Mistakes in the treatment of congenital radial clubhand in children
- Authors: Prokopovich V.S.1
-
Affiliations:
- Research Children's Orthopedic Institute. G.I. Turnera
- Issue: Vol 9, No 1 (2002)
- Pages: 17-21
- Section: Articles
- Submitted: 21.01.2022
- Accepted: 21.01.2022
- Published: 02.02.2022
- URL: https://journals.eco-vector.com/0869-8678/article/view/97079
- DOI: https://doi.org/10.17816/vto97079
- ID: 97079
Cite item
Full Text
Abstract
There were 194 patients, aged 8 months-16 years, with congenital talipomanus radioflexa who had 254 deformity of upper extremity. Operative treatment was performed on 232 exptremities. Good results were achieved in 69%), satisfactory — in 22%o of cases. In 9%o of patients (21 upper extremities) partial or complete relapses of deformity requiring repeated surgical correction were detected. Failed outcomes were due to inadequate preoperative planning, technical and methodic mistakes. Analysis showed if those errors were avoided, the significant decrease of deformity relapses rate could be achieved.
Full Text
Врожденная лучевая косорукость является сложной для лечения аномалий развития. Как известно, консервативные мероприятия не устраняют имеющуюся деформацию. Но и оперативные вмешательства далеко не всегда обеспечивают стойкий положительный исход. По данным разных авторов, неудовлетворительные результаты хирургического лечения этого порока составляют от 10 до 30% [5, 9]. Частота рецидивов во многом зависит от техники и правильности индивидуального выбора метода операции, от таких факторов, как нарушение баланса мышц и недостаточная центрация кисти, от тяжести деформации, возраста больных [6, 8, 10]. Нередки и осложнения — нагноение в области проведения спиц дистракционного аппарата, частичная нестабильность в лучезапястном суставе, травмирование дистального эпифиза локтевой кости с последующим отставанием в росте предплечья [4, 7].
Очевидно, что адекватное лечение возникающих осложнений, анализ ошибок, допущенных в ходе лечения, изучение отдаленных результатов имеют важное значение для максимального снижения частоты неудовлетворительных исходов.
МАТЕРИАЛ И МЕТОДЫ
В НИДОИ им. Г.И. Турнера в период с 1972 г. находились на лечении 194 больных с врожденной лучевой косорукостью, у которых деформация выявлена на 254 верхних конечностях. Возраст больных варьировал от 8 мес до 16 лет, 70% составляли дети до 7 лет включительно. Оперативное лечение проведено на 232 конечностях. Применялись методики центрации и радиализации, способы восстановления анатомических соотношений в лучезапястном суставе при гипоплазии лучевой кости — удлинение ее дистракционным аппаратом Илизарова, пластика местными тканями по лучевой стороне предплечья или удлинение сухожилий сгибателей кисти, при наличии показаний — корригирующая остеотомия локтевой кости, иссечение фиброзного тяжа от лучевой кости.
Анализ результатов произведенных хирургических вмешательств позволил выделить три группы имевших место ошибок.
Первая группа ошибок относится к планированию лечения, когда при выраженной лучевой девиации кисти, не поддающейся коррекции, хирургическое вмешательство выполнялось в один этап, без предварительного вытяжения дистракционным аппаратом. В подобных случаях значительно затруднено достижение центрации кисти и в ближайшие сроки после операции вследствие выраженной ретракции мышц происходит подвывих кисти к ладони или к тылу, а также появляется тенденция к отклонению кисти в ладонно-лучевую сторону (рис. 1). Та же клиника может наблюдаться и при двухэтапной методике лечения, если дистракционный аппарат накладывается на недостаточный срок (до 3 нед), в результате чего не достигается полного растяжения мышц. В случаях частичного или полного рецидива деформации проводилось повторное хирургическое вмешательство. Оперированы 9 больных в сроки от 2 до 5 лет после первой операции. Рецидив деформации развился также у ребенка, у которого при проведении хирургического лечения не было учтено наличие разгибательной контрактуры локтевого сустава (рис. 2). Следовательно, при невозможности полного сгибания предплечья в локте оперативное лечение косорукости противопоказано, т.е. первым этапом нужно планировать удлинение трехглавой мышцы плеча с капсулотомией локтевого сустава, а затем, после достижения положительного результата, приступать к устранению лучевой девиации кисти.
