury, or pathological condition [43]. Collagen makes up approximately 75% of the total mass of the meniscus and has the main framework function [44]. Collagen type I predominates in the red zone (approximately 80%), whereas other types of collagen (II, III, IV, VI, and XVIII) account for <1% of the total mass. In the white zone, collagen makes up 70% of the tissues by dry weight, of which 60% is type II collagen and 40% is type I collagen [45].
Fig. 3. The histological structure of the meniscus: a — meniscus view from above (1 — white zone; 2 — red zone; 3 — border (red-white) zone; b — meniscus view in cross section (1 — vessels; 2 — parallel oriented fibers; 3 — radially oriented fibers; 4 — surface layer cells; 5 — chondrocyte-like cells; 6 — fibroblast-like cells.
Type I collagen fibers have a different orientation depending on the meniscus zone. Closer to the red zone, they are parallel to the meniscus surface, whereas at the periphery, they are oriented perpendicularly. Parallel-oriented fibers and radial-directed fibers, intertwining with each other in different layers of the meniscus, form a “framework” that ensures its structural integrity [15, 29, 46–52]. This weave structure is ideal for bearing vertical and horizontal loads [53–55].
In addition to collagen, elastin is a structural component of the meniscus. The combination of mature and immature elastin fibers is found in very low concentrations (<0.6%) in the adult meniscus. The exact biochemical and functional significance of elastin in the meniscus remains to be determined [30, 44, 56, 57].
Proteoglycans is the main component of the matrix [58]. These molecules include protein, glycosaminoglycans (chondroitin-6-sulfate, 60%), dermatan sulfate (20%–30%), chondroitin-4-sulfate (10%–20%), and keratin sulfate (15%) [43]. Aggrecan is the main large proteoglycan of the meniscus, whereas biglycan and decorin are the main small proteoglycans [59]. They are mainly involved in the water absorption ability of the meniscus, which enables it to retain its shape when compressed [59, 60]. Adhesion glycoproteins are also essential components of the meniscus matrix, as they serve as a cement-like link between the matrix components and cells. The main adhesive glycoproteins in the human meniscus are fibronectin, thrombospondin, and collagen VI [61, 62].
There is no single classification of meniscus cells [63]. In the white zone of the menisci, the cells are rounded and behave similarly to fibrochondrocytes or chondrocyte-like cells [64]. The red zone cells are oval or spindle-shaped and are classified as fibroblasts [64]. In the superficial zone of the meniscus, a population of flattened and spindle-shaped cells without cellular inclusions was found. Although the exact function of these cells is unknown, they could be specific progenitor cells with regenerative capacity [65].
The blood supply to the meniscus is rather poor. It receives its main nutrition from the popliteal artery system. Branches extend from the perimeniscal plexus to the region of the posterior and anterior horns of the menisci [66].
The peripheral edge of the lateral meniscus (10%–25% of the area) and 10%–30% of the peripheral edge of the medial meniscus can be considered a completely avascular zone. This information is important for understanding the regeneration process [29, 67, 68]. Vessels from the meniscus ligaments also provide nutrition to the meniscus but penetrate deep into the meniscus substance for a short distance [67]. The rest of the meniscus is nourished by synovial fluid [69].
The recurrent nerve of the common peroneal nerve is the main branch of menisci innervation. They follow the entire path with the vascular bundle, and most of them are located in the outer third of the meniscus, closer to the joint capsule [70, 71]. Mechanoreceptors accumulated in the posterior horns of the menisci. These are the Golgi bodies, Ruffini, and Paccini corpuscles [72], which have an important function in joint deformity, changes in pressure, and tension, and are responsible for neuromuscular inhibition, respectively [73]. In the outer 2/3 of the menisci and horns, free nerve endings, nociceptors, which are mainly responsible for pain sensitivity, can be detected to a lesser extent [73–79].
The structure, morphology, and biochemical composition of the menisci provide a number of important functions in the knee joint. Main biomechanical functions include load transfer [1, 48, 80–84], shock absorption [50, 55, 84–86], stability [87–91], nutrition [92, 93], joint lubrication [93–96], and proprioception [35, 73, 74, 78, 97–100]. The menisci create joint congruence, reduce contact stress, and create a large contact surface for articular surfaces [80, 101].
Platelet-rich plasma (PRP) has the ability to regenerate tissues, which has been proven in several experimental studies. However, it is unknown whether percutaneous PRP injections are effective for internal meniscal lesions, without extension to the articular surfaces. Thus, our study aimed to analyze the effect of PRP on the ability to influence the regeneration of the menisci.
The issues of treatment of meniscal injury without access to the articular surfaces (Stoller degrees I–II) of the menisci remain controversial. Internal damage to the meniscus can lead to a decrease in sports activity and further rupture of the meniscus [19, 102], which further impairs the normal state of the cartilaginous tissue of the joint [103]. Conservative methods often give poor results [104], and surgical treatment is excluded because of the absence of a complete rupture [105]. Therefore, the search for new methods of treatment is a priority.
In this case, the rationale for using the PRP injection method is its physiological characteristics. Platelet alpha granules contain and release numerous growth factors, namely, hepatocyte growth factor (HGF), vascular endothelial growth factor, platelet-derived growth factor, transforming growth factor β, basic fibroblast growth factor, and IGF-1 [106, 107].
