The role of computed tomography in the development and implementation of minimally invasive surgery methods in the clinic of bone pathology
- Authors: Morozov A.K.1, Snetkov A.I.1, Balberkin A.V.1, Belyaeva A.A.1, Kosov I.A.1, Frantov A.R.1
-
Affiliations:
- Central Institute of Traumatology and Orthopedics. N.N. Priorova
- Issue: Vol 8, No 2 (2001)
- Pages: 5-10
- Section: Articles
- Submitted: 23.01.2022
- Accepted: 23.01.2022
- Published: 02.02.2022
- URL: https://journals.eco-vector.com/0869-8678/article/view/97180
- DOI: https://doi.org/10.17816/vto97180
- ID: 97180
Cite item
Full Text
Abstract
The evaluation of the CT efficacy for the elaboration and realization of low invasive diagnosis and treatment in bone pathology was performed. Sixty two patients, aged from 6 to 80, were examined. The method of stereotaxic determination of pathologic locus localization with CT controlled manipulation (target biopsy, «anchor» navigation in disorder focus, injection of contrast matter and introduction of plastic materials into the focus) was used. The efficacy of those method made up 89.6% for target biopsy corresponding to the high degree accuracy of pathological process identification and 100%) for the preoperative marking. New elaborated method is accurate and safe for the patients.
Full Text
Раннее выявление опухолей и опухолеподобных заболеваний костей представляет сложную и далеко не решенную проблему. Дифференциальная диагностика очагов поражения небольшого размера затруднена из-за скудности их рентгеносемиотических признаков и минимальных денситометрических различий. Поэтому ведущую роль здесь играет пункционная биопсия. Однако ее выполнение при труднодоступной локализации и малых размерах очага весьма сложно. Решить эту задачу помогает проведение пункционной биопсии под контролем усилителей рентгеновского изображения и КТ.
На сегодняшний день компьютерная томография является методом выбора в выявлении очагов деструкции кости, обеспечивая возможность топической диагностики и определения пути проведения инструментария при биопсии. В последнее десятилетие на базе компьютерных томографов активно развиваются методики малоинвазивной хирургии под визуальным контролем: диагностическая чрескожная аспирационная биопсия различных органов и тканей, методики выполнения терапевтических процедур. По данным ряда авторов, диагностическая достоверность исследований при применении КТ-ведомой биопсии в случае инфекционного поражения поджелудочной железы, инфекционных и вторичных заболеваний легких, печени, позвоночника составляет от 90 до 100%, что в значительной степени определяет успех лечения [4, 6-8, 12]. Однако в костной патологии методы малоинвазивной хирургии до настоящего времени недостаточно разработаны и не нашли широкого применения.
Поиск путей использования малоинвазивных методов диагностики и лечения различных заболеваний в качестве альтернативы обычным хирургическим операциям привел к созданию навигационных технологий. Суть их заключается в реализации оперативных вмешательств с максимальной эффективностью и безопасностью для пациента на базе совокупного использования аппаратных и программных средств. Однако на сегодняшний день оснащение ортопедических клиник России навигационными системами практически невыполнимо по ряду юридических и экономических причин, региональные навигационные хирургические центры находятся в стадии планирования [2].
С целью повышения диагностических возможностей компьютерной томографии, разработки новых путей лечения некоторых видов костной патологии, внедрения методов малоинвазивной хирургии в отделении лучевой диагностики ЦИТО применяется метод стереотаксического определения локализации патологического очага с выполнением манипуляций под контролем КТ, что обеспечивает их точность и безопасность.
Материал и методы
Наш опыт, накопленный за период с 1997 по 2000 г., базируется на результатах диагностического обследования и лечения 62 пациентов в возрасте от 6 до 80 лет с опухолями, опухолеподобными и воспалительными заболеваниями скелета. Среди них лиц женского пола было 22, мужского — 40; дети и подростки составляли 36%.
По локализации патологического очага больные распределялись следующим образом: лопатка — 2, плечевая кость — 2, кости кисти — 2, бедренная кость — 16, кости голени — 5, кости стопы — 4, кости таза — 18, позвоночник — 13 больных. Необходимо отметить, что случаи труднодоступной локализации (кости таза, позвоночник, лопатка) составили 52% от всех наблюдений.
На основании комплексных исследований нами были разработаны показания к применению и методики выполнения хирургических манипуляций под контролем КТ.
