A rare clinical case of household gas leak leading to severe asphixia
- 作者: Kryukov E.V.1, Gaiduk S.V.1, Goverdovskiy Y.B.1, Kuzmich V.G.1, Bogomolov A.B.1, Shapovalov I.D.1, Mihailov A.A.1, Lyanginen T.V.1, Vlasov S.S.1, Ivanov A.A.2
-
隶属关系:
- Military Medical Academy of S.M. Kirov
- Branch № 4 of the 419nd Military clinical hospital
- 期: 卷 24, 编号 3 (2022)
- 页面: 521-528
- 栏目: Case report
- ##submission.dateSubmitted##: 14.05.2022
- ##submission.dateAccepted##: 25.07.2022
- ##submission.datePublished##: 15.10.2022
- URL: https://journals.eco-vector.com/1682-7392/article/view/107669
- DOI: https://doi.org/10.17816/brmma107669
- ID: 107669
如何引用文章
全文:
详细
A rare case of severe asphyxia in a young patient due to household gas leakage WAS presented. The patient was found in an unconscious state with signs of respiratory failure at home, requiring respiratory support at the prehospital stage. The patient had a picture of damage to the circulatory organs with the development of acute myocardial ischemia without damage and reactive hydropericardium, respiratory organs in the form of hypoxic pulmonary edema, complicated by the development of bilateral community-acquired pneumonia, hydrothorax and severe respiratory failure, damage to the nervous system with the development of hypoxic encephalopathy with loss of consciousness and bilateral pyramidal syndrome, digestive organs with the development of reactive posthypoxic hepatopathy. Upon admission to the clinic of the field therapy of the Military Medical Academy of S.M. Kirov, which required hospitalization of the patient in the intensive care unit. It was possible to fully stop severe multiple organ damage that developed as a result of acute hypoxic exposure as a result of the complex treatment. This clinical case clearly demonstrates the importance of emergency, systematic and full-fledged intensive care at all stages of providing care to people with acute hypoxic lesions of organs and systems, including severe community-acquired pneumonia and hypoxic myocardial dystrophy. The influence of the early intensive care initiation and timely evacuation at the stage of qualified and specialized medical care on the effectiveness of therapeutic measures is discussed as this plays a fundamental role in the survival of this category of patients. In general, with timely and full-fledged therapeutic measure implementation aimed at treating complications, even severe acute hypoxic organs lesions and systems are reversible, although this may require long-term inpatient treatment and rehabilitation measures in a military sanatorium-resort organization condition of a therapeutic profile, as well as conducting a military medical examination to establish the fitness category for further military service.
全文:
ВВЕДЕНИЕ
Утечки бытового газа в Российской Федерации (РФ) представляют серьезную проблему для населения газифицированных домохозяйств. По данным публичного акционерного общества «Газпром», на 2021 г. уровень газификации страны магистральным газом составил 71%. Также большое число граждан, чьи дома не подключены к системе централизованного газоснабжения, используют в быту сжиженный газ. Газовое оборудование, используемое населением, не всегда отвечает требованиям безопасности, а система контроля не способна предотвратить все несчастные случаи. Министерство РФ по делам гражданской обороны, чрезвычайным ситуациям и ликвидации последствий стихийных бедствий не публикует исчерпывающей статистики по утечкам бытового газа, а общеизвестными становятся, как правило, случаи, заканчивающиеся взрывом или большим числом жертв. По данным открытых источников, ежегодно в РФ случается от 150 до 300 утечек бытового газа. Заметим, что в качестве бытового газа при магистральной газификации применяется метан, а для заправки бытовых газовых баллонов применяется пропан или бутан [1]. Метан сам по себе не оказывает токсического действия на организм человека, однако при утечке газа в закрытом помещении происходит постепенное вытеснение из атмосферы кислорода, что вызывает развитие гипоксии и связанных с ней повреждений органов и систем [2–4]. Так же существует проблема ошибок в диагностике данного состояния и, соответственно, некорректного кодирования по международной классификации болезней (МКБ). В МКБ-10 отсутствует отдельная рубрика для патологических изменений вследствие утечки бытового газа, поэтому, учитывая патогенез состояния, корректно использовать рубрики Т71 — асфиксия вследствие попадания в среду с низким содержанием кислорода и дополнительный код W81 — случайное или преднамеренное попадание в среду с низким содержанием кислорода. Однако часто для кодировки диагноза ошибочно используется рубрика Т59.9 — токсическое воздействие газов неуточненное, а также другие рубрики, вследствие чего реальная распространенность данной патологии остается неизвестной.
