Spinal osteomyelitis
- Authors: Ardashev I.P.1, Plotnikov G.A.1, Grigoruk A.A.1, Drobotov V.N.1, Gazizov R.F.1, Musaev S.M.1, Ardasheva E.I.1
-
Affiliations:
- Kemerovo State Medical Academy
- Issue: Vol 8, No 1 (2001)
- Pages: 11-16
- Section: Articles
- Submitted: 17.01.2022
- Accepted: 17.01.2022
- Published: 02.02.2022
- URL: https://journals.eco-vector.com/0869-8678/article/view/96620
- DOI: https://doi.org/10.17816/vto96620
- ID: 96620
Cite item
Full Text
Abstract
Experience in diagnosis and treatment of 112 patients with spine osteomyelitis is presented. In 8 patients cervical spine, in 23 patients thoracic spine and in 81 patients lumbar spine was involved. Neurological deficit was observed in 45 (40.2%) patients. Forty seven (42%) patients underwent conservative and 65(58%) surgical treatment. Conservative treatment included intraarterial injection of antibacterial drugs. Surgical treatment consisted of radical resection of the osteomyelitis focus followed by stabilization of the spine with autografts. Long-term results were evaluated in terms from 1 to 20 years. In all patients the formation of bone block and regression of neurological symptoms was observed.
Full Text
Остеомиелит позвоночника (ОП) остается весьма актуальной проблемой, что определяется ростом частоты этого заболевания и подтверждается увеличением числа публикаций, посвященных его диагностике и лечению [1—3, 5~7, 10, 13, 16, 17]. Значительное повышение хирургической активности при патологии позвоночника сопровождается известным увеличением числа гнойных послеоперационных осложнений, лечение которых имеет свои особенности. Следует отметить также рост частоты ОП у лиц пожилого возраста, нередко страдающих тяжелой сопутствующей патологией, что существенно усложняет диагностику и ограничивает возможности радикального лечения.
Сложности оперативного вмешательства при ОП обусловлены анатомо-функциональными особенностями позвоночника, его близостью к жизненно важным органам, характером и распространенностью воспалительного процесса. Спаечные процессы с вовлечением окружающих органов и сосудов затрудняют подход к патологическому очагу, приводят к значительной кровопотере — от 1500 до 2500 мл [4, 8, 9, 11, 14, 15, 18, 19]. Дискутабельным остается вопрос о замещении дефектов, образующихся после резекции тел позвонков.
Сказанное выше диктует необходимость оптимизации диагностики ОП, особенно в ранние сроки, уточнения показаний к консервативному и оперативному лечению, отработки методик (и сроков проведения) хирургического вмешательства, способов стабилизации позвоночника после санации очага поражения, медикаментозного и инфузионного обеспечения.
Материалы и методы
Мы располагаем данными обследования и лечения 112 больных с ОП в возрасте от 14 до 63 лет. Преобладали лица мужского пола — 69 (62%) человек. У 8 (7,1%) больных был поражен шейный отдел позвоночника, у 23 (20,5%) — грудной, у 81 (72,3%) — поясничный. Большинство больных до поступления в клинику длительное время лечились с ошибочными диагнозами.
Клинические проявления ОП начинались с разных по характеру и интенсивности болей. При обследовании наряду с болевым синдромом отмечались ограничение подвижности в пораженном отделе позвоночника, сглаженность физиологического лордоза, припухлость, выстояние остистого отростка, болезненность при перкуссии.
У 45 (40,2%) пациентов имелась различная неврологическая симптоматика, зависевшая от уровня поражения и степени компрессии спинного мозга вследствие воспалительного процесса или в результате патологического перелома тел позвонков.
Рентгенологическое обследование включало рентгенографию грудной клетки, рентгенографию и томографию позвоночника, контрастную миелографию при наличии симптомов компрессии
спинного мозга. В последние годы использовались наиболее информативные методы — компьютерная и магнитно-резонансная томография. Эти методы особенно ценны для диагностики ОП в ранние сроки, когда традиционные рентгенологические исследования еще не выявляют патологического процесса.
Лечебная тактика строилась индивидуально с учетом активности и протяженности процесса, наличия осложнений, сопутствующей патологии и особенно динамики течения заболевания. Кроме того, при решении вопроса о хирургическом или консервативном лечении отдавали предпочтение последнему при риске операции, связанном с наличием у больного полиорганной недостаточности или тяжелой сопутствующей патологии.
