Diagnosis of giant cell reparative granuloma of the bones of the hands and feet
- 作者: Berchenko G.N.1, Morozov A.K.1, Semenov L.A.1, Frantov A.R.1
-
隶属关系:
- Central Institute of Traumatology and Orthopedics. N.N. Priorova
- 期: 卷 8, 编号 2 (2001)
- 页面: 87-92
- 栏目: Articles
- ##submission.dateSubmitted##: 26.01.2022
- ##submission.dateAccepted##: 26.01.2022
- ##submission.datePublished##: 02.02.2022
- URL: https://journals.eco-vector.com/0869-8678/article/view/98470
- DOI: https://doi.org/10.17816/vto98470
- ID: 98470
如何引用文章
全文:
详细
Clinical, roentgenologic and morphologic features of giant cell reparative granuloma in wrist and foot bones are presented. Analysis of 2 cases and literature review shows that giant cell reparative granuloma is a rare benign fibrous osseous proliferative process of unknown etiology. No clinical symptoms and roentgenologic signs have specifical features and do not differ a lot from chondroma, giant cell tumor of bone, aneurysmal cyst, «brown tumor» in hyper- parathyroidism. Correct diagnosis could be made on the base of histologic study taking into account Ca, P and alkaline phosphatase content in blood. The main histologic signs of giant cell reparative granuloma are the following: presence offibroblasts, histiocytes, multinuclear osteoclast-like cells, microbloodstrokes, microcysts, osseous bridges of different maturity degree and not numerous mitoses in connective tissue stroma. Surgical treatment using currettage results in high local recurrence rate (mean 33— 39%). The most adequate treatment is surgical intervention with observance of oncologic principles: marginal resection, electrocoagulation and auto- or alloplasty of none defects; in case of severe bone lesions - segmental resection or bone extirpation.
全文:
В 1953 г. Jaffe [27] впервые описал реактивное внутрикостное поражение нижней и верхней челюстей с наличием в очаге большого количества многоядерных клеток, которое он назвал «гигантоклеточной репаративной гранулемой», подчеркнув его клиническое и гистологическое отличие от гигантоклеточной опухоли кости. Впоследствии появились сообщения о подобном поражении костей черепа и лицевого скелета [28, 41]. В 1962 г. Ackerman и Spjut [12] описали 2 случая поражения средней и дистальной фаланг пальцев кисти под названием «гигантоклеточная реакция». В 1980 г. Lorenzo и Dorfman [30] сообщили о 8 аналогичных наблюдениях, и поскольку процесс, по данным морфологического исследования, не отличался от гигантоклеточной репаративной гранулемы челюстей, для обозначения этой патологии были предложены термины «гигантоклеточная репаративная гранулема коротких трубчатых костей кистей и стоп» или «внечелюстная гигантоклеточная репаративная гранулема». В 1994 г. гигантоклеточная репаративная гранулема костей кистей и стоп введена в новую редакцию международной гистологической классификации костных опухолей [40]. В отечественной литературе об этой нозологической форме имеется лишь одно краткое сообщение [3]. В настоящей работе на примере 2 из 30 наших клинических наблюдений и на основе анализа данных литературы обсуждаются клинико-рентгено-морфологические признаки и особенности биологического поведения гигантоклеточной репаративной гранулемы (ГРГ) костей кистей и стоп.
