Principles of treatment of polystructural injuries of limbs in children
- Authors: Merkulov V.N.1, Sokolov O.G.1, Dorokhin A.I.1, Stuzhina V.T.1
-
Affiliations:
- Central Institute of Traumatology and Orthopedics. N.N. Priorova
- Issue: Vol 8, No 2 (2001)
- Pages: 25-29
- Section: Articles
- Submitted: 23.01.2022
- Accepted: 23.01.2022
- Published: 02.02.2022
- URL: https://journals.eco-vector.com/0869-8678/article/view/97212
- DOI: https://doi.org/10.17816/vto97212
- ID: 97212
Cite item
Full Text
Abstract
Authors suggest to use a term «polystrusctural injuries» when two or more anatomic structures within either one segment or extremity are injured and reconstructive treatment is required. Experience in treatment of 256 patients with polystructural limb injuries is summarized. The consequence of reconstructive operations on skin, bones, muscular-ligamentous elements, vessels and peripheral nerves. Main techniques for the reconstruction of injured anatomic structures depending on their nature and combinations are presented. Using elaborated principles of treatment for polystructural limb injuries positive results are achieved in 93.5% of cases.
Full Text
Рассматриваемая нами патология по принятой в России классификации относится к изолированной травме. В эту категорию входят рваные раны с повреждением кожи, мышц и других тканей, травмы разных элементов кисти и пальцев, повреждения костей и суставов различной локализации и т.д. [4]. Анализируя литературу, нельзя не прийти к выводу об относительности термина «изолированные повреждения». Так, открытые переломы костей у детей, на долю которых приходится 6~8% от общего числа переломов [2, 6], включают повреждение, как минимум, двух функционально значимых анатомических структур — кости и кожного покрова. При этом у детей часто имеет место потеря участка кожного покрова [5, 8], что ведет к замедлению консолидации костных фрагментов в зоне дефекта кожи [7], а также к нарушению функции сухожильного скользящего аппарата [9]. Повреждения периферических нервов у детей как осложнение скелетной травмы встречаются в 5,1-25% случаев [3] и часто сочетаются с травмой магистральных сосудов, которая вызывает ишемию и усугубляет рубцовые процессы [1].
Отдавая себе отчет в неизбежной относительности понятий, учитываемых в классификациях, мы все же считаем, что квалификация повреждения как «изолированного» может привести к неправильной его оценке и ошибке в выборе стратегии и тактики лечения.
Под стратегией лечения мы подразумеваем выработку долгосрочного плана, включающего этапы реконструктивного оперативного лечения и периоды консервативной реабилитации. Такой подход возможен только в условиях специализированного стационара, в котором предусмотрено и обеспечено выполнение всего спектра хирургических реконструктивных операций на любом участке пораженного сегмента (дермопластика, нейропластика, сухожильно-мышечная, костная и ангиопластика). Обладая таким хирургическим арсеналом в сочетании со специализированным реабилитационным отделением, можно свести к минимуму субъективизм в подходе к лечению, обусловленный узкой специализацией учреждения или отдельного врача.
Мы предлагаем использовать для обозначения повреждений, характеризующихся поражением двух и более анатомических структур в пределах травмированного сегмента или конечности, каждое из которых требует реконструктивного лечения в условиях специализированного лечебного учреждения, термин «полиструктурные повреждения». Наиболее тяжелыми в этой группе являются открытые переломы и их последствия.
Характер сочетания повреждений во многом определяет течение патологического процесса, так как повреждение каждой из анатомических структур привносит свои функциональные изменения в общую картину. Нарушение целости скелета практически исключает активную функцию поврежденного сегмента, обусловливая необходимость срочной иммобилизации конечности одним из возможных способов. Повреждение магистральных сосудов требует экстренного оперативного вмешательства, характер которого зависит от степени компенсации кровообращения пораженной конечности и гомеостаза больного. Что касается травмы сухожильномышечного аппарата, периферических нервов и кожного покрова, то единого подхода к их лечению в остром периоде нет, здесь порой допускается выжидательная тактика, что зависит от технической оснащенности и профессиональной специализации медицинского персонала, принимающего пациента.
Вместе с тем следует отметить, что несмотря на все многообразие возможных сочетаний повреждений и экстренность положения, тактика оказания медицинской помощи пациентам с полистрктурными повреждениями в остром периоде травмы определена достаточно четко. В отличие от этого, в отдаленном периоде, когда речь идет уже о последствиях травмы, трактовка ситуации лишена необходимой определенности и требует более детальной разработки.
