Diagnostics and features of endovideosurgical prosthetics of left-sided postoperative diaphragmatic hernia
- Authors: Sigua B.V.1, Zemlyanoy V.P.1, Latariya E.L.1, Singaevsky A.B.1, Kachiuri A.S.1, Gurzhiy D.V.1, Melnikov V.A.1, Volkova E.S.1, Ovchinnikov D.V.2
-
Affiliations:
- Mechnikov North-Western State Medical University
- Kirov Military Medical Academy
- Issue: Vol 21, No 1 (2019)
- Pages: 27-30
- Section: Clinical Trials
- Submitted: 06.06.2019
- Published: 15.12.2019
- URL: https://journals.eco-vector.com/1682-7392/article/view/13034
- DOI: https://doi.org/10.17816/brmma13034
- ID: 13034
Cite item
Full Text
Abstract
Considers a case of successful endovideosurgical treatment of a patient with postoperative diaphragmatic hernia, admitted to the clinic of faculty surgery named after. I.I. Grekov North-Western State Medical University named after I.I. Mechnikov. The patient was hospitalized with a diagnosis of acute pancreatitis, however, as a result of the follow-up examination, taking into account the history and clinical picture, a diagnosis of left-sided postoperative diaphragmatic hernia was made. Diagnosis was carried out using spiral computed tomography of the chest and abdominal organs, as well as using radiation research techniques. According to the above studies, the contents of the hernia were the spleen and the bottom of the stomach. It was decided to perform surgery in the volume of laparoscopic removal of a diaphragmatic hernia on the left with a plastic reticular endoprosthesis. Intraoperative, early and late postoperative complications are not observed. Due to the choice in favor of a minimally invasive surgical treatment technique, the likelihood of complications was minimized. The favorable postoperative course was confirmed by x-ray data of the thoracic and abdominal cavities, performed on the 5th day of the postoperative period. The absence of clinically significant changes in clinical and biochemical blood tests also indicates a smooth postoperative course. The patient was discharged for outpatient treatment in a satisfactory condition after 12 days after surgery. The results of multispiral computed tomography of the thoracic and abdominal cavities, performed on an outpatient basis one month after the operation, confirm the successful outcome of surgical treatment.
Keywords
Full Text
Введение. Диафрагмальные грыжи, по данным А.Е. Борисова [1], Л.Г. Завгороднего и др. [2] и М.И. Кузина [5], составляют 1,5–2% от всех видов грыж. Редкость данной патологии обусловливает известные трудности при диагностике.
Основными инструментальными методиками диагностики диафрагмальных грыж являются лучевые исследования. В качестве наиболее доступной методики выступает рентгенография органов грудной и брюшной полостей. Значительно увеличивает точность диагностики применение контрастирующих веществ. В более сложных случаях возможно выполнение более высокотехнологичных методик, например мультиспиральной компьютерной томографии (МСКТ). Эндоскопические методики исследования позволяют уточнить диагноз [4].
Лечение диафрагмальных грыж – только хирургическое и заключается в восстановлении целости диафрагмы [2]. Хирургическая тактика при диафрагмальных грыжах зависит от специфики клиники, в которой находится на лечении пациент. Так, общие хирурги используют лапаротомию в 92% [7], торакальные хирурги выполняют торакотомию в 78% случаев [8].
Известно, что при описании диафрагмальных грыж, как правило, речь идет о посттравматических грыжах [3-5]. Однако в нашем случае имеет место послеоперационная диафрагмальная грыжа. К сожалению, нам не удалось обнаружить публикации на тему послеоперационных диафрагмальных грыж.
Цель исследования. Представить опыт успешного лапароскопического устранения послеоперационной диафрагмальной грыжи с пластикой сетчатым эндопротезом.
Материалы и методы. Обследована пациентка А. 29 лет, госпитализированная в экстренном порядке 15.03.2018 г. в клинику факультетской хирургии им. И.И. Грекова Северо-Западного государственного медицинского университета им. И.И. Мечникова с диагнозом направления «острый панкреатит». При поступлении предъявляла жалобы на боли в верхних отделах живота опоясывающего характера, тошноту, однократную рвоту. Состояние расценено как обострение хронического панкреатита. На фоне проводимой инфузионно-спазмолитической терапии болевой синдром купирован.
Результаты и их обсуждение. Из анамнеза стало известно, что в апреле 2017 г. пациентка была прооперирована по поводу абсцесса левой почки.
В предоставленной медицинской документации обследования на догоспитальном этапе по результатам МСКТ органов грудной клетки и брюшной полости имеет место лоскутный дефект центральных и задних отделов левого купола диафрагмы размерами 40×80 мм, через который в грудную полость пролабирует дно и часть тела желудка, также смещена селезенка, последние четко ограничены от ткани легкого плевральными листками.