Клиническое наблюдение № 1
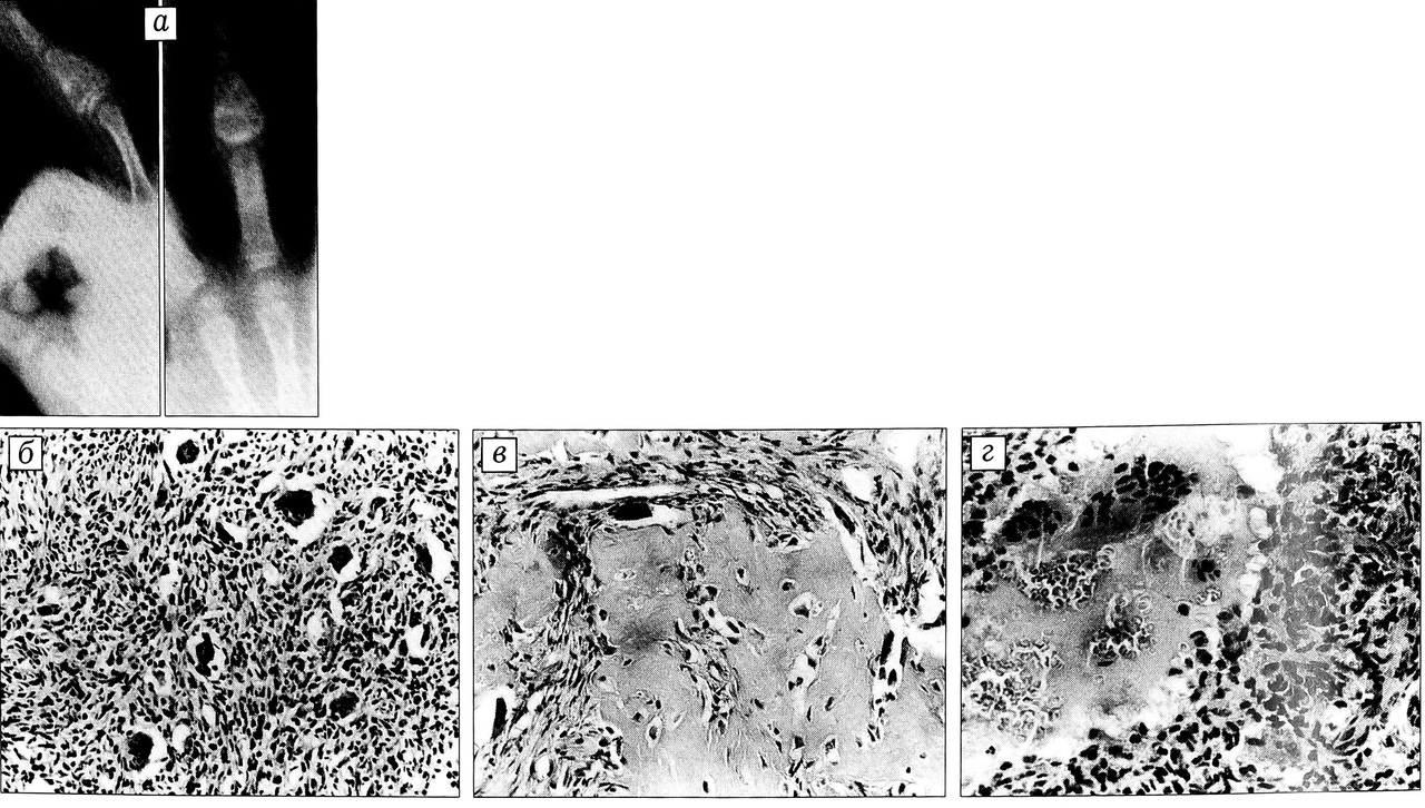
Больной Т.,5 лет, поступил 20.03.95 с диагнозом «патологический перелом средней фаланги III пальца правой кисти». В октябре 1994 г. после незначительной травмы появилась припухлость. Обратился к врачу по месту жительства, где проводилось лечение по поводу гематомы. Однако припухлость увеличилась, появилось ограничение движений в межфаланговых суставах. Больной обратился в отделение детской костной патологии ЦИТО. При поступлении жалобы на боль, припухлость III пальца правой кисти. При осмотре средняя фаланга увеличена в объеме, болезненна при пальпации. Движения в межфаланговых суставах ограничены. Припухлость плотная, горячая на ощупь, неподвижная. Биохимические показатели — содержание кальция, фосфора и щелочной фосфатазы в сыворотке крови в пределах возрастной нормы. На рентгенограммах определяется очаг деструкции остеолитического характера, занимающий всю среднюю фалангу III пальца, с истончением и циркулярным вздутием кортикального слоя. Целость кортикального слоя нарушена вследствие патологического перелома (рис. 1, а). Участков обызвествления не выявлено. Поставлен клинический диагноз «хондрома средней фаланги III пальца, патологический перелом».
