Polyostotic form of metaphyseal fibrous bone defect in children
- Authors: Snetkov A.I.1, Berchenko G.N.1, Morozov A.K.1, Batrakov S.Y.1, Pavlov R.N.1
-
Affiliations:
- Central Institute of Traumatology and Orthopedics. N.N. Priorova
- Issue: Vol 9, No 2 (2002)
- Pages: 63-68
- Section: Articles
- Submitted: 29.01.2022
- Accepted: 29.01.2022
- Published: 02.02.2022
- URL: https://journals.eco-vector.com/0869-8678/article/view/99819
- DOI: https://doi.org/10.17816/vto99819
- ID: 99819
Cite item
Full Text
Abstract
Fourteen patients, 8—16 years, with polyossal form of metaphyseal fibrous bone defect (MFBD) were treated. The most rear variant of polyossal form of MFBD, i.e. Jaffe-Campanacci syndrome, was described for the first time in native literature. Two variants of pathologic focus localization, i.e. subperiosteal and intracortical, were detected by radiologic examination. Histologic pictures of mono- and polyossal forms of MFBD were identical. However, in Jaffe- Campanacci syndrome marked polymorphism of one-nucleiform cellular elements was observed. Differentiation-diagnostic signs of polyossal form of MFBD were defined. In most cases the conservative treatment was used, 3 patients were treated surgically.
Full Text
Метафизарный фиброзный дефект кости (МФДК) относится к опухолеподобным заболеваниям скелета. Термин, используемый для обозначения этой патологии (преимущественно в классификации ВОЗ), является чисто описательным, что отражает сохраняющиеся противоречия во взглядах на ее этиологию и патогенез.
Впервые заболевание было выделено как самостоятельное в 1942 г. Jaffe и Lichtenstein [3], которые назвали его «неостеогенной фибромой». Несколько позднее Hatcher [11], изучив 45 случаев такого рода патологии, предложил термин «метафизарный фиброзный дефект», указывая тем самым, что речь идет скорее о дефекте развития, чем об истинном новообразовании. Эта гипотеза поддерживается нередкими случаями возникновения многочисленных очагов [9] и их спонтанной регрессии [3]. В 1958 г. Jaffe [14] заменил название «неостеогенная фиброма» на «неоссифицирующаяся фибрма», продолжая, таким образом, настаивать на том, что рассматриваемая патология по своей природе является новообразованием. В то же время для обозначения меньших поднадкостничных и кортикальных поражений он предложил термин «кортикальный фиброзный дефект», предполагая, что они могут увеличиваться в размерах и трансформироваться в неоссифицирующуюся фиброму, поскольку гистологическая характеристика обоих патологических процессов идентична.
По мнению отечественных и зарубежных авторов, довольно часто имеет место поражение одновременно нескольких костей [3, 8, 17, 18, 22], некоторые исследователи считают, что случаи множественной локализации МФДК составляют 50% [5, 6]. Вместе с тем описания полиоссалъной формы МФДК в литературе крайне малочисленны.
В исключительно редких случаях множественные очаги сочетаются с внескелетными аномалиями. Впервые сочетание множественных МФДК с пигментацией кожи по типу пятен «кофе с молоком» отметил в 1958 г. Jaffe [15]. В 1978 г. Campanacci [7] выделил отдельный синдром, включающий в себя, помимо множественных МФДК и пигментации кожи (пятна «кофе с молоком»), задержку умственного развития, гипогонадизм или крипторхизм, глазные аномалии или патологию сердечно-сосудистой системы. В последующем этот синдром получил название синдрома Jaffe— Campanacci [16]. До настоящего времени в мировой литературе описано лишь 9 случаев данного заболевания.
МАТЕРИАЛ И МЕТОДЫ
В отделении детской костной патологии и подростковой ортопедии ЦИТО в период с 1969 по 2000 г. наблюдались 138 пациентов с диагнозом метафизарного фиброзного дефекта кости. Из них полиоссальная форма МФДК была выявлена лишь у 14 (10,1%) больных — 8 девочек и 6 мальчиков в возрасте от 8 до 16 лет. У 11 детей обнаружено поражение одновременно двух костей (причем у одной пациентки очаги в малоберцовой кости рас-
полагались как в проксимальном, так и в дистальном метафизе); у 2 больных наблюдалось поражение трех костей и у 1 больного — четырех. Чаще всего патологические очаги располагались в проксимальном метафизе большеберцовой кости, затем в дистальном метафизе бедренной кости, метафизах малоберцовой кости и стернальном отделе ключицы (см. таблицу).