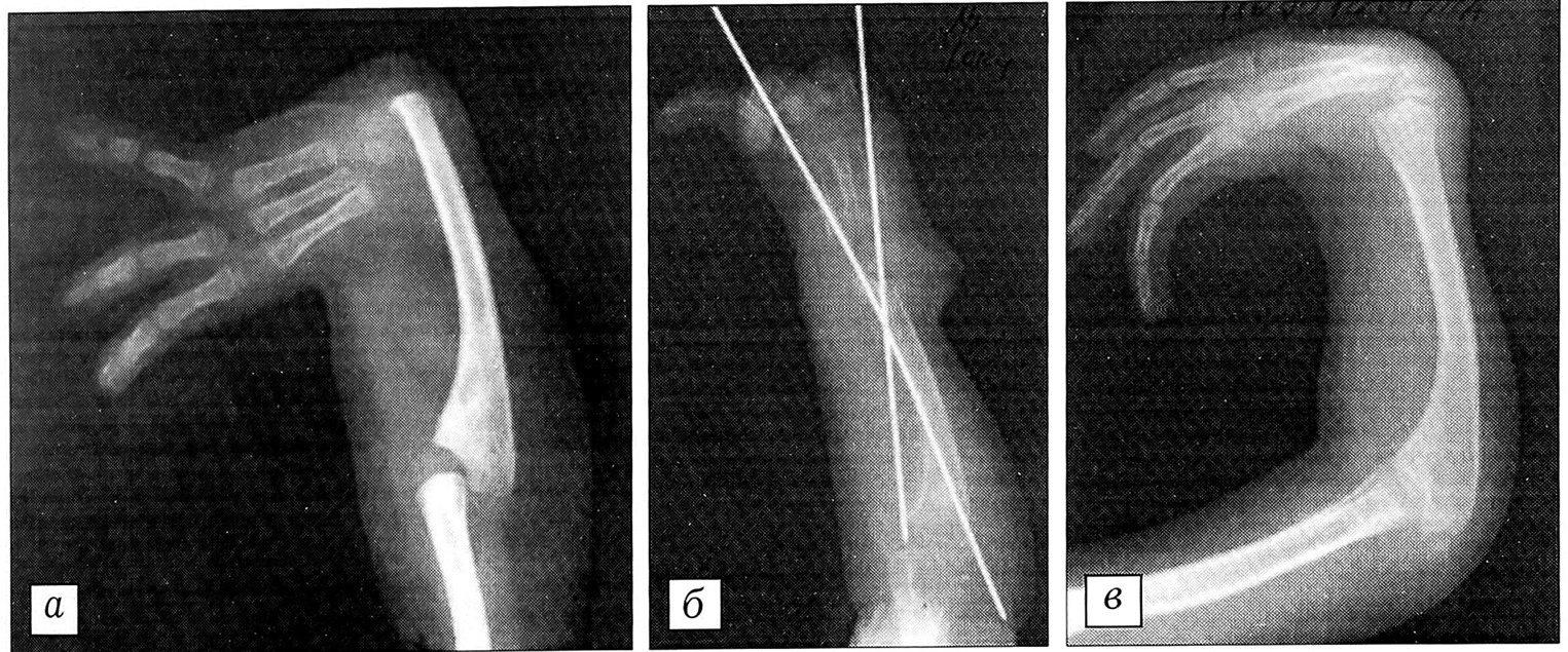
Рис. 1. Рентгенограммы левой верхней конечности больной 3. с врожденной лучевой косорукостью.a — до операции (в возрасте 1 года);б — после операции одноэтапной центрации кисти с фиксацией спицами Киршнера (в возрасте 5 лет);б — через 2 года после операции: имеется вывих кисти к тылу, что потребовало повторного оперативного вмешательства.
