Endodontic-parodontal diseases at adults
- Authors: Iordanishvili A.K.1, Moroz P.V.2
- 
							Affiliations: 
							- Северо-Западный государственный медицинский университет им. И.И. Мечникова
- Ростовский государственный медицинский университет
 
- Issue: Vol 19, No 1 (2017)
- Pages: 24-27
- Section: Clinical Trials
- Submitted: 01.05.2019
- Published: 15.12.2017
- URL: https://journals.eco-vector.com/1682-7392/article/view/12161
- ID: 12161
Cite item
Full Text
Abstract
Abstract. The frequency of occurrence of endodontic-parodontal lesion of jaws is established based on the carried-out clinicoradiological inspection of 1525 (843 (55,28%) men and 682 (44,72%) women) adults of different age groups. There were 456 people young age, 523 – an average age, 329 – elderly and 217 people of senile age among surveyed. Fyodorov – Volodkina index is used for the assessment of a hygienic condition of an oral cavity, assessment of intensity of a course of pathology of a parodont is carried out with using complex parodontal index. It is shown in work that the frequency of occurrence of endodontic-parodontal lesion at adults of various age groups – 24,13% and it is getting higher with age. The endodontic-parodontal lesion at persons of young and average age was, respectively, in 1,97% and 18,74% of cases, and at persons of advanced and senile age the frequency of occurrence of endodontic-parodontal lesion reached, respectively, 34,35% and 68,2% in the corresponding age groups. It is shown that endodontic-parodontal lesion despite of age, but the frequency of occurrence of endodontic-parodontal lesion higher at women. It becomes perceptible that endodontic-parodontal lesion at young and average age come with satisfactory individual care of an oral cavity at mild or moderate severity of parodont pathology. In the senior age groups, despite of sex, endodontic-parodontal lesion come with unsatisfactory individual care of an oral cavity at serious severity of parodont pathology. It is emphasized that the high frequency of occurrence of endodonticparodontal lesion at middle-aged persons, and also at people of the senior age groups causes need to principals and managers of units of a therapeutic and surgical odontology of stomatologic treatment and prevention facilities, to provide a possibility of performance of expanded dental treatment-and-prophylactic actions when carrying out sanation of an oral cavity, and also before a denture.
Full Text
Введение. Сочетание заболеваний эндодонта (пульпит, периодонтит) и пародонта у взрослых людей неуклонно возрастает [1, 4, 14], что существенно усложняет проведение стоматологических лечебнопрофилактических и ребилитационных мероприятий [2, 3, 6]. Известно, что с возрастом различные клинические формы хронических периапикальных очагов одонтогенной инфекции (ХПООИ) встречаются чаще [5, 11, 13], при этом независимо от возраста ХПООИ чаще выявляются у мужчин [8], что связано с дефектами в проведении индивидуальной гигиены полости рта, а также меньшей их обращаемостью за стоматологической помощью [7, 15]. Демографическое старение населения, независимо от пола, приводит к увеличению встречаемости генерализованных форм хронического пародонтита средней и тяжелой степени тяжести [10]. Однако до настоящего времени специалистами не изучен вопрос о частоте встречаемости эндодонтопародонтальных поражений у взрослых людей. Знание этого вопроса имеет прикладное значение в связи с необходимостью проведения у таких пациентов независимо от их возраста расширенных стоматологических лечебно-профилактических мероприятий при санации полости рта и перед зубным протезированием [16, 18]. Это особенно важно в аспекте сохраняющихся в практической стоматологии проблем качественного пломбирования корневых каналов зубов при эндодонтическом лечении осложненных форм кариеса зубов [11, 17], а также существующих дефектов оказания пародонтологической помощи [9].
Цель исследования. Изучить частоту встречаемости эндодонтопародонтальных поражений челюстей у взрослых людей с учётом возраста и пола.
