Metastasis of gastric cancer in the femur in a 17-year-old patient (case report)
- Authors: Makhson A.N.1, Pavlenko T.V.1, Pugachev K.K.1
-
Affiliations:
- Moscow City Clinical Oncology Hospital No. 62
- Issue: Vol 9, No 2 (2002)
- Pages: 87-88
- Section: Short communications
- Submitted: 30.01.2022
- Accepted: 30.01.2022
- Published: 02.02.2022
- URL: https://journals.eco-vector.com/0869-8678/article/view/99827
- DOI: https://doi.org/10.17816/vto99827
- ID: 99827
Cite item
Full Text
Abstract
Primary gastric cancer is an extremely rare finding in young people. This applies to both children and adolescents [7, 9] and is true even for a sample of patients up to 40 years of age. According to McGill et al. [8], gastric cancer accounts for only 0.05% of malignant tumors of the gastrointestinal tract in children and adolescents. It is generally accepted that the manifestations of stomach cancer in young people practically do not differ from those in older age groups. Usually, developing gastric carcinoma proceeds under the guise of peptic ulcer and the correct diagnosis is made only in the later stages, which determines an extremely unfavorable prognosis for this disease. Histologically, gastric cancer in such patients is most often an undifferentiated adenogenic cancer with a diffuse-infiltrative type of growth.
Full Text
Первичный рак желудка является чрезвычайно редкой находкой у людей молодого возраста. Это относится как к детской, так и к юношеской группе [7, 9] и справедливо даже для выборки пациентов вплоть до 40-летнего возраста. Согласно данным McGill и соавт. [8], рак желудка составляет лишь 0,05% от злокачественных опухолей желудочно-кишечного тракта у детей и подростков. Общепринято мнение, что проявления рака желудка у лиц молодого возраста практически не отличаются от таковых в старших возрастных группах. Обычно развивающаяся карцинома желудка протекает под маской язвенной болезни и правильный диагноз ставится лишь на поздних стадиях, что определяет крайне неблагоприятный прогноз этого заболевания. Гистологически рак желудка у таких пациентов чаще всего представляет собой недифференцированный аденогенный рак с диффузно-инфильтративным типом роста.
Мы располагаем необычным, с нашей точки зрения, наблюдением рака желудка у 17-летнего юноши. Основным проявлением болезни при поступлении пациента в клинику было метастатическое поражение бедренной кости, протекавшее под маской остеогенной саркомы.
до появления болей в ноге пациент стал отмечать чувство тяжести, неприятные ощущения в верхней половине живота, отрыжку, боли в эпигастрии, не связанные с приемом пищи.
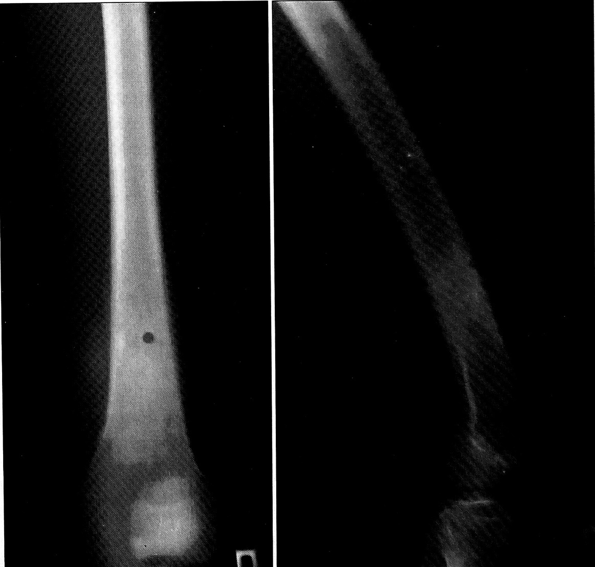
Рентгенологически в нижней трети диафиза и метадиафизе правой бедренной кости на протяжении 12,5 см определяются периостальные наслоения — бахромчатые, слоистые и спикулообразные, циркулярно охватывающие бедренную кость, но более выраженные по передней и внутренней поверхности. Контур коркового слоя нечеткий (см. рисунок). Рентгенологически изменения расценены как более характерны для периостальной остеогенной саркомы или саркомы Юинга [1, 2].
Пересмотр готовых стеклопрепаратов трепанобиопсии в больнице № 62 не позволил точно определить характер заболевания. С целью верификации диагноза была произведена повторная трепанобиопсия опухоли бедренной кости. При исследовании трепанобиоптата среди фрагментов губчатой кости обнаружены очаги клеток, более всего соответствующие метастазу аденогенного рака.
