Role of radiologic imaging results in sanatorium documentation preparation on the pre-sanatorium stage in patients with degenerative spine disease during referral for sanatorium treatment
- 作者: Shershnev S.V.1, Ipatov V.V.2, Rameshvili T.E.2, Zheleznyak S.G.2, Khalipova I.I.1, Kurtaev D.O.1, Romanov G.G.2, Malakhovskiy V.N.2, Babirin V.S.2, Zheleznyak I.S.2
-
隶属关系:
- Sochi United Sanatorium of the Russian Presidential Administration
- S.M. Kirov Military Medical Academy
- 期: 卷 21, 编号 1 (2019)
- 页面: 42-52
- 栏目: Clinical Trials
- ##submission.dateSubmitted##: 06.06.2019
- ##submission.datePublished##: 15.12.2019
- URL: https://journals.eco-vector.com/1682-7392/article/view/13037
- DOI: https://doi.org/10.17816/brmma13037
- ID: 13037
如何引用文章
全文:
详细
Sanatorium rehabilitation has its own special place in patients with degenerative spine disease. Methods and modalities of sanatorium treatment are aimed at pain syndrome relief, functional state improvement and structural changes decreasing. Insufficient physicians knowledge of sanatorium-resort selection principles and rules, curative factor mechanisms, indications and contraindications to forwarding patients for sanatorium treatment often provides not to improve but to worsening of the patient’s condition or to iatrogenic complications. In sanatorium outpatient records, which is registered on the outpatient stage, as a rule, of all radiological imaging modalities, there are only conventional radiographic data concerned. This modality doesn’t allow full representation of all bone structure disorders, and intervertebral disc condition assessment is impossible at all. Spine radiologic examination is a part of a complex examination of patients with degenerative spine disease. Comparison of the data of complex examination of the patients, treated in a sanatorium, with indications and contraindications for the sanatorium treatment is one of the most important factors of the functional load regimen selection and individual patient rehabilitation program composition in degenerative spine disease. The data analysis of sanatorium outpatient records and radiologic examination of 958 patients with degenerative spine disease treated in United Sanatorium «Sochi» controversies in the degree of manifestations and changes and concomitant pathologies detection, which influenced to the planned treatment programs, were determined. it was shown that computed tomography is the most feasible radiological imaging modality in sanatorium treatment program composition, so there is the necessity to use it on the pre-sanatorium outpatient stage, and its data must be entered to sanatorium outpatient records.
全文:
Введение. В сложившихся современных условиях на санаторно-курортное лечение прибывают пациенты с минимальным набором исходных данных, в том числе и лучевого обследования. Данные санаторной карты в основном включают в себя общий перечень анализов (общий и биохимический анализ крови, анализ мочи) и отдельных инструментальных методик (электрокардиограмма, флюорография), для женщин – результаты гинекологического осмотра. На основании этих данных лечащему врачу трудно определиться с назначением тех или иных процедур, не выявив относительных и абсолютных противопоказаний к различным методикам санаторно-курортного лечения, за исключением заболеваний системы кровообращения.
Медицинскими противопоказаниями для санаторно-курортного лечения являются заболевания в острой и подострой стадии, в том числе острые инфекционные заболевания до окончания периода изоляции; хронические заболевания в стадии обострения; бактерионосительство инфекционных заболеваний; заразные болезни глаз и кожи; паразитарные заболевания; туберкулез любой локализации в активной стадии; злокачественные новообразования, требующие противоопухолевого лечения, в том числе проведения химиотерапии; эпилепсия с текущими приступами, в том числе резистентная к проводимому лечению; психические расстройства и расстройства поведения в состоянии обострения или нестойкой ремиссии, в том числе представляющие опасность для пациента и окружающих; психические расстройства и расстройства поведения, вызванные употреблением психоактивных веществ; кахексия любого происхождения. Кроме того, противопоказаниями для санаторно- курортного лечения непосредственно заболеваний опорно-двигательного аппарата являются тяжелые формы поражения костей и суставов с обильным отделяемым, тяжелыми общими явлениями (гектическая температура, резкое истощение) или амилоидозом внутренних органов; полиартриты с прогрессирующим процессом в суставах, с анкилозами, контрактурами и т. п. при необратимых изменениях в суставах и при потере способности к самообслуживанию; тяжелые деформации суставов с вторичным сино- витом при потере возможности самостоятельного передвижения; хронические остеомиелиты при наличии крупных секвестров или крупного инородного металлического тела в остеомиелитическом очаге (наличие мелких металлических осколков в окружающих мягких тканях не является противопоказанием для курортного лечения); септические формы ревматоидного артрита, ревматоидный артрит с системными поражениями (висцеритами) [4].