Консервативное лечение
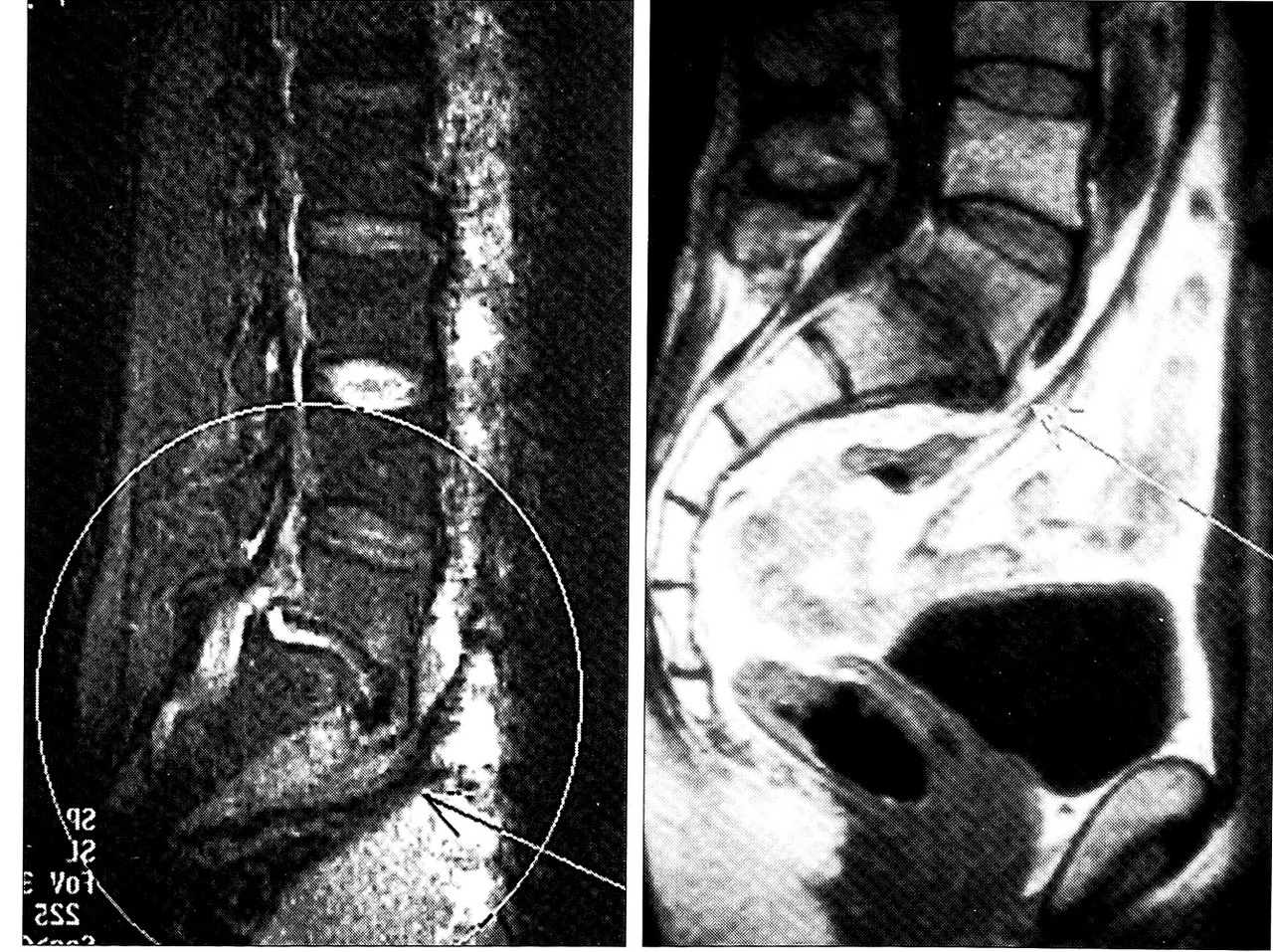
Рис. 1. МРТ больного К. a — до лечения: остеомиелит L5-S1 позвонков с пресакральным абсцессом; б — через 1,5 года после консервативного лечения: спонтанный блок на уровне L5-S1 позвонков.