Рис. 1. Больной Т. 5 лет. Гигантоклеточная репаративная гранулема средней фаланги III пальца кисти. a — на рентгенограммах патологический перелом средней фаланги III пальца правой кисти, остеолитическая деструкция, вздутие кортикального слоя; б — в патологическом очаге среди клеточных элементов преобладают фибробласты и в меньшей степени гистиоциты; видны остеокластоподобные многоядерные клетки (окраска гематоксилином и эозином, ув. 160); в — образование остеоидных балочек, на неровной поверхности которых определяются лишь отдельные остеобласты. В межбалочных пространствах — фиброгистиоцитарная ткань с отдельными остеокластоподобными клетками (окраска гематоксилином и эозином, ув. 160); г — микрокиста, просвет которой заполнен частично гемолизированными эритроцитами. В краях кисты — отдельные многоядерные остеокластоподобные клетки (окраска гематоксилином и эозином, ув. 250).
Больному произведены краевая резекция средней фаланги с пластикой дефекта кортикальным аллотрансплантатом.
Макроскопически доставленный для исследования материал из очага поражения представлен кусочком ткани мягкоэластической консистенции красно-розового цвета размером 1,0 х 0,5 х 0,3 см, а также крошковидными кусочками мягкой ткани темно-красного цвета. При гистологическом исследовании обнаружено, что в соединительнотканной строме среди клеточных элементов преобладают фибробласты с ядрами веретеновидной формы и длинными цитоплазматическими отростками, а также гистиоциты (рис. 1, б). Определяются остеокластоподобные гигантские многоядерные клетки, располагающиеся одиночно или небольшими группами среди других клеточных элементов. Часто эти клетки контактируют с остеоидом, а также видны в краях микрокист. Многоядерные клетки в основном мелкие, иногда вытянутой формы, содержат относительно небольшое число ядер —от 5 до 20.
В соединительнотканной строме обнаруживаются многочисленные образования остеоида в виде различной величины глыбок и балочек неравномерной толщины и с неровными краями (рис. 1, в). Лишь часть поверхности остеоида покрыта остеобластами, причем последние небольшого размера, с мелкими уплощенными ядрами, что, по-видимому, свидетельствует о незначительной функциональной активности этих клеток. Некоторые остеоидные балочки подвержены обызвествлению. Наиболее зрелые костные балочки расположены в периферических участках очага поражения.
Патологическая ткань богата новообразованными сосудами. В некоторых участках вблизи костных трабекул сосуды многочисленны, резко расширены и полнокровны. Встречаются микрокровоизлияния, гистиоциты, содержащие в цитоплазме зерна гемосидерина, а также заполненные кровью и не выстланные эндотелием микрокисты (рис. 1, г). В краях этих кист часто определяются многоядерные остеокластоподобные клетки. В одном из участков очага наблюдается полное разрушение компактной кости и замещение ее патологической тканью.
На основании результатов гистологического исследования, с учетом клинико-рентгенологической картины и лабораторных данных патологический процесс расценен как ГРГ кости.
Через 4 мес после операции выявлен рецидив. Произведено повторное хирургическое вмешательство: краевая резекция, электрокоагуляция полости, пластика дефекта кортикальным аллотрансплантатом. При гистологическом исследовании удаленной ткани получены данные, идентичные представленным выше. При этом увеличения клеточного полиморфизма или каких-либо других признаков, свидетельствующих об усилении агрессивности патологического процесса, не обнаружено, т.е. микроскопическое исследование подтвердило наличие рецидива ГРГ кости.
Через 2 года после повторной операции признаков рецидива нет, рентгенологически отмечается частичное восстановление нормальной структуры кости.
Клиническое наблюдение № 2
Б о л ь н а я Я., 34 лет, поступила в клинику 22.01.97 с диагнозом: аневризмальная киста ладьевидной кости правой стопы. На протяжении 5 лет беспокоила боль по тыльной поверхности стопы. Затем появилась припухлость в области предплюсны. Длительное время к врачам не обращалась. Затем в поликлинике по месту жительства были сделаны рентгенограммы правой стопы, обнаружен патологический очаг в ладьевидной кости. Больная направлена в ЦИТО. При поступлении жалобы на боль при ходьбе в правой стопе. В области предплюсны по переднемедиальной стороне имеется плотная, горячая на ощупь припухлость, болезненная при пальпации. Движения в правом голеностопном суставе в полном объеме, болезненные. Уровень кальция, фосфора и щелочной фосфатазы в сыворотке крови в пределах возрастной нормы.
