Electrostimulation of osteogenesis in pediatric traumatology and orthopedics
- 作者: Volkov M.V.1,2, Shein V.N.1,2, Samoilovich E.F.1,2
-
隶属关系:
- Russian Medical Academy of Postgraduate Education
- children's city Tushinskaya hospital
- 期: 卷 2, 编号 1-2 (1995)
- 页面: 11-15
- 栏目: Original study articles
- ##submission.dateSubmitted##: 26.01.2022
- ##submission.dateAccepted##: 26.01.2022
- ##submission.datePublished##: 28.12.1995
- URL: https://journals.eco-vector.com/0869-8678/article/view/99564
- DOI: https://doi.org/10.17816/vto99564
- ID: 99564
如何引用文章
全文:
详细
The paper presents the results of pulse electric current therapy used in 146 children aged 3 to 14 years who had intra-articular fractures in the acute period, long- bone fractures, dystrophic (Osgood—Schlatter and Legg— Calve—Perthes diseases, juvenile epiphysiolysis of the head of the femur) and dysplastic (polyosteal fibrous dysplasia) diseases of the bone. It also describes a procedure for intraosteal electrostimulation and gives indications for its use. The proposed procedure allows bone tissue to be prevented, promotes the recovery of the bone structure and the reduction of treatment duration, decreases the number of complications and poor results.
全文:
Возможность воздействия на процесс костеобразования в организме человека давно привлекала исследователей своей биологической и социально-экономической значимостью. Последние достижения биологии и медицины позволили с качественно новых позиций подойти к вопросу о стимуляции репаративных процессов в костной ткани.
Поиски новых методов лечения, среди которых значительная роль отводится местному воздействию слабых электрических токов на регенерацию костной ткани, обусловлены тем, что несращение переломов длинных костей встречается у 3 — 35% больных, а инвалидизация среди них достигает 60—75,3% [4]. Распространенность же дистрофических и диспластических процессов в костной ткани у детей и отсутствие достаточно эффективных методов лечения при данной патологии нередко приводят к тяжелым нарушениям функции опорно-двигательного аппарата [3].
Распределение больных по возрасту и виду патологии
Характер патологического процесса | Возраст больных, годы | Всего | |||
3—7 | 8—10 | 11—14 | абс. | % | |
Переломы с дефицитом кровоснабжения | 2 | 9 | 17 | 28 | 19,18 |
Длительно несрас- тающиеся переломы и ложные суставы | 3 | 12 | 20 | 35 | 23,97 |
Дистрофические заболевания | 11 | 19 | 49 | 79 | 54,11 |
Диспластические заболевания | 0 | 1 | 3 | 4 | 2,74 |
Итого ... | 16 | 41 | 89 | 146 | 100 |
Учитывая положительное воздействие электрического тока на костную ткань — усиление дифференцировки и пролиферации клеточных элементов, улучшение энергетического обмена в тканях за счет синтеза аденозинтрифосфорной кислоты, усиление кровоснабжения в зоне стимуляции [1, 2, 5], мы сочли возможным использовать импульсный электрический ток (ИЭТ) при лечении повреждений, дистрофических и диспластических заболеваний длинных костей у детей.
Внутрикостная электростимуляция репаративного остеогенеза была применена у 146 больных в возрасте от 3 до 14 лет со следующей патологией: внутрисуставные переломы с грубым дефицитом кровоснабжения отломков (переломы головки мыщелка плечевой кости, головки и шейки лучевой кости, шейки бедренной кости), осложненное течение переломов длинных костей (замедленная консолидация, несращение и ложные суставы), дистрофические заболевания костей (болезнь Осгуда— Шлаттера, болезнь Легга—Кальве—Пертеса, юношеский эпифизеолиз головки бедренной кости), диспластические заболевания (полиоссальная фиброзная дисплазия). Данные о больных представлены в таблице.