До поступления в клинику ни одному больному не был поставлен правильный диагноз. Без диагноза обратились 5 пациентов, с диагнозом «фиброзная дисплазия» — 4, «гигантоклеточная опухоль кости», «гистиоцитоз-Х», «тендопериостопатия», «кистозная болезнь», «гиперпаратиреоз» — по одному больному.
Всем пациентам выполнялось комплексное клинико-рентгенологическое обследование, в ряде случаев применялась компьютерная и магнитно-резонансная томография. Лечение в большинстве случаев (11 больных) было консервативным, у 3 пациентов предпринято хирургическое вмешательство.
Локализация патологических очагов у больных с полиоссальной формой метафизарного фиброзного дефекта кости
Пораженная кость | Дистальный метафиз | Проксимальный метафиз | Всего очагов поражения | |||
абс. | % | абс. | % | абс. | % | |
Бедренная | 12 | 36,4 | - | - | 12 | 36,4 |
Большеберцовая | - | - | 13 | 39,4 | 13 | 39,4 |
Малоберцовая | 2 | 6,1 | 5 | 15,1 | 7 | 21,2 |
Ключица | — | — | 1 | 3,0 | 1 | 3,0 |
РЕЗУЛЬТАТЫ
Основной жалобой пациентов в 78,5% случаев была боль, возникающая после физической нагрузки в месте расположения наиболее крупного патологического очага. Патологический перелом как начальное проявление заболевания отмечен у 21,5% больных. У 4 детей множественные МФДК сочетались с другими заболеваниями опорно-двигательного аппарата, такими как болезнь Осгуда—Шлаттера, вывих надколенника, остеохондропатия позвоночника, правосторонний грудной сколиоз I степени. У одной пациентки, помимо костных поражений, выявлены множественные пигментные пятна на коже, что соответствовало проявлениям синдрома Jaffe—Campanacci (рис. 1).
Рис. 1. Пигментные пятна на коже у больной М. с синдромом Jaffe— Campanacci.
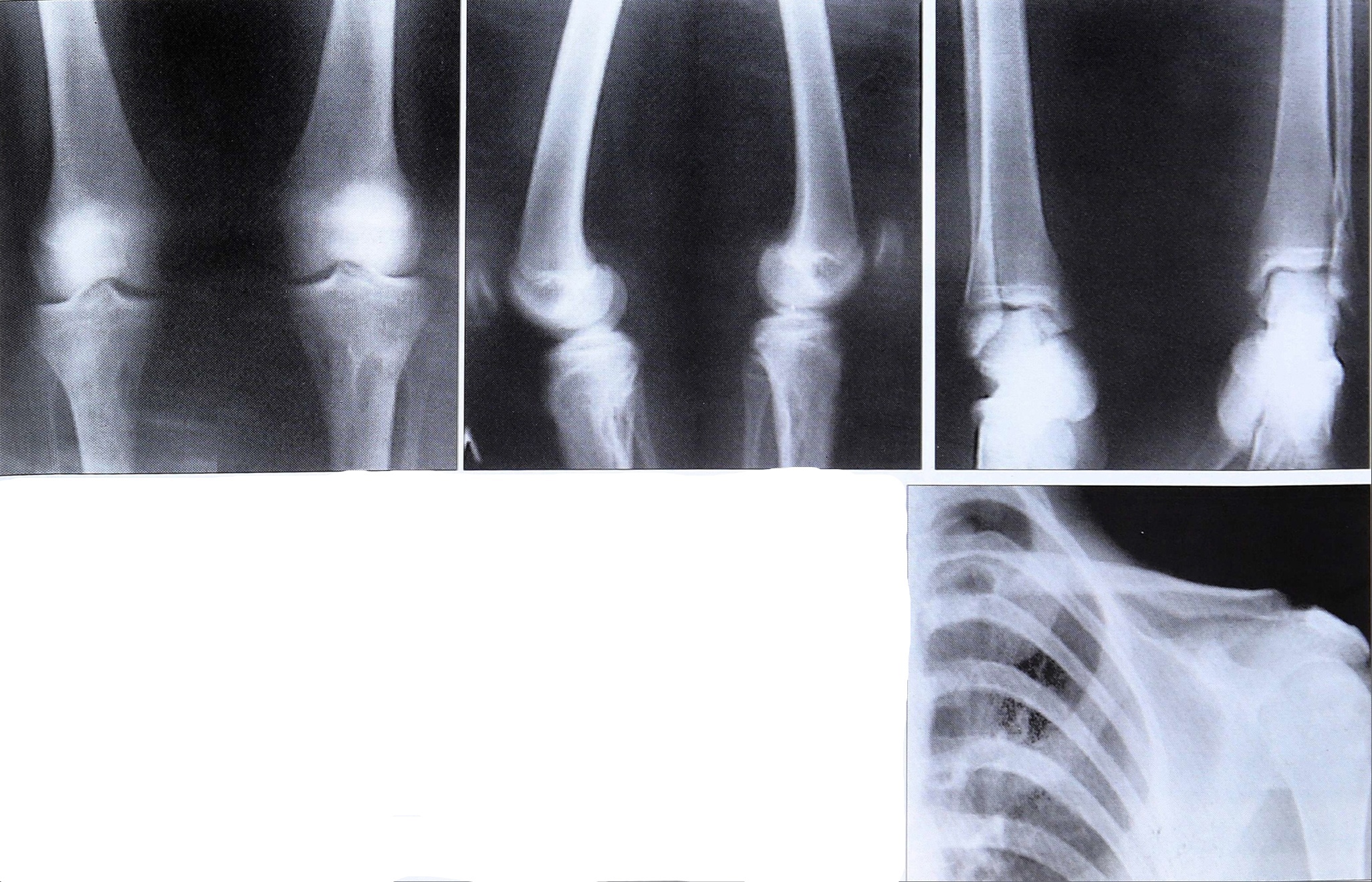
В связи со скудностью клинической картины МФДК наибольшее значение в диагностике имело рентгенологическое исследование скелета. Рентгенологическая картина при полиоссальной форме МФДК характеризовалась наличием множественных эксцентрично расположенных краевых дефектов костной ткани в метафизарных отделах длинных костей. Дефекты никогда не были связаны с зоной роста и при динамическом наблюдении перемещались в сторону диафиза. Во всех случаях МФДК были отграничены от смежных отделов костной ткани полоской склероза. Контуры дефектов были ровные, полициклические (рис. 2).