Рентгенологически определяется остеолитический очаг деструкции, занимающий всю ладьевидную кость правой стопы и вызывающий незначительное вздутие кортикального слоя (рис. 2, а). От смежных отделов костной ткани очаг отграничен зоной склероза с фестончатыми контурами. Поданным компьютерной томографии, относительная плотность внутри очага составляет от 51,4 до 60,6 HU. По тыльной поверхности ладьевидной кости определяется патологический перелом (рис. 2, б) с образованием облаковидной тени (формирующаяся костная мозоль). На основании этих данных поставлен диагноз «гигантоклеточная опухоль кости, патологический перелом».
Рис. 2. Больная Я. 34 лет. Гигантоклеточная репаративная гранулема ладьевидной кости стопы. а на рентгенограммах остеолитическая деструкция правой ладьевидной кости с фестончатыми контурами, вздутие кортикального слоя; б на компьютерной томограмме остеолитическая деструкция с фестончатыми контурами, несвежий патологический перелом. Относительная плотность в очаге деструкции от 51,4 до 60,6 HU; в формирование элементов остеоидной ткани. В относительно рыхлой фиброгистиоцитарной ткани располагаются многоядерные остеокластоподобные клетки (окраска гематоксилином и эозином, ув. 160);г прорастание патологической ткани в межтрабекулярные пространства ладьевидной кости (окраска гематоксилином и эозином, ув. 160); д на рентгенограмме через 3 года после операции признаков рецидива нет. Перестройка трансплантата, заполняющего послеоперационную полость. Артродез суставов предплюсны и таранно-ладьевидного сустава.
Произведена экстирпация ладьевидной кости с замещением дефекта аутотрансплантатом из гребня крыла подвздошной кости.
Макроскопически удаленный препарат состоит из фрагментов костной ткани и обрывков мягкоэластической ткани охристо-желтого цвета. При микроскопическом исследовании патологическая ткань представлена в основном многочисленными фибробластами с ядрами веретеновидной формы. Реже встречаются гистиоциты, причем в некоторых участках ткани видны группы крупных гистиоцитов, цитоплазма которых насыщена зернами гемосидерина. Определяются отдельные небольшого размера остеокластоподобные клетки, содержащие 3-8 ядер. В периферических отделах обнаруживаются очаги новообразованных костных трабекул остеоидного характера (рис. 2, в). В разных участках ткани встречаются отдельные заполненные кровью микрокисты. Вблизи этих микрокист и особенно на границе с ними чаще выявляются многоядерные клетки. Сосудистые элементы представлены в основном артериолами и венулами. Патологическая ткань не отграничивается от здоровой костной ткани какой-либо капсулой, а прорастает между костными трабекулами (рис. 2, г), постепенно разрушая последние.
На основании результатов гистологического исследования, с учетом клинико-рентгенологических и лабораторных данных процесс расценен как ГРГ кости.
Больная наблюдается после операции в течение 3 лет. Признаков рецидива не выявлено. Рентгенологически определяется перестройка аутотрансплантата, заполняющего послеоперационную полость пораженной кости (рис. 2, д).
Обсуждение
ГРГ костей кистей и стоп встречается как в раннем детском возрасте, так и у пожилых людей, но преимущественно у лиц в возрасте от 15 до 25 лет [22, 32, 36, 37, 48, 50]. В большинстве сообщений среди больных преобладали мужчины [25, 37, 50]
Чаще всего поражаются фаланги пальцев кисти, плюсневые и пястные кости, реже — кости запястья и предплюсны [25, 36, 50]. Иногда (редко) обнаруживается множественное поражение: у мужчины 27 лет наблюдалось одновременное поражение II пястной, головчатой и полулунной костей кисти [25]; у юноши 17 лет после удаления очага ГРГ в пяточной кости через 6 мес появились три новых очага — во II плюсневой кости, в проксимальных фалангах II и IV пальцев стопы [38].
В большинстве случаев поражение имеет метафизарную локализацию. Со временем патологический процесс иногда распространяется в субартикулярную область, но чаще — в область диафиза. Сведений о возможности его распространения из области метафиза в эпифиз при сохранении метаэпифизарного хряща нет [25, 37].
Клинические симптомы заболевания, как и в представленных нами наблюдениях, неспецифичны: припухлость, болезненность, ограничение движений в смежном суставе. Длительность существования клинических симптомов до проведения хирургического лечения колеблется от 6 нед до 10 лет [48].