Материал и методы
В отделении детской травматологии ЦИТО проведено лечение 256 пациентов в возрасте от 3 до 16 лет с полиструктурными повреждениями конечностей (см. таблицу).
Характеристика полиструктурных повреждений конечностей
Поврежденные структуры
| Количество больных | |
абс. | % | |
Кожные покровы + суставные элементы (капсульно-связочный аппарат) | 132 | 51,6 |
Кожные покровы + костные структуры | 39 | 15,2 |
Кожные покровы + костные структуры + сухожилия + + нервы | 38 | 14,8 |
Кожные покровы + костные структуры + сухожилия | 19 | 7,4 |
Кожные покровы + сухожилия | 18 | 7 |
Кожные покровы + нервы + + сухожилия | 5 | 2 |
Кожные покровы + нервы + + костные структуры | 3 | 1,2 |
Кожные покровы + нервы | 2 | 0,8 |
Всего | 256 | 100 |
Был разработан алгоритм лечения, предусматривающий последовательность выполнения мероприятий, направленных на восстановление функции поврежденной конечности или сегмента: 1) восстановление полноценных кожных покровов; 2) восстановление костных структур; 3) восстановление сухожильно-мышечного аппарата. Реконструктивные операции на периферических нервах и магистральных сосудах могут выполняться на каждом из этапов в зависимости от характера повреждения и срока с момента травмы.
Восстановление полноценных кожных покровов
Это первый обязательный этап восстановительного лечения, без которого невозможно проведение реконструктивных операций на подлежащих опорных и функционально активных анатомических структурах. При выполнении этого этапа необходимо учитывать ряд факторов, определяемых качественными характеристиками повреждений. Так, при повреждении нервов имеет значение временной фактор; кроме того, необходимо создание в зоне расположения нерва максимальной «свободы» тканям для предотвращения сдавления нервного ствола. В случае повреждения сухожилий должны быть обеспечены условия для их свободного скольжения. При переломах костей важное значение имеет состояние кровообращения в зоне повреждения, недостаточность которого приводит к замедленной консолидации отломков или образованию ложного сустава. Помимо перечисленных качественных характеристик, следует учитывать и количественные, такие как площадь дефекта кожного покрова, степень укорочения сегмента или величина костного дефекта.
С целью восстановления полноценного кожного покрова применялись в зависимости от ситуации различные виды кожной пластики.
Кожная пластика стеблем Филатова была использована при лечении 24 больных с обширными рубцовыми дефектами кожных покровов, преимущественно нижних конечностей. Показанием к ее применению являлась обширность дефекта, исключавшая возможность использования местных тканей. Кроме того, учитывались необходимость проведения последующих реконструктивных операций на подлежащих анатомических структурах, а также нарушение кровообращения в зоне дефекта и дистальных отделах конечностей.
Формирование стебля, как правило, производили на передней брюшной стенке. Высокая мобильность кожи этой области и ее «биологическая выносливость» позволяют успешно использовать у детей стебли длиной более 30 см. В ряде случаев, при особенно обширных дефектах, кожная пластика стеблем Филатова была единственным методом, позволявшим добиться желаемого функционального результата.
Итальянская кожная пластика выполнена у 43 детей для замещения обширных рубцовых дефектов верхних конечностей. В качестве донорской области предпочитали использовать переднюю брюшную стенку, где можно производить забор пластического материала площадью более 200 см2 и обеспечивается удобное фиксированное положение конечности на время приживления лоскута. В отдельных случаях для формирования итальянского лоскута использовали область спины. При локализации рубцовых дефектов на пальцах кисти лоскуты выкраивали на противоположном плече, что позволяло получить более благоприятный косметический результат за счет меньшей выраженности подкожно-жировой клетчатки в этой области.
У 10 больных итальянская кожная пластика применялась для замещения дефектов кожных покровов стопы и голени длиной до 13 см и площадью до 80 см2. При этом использовались лоскуты с противоположной голени или бедра.
Кожная пластика местными тканями была выполнена у 35 больных. Данный вид пластики применялся в качестве метода выбора для лечения стягивающих линейных рубцов, которые, как правило, ограничивали движения в том или ином суставе либо обусловливали его деформацию. В 28 случаях такие рубцы локализовались на кисти, преимущественно по ладонной поверхности, приводя к ограничению разгибания, отведения и разведения пальцев. Цель операции заключалась в преобразовании линейного стягивающего рубца в извитой путем перемещения встречных треугольных лоскутов, что позволяло устранить натяжение рубца. Это в свою очередь обеспечивало свободу движений в смежных суставах и создавало условия для обратного развития рубцовой ткани.
