Thermometry in the diagnosis of ankle injuries
- Authors: Raspopov E.A.1, Udartsev E.Y.1
-
Affiliations:
- Altai Medical University
- Issue: Vol 9, No 3 (2002)
- Pages: 87-89
- Section: Articles
- Submitted: 01.02.2022
- Accepted: 01.02.2022
- Published: 02.02.2022
- URL: https://journals.eco-vector.com/0869-8678/article/view/99975
- DOI: https://doi.org/10.17816/vto99975
- ID: 99975
Cite item
Full Text
Abstract
Examination results on 12 patients with closed injuries of the ankle joint capsular-ligamentous system are presented. Together with the traditional clinical and roentgenologic methods, ultrasonography and thermometry were used for the assessment of the injury severity. It is shown that thermometry is the informative method for the determination of the early postinjury reactive inflammation severity in the zone of injury. The elaborated monitoring of the skin temperature changes in the symmetric points of the injured and intact extremities enabled to evaluate the markedness of metabolic disturbances, the pattern and rate of reparative processes in the zone of injury, as well as to determine the time of their completion.
Keywords
Full Text
Повреждения голеностопного сустава относятся к наиболее частым травмам опорно-двигательной системы. Из них 10-12% приходится на повреждения капсульно-связочного аппарата, а в некоторых видах спорта этот показатель достигает 50%. [2, 7]. В 78% случаев такие повреждения локализуются в латеральных отделах голеностопного сустава, в 5% — в медиальных, в 10% случаев выявляются разрывы дистального межреберного синдесмоза [7, 8]. Недооценка тяжести этих повреждений, неадекватное их лечение приводят к тяжелым анатомическим нарушениям и хронической нестабильности голеностопного сустава. По некоторым данным, неудовлетворительные результаты лечения у рассматриваемой категории больных составляют 9-15% [1].
Как известно, возможности топической диагностики мягкотканных повреждений голеностопного сустава ограничены, и в 50% случаев они остаются нераспознанными [6]. Практика свидетельствует, что сохранность костных структур голеностопного сустава не является показателем целости коллатеральных или межберцовых связок [2-4, 7]. В диагностике капсульно-связочных повреждений используется артрография. При этом не исключается, что в случае выхода контрастного вещества за пределы голеностопного сустава будет получен ложноположительный результат, а при разночтении полученных данных нередко возникает необходимость в исследовании интактного сустава [5]. Кроме того, как любое инвазивное вмешательство, артрография может стать причиной снижения функциональных возможностей сустава.
В последние годы для визуализации мягких тканей суставов и топической диагностики их повреждений используются магнитно-резонансная томография и высокочастотное ультразвуковое исследование. Однако оба метода не позволяют осуществлять наблюдение за течением репаративных процессов в зоне повреждений.
МАТЕРИАЛ И МЕТОДЫ
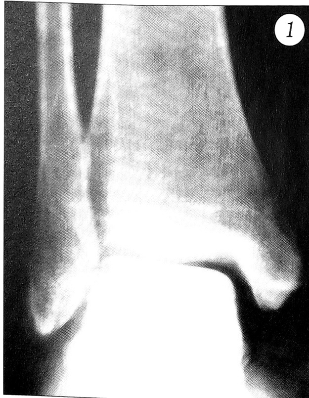
В исследуемую группу вошли 12 больных с повреждениями голеностопного сустава в возрасте от 25 до 45 лет. Давность травмы составляла от 30 мин до 3 ч. Аддукционно-супинационный механизм травмы имел место у 2 пациентов, аддукционнопронационный — у 10. Рентгенологически у 6 больных повреждений костей, образующих голеностопный сустав, не выявлено, у остальных диагностированы отрывы пластинок кортикального слоя по наружной поверхности тела таранной кости. На представленной рентгенограмме одной из больных (рис. 1) видна нечеткость контуров верхушек наружной и внутренней лодыжек и заднего края большеберцовой кости, ширина свободного межберцового пространства составляет 8 мм, наслоение берцовых костей 7 мм; отсутствие костных фрагментов свидетельствует о неполном отрыве связок.