Рентгенологическая картина ГРГ костей кистей и стоп характеризуется деструкцией остеолитического характера, которая сопровождается вздутием кортикального слоя, чаще без его разрушения и периостальной реакции [22, 25, 36, 37], что отмечалось и в представленных нами наблюдениях. Однако при агрессивном течении заболевания возможно разрушение кортикального слоя с появлением экстраоссального компонента [17, 24].
Из 26 проанализированных Wold и соавт. случаев с имеющимися рентгенограммами остеолитическая деструкция наблюдалась в 20, смешанная деструкция — в 4, вздутие поврежденной кости — в 20, истончение и вздутие кости с увеличением ее объема — в 22, периостальная реакция — в 8, разрушение компактной кости и выход патологической ткани за ее пределы — в 5, патологический перелом в очаге поражения — в 3 случаях [50]. В приведенных нами наблюдениях патологический перелом обнаружен у обоих больных.
Рентгенологическая семиотика ГРГ кости схожа с семиотикой других патологических процессов, поражающих кисти и стопы. Чаще всего (как и в описанных нами случаях) ошибочно ставится диагноз хондромы, аневризмальной кисты кости (АКК) или гигантоклеточной опухоли кости. В отличие от хондромы, при ГРГ кости не отмечается обызвествления, а зона склероза, отграничивающая очаг от смежных отделов кости, менее выражена, чем при типичной хондроме [22, 48, 50]. Что касается АКК и гигантоклеточной опухоли, то они редко локализуются в костях кистей и стоп [20, 29, 47]. Кроме того, ГРГ, в отличие от АКК, в большинстве случаев развивается в более зрелом возрасте, после закрытия зоны роста [49, 50]. Патологический очаг при этих заболеваниях, как правило, имеет остеолитический характер, однако при АКК и гигантоклеточной опухоли может наблюдаться ячеистость. Кортикальный слой может разрушаться при всех трех видах заболевания, экстраоссальный компонент опухоли чаще обнаруживается при гигантоклеточной опухоли кости. Сказанное выше дает основание полностью согласиться с мнением Wold и соавт. [50] о неспецифичности рентгенологических признаков ГРГ костей кистей и стоп, что усложняет дифференциальную диагностику.
Окончательный диагноз ГРГ кости можно поставить лишь на основании гистологического исследования ткани из очага поражения. Основным гистологическим признаком данной нозологической формы является наличие в области поражения волокнистой стромы с фибробластами, гистиоцитами, многоядерными гигантскими клетками остеокластоподобного типа, новообразованными костными трабекулами и в некоторых случаях — с клеточными элементами воспалительной реакции [3, 12, 16, 21, 22, 30, 33, 40, 46]. Патологический очаг обычно окружен зоной реактивного остеогенеза, при этом созревание остеоида и костных трабекул наблюдается в основном в периферических участках, тогда как в центральных чаще обнаруживаются незрелые остеоидные балочки.
При микроскопическом исследовании дифференциальная диагностика проводится в первую очередь с патологическими процессами, характеризующимися присутствием в очаге поражения гигантских многоядерных клеток. От гигантоклеточной опухоли кости ГРГ отличают фиброзированная соединительнотканная строма, наличие истинных фибробластов с ядрами продолговатой формы и длинными цитоплазматическими отростками, более мелкие и содержащие обычно меньшее число ядер гигантские многоядерные клетки, располагающиеся не диффузно, а по отдельности или небольшими группами, наличие в цитоплазме гистиоцитов и многоядерных клеток зерен гемосидерина, гранулемоподобное расположение клеток вокруг стромальных микрокровоизлияний, активное формирование реактивного остеоида [19, 21, 22, 32, 36, 40, 51]. В редких случаях в ГРГ могут определяться поля с диффузным расположением гигантских многоядерных клеток, эти поля гистологически неотличимы от гигантоклеточной опухоли [16]. Наличие перелома в области гигантоклеточной опухоли также может сопровождаться формированием структур, схожих с таковыми в ГРГ [49, 50].