Кожная пластика местными тканями при соблюдении общеизвестных правил отличалась высокой степенью надежности, в силу чего она нередко сочеталась с реконструктивными операциями на подлежащих анатомических структурах.
Комбинированная кожная пластика была применена в 19 случаях. Комбинация включала тот или иной вариант кожной пластики местными тканями и свободной кожной пластики. В качестве «местного» компонента использовали пластику встречными треугольными лоскутами (14 больных), ротационным лоскутом (4) и мостовидным лоскутом (1). В качестве свободного пластического компонента в 12 случаях были применены расщепленные и в 7 — полнослойные кожные аутотрансплантаты.
Определяющим фактором при выборе комбинированного метода являлось соотношение дефекта и прилегающих к нему неповрежденных кожных покровов, перераспределение которых в сочетании со свободной кожной пластикой позволяло улучшить функцию поврежденного сегмента.
На кисти чаще всего благоприятный результат удавалось получить при комбинации кожной пластики встречными треугольными лоскутами со свободной кожной пластикой полнослойным аутотрансплантатом. На голени хорошо зарекомендовала себя комбинация ротационных лоскутов со свободной аутопластикой расщепленными трансплантатами.
Кожная пластика с применением эндоэкспандерного тканевого растяжения. Кожная пластика местными тканями с использованием внутритканевых экспандеров произведена нами у 24 больных, которым был имплантирован 41 экспандер.
Эндоэкспандерная дермотензия применялась в трех вариантах: 1) с целью растяжения прилежащих к рубцу кожных покровов для последующей местной пластики растянутыми тканями; 2) с целью подготовки кожно-жирового комплекса к формированию итальянского лоскута; 3) с целью формирования стебля Филатова.
Использование экспандерной дермотензии для местно-пластических операций оказалось возможным при наличии прилегающих к рубцу неповрежденных участков тканей, сопоставимых по площади с дефектом.
Суть метода заключается в имплантации экспандера под кожу с подкожно-жировой клетчаткой околорубцовой области. После заживления операционной раны в эндоэкспандер пункционным методом дробно нагнетается стерильная жидкость (физиологический раствор). Постепенное увеличение объема экспандера приводит к увеличению площади кожного покрова над ним. По достижении необходимого по площади прироста кожного покрова над экспандером (экспандерами) проводится второй этап операции — иссечение рубцового дефекта, удаление экспандеров и пластика раневого дефекта растянутыми тканями. Данный вид пластики отличается относительной простотой технического исполнения, позволяет достичь хорошего функционального и косметического результата.
Подготовка с помощью экспандеров донорской области к формированию итальянских лоскутов состояла в растяжении кожи с подкожно-жировой клетчаткой этой области. Предварительная дермотензия обеспечивала следующие преимущества по сравнению с традиционным методом: увеличение площади кожного покрова; повышение мобильности лоскута; адаптированность лоскута к натяжению; конфигурационная адаптация к выпуклым поверхностям; равномерное истончение подкожно-жировой клетчатки в процессе дермотензии, улучшающее косметический эффект.
Нами впервые были применены эндоэкспандеры с целью формирования стебля Филатова на передней брюшной стенке (пат. 2138205 РФ). При стебельчатой пластике экспандеры, помимо сказанного выше, обеспечивают более правильное раскрытие стебля с наименьшим риском нарушения кровообращения в нем.
Восстановление костных структур
После восстановления полноценных кожных покровов над зоной повреждения наступает этап реконструктивных операций на костных структурах. Из 256 наших пациентов повреждения костных структур были у 99 больных: у 25 — дефекты костной ткани, у 74 — ложные суставы различной локализации.
Для восстановления непрерывности кости при ее дефектах использовались следующие методы: свободная костная ауто-или аллопластика; билокальный остеосинтез по Илизарову; свободная костная пластика аутотрансплантатом на сосудистой ножке. Основным методом была свободная костная аутопластика. В настоящее время в эксперименте разработан способ пластики костного дефекта частично деминерализованным перфорированным трубчатым костным имплантатом (пат. 2121815 РФ).
