Problems of lengthening of the lower limbs in children and stimulation of reparative processes in the area of distraction regenerates
- Authors: Malakhov O.A.1, Kozhevnikov O.V.1, Omelianenko N.P.1, Belyaeva A.A.1, Krupatkin A.I.1, Kosovo I.S.1
-
Affiliations:
- Central Institute of Traumatology and Orthopedics. N.N. Priorova
- Issue: Vol 8, No 2 (2001)
- Pages: 17-22
- Section: Articles
- Submitted: 23.01.2022
- Accepted: 23.01.2022
- Published: 02.02.2022
- URL: https://journals.eco-vector.com/0869-8678/article/view/97202
- DOI: https://doi.org/10.17816/vto97202
- ID: 97202
Cite item
Full Text
Abstract
During the period from 1988 to 2000 the compensation lower limb shortening was performed in 285 patients, aged 2.5-18 years, at CITO Pediatric Orthopaedic Clinik. In 5 patients with severe extremity malformation and severe vascular pathology surgical interventions aimed at facilitation of subsequent prosthesis and orthesis. The other patients were subjected to surgical correction using rod distraction device of original design. Complex rehabilitation treatment including functional biocontrol was started in the early postoperative period. The condition of distraction regenerate was evaluated by X-ray, CT and Doppler Laser Flowmetry data. In 63 patients with congenital lower extremity pathology in whom insufficient regeneration was observed the implants containing fetal bone tissue were inserted into the regenerate zone resulting in marked osteogenic effect. Suggested treatment allowed to improve the outcomes and shorten the terms of treatment.
Full Text
Известно, что неравенство длины нижних конечностей у детей составляет до 15% в структуре патологии опорно-двигательной системы [9]. Широкое внедрение в практику метода компрессионно-дистракционного остеосинтеза, разработанного Г.А. Илизаровым, сделало удлинение конечностей одним из наиболее распространенных видов ортопедической помощи [14]. Однако у пациентов с врожденной патологией даже при скрупулезном соблюдении правил аппаратной коррекции нередко отмечаются такие явления, как замедленное костеобразование в области дистракционного регенерата, формирование контрактур смежных суставов и т.д. [1, 2].
В клинике детской ортопедии ЦИТО с 1988 по 2000 г. наблюдались 285 пациентов в возрасте от 2,5 до 18 лет с укорочением нижней конечности. Число лиц мужского и женского пола было практически одинаковым (соответственно 52,5 и 47,5%).
Причиной неравенства длины конечностей у 20 больных был перенесенный полиомиелит, у 14 — последствия травматических повреждений, у 32 — гематогенный эпифизарный остеомиелит. Эти случаи отнесены нами к разряду приобретенной патологии. У остальных 219 детей неравенство длины нижних конечностей носило врожденный характер: у 55 из них диагностированы аномалия развития, укорочение бедра, у 38 — продольная эктромелия голени, у 25 — гипоплазия, аплазия большеберцовой кости, у 51 — врожденное укорочение голени, у 20 — тотальное врожденное укорочение нижней конечности, у 30 — врожденный вывих бедра и его последствия.
Разница в длине конечностей варьировала от 3 до 23 см, составляя у большинства детей (184 человека) 6~9 см. Максимальное число госпитализаций по поводу удлинения равнялось 7, минимальное — 1, в среднем больные госпитализировались в клинику 3 раза. Общая продолжительность стационарного лечения колебалась от 70 до 616 дней (в среднем 133 дня). В 86 случаях лечение проводилось с использованием комплекса новых разработок, в этой группе среднее число дней, проведенных больным в стационаре, составило 82.
Для обследования больных наряду с рентгенологическим активно привлекали ангиографический метод. Проведено 58 ангиографий нижних конечностей у 52 пациентов.
Аномалии развития нижней конечности с преимущественным поражением бедра у 19 детей сочетались с гипоплазией наружной подвздошной, бедренных артерий, сопровождающих их вен, обеднением капиллярного русла и т.д. В 4 случаях отмечалась аплазия глубокой артерии бедра. У 3 пациентов на фоне общей венозной недостаточности обнаружено удвоение глубокой бедренной вены.
При патологии развития голени выявлялась в основном выраженная гипоплазия малоберцовой артерии (33 ребенка), а у 5 детей — ее аплазия, отмечались нарушения формирования сосудов, артериоартериальные анастомозы, артериовенозный сброс на стопе и нижней трети голени (2 больных), замедление кровотока, нарушение капиллярного русла и пр. В 16 случаях наблюдалось бухтообразное расширение глубоких вен голени.