Osteoplastic processes are regulated by bone morphogenetic proteins that induce the differentiation of bone progenitor cells into osteoblasts [108]. The main types of bone morphogenetic proteins (BMP2, BMP3, BMP7, and BMP8a) involved in the regulation of fracture union are described by Even et al. [109]. Under their action, anabolism prevails over catabolism, which is reflected in higher rates of the synthesis of type II collagen and prostaglandin [60, 110]. An increase in chondrocyte proliferation and matrix production has also been documented [111–114]. The increased secretion of hyaluronic acid affects synoviocytes [66], thereby creating the most favorable and balanced condition for high-quality angio- genesis [116].
IGF-1 in PRP can suppress programmed cell death [117]. Lower apoptosis rates have been found in in vivo studies by Mifune et al. [118]. They suggested that PRP preparations could have a positive effect on chondrocyte apoptosis.
In osteoarthritis, reducing pain by suppressing inflammation is the leading indicator of growth factor activity in PRP. The main effect is most likely to be exerted by cyclooxygenase type 2 (COX-2) and intrinsic nuclear factor kappa B (NF-κB), which are the main participants of the inflammatory cascade [109, 119, 120]. HGF is a key cytokine contained in PRP alpha granules, which has an anti-inflammatory effect by inhibiting monocyte-like cells, chemotaxis. This anti-inflammatory effect is mediated through the inhibition of NF-κB signaling and subsequent disruption of the expression of NF-κB-dependent pro-inflammatory mediators [120].
Wu et al. [121] showed that PRP counteracts the interleukin (IL)-1β-induced inflammatory cascade and tumor necrosis factor alpha (TNF-a), which demonstrated the inhibition of IL-1 and COX-2. Lee et al. [122] explained the analgesic effect of PRP by an increase in the mRNA level of the cannabinoid receptors CB1 and CB2 (receptors that have analgesic and anti-inflammatory effects). Alternatively, PRP affects cartilage degeneration by altering autophagy in chondrocytes. With advancing age, the cartilage loses its self-renewal ability [123]. However, scientists have shown an increase in chondrocyte dormancy after PRP injection [124], which can ultimately restore this regenerative function through the restoration of autophagy and reversal of the aging process [125, 126].
MATERIALS AND METHODS
The results of treatment of patients who underwent intrameniscal percutaneous injection of PRP under ultrasound (US) control were evaluated. The control group included 15 patients (10 men and 5 women, Table 1).
Table 1. Distribution of patients by age and sex
Gender | Age, years | ||
18–30 | 31–40 | 41–50 | |
Men | 3 | 5 | 2 |
Women | 1 | 3 | 1 |
The criteria for inclusion in the control group were age 18–50 years, Kellgren–Lawrence grade I–II gonarthrosis, Stoller grade II meniscal injury confirmed by magnetic resonance imaging (MRI), absence of conservative treatment during the last 6 months, and pain syndrome for >6 months.
The exclusion criteria were age ≤18 years or >50 years, history of trauma, previous knee surgery, generalized inflammatory arthritis, systemic disease, pregnancy, severe infection, oncology, blood-clotting disorders or anticoagulant therapy, injection of corticosteroids into the knee joint, spinal symptoms, and overweight (body mass index should not exceed 27.0 kg/m2).
A Ycellbio Kit tube (Ycellbio Medical Co., Ltd., South Korea) was used to obtain a PRP suspension. Compared with similar systems (about 1 million cells/µL), this system for obtaining PRP is simple and safe and obtains high concentration of platelets. The resulting type of PRP can be attributed to type 3a according to the classification proposed by Mishra in 2011.
Components required for receiving PRP (Ycellbio/closed cycle):
- Ycellbio container (Ycellbio Medical Co., Ltd., South Korea)
- Venous blood (15 mL)
- Anticoagulant dextrose citrate (1.5 mL)
- 20 cm3 syringe (1 pc)
- 5 cm3 syringe (1 pc)
- 3 cm3 syringe (1 pc)
- 21-G needle or winged needle (1 pc)
- 40-mm 18-G needle (2 pcs)
- Alcohol-soaked gauze pad
- Tweezers
- Centrifuge Rotofix 32A (Andreas Hettich GmbH & Co. KG, Germany)
- Counterweights for the centrifuge
Using a 20-cm3 syringe, 15 mL of venous blood is taken from the patient. Initially, the inner surface of the syringe barrel is moistened with an anticoagulant. For this purpose, a 20-cm3 syringe is filled with 1.5 mL of anticoagulant and shaken gently. Then, an anticoagulant and collected blood are sequentially injected into the Ycellbio container. The container is installed in a special beaker, which is placed in the centrifuge cell. A beaker with a pre-prepared counterweight is installed in the opposite cell. Centrifugation is performed at 3200 rpm for 4 min. After the centrifugation, both beakers are removed from the centrifuge. The erythrocyte suspension level is corrected in the Ycellbio container. For this purpose, using a rotary cap in the lower part of the container, the suspension level is lowered into the lower section of the container, thereby preventing the separation of the suspension from the plasma layer. The container is placed in a special beaker and then in a centrifuge cell, and an appropriate counterweight is installed.