Однако помимо противопоказаний, перечисленных в данном перечне, существуют специфические ограничения и противопоказания при назначении тех или иных методик лечения именно пациентов с дегенеративно-дистрофическими поражениями позвоночника (ДППП), обусловленные механизмами воздействия лечебных факторов. Например, тракционное лечение является одной из методик патогенетической терапии остеохондроза позвоночника с корешковыми и рефлекторными расстройствами, но для её осуществления требуется дополнительно уточнить состояние позвоночно-двигательных сегментов, так как наличие секвестрированной грыжи диска, экструзии более 8 мм, нестабильности ПДС и спондилолистезы II степени, новообразования позвоночника, выраженных про- явлений спондилоартроза и спондилеза, абсолютного и относительного стеноза, нарушений минерализации костной ткани в виде остеопороза являются абсолютными противопоказаниями для данного вида лечения. То же самое можно сказать и в отношении назначения мануальной терапии. Наличие гемангиом в позвонках накладывает ряд ограничений, вплоть до полной отмены теплового воздействия, электролечения, широкого спектра механотерапии [4].
Ведущая роль в решении данных вопросов принадлежит лучевым методикам обследования, однако, исходя из нашего опыта, в санаторной карте, заполняемой на амбулаторно-поликлиническом этапе, из них, как правило, отражены лишь данные традиционной рентгенографии. Однако данная методика не позволяет полноценно оценить характер изменений костной структуры [2, 7], а достоверно определить изменения межпозвоночных дисков по нему невозможно. Также, исходя из нашего опыта, до 60% пациентов прибывают в санаторий с наличием при себе заключений магнитно-резонансной томографии (МРТ), выполненной в качестве дополнительного обследования по назначению врача-невролога. Однако необходимо учесть, что, во-первых, эти данные в санаторную карту не вносятся, во-вторых, сами изображения, как правило, остаются в лечебном учреждении либо дома у пациента, в-третьих, полноценная оценка таких изменений костных структур, как спондилоартроз, спондилёз, остеопороз, ширина позвоночного канала и корешковых отверстий, по данным МРТ затруднена либо невозможна в связи с физико-техническими основами и особенностями данного метода; и сведения, содержащиеся в заключении, представляют собой характеристики состояния и изменений межпозвонковых дисков, нервных корешков, спинного мозга и позвоночных артерий шейного отдела [2, 6, 9, 10]. Результаты рентгеновской компьютерной томографии (КТ), позволяющей определить вышеперечисленные костные изменения [2, 3, 5, 7, 8, 11], и остеоденситометрии (ОД) с указанием минеральной плотности костной ткани [1] имеются у пациентов не более чем в 3% случаев и также не внесены в санаторную карту, что требует их выполнения на базе санатория перед выбором режимов функциональной нагрузки и по- строения программ лечения. Однако техническое оснащение санаториев, за редким исключением, не позволяет выполнить высокотехнологичные лучевые методики обследования в условиях курорта.
Таким образом, современные условия диктуют необходимость полноценного обследования пациентов на досанаторном этапе с внесением всех результатов в санаторно-курортную карту.
Цель исследования. Определить роль лучевых методик диагностики при заполнении санаторной карты для направления в санаторий больных дегенеративно-дистрофическими поражениями позвоночника.