Цель исследования — на клиническом примере разобрать подходы к диагностике, лечению и профилактике тяжелой асфиксии вследствие утечки бытового газа.
МАТЕРИАЛЫ И МЕТОДЫ
Военнослужащий по контракту В., 23 лет, поступил в отделение реанимации и интенсивной терапии (ОРИТ) клиники военно-полевой терапии (ВПТ) Военно-медицинской академии им. С.М. Кирова в тяжелом состоянии с нарушением витальных функций вследствие тяжелой гипоксической гипоксии. Пациенту было проведено комплексное клиническое обследование, включавшее общеклинический, биохимический и токсико-химический анализы, регистрацию показателей системы кровообращения и дыхания, выполнение компьютерной томографии головы, груди, живота, диагностической бронхоскопии, консультации специалистов и контроль выявленных патологических изменений в динамике на фоне проводимой терапии.
РЕЗУЛЬТАТЫ И ИХ ОБСУЖДЕНИЕ
Из анамнеза известно, что 02.11.2021 г. военнослужащий не прибыл на утреннее построение в воинской части и не ответил на звонки. Чуть позже на телефон командира подразделения поступил звонок матери, сообщившей, что при телефонном разговоре с сыном около 07:30 он пожаловался на резкое развитие слабости, после чего разговор прервался. Оперативно прибывшим на место офицерам удалось вскрыть квартиру, в которой В. был обнаружен без сознания на полу, в квартире ощущался сильный запах бытового газа. При проведенном позднее расследовании происшествия было выяснено, что в соседней квартире произошла утечка бытового газа. Была вызвана бригада скорой медицинской помощи, пациент был доставлен в Гатчинскую клиническую межрайонную больницу, во время транспортировки осуществлялась инсуфляция 100% кислорода через маску, налажена внутривенная инфузия кристаллоидных растворов. В лечебном учреждении была зафиксирована утрата сознания до уровня комы 1-й степени и выявлено повышение в сыворотке крови уровня креатинина до 146 мкмоль/л, глюкозы до 17,3 ммоль/л. Был установлен предварительный диагноз: отравление природным газом, кома, токсический панкреатит, токсическая почка. В связи с несостоятельностью самостоятельного дыхания (со слов сопровождающего насыщение крови кислородом (SpO2) соответствовало 72%), пациент был интубирован и переведен на искусственную вентиляцию легких (ИВЛ) с параметрами: фракция кислорода во вдыхаемой газовой смеси (FiO2) 50%, минутный объем дыхания (МОД) 9 л.
Для дальнейшего лечения пациент был переведен в клинику ВПТ, при транспортировке в реанимобиле проводилась ИВЛ. При поступлении сознание на уровне комы 1-й степени, состояние было расценено как тяжелое. Очаговой неврологической симптоматики не выявлялось, определялось диффузное повышение рефлексов по пирамидному типу, умеренное повышение мышечного тонуса, патологических знаков не обнаружено. Астенического телосложения, кожный покров бледной окраски, обычной влажности, высыпания не определялись, температура тела 37,5 °С. Над легкими выслушивалось ослабленное везикулярное дыхание, влажные мелкопузырчатые хрипы, преимущественно в нижних отделах. Диурез по мочевому катетеру, сохранен. Со стороны других органов и систем при осмотре патологические изменения не выявлялись. При лабораторном обследовании была выявлена анемия легкой степени (рис. 1).
Рис. 1. Динамика показателей клинического анализа крови
Fig. 1. Dynamics of indicators of clinical blood analysis
Наблюдалось повышение маркеров повреждения кардиомиоцитов — тропонина Т до 440 нг/л, МВ-изофермента креатинфосфокиназы (КФК-МВ) до 52,14 МЕ/л, общей КФК до 296 МЕ/л, что было расценено как признаки гипоксической миокардиодистрофии (рис. 2).
