A decade of experience in hip arthroplasty in dysplastic coxarthrosis
- Authors: Abeltsev V.P.1
-
Affiliations:
- Medical Center of the Administration of the President of the Russian Federation
- Issue: Vol 9, No 1 (2002)
- Pages: 54-57
- Section: Articles
- Submitted: 22.01.2022
- Accepted: 22.01.2022
- Published: 02.02.2022
- URL: https://journals.eco-vector.com/0869-8678/article/view/97134
- DOI: https://doi.org/10.17816/vto97134
- ID: 97134
Cite item
Full Text
Abstract
One hundred ninety two patients, aged 25—78, with dysplastic coxarthrosis underwent total hip replacement (46 out of them bilateral). Technical peculiarities of operations were given. Depending on the character and severity of hip damages the implants of various design were used, if necessary the plasty of spongy bone autografts was performed. At follow up under 10 years in 96% of patients the significant improvement of state was noted. In 3 cases revision total hip replacement was performed, i.e. in 2 cases due to acetabular component loosening and in 1 case due to implant loosening
Full Text
Лечение коксартроза — одна из важнейших проблем современной ортопедии, имеющая не только медицинское, но и социальное значение [3, 7]. Диспластический коксартроз — болезнь молодых. Резкое ограничение возможности передвижения при этом заболевании приводит к утрате трудоспособности, что существенно снижает качество жизни больных. В течение многих лет основными методами хирургического лечения коксартроза являлись декомпрессирующие операции, межвертельная остеотомия бедра, артропластика и артродез. Поиски более эффективных способов восстановления функции тазобедренного сустава привели к созданию метода его эндопротезирования. В настоящее время тотальное эндопротезирование тазобедренного сустава при диспластическом коксартрозе находит все более широкое применение [1, 5], тогда как количество других, менее эффективных хирургических вмешательств с каждым годом уменьшается.
Операции при дисплазии тазобедренного сустава являются наиболее сложным разделом первичного эндопротезирования. Обеспечить соблюдение его основополагающих принципов — восстановить форму (центр вращения сустава) и функцию оперированной конечности — в этих случаях трудно. Основную сложность представляет имплантация ацетабулярного компонента эндопротеза [2, 8].
Многие аспекты обсуждаемой проблемы остаются недостаточно изученными. В частности, это относится к методам диагностики (рентгенологическая компьютерная томография, магнитно-резонансная томография), классификации дисплазий тазобедренного сустава, четкому определению показаний к применению того или иного вида имплантата, использованию костной пластики (аутоили аллотрансплантатами) и ее технологии, а также к методам послеоперационной реабилитации больных.
В основе неполноценного развития тазобедренного сустава при рассматриваемой патологии могут лежать: 1) дисплазия шейки бедренной кости; 2) дисплазия вертлужной впадины; 3) врожденный вывих бедра.
В динамике патологического процесса выделяют три стадии: I — предвывих головки бедра; II — подвывих головки бедра: а) первичный, б) остаточный (после вправления); III — вывих головки бедра: а) боковой и переднебоковой, б) надацетабулярный, в) подвздошный.
Основными признаками, характеризующими диспластический сустав, являются: антеверсия шейки бедренной кости, отклонение вертлужной впадины кпереди от сагиттальной плоскости, нарушение центрации головки в горизонтальной плоскости, увеличение шеечно-диафизарного угла и угла вертикального наклона впадины (более 60°). Вертлужная впадина при этом становится неглубокой, и погружение в нее головки составляет менее 1/3 (норма — 1/2). Нередко наблюдается дефект крыши и дна вертлужной впадины. Головка бедра неправильной формы, с буграми, бороздами и дефектами хряща (очагами некроза и пролиферативными изменениями). Костномозговой канал проксимальной части бедра сужен, с явлениями истончения костных балок. Наряду с этим обнаруживаются мягкотканные изменения: увеличение жировой подушки, удлинение собственной связки головки, аномалия и асимметрия расположения мышц.
Изменения в диспластическом тазобедренном суставе при врожденном вывихе бедра и остаточном подвывихе зависят от выраженности первичной аномалии, характера предшествующего лечения и возраста больного. Ранняя диагностика и последующее лечение этой патологии у детей приводят к ремиссии. Однако в дальнейшем под влиянием увеличивающейся нагрузки, беременности у женщин и нарушения трофики в измененном тазобедренном суставе неизбежно развивается коксартроз. При этом формируются сгибательно-приводящая контрактура сустава, дегенеративно-дистрофические изменения в пояснично-крестцовом отделе позвоночника, проявляющиеся сколиотической деформацией, искривлением оси таза. Эти изменения не только ограничивают физические возможности больных, но и приводят к стойкой нетрудоспособности.