При поступлении было выполнено рентгенологическое исследование с контрастированием. На обзорной рентгенограмме органов грудной полости купол диафрагмы слева расположен высоко на уровне 4 ребра по передней подмышечной линии, гиповентиляция легочной ткани в нижних отделах; в левом поддиафрагмальном пространстве определяется широкий горизонтальный уровень жидкости. При рентгеноскопии верхних отделов желудочно-кишечного тракта с бариевой взвесью определяется пролабирование складок слизистой свода и части тела желудка в плевральную полость – рентгенологические признаки диафрагмальной грыжи (рис. 1). Фиброгастродуоденоскопия (ФГДС) позволила выявить эндоскопические признаки фиксированной кардиофундальной грыжи пищеводного отверстия диафрагмы и очаговый антральный гастрит.
С учётом данных лабораторно-инструментальных исследований и клинической картины, болевой синдром был обусловлен наличием послеоперационной диафрагмальной грыжи слева. Учитывая склонность к ущемлению, пациентке обосновали показания к оперативному лечению основного заболевания [6, 9].
Под комбинированной анестезией доступом по Хассену установлен оптический троакар. Создан карбоксиперитонеум величиной в 12 мм рт. ст. Выпота в брюшной полости нет. В брюшной стенке установлено 4 рабочих лапаропорта. При ревизии брюшной полости выявлен умеренно выраженный спаечный процесс в верхних отделах. Выполнен адгезиолизис. Визуализирован грыжевой дефект левого купола диафрагмы, в котором расположены дно желудка и селезенка. Низвести селезенку не представилось возможным. Для решения данной проблемы было принято решение воспользоваться имеющимся рубцом после люмботомии по поводу вскрытия и дренирования абсцесса левой почки. Была использована методика «hand-assistant», при которой в брюшную полость вводится рука хирурга с целью выполнения определенных манипуляций, которые невозможно осуществить только лишь с помощью лапароскопических инструментов, после чего селезенка свободно низведена в брюшную полость. Произведены мобилизация грыжевого мешка и дренирование плевральной полости слева в VII межреберье по среднеподмышечной линии, после чего края грыжевого дефекта свободно сведены и ушиты одиночными узловыми швами. С учетом истонченных стенок грыжевых ворот со склонностью к прорезанию, установлен сетчатый эндопротез с покрытием (Symbotex), который фиксирован эндогерниостеплером ProTack (рис. 2). Для более надежной фиксации сетчатый эндопротез дополнительно закреплен узловыми швами. В брюшной полости установлено два дренажа, один из которых – в левый боковой канал, а второй – в малый таз.
Послеоперационный период протекал без осложнений. Пациентка была активизирована спустя сутки после операции. Дренажи из левой плевральной полости, из малого таза и бокового канала удалены на 1-е, 3-и и 6-е сутки послеоперационного периода соответственно. Швы сняты на 10-е сутки послеоперационного периода.
На 5-е сутки после операции выполнена контрольная рентгенография грудной и брюшной полостей, на которой слева визуализируется диафрагма с четким контуром, диафрагма типично расположена, её подвижность ограничена. Под диафрагмой несколько латерально и кзади видна тень сетчатого эндопротеза.
Послеоперационный период в общем составил 12 дней, что обусловлено наличием болевого синдрома в области установленного сетчатого эндопротеза. В последующем болевой синдром был купирован введением нестероидных противовоспалительных препаратов. Пациентка выписана в удовлетворительном состоянии на амбулаторное лечение через 12 дней после операции.
Рис. 1. Рентгенологическая картина диафрагмальной грыжи у пациентки А.
Рис. 2. Интраоперационная картина сетчатого эндопротеза, фиксированного с помощью эндогерниостеплера
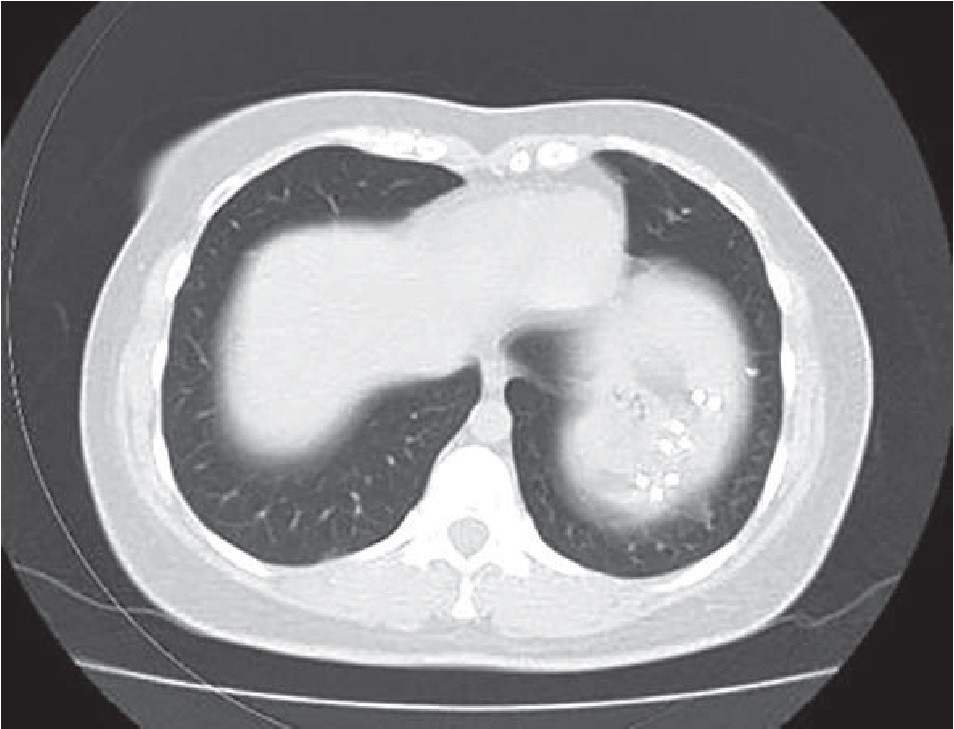
Рис. 3. МСКТ-снимок области диафрагмы спустя 1 месяц после операции
Амбулаторно через 1 месяц после операции выполнена контрольная МСКТ органов грудной клетки и брюшной полости. На ней в проекции левого купола диафрагмы визуализируются скрепки, фиксирующие сетчатый эндопротез. Дефектов купола диафрагмы как слева, так и справа нет (рис. 3).