Рис. 2. Динамика некоторых показателей биохимического анализа крови
Fig. 2. Dynamics of some indicators of biochemical blood analysis
Повышение уровня прокальцитонина (ПКТ) до 2,95 нг/мл, С-реактивного белка (СРБ) до 104 мг/л и Д-димера до 1420 нг/мл расценено как признаки эндотоксемии, вероятно развившейся на фоне внебольничной пневмонии). Повышение уровня печеночных трансаминаз и амилазы расценивалось как гепатопатия постгипоксического генеза (рис. 3).
Рис. 3. Динамика некоторых показателей биохимического анализа крови
Fig. 3. Dynamics of some indicators of biochemical blood analysis
Также были выявлены дисметаболические нарушения в виде повышения уровня калия до 6 ммоль/л и незначительного снижения общего белка. При токсико-химическом исследовании биосред в моче были обнаружены следы 1,4-бензодиазепина и трамадола, что было связано с введением данных препаратов при интубации трахеи на предыдущем этапе оказания медицинской помощи. В первые сутки наблюдения была выполнена компьютерная томография (КТ) головы, груди, живота, таза, при которой определялись признаки сливной альвеолярной инфильтрации легочной ткани с преимущественным выполнением объема в задних базальных отделах обоих легких (рис. 4).
Рис. 4. КТ при поступлении (02.11.2021). Стрелками указаны признаки сливной альвеолярной инфильтрации легочной ткани с преимущественным выполнением объема в задних базальных отделах обоих легких
Fig. 4. CT at admission (02.11.2021). Arrows indicate signs of draining alveolar infiltration of lung tissue with predominant volume in the posterior basal sections of both lungs
На электрокардиограмме (ЭКГ) на фоне нормосистолии с частотой сердечных сокращений 74 уд/мин выявлялась неполная блокада правой ножки пучка Гиса (ПНПГ), изменение процессов реполяризации в I и aVL отведениях, небольшая горизонтальная депрессия сегмента S–T с инверсией зубца T, на фоне синдрома ранней реполяризации желудочков (рис. 5).
Рис. 5. ЭКГ при поступлении в стационар. Указаны изменения процессов реполяризации в I и aVL отведениях, небольшая горизонтальная депрессия сегмента ST с инверсией зубца T
Fig. 5. Electrocardiogram at hospital admission. Changes in repolarization processes in the I and aVL leads, a small horizontal ST segment depression with T wave inversion are indicated
По данным анамнеза, результатам проведенного обследования был установлен предварительный диагноз: асфиксия (МКБ-10 T71). Случайное или преднамеренное попадание в среду с низким содержанием кислорода (МКБ-10 W81).
Осложнения: 1) энцефалопатия смешанного (постгипоксического, дисметаболического) генеза в виде двухстороннего пирамидного синдрома, синдрома угнетения сознания. Кома 1-й степени от 02.11.2021 г.; 2) внебольничная двусторонняя полисегментарная пневмония тяжелого течения. SMART-COP — 3 балла. Дыхательная недостаточность 2-й степени от 02.11.2021 г.; 3) миокардиодистрофия смешанного (постгипоксического, дисметаболического) генеза; 4) гепатопатия смешанного (постгипоксического, дисметаболического) генеза; 5) острое повреждение почек постгипоксического генеза.
Операции и манипуляции: катетеризация правой подключичной вены от 02.11.2021 г.; постановка мочевого катетера от 02.11.2021 г.; интубация трахеи и ИВЛ от 02.11.2021 г.; автомедицинская эвакуация от 02.11.2021 г.
В связи со стойким значимым повышением уровня тропонина пациент был осмотрен эндоваскулярным хирургом: учитывая отсутствие признаков кардиологической патологии в анамнезе, отсутствие характерной клинической картины острого коронарного синдрома, нехарактерную для классического инфаркта динамику кардиоспецифических ферментов, отсутствие признаков повреждения на ЭКГ, зон (гипо-)акинезии при ЭхоКГ, маловероятно наличие классического инфаркта миокарда. Кардиохирургическое лечение и выполнение коронароангиографии не показаны, выявленные лабораторно-инструментальные изменения обусловлены миокардиодистрофией смешанного генеза.