Материалы и методы. Проанализированы данные санаторных карт 958 пациентов, проходивших санаторно-курортное лечение в Объединенном санатории «Сочи» по поводу дегенеративно-дистрофических поражений позвоночника. Всем пациентам выполнена КТ, из них 129 – с функциональными пробами; 262 пациентам выполнена остеоденситометрия, 79 – спондилография, 241 пациенту – МРТ. Лучевые исследования выполнялись по назначению врачей-неврологов, мануальных терапевтов, врачей-специалистов по лечебной физкультуре, врачей- физиотерапевтов для оценки состояния структур позвоночника при отсутствии в санаторной карте данных рентгенологических исследований (203 пациента) или определения степени выраженности и характера дегенеративных изменений с целью назначения или исключения из планируемой программы санаторного лечения методик, потенциально способных привести к ятрогенным осложнениям (тракционная терапия; мануальная терапия и массаж; чрезмерные физические нагрузки при лечебной физкультуре (ЛФК) и кинезотерапии при несоответствии режима нагрузки и состояния позвоночника; душ Шарко; некоторые виды электротерапии).
Рентгенографические исследования выполнялись на цифровом рентгенодиагностическом комплексе «Luminos DRF» фирмы «Siemens» (Германия). При спондилографии в двух стандартных проекциях оценивались физиологические изгибы, форма, размеры и структура позвонков, состояние замыкающих пластинок тел, высота межпозвоночных щелей, смещение тел позвонков, изменения в позвоночном канале, состояние межпозвоночных суставов, в косых проекциях – представление о состоянии межпозвоночных отверстий, возможных причинах сужения их в шейном и грудном отделах позвоночника, с функциональными пробами (при сгибании и разгибании позвоночника) – гипермобильность, наличие или отсутствие блокады сегмента, спондилолистез (смещение позвонков) и нестабильность позвоночника.
Остеоденситометрия выполнялась на двухэнергетическом рентгеновском костном денситометре «Hologic Discovery W». Оценивались наличие и степень выраженности остеопении и остеопороза. При исследовании определялось значение показателей минерализации костной ткани: костный минеральный компонент (количество минерализованной ткани, г) и минеральная плотность костной ткани (количество минерализованной костной ткани на сканируемой площади, г/см2) с последующим расчётом Т-критерия, представляющего собой количество стандартных отклонений выше или ниже пика костной массы молодого человека, и Z-критерия, представляющего собой количество стандартных отклонений выше или ниже среднего показателя для аналогичного возраста. По данным проведенной денситометрии были выделены следующие группы пациентов: норма (T-score>= –1), остеопения (T-score>= –1 and > –2,5), остеопороз (T-score<= –2,5).
Рентгеновская компьютерная томография (КТ) выполнялась на 64-срезовом мультиспиральном компьютерном томографе «Siemens Somatom Definition AS 64» в режиме сканирования позвоночника. Оценивались наличие, локализация, направление смещения, размеры протрузий и экструзий межпозвонковых дисков, наличие сдавления корешка спинномозгового нерва, наличие секвестра грыжи, наличие грыжи в области межпозвонкового отверстия или в корешковом канале, «реакция подпоры», степень выраженности остеохондроза, спондилоартроза, спондилеза, наличие стеноза позвоночного канала, сужение корешковых отверстий, костные изменения, в том числе явления артроза межпозвонковых суставов, а также обызвествления фиброзного кольца диска, изменения со стороны желтых связок (гипертрофия и обызвествление). При функциональных пробах дополнительно оценивали изменения размеров грыж в положениях сгибания и разгибания, а также степень смещения позвонков на предмет наличия гипермобильности или костного блока. Функциональные пробы для шейного отдела проводились в положении лёжа на спине, для поясничного – в положении лёжа на боку, с максимальным сгибанием и разгибанием.