Целью (показанием к проведению) лечебно-диагностических мероприятий являлись:
- забор материала в любой точке патологического очага для верификации диагноза и уточнения объема оперативного вмешательства;
- выявление локализации очага поражения небольших размеров (до 5-10 мм) для обеспечения минимизации хирургического вмешательства;
- санация воспалительных очагов или лечебнодиагностические пункции кист костей с последующим введением лекарственных препаратов, пластических материалов;
- введение контрастного вещества в очаг деструкции при необходимости дифференциальной диагностики.
Диагностические и лечебные мероприятия проводились по методике стереотаксического определения локализации и выполнения манипуляций под контролем КТ. Основными манипуляциями были: прицельная биопсия; навигация «якоря» в очаг поражения (предоперационная разметка под контролем КТ); пункционная биопсия под контролем КТ с последующим введением в полость очага, кисты лекарственных препаратов, контрастных веществ, пластических материалов. Во всех случаях использовался компьютерный томограф XPEED фирмы «Toshiba».
Рис. 1. Больная Д. Эозинофильная гранулема головки правой плечевой кости. Прицельная биопсия. a — расчет точки введения и угла наклона трепана с использованием рентгеноконтрастных маркеров; б — контрольная томограмма, документирующая участок забора материала.
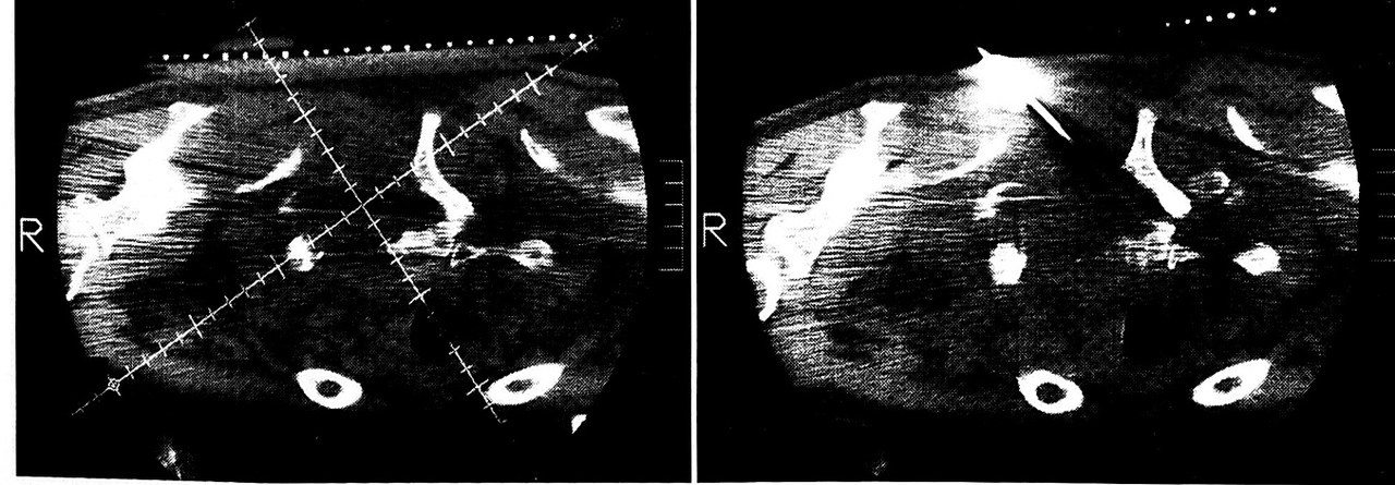
Рис. 2. Больной Г. Метастаз плоскоклеточного рака Т2 позвонка. Прицельная биопсия под контролем КТ с использованием разработанного устройства.
Предпочтительное положение пациента — лежа на спине или на животе; положение на боку нестабильно, что может привести к неточности при выполнении манипуляции.