Комплексному консервативному лечению с использованием антибиотиков широкого спектра действия, сульфаниламидных препаратов, иммунотерапии и ортопедического пособия были подвергнуты 5 больных с гематогенным остеомиелитом шейного отдела позвоночника. Лечение проводилось в течение 3~4 нед с иммобилизацией скелетным вытяжением за теменные бугры (2 больных) или воротником Шанца (3). Пациентов выписывали в торакокраниальной гипсовой повязке, которая накладывалась на 2~2,5 мес. Во всех случаях отмечена положительная динамика процесса с регрессом неврологической симптоматики. Больные обследованы через 3~5 лет: признаки рецидива заболевания отсутствуют, на спондилограммах определяется спонтанный костный блок в передних отделах позвоночника.
При ОП грудного и поясничного отделов консервативная терапия применена у 42 (37,5%) больных. Сначала проводилось лечение антибиотиками широкого спектра действия в течение 3~4 нед. Улучшение общего состояния, купирование болевого синдрома, нормализация температуры тела и показателей гемограммы были достигнуты у 16 (38,1%) пациентов. Они были выписаны в удовлетворительном состоянии с иммобилизацией гипсовым или съемным ортопедическим корсетом.
У 26 (61,9%) больных консервативное лечение в течение 3-4 нед не привело к улучшению. Это побудило нас применить у них внутриаортальное введение антибактериальных препаратов, которое, как известно, позволяет создать в патологическом очаге более высокую концентрацию лекарственных веществ. Для внутриаортального введения антибактериальных препаратов катетеризировали бедренную артерию и проводили катетер выше уровня поражения.
Больной К., 44 лет, поступил в клинику 12. 01.99 с жалобами на выраженные боли в пояснично-крестцовом отделе позвоночника, усиливающиеся при движениях и иррадиирующие при кашле в нижние конечности, повышение температуры тела. Заболел остро 22.12.98: появились озноб, боли в позвоночнике, температура тела повысилась до 39°С. Лечился у терапевта с диагнозом «пневмония». Несмотря на проведенное антибактериальное лечение, состояние больного ухудшилось, и 6.01.99 он был госпитализирован в инфекционную больницу, откуда переведен в клинику травматологии и ортопедии. При поступлении состояние больного средней тяжести. Положение вынужденное — на спине. Движения в поясничном отделе позвоночника ограничены, болезненны при поворотах туловища, поясничный лордоз сглажен. При перкуссии боль в проекции остистых отростков L4, 1_5 и S1 позвонков. Нагрузка по оси позвоночника безболезненна. Мышцы поясничного отдела напряжены. Движения в тазобедренных суставах ограничены, болезненны. Расстройств чувствительности нет. Патологических неврологических симптомов не выявлено. Анализ крови: СОЭ 60 мм/ч, л. 11,8-109/л, эр. 3,0-0,2л, НЬ 93 г/л, п. 3%, с. 77%. На рентгенограммах пояснично-крестцового отдела позвоночника: умеренные дистрофические изменения в телах L5 и S1. Остеохондроз диска L5-S1. МРТ (рис. 1, а): признаки дисцита L5-S1 (вещество диска резко отечно), умеренная отечность тел L5 и S1; визуализируется пресакральное скопление высокобелковой жидкости(абсцесс?) преимущественно на уровне S1.
При неоднократных посевах крови в двух случаях высеян St. aureus, чувствительный к рифампицину. В иммунологическом анализе — снижение фагоцитарной активности нейтрофилов и ЦИК. Диагноз: острый гематогенный остеомиелит L5, S1 позвонков; сепсис.
Проведено консервативное лечение: клафоран по 1 г 4 раза в сутки внутриаортально через катетер, введенный в бедренную артерию до уровня L2 позвонка; гентамицин по 80 мг 2 раза в сутки внутривенно. Применялась дезинтоксикационная, иммунокорригирующая, витаминотерапия. Гепарин 2500 ЕД внутривенно, УФО крови и инкубация клеточной массы. Состояние больного улучшилось — уменьшился болевой синдром, нормализовалась температура тела. Общий анализ крови: СОЭ 43 мм/ч, л. 7,2 -109/л, НЬ 120 г/л. Выписан в удовлетворительном состоянии. Обследован через 1,5 года. Жалоб нет. На МРТ — спонтанный блок на уровне L5-S1 позвонков (рис. 1, б). Анализы крови нормальные.
Комплексное консервативное лечение, включающее внутриаортальную химиотерапию, показано при ранней диагностике ОП, когда на спондилограммах, КТ и МРТ не выявляется очагов деструкции, затеков, отсутствуют неврологические осложнения, а также в случаях повышенного риска операции (сопутствующая патология, органная недостаточность). Продолжительность такого лечения составляет 8-10 нед.