Рис. 2. Рентгенограммы правой верхней конечности больного М. с врожденной лучевой косорукостью.а — до операции (в возрасте 4 лет);б — после операции центрации кисти с применением двухэтапной методики (в возрасте 6 лет);в — через 7 лет после операции: из-за не устраненной ранее разгибательной контрактуры локтевого сустава произошел рецидив деформации, несмотря на достигнутое смещение кисти на дистальный конец локтевой кости.
Ко второй группе мы отнесли ошибки технического порядка. Это те случаи, когда при центрации кисти на локтевую кость продольная ось проходила не через II или III, а через IV или V пястную кость. В дальнейшем с ростом ребенка в результате недостаточной центрации развивалась частичная лучевая девиация кисти. Неудовлетворительный косметический исход оперативного лечения деформации отмечался при наличии дугообразного искривления предплечья. В таких случаях обязательной является одновременная корригирующая остеотомия в области наибольшего искривления локтевой кости. При выраженных контрактурах кисти мы наблюдали частичный рецидив как следствие дисбаланса мышц. Подобных ошибок можно избежать, если производить одновременно удлинение сухожилий сгибателей кисти, применять пластику кожи встречными треугольными лоскутами по лучевой стороне лучезапястного сустава. В одном случае причиной неудовлетворительного исхода оказалось то, что при устранении косорукости не был иссечен в дистальном отделе предплечья фиброзный тяж, являвшийся продолжением гипопластичной лучевой кости. Еще у одного больного при центрации кисти, проходившей с большими трудностями вследствие выраженной тракции мышц, не производилось удлинение сгибателей кисти и был поврежден дистальный эпифиз локтевой кости. Из-за перечисленных нарушений и развития рецидива повторное оперативное лечение проведено в 12 случаях, также спустя 2-5 лет после первой операции.
Третью группу составили ошибки методического характера. Сюда мы отнесли, во-первых, применение у больных, оперированных в других стационарах страны, методик, включающих пересадку костных аутотрансплантатов на место дефекта лучевой кости. В таких случаях перемещенный трансплантат не растет и с возрастом ребенка только препятствует росту предплечья. Рецидив деформации неизбежен. Поэтому в последние годы предпочтение отдается трансплантации костных тканей с использованием микрохирургической техники: пересадке плюсневой кости или плюснефалангового сустава с питающими их кровеносными сосудами [3, 9]. Во-вторых, в детской практике малоэффективны методики Португалова, Барденгойера, по которым в целях создания «вилки» лучезапястного сустава производится продольное расщепление дистального конца локтевой кости. В итоге с возрастом у ребенка может прекратиться рост дистального конца локтевой кости и всего предплечья. В-третьих, использование только метода дистракции аппаратом Илизарова с последующим назначением ортезов дает лишь кратковременный эффект и в последующем развивается первоначальная деформация. Без второго оперативного этапа, направленного на стабилизацию кисти в среднем положении, получить удовлетворительный результат в таких случаях невозможно.
Наряду с перечисленными ошибками при лечении врожденной лучевой косорукости имели место и осложнения. Чаще всего (17 случаев) это была воспалительная реакция мягких тканей вокруг спиц после наложения дистракционного аппарата, что требовало более длительного консервативного лечения (локальная антибактериальная терапия или перепроведение спиц). В 7 случаях у больных старшего возраста, отпущенных домой на длительный срок с фиксационной спицей Киршнера и ведущих активный образ жизни, констатирован перелом центральной осевой спицы на уровне локтезапястного сочленения (рис. 3). Было произведено дополнительное оперативное вмешательство для удаления отломков спицы. Перечисленные выше осложнения не повлияли на окончательный благоприятный исход лечения.