Метод прицельной биопсии под контролем КТ включал несколько этапов. Предварительно проводилось диагностическое сканирование срезами, шаг и толщина которых варьировали в зависимости от протяженности патологического процесса (5-10 мм). Это позволяло определить топографию образования, его взаимоотношения с прилежащими органами. Далее выбирался срез, оптимальный с точки зрения выраженности рентгенологических признаков заболевания и минимальной травматичности проведения прицельной биопсии. На выбранном уровне накожно закреплялись перпендикулярно световому лучу рентгеноконтрастные маркеры и проводилось повторное сканирование. По полученной томограмме уточнялось наиболее удобное положение трепана: рассчитывались точка его введения, угол наклона и глубина проникновения. Точка введения выбиралась таким образом, чтобы свести к минимуму изменение направления хода трепана в каудальную или краниальную сторону. Под местной анестезией осуществлялось чрескожное введение трепана. Контроль за месторасположением инструмента в операционном поле обеспечивался серией томограмм, производимых на уровне кончика трепана: промежуточная томограмма с определением его хода в мягких тканях, затем вторая промежуточная томограмма при достижении кости — для подтверждения правильности точки контакта с костью. После этого трепан продвигали вращательными движениями внутрь очага поражения до достижения расчетной глубины. Производили томограмму, документирующую участок забора материала (рис. 1). При необходимости коррекции положения трепана извлекали его и предпринимали повторную попытку биопсии. После забора материала при наличии показаний вводили лекарственные или контрастирующие препараты. Далее выполняли контрольное сканирование с целью оценки состояния исследованной области.
Для проведения биопсии на уровне грудного, поясничного и крестцового отделов позвоночника было разработано устройство, применение которого позволяет сократить время манипуляции и соответственно снизить лучевую нагрузку на пациента [3] (рис. 2).
При выполнении предоперационной разметки патологического очага под контролем КТ производили навигацию «якоря» (спицы) в очаг поражения. Предварительные этапы разметки аналогичны этапам прицельной биопсии. Успех реализации этой методики зависит от точности проведения «якоря». Ключом к успеху является отслеживание
траектории движения инструмента в операционном поле, а положительным результатом — соединение «якоря» и очага поражения в одной точке. Находящийся в очаге поражения «якорь» служит ориентиром для выполнения минимизированного оперативного вмешательства (рис. 3).
Диагностические и лечебные мероприятия, проводимые под контролем КТ, считали успешными при гистологическом подтверждении характера патологического процесса (в случае прицельной биопсии), реализации минимального оперативного вмешательства, благоприятной динамике процесса после введения лекарственных препаратов и пластических материалов.
Результаты биопсии оценивались как положительные в тех случаях, когда было дано заключение о характере процесса без уточнения нозологической принадлежности, но с указанием на доброкачественную или злокачественную природу опухоли, либо о наличии воспалительного процесса. Отрицательными считались результаты, когда исследованный материал не давал оснований даже предположительно судить о характере процесса.
Результаты
Под контролем КТ проведено 48 прицельных биопсий. Из них 89,6% расценены как успешные. Верификация диагноза определила характер последующего лечения и объем оперативного вмешательства. В одном случае при диагнозе левостороннего сакроилеита под контролем КТ в воспалительный очаг после его санации был введен лекарственный препарат. При обследовании через 2 мес отмечена положительная клинико-рентгенологическая динамика (рис. 4).
Предоперационная разметка под контролем КТ произведена в 14 случаях (в 12 — у детей и подростков), в том числе в одном случае — с извлечением винта из заднего края вертлужной впадины, в двух — с введением контрастного вещества в патологический очаг. У 9 пациентов при диагнозе остеоидной остеомы на основе навигации «якоря» в патологический очаг выполнена минимальная резекция (рис. 5). Во всех 9 случаях диагноз остеоидной остеомы верифицирован морфологически. В катамнезе клинико-рентгенологических признаков рецидива не выявлено.
Рис. 3. Больная Б. Неспецифический хронический воспалительный процесс в заднем отделе правой подвздошной кости. Предоперационная разметка. а навигация «якоря» в очаг поражения; б — контрольное обследование через 14 мес.
С целью дифференциальной диагностики у 2 больных проводилось контрастирование очага деструкции. У одного из них по результатам контрастного исследования исключен диагноз дистрофической кисты головки левой бедренной кости, у другого подтверждены деструкция дна вертлужной впадины и формирование абсцесса в полости малого таза (рис. 6). У обоих больных диагноз верифицирован морфологическим исследованием материала биопсии, выполненной под контролем КТ.
Рис. 4. Больной Г. Левосторонний неспецифический сакроилеит. a — лечебно-диагностическая пункция; б — контрольное обследование через 2 мес.
Рис. 5. Больной Б. Остеоидная остеома правой таранной кости. a — предоперационная разметка «гнезда» опухоли; б — контрольное обследование через 1,5 мес после операции
В 2 случаях произведена предоперационная разметка с последующей лечебно-диагностической пункцией аневризмальной кисты кости таза в одном и с резекцией очага неспецифического хронического воспаления задних отделов подвздошной кости справа — в другом.