Определенные трудности могут возникнуть при дифференциации с АКК. Известно, что солидные участки АКК представлены фибробластами, гистиоцитами, многоядерными гигантскими остеокластоподобными клетками, остеоидом и костными трабекулами различной степени зрелости [4, 33, 40, 46]. Эти гистологические признаки могут доминировать в солидных участках ткани некоторых АКК, делая их неразличимыми с ГРГ кости. Сообщалось об общности гистологических признаков АКК кости и ГРГ [30, 44], при этом предполагалось родство между этими двумя патологическими процессами. В 1983 г. Sanerkin и соавт. [39] на основании обследования 4 больных детского возраста впервые выделили и описали солидный вариант АКК, отличающийся от обычной аневризмальной кисты главным образом преобладанием участков ткани солидного типа, отсутствием крупных полостей и кист, заполненных кровью, соединительнотканных перегородок. Впоследствии появились и другие работы, посвященные диагностике и лечению солидного варианта АКК, базирующиеся на изучении большего числа больных [1, 2, 9, 10, 35]. В связи с тем что АКК и ГРГ имеют значительное гистологическое сходство, солидный вариант АКК иногда называют гигантоклеточной репаративной гранулемой длинных костей или внечелюстной гигантоклеточной репаративной гранулемой [2, 30, 35].
В исследовании Ratner и соавт. [37] у 6 пациентов из 20 с диагнозом ГРГ были обнаружены кисты и сосудистые пространства, аналогичные таковым в АКК. Иногда АКК развивается как вторичное поражение по отношению к ранее возникшему патологическому процессу в виде гигантоклеточной опухоли, остеобластомы, хондробластомы, фиброзной дисплазии, неоссифицируемой фибромы и др. [13, 43]. Поэтому наличие признаков АКК на фоне ГРГ обычно расценивается как ГРГ с признаками вторичной АКК [25].
При дифференциальной диагностике может вызвать трудности разграничение с остеоид-остеомой и доброкачественной остеобластомой, поскольку для них характерны схожие с ГРГ гистологические признаки [21]. Оба этих процесса относятся к доброкачественным остеобластическим поражениям, характеризующимся наличием богатой сосудами стромы с геморрагиями, различного размера глыбок и трабекул остеоида, ограниченных на всем протяжении пухлыми остеобластами с крупными гиперхромными ядрами [23, 31], тогда как фиброзный компонент выражен в них по сравнению с ГРГ значительно слабее.
В некоторых случаях ГРГ может протекать как агрессивное поражение [17, 24] с появлением выраженного полиморфизма клеточных элементов, особенно после применения непоказанного физиотерапевтического лечения. При этом отсутствие патологических митозов и атипизма клеток дает основание исключить остеосаркому.
Гигантоклеточная опухоль сухожильного влагалища (нодулярный теносиновит) часто локализуется в области кистей и стоп [6]. Однако она редко разрушает кость, и при рентгенологическом исследовании определяется ее внекостная локализация. При гистологическом исследовании в очаге поражения обнаруживаются в основном гистиоциты, причем некоторые из них имеют внутрицитоплазматические включения зерен гемосидерина, ксантомные и небольшого размера гигантские многоядерные клетки, немногочисленные фибробласты, лимфоциты, плазматические и синовиальные клетки.
Рентгенологическая и микроскопическая картины «бурой» опухоли при гиперпаратиреозе и ГРГ могут быть неотличимы [22, 34, 42, 46, 50]. При гиперпаратиреозе обычно наблюдаются генерализованные изменения скелета, причем интенсивность изменений выражена в различной степени в разных костях и в разных отделах одной и той же кости. Однако в редких случаях, особенно на ранних стадиях заболевания, проявлением гиперпаратиреоза может быть солитарный очаг «бурой» опухоли [7, 11]. При этом могут обнаруживаться другие дополнительные рентгенологические признаки гиперпаратиреоза: генерализованная остеопения, резорбтивные изменения в костях пальцев, особенно в дистальных отделах ногтевых фаланг, и периостальная эрозия боковых поверхностей других фаланг [5, 18, 26, 46]. «Бурая» опухоль гиперпаратиреоза, при которой отмечается повышение содержания в сыворотке кальция, щелочной фосфатазы, паратгормона, снижение уровня фосфатов [7, 30], должна быть исключена на основании данных биохимического исследования крови, что и было сделано в приведенных нами наблюдениях. Микроскопически в очагах поражения при «бурой» опухоли обнаруживаются картина усиленной остеокластической резорбции ткани с характерным расширением гаверсовых каналов в кортикальном слое, признаки повышенного остеобластического костеобразования, фиброзирование костного мозга, поля свежих и старых кровоизлияний [5, 8, 37, 46].