Магнитно-резонансная томография проводилась на аппарате «GE Optima 360» с напряженностью магнитного поля 1,5 Т. Оценивались наличие, локализация, направление смещения, размеры протрузий и экструзий межпозвонковых дисков, наличие сдавления дурального мешка и корешка спинномозгового нерва, наличие секвестра грыжи, наличие грыжи в области межпозвонкового отверстия или в корешковом канале, степень выраженности остеохондроза, наличие стеноза позвоночного канала, определялись состояние спинного мозга и конского хвоста, наличие изменений мягких тканей, таких как реактивный отек корешка, рубцовый эпидурит, реактивный эпидуральный отек, утолщение связок и другие структурно-морфологические изменения.
Результаты и их обсуждение. По результатам анализа данных, имевшихся в санаторных картах пациентов, и сопоставления с результатами лучевых методик обследования у 396 человек проведенные лучевые обследования не выявили изменений, влияющих на изменение программы лечения. Дополнительные данные, полученные при КТ, МРТ или остеоденситометрии, показали, что составленные по данным санаторных карт программы лечения могут осуществляться в планируемом объёме. При этом у 376 пациентов по данным КТ, рентгенографии и остеоденситометрии были установлены начальные проявления остеохондроза позвоночника (I стадия), дегенерация диска без выпячивания либо протрузии не более 4 мм без изменений со стороны межпозвоночных суставов, плотности и структуры кости позвонка, отсутствие признаков дегенеративного сужения позвоночного канала, стабильность позвоночных двигательных сегментов. Данным пациентам был назначен тренирующий (максимальной интенсивности) режим функциональных нагрузок, а корректировки программы лечения были несущественными. При этом в 298 (79,3%) случаях из 376 при выполненных лучевых исследованиях были выявлены изменения, не соответствующие данным, указанным в санаторных картах несмотря на то, что на программу лечения это не повлияло.
Наличие резко выраженных изменений костных структур позвоночника, отмеченное в данных санаторной карты у 20 пациентов по имевшимся в наличии результатам рентгенологического исследования, изначально предполагало определение этих больных в группу щадящего (минимальной интенсивности) режима функциональных нагрузок и ограниченное применение факторов лечебного воздействия. Проведенное нами лучевое обследование не выявило дополнительных проявлений, влияющих на планируемое лечебное воздействие и требующих корректировки программ лечения. Однако во всех случаях с помощью КТ и МРТ были выявлены дополнительные изменения со стороны межпозвоночных дисков и связочного аппарата, хотя на программу лечения это также не повлияло.
По итогам лучевого обследования программа лечения была скорректирована у 556 (58%) пациентов, у 430 пациентов были назначены более щадящие режимы ЛФК и кинезотерапии, добавлена медикаментозная терапия, электрофорез лекарственных средств, магнито- и лазеротерапия, у 208 пациентов была отменена механотерапия и/или мануальная терапия, у 161 пациента проведена коррекция бальнеотерапевтических воздействий. Основными причинами коррекции программ лечения были не указанные в санаторных картах остеопения и остеопороз; протрузии и экструзии дисков как единичные, так и множественные; гемангиомы; секвестрации грыж либо отсутствие в санаторных картах данных рентгенологического исследования.
У 6 пациентов по итогам лучевых исследований были выявлены злокачественные образования либо вторичные поражения, что являлось абсолютным противопоказанием к санаторному лечению, при этом в санаторной карте указание на наличие злокачественной опухоли в анамнезе отсутствовало.
У пациентки 44 лет, прибывшей на лечение по поводу остеохондроза, в санатории выполнена КТ, позволившая диагностировать спондилолистез I степени и протрузий размерами менее 3 мм (рис. 1). В санаторной карте пациентки имелись лишь общие сведения. Данные рентгенологического обследования свидетельствовали о наличии остеохондроза, при этом спондилолистез диагностирован не был. КТ была выполнена с целью оценки изменений межпозвоночных дисков. Однако выявленные изменения не препятствовали возможности установления интенсивного режима функциональных нагрузок; противопоказаний, препятствующих назначению каких-либо методик лечебного воздействия, также не выявлено.