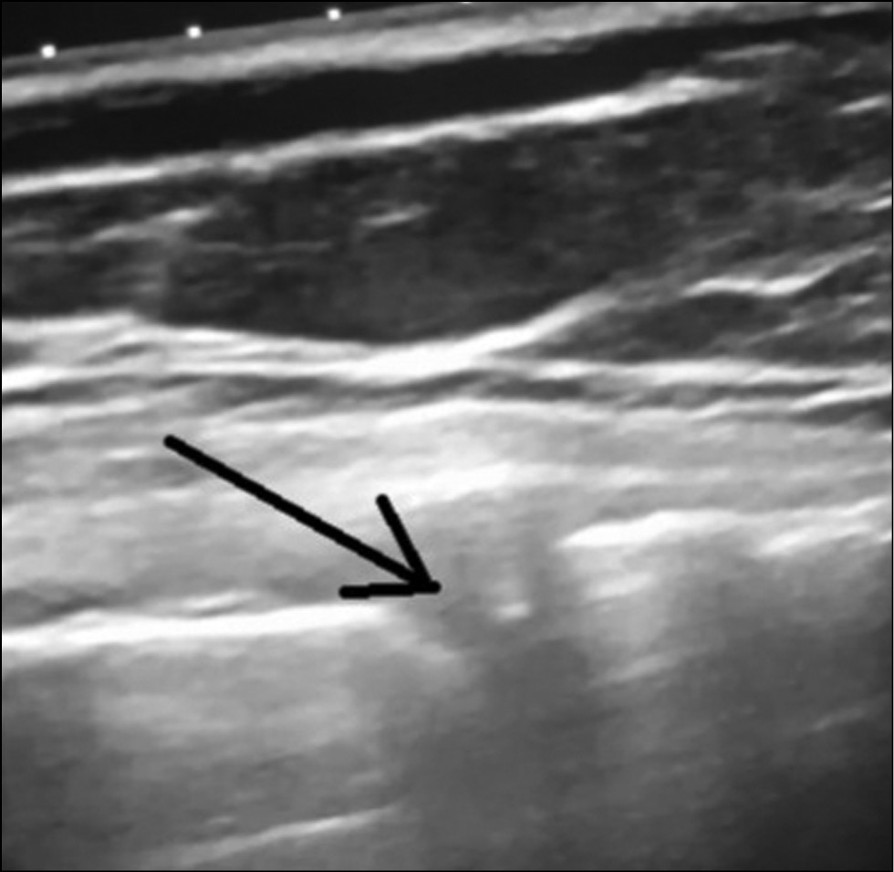
A suspension of platelets (approximately 0.5 mL) is injected into the region of the posterior horn under US control. A small amount (approximately 0.2 mL) is also injected into the border precapsular zone of the joint (Fig. 4). After the procedure, the patients remained in the outpatient department for 2 h.
Fig. 4. The introduction of the needle into the meniscus under ultrasound control (the arrow indicates the needle).
During the procedure, all patients noted nagging pain similar to toothache (5–6 points on the visual analog scale of pain [VAS]), which spontaneously disappear within 3–5 h. Rarely, the pain syndrome persisted for >12 h (2 patients). Apart from the PRP injection, the patients did not receive any other drugs or physiotherapy.
Efficacy was assessed using pain assessment scales, namely, VAS, Lequesne scale, Western Ontario and McMaster Universities Osteoarthritis Index, Lysholm scale, and KSS scale (Knee Society Score).
RESULTS
The results of treatment of patients are presented in Table 2 and in Figures 5 and 6. According to the VAS, Lequesne, Lysholm, KSS scales, and WOMAC index, all parameters improved, degree of pain syndrome decreased, and functional parameters increased.
Table 2. Mean scores on control scales: before and 6 months after platelet-rich plasma (PRP) therapy
Estimation scale, points | Timing | |
Before PRP therapy | After 6 months | |
VAS | 5,7 | 1,4 |
WOMAC index | 33,8 | 14,5 |
Lysholm scale | 57,6 | 89,7 |
Lequesne scale | 11,2 | 3,4 |
KSS scale | 67,5 | 85,4 |
Note. VAS, visual analog scale; WOMAC, Western Ontario and McMaster Universities Osteoarthritis Index; KSS, Knee Society Score; and PRP, platelet-rich plasma..
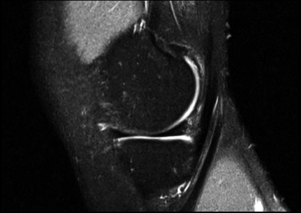
Fig. 5. MRI of the patient before the platelet-rich plasma (PRP) procedure.
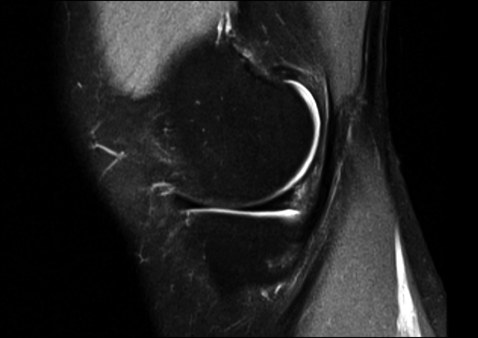
Fig. 6. MRI of the patient 6 months after the platelet-rich plasma (PRP) procedure.
CONCLUSION
The issues of treatment of damage to the inner layer of the knee joint menisci, which does not extend to the articular surface, remain. In our study, all rating scales demonstrated an improvement in performance. In addition, according to MRI data, after 6 months, no progression of the degenerative process in the menisci was observed. We believe that our method can be the first step in the treatment of this pathology. We obtained a patent for this treatment method (RU No. 2747589 dated May 11, 2021).
Monitoring of patients and further studies will give an accurate answer to the question of whether PRP can have a regenerating effect on the meniscus, since it has prerequisites. The authors hope the readers will get a holistic understanding of the subject, its possibilities, and the role and place of PRP in the treatment of meniscus injuries.
ADDITIONAL INFO
Author contribution. Thereby, all authors made a substantial contribution to the conception of the work, acquisition, analysis, interpretation of data for the work, drafting and revising the work, final approval of the version to be published and agree to be accountable for all aspects of the work.
Funding source. Not specified.
