The first experience in the treatment of closed fractures of the metacarpal bones with the use of a short plaster cast
- Authors: Migulev I.Y.1, Semiletov G.A.1, Mirzoyan A.S.1
- 
							Affiliations: 
							- Institute of emergency care. N.V. Sklifosovsky
 
- Issue: Vol 9, No 2 (2002)
- Pages: 30-33
- Section: Articles
- Submitted: 29.01.2022
- Accepted: 29.01.2022
- Published: 02.02.2022
- URL: https://journals.eco-vector.com/0869-8678/article/view/99787
- DOI: https://doi.org/10.17816/vto99787
- ID: 99787
Cite item
Full Text
Abstract
Method of conservative treatment of closed II-V metacarpal bone fractures was suggested. It included closed reposition of bone fragments and fixation by short plaster dressing. That dressing was a sugar-tongs plaster splint spreading from the palm to the back of the wrist via ulnar (radius) margin of hand. Careful modeling of plaster dressing with fulcrums on the palm and the back of the wrist provided stable fixation of bone fragments. That method of treatment was applied in 129 patients with closed fractures of II— V metacarpal bones. Complete bone fragments reduction was obtained in 81 patients (62.8%)), significant improvement — in 39 patients (30.2%). Secondary displacement of bone fragments in plaster dressing was noted in 8 cases (6.2%)). At 1.5—2 months follow up the results were excellent in 65% of patients, good results were achieved in 16.5%o of cases and satisfactory results in 18.5%). Unsatisfactory results were not observed.
Full Text
Закрытые переломы II~V пястных костей (ЗППК II-V) — наиболее частые закрытые повреждения костей кисти. Ежедневно в отделение травмы кисти обращаются несколько пациентов с такой травмой. Около 80% пострадавших составляют мужчины в возрасте до 40 лет; они получают травму «при ударе кулаком о твердый предмет», и ни для кого не секрет, что чаще всего это происходит во время драки.
Существует несколько способов оперативного лечения ЗППК II-V: остеосинтез спицами по принципу диафиксации [2, 21], интрамедуллярный остеосинтез штифтом [1], интрамедуллярный остеосинтез пучком тонких спиц [6, 9, 11, 16], остеосинтез пластиной [7, 20]. Вместе с тем многие специалисты не разделяют мнение о необходимости широкого применения операции остеосинтеза при ЗППК II-V [17]. Массовый характер этих повреждений, малая контактность драчливых пострадавших и их нежелание находиться в стационаре заставляют травматологов на практике отдавать предпочтение консервативному лечению ЗППК II-V, вплоть до отказа от гипсовой иммобилизации, жертвуя анатомией пястья во имя «упрощения» лечения и ускорения восстановления простейшей полезной функции кисти [5, 8, 13].
На наш взгляд, малый риск развития осложнений и простота выполнения не исчерпывают требований, предъявляемых к методике лечения: необходимо, чтобы она была эффективной, т.е. позволяла стабильно получать полноценный во всех отношениях конечный результат. Деформация пястья часто неприемлема в косметическом плане; кроме того, она в целом ряде случаев предрасполагает к нарушению функции [23].