Под нашим наблюдением находились 192 больных диспластическим коксартрозом в возрасте от 25 до 78 лет, которым было выполнено 238 операций эндопротезирования (46 больным произведено эндопротезирование обоих тазобедренных суставов).
Как показал анализ нашего материала, высокоинформативным методом объективизации состояния тазобедренного сустава является магнитнорезонансная томография (проведена у 45 больных с тяжелой степенью дисплазии и резко выраженной деформацией компонентов тазобедренного сустава). Этот метод помогает правильно подобрать эндопротез и способствует успешному выполнению операции. Важное значение имеет денситометрическое исследование, позволяющее оценить выраженность остеопороза в области сустава. При денситометрии тазобедренных суставов после эндопротезирования (проведена у 40 больных с 4-месячным интервалом) выявлено, что степень изменения плотности костной ткани суставных концов неодинакова. Если в области вертлужной впадины снижение ее доходило до 10%, то в суставном конце бедра оно не превышало 8%. Создание после эндопротезирования новых условий нагрузки способствовало минерализация костной ткани, что, как правило, приводило к хорошей остеоинтеграции компонентов эндопротеза.
Частота билатерального поражения суставов при диспластическом коксартрозе достигает 40% [3, 5]. Тотальное эндопротезирование сустава, как правило, приводит к увеличению длины оперированной конечности (за счет установки ацетабулярного компонента эндопротеза в истинной вертлужной впадине) и латерализации дна вертлужной впадины в результате костной пластики, восстановления шеечно-диафизарного угла бедренным компонентом эндопротеза. Это влечет за собой перестройку биомеханики оперированного сустава, создавая необходимость эндопротезирования контралатерального сустава при двустороннем поражении. Из 192 наших больных эндопротезирование обоих тазобедренных суставов было выполнено у 46 (24%). Сроки второй операции определялись скоростью восстановления объема потерянной крови, тонуса мышц оперированной конечности, функции тазобедренного сустава, а также временем, необходимым для остеоинтеграции имплантата (минимум 3~4 мес).
При выборе типа эндопротеза и способа его фиксации учитывались состояние костной ткани, степень дисплазии сустава и ее характер, наличие костных дефектов, изменения, вызванные предыдущими операциями (в 70% случаев потребовалась пластика дефектов вертлужной впадины костными аутотрансплантатами, взятыми во время операции из резецированной головки бедра).
Часто изменения проксимального отдела бедренной кости, канала бедра не позволяли имплантировать стандартную ножку. В этих случаях мы использовали бесцементную ножку Вагнера или диспластическую цементируемую ножку Мюллера. Если пациенту ранее производилась межвертельная остеотомия бедренной кости или возникала необходимость в укорочении конечности (после операции по созданию упора бедра по Г.А. Илизарову), выполняли остеотомию большого вертела и его рефиксацию проволочным швом либо спонгиозными винтами.
Использование цементируемой пластмассовой чашки в качестве ацетабулярного компонента эндопротеза при дисплазиях ограничено из-за дефицита покрытия ее костью. Сочетание цементной фиксации чашки с костной пластикой еще более ограничено, поскольку костный цемент, обладающий высокой проникающей способностью, заполняет пространства между костным ложем и трансплантатами, препятствуя их васкуляризации и сращению. Бесцементная фиксация ацетабулярного компонента эндопротеза с применением пластики массивными костными трансплантатами из-за слабой и медленной васкуляризации трансплантатов ведет к их частичному, а в ряде случаев — полному асептическому некрозу и нестабильности чашки [1, 4].
В зависимости от выраженности дисплазии мы использовали следующие виды имплантатов:
- при умеренно выраженной дисплазии (когда глубина сформированной впадины была достаточной для покрытия чашки костью) — чашку Споторно (30 операций);
- при дисплазии средней степени — оригинальную чашку Мюллера на винтах (68 операций, в 22 случаях — в сочетании с костной пластикой);
- при высокой степени дисплазии — опорное кольцо Мюллера с низкопрофильным полиэтиле
новым вкладышем, разработанным М. Мюллером для диспластических вертлужных впадин (140 операций, в 104 случаях — в сочетании с костной пластикой).
