Особенности течения новой коронавирусной инфекции у коморбидного пациента
- Авторы: Харитонов М.А.1, Иванов В.В.1, Гришаев С.Л.1, Мальцева О.А.1, Булка Е.С.1, Булка К.А.1
-
Учреждения:
- Военно-медицинская академия имени С.М. Кирова
- Выпуск: Том 24, № 3 (2022)
- Страницы: 529-536
- Раздел: Клинические случаи
- Статья получена: 01.06.2022
- Статья одобрена: 01.07.2022
- Статья опубликована: 15.10.2022
- URL: https://journals.eco-vector.com/1682-7392/article/view/108468
- DOI: https://doi.org/10.17816/brmma108468
- ID: 108468
Цитировать
Полный текст
Аннотация
Появление в 2020 г. новой коронавирусной инфекции (COVID-19), вызванной вирусом SARS-CoV-2 поставило перед врачами различных специальностей задачи по быстрой ее диагностике, лечению и разработке эффективных курсов реабилитационных мероприятий. Познания медицинского сообщества о патогенезе течения поражения респираторного тракта при COVID-19 совершенствуются, однако расстановка ключевых акцентов в понимании течения этой патологии продолжается и сегодня. Предполагаемые реперные точки вируса SARS-CoV-2: васкулярная эндотелиальная дисфункция, коагулопатия, тромбозы, напоминающие клинику антифосфолипидного синдрома. Несмотря на более высокий риск развития вторичных инфекционных осложнений у пациентов, страдающих онкологическими заболеваниями и высоким риском тяжелого течения COVID-19, ее лечение проводится в соответствии с общими рекомендациями, ориентированными на среднестатистического пациента. На отдельном примере продемонстрирован успешный опыт лечения в стационаре пациента, страдающего коморбидной легочной патологией и новой коронавирусной инфекцией. Длительность лечения и сложность подбора курса реабилитационных мероприятий обусловливались наличием у пациента в анамнезе центрального плоскоклеточного рака легкого, перенесенного по этому поводу оперативного вмешательства (билобэктомии), лучевой и химиотерапии, а также осложнения в виде тромбоэмболии легочной артерии. В ходе обследования и лечения дифференцирована сопутствующая респираторная патология — хроническая обструктивная болезнь легких, подобрана ее базисная терапия, что сделало более эффективным этап медицинской реабилитации. Состояние пациента потребовало более тщательного подбора проводимой комбинированной противовоспалительной, бронхолитической, муколитической и антибактериальной терапии, чем у пациентов без сопутствующей патологии. В результате диагностики сопутствующей бронхолегочной патологии, проведенного лечения и комплекса реабилитационных мероприятий удалось добиться нормализации респираторной функции, компенсации сопутствующей бронхолегочной патологии. Важными факторами в подборе адекватной терапии пациентам пожилого возраста, страдающим коронавирусной инфекцией с коморбидной легочной патологией, являются тщательный диагностический поиск и оптимальное лечение всей соматической патологии.
Полный текст
ВВЕДЕНИЕ
К началу 2022 г. в мире зарегистрировано более 400 млн случаев COVID-19 и приблизительно 6 млн смертей [1]. На сегодняшний день медицинское сообщество продолжает искать единую точку зрения на патогенез, профилактику и лечение новой коронавирусной инфекции [2–9]. Пневмония, вызванная вирусом SARS-CoV-2, отличается от бактериальной инфекции [6–9]. У пациентов с критическим течением COVID-19 развиваются васкулярная эндотелиальная дисфункция, коагулопатия, тромбозы с наличием антител к фосфолипидам с клинической картиной, напоминающей выраженный антифосфолипидный синдром. Появление COVID-19 в мире поставило перед специалистами разного профиля здравоохранения задачи, связанные не только с быстрой диагностикой и лечением, но и с оказанием качественной медицинской помощи, включающей реабилитационные мероприятия после и во время перенесения новой коронавирусной инфекции [9]. Несмотря на более высокий риск развития вторичных инфекционных осложнений у пациентов, страдающих онкологическими заболеваниями и имеющих высокий риск тяжелого течения COVID-19, лечение новой коронавирусной инфекции проводится в соответствии с общими рекомендациями для пациентов, страдающих COVID-19, но более тщательным мониторингом состояния пациентов, контролем уровня С-реактивного белка (СРБ) и других маркеров системного воспаления [5].