В отделении реанимации была продолжена ИВЛ аппаратом HAMILTON С2 в режиме ASV с параметрами FiO2 50%, МОД 9 л, на этом фоне f-16, Vt 600 мл, SpO2 99%. Была назначена терапия: антибактериальная (цефтриаксон по 1 г 2 раза в день, кларитромицин по 500 мг 2 раза в день), антикоагулянтная (надропарин 0,6 мл подкожно 2 раза в день), кардиометаболическая (мельдония дигидрат (милдронат), инозин, тиамин, пиридоксин), нейропротективная (этилметилгидроксипиридина сукцинат (мексидол), янтарная кислота + инозин + никотинамид + рибофлавин (цитофлавин)), антигипоксическая (метглюмина натрия сукцинат (реамберин)), муколитическая (ацетилцистеин, амброксол, ипратропия бромид + фенотерол) [5, 6].
На фоне проводимой интенсивной терапии на вторые сутки у пациента была отмечена положительная динамика в виде восстановления самостоятельного дыхания и восстановлении сознания до ясного, в связи с чем был экстубирован. После восстановления самостоятельного дыхания контактен, астенизирован, предъявлял жалобы на кашель, головокружение, головную боль, выраженную общую слабость. Был осмотрен в динамике неврологом, диагностировано состояние после постгипоксической энцефалопатии в виде астенического синдрома. Выполнена магнитно-резонансная томография (МРТ) головного мозга, выявлена МР-картина ликворной кисты прямого синуса твердой мозговой оболочки, арахноидальной кисты височного рога правого бокового желудочка. Признаков повреждения структур головного мозга не выявлено. В рамках дообследования была выполнена эхокардиография, при которой определялись признаки дисплазии соединительной ткани — миксоматозная дегенерация створок митрального клапана (МК), пролапс передней створки МК 1-й степени с митральной регургитацией 1-й степени, приклапанная трикуспидальная регургитация. Фракция выброса составляла 60%, признаков диастолической дисфункции не выявлено. Отмечалась положительная динамика в виде снижения лабораторных показателей — КФК, КФК-МВ, ПКТ, Д-димера, СРБ, что свидетельствовало об обратимом поражении внутренних органов (см. рис. 2, 3). На фоне инфузионно-дезинтоксикационной терапии ко вторым суткам нормализовались уровни электролитов.
На третьи сутки наблюдалась устойчивая положительная динамика состояния пациента. Сознание ясное, ориентирован в полном объеме, астенизирован. Самостоятельное дыхание эффективное, на фоне инсуфляции увлажненного кислорода через носовые канюли, SpO2 составляла 98–99%, так же при дыхании атмосферным воздухом не снижалась ниже 96%, что свидетельствовало о купировании дыхательной недостаточности. Был расширен двигательный режим в пределах палаты, в связи с чем был удален мочевой катетер, диурез адекватен водной нагрузке. По данным ЭКГ отмечалась положительная динамика нарушений процессов реполяризации, нормализация сегмента S–T. Была выполнена контрольная КТ груди, при которой определялся правосторонний малый гидроторакс, гидроперикард, в динамике — уменьшение объема альвеолярно-интерстициальной инфильтрации легочной паренхимы. Также была выполнена лечебно-диагностическая санационная бронхоскопия, при которой выявлены признаки ларингита, слизисто-гнойного эндотрахеобронхита, взяты промывные воды для бактериологического исследования. По результатам посевов рост микроорганизмов не обнаружен, в связи с чем антибактериальная терапия была назначена эмпирически. Лабораторно в динамике определялось снижение уровней СРБ, КФК, КФК-МВ (см. рис. 2, 3).
В дальнейшем состояние улучшалось, сохранялись жалобы на малопродуктивный кашель, умеренную общую слабость, однако в связи с выраженными полиорганными нарушениями пациент продолжал находиться в ОРИТ. На восьмые сутки было проведено контрольное лабораторно-инструментальное обследование, по результатам которого отмечена нормализация показателей клинического анализа крови (см. рис. 1), уровней КФК, КФК-МВ, тропонина Т, амилазы, АЛТ, АСТ (см. рис. 2, 3). Сохранялось незначительное повышение уровня СРБ. На девятые сутки ЭКГ соответствовала норме (рис. 6).