Хирургическое лечение
Остеомиелит шейного отдела позвоночника. Из переднего левостороннего доступа удаляли пораженное тело (тела) позвонков, по показаниям осуществляли переднюю декомпрессию спинного мозга и производили стабилизацию костным аутотрансплантатом. В послеоперационном периоде в течение 3—4 нед проводили симптоматическую терапию. Больных выписывали на амбулаторное лечение в торакокраниальной гипсовой повязке.
Больной Б., 45 лет, поступил в клинику травматологии 04.07.81 с диагнозом: электротравма. Термический ожог II—IV степени левой половины грудной клетки, левого плеча площадью 20%. Через 10 нед, в стадии септикотоксемии ожоговой болезни, появились боли в шейном отделе позвоночника, которые усиливались при движении в шейном отделе и иррадиировали в левую руку. Отмечались чувство онемения в левой руке, затруднение глотания, повышение температуры тела, озноб. При осмотре шейного отдела позвоночника: голова слегка наклонена вперед, движения в шейном отделе невозможны из-за резких болей; мышцы шеи напряжены; определяется кифотическая деформация с выстоянием остистых отростков С4-6 позвонков. При пальпации резкая болезненность по линии остистых отростков на уровне деформации. Движения в левом плечевом суставе болезненны, ограничены.
На спондилограммах (рис. 2, а): массивный деструктивный процесс в телах С4-6 позвонков с их патологическим переломом и разрушением смежных замыкательных пластинок и дисков; очаги деструкции в задних отделах С4-6 позвонков; кифотическая деформация позвоночника в шейном отделе. На рентгенограмме грудной клетки — левосторонняя пневмония. Неврологически: синдром Горнера слева, снижение глоточного рефлекса. Значительно снижена сила в левой руке, имеется гипотрофия мышц левого плеча, предплечья. Рефлексы с рук D > S. Анализ крови: СОЭ 60 мм/ч, НЬ 107 г/л, эр. 3,6*1012/л, л. 20,6*109/л. Анализ мочи: белок 0,090%, л. 60-80 в поле зрения, цилиндры гиалиновые.
При посеве крови выявлен золотистый стафилококк. При исследовании микрофлоры ожоговых раневых поверхностей высеяна синегнойная палочка.
Диагноз: ожоговая болезнь, септикопиемия, сепсис; левосторонняя пневмония; пиелонефрит. Остеомиелит С4-7 с компрессией С5-Т1 корешков слева.
Больному в течение 2 нед проводилось консервативное лечение — антибактериальное, антисептическое, десенсибилизирующее, гормональное, однако состояние его прогрессивно ухудшалось. 19.10.81 была выполнена некрэктомия С4 позвонка с последующим передним спондилодезом СЗ-5 позвонков трансплантатом из большеберцовой кости. В послеоперационном периоде проводилось скелетное вытяжение шейного отдела позвоночника. Применялась дезинтоксикационная, антибактериальная, антисептическая терапия. Температура тела в течение 2 нед была высокой, а затем постепенно нормализовалась. Общее состояние больного улучшилось. Через 3 нед произведены иммобилизация торакокраниальной гипсовой повязкой (на 3 мес), затем — воротником Шанца (на 2 нед).
При осмотре через 10 лет: жалоб нет, движения в шейном отделе позвоночника в полном обьеме, безболезненные, деформации не отмечается. Полный регресс неврологической симптоматики. На спондилограммах шейного отдела (рис. 2, б) определяется перестроившийся костный трансплантат на уровне СЗ-5, соединяющий в единый костный блок остатки тел позвонков.
Рис. 2. Спондилограммы больного Б. а — до операции: деструкция С4—6 позвонков; б — через 10 лет после операции: костный блок С4~7 позвонков.
Остеомиелит грудного и поясничного отделов позвоночника. В верхнегрудном отделе (Т1~4) использовали вентральный подход с медиальной стернотомией, на уровне T5-L1 позвонков — правостороннюю торакотомию, в поясничном отделе (L2-S1) — левосторонний внебрюшинный доступ по В.Д. Чаклину или парамедиальный внебрюшинный.
Оперативное вмешательство складывалось из вскрытия абсцесса, удаления гнойного содержимого, остатков межпозвонковых дисков, костных секвестров, резекции тел позвонков и стабилизации позвоночника аутотрансплантатом.