Competing interests. The authors declare that they have no competing interests.
About the authors
Mikhail P. Lisitsyn
A.I. Evdokimov Moscow State University of Medicine and Dentistry
Email: lissitsyn@rambler.ru
SPIN-code: 7162-0145
MD, PhD, Dr. Sci. (Med.), traumatologist-orthopedist
Russian Federation, MoscowRuslan Y. Atlukhanov
Hospital of the Tsentrosoyuz of the Russian Federation
Author for correspondence.
Email: ruslan.atl@mail.ru
ORCID iD: 0000-0003-3417-6744
SPIN-code: 6845-8768
MD, traumatologist-orthopedist
Russian Federation, MoscowAdam M. Zaremuk
A.I. Evdokimov Moscow State University of Medicine and Dentistry
Email: adamzaremuk@mail.ru
ORCID iD: 0000-0002-6630-9735
SPIN-code: 4169-3882
MD, PhD, Cand. Sci. (Med.), traumatologist-orthopedist
Russian Federation, MoscowEkaterina M. Lisitsyna
Guta Clinic
Email: lis10@yandex.ru
ORCID iD: 0000-0002-5184-2561
SPIN-code: 7268-0320
MD, traumatologist-orthopedist
Russian Federation, MoscowReferences
- Fairbank TJ. Knee joint changes after meniscectomy. J Bone Joint Surg Br. 1948;30B:664–670.
- King D. The function of the semilunar cartilages. J Bone Joint Surg. 1936;18B:1069–1076.
- Gillquist J, Hamberg P, Lysholm J. Endoscopic partial and total meniscectomy. A comparative study with a short term follow up. Acta Orthop Scand. 1982;53(6):975–975. doi: 10.3109/17453678208992857
- Baratz ME, Fu FH, Mengato R. Meniscal tears: the effect of meniscectomy and of repair on intraarticular contact areas and stress in the human knee. A preliminary report. Am J Sports Med. 1986;14(4):270–275. doi: 10.1177/036354658601400405
- Jaspers P, de Lange A, Huiskes R, van Rens TJ. The mechanical function of the meniscus, experiments on cadaveric pig knee-joints. Acta Orthop Belg. 1980;46(6):663–668.
- Milachowski KA, Weismeier K, Wirth CJ. Homologous meniscus transplantation. Experimental and clinical results. Int Orthop. 1989;13(1):1–11. doi: 10.1007/BF00266715
- Turman KA, Diduch DR. Meniscal repair: indications and techniques. J Knee Surg. 2008;21(2):154–162. doi: 10.1055/s-0030-1247812
- DeHaven KE. Meniscus repair. Am J Sports Med. 1999;27(2):242–250. doi: 10.1177/03635465990270022301
- Noyes FR, Barber-Westin SD. Repair of complex and avascular meniscal tears and meniscal transplantation. J Bone Joint Surg Am. 2010;92(4):1012–1029.
- Sutton JB. Ligaments: their nature and morphology. London: MK Lewis; 1897.
- Nawabi DH, Cro S, Hamid IP, Williams A. Return to play after lateral meniscectomy compared with medial meniscectomy in elite professional soccer players. Am J Sports Med. 2014;42(9):2191–2198. doi: 10.1177/0363546514540271
- Stein T, Mehling AP, Welsch F, et al. Long-term outcome after arthroscopic meniscal repair versus arthroscopic partial meniscectomy for traumatic meniscal tears. Am J Sports Med. 2010;38(8):1542–1548. doi: 10.1177/0363546510364052
- Makris EA, Hadidi P, Athanasiou KA. The knee meniscus: structure-function, pathophysiology, current repair techniques, and prospects for regeneration. Biomaterials. 2011;32(30):7411–7431. doi: 10.1016/j.biomaterials.2011.06.037
- McDermott ID, Amis AA. The consequences of meniscectomy. J Bone Joint Surg Br. 2006;88(12):1549–1556. doi: 10.1302/0301-620X.88B12.18140
- Fox AJ, Bedi A, Rodeo SA. The basic science of human knee menisci: structure, composition, and function. Sports Health. 2012;4(4):340–351. doi: 10.1177/1941738111429419
- Morgan CD, Wojtys EM, Casscells CD, Casscells SW. Arthroscopic meniscal repair evaluated by second-look arthroscopy. Am J Sports Med. 1991;19(6):632–637. doi: 10.1177/036354659101900614
- Salata MJ, Gibbs AE, Sekiya JK. A systematic review of clinical outcomes in patients undergoing meniscectomy. Am J Sports Med. 2010;38(9):1907–1916. doi: 10.1177/0363546510370196
- Baker BE, Peckham AC, Pupparo F, Sanborn JC. Review of meniscal injury and associated sports. Am J Sports Med. 1985;13(1):1–4. doi: 10.1177/036354658501300101
- Hede A, Jensen DB, Blyme P, Sonne-Holm S. Epidemiology of meniscal lesions in the knee. 1,215 open operations in Copenhagen 1982-84. Acta Orthop Scand. 1990;61(5):435–437. doi: 10.3109/17453679008993557
- Steinbruck K. Epidemiology of sports injuries: 25-year-analysis of sports orthopedic-traumatologic ambulatory care. Sportverletz Sportschaden. 1999;13(2):38–52. (In German). doi: 10.1055/s-2007-993313
- Drosos GI, Pozo JL. The causes and mechanisms of meniscal injuries in the sporting and non-sporting environment in an unselected population. Knee. 2004;11(2):143–149. doi: 10.1016/S0968-0160(03)00105-4
- Kulyaba TA, Novoselov KA, Kornilov NN. Diagnostics and treatment of knee joint meniscus injuries. Travmatologiya i ortopediya Rossii. 2002;(1):81–87. (In Russ).