Цель исследования — на отдельном клиническом примере продемонстрировать необходимость сохранения принципов индивидуализированного подхода в дифференциальной диагностике, выборе тактики и объема лечебных мероприятий у коморбидных пациентов.
РЕЗУЛЬТАТЫ И ИХ ОБСУЖДЕНИЕ
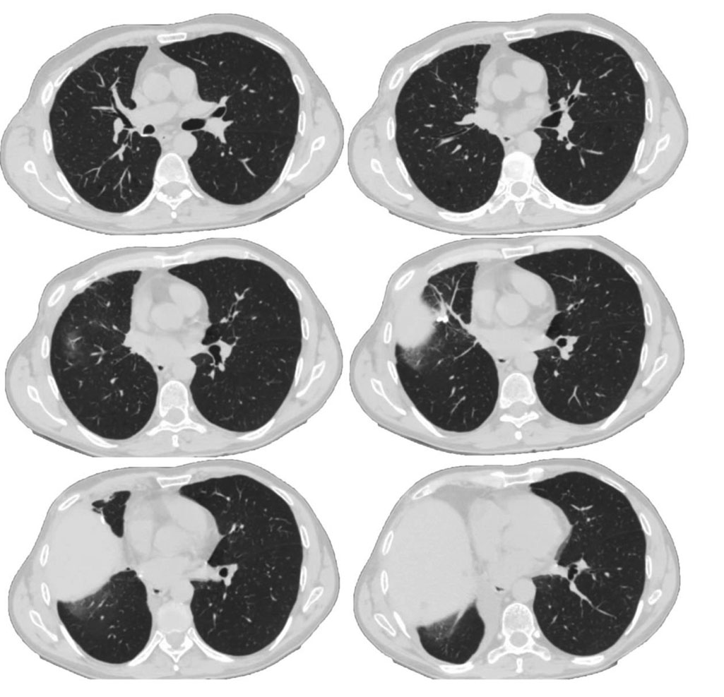
Пациент В., 60 лет, с длительным стажем курения в анамнезе (40 пачколет), без установленных диагнозов со стороны органов дыхания, обратился за медицинской помощью в стационар с жалобами на влажный кашель с отделением мокроты слизисто-гнойного характера, больше по утрам. Принимая во внимание неблагоприятную эпидобстановку, возраст, жалобы и анамнестические данные, была выполнена компьютерная томография груди. По данным первичной спиральной компьютерной томографии органов грудной клетки (СКТ ОГК) в области бифуркации сегментарных 8-го и 9-го бронхов перибронхиально определялось образование с нечеткими неровными контурами, размером 20 × 16 мм, включающее в себя лимфатический узел, 8-й бронх — с признаками сужения до 3 мм на протяжении 10 мм, 9-й бронх — без признаков сужения, соответствующие сегментарные артерии интимно прилежали к образованию, пневматизация легочной ткани — неравномерная за счет участков центрилобулярной и парасептальной эмфиземы в верхних долях обоих легких, дисковидный ателектаз в S10 правого легкого (рис. 1).
Рис. 1. Спиральная компьютерная томография органов грудной клетки пациента В. при первичном обследовании
Fig. 1. Spiral computed tomography of patient B’s chest organs during initial examination
По результатам СКТ ОГК врачом-консультантом была рекомендована консультация онколога. Пациент был направлен в онкологический диспансер, где после проведения ряда обследований выставлен предварительный диагноз: центральный перибронхиальный рак нижней доли правого легкого T2N1M0, стадия IIB.
Через месяц было проведено оперативное вмешательство: торакотомия справа, расширенная нижняя билобэктомия. Выполнено прижизненное патологоанатомическое исследование операционного материала, по результатам которого выдано заключение: немелкоклеточный рак правого нижнедолевого бронха (около 70% — плоскоклеточный рак G3; имеются участки (около 30%) гнездного строения — нельзя исключить крупноклеточный нейроэндокринный компонент); имеется периневральная инвазия 4,5 см в наибольшем измерении, обтурирующая просвет бронха; опухоль в крае резекции дополнительно досеченного промежуточного бронха с метастазами в различные группы лимфоузлов правого легкого. По результатам гистологического заключения диагноз был скорректирован: центральный перибронхиальный рак нижней доли правого легкого pT2b pN2 cM0 стадия IIIA.