Рис. 1. Пациентка Т., 44 года. На КТ поясничного отдела позвоночника в аксиальной (а, б) и сагиттальной плоскостях (в, г) определяются остеохондроз поясничного отдела позвоночника I степени, протрузии межпозвонковых дисков L4–5 и L5–S1, не превышающие 3 мм, спондилоартроз, передний дегенеративный спондилолистез позвонка L3 I степени (менее 1/4 ширины позвонка) без признаков дегенеративного сужения позвоночного канала и выраженной нестабильности
Случай выявления остеопороза при остеоденситометрии, выполненной в санатории, у пациентки 56 лет, прибывшей на лечение по поводу остеохондроза пояснично-крестцового отдела позвоночника, представлен на рисунке 2. В санаторной карте имелись лишь данные рентгенологического обследования, а у пациентки при себе – данные МРТ, подтверждающие диагноз направления. Остеоденситометрия была назначена в связи со следующими обстоятельствами: возраст свыше 40 лет, в анамнезе – менопауза ~10 лет, кормление грудью 11 месяцев, планируемое включение в программу лечения механотерапевтических воздействий (рис. 2).
Рис. 2. Пациентка Т., 56 лет с проявлениями остеохондроза пояснично-крестцового отдела позвоночника. При рентенографии пояснично-крестцового отдела позвоночника в прямой и боковой проекциях (а, б) определяются умеренные проявления остеохондроза поясничного отдела позвоночника. При выполнении остеоденситометрии (в) площадь сканируемой поверхности (Area) – 55,66 см2. Содержание костного минерала (BMC) – 40,27 г, проекционная минеральная плотность костной ткани (BMD) – 0,723 г/см2, Т-критерий= –2,9, Z-критерий = –1, минерализация костей поясничного отдела позвоночника – в пределах значений остеопороза
По итогам комплексного анализа полученных результатов и данных санаторной карты пациентке из программы лечения были исключены планируемые тракционная и мануальная терапия, а также душ Шарко; назначены лечебная гимнастика в бассейне, кинезитерапия на аппарате «Экзарта» и «Kinesis Omega», иглорефлексотерапия.
Ещё в одном случае пациент был направлен на санаторное лечение с диагнозом «остеохондроз грудного отдела позвоночника», в санаторной карте были отражены только данные рентгенологического исследования (рис. 3 а–в). При выполнении КТ (рис. 3, г–е) с целью уточнения характера и степени выраженности дегенеративных изменений было диагностировано наличие крупной гемангиомы в теле Тh8 позвонка, о которой ранее известно не было, что явилось причиной отмены электротерапии и высокочастотной терапии, тепловой терапии на данную область. Назначены массаж, вертикальное подводное вытяжение, ЛФК и кинезотерапия в общей группе, плавание.
Рис. 3. Больной Д., 34 года. При рентенографии грудного отдела позвоночника в прямой и боковых проекциях (а, б, в) определяются умеренные проявления остеохондроза грудного отдела позвоночника. На КТ во фронтальной (г), аксиальной (д), сагиттальной (е) плоскостях определяется умеренный остеохондроз грудного отдела позвоночника, остеоартроз реберно-позвонковых сочленений, гемангиома тела позвонка Th8
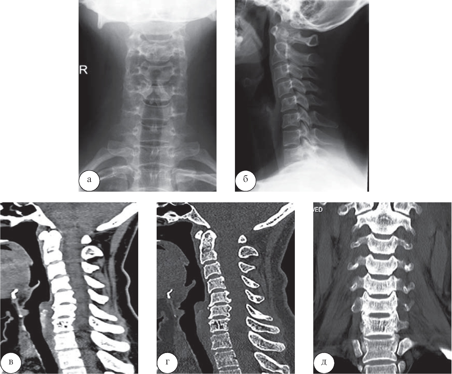
Пациентка 56 лет была направлена на санаторное лечение с диагнозом «остеохондроз» шейного отдела позвоночника, остеоартроз унковертебральных сочленений. У неё при себе и в санаторной карте имелись данные рентгенологического исследования (рис. 4 а, б); КТ была выполнена на базе санатория для оценки степени выраженности и характера дегенеративного процесса (рис. 4, в–д).