- Englund M, Guermazi A, Gale D, Hunter DJ, Aliabadi P, Clancy M, Felson DT. Incidental meniscal findings on knee MRI in middle-aged and elderly persons. N Engl J Med. 2008;359:1108–1115.
- Noble J, Hamblen DL. The pathology of the degenerate meniscus lesion. J Bone Joint Surg Br. 1975;57(2):180–186.
- Gardner E, O’Rahilly R. The early development of the knee joint in staged human embryos. J Anat. 1968;102(Pt 2):289–299.
- Gray JC. Neural and vascular anatomy of the menisci of the human knee. J Orthop Sports Phys Ther. 1999;29(1):23–30. doi: 10.2519/jospt.1999.29.1.23
- Clark CR, Ogden JA. Development of the menisci of the human knee joint. Morphological changes and their potential role in childhood meniscal injury. J Bone Joint Surg Am. 1983;65(4):538–547.
- Carney SL, Muir H. The structure and function of cartilage proteoglycans. Physiol Rev. 1988;68(3):858–910. doi: 10.1152/physrev.1988.68.3.858
- Arnoczky SP, Warren RF. Microvasculature of the human meniscus. Am J Sports Med. 1982;10(2):90–95. doi: 10.1177/036354658201000205
- Ghadially FN, Thomas I, Yong N, Lalonde JM. Ultrastructure of rabbit semilunar cartilages. J Anat.1978;125(Pt 3):499–517.
- McDermott ID, Sharifi F, Bull AM, et al. An anatomical study of meniscal allograft sizing. Knee Surg Sports Traumatol Arthrosc. 2004;12(2):130–135. doi: 10.1007/s00167-003-0366-7
- Shaffer B, Kennedy S, Klimkiewicz J, Yao L. Preoperative sizing of meniscal allografts in meniscus transplantation. Am J Sports Med. 2000;28(4):524–533. doi: 10.1177/03635465000280041301
- Greis PE, Bardana DD, Holmstrom MC, Burks RT. Meniscal injury: I. Basic science and evaluation. J Am Acad Orthop Surg. 2002;10(3):168–176. doi: 10.5435/00124635-200205000-00003
- Kusayama T, Harner CD, Carlin GJ, et al. Anatomical and biomechanical characteristics of human meniscofemoral ligaments. Knee Surg Sports Traumatol Arthrosc. 1994;2(4):234–237. doi: 10.1007/BF01845594
- Messner K, Gao J. The menisci of the knee joint. Anatomical and functional characteristics, and a rationale for clinical treatment. J Anat. 1998;193(Pt 2):161–178. doi: 10.1046/j.1469-7580.1998.19320161.x
- Villegas DF, Hansen TA, Liu DF, Donahue TL. A quantitative study of the microstructure and biochemistry of the medial meniscal horn attachments. Ann Biomed Eng. 2008;36(1):123–131. doi: 10.1007/s10439-007-9403-x
- Berlet GC, Fowler PJ. The anterior horn of the medical meniscus. An anatomic study of its insertion. Am J Sports Med. 1998;26(4):540–543. doi: 10.1177/03635465980260041201
- McKeon BP, Bono JV, Richmond JC. Knee arthroscopy. New York, NY: Springer Science and Business Media; 2009.
- Palastanga N, Soames R. Anatomy and human movement, structure and function. Philadelphia, PA: Elselvier Health Sciences; 2011.
- Rath E, Richmond JC. The menisci: basic science and advances in treatment. Br J Sports Med. 2000;34(4):252–257. doi: 10.1136/bjsm.34.4.252
- Last RJ. The popliteus muscle and the lateral meniscus. J Bone Joint Surg Br. 1950;32-B(1):93–99. doi: 10.1302/0301-620X.32B1.93
- Ghadially FN, Lalonde JM, Wedge JH. Ultrastructure of normal and torn menisci of the human knee joint. J Anat. 1983;136(Pt 4):773–791.
- Herwig J, Egner E, Buddecke E. Chemical changes of human knee joint menisci in various stages of degeneration. Ann Rheum Dis. 1984;43(4):635–640. doi: 10.1136/ard.43.4.635
- Sweigart MA, Athanasiou KA. Toward tissue engineering of the knee meniscus. Tissue Eng. 2001;7(2):111–129. doi: 10.1089/107632701300062697
- Cheung HS. Distribution of type I, II, III and V in the pepsin solubilized collagens in bovine menisci. Connect Tissue Res. 1987;16(4):343–356. doi: 10.3109/03008208709005619
- Bullough PG, Munuera L, Murphy J, Weinstein AM. The strength of the menisci of the knee as it relates to their fine structure. J Bone Joint Surg Br. 1970;52(3):564–567.
- Yasui K. Three dimensional architecture of human normal menisci. J Jpn Orthop Assoc. 1978;52(1):391–399.
- Aspden RM, Yarker YE, Hukins DW. Collagen orientations in the meniscus of the knee joint. J Anat. 1985;140(Pt 3):371–380.
- Beaupre A, Choukroun R, Guidouin R, et al. Knee menisci. Correlation between microstructure and biomechanics. Clin Orthop Relat Res. 1986;(208):72–75.
- Fithian DC, Kelly MA, Mow VC. Material properties and structure-function relationships in the menisci. Clin Orthop Relat Res. 1990;(252):19–31.
- Skaggs DL, Mow VC. Function of the radial tie fibers in the meniscus. Trans Orthop Res Soc. 1990;15:248.