Материалы и методы. Проведено клинико-рентгенологическое обследование 1525 (843 (55,28%) мужчин и 682 (44,72%) женщин) разных возрастных групп для выявления частоты встречаемости эндодонтопародонтальных поражений челюстей. Среди обследованных было 456 пациентов молодого, 523 – среднего, 329 – пожилого и 217 – старческого возраста. В ходе выявления эндодонтопародонтальных поражений, представляющих собой сочетание заболеваний пульпы и периодонта на фоне генерализованных форм пародонтита средней и тяжелой степени тяжести, уточняли состояние индивидуальной гигиены полости рта, а также проводили анализ интенсивности течения воспалительной патологии пародонта. Для оценки гигиенического состояния полости рта применяли индекс гигиены Фёдорова – Володкиной [13], оценку интенсивности течения патологии пародонта осуществляли с помощью комплексного периодонтального индекса (КПИ) [15].
Полученный в результате клинического исследования цифровой материал обработан на персональном компьютере с использованием специализированного пакета для статистического анализа – «Statistica for Windows v. 6.0». Различия между сравниваемыми группами считались достоверными при р≤0,05. Случаи, когда значения вероятности показателя «р» находились в диапазоне от 0,05 до 0,10 – расценивали как «наличие тенденции».
Результаты и их обсуждение. Установлено, что с возрастом частота встречаемости эндодонтопародонтальных поражений достоверно (р≤0,001) увеличивалась как у мужчин, так и у женщин (рис. 1). Так, в молодом возрасте эндодонтопародонтальные поражения диагностированы у 5 мужчин из 308 обследованных и у 4 из 147 обследованных женщин (рис. 2). Как правило, у этих пациентов тяжесть течения хронического генерализованного пародонтита обусловливалась сопутствующей соматической патологией (сахарный диабет первого или второго типа). При этом значение индекса КПИ было равно 1,92±0,21 у. е., что свидетельствовало о лёгкой степени поражения тканей пародонта. Показано, что у молодых женщин индекс гигиены полости рта равен 1,48±0,11 у. е. (хороший), у мужчин – 1,95±0,17 у. е. (удовлетворительный).
У мужчин и женщин средней возрастной группы эндодонтопародонтальные поражения были диагностированы у 57 из 312 обследованных мужчин и у 41 (19,43%) из 211 обследованных женщин соответственно (рис. 3). В этой возрастной группе, независимо от пола, определялся удовлетворительный индивидуальный уход за полостью рта (индекс гигиены 1,97±0,17 у. е.) и средняя тяжесть течения патологии пародонта (индекс КПИ=2,43±0,25 у. е.).
Рис. 1. Частота встречаемости эндодонтопародонтальных поражений у взрослых людей с учётом возраста и пола
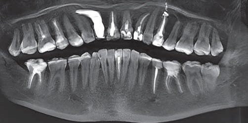
Рис. 2. Фрагмент ортопантомограммы: эндодонтопародонтальные поражения челюстей у пациентки К., 25 лет
Рис. 3. Срез 3D – томограммы: эндодонтопародонтальное поражение верхней челюсти на уровне верхних левых премоляров и моляров у пациента М., 55 лет
Независимо от пола наиболее часто эндодонтопародонтальные поражения, встречались у лиц старших возрастных групп. Так, у лиц пожилого возраста эндодонтопародонтальные поражения были диагностированы у 45 (31,47%) из 143 обследованных мужчин и 68 (36,56%) из 186 обследованных женщин (рис. 4). В старческом возрасте (рис. 5) частота встречаемости эндодонтопародонтальных поражений составила у мужчин – 65,82%, у женщин – 69,57%. В этой возрастной группе эндодонтопародонтальные поражения челюстей были выявлены у 52 из 79 обследованных мужчин и 56 из 138 обследованных женщин.
При этом у лиц пожилого и старческого возраста, не зависимо от пола, отмечена неудовлетворительная гигиена полости рта (показатель индекса гигиены полости рта 2,21±0,19 и 2,45±0,21 у. е. соответственно), а также тяжелые формы протекания патологии пародонта (показатель индекса КПИ 3,69±0,24 и 3,91±0,27 у. е. соответственно). Независимо от возрастной группы частота встречаемости эндодонтопародонтальных поражений была достоверно (р≤0,001) выше у женщин. Эндодонтопародонтальные поражения у взрослых людей наиболее часто диагностировались у лиц, страдающих коморбидной патологией или на фоне эндокринных заболеваний, особенно при сахарном диабете.
Рис. 4. Фрагмент ортопантомограммы: эндодонтопародонтальные поражения челюстей у пациентки К., 62лет
Рис. 5. Фрагмент ортопантомограммы: эндодонтопародонтальные поражения челюстей сочетающиеся с периимплантитом у пациента Е., 76 лет
