Reconstruction of the distal humerus in non-united and improperly fused intra-articular fractures using periosteal-cortical autografts on a vascular pedicle
- 作者: Milanov N.O.1, Zelyanin A.S.1, Simakov V.I.1
-
隶属关系:
- Russian Scientific Center for Surgery, Russian Academy of Medical Sciences
- 期: 卷 9, 编号 2 (2002)
- 页面: 49-53
- 栏目: Articles
- ##submission.dateSubmitted##: 29.01.2022
- ##submission.dateAccepted##: 29.01.2022
- ##submission.datePublished##: 02.02.2022
- URL: https://journals.eco-vector.com/0869-8678/article/view/99808
- DOI: https://doi.org/10.17816/vto99808
- ID: 99808
如何引用文章
全文:
详细
Method of reconstruction of distal humerus in ununited and incorrectly consolidated intraarticular fractures was presented. There were 4 patients. To achieve successful reposition of fragments and the restoration of congruence of the articular surfaces, reduction of replaced fragments with correction osteotomy (1 patients) was required. Vascularized periosteal-cortical radius autograft rotated on a vascular pedicle was used as a source of osteogenesis. Radiologic signs of consolidation were noted by 8—10 weeks. Function of the reconstructed joint meets the requirements of the professional and everyday needs of patient.
全文:
Среди внутрисуставных переломов на долю повреждений локтевого сустава приходится 79,5—89% [2, 4, 10, 12, 14, 15, 18]. Осложнения при этих повреждениях наблюдаются в 6 раз чаще, чем при других внутрисуставных переломах [6, 19]. Частота несращений внутрисуставных переломов области локтевого сустава достигает 81,8% [7, 9], а инвалидизация при них составляет 20% [8]. Ведущим фактором в формировании ложного сустава является нарушение кровоснабжения [3, 5]. Основными причинами образования ложного сустава головочки надмыщелка считают недостаточную стабильность и не устраненное своевременно смещение отломков [1, 13, 16].
При консервативном лечении переломов надмыщелков плечевой кости сращение наблюдается в единичных случаях и чаше всего бывает фиброзным [11, 17]. Основной же причиной асептического некроза костного фрагмента при хирургическом лечении было и остается его скелетирование в процессе оперативного вмешательства с последующим нарушением питания [3, 5]. Вместе с тем именно скелетирование дает хирургу ту свободу действий, которая позволяет добиться полной конгруэнтности суставных поверхностей.
Таким образом, проблема восстановления целости и функции локтевого сустава, несмотря на множество предложенных методов лечения, остается весьма актуальной.
МАТЕРИАЛ И МЕТОДЫ
В отделе восстановительной микрохирургии РНЦХ РАМН разработан способ реконструкции дистального отдела плеча при неправильно сросшихся и несросшихся внутрисуставных переломах. Следует пояснить, почему использован термин «реконструкция» вместо привычных «остеосинтез» или «реостеосинтез». Дело в том, что в ходе операции для достижения конгруэнтности приходится тщательно выделять (скелетировать) костные фрагменты, несущие хотя бы малую часть разрушенной суставной поверхности. После репозиции фрагментов и восстановления конгруэнтности сустава производится остеосинтез компрессирующими винтами и спицами. По завершении остеосинтеза воссозданная суставная поверхность плечевой кости, ее дистальный эпиметафиз оказывается в сущности свободным бессосудистым аутотрансплантатом. В этой ситуации роль очага (источника) остеогенеза выполняет васкуляризованный надкостнично-кортикальный лучевой аутотрансплантат, ротированный на лучевом сосудистом пучке, который фиксируется спицами на поверхности репонированного костного фрагмента.
Данный метод применен у 4 больных (в возрасте 38, 42, 45 и 70 лет) с последствиями чрези надмыщелковых переломов плеча — у трех с ложным суставом и у одной больной с неправильно сросшимся переломом. Срок после травмы составлял от 4 до 12 мес. В ходе операции во всех случаях пришлось производить скелетирование смещенных фрагментов, у одной больной — в сочетании с корригирующей остеотомией по линии неправильного сращения.
Восстановительный период, по отзывам больных, протекал значительно легче, чем после свежей травмы. Рентгенологические признаки сращения констатированы в сроки от 8 до 10 нед (что меньше известных сроков сращения закрытых неосложненных переломов). Функция реконструированного сустава отвечает профессиональным и бытовым потребностям пациентов.