- Rybalko DYu, Vagapova VSh, Borzilova OH. Peculiarities of histological tructure of knee joint menisci on the stages of postnatal ontogenesis. Meditsinskii vestnik Bashkortostana. 2015;10(1):99–102. (In Russ).
- Petersen W, Tillmann B. Collagenous fibril texture of the human knee joint menisci. Anat Embryol (Berl). 1998;197(4):317–324. doi: 10.1007/s004290050141
- Andrews SH, Rattner JB, Abusara Z, et al. Tie-fibre structure and organization in the knee menisci. J Anat. 2014;224(5):531–537. doi: 10.1111/joa.12170
- Voloshin AS, Wosk J. Shock absorption of meniscectomized and painful knees: a comparative in vivo study. J Biomed Eng. 1983;5(2):157–161. doi: 10.1016/0141-5425(83)90036-5
- Pauli C, Grogan SP, Patil S, et al. Macroscopic and histopathologic analysis of human knee menisci in aging and osteoarthritis. Osteoarthritis Cartilage. 2011;19(9):1132–1141. doi: 10.1016/j.joca.2011.05.008
- Ghosh P, Taylor TK. The knee joint meniscus. A fibrocartilage of some distinction. Clin Orthop Relat Res. 1987;(224):52–63.
- Nakano T, Dodd CM, Scott PG. Glycosaminoglycans and proteoglycans from different zones of the porcine knee meniscus. J Orthop Res. 1997;15(2):213–220. doi: 10.1002/jor.1100150209
- Scott PG, Nakano T, Dodd CM. Isolation and characterization of small proteoglycans from different zones of the porcine knee meniscus. Biochim Biophys Acta. 1997;1336(2):254–262. doi: 10.1016/s0304-4165(97)00040-8
- Adams ME, Muir H. The glycosaminoglycans of canine menisci. Biochem J. 1981;197(2):385–389. doi: 10.1042/bj1970385
- McDevitt CA, Webber RJ. The ultrastructure and biochemistry of meniscal cartilage. Clin Orthop Relat Res. 1990;(252):8–18.
- Miller RR, McDevitt CA. Thrombospondin in ligament, meniscus and intervertebral disc. Biochim Biophys Acta. 1991;1115(1):85–98. doi: 10.1016/0304-4165(91)90015-9
- Nakata K, Shino K, Hamada M, et al. Human meniscus cell: characterization of the primary culture and use for tissue engineering. Clin Orthop Relat Res. 2001;391 Suppl:S208–S218.
- Verdonk PC, Forsyth RG, Wang J, et al. Characterisation of human knee meniscus cell phenotype. Osteoarthritis Cartilage. 2005;13(7):548–560. doi: 10.1016/j.joca.2005.01.010
- Van der Bracht H, Verdonk R, Verbruggen G, et al. Cell based meniscus tissue engineering. In: Ashammakhi N, Reis RL, Chiellini E, editors. Topics in tissue engineering. Finland: Oulu University; 2007.
- Day B, Mackenzie WG, Shim SS, Leung G. The vascular and nerve supply of the human meniscus. Arthroscopy. 1985;1(1):58–62. doi: 10.1016/s0749-8063(85)80080-3
- Danzig L, Resnick D, Gonsalves M, Akeson WH. Blood supply to the normal and abnormal menisci of the human knee. Clin Orthop Relat Res. 1983;(172):271–276.
- Harner CD, Janaushek MA, Kanamori A, et al. Biomechanical analysis of a double-bundle posterior cruciate ligament reconstruction. Am J Sports Med. 2000;28(2):144–151. doi: 10.1177/03635465000280020201
- Meyers E, Zhu W, Mow V. Viscoelastic properties of articular cartilage and meniscus. In: Nimni M, editor. Collagen: chemistry, biology and biotechnology. Boca Raton, FL: CRC; 1988.
- Gardner E. The innervation of the knee joint. Anat Rec. 1948;101(1):109–130. doi: 10.1002/ar.1091010111
- Kennedy JC, Alexander IJ, Hayes KC. Nerve supply of the human knee and its functional importance. Am J Sports Med. 1982;10(6):329–335. doi: 10.1177/036354658201000601
- Samsonova AV, Komissarova EN. Biomechanics of muscles: an educational and methodological guide. Ed by A.V. Samsonova. St. Petersburg; 2008. (In Russ).
- Zimny ML. Mechanoreceptors in articular tissues. Am J Anat. 1988;182(1):16–32. doi: 10.1002/aja.1001820103
- Wilson AS, Legg PG, McNeur JC. Studies on the innervation of the medial meniscus in the human knee joint. Anat Rec. 1969;165(4):485–491. doi: 10.1002/ar.1091650404
- Wein AM. Pain syndromes in neurological practice. 3rd edition, ed. corresponding member RAMS A.M. Wein. Moscow: MEDpress-inform; 2001:158.
- Gronblad M, Korkala O, Liesi P, Karaharju E. Innervation of synovial membrane and meniscus. Acta Orthop Scand. 1985;56(6):484–486. doi: 10.3109/17453678508993040
- Zimny ML, Albright DJ, Dabezies E. Mechanoreceptors in the human medial meniscus. Acta Anat (Basel). 1988;133(1):35–40. doi: 10.1159/000146611
- Assimakopoulos AP, Katonis PG, Agapitos MV, Exarchou EI. The innervation of the human meniscus. Clin Orthop Relat Res. 1992;(275):232–236.