Рис. 4. Пациентка К., 56 лет. Рентенограммы шейного отдела позвоночника: а – прямая, б – боковая проекции. Определяются умеренные проявления остеохондроза шейного отдела позвоночника, остеоартроза унковертебральных сочленений. На КТ в сагиттальной (в, г) и корональной (д) плоскостях определяется остеохондроз шейного отдела позвоночника, протрузий межпозвонковых дисков С2–3, С3–4, С4–5, экструзии межпозвонковых дисков С5–6, С6–7, спондилоартроз, гемангиома тела позвонка С7
Наличие крупной гемангиомы в С7 позвонке привело к отмене аппаратной физиотерапии, теплотерапии шейно-воротниковой зоны, мануальной терапии. Дополнительно были назначены лечебная гимнастика в зале ЛФК по щадяще-тренирующему режиму и иглорефлексотерапия.
У пациента 60 лет, направленного на санаторное лечение по поводу остеохондроза пояснично-крестцового отдела, при себе и в санаторной карте имелись лишь результаты рентгенологического обследования (рис. 5 а, б). Как и в предыдущих случаях, компьютерная томография была выполнена для оценки степени выраженности и характера дегенеративного процесса (рис. 5 г–з). В связи с планируемым назначением тракционной терапии пациенту была выполнена остеоденситометрия (рис. 5 в).
Рис. 5. Пациент Д., 60 лет. При рентенографии пояснично-крестцового отдела позвоночника в прямой и боковой проекциях (а, б) определяются умеренные проявления остеохондроза поясничного отдела позвоночника, спондилоартроза. При остеоденситометрии (в) площадь сканируемой поверхности составила 57,04 см2, содержание костного минерала (BMC) – 50,84 г, проекционная минеральная плотность костной ткани (BMD) – 0,891 г/см2, Т-критерий = –1,4, Z-критерий = 0,1; минерализация костей поясничного отдела позвоночника – в пределах значений остеопении. На КТ в аксиальной (г), фронтальной (д, ж), сагиттальных (е, з) плоскостях определяются умеренные проявления остеохондроза поясничного отдела позвоночника, протрузии межпозвонкового диска L3–4, экструзии межпозвонкового диска L5–S1, гемангиома тела позвонка L3
При КТ было впервые установлено наличие гемангиомы в L3 позвонке, при остеоденситометрии – остеопения. Данные обстоятельства привели к отмене электротерапии, теплотерапии, мануальной терапии и душа Шарко, назначению подводного горизонтального вытяжения, массажа, кинезитерапии, лечебной гимнастики по щадяще-тренирующему режиму.
У пациента 53 лет, направленного на санаторное лечение, в санаторной карте было приведено заключение по результатам рентгенологического об- следования – умеренные проявления остеохондроза поясничного отдела позвоночника, спондилоартроз (рис. 6 а, б), КТ была выполнена в связи с наличием выраженного болевого синдрома для выявления его причин, а также оценки степени и характера дегенеративного процесса (рис. 6, в–д).
Рис. 6. Пациент А., 53 года. При рентенографии пояснично-крестцового отдела позвоночника в прямой и боковой проекциях (а, б) определяются умеренные проявления остеохондроза поясничного отдела позвоночника, спондилоартроза. На КТ во фронтальной, аксиальной, сагиттальных плоскостях отмечаются задняя протрузия межпозвонкового диска L3–4, выступающая до 3 мм (сплошная стрелка), задняя экструзия межпозвонкового диска L4–5, выступающая до 4 мм (пунктирная стрелка), задняя диффузная секвестрированная грыжа межпозвонкового диска L5–S1, выступающая до 7 мм (выделено окружностью). Секвестр имеет размеры 6×5 мм и распространяется парамедиально влево и вниз вдоль заднего края тела позвонка S1; сужение позвоночного канала в месте секвестрации, проявления остеоартроза дугоотростчатых суставов
Результаты КТ показали наличие у пациента секвестрированной грыжи диска L5–S1, что явилось причиной исключения из программы лечения всех видов механотерапевтического воздействия, массажа, ЛФК, мануальной терапии, тепловых процедур, бальнеотерапии. В программу лечения были включены магнитотерапия, фонофорез, иглорефлексотерапия, добавлена медикаментозная терапия.