Рентгенограммы бедра больного М., 17 лет. Диагноз: метастаз рака желудка.
Одновременно, учитывая жалобы со стороны желудочно-кишечного тракта, была выполнена рентгеноскопия пищевода и желудка. Выявлены стойкое циркулярное сужение абдоминального сегмента пищевода до 6 мм на протяжении 2,5 см с мелкими изъязвлениями, а также бугристый дефект наполнения в субкардиальном отделе и своде желудка. Рентгенологически заподозрен кардиоэзофагельный рак и рекомендована гастроскопия. При эзофагогастродуоденоскопии отмечается сужение просвета, инфильтрация и отек слизистой оболочки, контактная кровоточивость в области кардии желудка. Произведена биопсия. Гистологическое исследование полученного материала: фрагменты слизистой оболочки с разрастанием низкодифференцированного рака, местами покрытые многослойным плоским эпителием.
Таким образом, у больного был выявлен и морфологически верифицирован рак желудка, встречающийся в молодом возрасте крайне редко.
В связи с характером рентгенологических изменений в бедренной кости, а именно наличием периостоза, более характерного для первичной опухоли кости, а также с неоднозначным заключением морфолога по материалу трепанобиопсии перед клиницистами встал вопрос: имеет ли место редкий случай рака желудка с метастазированием в бедренную кость или пациент страдает одновременно двумя заболеваниями?
Для уточнения диагноза решено провести иммуногистохимическое исследование препаратов трепанобиопсии опухоли бедренной кости и эндоскопического материала из опухоли в области кардии желудка. При иммуногистохимическом исследовании подтверждена раковая природа метастаза в бедренной кости: в обоих препаратах обнаружены маркеры эпителиальной дифференцировки. Было проведено исследование фенотипа опухоли желудка и метастаза. Оказалось, что эти опухоли имеют аналогичное строение недифференцированного аденогенного рака с выраженными признаками онкофетальной кишечной дифференцировки [3-6]. Результаты серологического исследования опухолевых маркеров подтвердили наличие весьма распространенного ракового процесса и не противоречили первичному желудочному генезу опухоли.
Таким образом, проведенные исследования позволили отвергнуть вариант сочетания двух заболеваний. С помощью современных методов диагностики нам удалось подтвердить единый генез рака желудка и метастатической опухоли бедренной кости.
За время пребывания больного в стационаре отмечалось быстрое прогрессирование опухолевого процесса за счет появления метастазов в печени, забрюшинных лимфатических узлах, диссеминации по брюшине. Поскольку специальные методы лечения не были показаны, пациент был выписан для проведения симптоматической терапии по месту жительства.
Считаем возможным предположить, что агрессивное и весьма необычное течение рака желудка в описываемом наблюдении не в последнюю очередь было связано с эмбриональными характеристиками карциномы. Вероятнее всего, в данном случае мы столкнулись с дизонтогенетическим новообразованием. Таким образом, генез опухоли, подтверждаемый иммунофенотипическим анализом тканей первичной и метастатической опухоли, можно представить как малигнизацию зачатка первичной кишки (порок развития), локализовавшегося в области перехода пищевода в желудок.
Клинические особенности течения болезни не противоречат характеристике опухоли как эмбрионального рака (первичное обращение пациента было связано с метастатическим поражением). Рентгенологические особенности метастатической опухоли бедренной кости, которая выглядела как остеогенная саркома или опухоль Юинга, по нашему мнению, также можно трактовать как свидетельство в пользу крайне незрелого характера злокачественного новообразования.
В заключение считаем нужным еще раз подчеркнуть редкость описанного наблюдения рака желудка у юноши 17 лет с метастазированием в бедренную кость. Данный случай подтверждает необходимость полноценного клинического обследования больных, даже если диагноз при поступлении пациента кажется очевидным.
About the authors
A. N. Makhson
Moscow City Clinical Oncology Hospital No. 62
Author for correspondence.
Email: info@eco-vector.com
Russian Federation
T. V. Pavlenko
Moscow City Clinical Oncology Hospital No. 62
Email: info@eco-vector.com
Russian Federation
K. K. Pugachev
Moscow City Clinical Oncology Hospital No. 62
Email: info@eco-vector.com
Russian Federation
References
Supplementary files