Больная И., 28 лет, поступила в клинику 5.08.98 с жалобами на боли в грудном отделе позвоночника, ограничение экскурсии грудной клетки, слабость в обеих нижних конечностях. Из анамнеза: заболела в июне 1998 г., когда появились боли в грудном отделе позвоночника и грудной клетке. Проводилось консервативное лечение по поводу остеохондроза, не давшее эффекта. Начала отмечать повышения температуры до 40°С. После рентгенологического исследования грудной клетки заподозрена пневмония и назначено соответствующее лечение, также оказавшееся неэффективным. После осмотра онкологом больная переведена в онкологический центр с диагнозом: остеомиелит Т4-6 позвонков.
Ортопедический статус: ходит с трудом, отмечает резкие боли в грудном отделе позвоночника. Пальпация и перкуссия остистых отростков ТЗ-5 позвонков резко болезненна, определяется кифотическая деформация. Положительный симптом Томпсона. Неврологический статус: брюшные рефлексы отсутствуют, коленные и ахилловы рефлексы оживлены, нижний парапарез. Анализ крови: НЬ 100 г/л, л. 17,9* 109л, СОЭ 34 мм/ч. МРТ (рис. 3, а): позвонок Тб полностью разрушен, клиновидно деформирован. Замыкательные пластинки разрушены. Внутренняя структура гиперинтенсивна (отек костного мозга). Определяется эпидуральный абсцесс на уровне Т5-6 позвонков с четкими признаками компрессии спинного мозга. Имеются признаки превертебрального абсцесса. На аксиальных срезах картина воспалительного поражения Т4-6 позвонков с деструкцией Т5, эпидуральный абсцесс с компрессией спинного мозга, паравертебральным абсцедированием (вероятнее всего, остеомиелит).
Диагноз: остеомиелит Т4-6 позвонков, эпидуральный абсцесс с компрессией спинного мозга; нижний парапарез. Показания к операции: наличие воспалительного процесса в позвоночнике с компрессией спинного мозга. Цель операции: хирургическая санация гнойного очага, декомпрессия спинного мозга, стабилизация позвоночника.
Оперативное вмешательство произведено 30.09.98. Торакотомия по пятому межреберью. Плевральная полость запаяна спайками. Правое легкое прочно спаяно с передним отделом позвоночника на уровне Т4-6 позвонков. Спайки остро и тупо разделены. Медиастинальная плевра отечна, темно-красного цвета. Передняя продольная связка в виде обширного конгломерата прочно спаяна с телами позвонков. Остро рассечены рубцовые инфильтративные ткани на уровне Т4-6 позвонков. Обнаружена деструкция тел позвонков, в большей степени Т5. Произведена резекция тел позвонков, тотально удалено тело Т5, на задней поверхности которого имелся свищевой ход 0,5x0,5 см, сообщающийся с позвоночным каналом и передним отделом спинного мозга. Вскрыт позвоночный канал. С передней поверхности спинного мозга удалена грануляционная ткань. Произведена стабилизация позвоночника четырьмя аутотрансплантатами из резецированного ребра.
Морфологическое исследование операционного препарата: подострая стадия остеомиелита с разрушением и новообразованием костных балок.
Послеоперационный период без осложнений. Больная выписана в удовлетворительном состоянии в ортопедическом корсете через 1 мес после операции. Обследована через 2 года: жалоб нет, температура тела нормальная, анализы крови в пределах нормы, регресс неврологической симптоматики. Является инвалидом II группы. По данным МРТ — костный блок на уровне Т4-6 позвонков (рис. 3, б).
Антибактериальную терапию при хирургическом лечении проводили в течение 7—10 дней, при наличии данных бактериологического исследования — целенаправленно с учетом чувствительности микрофлоры. Заживление операционной раны обычно наступало через 10~12 дней. Нормализация температуры тела и содержания лейкоцитов в крови отмечалась через 2 нед, СОЭ нормализовалась в более поздние сроки — спустя 8 нед.
Рис. 3. МРТ больной И. a — до операции: деструкция тел Т4~6 позвонков, превертебральный абсцесс; б — через 2 года после операции: костный блок Т4-6 позвонков.
Больных выписывали из стационара в съемном корсете через б~8 нед — в зависимости от имевзвонков, формирование грубой кифотической деформации позвоночного столба с наличием спонтанного костного блока и регрессом неврологической симптоматики. Эти 2 больных являются инвалидами II группы. У большинства пациентов отмечено наличие спонтанного костного блока на уровне бывшего воспалительного процесса. Все они вернулись к прежней работе в сроки от 4 мес до 2 лет.