При определении тактики коррекции аномалий развития и укорочения нижних конечностей с преимущественным поражением бедра мы использовали классификацию Pappas [19], а в случаях недоразвития голени — классификацию О.Е. Шатилова и Т.В. Чеминавы [13].
У 5 детей с тяжелыми пороками развития бедра (класс 1-3 по Pappas ), сопровождающимися значительной сосудистой патологией, наиболее целесообразными были признаны протезирование или хирургическая коррекция, направленная на создание оптимальных условий для его выполнения.
Больной М.,5 лет, диагноз: аномалия развития правой нижней конечности (класс 3), укорочение 23 см (рис. 1). На рентгенограммах: проксимальный отдел бедра отсутствует, бедро в порочном положении. На ангиограммах: единственная тонкая поверхностная бедренная артерия. С целью стабилизации конечности, выравнивания ее оси и обеспечения функционально наиболее выгодного протезирования произведена реконструктивная операция по Кингу — илиофеморальный артродез. Коленный сустав стал выполнять роль тазобедренного. Затем больному изготовлен ортопедический аппарат на правую нижнюю конечность.
Рис. 1. Больной М. 5 лет. Диагноз: аномалия развития правой нижней конечности (класс 3), укорочение 23 см. a — внешний вид при поступлении; б — отсутствие проксимального отдела бедра, отводяще-сгибательная контрактура; в — аплазия глубокой артерии бедра, гипоплазия бедренной артерии, отсутствие коллатералей; г — илиофеморальный артродез справа с фиксацией спицами (операция Кинга), коленный сустав на месте тазобедренного; д — через 3 мес после операции Кинга: больной в ортопедическом аппарате.
Остальным пациентам было произведено хирургическое удлинение конечности.
Для этой цели у детей старше 3 лет мы применяли монополярный стержневой дистракционный аппарат собственной конструкции [11]. Предварительно в испытательной лаборатории было проведено исследование механических характеристик аппарата на универсальной машине «Цвик». Испытания проводились на образцах большеберцовой кости мужчин 32 и 45 лет по стандартной методике [5]. Установлено, что при фиксации в аппарате сжатие— растяжение костных фрагментов на 1 мм создавалось силой 156 Н, изгиб в сагиттальной плоскости — 320 Н, во фронтальной — 80 Н. Таким образом, прочность фиксации в аппарате позволяет применять необходимые дистракционные усилия при коррекции укорочения у детей, а надежность остеосинтеза допускает полноценную опору на оперированную конечность [16, 17]. Конструкция аппарата обеспечивает достаточную сохранность мышц, а также свободный доступ к конечности для проведения обследования и восстановительного лечения.
Режим дробной 4-кратной дистракции по 1 мм в сутки назначали с 5-го дня после операции. Опору на ногу в течение 2~3 нед доводили до 100%. Врожденное укорочение нижней конечности практически всегда сопровождается аномалией развития коленного сустава [2]. Поэтому на период удлинения при значительных укорочениях мы с помощью того же аппарата дополнительно растягивали коленный сустав, осуществляя профилактику контрактур.
У некоторых пациентов состояние регенерата оценивали с помощью компьютерной томографии до снятия аппарата.