Наши дальнейшие наблюдения показали, что ни в одном случае при непрямом (наиболее частом) механизме травмы голеностопного сустава не обходилось без повреждений капсульно-связочного аппарата. С целью топической диагностики пострадавшим в первые часы после травмы проводили УЗИ поврежденного голеностопного сустава (датчик 10 МГц). У 8 больных было выявлено нарушение целости латеральных связок: у 6 — передней малоберцово-таранной, у 2 — передней малоберцово-таранной и пяточно-малоберцовой. К ранним ультрасонографическим признакам повреждения этих структур были отнесены наличие гипоэхогенных участков неправильной формы с четкими границами, расположенных в толще связок, а также ослабление или отсутствие эхосигнала у мест прикрепления связок к кости (рис. 2).
Кроме рентгенографии и УЗИ, для оценки тяжести повреждений голеностопного сустава мы использовали метод термометрии. При выборе этого метода диагностики мы основывались на данных литературы, из которых следует, что тепловые характеристики участков тела отражают нейрорефлекторные сосудистые реакции, а также трофические и гуморальные нарушения, возникающие в ответ на травму [2, 5, б].
Рис 1. Рентгенограмма правого голеностопного сустава больной С. 29 лет. Диагноз: повреждение передней малоберцово-таранной связки, отрыв кортикальной пластинки от наружного края тела таранной кости.
Рис. 2. Эхограммы голеностопных суставов той же больной С.a — интактный левый сустав; б — поврежденный правый: участок гипоэхогенности у места прикрепления латеральных связок к костям стопы.
Разработанная нами методика оценки тяжести сосудистых нарушений и интенсивности обмена веществ в зоне повреждений базируется на измерении температуры тканей в проекции голеностопного сустава. Кожную температуру измеряли контактным термометром ТПЭМ-1 в проекции малоберцово-таранной, пяточно-малоберцовой, дельтовидной, передней и задней большеберцово-малоберцовых связок в разные периоды после травмы. Измерения проводили в симметричных точках на поврежденной и контралатеральной конечностях и вычисляли температурный градиент — АТ (в градусах Цельсия).
РЕЗУЛЬТАТЫ И ОБСУЖДЕНИЕ
С первых часов и до конца суток после травмы температура в области повреждений была ниже на 0,4~0,6°, что свидетельствовало о тяжелом посттравматическом ангиоспазме. Термоасимметрия в других отделах поврежденного и интактного суставов не превышала 0,Г. В последующие 10 дней измерения повторяли ежедневно, исследование проводили до восстановления целости капсульносвязочного аппарата. Динамика температурного градиента в разные сроки после травмы представлена на рис. 3. Из него видно, что со 2-х суток этот показатель увеличивался на 0,2-0,3°, достигая максимума к 10-му дню. В последующие 4-6 дней он удерживался в диапазоне 2,2~2,3°, а к 30-40-му дню постепенно снижался до 0,1~0,3°.
У всех наблюдавшихся больных величина ДТ соответствовала тяжести повреждения мягких тканей голеностопного сустава. Так, при повреждении двух и более связок регистрировалось более значительное увеличение температурного градиента, двухфазность сосудистых реакций была более выраженной, а их интенсивность — более высокой. У двух пострадавших на 5—7-й день после травмы отмечено повышение кожной температуры по всей окружности голеностопного сустава на 2,2-2,6°, что расценено как осложнение в виде посттравматического синовита — последний купирован после соответствующей терапии.
Данные проведенного исследования совпадают с современными представлениями о том, что температурные режимы тканей в зоне повреждений отражают результирующую комплексного влияния нейрогенной симпатической и сенсорной сосудистой реакции, микроциркуляции и метаболизма тканей голеностопного сустава. Термометрия в раннем периоде после травмы позволяет оценить тяжесть посттравматического реактивного воспаления в зоне повреждений. Возвращение показателей к первоначальным значениям свидетельствует о завершении процессов репарации.
Рис. 3. Динамика температурного градиента (ДТ) у той же больной С.
Мониторинг температурного градиента позволяет оценить тяжесть повреждений голеностопного сустава, на ранних стадиях выявить развивающиеся осложнения и внести коррективы в лечебную тактику.
About the authors
E. A. Raspopov
Altai Medical University
Author for correspondence.
Email: info@eco-vector.com
Russian Federation, Barnaul
E. Yu. Udartsev
Altai Medical University
Email: info@eco-vector.com
Russian Federation, Barnaul
References
Supplementary files