В начале работы электростимуляцию проводили с помощью устройства, сконструированного в МВТУ им. Баумана. В дальнейшем использовали аппарат ЭОС-20-01 «Остео- тон-2». Электростимуляцию проводили с помощью монополярных прямоугольных импульсов с частотой 0,5 Гц, скважностью 2, суммарной длительностью фронта и среза прямоугольных импульсов не более 200 мкс, силой тока 20±3 и 10±1,5 мкА при активной нагрузке, изменяющейся в диапазоне от 1 до 100 кОм. Питание стимулятора осуществляется от встроенного источника постоянного тока с номинальным напряжением 8,8 В от батареи типа «Корунд» или «Крона» с током потребления не более 2 мА. В стимуляторе предусмотрена возможность бесконтактного переключения полярности электродов, а также возможность контроля работоспособности генератора тока и исправности цепи. Габаритные размеры стимулятора 115 × 70 × 32 мм, масса до 250 г. В качестве электродов использовали платиновую проволоку диаметром 0,04 см, электроды ПЭОА-1, ПЭОА-2, а также (в основном при электростимуляции в области бедра) металлические спицы, покрытые диэлектриком.
Электроды имплантировали в операционной под общим обезболиванием и под контролем передвижной рентгеновской установки с электронно-оптическим преобразователем. При консервативном лечении имплантацию производили пункционным методом с помощью иглы- проводника. При оперативном лечении электроды из зоны патологического очага выводили на кожу вне операционной раны. К патологическому очагу подводили один—два электрода внутрикостно. Один электрод помещали подкожно. Внутрикостные электроды подключали к отрицательной полярности, а подкожный — к положительной полярности стимулятора. Электростимуляцию осуществляли круглосуточно до консолидации места перелома или до появления костного регенерата в зоне поражения.
Внутрикостная электростимуляция проведена 28 больным с острой травмой: 15 с переломами шейки бедренной кости, 4 — головки мыщелка плечевой кости и 9 — шейки лучевой кости с III—IV степенью смещения (по принятой в клинике классификации). К электростимуляции прибегали в связи с тем, что при данных повреждениях более чем у половины детей возникают осложнения в виде аваскулярных некрозов или образования ложного сустава.
При переломах шейки лучевой кости и головки мыщелка плечевой кости с III—IV степенью смещения выполняли открытую репозицию отломков и фиксацию их спицами или аппаратом боковой компрессии с наружним утлом компрессии, а к месту перелома подводили мягкие электроды ПОЭА-1 или платиновые электроды. Конечность иммобилизировали гипсовой лонгетой.
При переломах шейки бедренной кости производили закрытую или открытую репозицию с фиксацией отломков пучком спиц, в качестве электродов использовали металлические спицы с диэлектрическим покрытием. При этом обращали особое внимание на то, чтобы не допустить соприкосновения электродов с другими металлическими фиксаторами во избежание шунтирования электрической цепи. В качестве дополнительной фиксации применяли скелетное вытяжение. Электростимуляцию проводили от 28 до 64 дней.
Осложненное течение переломов длинных костей в виде замедленной консолидации и несращения наблюдалось у 26 больных, сроки несращения составляли от 2 мес до 1 года 4 мес (у 9 детей были диафизарные переломы костей голени, у 8 — переломы шейки и головки лучевой кости, у 4 — диафизарные переломы костей предплечья, у 2 — переломы головки мыщелка плечевой кости, у 2 — диафизарные переломы бедренной кости и у 1 — перелом межмыщелкового возвышения большеберцовой кости). У 9 пациентов в месте перелома сформировался ложный сустав (у 2 в области плечевой кости, у 3 — в области костей предплечья, у 2 — в области бедренной и у 2 — в области большеберцовой кости).
Методика электростимуляции остеогенеза у данной группы больных не отличалась от таковой в предыдущей группе. У 11 больных электростимуляция сочеталась с применением компрессионно-дистракционных аппаратов различной конструкции. Воздействие слабыми импульсными токами проводилось в течение 1—2 мес, до появления костной мозоли в зоне несращения.
Наибольшую группу составили дети с дистрофическими заболеваниями костей: болезнью Осгуда—Шлаттера (32 ребенка), Легга—Кальве—Пертеса (39), юношеским эпифизеолизом головки бедренной кости (8). При болезни Осгуда—Шлаттера применялся ИЭТ силой 10 мкА в течение 1 мес по обычной методике в сочетании с иммобилизацией конечности гипсовой лонгетой.
Особый интерес представляет электростимуляция остеогенеза при болезни Легга—Кальве— Пертеса. Эта методика (а.с. № 876139) применена нами у 39 больных в возрасте от 4 до 14 лет.
