Shoulder-costal dissociation
- Authors: Zolotov A.S.1
-
Affiliations:
- City Hospital
- Issue: Vol 9, No 2 (2002)
- Pages: 83-85
- Section: Short communications
- Submitted: 30.01.2022
- Accepted: 30.01.2022
- Published: 02.02.2022
- URL: https://journals.eco-vector.com/0869-8678/article/view/99824
- DOI: https://doi.org/10.17816/vto99824
- ID: 99824
Cite item
Full Text
Abstract
The term "scapular-costal dissociation" (literally - separation) appeared relatively recently [4]. It means a traumatic rupture of the scapular-costal junction with damage to the muscles, ligaments, the collarbone or its joints, the main blood vessels and the brachial plexus. Only the skin remains intact. In this regard, the second name of this injury is “closed traumatic amputation of the scapula” [1]. This injury occurs infrequently, mainly in road traffic accidents. Many victims die at the scene. Most authors have only a few clinical observations of scapular-costal dissociation, so each case of such damage is of particular interest.
Full Text
Термин «лопаточно-реберная диссоциация» (дословно — разъединение) появился сравнительно недавно [4]. Он означает травматический разрыв лопаточно-реберного соединения с повреждением мышц, связок, ключицы или ее суставов, магистральных кровеносных сосудов и плечевого сплетения. Интактной остается только кожа. В связи с этим второе название этого повреждения — «закрытая травматическая ампутация лопатки» [1]. Данная травма встречается нечасто, в основном при дорожно-транспортных происшествиях. Многие пострадавшие погибают на месте происшествия. Большинство авторов располагают лишь несколькими клиническими наблюдениями лопаточно-реберной диссоциации, поэтому каждый случай такого повреждения представляет определенный интерес. Приводим описание нашего случая.
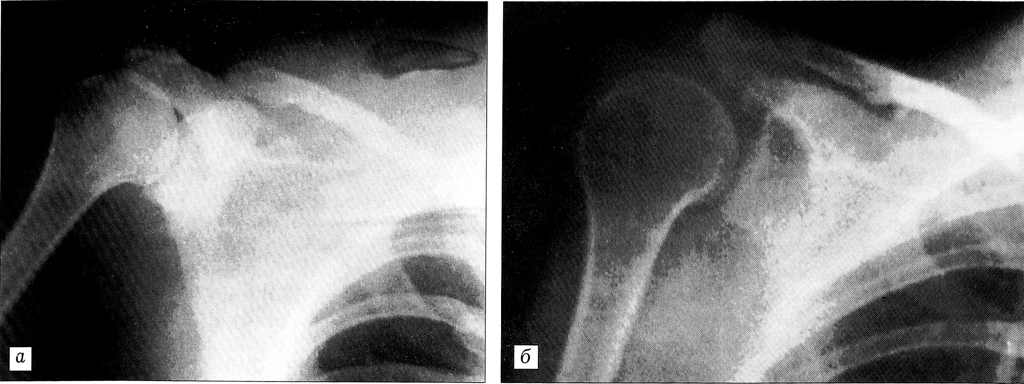
Рис. 1. Рентгенограммы больной Т. при поступлении (а) и через 8 мес после травмы (б).
Рис. 2. Увеличение расстояния от позвоночника до внутреннего края лопатки на стороне повреждения (2,5 нед после травмы).
Клиническое наблюдение. Больная Т.,20 лет, выпала из салона легкового автомобиля, который двигался с большой скоростью. Доставлена бригадой скорой медицинской помощи в тяжелом состоянии. Сознание — сопор. Пульс 118 в минуту. АД 60/30 мм рт. ст. При аускультации легких дыхание проводится во все отделы. Живот мягкий. На голове рана 12x4 см с отслоением кожи. В области правого плечевого сустава значительный отек, распространяющийся на надплечье, грудную клетку, плечо. Пульсация на плечевой, лучевой и локтевой артериях отсутствует. Кисть теплая. Активных движений в руке нет. Анализ крови: НЬ 89 г/л, эр. 2,5 • 1012/л, Ht 27%. Общий анализ мочи в норме. На краниограммах патологии не выявлено. На рентгенограммах грудной клетки и плечевого сустава справа обнаружены латеральное смещение лопатки, расширение щели акромиально-ключичного сустава до 3 см (рис. 1, а). При люмбальной пункции выявлена кровь в ликворе. Результат лапароцентеза отрицательный. Диагноз: ушиб головного мозга, субарахноидальное кровоизлияние, лопаточно-реберная диссоциация справа, разрыв акромиально-ключичного сочленения, плечевого сплетения, подключичной артерии и вены, мышц плечевого пояса, травматический шок III степени.