Рис. 2. Рентгенограммы больной М. с синдромом Jaffe—Campanacci.
Учитывая локализацию и распространенность патологического процесса, мы выделяем субпериостальную и интракортикальную форму МФДК. Субпериостальная форма характеризуется поднадкостничным расположением дефекта, обычно вытянутого по длиннику кости и отграниченного от смежных отделов метафиза зоной склероза. Интракортикальная форма представлена дефектом коркового слоя и прилежащих отделов метафиза, нередко занимающим более 1/3 поперечника кости. При больших размерах дефекта мы иногда наблюдали смещение надкостницы и ее обызвествление, создающее впечатление «вздутия» коркового слоя. Периостальная реакция обнаруживалась только в случаях патологического перелома.
При ретроспективном анализе рентгенограмм больных с полиоссальной формой МФДК было выявлено, что у 9 пациентов патологические очаги имели исключительно субпериостальную локализацию, у 3 детей — только интракортикальную и у 2 больных — смешанную (сочетание субпериостальной и интракортикальной локализаций).
Рентгенологическое наблюдение за пациентами в динамике показало, что МФДК могут оставаться в неизменном виде многие месяцы. С течением времени, по мере роста кости, они смещаются к диафизу. По данным литературы, в большинстве случаев происходит постепенное уменьшение патологического очага и его исчезновение с восстановлением костной структуры или развитием на его месте пятнистого остеосклероза. Иногда наблюдается увеличение размеров МФДК, очаг приобретает четкие контуры и начинает вытягиваться в длину, отодвигаясь от ростковой зоны, при этом он принимает характерную для данного процесса овальную форму и располагается длинным диаметром параллельно оси кости. Такой процесс может захватывать костномозговую полость, что порой приводит к патологическому перелому. Под нашим наблюдением находилась девочка со смешанным расположением МФДК, рост которых в течение 3 лет резко прогрессировал, что послужило показанием к оперативному лечению.
Последнее время мы стали использовать в диагностике МФДК компьютерную и магнитно-резонансную томографию. КТ позволяет подтвердить доброкачественный характер процесса. На томограммах хорошо дифференцируется зона склероза, отграничивающая дефект. По данным МРТ, ткань в дефекте имеет изоинтенсивный или гиперинтенсивный сигнал на Т1 и гиперинтенсивный сигнал на Т2 взвешенных изображениях.