II стадия заболевания по С.А. Вейнбергу была у 3 больных в возрасте от 4 до 6 лет, III — у 27 в возрасте от 6 до 14 лет, IV — у 9 больных в возрасте от 9 до 14 лет. Двусторонний процесс отмечался у 4 больных. Электростимуляция проводилась следующим образом. После обработки операционного поля под контролем рентгеновского экрана к патологическому очагу с помощью дрели подводили в разных плоскостях две спицы Бека, покрытые диэлектриком. Подкожно имплантировали мягкий электрод. Конечность фиксировали с помощью скелетного вытяжения. К внутрикостным электродам в течение первых 2 нед подключали положительную полярность, к подкожному — отрицательную. Через 2 нед полярность электродов меняли. У больных в возрасте до 8 лет применяли импульсные токи силой 10 мкА, у более старших — 20 мкА в сроки от 1,5 до 3 мес.
Внутрикостную электростимуляцию использовали у 8 больных с юношеским эпифизеолизом головки бедренной кости с I—III степенью ее смещения. Электростимуляцию проводили токами силой 20 мкА в течение 1— 1,5 мес.
Разгрузку осуществляли при помощи скелетного вытяжения с максимальным отведением конечности на шине Белера. К электростимуляции приступали после полного или почти полного устранения смещения на скелетном вытяжении.
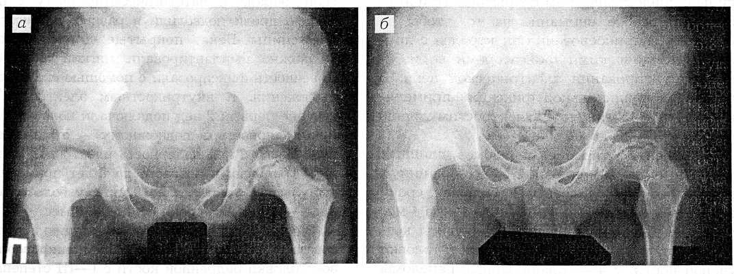
Рентгенограммы больного с III стадией болезни Легга—Кальве—Пертеса. а — до начала, б — через 3 мес после лечения ИЭТ.
За последние 3 года ИЭТ лечили 4 больных с полиоссальной фиброзной дисплазией. Получены положительные результаты. Однако возможность применения ИЭТ при данной патологии требует более детального изучения.
Во всех случаях использования ИЭТ при острой травме в зоне с дефицитом кровоснабжения отломков происходила консолидация в сроки, обычные для этих переломов (4—8 нед). Осложнений в данной группе больных не было.
При осложненном течении перелома сроки консолидации не зависели от возраста ребенка, но зависели от локализации перелома и диастаза между отломками. При диастазе до 0,5 см отмечалось преобладание периостальной мозоли над эндостальной. Во всех случаях воздействия ИЭТ на костную ткань образование костного вещества происходило там, где помещали катод, и распространялось по плоскости перелома. Костная структура выше и ниже места перелома оставалась без изменений. Неудовлетворительным результат был только в одном случае — при псевдоартрозе лучевой кости с потерей костного вещества, когда диастаз между отломками составлял 1 см.
Применение внутрикостной стимуляции остеогенеза ИЭТ силой 10 мкА в течение 1 мес при болезни Осгуда—Шлаттера у 32 пациентов в возрасте от 11 до 14 лет способствовало прекращению болей в области бугристости большеберцовой кости, рентгенологически прослеживалось восстановление костной структуры в зоне патологического очага. Процесс перестройки костной ткани заканчивался образованием двух форм бугристости большеберцовой кости. При сроках заболевания до 8 мес бугристость большеберцовой кости формировалась правильно, с ровным передним краем. При более поздних сроках обращения бугристость формировалась с неровным контуром и остеофитом по передней поверхности. Во всех случаях воздействие импульсных токов ограничивалось патологической зоной в бугристости большеберцовой кости и не влияло на ростковый хрящ.
Применение электростимуляции у 3 больных с импрессионным переломом при болезни Легга—Кальве—Пертеса в сроки от 1,5 до 3 мес способствовало перестройке костной структуры и прекращению патологического процесса в головке бедренной кости. В III стадии заболевания уже на 4—5-й неделе воздействия импульсными токами в патологической зоне начиналась умеренная перестройка костной структуры, которая достигала максимума к концу 3-го месяца стимуляции остеогенеза. Рентгенограммы больного с III стадией заболевания до начала лечения и через 3 мес после воздействия ИЭТ представлены на рисунке.