Проведены 3 курса химиотерапии (через месяц после оперативного вмешательства) по схеме: паклитаксел + + цисплатин, осложнившиеся полинейропатией 2–3-й степени и болевым синдромом в костях 2-й степени, слабостью 2-й степени. На рисунке 2 представлены результаты СКТ ОГК от 18.05.2021 г.: в области культи средне- и нижнедолевых бронхов узловых образований не выявлено, верхняя доля расправлена; в правой плевральной полости жидкость толщиной слоя 12 мм; в верхних долях обоих легких центрилобулярная и парасептальная эмфизема; в S10 слева кальцинированные очаги до 2 мм; в легких плотные полиморфные очаги до 4 мм без динамики, вероятно фиброзного генеза; лимфоаденопатия не выявляется. Исследование проводилось в период проведения химиотерапии.
Рис. 2. Спиральная компьютерная томография органов грудной клетки пациента В. после билобэктомии в период проведения химиотерапии
Fig. 2. Spiral computed tomography of patient B’s chest organs after bilobectomy during chemotherapy
Через полтора месяца после химиотерапии проведена лучевая терапия. В последующем наблюдался у онколога без признаков рецидива. Через полгода во время планового обследования у онколога, в рамках которого проводилось СКТ ОГК (изображение не сохранено), выявлена тромбоэмболия мелких ветвей легочной артерии (ТЭЛА), рекомендован прием антикоагулянтной терапии с последующей плановой консультацией кардиолога. Постепенно пациент стал отмечать нарастание одышки, делающей невозможным выполнение простых бытовых действий, в связи с чем через три дня обратился за консультацией к кардиологу. Из кабинета врача кардиолога по неотложным показаниям бригадой скорой помощи был доставлен в многопрофильный стационар, где был установлен диагноз: ТЭЛА мелких ветвей, как осложнение течения онкологического процесса. На фоне проводимой антикоагулянтной терапии (ривароксабан) пациент отмечал улучшение общего самочувствия. Через неделю от начала лечения без проведения контрольных инструментальных исследований пациент В. в удовлетворительном состоянии был выписан на амбулаторный этап под наблюдение участкового врача.
Однако вечером в день выписки пациент отметил нарастание озноба, выраженной общей слабости, повышение температуры тела до фебрильных значений (38–39°С), не купируемые приемом противовоспалительных препаратов. Через три дня амбулаторно был выполнен анализ на SARS-CoV-2, результат которого оказался положительным. Участковым терапевтом была назначена противовирусная и антибактериальная терапия (фавипиравир, левофлоксацин) на дому. Амбулаторное лечение оказалось неэффективным. В связи с сохраняющейся лихорадкой, нарастанием слабости и одышки по неотложным показаниям бригадой скорой медицинской помощи был доставлен в многопрофильный стационар с диагнозом: коронавирусная инфекция, вызванная вирусом COVID-19, вирус идентифицирован, тяжелого течения, осложненной двусторонней полисегментарной вирусной пневмонией (КТ-3) с дыхательной недостаточностью 3-й степени.
Выполнена СКТ ОГК (изображение не сохранено), где на фоне правосторонней нижней билобэктомии определялись фокусы инфильтрации по типу «матового стекла» с нечеткими контурами с тяжистыми уплотнениями; объем поражения — 55–65%; частично осумкованная жидкость в плевральной полости толщиной слоя 24 мм.
На фоне проводимой противовирусной, антибактериальной, антикоагулянтной и муколитической терапии отмечалась выраженная положительная динамика в виде уменьшения кашля, одышки, повышения толерантности к физической нагрузке. При контрольной СКТ ОГК через три недели от заболевания (изображение не сохранено) отмечалась положительная динамика в виде уменьшения объема и интенсивности ранее выявленных участков инфильтрации с преобразованием их в ретикулярные уплотнения. Объем повреждения до 40% справа, 60% слева; частично осумкованная жидкость в плевральной полости толщиной слоя 13 мм.
Был выписан из стационара в стабильном состоянии, рекомендовано продолжение антикоагулянтной терапии. Перед выпиской выполнен лабораторный контроль крови: Д-димер 1319 нг/мл, СРБ 0,03 мг/дл, скорость оседания эритроцитов (СОЭ) 4 мм/ч. Несмотря на высокий уровень Д-димера, антикоагулянтная терапия не была назначена.