При ложных суставах для восстановления непрерывности кости применяли (одинаково часто) два метода: закрытый остеосинтез по Илизарову и сочетание чрескостного или накостного остеосинтеза с костной пластикой. Вопрос о методе лечения решали после проведения комплексного обследования больного, включавшего рентгенографию, термографию, полярографию, сцинтиграфию. При постановке диагноза «нормопластический» или «гиперпластический ложный сустав» производили остеосинтез по Илизарову без костной пластики. В случаях гипопластического ложного сустава (снижение микроциркуляции в зоне повреждения) выполняли остеосинтез по Илизарову или накостный остеосинтез в сочетании с костной пластикой. В последнее вре
мя для костной пластики использовали частично деминерализованные перфорированные костные имплантаты, которые, по нашим данным, обладают повышенными остеостимуляционными свойствами.
Еще одним вариантом костных изменений, требующим оперативной коррекции, являются посттравматические деформации и укорочения. При сочетании деформации и укорочения производили как одномоментное исправление деформации и удлинение сегмента конечности, так и двойную остеотомию с целью коррекции деформации и удлинения на разных уровнях. Деформации без укорочения устраняли путем ангуляционных остеотомий с фиксацией спицами или гипсовой повязкой. При укорочении без деформации производили удлинение по обычным схемам, в том числе с использованием двойных удлиняющих остеотомий.
Восстановление функциональноактивных структур конечностей
Восстановление полноценных кожных покровов и костного скелета создает условия для реконструкции сухожильно-мышечных структур, периферических нервов и коррекции нейрогенных деформаций.
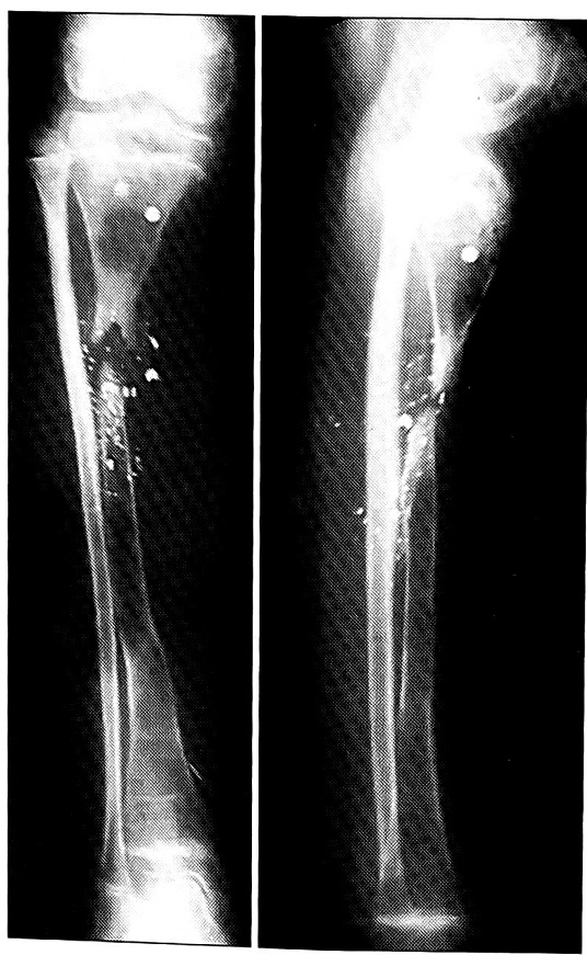
Рис. 1. Больная М. Рентгенограммы голени до начала лечения.
Рис. 2. Этапное восстановление полноценных кожных покровов с использованием метода эндоэкспандерной дермотензии: а - до начала лечения (рубцы по передней поверхности голени); б — в процессе эндоэкспандерной дермотензии; в — после кожной пластики.
Рис. 3. Рентгенограммы голени сразу после наложения дистракционного аппарата (а), в процессе дистракции (б), после костной аутопластики дефекта (в) и после восстановления непрерывности большеберцовой кости (г).
Рис. 4. Функциональный результат лечения.
При травматических дефектах сухожильно-мышечного аппарата производили различные виды сухожильно-мышечной пластики, направленной на замещение поврежденной функционально важной мышцы менее функционально важной неповрежденной мышцей. При травматических дефектах сухожилий выполняли их пластику консервированными сухожильными аллотрансплантатами. В 11 случаях при тяжелых обширных повреждениях мышц и невозможности их замещения была применена имплантация измельченной мышечной ткани по А.Н. Студицкому.