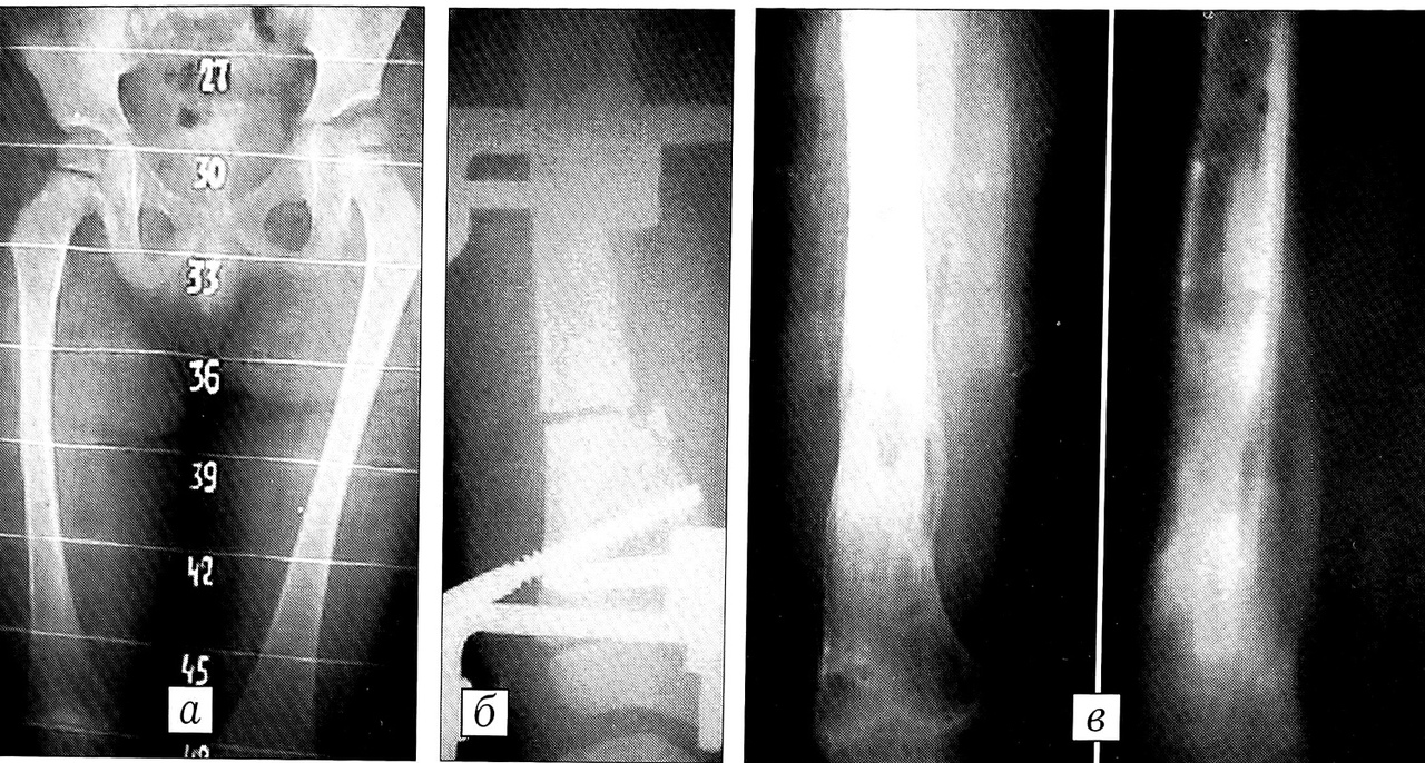
Больная В., 12 лет, диагноз: врожденное укорочение голени на 6 см, перекос таза, латеропозиция надколенника, нарушение осанки (рис. 2). Произведена остеотомия голени, наложен стержневой дистракционный аппарат. В процессе удлинения проводились активные занятия ЛФК, физиотерапия. Через 5 мес рентгенологически определяется зрелый костный регенерат. На компьютерных томограммах кортикальный слой, костномозговой канал восстановлены, нарушений целости костной трубки нет, однако толщина коркового слоя составляет 60% от таковой на контралатеральной конечности. В связи с этим после демонтажа аппарата рекомендовано в течение 2 мес во время ходьбы пользоваться ортезом.
Однако образование полноценного костного регенерата отмечалось в основном при относительно легкой степени диспластического процесса и достаточном кровоснабжении удлиняемого сегмента.
Нами было проведено сопоставление данных рентгенографии зоны дистракции с результатами исследования микроциркуляторного русла регенерата методом лазерной допплеровской флоуметрии (ЛДФ), выполненного у 45 больных. Измерения проводили в коже зоны удлинения, выше и ниже нее а также в аналогичных участках контралатеральной конечности. Было установлено, что достоверные различия между показателями микроциркуляции (ПМ) дистрагируемых сегментов при нормальном и слабом регенерате проявляются начиная с 2 мес: в последнем случае ПМ достоверно ниже (р<0,05). В более поздние сроки (свыше 7 мес) различия сглаживаются. При анализе амплитудно-частотного спектра ЛДФ отчетливой динамики и достоверных различий в ранние сроки после операции (до 6 мес) не обнаружено. Таким образом, снижение ПМ в сроки 2-6 мес после операции рассматривалось нами как один из косвенных признаков недостаточного развития регенерата.