Рис 6. Больной К. Неспецифический воспалительный процесс в дне левой вертлужной впадины с формированием абсцесса в малом тазе. a — диагностическое компьютерное сканирование; б — введение контрастного вещества с целью дифференциальной диагностики.
Рис. 7. Больной Ч. Интравертебральная остеоидная остеома корня правой дуги Тб позвонка. a — MPT: на Т2 ВИ определяется гиперинтенсивный сигнал от задних отделов тел и задних элементов Т5-7 позвонков; б — КТ: «гнездо» остеоидной остеомы в правых отделах дуги Тб позвонка; в — навигация «якоря» в «гнездо» остеоидной остеомы; г —контрольное обследование через 8 мес.
Навигация «якоря» в очаг поражения под контролем КТ позволила минимизировать хирургическое вмешательство и абластично удалить очаг деструкции в 100% случаев. Нужно отметить, что у 1/3 наших пациентов размер очага не превышал 5~10 мм.
В качестве примера представляем следующее наблюдение.
Больной Ч.,22 лет, обратился в ЦИТО с жалобами на боли в грудном отделе позвоночника, усиливающиеся ночью. Боли появились год назад без видимой причины. Температурной реакции, отклонений от нормы в клинических анализах крови и мочи не отмечалось. В районной поликлинике был поставлен диагноз остеохондроза позвоночника, проводилась консервативная терапия — массаж, противовоспалительное медикаментозное лечение, однако купировать болевой синдром не удалось.
При клиническом обследовании в ЦИТО выявлены выраженный грудной кифоз с вершиной на уровне Т5-7 позвонков, наличие зон резкой болезненности при пальпации в области правой паравертебральной линии и остистых отростков.
На произведенных рентгенограммах грудного отдела позвоночника в двух проекциях на уровне задних элементов Тб позвонка справа определяется участок остеосклероза с зоной просветления в центре, без четких контуров. С подозрением на остеоидную остеому больному дополнительно проведено МРТ-и КТ-исследование. Выявленные изменения расценены как интравертебральная остеоидная остеома корня правой дуги Тб позвонка.
Учитывая труднодоступность очага, под контролем КТ произведена предоперационная разметка «гнезда» остеоидной остеомы с последующей минимальной резекцией (рис. 7). При морфологическом исследовании операционного материала подтвержден диагноз остеоидной остеомы.
Пациент выписан на 4-е сутки без дополнительной иммобилизации. При обследовании через 8 мес кифосколиоз грудного отдела позвоночника отсутствует, зон болезненности в области правой паравертебральной линии и остистых отростков не определяется, признаков рецидива заболевания нет.
Представленное наблюдение демонстрирует эффективность предоперационной разметки под контролем КТ, которая позволила уменьшить объем хирургического вмешательства, снизить риск операции для пациента, сократить срок стационарного лечения и продолжительность периода реабилитации.
Обсуждение
Проведенные исследования показали, что малоинвазивные методики с выполнением манипуляций под контролем компьютерного томографа в клинике костной патологии обеспечивают точность и безопасность диагностики и лечения.
Исследование материала пункционной биопсии при патологических процессах в костях, по данным С.И. Липкина [1], в 61,3% дает положительный результат (выявление характера процесса и его природы), 9,5% составляют неопределенные диагнозы (предположительное заключение о характере процесса), в остальных случаях результат исследования отрицательный или ошибочный. Несмотря на неоспоримую ценность, этот метод имеет ограниченные возможности, связанные со «слепым» забором материала [1]. Открытая биопсия кости, особенно труднодоступных отделов скелета, является по сути хирургической операцией и зачастую сопряжена с большим объемом вмешательства и послеоперационными осложнениями. При небольших размерах очага открытая биопсия технически весьма сложна и трудновыполнима.
Разработка метода чрескожной аспирационной биопсии патологического очага под визуальным контролем, начавшаяся в конце XIX века в эксперименте на животных, была обусловлена стремлением исследователей к идентификации заболевания до оперативного вмешательства с целью выбора адекватной лечебной тактики. Создателями стереотаксической хирургии считаются Horsley и Clarke, заложившие базу для дальнейшего развития метода [2]. В 1948 г. Valls и соавт. [13] описали аспирационную методику биопсии тела позвонка, при использовании которой удовлетворительные результаты были получены в 69% из 86 случаев. По мере технического совершенствования методики аспирационной биопсии становились безопаснее, упрощались и нашли широкое применение с внедрением в практику рентгеноскопии усилителей рентгеновского изображения. Последние на определенном этапе сыграли свою роль в формировании метода малоинвазивной хирургии. Однако при малых размерах очага поражения они оказывались неэффективными, лучевая нагрузка на пациента и врача была значительной. С появлением и быстром развитием компьютерной томографии стало возможным выявлять мелкие, глубоко расположенные очаги поражения кости, а впоследствии — проводить хирургические и терапевтические манипуляции под контролем КТ.