Одним из первых способов иммобилизации отломков II—V пястных костей было наложение длинной гипсовой лонгеты от нижней трети предплечья до кончиков пальцев в положении разгибания в лучезапястном, пястно-фаланговом и межфаланговых суставах, предложенное R.W. McNealy и М.Е. Lichtenstein [18, 19]. К сожалению, практически эта же гипсовая повязка до сегодняшнего дня служит основным способом лечения ЗППК II-V в травмпунктах Москвы, куда обращается основная масса пострадавших. При такой иммобилизации совершенно не учитывается биомеханика смещения отломков II-V пястных костей. Дело в том, что в положении разгибания пальца натягиваются и напрягаются межкостные мышцы, их тяга еще более сгибает дистальный отломок и увеличивает угловую деформацию. Головка пястной кости западает к ладони, при этом разогнутая основная фаланга переходит в положение переразгибания. Расслабление боковых связок и капсулы пястно-фалангового сустава в положении разгибания влечет за собой формирование стойкой псевдопаралитической установки пальца («pseudoclawing»): гиперэкстензия в пястно-фаланговом и провисание в проксимальном межфаланговом суставе [22]. Дегенеративные изменения расслабленной капсулы и связок приводят к их сморщиванию и формированию разгибательной контрактуры в пястно-фаланговом суставе, функционально крайне невыгодной [3, 25].
Теоретически хорошо обоснованный метод репозиции и иммобилизации отломков II~V пястных костей был предложен S.A. Jahss [14]. Этот метод, более известный отечественным травматологам по описанию Р. Уотсон-Джонса [3] и Е.В. Усольцевой [4], был незаслуженно оставлен без внимания и внедрения в практику не получил. Суть его состоит в следующем. Для рещозиции дистального фрагмента, особенно короткого, манипулирование им осуществляют через основную фалангу, согнув ее на 90 . В этом положении головка пястной кости так плотно фиксируется основанием основной фаланги за счет натянутых боковых связок, что при Тлюбом движении основной фаланги усилие передается на дистальный отломок пястной кости?Движенйе согнутой основной фаланги к тылу вызывает разгибание дистального фрагмента и устраняет угловое смещение отломков. После репозиции основная фаланга фиксируется в том же положении сгибания на 90°, проксимальный межфаланговый сустав — также в положении сгибания на 90°, лучезапястный сустав — в положении легкого разгибания с помощью гипсовой лонгеты, накладываемой от кончика пальца до нижней трети предплечья. Недостаток этой методики состоит в том, что при снятии повязки через 2,5 нед врачу приходилось проводить редрессацию тугоподвижного проксимального межфалангового сустава для облегчения его дальнейшей разработки; при этом, несмотря на все реабилитационные мероприятия, у ряда пациентов наблюдалось стойкое ограничение разгибания в неповрежденном проксимальном межфаланговом суставе [3, 14].
Смелым решением, устранявшим этот недостаток методики Jahss, было создание пястного брейса (Galveston metacarpal brace), успешно примененного у 14 пациентов с ЗППК II-V [24]. Брейс обеспечивал достаточно жесткую фиксацию репонированных отломков в правильном положении и одновременно предоставлял пациенту свободу движений в лучезапястном, пястно-фаланговом и межфаланговых суставах. Однако при дальнейшем применении брейса выявился существенный просчет в его конструкции: задняя упорная площадка из-за ее малого диаметра вызывала развитие глубокого некроза подлежащих мягких тканей на тыле пястья [10], из-за чего использование брейса было прекращено. Именно эта фиксирующая повязка была взята нами в качестве прототипа при разработке короткой гипсовой повязки.
МАТЕРИАЛ И МЕТОДЫ