Заключение. Выявлено, что встречаемость эндодонтопародонтальных поражений у взрослых людей различных возрастных групп составляет 24,13% и увеличивается с возрастом. Если у лиц молодого и среднего возраста эндодонтопародонтальные поражения диагностируются в 1,97 и 18,74% случаев соответственно, то у лиц пожилого и старческого возраста – в 34,35 и 68,2%. Независимо от возраста частота встречаемости эндодонтопародонтальных поражений была выше у женщин. В молодом и среднем возрасте эндодонтопародонтальные поражения протекают на фоне удовлетворительного индивидуального ухода за полостью рта при лёгкой или средней степени тяжести патологии пародонта. В старших возрастных группах, независимо от пола, эндодонтопародонтальные поражения протекают на фоне неудовлетворительного индивидуального ухода за полостью рта при тяжёлой степени тяжести патологии пародонта. Высокая частота встречаемости эндодонтопародонтальных поражений у лиц среднего, пожилого и старческого возраста обусловливает необходимость руководителям и заведующим отделениями терапевтической и хирургической стоматологии стоматологических лечебно-профилактических учреждений, предусмотреть возможность выполнения у данных категорий больных расширенных стоматологических лечебно-профилактических мероприятий при проведении им санации полости рта, а также перед зубным протезированием.
About the authors
A. K. Iordanishvili
Северо-Западный государственный медицинский университет им. И.И. Мечникова
														Email: mdgrey@bk.ru
				                					                																			                												                	Russian Federation, 							г. Санкт-Петербург						
P. V. Moroz
Ростовский государственный медицинский университет
							Author for correspondence.
							Email: mdgrey@bk.ru
				                					                																			                												                	Russian Federation, 							г. Ростов-на-Дону						
References
- Абрамов, Д.В. Стоматологические конструкционные материалы: патофизиологическое обоснование к оптимальному использованию при дентальной имплантации и протезировании / Д.В. Абрамов, А.К. Иорданишвили. – СПб.: Нордмедиздат, 2011. – 162 с.
- Бабич, В.В. Организация диагностики и лечения заболеваний височно-нижнечелюстного сустава с учётом адаптационных возможностей организма / В.В. Бабич [и др.]. – СПб.: Нордмедиздат, 2016. – 77. с.
- Бельских, А.Н. Хроническая болезнь почек: особенности стоматологической патологии / А.Н. Бельских, О.А. Бельских, А.К. Иорданишвили. – СПб.: Нордмедиздат, 2016. – 132 с.
- Иорданишвили, А.К. Стоматологические заболевания у лётного состава / А.К. Иорданишвили. – СПб.: Ривьера, 1996. – 76 с.
- Иорданишвили, А.К. Хирургическое лечение периодонтитов и кист челюстей / А.К. Иорданишвили. – СПб.: Нордмедиздат, 1996. – 218 с.
- Иорданишвили, А.К. Клиническая ортопедическая стоматология / А.К. Иорданишвили. – М.: МЕДпресс-информ, 2007. – 248 с.
- Иорданишвили, А.К. Возрастные изменения жевательноречевого аппарата / А.К. Иорданишвили. – СПб.: Человек, 2015. – 140 с.
- Иорданишвили, А.К. Геронтостоматология / А.К. Иорданишвили. – СПб.: Человек, 2015. – 242 с.
- Иорданишвили, А.К. Лечение пародонтита в пожилом и старческом возрасте / А.К. Иорданишвили [и др.]. – СПб.: Нордмедиздат, 2011. – 128 с.
- Иорданишвили, А.К. Стоматологическое здоровье нации и пути его сохранения / А.К. Иорданишвили [и др.] // Пародонтология. – 2015. – № 1 (74). –С. 78 – 80.
- Иорданишвили, А.К. Эндодонтия: эффективность и качество лечения / А.К. Иорданишвили, И.Б. Салманов. – СПб.: Человек, 2016. – 136 с.
- Музыкин, М.И. Периоститы челюстей и их лечение / М.И. Музыкин, А.К. Иорданишвили, Г.А. Рыжак. – СПб.: Человек, 2015. – 112 с.
- Тытюк, С.Ю. Стоматологическое здоровье при хронических воспалительных заболеваниях кишечника / С.Ю. Тытюк, А.К. Иорданишвили. – СПб.: Нордмедиздат, 2016. – 144 с.
- Филиппова, Е.В. Заболевания слизистой оболочки полости рта у людей пожилого и старческого возраста / Е.В. Филиппова, А.К. Иорданишвили, Д.А. Либих // Пародонтология. – 2013. – № 1 (66). – С. 60 – 63.
- Щербо, А.П. Стоматологическое здоровье работников, занятых в производстве синтетических моющих средств / А.П. Щербо, В.В. Пирожинский, А.К. Иорданишвли. – СПб.: Нордмедиздат, 2010. – 120 с.
- Fujii, T. An endodontic-periodontal lesion with primary periodontal diases: a case report on its bacterial profile / T. Fujii [еt al.] // Bull. Tokyo Dent. Coll. – 2014. – № 55 (1). – P. 33–37.
- Rjtstein, I. The endo-perio lesion: a critical appraisal of the diseases condition / I. Rjtstein, J.H. Simon // Еndodontic Topics. – 2006. – № 13. – P. 34–56.
- Sunita, R.V. The periodontal – endodontic continuum: a review / R.V. Sunita [еt al.] // J. Conserv. Dent. – 2008. –№ 11 (2). – P. 54–62.
Supplementary files
 
				
			 
					 
						 
						 
									
 
  
  
  Email this article
			Email this article 