- Mine T, Kimura M, Sakka A, Kawai S. Innervation of nociceptors in the menisci of the knee joint: an immunohistochemical study. Arch Orthop Trauma Surg. 2000;120(3–4):201–204. doi: 10.1007/s004020050044
- Walker PS, Erkman MJ. The role of the menisci in force transmission across the knee. Clin Orthop Relat Res. 1975;(109):184–192. doi: 10.1097/00003086-197506000-00027
- Seedhom BB. Loadbearing function of the menisci. Physiotherapy. 1976;62(7):223.
- Seedhom BB, Hargreaves DJ. Transmission of the load in the knee joint with special reference to the role in the menisci: part II. Experimental results, discussion and conclusion. Engineering in Medicine. 1979;8(4):220–228. doi: 10.1243/EMED_JOUR_1979_008_051_02
- Fukubayashi T, Kurosawa H. The contact area and pressure distribution pattern of the knee. A study of normal and osteoarthrotic knee joints. Acta Orthop Scand. 1980;51(6):871–879. doi: 10.3109/17453678008990887
- Arnoczky SP, Adams ME, DeHaven KE, et al. The meniscus. In: Woo SL, Buckwalter J, editors. Injury and repair of musculoskeletal soft tissues. Park Ridge, IL: American Academy of Orthopaedic Surgeons; 1987.
- Krause WR, Pope MH, Johnson RJ, Wilder DG. Mechanical changes in the knee after meniscectomy. J Bone Joint Surg Am. 1976;58(5):599–604.
- Kurosawa H, Fukubayashi T, Nakajima H. Load–bearing mode of the knee joint: physical behavior of the knee joint with or without menisci. Clin Orthop Relat Res. 1980;(149):283–290.
- Fukubayashi T, Torzilli PA, Sherman MF, Warren RF. An in vitro biomechanical evaluation of anterior-posterior motion of the knee. Tibial displacement, rotation, and torque. J Bone Joint Surg Am. 1982;64(2):258–264.
- Levy IM, Torzilli PA, Warren RF. The effect of medial meniscectomy on anterior-posterior motion of the knee. J Bone Joint Surg Am. 1982;64(6):883–888.
- Levy IM, Torzilli PA, Gould JD, Warren RF. The effect of lateral meniscectomy on motion of the knee. J Bone Joint Surg Am. 1989;71(3):401–406.
- Shoemaker SC, Markolf KL. The role of the meniscus in the anterior-posterior stability of the loaded anterior cruciate-deficient knee. Effects of partial versus total excision. J Bone Joint Surg Am. 1986;68(1):71–79.
- Markolf KL, Mensch JS, Amstutz HC. Stiffness and laxity of the knee – the contributions of the supporting structures. A quantitative in vitro study. J Bone Joint Surg Am. 1976;58(5):583–594.
- Bird MD, Sweet MB. A system of canals in semilunar menisci. Ann Rheum Dis. 1987;46(9):670–673. doi: 10.1136/ard.46.9.670
- Renstrom P, Johnson RJ. Anatomy and biomechanics of the menisci. Clin Sports Med. 1990;9(3):523–538.
- MacConaill MA. The function of intra-articular fibrocartilages, with special reference to the knee and inferior radio-ulnar joints. J Anat. 1932;66(Pt 2):210–227.
- MacConaill MA. Studies in the mechanics of synovial joints. Ir J Med Sci. 1946;21:223–235.
- MacConaill MA. The movements of bones and joints 3. The synovial fluid and its assistants. J Bone Joint Surg. 1950;32-B(2):244–252. doi: 10.1302/0301-620X.32B2.244
- Jerosch J, Prymka M, Castro WH. Proprioception of knee joints with a lesion of the medial meniscus. Acta Orthop Belg. 1996;62(1):41–45.
- Saygi B, Yildirim Y, Berker N, et al. Evaluation of the neurosensory function of the medial meniscus in humans. Arthroscopy. 2005;21(12):1468–1472. doi: 10.1016/j.arthro.2005.09.006
- Akgun U, Kocaoglu B, Orhan EK, et al. Possible reflex pathway between medial meniscus and semimembranosus muscle: an experimental study in rabbits. Knee Surg Sports Traumatol Arthrosc. 2008;16(9):809–814. doi: 10.1007/s00167-008-0542-x
- Karahan M, Kocaoglu B, Cabukoglu C, et al. Effect of partial medial meniscectomy on the proprioceptive function of the knee. Arch Orthop Trauma Surg. 2010;130(3):427–431. doi: 10.1007/s00402-009-1018-2
- Kettelkamp DB, Jacobs AW. Tibiofemoral contact area – determination and implications. J Bone Joint Surg Am. 1972;54(2):349–356.
- Marx RE. Platelet-rich plasma: evidence to support its use. J Oral Maxillofac Surg. 2004;62(4):489–496. doi: 10.1016/j.joms.2003.12.003
- Ding C, Martel-Pelletier J, Pelletier JP. Meniscal tear as an osteoarthritis risk factor in a largely non-osteoarthritic cohort: a cross sectional study. J Rheumatol. 2007;34(4):776–784.