Заключение. Как известно, технический прогресс вносит свои коррективы в развитие современных методик диагностики и лечения. В настоящее время минимально инвазивные методики в хирургии активно вытесняют традиционные подходы в хирургическом лечении. Результат приведенного клинического случая доказывает, что в случае диафрагмальных грыж эндовидеохирургическое оперативное вмешательство является надежной методикой лечения.
About the authors
B. V. Sigua
Mechnikov North-Western State Medical University
Author for correspondence.
Email: dr.sigua@gmail.com
Russian Federation, St. Petersburg
V. P. Zemlyanoy
Mechnikov North-Western State Medical University
Email: dr.sigua@gmail.com
Russian Federation, St. Petersburg
E. L. Latariya
Mechnikov North-Western State Medical University
Email: dr.sigua@gmail.com
Russian Federation, St. Petersburg
A. B. Singaevsky
Mechnikov North-Western State Medical University
Email: dr.sigua@gmail.com
Russian Federation, St. Petersburg
A. S. Kachiuri
Mechnikov North-Western State Medical University
Email: dr.sigua@gmail.com
Russian Federation, St. Petersburg
D. V. Gurzhiy
Mechnikov North-Western State Medical University
Email: dr.sigua@gmail.com
Russian Federation, St. Petersburg
V. A. Melnikov
Mechnikov North-Western State Medical University
Email: dr.sigua@gmail.com
Russian Federation, St. Petersburg
E. S. Volkova
Mechnikov North-Western State Medical University
Email: dr.sigua@gmail.com
Russian Federation, St. Petersburg
D. V. Ovchinnikov
Kirov Military Medical Academy
Email: dr.sigua@gmail.com
Russian Federation, St. Petersburg
References
- Борисов, А.Е. Диафрагмальные грыжи. Диагностика и хирургическое лечение / А.Е. Борисов // Вестн. хир. им. И.И. Грекова. – 2012. – Т. 171, № 6. – С. 38–42.
- Завгородний, Л.Г. Атлас операций на диафрагме / Л.Г. Завгородний [и др.]. – Кишинев, 1991. – 153 с.
- Земляной, В.П. Особенности диагностики и протезирования крупной левосторонней посттравматической диафрагмальной грыжи (клинический случай) / В.П. Земляной [и др.] // Вестн. Сев.-Зап. гос. мед. ун-та им. И.И. Мечникова. – 2015. – Т. 7, № 3. – С. 93–96.
- Котив, Б.Н. Госпитальная хирургия / Б.Н. Котив, Л.Н. Бисенков. – СПб.: СпецЛит, 2016. – Т. 1. – 751 с.
- Кузин, М.И. Хирургические болезни / М.И. Кузин. – М.: Гэотар- Медиа, 2014. – 992 с.
- Пучков, К.В. Грыжи пищеводного отверстия диафрагмы / К.В. Пучков, В.Б. Филимонов. – М., 2003. – 172 с.
- Matevych, O.Y. Blunt diaphragmatic rupture: four years experience / O.Y. Matevych // Hernia. – 2008. – Vol. 12. – P. 73–78.
- Hanna, W.C. The current status of traumatic diaphragmatic injury / W.C. Hanna, L.E. Ferri, P. Fata // Ann. Thorac. Surg. – 2008. – № 85. – P. 1044–1048.
- Fibla, J.J. Corrección de una hernia diafragmáticaporvíatorácica / J.J. Fibla, G. Gómez, C. Farina // Cir. Esp. – 2009. – Vol. 74. – P. 242–244.
Supplementary files