Результаты хирургического лечения
При анализе результатов хирургического лечения в конечном итоге оцениваются два показателя — исход лечения воспалительного процесса и восстановление опороспособности позвоночника после стабилизации его с применением костной пластики [13]. Критериями излечения являются отсутствие общих и местных симптомов, в том числе признаков скрытых очагов инфекции (периодическое повышение температуры, соответствующие изменения в анализах крови, наличие болей в позвоночнике), формирование костного блока на уровне оперативного вмешательства [21, 23, 25~27]. Частота рецидивов остеомиелита у оперированных больных в послеоперационном периоде составляет, по данным разных авторов, от 6,4 до 25% [10, 12, 20, 22, 24].
Из 65 (58%) оперированных нами больных 3 умерли в послеоперационном периоде. Причинами смерти были запущенный ОП, сопутствующая патология, полиорганная недостаточность и неврологические осложнения.
У 3 больных с остеомиелитом шейного отдела через 5-6 мес сформировался костный блок на уровне оперативного вмешательства. Отдаленные результаты прослежены в сроки от 3 до 15 лет: у всех больных наступил регресс неврологической симптоматики, трудоспособность восстановлена.
Из 13 оперированных больных с остеомиелитом грудного отдела позвоночника отдаленные результаты прослежены у 10 (76,9%) в сроки от 2 до 20 лет. У всех больных сформировался хороший костный блок, наступил регресс неврологической симптоматики. В течение года пациенты имели II группу инвалидности, а в последующем вернулись к труду или находились на пенсии по возрасту.
Из 49 больных, оперированных на поясничном отделе позвоночника, отдаленные результаты прослежены у 40 (81,6%) в сроки от 2 до 15 лет. Через год после операции перестройка трансплантата заканчивалась формированием костного блока.
До операции неврологические осложнения имелись у 36 (32%) больных с остеомиелитом грудного и поясничного отделов позвоночника. Полный регресс неврологической симптоматики отмечен у 35 (97%) пациентов (один больной умер в послеоперационном периоде).
Таким образом, радикальное хирургическое лечение — удаление патологического воспалительного очага и стабилизация позвоночника позволяет устранить неврологический дефицит и восстановить трудоспособность больного. Благоприятные результаты костной пластики подтверждают целесообразность и безопасность применения аутотрансплантатов, несмотря на наличие инфекции при гематогенном ОП.
Выводы
- Использование для диагностики остеомиелита позвоночника КТ и МРТ дает возможность выявить очаги деструкции в телах позвонков, распространенность процесса и его связь с окружающими тканями, органами и спинным мозгом, позволяет поставить диагноз в ранние сроки, обосновать тактику и схему лечения.
- Консервативное лечение остеомиелита позвоночника показано при раннем диагностировании его, отсутствии очагов деструкции в телах позвонков и неврологических осложнений, а также при высокой степени риска операции из-за тяжелой сопутствующей патологии и органной недостаточности. Консервативная терапия должна проводиться в течение 6~8 нед.
- Внутриаортальная антибактериальная химиотерапия является эффективным методом лечения остеомиелита позвоночника.
- К хирургическому лечению следует прибегать при неэффективности консервативной терапии, значительном разрушении тел позвонков, наличии секвестров и абсцессов, неврологических осложнений, обусловленных сдавлением спинного мозга.
- Радикальное хирургическое удаление остеомиелитических очагов. с последующей стабилизацией позвоночника костным аутотрансплантатом позволяет устранить неврологический дефицит, добиться формирования костного блока и стойкой ремиссии заболевания.
About the authors
I. P. Ardashev
Kemerovo State Medical Academy
Author for correspondence.
Email: info@eco-vector.com
Russian Federation
G. A. Plotnikov
Kemerovo State Medical Academy
Email: info@eco-vector.com
Russian Federation
A. A. Grigoruk
Kemerovo State Medical Academy
Email: info@eco-vector.com
Russian Federation
V. N. Drobotov
Kemerovo State Medical Academy
Email: info@eco-vector.com
Russian Federation
R. F. Gazizov
Kemerovo State Medical Academy
Email: info@eco-vector.com
Russian Federation
Sh. M. Musaev
Kemerovo State Medical Academy
Email: info@eco-vector.com
Russian Federation
E. I. Ardasheva
Kemerovo State Medical Academy
Email: info@eco-vector.com
Russian Federation
References
Supplementary files