Узкая V-образная гипсовая лонгета по типу брейса на пястье, названная нами короткой гипсовой повязкой, была применена после предварительной репозиции отломков пястных костей у 129 пациентов. Мужчин среди них было 126, женщин — 3. Возраст пациентов — от 15 до 42 лет. По локализации переломы распределялись следующим образом: головка пястной кости — 5, шейка — 90, диафиз —24, основание — 10. Перелом V пястной кости был у 83 (64,3%) пациентов, IV — у 26 (20,2%) больных, III — у 11 (8,5%) и II — у 9 (7%). Перелом локализовался на правой кисти у 121 (94%) больного, на левой — у 8 (6%).
Закрытую репозицию выполняли под местной анестезией по следующей методике. Тягой по оси пальца достигали свободной подвижности дистального отломка, устраняли сцепление, захождение отломков и ротационное смещение. Затем давлением пальца непосредственно на головку пястной кости с ладонной стороны к тылу устраняли ее западение, одновременным давлением на вершину деформации на тыле пястья устраняли угловое смещение отломков. При необходимости дополнительную репозицию и устранение бокового смещения осуществляли непосредственным манипулированием дистальным отломком, особенно при переломах в области диафиза. Важным условием успеха репозиции была фиксация оснований IV и V пястных костей с тыла для предотвращения разгибания в запястно-пястных суставах. При шеечных переломах с очень коротким дистальным отломком для репозиции сгибали основную фалангу поврежденного пальца на 90°, оказывали давление ею к тылу на головку пястной кости и разворачивали таким образом дистальный отломок, одновременно оказывая давление с тыла на область перелома.
После достижения репозиции, удерживая отломки в правильном положении, на пястье накладывали V-образную гипсовую лонгету шириной 56 см, охватывающую пястье в поперечном направлении: с ладони через локтевой (лучевой) край кисти на тыл.|/Лонгету тщательно моделировали по своду кисти, обеспечивая точки опоры на ладони под головкой пястной кости и у основания свода, на тыле — в проекции перелома и над основанием пястной кости. Именно хорошее моделирование повязки позволяло избежать избыточного локального давления и образования пролежней мягких тканей при обеспечении стабильной фиксации отломков. Лучезапястный сустав и суставы I пальца всегда оставляли свободными. Пястно-фаланговый сустав был оставлен свободным у 71 пациента из 129. Остальным 58 больным наложена V-образная гипсовая лонгета с дополнительным тыльным козырьком, фиксировавшим основные фаланги II-V
Результаты консервативного лечения закрытых переломов II—V пястных костей с применением короткой гипсовой повязки
| Локализация перелома пястной кости | Всего больных | Репозиция | Известен результат | ||||||
| полная | частичная | нет | Вторичное смещение | всего больных | амплитуда движений | деформация | |||
| полная | ограничена | ||||||||
| Головка | 5 | 3 | 1 | 1 | - | 3 | — | 3 | — | 
| Шейка | 90 | 60 | 24 | 6 | 7 | 72 | 48 | 24 | 11 | 
| Диафиз | 24 | 15 | 9 | - | 1 | 17 | 13 | 4 | 4 | 
| Основание | 10 | 3 | 5 | 2 | — | 5 | 5 | — | 3 | 
| Итого | 129 | 81 | 39 | 9 | 8 | 97 | 66 | 31 | 18 | 
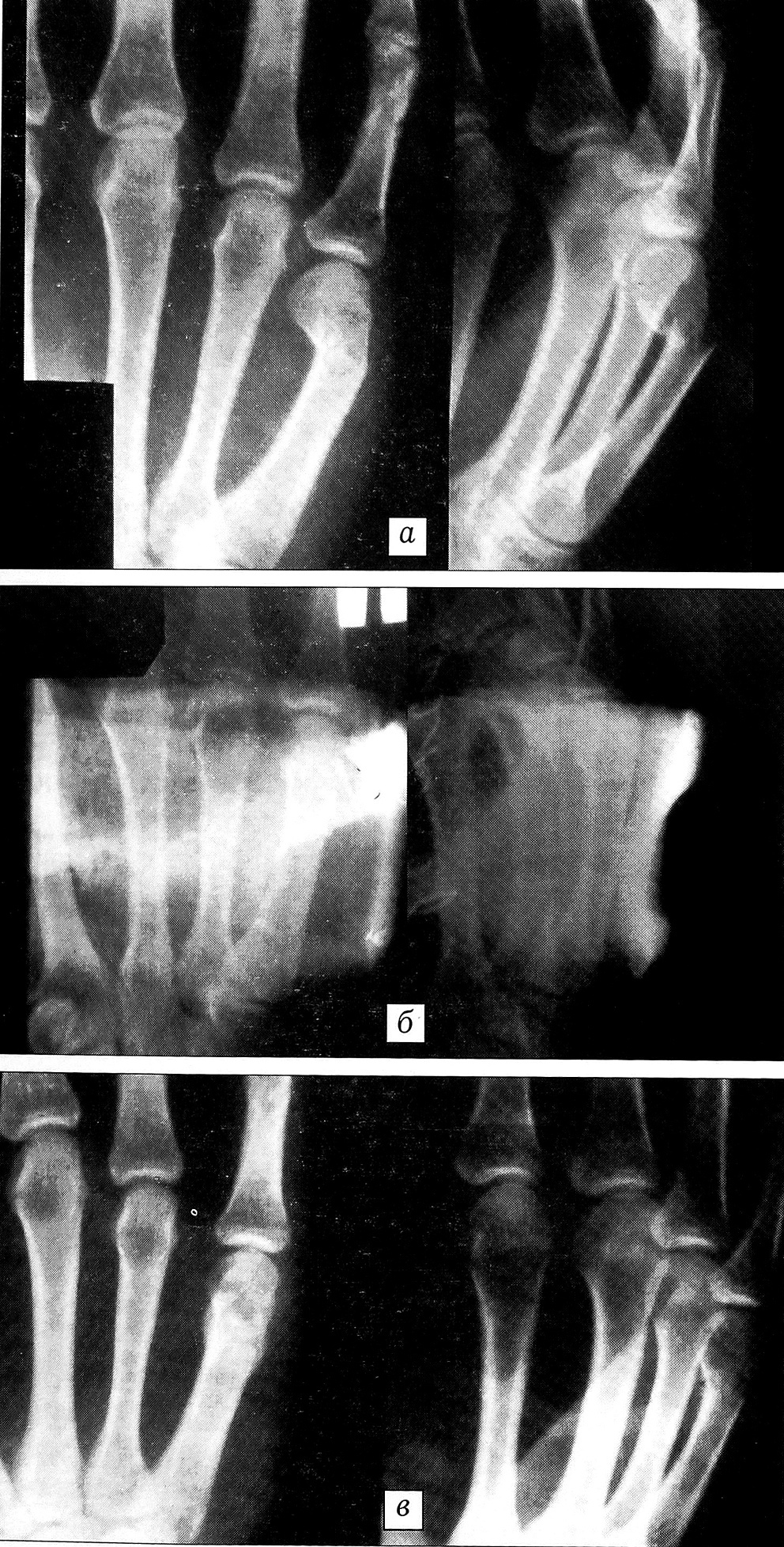
Рентгенограммы больного Р. Диагноз: закрытый перелом шейки V пястной кости правой кисти со смещением отломков.
a — при поступлении; б — после репозиции и наложения гипсовой повязки; в — результат лечения через 4 нед.