- Biedert RM. Treatment of intrasubstance meniscal lesions: a randomized prospective study of four different methods. Knee Surg Sports Traumatol Arthrosc. 2000;8(2):104–108. doi: 10.1007/s001670050195
- MacDonald PB. Arthroscopic partial meniscectomy was not more effective than physical therapy for meniscal tear and knee osteoarthritis. J Bone Joint Surg Am. 2013;95(22):2058. doi: 10.2106/JBJS.9522.ebo745
- Mishra A, Harmon K, Woodall J, Vieira A. Sports medicine applications of platelet rich plasma. Curr Pharm Biotechnol. 2012;13(7):1185–1195. doi: 10.2174/138920112800624283
- Marx RE, Carlson ER, Eichstaedt RM. Platelet-rich plasma – growth factor enhancement for bone grafts. Oral Surg Oral Med Oral Pathol Oral Radiol Endod. 1998;85(6):638–646. doi: 10.1016/s1079-2104(98)90029-4
- Agata H, Asahina I, Yamazaki Y, et al. Effective bone engineering with periosteum-derived cells. J Dental Res. 2007;86(1):79–83. doi: 10.1177/154405910708600113
- Even J, Eskander M, Kang J. Bone morphogenetic protein in spine surgery: current and future uses. J Am Acad Orthop Surg. 2012;20(9):547–552. doi: 10.5435/JAAOS-20-09-547
- Pereira RC, Scaranari M, Benelli R, et al. Dual effect of platelet lysate on human articular cartilage: a maintenance of chondrogenic potential and a transient proinflammatory activity followed by an inflammation resolution. Tissue Eng Part A. 2013;19(11–12):1476–1488. doi: 10.1089/ten.TEA.2012.0225
- Park SI, Lee HR, Kim S, et al. Time sequential modulation in expression of growth factors from platelet-rich plasma (PRP) on the chondrocyte cultures. Mol Cell Biochem. 2012;361(1–2):9–17. doi: 10.1007/s11010-011-1081-1
- Yang SY, Ahn ST, Rhie JW, et al. Platelet supernatant promotes proliferation of auricular chondrocytes and formation of chondrocyte mass. Ann Plast Surg. 2000;44(4);405–411. doi: 10.1097/00000637-200044040-00009
- Spreafico A, Chellini F, Frediani B, et al. Biochemical investigation of the effects of human platelet releasates on human articular chondrocytes. J Cell Biochem. 2009;108(5);1153–1165. doi: 10.1002/jcb.22344
- Gaissmaier C, Fritz J, Krackhardt T, et al. Effect of human platelet supernatant on proliferation and matrix synthesis of human articular chondrocytes in monolayer and three-dimensional alginate cultures. Biomaterials. 2005;26(14):1953–1960. doi: 10.1016/j.biomaterials.2004.06.031
- Sundman EA, Cole BJ, Karas V, et al. The anti-inflammatory and matrix restorative mechanisms of platelet rich plasma in osteoarthritis. Am J Sports Med. 2014;42(1):35–41. doi: 10.1177/0363546513507766
- Anitua E, Sánchez M, Nurden AT, et al. Platelet-released growth factors enhance the secretion of hyaluronic acid and induce hepatocyte growth factor production by synovial fibroblasts from arthritic patients. Rheumatology (Oxford). 2007;46(12):1769–1772. doi: 10.1093/rheumatology/kem234
- Yin Z, Yang X, Jiang Y, et al. Platelet-rich plasma combined with agarose as a bioactive scaffold to enhance cartilage repair: an in vitro study. J Biomater Appl. 2014;28(7):1039–1050. doi: 10.1177/0885328213492573
- Mifune Y, Matsumoto T, Takayama K, et al. The effect of platelet-rich plasma on the regenerative therapy of muscle derived stem cells for articular cartilage repair. Osteoarthritis Cartilage. 2013;21(1):175–185. doi: 10.1016/j.joca.2012.09.018
- van Buul GM, Koevoet WL, Kops N, et al. Platelet–rich plasma releasate inhibits inflammatory processes in osteoarthritic chondrocytes. Am J Sports Med. 2011;39(11):2362–2370. doi: 10.1177/0363546511419278
- Bendinelli P, Matteucci E, Dogliotti G, et al. Molecular basis of anti-inflammatory action of platelet-rich plasma on human chondrocytes: mechanisms of NF-κB inhibition via HGF. J Cell Physiol. 2010;225(3):757–766. doi: 10.1002/jcp.22274
- Wu CC, Chen WH, Zao B, et al. Regenerative potentials of platelet-rich plasma enhanced by collagen in retrieving proinflammatory cytokine-inhibited chondrogenesis. Biomaterials. 2011;32(25):5847–5854. doi: 10.1016/j.biomaterials.2011.05.002
- Lee HR, Park KM, Joung YK, et al. Platelet rich plasma loaded hydrogel scaffold enhances chondrogenic differentiation and maturation with up-regulation of CB1 and CB2. J Control Release. 2012;159(3):332–337. doi: 10.1016/j.jconrel.2012.02.008
- Chakkalakal JV, Jones KM, Basson MA, Brack AS. The aged niche disrupts muscle stem cell quiescence. Nature. 2012;490(7420):355–360. doi: 10.1038/nature11438
- Moussa M, Lajeunesse D, Hilal G, et al. Platelet rich plasma (PRP) induces chondroprotection via increasing autophagy, anti–inflammatory markers, and decreasing apoptosis in human osteoarthritic cartilage. Exp Cell Res. 2017;352(1):146–156. doi: 10.1016/j.yexcr.2017.02.012
- García-Prat L, Martínez-Vicente M, Perdiguero E, et al. Autophagy maintains stemness by preventing senescence. Nature. 2016;529(7584):37–42. doi: 10.1038/nature16187
- Khalimov EV, Saveliev SN, Khalimov AE, et al. Possibilities of using platelet-rich autoplasma in the treatment of osteoarthritis of the knee joint. N.N. Priorov Journal of Traumatology and Orthopedics. 2016;23(3):23–27. doi.10.17816/vto201623323-27
Supplementary files