При поступлении пострадавшей начата противошоковая инфузионная терапия в условиях реанимационного отделения. В первые сутки введено 4200 мл кровезаменителей. Получала анальгетики, антибиотики, гормональные, сосудистые препараты. Выполнена первичная хирургическая обработка раны на голове. Рука иммобилизована косыночной повязкой. Через сутки сознание прояснилось, через 3 сут состояние больной стабилизировалось, признаков продолжающегося кровотечения не было. Дальнейшее лечение проводилось в травматологическом отделении. Рана на голове зажила первичным натяжением. В руке сохранялась полная плегия, анестезия с уровня верхней трети плеча, отсутствовала пульсация на артериях плеча и предплечья. Однако кисть оставалась теплой. На 3-й неделе после травмы расширен постельный режим, больной разрешено садиться. Клинически определялось увеличение расстояния от позвоночника до внутреннего края лопатки: на больной стороне оно равнялось 8,5 см против 5,5 см на здоровой (рис. 2). Пациентка выписана на амбулаторное лечение на 25-е сутки.
В амбулаторных условиях продолжались медикаментозная терапия, лечебная физкультура, массаж, физиотерапия. Однако грубые неврологические расстройства в руке и отсутствие пульсации на артериях плеча и предплечья сохранялись. Больная признана инвалидом II группы. Через 8 мес после автотравмы обратилась за помощью по поводу отморожения II степени потерявшей чувствительность руки. Сохранялись полный паралич руки, выраженная гипотрофия мышц, отсутствие пульсации на плечевой, лучевой и локтевой артериях. Парализованную руку предпочитала носить на косынке. На контрольных рентгенограммах исчезли латеральное смещение лопатки и диастаз между ключицей и акромионом. В области клювовидно-ключичной связки определяется оссификат (рис. 1, б).
Обсуждение. В 1984 г. S.L. Greek и соавт. [4] впервые описали 3 случая повреждения, названного ими лопаточно-реберной диссоциацией, которое характеризовалось разрывом лопаточно-реберного соединения, акромиально-ключичного сочленения, повреждением подключичных магистральных сосудов и плечевого сплетения. В 1988 г. N.A. Embraheim с восемью соавторами из четырех городов в трех странах собрали всего 15 наблюдений подобной травмы, что свидетельствует о ее большой редкости [2]. Оказалось, что эквивалентом разрыва акромиально-ключичного сочленения при лопаточно-реберной диссоциации может быть разрыв грудиноключичного сочленения или перелом ключицы с большим смещением. При этом отмечается полный или частичный разрыв следующих мышц: дельтовидной, малой грудной, ромбовидной, поднимающей лопатку, трапециевидной и широчайшей мышцы спины.
Механизм травмы — сильная тракция, прилагаемая к плечевому поясу, когда, например, мотоциклист пытается удержать руль, в то время как его туловище насильственно бросает в сторону [2]. Наша пациентка могла при падении зацепиться рукой за продолжающий движение автомобиль. Кстати, аналогичный механизм травмы отметили у одного из больных S.L. Greek и соавт. [4].
В клинической картине наблюдаются значительная гематома, отек в области плечевого сустава, паралич руки и отсутствие пульсации на артериях плеча и предплечья. Больные с разрывом подключичных или подмышечных артерий и вен и продолжающимся кровотечением, как правило, погибают на месте происшествия [3]. К сожалению, только в редких случаях повреждение плечевого сплетения бывает неполным. На рентгенограммах грудной клетки и плечевого пояса выявляются латеральное смещение лопатки и повреждение костных структур одного из трех типов: перелом ключицы, разрыв грудиноключичного или акромиально-ключичного сочленения. Последний наблюдался в нашем случае. Почти всегда у больных с лопаточно-реберной диссоциацией имеются и другие серьезные повреждения. У нашей больной сопутствующей была черепно-мозговая травма. Травма головного мозга с нарушением сознания мешает определению неврологических расстройств на верхней конечности [3].
В первую очередь больные с рассматриваемой травмой нуждаются в реанимационных мероприятиях, стабилизации общего состояния и контроле кровотечения [2-4]. В отношении местного лечения лопаточно-реберной диссоциации рекомендации остаются разноречивыми. Активная хирургическая тактика при закрытой травматической ампутации лопатки мало влияет на функциональный исход травмы по сравнению с консервативным методом лечения. В связи с этим полезными могут оказаться рекомендации P.J. Fisher и R.B. Kent [3]. При неполном повреждении плечевого сплетения и критической ишемии показана восстановительная операция на кровеносных сосудах. Это спасет руку и улучшит условия для восстановления нервов. Если у больного имеется полное или неполное повреждение плечевого сплетения и нет критической ишемии, реваскуляризации не требуется. При полном повреждении плечевого сплетения и критической ишемии показана ампутация верхней конечности выше локтевого сустава. Часто в отдаленном периоде после травмы парализованная рука является «источником» нераспознанных повреждений, ран, инфекционных процессов и каузалгий. В таких случаях рекомендуется ампутация руки выше локтевого сустава, протезирование и реабилитация. Однако больные неохотно соглашаются на эту операцию [2].
Таким образом, лопаточно-реберная диссоциация — редкое, опасное для жизни повреждение с плохим прогнозом в плане восстановления функции руки.
About the authors
A. S. Zolotov
City Hospital
Author for correspondence.
Email: info@eco-vector.com
Russian Federation, Spassk-Dalny, Primorsky Territory
References
Supplementary files