Приведем одно из клинических наблюдений.
Больной К., 42 лет. Клинический диагноз: огнестрельный ложный сустав дистального эпиметафиза правой плечевой кости; повреждение локтевого нерва. Огнестрельное (минно-взрывное) ранение локтевого сустава получил во время боевых действий. Попытки репозиции, неоднократно предпринимавшиеся после заживления раны, оказались безуспешными. Через 7,5 мес больной обратился в нашу клинику с жалобами на существенное ограничение движений в правом локтевом суставе, затрудняющее профессиональную и бытовую деятельность. При поступлении выявлены гипотрофия возвышения V пальца кисти, уменьшение ширины ладони за счет сближения межпястных промежутков, парестезии в зоне иннервации локтевого нерва. Движения в локтевом суставе ограничены: сгибание — 90°, разгибание — 155°, пронация и супинация в пределах 5° (рис. 1, а).
На рентгенограммах правого локтевого сустава: угол между плечевой костью и костями предплечья 165°, щель сустава резко сужена, плечелучевой сустав не определяется. Наружный надмыщелок 2x5,5 см, клиновидной формы с острой проксимальной верхушкой, смещен латерально, ротирован кнутри и наклонен кпереди вершиной под углом 30°. Диастаз между фрагментом головочки надмыщелка и большей ее частью 4 мм. Плечелоктевой сустав резко сужен, контурируется (рис. 1, б).
20.01.00 пациент оперирован. Первым этапом локтевой нерв выделен из рубцовых тканей. Затем задним доступом, с рассечением сухожилия трехглавой мышцы плеча произведено выделение костных фрагментов с мобилизацией фрагмента латерального надмыщелка и головочки надмыщелка плечевой кости. При этом скелетированный фрагмент высвобожден из грубых рубцовых тканей. Выполнен остеосинтез фрагментов компрессирующими винтами с созданием конгруэнтной суставной поверхности (рис. 2, а, б). Соприкосновение отломка с плечевой костью достигнуто лишь в дистальной и проксимальной частях отломка из-за дефекта костной ткани.
Рис. 1. Больной К. 42 лет. Огнестрельный ложный сустав дистального эпиметафиза правой плечевой кости; повреждение локтевого нерва. При поступлении.а — разгибание, сгибание в локтевом суставе; б — рентгенограммы локтевого сустава.
Рис. 2. В процессе операции (тот же больной К.).a — смещение фрагментов головочки надмыщелка плечевой кости; б — головочка надмыщелка после остеосинтеза (дорсолатеральная и дорсальная позиции); в — выделен лучевой надкостнично-кортикальный лоскут на сосудистой ножке; г — лучевой лоскут выведен в область локтевого сустава; д — лучевой лоскут фиксирован спицами к скелетированному и репонированному костному фрагменту надмыщелка и головочки надмыщелка плечевой кости.
В области дистальной трети предплечья пораженной конечности выделен надкостнично-кортикальный трансплантат из лучевой кости на сосудистом пучке, включающем лучевую артерию и сопровождающие ее вены. Через сформированный туннель аутотрансплантат проведен в область локтевого сустава. На поверхности скелетированного и репонированного фрагмента латерального надмыщелка и головочки надмыщелка плечевой кости сформировано ложе для надкостничнокортикального аутотрансплантата. Помещенный в это ложе трансплантат фиксирован двумя спицами (рис. 2, в—д). Перед ушиванием раны произведена транспозиция локтевого нерва.
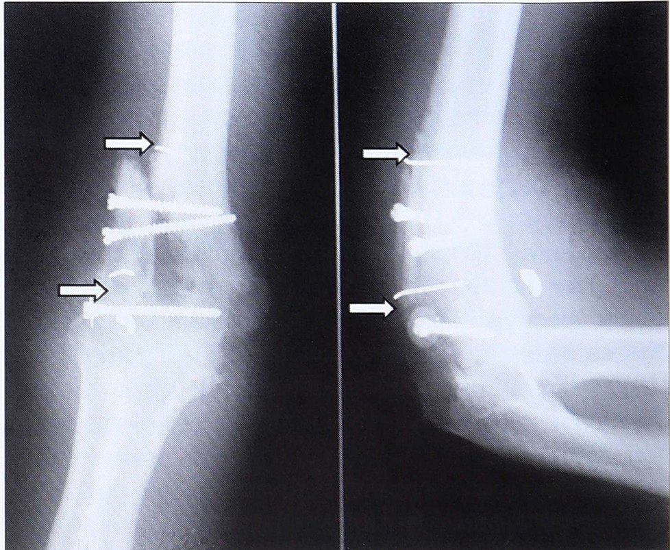
На контрольной рентгенограмме: локтевой сустав конгруэнтен, суставная щель прослеживается отчетливо, оси плечевой и локтевой костей совпадают (рис. 3).