В поздних периодах травмы чаще всего имели место вторичные изменения, связанные с повреждением периферических нервов, — нейрогенные деформации конечностей, преимущественно (63%) нижних. Лечение посттравматических нейрогенных деформаций включало предоперационную подготовку, оперативное вмешательство и послеоперационное консервативное восстановительное лечение.
Оперативное лечение состояло из вмешательств на поврежденных нервных стволах и хирургической коррекции собственно нейрогенных деформаций. Восстановление анатомической целости поврежденных нервов у детей является обязательным и необходимым, независимо от вида поврежденного нерва, давности травмы и возраста пациента. Операции на нервах заключались в невролизе либо восстановлении непрерывности нерва путем эпиневрального шва или аутонейропластики. Следует отметить, что прогноз наиболее благоприятен при сохранении непрерывности нерва либо наложении эпиневрального шва.
Для коррекции нейрогенных деформаций применялись различные виды сухожильно-мышечной пластики, в том числе разработанная нами методика пересадки задней большеберцовой мышцы на III или IV плюсневую кость и сухожилия длинного сгибателя I пальца стопы на разгибатели пальцев стопы (а.с. 1419685 РФ).
Реализация предложенных принципов лечения полиструктурных повреждений позволила добиться положительного функционального результата у 93,5% больных.
Иллюстрацией может служить одно из клинических наблюдений.
Больная М.,12 лет, поступила с рубцовым дефектом кожных покровов, дефектом большеберцовой кости, застарелым повреждением малоберцового нерва, вторичной нейрогенной эквинусной деформацией стопы вследствие огнестрельного ранения правой голени (рис. 1).
Первым этапом имплантированы два эндоэкспандера на боковые поверхности голени с целью создания прироста кожи и последующей кожной пластики местными тканями (рис. 2). После восстановления полноценных кожных покровов произведена двухэтапная костная пластика дефекта большеберцовой кости: первый этап — закрытое наложение аппарата Илизарова для выявления истинного размера дефекта большеберцовой кости, второй этап — пластика дефекта костным аутотрансплантатом, взятым с противоположной голени (рис. 3).
После устранения дефекта большеберцовой кости произведена сухожильно-мышечная пластика с целью восстановления активного разгибания стопы и пальцев: пересадка сухожилия задней большеберцовой мышцы на тыл стопы и сухожилия длинного сгибателя I пальца на общий разгибатель пальцев.
В результате достигнуто восстановление полноценных кожных покровов, опорности конечности, активного разгибания стопы и пальцев (рис. 4).
Выводы
- Повреждения конечности с нарушением двух и более анатомических структур (кожного покрова, кости, сухожильно-мышечного аппарата, магистральных сосудов, периферических нервов), требующим реконструктивного лечения в условиях специализированных отделений, относятся к тяжелым травмам, которые могут быть обозначены как полиструктурные повреждения.
- Первоочередной задачей в лечении больных с полиструктурными повреждениями является восстановление полноценных кожных покровов, что создает предпосылки для проведения последующих реконструктивных операций на подлежащих анатомических структурах и способствует значительному улучшению кровообращения в поврежденном сегменте конечности.
- Вторым этапом проводится восстановление костного скелета, включающее ликвидацию ложных суставов, дефектов костей, восстановление опороспособности конечности.
- Восстановление поврежденного сухожильномышечного аппарата относится к функциональным операциям, которые должны выполняться в качестве заключительного этапа лечения больных с полиструктурными повреждениями опорно-двигательной системы.
- Реконструктивные операции на магистральных сосудах и периферических нервах должны проводиться в максимально ранние сроки и могут сочетаться с каждым из перечисленных выше этапов.
About the authors
V. N. Merkulov
Central Institute of Traumatology and Orthopedics. N.N. Priorova
Author for correspondence.
Email: info@eco-vector.com
Russian Federation, Moscow
O. G. Sokolov
Central Institute of Traumatology and Orthopedics. N.N. Priorova
Email: info@eco-vector.com
Russian Federation, Moscow
A. I. Dorokhin
Central Institute of Traumatology and Orthopedics. N.N. Priorova
Email: info@eco-vector.com
Russian Federation, Moscow
V. T. Stuzhina
Central Institute of Traumatology and Orthopedics. N.N. Priorova
Email: info@eco-vector.com
Russian Federation, Moscow
References
Supplementary files