В ранних работах, посвященных ГРГ кости, вопрос о возможности ее рецидивирования не поднимался или указывалось, что рецидивы для данной патологии нетипичны. Впервые о возможности рецидивирования ГРГ сообщили в 1980 г. Lorenzo и Dorfman [30], описавшие 8 больных, из которых у 4 (50%) возник рецидив. В изученных группах больных с ГРГ кости рецидивы наблюдались у 3 (75%) из 4 пациентов [25], у 4 (36,4%) из И [36], у 7 (38,9%) из 18 [32], у 2 (50%) из 4 [3]. Сроки от постановки диагноза и начала лечения до развития рецидива составляли от 3 мес до 4 лет (в среднем — 15 мес) [37]. У всех больных с рецидивами ранее было произведено выскабливание очага поражения с последующей ауто-или аллопластикой костного дефекта либо без нее. В тех случаях, когда выполнялась резекция или экстирпация поврежденной кости, рецидивов не наблюдалось [37].
Иногда ГРГ кости может рецидивировать более одного раза [16]. Bertheussen и соавт. [15] описали случай, когда рецидив возник через 8 мес после операции и затем через 7 мес после повторного кюретажа патологического очага, в связи с чем была произведена экстирпация кости. Lorenzo и Dorfman [30] сообщили о развитии второго рецидива через 5 мес после повторного кюретажа ГРГ. Г.Н. Верченко и соавт. [3] наблюдали у одного больного рецидив ГРГ через 4 мес и повторный — через 1 год после второй операции. Описан случай многократного рецидивирования ГРГ III пястной кости, при этом после трех неудачных иссечений патологической ткани была произведена широкая резекция с замещением дефекта неваскуляризованным аутотрансплантатом из малоберцовой кости [45].
Биологическое поведение ГРГ отличается от поведения гигантоклеточной опухоли костей кистей и стоп тем, что она рецидивирует значительно реже. Так, при лечении гигантоклеточной опухоли костей кистей и стоп выскабливанием патологического очага рецидив возник у 13 (86,7%) из 15 [14] и у 20 (69%) из 29 пациентов [49], т.е. в общей сложности у 33 (75%) из 44 больных. В то же время из 18 пациентов с ГРГ той же локализации рецидивы после выскабливания очага отмечены лишь у 7 (39%) [50].
Ряд авторов полагают, что как первичная, так и рецидивная ГРГ может быть адекватно вылечена путем кюретажа с последующей ауто-или аллопластикой костного дефекта [37, 50]. В отличие от больных с гигантоклеточной опухолью кости, у больных с ГРГ костей кистей и стоп вмешательства по поводу рецидивов были не более радикальными, чем первая операция [50]. При рецидивировании ГРГ кости обычно не становится по гистологической картине более агрессивной [3, 16, 50], что и было отмечено в приведенном нами клиническом наблюдении № 1.
Относительно высокий процент рецидивов после кюретажа ГРГ можно объяснить тем, что очаг поражения не отграничен от здоровой кости какой-либо капсулой и патологическая ткань свободно распространяется среди костных трабекул, что наглядно продемонстрировано в наблюдении № 2. Поэтому оптимальным методом лечения, по нашему мнению, является хирургический с соблюдением онкологических принципов: краевая резекция с электрокоагуляцией и последующей ауто-или аллопластикой костного дефекта.
Этиология рассматриваемого заболевания неизвестна. Сходство клинических и гистологических характеристик ГРГ с таковыми АКК дает основание некоторым исследователям предполагать, что оба эти патологических процесса являются реактивным ответом на травму и внутрикостные геморрагии [22, 30]. Вместе с тем, по сведениям Merkow и соавт. [32], травма предшествовала развитию ГРГ лишь у четверти больных. Из двух представленных нами наблюдений травма предшествовала формированию ГРГ в одном.
作者简介
G. Berchenko
Central Institute of Traumatology and Orthopedics. N.N. Priorova
编辑信件的主要联系方式.
Email: info@eco-vector.com
俄罗斯联邦, Moscow
A. Morozov
Central Institute of Traumatology and Orthopedics. N.N. Priorova
Email: info@eco-vector.com
俄罗斯联邦, Moscow
L. Semenov
Central Institute of Traumatology and Orthopedics. N.N. Priorova
Email: info@eco-vector.com
俄罗斯联邦, Moscow
A. Frantov
Central Institute of Traumatology and Orthopedics. N.N. Priorova
Email: info@eco-vector.com
俄罗斯联邦, Moscow
参考
补充文件