Так, Mondal и Misra [9], применившие аспирационную биопсию под контролем КТ у 112 пациентов с поражениями позвоночника, отмечают, что в большинстве случаев использование этой методики позволило избежать ненужных хирургических «поисково-разведочных работ», особенно при малых размерах патологического очага. Диагностическая достоверность методики составила 96,4%, что способствовало проведению адекватного лечения. В исследованиях Babu и соавт. (75 пациентов) диагностическая точность метода составила 90,6%. Авторы оценивают пункционную биопсию под КТ-наведением как безопасную, простую, точную и быструю процедуру [5]. Пациенты со злокачественными опухолями зачастую поступают на обследование со II-III стадией заболевания, что определяет особую важность точной и быстрой диагностики. Nanda и соавт. [10] из 55 случаев запоздалой диагностики в 94,6% подтвердили диагноз злокачественной опухоли на начальном этапе обследования, использовав методику пункционной биопсии под контролем КТ.
Нельзя не подчеркнуть еще раз преимущества малоинвазивной хирургии под контролем КТ при очагах поражения малого размера, не распознаваемых на рентгеновских снимках. Railhac и соавт. [11] произвели у 35 пациентов под контролем КТ чрескожную резекцию остеоидной остеомы и пришли к выводу о возможности удаления таким же методом других локальных поражений кости.
КТ-контроль при проведении хирургических манипуляций позволяет оценить доступность очага поражения и безопасность доступа. Жизненно важные образования четко видны на каждом этапе выполнения манипуляции, и это уменьшает тревогу врача по поводу возможных осложнений.
Проведение биопсии и предоперационной разметки занимает около 40 мин. С накоплением опыта манипуляция может быть выполнена с использованием меньшего числа срезов и за более короткое время. Облучение колеблется в пределах 3~10 рад на 10 КТ-срезов, что гораздо меньше, чем при рентгеноскопии [5].
Один из недостатков КТ-контроля состоит в невозможности непрерывного наблюдения. Точное измерение угла вхождения и глубины проникновения иглы (спицы, трепана) не представляется сложным, однако КТ-фактором неопределенности является выбор правильной поперечной плоскости введения иглы. Если кончик иглы отклоняется в краниальном или каудальном направлении, он выходит из плоскости КТ-среза, что требует выполнения коррекции. Этот недостаток компенсируется опытом хирурга, а также возможностью легко освоить данный метод. Отрицательные результаты биопсии, имевшие место в нашем исследовании, можно объяснить недостатком опыта у рентгенологов и хирургов на начальном этапе внедрения метода. Кроме того, это указывает на необходимость усовершенствования биопсийного инструментария и выработки четких показаний к использованию определенных игл в каждом конкретном случае.
Дальнейшее развитие КТ-ведомых малоинвазивных методов мы связываем с совершенствованием программного обеспечения, разработкой различных модификаций метода для конкретных областей скелета, использованием контрастного усиления при ряде процедур, а также с совершенствованием инструментария для забора материала и проведения «якоря».
About the authors
A. K. Morozov
Central Institute of Traumatology and Orthopedics. N.N. Priorova
Author for correspondence.
Email: info@eco-vector.com
Russian Federation, Moscow
A. I. Snetkov
Central Institute of Traumatology and Orthopedics. N.N. Priorova
Email: info@eco-vector.com
Russian Federation, Moscow
A. V. Balberkin
Central Institute of Traumatology and Orthopedics. N.N. Priorova
Email: info@eco-vector.com
Russian Federation, Moscow
A. A. Belyaeva
Central Institute of Traumatology and Orthopedics. N.N. Priorova
Email: info@eco-vector.com
Russian Federation, Moscow
I. A. Kosov
Central Institute of Traumatology and Orthopedics. N.N. Priorova
Email: info@eco-vector.com
Russian Federation, Moscow
A. R. Frantov
Central Institute of Traumatology and Orthopedics. N.N. Priorova
Email: info@eco-vector.com
Russian Federation, Moscow
References
Supplementary files