КТ была проведена 2 больным. При анализе томограмм выявлены изменения коркового слоя метафизарных отделов длинных костей в виде краевых и интракортикальных дефектов протяженностью от 25 до 80 мм с четкими склерозированными контурами. Относительная плотность ткани в очагах составляла от 40 до 60 единиц Хаунсфилда. Данный метод позволял установить истинные размеры дефекта и определить объем предстоящего хирургического вмешательства (рис. 3).
МРТ была применена у одной пациентки с целью дифференциальной диагностики. На серии магнитно-резонансных томограмм в области проксимальных метафизов длинных костей определялись участки неправильной формы с повышенной интенсивностью сигнала на Т2 взвешенных изображениях. На Т1 взвешенных изображениях регистрировался изоинтенсивный сигнал. Изменения интенсивности сигнала с мягких тканей в области исследования не выявлено. МРТ позволила полностью исключить поражение мягких тканей в проекции патологических очагов (рис. 4).
Окончательно верифицированным диагноз считали после гистологического исследования (проведено у 3 оперированных больных).
Макроскопически материал из очагов поражения при полиоссальной форме МФДК представлен кусочками мягкой или плотной ткани разного цвета, нередко разделенной перегородками на ячейки. Зоны серовато-белого цвета, твердые на ощупь, чередуются с полями желтого или красновато-коричневого цвета, обычно мягкой консистенции. При гистологическом исследовании выявляются рыхлая соединительная ткань и клеточные элементы, среди которых преобладают фибробласты и гистиоциты. Характерно наличие многоядерных гигантских остеокластоподобных клеток, располагающихся одиночно или отдельными группами. Встречаются ксантомные клетки, липоциты, гемосидериновый пигмент, иногда клеточные элементы воспалительной реакции (лимфоциты и плазматические клетки). При длительном анамнезе заболевания определяются поля ксантомных клеток. Пучки коллагеновых волокон часто формируют «муаровый» рисунок (рис. 5, а). Патологическая ткань не ограничена капсулой и при росте в кортикальной пластинке распространяется по гаверсовым и фолькмановским каналам. Разрастание патологической ткани в костных каналах и резорбция их стенок приводят к постепенному расширению просвета каналов и рарефикации кортикальной пластинки (рис. 5, б). При этом на месте кортикальной пластинки определяются ее остатки в виде отдельных трабекул, напоминающих строение губчатой кости. При субпериостальной форме МФДК наблюдается разрастание патологической ткани со стороны периоста. В целом гистологическая картина полии монооссальной формы МФДК идентична. Однако следует отметить, что при синдроме Jaffe—Campanacci имеется выраженный полиморфизм одноядерных клеточных элементов, что особенно хорошо определяется при исследовании цитологических отпечатков.
Рис. 3. Компьютерная томограмма больной М. с синдромом Jaffe—Campanacci.
Рис. 4. Магнитно-резонансные томограммы больной М. с синдромом Jaffe— Campanacci.
Рис. 5. Гистологическая картина ткани из очага поражения кости больной М. с синдромом Jaffe—Campanacci (окраска гематоксилином и эозином).a — формирование «муарового» рисунка (разнонаправленных пучков коллагеновых волокон и фибробластов) патологической ткани, содержащей множественные фибробласты, гистиоциты, отдельные остеокластоподобные клетки (ув. 200);б — разрастание патологической ткани, сопровождающееся резорбцией кортикальной пластинки (рарефикация кортикальной пластинки) (ув. 160).
Дифференциальная диагностика МФДК с учетом клинико-рентгенологической картины не вызывает особых затруднений. Дифференциация проводится с полиоссальными формами дисхондроплазии и фиброзной дисплазии, гиперпаратиреозом и гистиоцитозом-Х.
Наибольшие сложности возникают при диагностике синдрома Jaffe—Campanacci — самом редком проявлении полиоссальной формы МФДК. При дифференциальной диагностике МФДК, сочетающихся с пятнами на коже цвета «кофе с молоком», необходимо рассматривать возможность двух других заболеваний — синдрома Олбрайта и нейрофиброматоза. При синдроме Олбрайта пигментные пятна на коже бывают неправильной формы, с изрезанными границами; довольно часто выявляются признаки раннего полового созревания. При синдроме Jaffe—Campanacci большинство пятен на коже имеют ровные, иногда слегка волнистые границы, дисфункция половых желез в большинстве случаев отсутствует. Рентгенологически при полиоссальной форме фиброзной дисплазии выявляются обширные очаги поражения со «вздутием» и истончением коркового слоя, имеющие структуру «матового стекла». Гистологически в этом случае обнаруживается соединительнотканная строма с костными трабекулами примитивного строения, тогда как при МФДК костные трабекулы никогда не определяются.