Рис. 2. Больная В. 12 лет. Диагноз: врожденное укорочение голени на 6 см, перекос таза, латеропозиция надколенника, нарушение осанки. a — внешний вид при поступлении; б — произведена остеотомия голени, наложен стержневой дистракционный аппарат; в — в процессе удлинения’ г — через 5 мес: рентгенологически зрелый костный регенерат; д — на компьютерных томограммах кортикальный слой, костномозговой канал восстановлены, нарушений целости костной трубки нет, однако толщина коркового слоя составляет 60% от таковой на противоположной стороне.
Рис. 3. Рентгенограммы больной К. 5 лет. Диагноз: аномалия развития правого бедра (класс 8), укорочение конечности на 6 см (а). Произведена остеотомия правого бедра с наложением стержневого дистракционного аппарата, в зону остеотомии уложен гомогенат ЭКТ (б). Через 2 мес — повторное пункционное введение ЭКТ. Аппарат демонтирован через 5,5 мес после операции: состояние регенерата удовлетворительное (в).
На протяжении ряда лет в нашей клинике ведется поиск средств стимуляции слабой репаративной регенерации кости. Были разработаны биоактивные материалы на основе полимерных соединений для имплантации в зону замедленного остеогенеза. Эти имплантаты способны переносить различные медикаментозные препараты, выполняя роль биодеградируемой матрицы [3, 12]. Однако выявилось, что входящие в их состав оротовая кислота и глюконат кальция как стимуляторы остеогенеза не обеспечивали достаточного клинического эффекта. В поисках биоактивной компоненты мы обратили внимание на эмбриональную костную ткань [8, 18]. Использование ее для стимуляции репаративного остеогенеза имеет определенные теоретические основания. Прежде всего, это относительно легкая резорбция компонентов эмбриональной кости (незрелого коллагена и аморфного фосфата кальция) [6]. Далее — наличие нескольких типов костного морфогенетического белка (BMP), во многом определяющего остеоиндуктивные свойства костного матрикса, а также целой группы факторов роста (TGF-b, IGF-I, II, pFGF, aFGF, PDGF и др.), стимулирующих как пролиферацию и дифференцировку родоначальников остеодифферона, так и ангиогенез [15]. Помимо этого, эмбриональным клеткам присуща бактериостатичность в отношении микрофлоры раны [7]. Технология изготовления биоактивного материала на основе эмбриональной (фетальной) костной ткани (ЭКТ) разработана в лаборатории клинической иммунологии Научного центра акушерства, гинекологии и перинатологии РАМН.
Проведенные в ЦИТО экспериментальные исследования по замещению дефекта лучевой кости кролика гомогенатом костной ткани 20-недельного эмбриона показали, что фетальная ткань во всех случаях давала стимулирующий эффект, но оказывала временное и неспецифическое действие, при этом требовалось повторное введение ее, так как только поглощение фетальной кости может стимулировать костеобразование [18].
Затем мы применили фетальную ткань в клинике для стимуляции костеобразования при компенсаторном удлинении нижних конечностей у 63 пациентов (руководствуясь лицензией Правительства Москвы на применение данного материала в клиниках города). 29 больным с выраженным диспластическим процессом и сосудистой недостаточностью, у которых можно было заранее предполагать недостаточность репаративной регенерации кости, стимулятор вводили сразу во время операции в зону остеотомии и потом повторно спустя 2 мес путем пункции в область регенерата. Примером может служить наблюдение, представленное на рис. 3.
Остальным пациентам, у которых слабость регенерации была выявлена в процессе удлинения, стимулятор вводили пункционно через троакар. Во время пункций, при перемонтаже или демонтаже аппарата нам удалось получить материал для исследования 9 дистракционных регенератов. До стимуляции структура регенерата была представлена рыхлыми, дезориентированными коллагеновыми волокнами (рис. 4, а). После имплантации ЭКТ уже через 5 нед отчетливо выявлялись зона роста и зона активного костеобразования, которая в свою очередь имела зональность по зрелости костных структур (рис. 4, б).
В дальнейшем для придания гомогенату эмбриональных тканей формы, обеспечения постепенности и длительности его воздействия, увеличения сроков хранения мы стали включать лиофилизат ЭКТ в полимерные матрицы (состав этих имплантатов запатентован — пат. 2146928 РФ от 27.03.00). Новые имплантаты использованы для стимуляции дистракционного регенерата у 15 пациентов.