пальцев в положении сгибания с целью повышения стабильности фиксации [15]. По данным литературы, риска развития сгибательной контрактуры пястно-фалангового сустава подобная иммобилизация его не несет [12]. Через 5-6 дней делали контрольную рентгенограмму в гипсовой повязке для выявления возможного вторичного смещения отломков. Срок гипсовой иммобилизации составлял 4 нед.
РЕЗУЛЬТАТЫ
Результаты лечения в срок 2 мес после травмы изучены у 97 (75%) из 129 пациентов (см. таблицу).
Функциональный результат был оценен как отличный (отсутствие деформации пястья, полная амплитуда движений в пястно-фаланговом суставе) у 63 (65%) больных. Хороший результат (полная амплитуда движений в пястно-фаланговом суставе, легкая деформация в области перелома) отмечен у 16 (16,5%) пациентов, удовлетворительный (умеренная деформация и некоторое ограничение амплитуды движений в пястно-фаланговом суставе) — у 18 (18,5%) больных. Неудовлетворительных результатов не было.
Приведем клинический пример.
Больной Р.,31 года. Диагноз: закрытый перелом шейки V пястной кости правой кисти со смещением отломков. Травму получил при ударе во время драки. На рентгенограмме при поступлении (см. рисунок, а): косопоперечный перелом шейки V пястной кости со смещением по ширине и под углом, открытым к ладони. Через 4 ч после травмы под местной анестезией выполнена закрытая репозиция, наложена короткая гипсовая повязка. На контрольной рентгенограмме (б): смещение устранено. Гипсовая повязка снята через 4 нед, на рентгенограмме без гипса (в): положение отломков правильное. Больной осмотрен через 2 мес после травмы: сгибание и разгибание в пястно-фаланговом суставе в полном объеме, деформации пястья нет.
ВЫВОДЫ
- Применение короткой гипсовой повязки после закрытой репозиции отломков представляется перспективным методом лечения свежих закрытых переломов II—V пястных костей.
- Преимуществом предлагаемой методики является возможность стабильно фиксировать отломки в правильном положении, избежать деформации пястья и обеспечить восстановление амплитуды движений в пястно-фаланговом суставе в достаточно короткие сроки.
About the authors
I. Yu. Migulev
Institute of emergency care. N.V. Sklifosovsky
							Author for correspondence.
							Email: info@eco-vector.com
				                					                																			                												                	Russian Federation, 							Moscow						
G. A. Semiletov
Institute of emergency care. N.V. Sklifosovsky
														Email: info@eco-vector.com
				                					                																			                												                	Russian Federation, 							Moscow						
A. S. Mirzoyan
Institute of emergency care. N.V. Sklifosovsky
														Email: info@eco-vector.com
				                					                																			                												                	Russian Federation, 							Moscow						
References
Supplementary files
 
				
			 
					 
						 
						 
									
 
  
  
  Email this article
			Email this article 


 СМИ зарегистрировано Федеральной службой по надзору в сфере связи, информационных технологий и массовых коммуникаций (Роскомнадзор).
 СМИ зарегистрировано Федеральной службой по надзору в сфере связи, информационных технологий и массовых коммуникаций (Роскомнадзор).