Рис. 6. ЭКГ на 9-е сутки лечения. Без патологических изменений, вариант нормы
Fig. 6. ECG on the 9th day of treatment. A variant of the norm without pathological changes
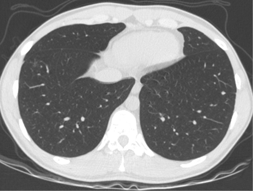
Рентгенологически очаговые и инфильтративные изменения легочной паренхимы разрешились, данных о наличии жидкости в плевральных полостях и полости перикарда не получено (рис. 7).
Рис. 7. КТ от 15.11.2021. Разрешение признаков альвеолярной инфильтрации легочной паренхимы
Fig. 7. CT from 11.15.2021. Resolution of signs of alveolar infiltration of the pulmonary parenchyma
В связи с разрешением инфильтрации легочной ткани была отменена антибактериальная терапия, и пациент был переведен в терапевтическое отделение, где пациенту было проведено комплексное обследование с целью определения тяжести увечья и вынесения экспертного заключения о годности к дальнейшему прохождению военной службы.
По результатам проведенного лабораторно-инструментального обследования все раннее измененные показатели нормализовались. В клиническом анализе крови сохранялся относительный лимфоцитоз с незначительной нейтропенией (см. рис. 1).
Учитывая, что бытовой газ (метан) не оказывает самостоятельного токсического действия на человека, в результате перенесенной асфиксии при попадании в среду с низким содержанием кислорода развилась картина поражения органов кровообращения с развитием острой ишемии миокарда без его повреждения и реактивным гидроперикардом, органов дыхания в виде гипоксического отека легких, осложненного развитием двусторонней внебольничной пневмонии, гидроторакса и дыхательной недостаточности 3-й степени, поражения нервной системы с развитием гипоксической энцефалопатии с утратой сознания и двусторонним пирамидным синдромом, органов пищеварения с развитием реактивной постгипоксической гепатопатии, потребовавших лечения пациента в ОРИТ. На момент получения травмы развились нарушения функции органов нервной системы, дыхания, оцениваемые как тяжелые, и нарушения органов кровообращения и пищеварения с умеренным нарушением функции, которые в результате проведенного лечения были купированы без формирования выраженных остаточных последствий для здоровья.
По результатам комплексного обследования и лечения пациент был осмотрен врачом медицинской реабилитации. С целью восстановления функций систем кровообращения и дыхания, купирования астенического синдрома и повышения толерантности к физической нагрузке было рекомендовано направление пациента для реализации мероприятий 3-го этапа медицинской реабилитации в условиях военной санаторно-курортной организации терапевтического профиля.
Выраженность нарушений функций органов и систем органов, развившихся при асфиксии после завершения основного курса лечения, были расценены военно-врачебной комиссией как легкое увечье. На основании Постановления правительства РФ от 04.07.2013 № 565, в связи с тяжестью перенесенных осложнений, а также сохранением астении после завершения курса лечения, военнослужащий В. признан военно-врачебной комиссией временно не годным к военной службе (категория годности к военной службе «Г»), и вынесено решение о направлении пациента в военную санаторно-курортную организацию для проведения реабилитационного лечения.
ЗАКЛЮЧЕНИЕ
Утечки бытового газа — актуальная проблема в странах с высоким уровнем газификации. К сожалению, даже современные профилактические мероприятия, проводимые газовой службой, не позволяют полностью исключить данные аварии. Несмотря на то, что природный газ (метан) не оказывает прямого токсического действия на организм человека, вытеснение из атмосферного воздуха кислорода приводит к гипоксическому повреждению органов и систем организма, что было ярко продемонстрировано данным клиническим случаем. В ранней диагностике большое значение имеет четкое указание на утечку бытового газа. Как и при любом гипоксическом состоянии другого генеза, мероприятия первой помощи должны быть направлены на немедленное обеспечение доступа кислорода, проходимости дыхательных путей, а при остановке самостоятельного дыхания — принудительная вентиляция легких через интубационную трубку либо при помощи мешка Амбу. На этапе специализированной медицинской помощи дальнейшее лечение должно быть направлено на купирование тканевой гипоксии и ее последствий, а также развившихся осложнений. Как показал анализ клинического случая, при своевременном и полноценном выполнении лечебных мероприятий, направленных на лечение осложнений, даже тяжелые острые гипоксические поражения органов и систем носят обратимый характер, но могут требовать длительного стационарного лечения и реабилитационных мероприятий.