Более плоское укрепляющее кольцо не требует большой медиализации впадины. Имеющиеся в опорном кольце отверстия позволяют надежно фиксировать его во впадине спонгиозными винтами вместе с аутотрансплантатами, заложенными за верхний край кольца, и обеспечить единую конструкционную связь между опорным кольцом, трансплантатами и тазом. В области максимальных нагрузок, где устанавливается опорное кольцо, создается прямой контакт кости с титановой поверхностью кольца, которое со временем интегрируется с окружающей костной тканью.
Первичная стабильность как оригинальной чашки Мюллера, так и опорного кольца Мюллера достигается за счет прочной фиксации винтами. Цемент, фиксирующий полиэтиленовый вкладыш для опорного кольца, выполняет в этой конструкции механическую функцию удержания вкладыша. Это обеспечивает большую степень свободы в отношении правильной ориентации вкладыша. Число проводимых винтов варьирует от 3 до 6 и зависит от массы тела пациента, степени дисплазии, объема костной пластики.
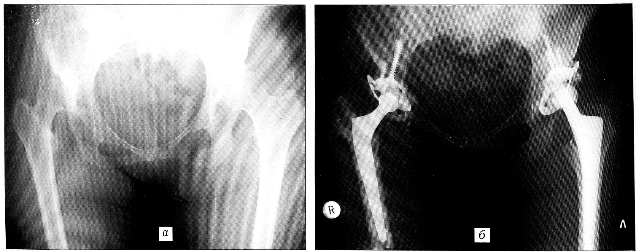
Рис. 1. Рентгенограммы больной Г. 47 лет. Диагноз: двусторонний диспластический коксартроз III стадии, сгибательно-приводящая контрактура обоих бедер, абсолютное укорочение левой нижней конечности на 3 см.а — до операции; б — через 9 лет после операции на правом и 9,5 лет — на левом тазобедренном суставе: восстановлены длина и функция конечности, хорошая остеоинтеграция компонентов эндопротеза.
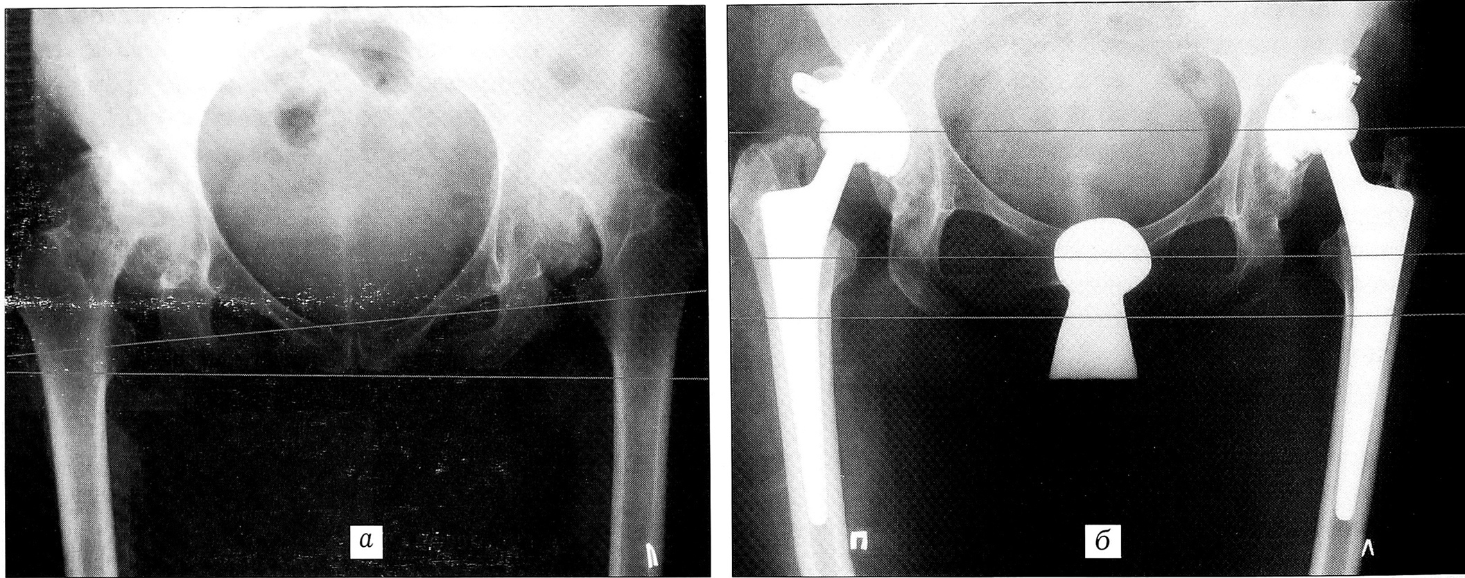
Рис. 2. Рентгенограммы больной К. 42 лет. Диагноз: врожденный вывих обоих бедер с абсолютным укорочением конечностей (правой — на 5,5 см, левой — на 3 см).а — до операции; б — через 1 год после операции на левом и 1,5 года — на правом тазобедренном суставе.