Осевую нагрузку на ногу разрешали лишь после восстановления структуры кости.
Результаты лечения болезни Легга—Кальве— Пертеса оценивали по методике Г.М. Тер- Егиазарова и Г.П. Юкиной (1961). Они соответствовали 1-й группе с оценкой 5 баллов у 2 пациентов со II стадией заболевания, 2-й группе с оценкой 4—4,9 балла — у 29 пациентов (у них наблюдалось неполное восстановление высоты головки бедренной кости), 3-й группе с оценкой 3—3,9 балла — у 8 больных с IV стадией заболевания (до начала лечения у них отмечались деформация и неконгруэнтность суставных поверхностей головки бедренной кости). Результаты лечения ИЭТ при болезни Легга—Кальве—Пертеса зависели от возраста ребенка, продолжительности заболевания, степени разгрузки тазобедренного сустава и объема возможных движений в нем в период лечения. Чем меньше возраст больного и раньше начато лечение при полной разгрузке сустава и максимуме объема движений, тем лучше ближайшие и отдаленные результаты. Рецидивов заболевания после лечения ИЭТ не наблюдалось.
Во всех случаях применения ИЭТ у больных с юношеским эпифизеолизом головки бедренной кости через месяц после начала лечения определялись явления остеосклероза в метафизарной зоне и перестройка костной структуры в шейке бедра. Электростимуляция у данной группы больных нормализует репаративные процессы в эпифизарной зоне и предотвращает процесс соскальзывания головки бедра.
Ошибки и осложнения при лечении ИЭТ имели место в 3,8% случаев. Их можно условно разделить на два типа. К первому типу относятся технические погрешности в проведении электростимуляции: недостаточно точная имплантация электродов в зону поражения, нарушение изоляции внутрикостных электродов при проведении их в кость, соприкосновение электродов с металлическими конструкциями, проведение электродов через большой мышечный массив, что приводило к миграции электродов или их обрыву, обрыв электродов типа ПЭОА-1 и -2 в кости при их удалении, когда во время открытой репозиции электрод укладывается с небольшим перегибом. Второй тип осложнений связан с дефектами ухода за местом выхода электродов на кожу. Чаще всего встречались поверхностные нагноения мягких тканей вокруг электродов. Сама по себе электростимуляция не вызывает субъективных ощущений у больных, однако при замыкании цепи в области расположения электродов появляются болезненные ощущения. При несвоевременном устранении этой неисправности в месте расположения анода могут возникнуть трофические нарушения.
Результаты клинического применения внутрикостной электростимуляции остеогенеза свидетельствуют об эффективности данной методики при ряде дистрофических и диспластических процессов в костной ткани. Воздействие ИЭТ способствует восстановлению кровоснабжения кости, активно стимулирует репаративную регенерацию костной ткани, предупреждает возникновение осложнений, сокращает сроки лечения. При этом воздействие ИЭТ ограничивается зоной патологического процесса и не оказывает влияния на близлежащие нормальные костные структуры и хрящевую ростковую зону.
作者简介
M. Volkov
Russian Medical Academy of Postgraduate Education; children's city Tushinskaya hospital
Email: info@eco-vector.com
俄罗斯联邦, Moscow; Moscow
V. Shein
Russian Medical Academy of Postgraduate Education; children's city Tushinskaya hospital
Email: info@eco-vector.com
俄罗斯联邦, Moscow; Moscow
E. Samoilovich
Russian Medical Academy of Postgraduate Education; children's city Tushinskaya hospital
编辑信件的主要联系方式.
Email: info@eco-vector.com
俄罗斯联邦, Moscow; Moscow
参考
- Ланда В.А., Попова М.М., Шимкевич Л.Л. и др. // Ортопед, травматол. — 1978. — N 5. — С. 15—17.
- Руцкий В.В., Мясоедов А.Ф., Бабич М.И. //Там же. — 1981. — N 10. — С. 8—10.
- Только И.И., Антипова А.А., Рула З.А. и др. //Там же. — 1981. — N 9. — С. 1—5.
- Ткаченко С.С., Руцкий В.В. Электростимуляция остеорепарации. — Л., 1989.
- Basset C.A.L., Pawluk R.J., Becker R.O. //Nature. — 1964. — Vol. 204. — P. 552—564.
补充文件