作者简介
Evgeniy Kryukov
Military Medical Academy of S.M. Kirov
Email: evgeniy.md@mail.ru
ORCID iD: 0000-0002-8396-1936
SPIN 代码: 3900-3441
Scopus 作者 ID: 57208311867
Researcher ID: AAO-9491-2020
Doctor of Medical Sciences, Professor
俄罗斯联邦, Saint PetersburgSergey Gaiduk
Military Medical Academy of S.M. Kirov
Email: gaiduksergey@mail.ru
ORCID iD: 0000-0003-1524-9493
SPIN 代码: 8602-4922
Doctor of Medical Sciences, Associate Professor
俄罗斯联邦, Saint PetersburgYuriy Goverdovskiy
Military Medical Academy of S.M. Kirov
Email: goverdoc@yandex.ru
ORCID iD: 0000-0003-1241-9725
SPIN 代码: 2605-7097
Doctor of Medical Sciences
俄罗斯联邦, Saint PetersburgVladimir Kuzmich
Military Medical Academy of S.M. Kirov
Email: q-zmich1978@mail.ru
ORCID iD: 0000-0001-7754-3634
SPIN 代码: 7135-6357
Candidate of Medical Sciences
俄罗斯联邦, Saint PetersburgAlexey Bogomolov
Military Medical Academy of S.M. Kirov
Email: Bg-ab@mail.ru
ORCID iD: 0000-0002-6110-1097
SPIN 代码: 4175-2774
Candidate of Medical Sciences
俄罗斯联邦, Saint PetersburgIlya Shapovalov
Military Medical Academy of S.M. Kirov
编辑信件的主要联系方式.
Email: ilshapovalov@yandex.ru
ORCID iD: 0000-0001-7986-3359
SPIN 代码: 9775-9491
Adjunct
俄罗斯联邦, Saint PetersburgAlexey Mihailov
Military Medical Academy of S.M. Kirov
Email: auri8@mail.ru
ORCID iD: 0000-0001-5656-2764
SPIN 代码: 3957-6107
Adjunct
俄罗斯联邦, Saint PetersburgTimofey Lyanginen
Military Medical Academy of S.M. Kirov
Email: finn_off@mail.ru
ORCID iD: 0000-0003-3816-9242
SPIN 代码: 3494-6532
Candidate of Medical Sciences
俄罗斯联邦, Saint PetersburgStanislav Vlasov
Military Medical Academy of S.M. Kirov
Email: vlasovstass@mail.ru
ORCID iD: 0000-0003-3407-1096
Candidate of Medical Sciences
俄罗斯联邦, Saint PetersburgArtem Ivanov
Branch № 4 of the 419nd Military clinical hospital
Email: rusfanstar@mail.ru
ORCID iD: 0000-0003-1009-6096
Resident
俄罗斯联邦, Anapa参考
- Zhuravlev AA, Piskulov NS, Kirichenko EP, Krupina NA. Otravleniya komponentami bytovogo gaza. Russian Journal of Forensic Medicine. 2016;2(2):84. (In Russ.).
- Litvitskii PF. Klinicheskaya patofiziologiya. Moscow: Prakticheskaya meditsina, 2017. 776 p. (In Russ.).
- Yankovsky VE, Shadymov AB, Kazymov MA, Yurchenko AY. Death by inhalation of city gas - is it poisoning or...? Vestnik sudebnoi meditsiny. 2014;3(2):39–41. (In Russ.).
- Kalinina EYu. Characteristics of forensic medical diagnosis of poisoning by household gas in living persons. Modern Problems of Science and Education. Surgery. 2015;(6):248. (In Russ.).
- Evseeva MA, Evseev AV, Pravdivtsev VA, Shabanov PD. Mekhanizmy razvitiya ostroi gipoksii i puti ee farmakologicheskoi korrektsii. Reviews on Clinical Pharmacology and Drug Therapy. 2008;6(1):3–25. (In Russ.).
- Livanov GA, Aleksandrov MV, Batotsyrenov BV, et al. Methods for the prevention and treatment of toxico-gipocical encephalopathy in patients with acute severe poisoning. Clinical Medicine (Russian Journal). 2011;89(6):56–59. (In Russ.).
补充文件