Послеоперационный период протекал без осложнений. Реабилитационный курс проводился по индивидуальной программе. Через 3 нед после операции — лечебная гимнастика, направленная на восстановление объема движений (активные движения без отягощения). Через 4 нед — упражнения с отягощением (гантели 5 и 10 кг), через 8 нед — с отягощением и эспандером, через 10 нед — упражнения с отягощением, эспандером, работа на турнике, отжимания.
Через 8 нед на рентгенограмме определяются признаки сращения. Через 1,5 года (рис. 4) сгибание в суставе 45°, разгибание 170°, супинация и пронация в полном объеме. Восстановилась сила мышц правой верхней конечности. Сила сгибателей пальцев кисти справа 93 кг, слева 105 кг. Отжимание от пола 111 раз, отжимание на брусьях 30 раз. В настоящее время пациент работает по своей специальности (индустриальный альпинизм).
Рис. 3. Тот же больной К. Рентгенограмма после операции: восстановлена конгруэнтная суставная поверхность плечевой кости.
Рис. 4. Тот же больной К. через 1,5 года после операции. a — объем движений (разгибание, сгибание, супинация, пронация); б — рентгенограммы локтевого сустава.
ОБСУЖДЕНИЕ
Большая частота неудовлетворительных результатов лечения внутрисуставных переломов дистального отдела плечевой кости, а также их последствий обусловлена сложностью анатомического строения и высокой функциональной значимостью локтевого сустава. Лечение несросшихся и неправильно сросшихся внутрисуставных переломов дистального отдела плечевой кости технически затруднено. Ретракция тканей, нарушение анатомических взаимоотношений, формирование рубцов вокруг отломков — все это, как правило, не позволяет выполнить адекватную репозицию с созданием конгруэнтной суставной поверхности. Попытки мобилизовать отломок неизбежно приводят к нарушению его связи с окружающими тканями, т.е. к нарушению его кровоснабжения. В последующем аваскулярные костные фрагменты подвергаются резорбции, степень которой напрямую зависит от сроков реваскуляризации фрагментов. Обусловленное резорбцией уменьшение объема и изменение формы фрагментов кости, имеющих в своем составе части суставной поверхности, приводит к снижению функциональной состоятельности сустава. Местные ткани вследствие перенесенной травмы, а иногда и после оперативных вмешательств обеднены сосудистой сетью и, следовательно, обладают недостаточными реваскуляризирующими способностями, что сказывается и на сроках реваскуляризации костного фрагмента с нарушенным кровоснабжением. В свою очередь затягивание сроков реваскуляризации принуждает отказаться от ранней реабилитации и в последующем приводит к более значительным функциональным потерям.
Привнесение в зону свободных костных фрагментов тканей с богатым кровоснабжением в виде васкуляризованного или реваскуляризованного аутотрансплантата позволяет рассчитывать на более активный процесс реваскуляризации. Одновременно имеющиеся в составе аутотрансплантата элементы надкостницы и костной ткани служат источником остеогенеза. В представленном клиническом наблюдении решена задача реконструкции конгруэнтной суставной поверхности плечевой кости в условиях дефицита костной ткани между костными фрагментами при огнестрельном переломе.
На наш взгляд, использование васкуляризованных и реваскуляризованных аутотрансплантатов на сосудистой ножке в восстановлении целости суставов позволяет рассчитывать на благоприятный функциональный результат и имеет особенно важное значение при невозможности репозиции без нарушения кровоснабжения костных фрагментов.
作者简介
N. Milanov
Russian Scientific Center for Surgery, Russian Academy of Medical Sciences
编辑信件的主要联系方式.
Email: info@eco-vector.com
俄罗斯联邦, Moscow
A. Zelyanin
Russian Scientific Center for Surgery, Russian Academy of Medical Sciences
Email: info@eco-vector.com
俄罗斯联邦, Moscow
V. Simakov
Russian Scientific Center for Surgery, Russian Academy of Medical Sciences
Email: info@eco-vector.com
俄罗斯联邦, Moscow
参考
补充文件