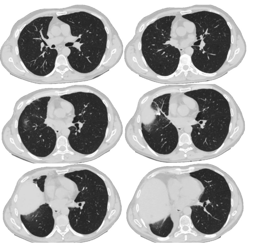
В течение недели после выписки, находясь на амбулаторном лечении по месту жительства, стал отмечать нарастание одышки, усиление продуктивного кашля с отхождением мокроты гнойного характера, снижение толерантности к физическим нагрузкам. В связи с этим вновь обратился за медицинской помощью и был госпитализирован в клинику терапии усовершенствования врачей Военно-медицинской академии им. С.М. Кирова. При поступлении в отделение скорой медицинской помощи по сito! был выполнен лабораторный контроль: Д-димер 1560 нг/мл, СОЭ 61 мм/ч. На этом фоне предъявлял жалобы на общую слабость, одышку смешанного характера при минимальной физической нагрузке и в покое, кашель с отхождением незначительного количества гнойной мокроты. При объективном осмотре обращало на себя внимание снижение сатурации 85–86% при дыхании атмосферным воздухом. Данные СКТ ОГК при поступлении на реабилитационное лечение представлены на рисунке 3. Определялось расширение корня правого легкого с наличием перибронхиального уплотнения на уровне оперативного вмешательства; полисегментарно в обоих легких определялись субплевральные и перибронхиальные участки уплотнения легочной ткани по типу «матового стекла», сливающиеся между собой, в сочетании с ретикулярными изменениями в виде утолщения внутридольковых и междольковых перегородок; отмечалась эмфизематозная перестройка легочной ткани за счет наличия участков центрилобулярной и парасептальной эмфиземы; в S10 левого легкого выявлены кальцинаты диаметром до 0,3 см; в S5 левого легкого определялся дисковидный ателектаз; в базальных отделах обоих легких прослеживались плевродиафрагмальные спайки; средостение смещено вправо, не расширено, образований в нем не выявлено, лимфоаденопатии нет; стенки сегментарных и субсегментарных бронхов уплотнены, не расширены.
Рис. 3. Спиральная компьютерная томография органов грудной клетки пациента В. при поступлении на реабилитационное лечение
Fig. 3. Spiral computed tomography of patient B’s chest organs upon admission to rehabilitation treatment
По данным бактериологического исследования мокроты определялись 105 колониеобразующих единиц Streptococcus viridans и 105 КОЕ Enterococcus faecalis.
В итоге, мы столкнулись со сложной сочетанной патологией в виде последствий лобэктомии справа, химио- и лучевой терапии центрального рака легких, осложнений в виде тромбоэмболии мелких ветвей легочной артерии и присоединением опасного инфекционного агента (SARV-COV-2). Также мы выявили факт того, что ни на одном из предыдущих этапов лечения не был выставлен диагноз хронической обструктивной болезни легких (ХОБЛ) и, соответственно, не была подобрана базисная терапия. Известно, что хроническое экспираторное ограничение воздушного потока приводит к возникновению в легочной ткани участков гиперинфляции и развитию в дистальных респираторных отделах вялотекущего воспалительного инфекционного процесса. Присоединение COVID-19 на скомпроментированный респираторный тракт в нашем случае грозило развитием некурабельной микст-инфекции.
Состояние пациента потребовало более тщательного подбора проводимой комбинированной противовоспалительной (метилпреднизолон), бронхолитической (раствор амброксола, раствор фенотерола / ипротропия бромид + раствор натрия хлорида 0,9%, через небулайзер), муколитической (эрдостеин), антибактериальной (левофлоксацин) терапии, на фоне которой отмечалась выраженная положительная динамика в виде уменьшения кашля, улучшения экспекторации мокроты, увеличения толерантности к физической нагрузке, увеличения показателей сатурации крови при дыхании атмосферным воздухом в покое и при нагрузке. На этом фоне пациент отмечал улучшение общего самочувствия.
Впервые была подобрана эффективная базисная ингаляционная бронхолитическая терапия (тиотропия бромид / олодатерол 2,5/2,5 мг) ХОБЛ. Перед выпиской выполнен лабораторный контроль: Д-димер 765 нг/мл, СОЭ 33 мм/ч, сатурация 95–97% при дыхании атмосферным воздухом.