В 2 случаях развился частичный рецидив деформации после проведенного удлинения гипопластичной лучевой кости с целью формирования «вилки» лучевого сустава и устранения косорукости. Причина заключалась в отставании в росте удлиненной лучевой кости. Через 3 года была выполнена повторная операция по удлинению лучевой кости с помощью дистракционного аппарата Илизарова.
РЕЗУЛЬТАТЫ
Результаты оперативного лечения врожденной лучевой косорукости, в том числе отдаленные (изучены в сроки от 2 до 14 лет в 145 случаях), расценены как хорошие в 159 (69%), как удовлетворительные — в 52 (22%) случаях. Плохие исходы, потребовавшие повторного оперативного вмешательства, отмечены в 21 (9%) случае, из них в 8 — у больных с косорукостью, страдающих TAR-синдромом, что свидетельствует о сложности лечения деформации при данном синдроме. Анализ неудовлетворительных результатов лечения позволил выделить три группы имевших место ошибок: неадекватное планирование лечения, нарушения технического порядка и методические ошибки. Встретившиеся осложнения не оказали существенного влияния на окончательный (удовлетворительный) исход.
ОБСУЖДЕНИЕ
Методов оперативного лечения врожденной лучевой косорукости насчитывается несколько десятков. Такое их изобилие говорит о сложности патологии и трудности достижения хороших результатов. Наибольшее распространение получили способы центрации или радиализации кисти, двухэтапные методики с использованием дистракционных аппаратов, вмешательства с применением кожной, сухожильной и костной пластики для устранения дисбаланса мышц пораженного предплечья, наконец, трансплантация костных тканей с привлечением микрохирургической техники [3, 5, 7-9].
Обобщение нашего опыта лечения больных с врожденной косорукостью по этим методикам показало, что допущенные ошибки в 9% случаев явились причиной развития частичного или полного рецидива деформации. В результате спустя от 2 до 5 лет после первой операции потребовались повторные хирургические вмешательства.
Анализ ошибок подтверждает, что для профилактики рецидивов существенное значение имеет применение двухэтапной методики с использованием на первом этапе медленной дистракции кисти различными аппаратами, что согласуется с данными других авторов [1, 2, 8, 9]. Кроме того, для достижения баланса мышц пораженного предплечья важна точная центрация кисти в среднем положении по отношению к локтевой кости — с этой целью рекомендуют проводить даже гиперкоррекцию, в частности радиализацию [7], укорачивающую корригирующую остеотомию локтевой кости [5], смещение сгибателей кисти и иссечение фиброзного тяжа при наличии гипопластичной лучевой кости [6, 10].
Нельзя считать оправданным стремление устранить косорукость у больных с выраженной разгибательной контрактурой в локтевом суставе. Для профилактики рецидивов немаловажное значение имеет длительное (до 6-12 мес) сохранение в послеоперационном периоде фиксирующих кисть спиц Киршнера, но только у детей младшего возраста. После операции рекомендуется также снабжать конечность ортезами на длительные сроки, желательно до окончания роста.
Наш опыт свидетельствует, что производить устранение врожденной лучевой косорукости у детей предпочтительно в возрасте 1-2 лет, хотя ряд авторов рекомендуют раннее оперативное лечение — уже с 6 мес [5, 7, 10].
Таким образом, анализ допущенных ошибок показал, что они по своему характеру не являются неизбежными. Исключение этих ошибок позволит существенно снизить частоту рецидивов деформации после оперативного лечения врожденной лучевой косорукости у детей.
About the authors
V. S. Prokopovich
Research Children's Orthopedic Institute. G.I. Turnera
Author for correspondence.
Email: info@eco-vector.com
Russian Federation, Saint Petersburg
References
Supplementary files