Сочетание пятен на коже цвета «кофе с молоком» и поражений костей могло бы навести на мысль, что этот синдром является необычным вариантом нейрофиброматоза, однако ни у кого из больных с диагнозом синдрома Jaffe—Campanacci не выявлено никаких признаков наличия нейрофибром ни в костях, ни в мягких тканях. К тому же нейрофиброматоз и МФДК легко дифференцируются при гистологическом исследовании, так как во втором случае никогда не обнаруживаются нейроглиальные клетки.
Лечение больных с полиоссальной формой МФДК проводилось по двум направлениям — консервативное и оперативное. 11 больным, у которых прочностные характеристики пораженных костей не вызывали опасений, рекомендовали резко ограничить физические нагрузки, а при интенсивном болевом синдроме фиксировали пораженную конечность гипсовой лонгетой и предписывали ходьбу при помощи костылей без нагрузки на нее до исчезновения болей с обязательным динамическим наблюдением. Трем пациентам, у которых патологические очаги занимали более 1/3 поперечника кости, т.е. существовала угроза патологического перелома, было произведено хирургическое вмешательство: краевая резекция пораженной кости с замещением дефектов аллотрансплантатами.
Анализ результатов консервативного лечения показал, что у всех пациентов, выполнявших наши рекомендации, болевой синдром купировался в течение 2 нед. При динамическом наблюдении выявлено. что из 9 больных с исключительно субпериостальной локализацией патологических очагов у 8 пациентов МФДК в течение года не претерпевали изменений, а у одного ребенка через 2 года отмечена репарация кости на месте бывшего дефекта.
Из двух больных со смешанной локализацией МФДК у одного за год не выявлено какой-либо динамики патологического процесса. У второй пациентки за 6 лет наблюдения субпериостально расположенный дефект исчез, а очаг, локализованный интракортикально, находится в стадии репарации.
Двум больным с интракортикально расположенными МФДК при первичном осмотре сразу было рекомендовано оперативное лечение, поскольку размер патологических очагов у них превышал 1/3 поперечника кости. Третья больная находилась под динамическим наблюдением, но и у нее через 10 лет пришлось прибегнуть к хирургическому вмешательству в связи с резким прогрессированием патологического процесса. В общей сложности трем больным произведено 5 операций (краевая резекция, аллопластика). Ни у одного из них не отмечено рецидива патологического процесса (срок наблюдения после операции от 1 года до 10 лет). Трансплантаты перестраивались в течение 1~2 лет. Лишь в одном случае костная пластика кортикальными аллотрансплантатами осложнилась нагноением в раннем послеоперационном периоде, что потребовало удаления трансплантатов и дренирования гнойного очага.
ОБСУЖДЕНИЕ
Метафизарный фиброзный дефект кости является достаточно распространенным поражением скелета и, согласно накопленной нами информации, — наиболее часто встречающимся опухолеподобным заболеванием кости у детей. Однако полиоссальная форма МФДК до сих пор остается наиболее редко диагностируемым проявлением данной патологии.
Рентгенологическое обследование 406 практически здоровых детей [20] показало, что у 33% из них имелся один или более МФДК. По мнению большинства исследователей, это заболевание чаще всего встречается у лиц двух первых десятилетий жизни, причем пик приходится на второе десятилетие. Очаги поражения почти всегда располагаются в метафизах длинных костей, преимущественно нижних конечностей [1_3, 18, 22]. По мнению некоторых авторов [5, 6], почти у половины пациентов с МФДК имеются множественные поражения, что противоречит нашим данным. В зарубежной литературе отмечены случаи семейного поражения МФДК [9, 20], что также не нашло подтверждений в наших наблюдениях.
Клиническое течение МФДК у большинства пациентов ограничено по времени: по данным литературы, основная масса очагов спонтанно регрессирует в сроки от 29 до 52 мес [4, 14, 21]. В наших наблюдениях дефекты вступили в стадию репарации лишь у 4 больных и произошло это только через 24 мес с момента их выявления, а полное самоизлечение отмечено у одной пациентки через 6 лет.
Рентгенологическая картина МФДК патогномонична и почти всегда позволяет поставить правильный диагноз. Овальной формы очаг разрежения костной ткани локализуется в метафизе длинной кости. Самым характерным рентгенологическим признаком МФДК является кортикальное расположение очагов [3].