Рис. 4. Структура дистракционных регенератов (сканирующая электронная микроскопия). a — до применения ЭКТ: рыхлые, дезориентированные коллагеновые волокна (ув. 1000); б — через 5 нед после имплантации ЭКТ: отчетливо выявляются зона роста и зона активного костеобразования, которая в свою очередь имеет зональность по зрелости костных структур (ув. 100).
Рис. 5. Рентгенограммы и ангиограмма больнго Г. 8 лет. Диагноз: врожденное укорочение правой голени на 6 см.а — До операции (на ангиограмме — гипоплазия сосудистой сети голени); б — через 2 мес после операции: слабость дистракционного регенерата. Пункционно в область регенерата введена биоактивная полимерная «соломка» с лиофилизатом ЭКТ; в — через 6 мес после операции.
Больной Г., 8 лет, диагноз: врожденное укорочение правой голени (рис. 5). Произведена остеотомия большеберцовой кости в верхней трети, наложен стержневой дистракционный аппарат. Через 2 мес после начала удлинения отмечена слабость дистракционного регенерата. Пункционно в область регенерата введена биоактивная полимерная «соломка» с лиофилизатом ЭКТ. Через 6 мес после операции состояние регенерата позволило демонтировать аппарат.
В общей сложности при использовании лиофилизата ЭКТ в 50% случаев отмечена отчетливая положительная рентгенологическая динамика в виде улучшения структуры и повышение степени зрелости регенерата, в 38% случаев результат расценен как удовлетворительный ив 12% — как неудовлетворительный.
Выше уже говорилось, что удлинение конечности, особенно при врожденной патологии, может сопровождаться неблагоприятными сдвигами в ее функциональном состоянии. Изучение реакции мышц удлиняемого сегмента на воздействие напряжения растяжения позволило нам уточнить патогенетические особенности формирования контрактур коленного сустава при дистракционном остеосинтезе и обосновать необходимость использования для их коррекции метода функционального биоуправления, в частности тренировки с биологической обратной связью (БОС) по ЭМГ в дифференцирующем режиме [10]. Полученные данные способствовали также уточнению этапной схемы функционального лечения:
— первый этап — восстановление реципрокного взаимодействия сгибателей и разгибателей голени (обучение пациента дифференцированному напряжению мышц). Основные средства — лечебная гимнастика в сочетании с БОС по ЭМГ (рис. 6). Окончание этого этапа определялось снижением противодействия разгибателей голени, выявляемым ЭМГ-контролем;
— второй этап — назначение в дополнение к указанным мероприятиям упражнений, направленных на увеличение сгибания голени, а также механотерапии. Продолжительность этого этапа определялась сроком появления уверенных произвольных движений конечностью и достижения угла активного сгибания 90° и более.
Рис. 6. Тренировка с БОС по ЭМГ.
Использование метода функционального биоуправления позволило нам значительно сократить срок нормализации рефлекторной деятельности мышц, ускорить коррекцию формирующихся контрактур суставов.
Всего с учетом запланированной коррекции в рассматриваемой группе больных получено 87% хороших и отличных результатов.
Предложенные схемы лечения показали высокую эффективность, обеспечив снижение сроков созревания костного регенерата, быстрое восстановление функции оперированной конечности и как следствие — сокращение продолжительности лечения. Это позволяет рекомендовать их к более широкому внедрению.
About the authors
O. A. Malakhov
Central Institute of Traumatology and Orthopedics. N.N. Priorova
Author for correspondence.
Email: info@eco-vector.com
Russian Federation, Moscow
O. V. Kozhevnikov
Central Institute of Traumatology and Orthopedics. N.N. Priorova
Email: info@eco-vector.com
Russian Federation, Moscow
N. P. Omelianenko
Central Institute of Traumatology and Orthopedics. N.N. Priorova
Email: info@eco-vector.com
Russian Federation, Moscow
A. A. Belyaeva
Central Institute of Traumatology and Orthopedics. N.N. Priorova
Email: info@eco-vector.com
Russian Federation, Moscow
A. I. Krupatkin
Central Institute of Traumatology and Orthopedics. N.N. Priorova
Email: info@eco-vector.com
Russian Federation, Moscow
I. S. Kosovo
Central Institute of Traumatology and Orthopedics. N.N. Priorova
Email: info@eco-vector.com
Russian Federation, Moscow
References
Supplementary files