При врожденном вывихе бедра и высоком стоянии головки одномоментное восстановление длины конечности может привести к сосудистым и неврологическим расстройствам, вплоть до глубоких парезов стопы. Поэтому мы используем методику двухэтапного эндопротезирования. На первом этапе производится резекция головки бедренной кости, мобилизация мягких тканей проксимального отдела бедра, формирование вертлужной впадины и имплантация опорного кольца Мюллера. Рана зашивается наглухо. Через мыщелки бедренной кости проводится спица и налаживается скелетное вытяжение. Осуществляется контролируемое низведение бедренной кости. После низведения бедра до необходимого уровня (через 2-3 нед) выполняется второй этап операции — имплантация ножки эндопротеза. По данной методике произведено 8 операций. Послеоперационных осложнений не было.
В качестве иллюстрации к сказанному выше приведем краткое описание двух наблюдений.
Больная Г., 47 лет. Диагноз: двусторонний диспластический коксартроз III стадии, сгибательно-приводящая контрактура обоих бедер, абсолютное укорочение левой нижней конечности на 3 см (рис. 1, а). Произведено эндопротезирование обоих тазобедренных суставов с интервалом в 5 мес. Слева: бесцементная система Споторно; справа: ацетабулярный компонент — оригинальная чашка Мюллера на винтах с пластикой крыши вертлужной впадины аутотрансплантатами из резецированной головки бедренной кости; бедренный компонент — бесцементная ножка Споторно. Восстановлены длина и функция нижних конечностей. Срок наблюдения 9 лет после операции на правом и 9,5 лет — на левом суставе (рис. 1, б): продолжает работать по специальности (врач).
Больная К., 42 лет. Диагноз: врожденный вывих обоих бедер с абсолютным укорочением правой конечности на 5,5 см, левой на 3 см (рис. 2, а). Произведено двустороннее эндопротезирование тазобедренных суставов с интервалом в 6 мес. Справа: укрепляющее кольцо Мюллера и диспластическая цементируемая ножка Мюллера; слева — укрепляющее кольцо Мюллера и бесцементная ножка Споторно. Восстановлены длина и функция оперированных конечностей (рис. 2, б). Срок наблюдения 8,5 лет после операции на правом и 8 лет — на левом суставе: хорошая остеоинтеграция ацетабулярного и бедренного компонентов эндопротезов, пациентка работает по своей специальности (зоотехник).
Из осложнений в послеоперационном периоде наблюдались поверхностное нагноение раны (у 3 пациентов), парез седалищного нерва (у 2). У 8 больных отмечено образование параартикулярных оссификатов (в 2 случаях потребовалось их оперативное удаление, в остальных были проведены местная противовоспалительная гамма-терапия, лечение нестероидными противовоспалительными препаратами). В 3 случаях возникла необходимость в ревизионном эндопротезировании (в 2 — в связи с нестабильностью ацетабулярного компонента, в 1 — с тотальной нестабильностью эндопротеза). Большинство указанных осложнений не повлияли на исход лечения.
При сроке наблюдения до 10 лет положительный результат лечения констатирован у 96% больных. Таким образом, эндопротезирование тазобедренного сустава протезом Мюллера со стабильным креплением компонентов в костях является высокоэффективным методом медицинской и социальной реабилитации больных диспластическим коксартрозом.
В заключение хотелось бы отметить следующее. Эндопротезирование тазобедренного сустава могут выполнять травматологи-ортопеды высокой квалификации, прошедшие соответствующую специализацию и имеющие сертификат на право проведения этих операций. Для выполнения эндопротезирования в распоряжении хирурга должен быть набор эндопротезов различных размеров (минимум трех) и специальный инструментарий, а также технически хорошо оснащенная операционная.
About the authors
V. P. Abeltsev
Medical Center of the Administration of the President of the Russian Federation
Author for correspondence.
Email: info@eco-vector.com
Russian Federation, Moscow
References
Supplementary files