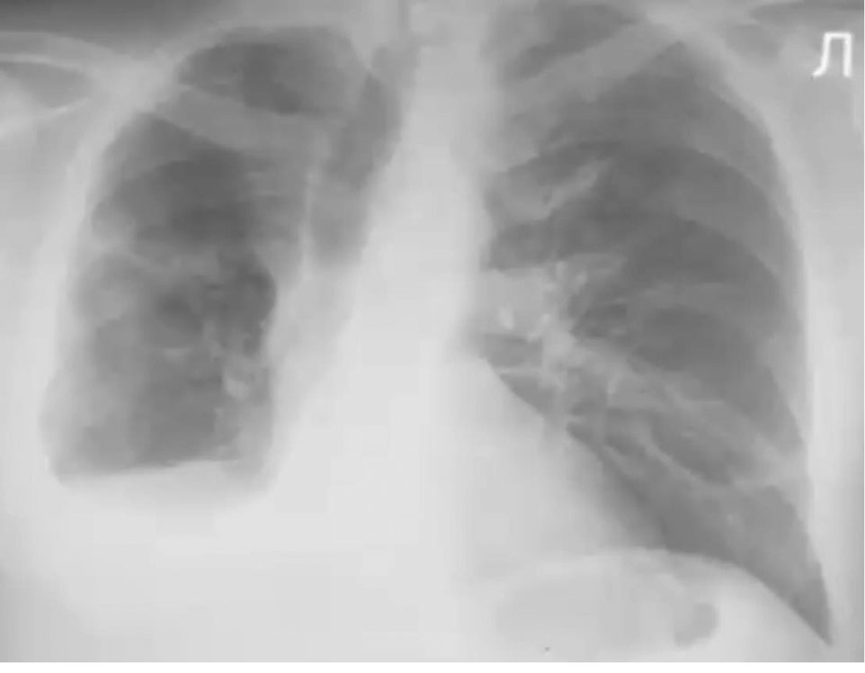
После окончания реабилитации был выполнен рентген-контроль (рис. 4). Очагов и фокусов уплотнения легочной ткани не определялось; сохранялось уплотнение и утолщение межуточной ткани в виде сетчатой и полисегментарной сетчато-тяжистой деформации легочного рисунка. Корень левого легкого уплотнен, культя правого не расширена.
Рис. 4. Обзорная рентгенография пациента В. в конце реабилитационного периода
Fig. 4. Overview radiography of patient B at the end of the rehabilitation period
Таким образом, за время пребывания в клинике терапии усовершенствования врачей Военно-медицинской академии им. С.М. Кирова с учетом данных анамнеза (курение 40 пачколет) и спирографии (снижение объема форсированного выдоха (ОФВ)1 до 53%, ОФВ1 / форсированная жизненная емкость легких менее 0,7), в дополнение к вышеописанному был выставлен диагноз: хроническая обструктивная болезнь легких III степени тяжести, тип С по GOLD (Global Initiative for Chronic Obstructive Lung Disease), смешанный фенотип (эмфизематозный, бронхитический) в фазе обострения. Наличие у коморбидного пациента выраженной бронхообструкции привело к расширению схемы лекарственной терапии и физиотерапевтических (индивидуальная дыхательная гимнастика, вибрационно-компрессионное воздействие и т. д.) способов лечения. Это сделало весьма эффективным этап лечения и последующей медицинской реабилитации.
ЗАКЛЮЧЕНИЕ
Считаем, что наличие сложной коморбидной легочной патологии не должно приводить к фактическому отсутствию диагностического поиска других заболеваний респираторного тракта и каждый подобный отдельный клинический случай требует индивидуального подхода и разработки комплекса лечебных и реабилитационных мероприятий.