Наибольший интерес при полиоссальной форме МФДК представляет проблема дифференциальной диагностики синдрома Jaffe—Campanacci с такими заболеваниями, как полиоссальная форма фиброзной дисплазии, нейрофиброматоз и гиперпаратиреоз [5, 16]. Поскольку МФДК являются достаточно распространенной патологией, а пятна на коже цвета «кофе с молоком» встречаются у 10% населения [10], сочетание этих признаков может быть лишь совпадением. С другой стороны, возможна и взаимосвязь между этими проявлениями. Jaffe, описавший множественные МФДК, указывал, что у пациента с множественными патологическими очагами, сопровождающимися пятнами на коже цвета «кофе с молоком», но без нейрофибром, с клинической точки зрения, может иметь место абортивная форма нейрофиброматоза. Schwartz и Ramos [19] предложили теорию, согласно которой, если очаги поражения расположены двусторонне и симметрично, можно предполагать наличие скрытой, более рассеянной мезодермальной дисплазии; множественные МФДК вместе с нейрофиброматозом могут оказаться другим фенотипическим проявлением в спектре мезодермальных отклонений. Взаимосвязь между этими заболеваниями все еще остается неясной [5].
Из 8 описанных до настоящего времени пациентов, у которых множественные МФДК сочетались с пятнами на коже цвета «кофе с молоком», у 5 имели место патологические переломы. Такая частота переломов, превышающая обычную для больных с МФДК, наводит на мысль, что при этом синдроме патологический процесс в костях может быть более агрессивным. Действительно, у нашей пациентки с диагнозом синдрома Jaffe— Campanacci также отмечен патологический перелом ключицы.
При гистологическом исследовании патологические очаги обычно представлены рыхлой соединительной тканью с множественными фибробластами и гистиоцитами, локальными скоплениями гигантских многоядерных клеток и периодически встречающимися скоплениями липофагов с явлениями геморрагий и выпадения зерен гемосидерина [12, 14].
Большинство авторов придерживается дифференцированного подхода к лечению данной группы пациентов, считая, что хирургическое вмешательство показано только в случаях, когда дефект имеет большой размер (как при наличии клинических симптомов, так и при их отсутствии), что создает угрозу патологического перелома [18, 22]. Мы полностью разделяем эту точку зрения.
ЗАКЛЮЧЕНИЕ
На основании собственного опыта мы не можем с полной достоверностью говорить о редкости полиоссальной формы МФДК, поскольку не проводили тотального рентгенологического обследования пациентов с единичными поражениями. В большинстве случаев выявление дополнительных патологических очагов было рентгенологической находкой. Рентгенологическая картина при множественных и единичных поражениях весьма сходна и характерна: овальной формы очаги разрежения костной ткани, располагающиеся в кортикальном слое метафизарных отделов длинных костей. Высокоинформативными методами диагностики является компьютерная и магнитно-резонансная томография, которые позволяют с достаточной точностью определить локализацию и распространенность патологического процесса, что способствует выбору оптимальной тактики лечения больных с МФДК. При синдроме Jaffe—Campanacci — чрезвычайно редком проявлении полиоссальной формы МФДК — костные поражения более выражены и склонны к быстрому прогрессированию. Гистологическая картина полии монооссальной формы МФДК идентична, однако при синдроме Jaffe— Campanacci наблюдается выраженный полиморфизм одноядерных клеточных элементов. Поскольку патологические очаги при МФДК имеют тенденцию к спонтанной репарации, происходящей в течение длительного времени (от 2 до 6 лет), хирургического вмешательства требуют только наиболее крупные дефекты (более 1/3 поперечника кости), как правило, сопровождающиеся болевым синдрмом.
About the authors
A. I. Snetkov
Central Institute of Traumatology and Orthopedics. N.N. Priorova
Author for correspondence.
Email: info@eco-vector.com
Russian Federation, Moscow
G. N. Berchenko
Central Institute of Traumatology and Orthopedics. N.N. Priorova
Email: info@eco-vector.com
Russian Federation, Moscow
A. K. Morozov
Central Institute of Traumatology and Orthopedics. N.N. Priorova
Email: info@eco-vector.com
Russian Federation, Moscow
S. Yu. Batrakov
Central Institute of Traumatology and Orthopedics. N.N. Priorova
Email: info@eco-vector.com
Russian Federation, Moscow
R. N. Pavlov
Central Institute of Traumatology and Orthopedics. N.N. Priorova
Email: info@eco-vector.com
Russian Federation, Moscow
References
Supplementary files