Об авторах
Михаил Анатольевич Харитонов
Военно-медицинская академия имени С.М. Кирова
Email: micjul11@yandex.ru
ORCID iD: 0000-0002-6521-7986
SPIN-код: 7678-2278
доктор медицинских наук
Россия, Санкт-ПетербургВладимир Владимирович Иванов
Военно-медицинская академия имени С.М. Кирова
Email: sea-89@yandex.ru
SPIN-код: 1736-8285
кандидат медицинских наук
Россия, Санкт-ПетербургСергей Леонидович Гришаев
Военно-медицинская академия имени С.М. Кирова
Email: grishaev_med@mail.ru
ORCID iD: 0000-0002-4830-5220
SPIN-код: 3854-1566
доктор медицинских наук
Россия, Санкт-ПетербургОльга Александровна Мальцева
Военно-медицинская академия имени С.М. Кирова
Email: vmeda-nio@mil.ru
ORCID iD: 0000-0002-3131-9204
SPIN-код: 8699-2511
врач-пульмонолог
Россия, Санкт-ПетербургЕлена Сергеевна Булка
Военно-медицинская академия имени С.М. Кирова
Email: elena.l-saburova@yandex.ru
ORCID iD: 0000-0001-9782-4599
SPIN-код: 9209-7789
слушатель ординатуры
Россия, Санкт-ПетербургКирилл Александрович Булка
Военно-медицинская академия имени С.М. Кирова
Автор, ответственный за переписку.
Email: visoret@list.ru
ORCID iD: 0000-0002-8871-0335
SPIN-код: 2831-2165
кандидат медицинских наук
Россия, Санкт-ПетербургСписок литературы
- Зайковская А.В., Гладышева А.В., Карташов М.Ю., и др. Изучение в условиях in vitro биологических свойств штаммов коронавируса SARS-CoV-2, относящихся к различным генетическим вариантам // Проблемы особо опасных инфекций. 2022. № 1. С. 94–100. doi: 10.21055/0370-1069-2022-1-94-100
- Гаврилов Д.В., Кирилкина А.В., Серова Л.М. Алгоритм формирования подозрения на новую коронавирусную инфекцию на основе анализа симптомов для использования в системах поддержки принятия врачебных решений // Врач и информационные технологии. 2020. № 4. С. 51–58. doi: 10.37690/1811-0193-2020-4-51-58
- Крюков Е.В., Тришкин Д.В., Салухов В.В., и др. Особенности формирования и продолжительность сохранения нейтрализующих антител к S-белку SARS-CoV-2 у лиц, перенесших новую коронавирусную инфекцию (COVID-19) легкого или бессимптомного течения // Вестник Российской академии медицинских наук. 2021. Т. 76, № 4. С. 361–367. doi: 10.15690/vramn1582
- Жданов К.В., Козлов К.В., Буланьков Ю.И., и др. Оптимизация диагностики инфекции, вызванной SARS-CoV-2, с использованием полимеразной цепной реакции в крупном многопрофильном стационаре // Вестник Российской военно-медицинской академии. 2020. Т. 70, № 2. С. 7–10. doi: 10.17816/brmma.02
- Крюков Е.В., Тришкин Д.В., Иванов А.М., и др. Эпидемиологическое исследование коллективного иммунитета против новой коронавирусной инфекции среди разных групп военнослужащих // Вестник Российской академии медицинских наук. 2021. Т. 76, № 6. C. 661–668. doi: 10.15690/vramn1583
- Крюков Е.В., Шуленин К.С., Черкашин Д.В., и др. Патогенез и клинические проявления поражения сердечно-сосудистой системы у пациентов с новой коронавирусной инфекцией (COVID–19): учебное пособие. Санкт-Петербург: Веда Принт, 2021. 36 с.
- Ивченко Е.В., Котив Б.Н., Овчинников Д.В., Буценко С.А. Результаты работы научно-исследовательского института проблем новой коронавирусной инфекции Военно-медицинской академии за 2020–2021 гг. // Вестник Российской военно-медицинской академии. 2021. Т. 23, № 4. C. 93–104. doi: 10.17816/brmma83094
- Салухов В.В., Крюков Е.В., Чугунов А.А., и др. Роль и место глюкокортикостероидов в терапии пневмоний, вызванных COVID-19, без гипоксемии // Медицинский совет. 2021. № 12. С. 162–172. doi: 10.21518/2079-701X-2021-12-162-172
- Тришкин Д.В., Крюков Е.В., Фролов Д.В., и др. Физическая реабилитация пациентов с новой коронавирусной инфекцией SARS-CoV-2 (COVID-19) в стационаре // Военно-медицинский журнал. 2020. Т. 341, № 9. С. 13–19. doi: 10.17816/RMMJ82354
Дополнительные файлы