Результаты лучевого обследования, внесённые в санаторную карту пациента 47 лет, прибывшего в санаторий на лечение, были представлены лишь рентгенограммами пояснично-крестцового отдела (рис. 7, а–г). В связи с выраженным болевым синдромом пациенту была выполнена КТ (рис. 7, д–и), при которой диагностированы грыжа межпозвонкового диска L4–5, выступающая до 9 мм и субтотально суживающая просвет позвоночного канала и корешковые отверстия, а также выступающая до 7 мм сублигаментарная грыжа диска L5–S1, разнонаправленные дегенеративные спондилолистезы двух соседних позвонков.
Рис. 7. Пациент Р., 47 лет. При рентенографии пояснично-крестцового отдела позвоночника в прямой и боковой проекциях (а, б) и выполнении функциональных проб (сгибание (в) и разгибание (г)) определяются проявления остеохондроза поясничного отдела позвоночника, спондилоартроза, переднего дегенеративного спондилолистеза позвонка L4 1 степени. На компьютерных томограммах в аксиальной (д, е) и сагиттальной (ж–и) плоскостях выявляются задняя грыжа диска L2–3, выступающая до 5 мм, задняя диффузная грыжа межпозвонкового диска L4–5, выступающая до 9 мм и субтотально суживающая просвет позвоночного канала и корешковые отверстия; задняя медиальная частично обызвествившаяся грыжа межпозвонкового диска L5–S1, максимально выступающая до 7 мм на уровне верхней трети тела S1 и распространяющаяся вдоль задней продольной связки. Позвоночный канал на уровне L4–5 сужен грыжей диска и имеет размеры 4×9 мм. Корешковые отверстия L5–S1 сужены за счет остеофитов. Имеются выраженные проявления остеоартроза дугоотростчатых суставов L4–S1. Отмечается передний дегенеративный спондилолистез позвонка L4 до 4 мм, задний дегенеративный спондилолистез позвонка L5 до 3 мм
Больному проведена консультация нейрохирурга, показаний к срочному хирургическому вмешательству и отмене санаторного лечения выявлено не было. Из программы лечения исключены механотерапия и теплотерапия на поясничную область, назначены аппаратная физиотерапия и медикаментозная терапия.
Ещё у одного пациента 67 лет в санаторной карте отсутствовало упоминание о раке предстательной железы в анамнезе, данные рентгенологического обследования представлены не были. Пациент был направлен на санаторное лечение в связи с выраженным болевым синдромом и диагнозом направления «остеохондроз позвоночника». Для уточнения причин болевого синдрома в санатории была выполнена КТ (рис. 8).
Рис. 8. Пациент Т., 67 лет. При КТ отмечаются множественные очаги уплотнения костной структуры в телах всех позвонков, остистых отростках, грудине и рёбрах. В анамнезе – брахитерапия по поводу рака предстательной железы, таким образом, данная картина соответствует остеобластическому метастатическому поражению скелета
По итогам КТ-обследования у данного пациента санаторное лечение было отменено в связи с наличием абсолютного противопоказания –множественных метастазов в кости. Таким образом, изменения программ лечебного воздействия в отношении всех пациентов были произведены после комплексного анализа данных КТ, МРТ, остеоденситометрии и рентгенографических исследований и получения дополнительной информации, отсутствовавшей в санаторных картах пациентов, заполненных на досанаторном этапе, вследствие детальной оценки дегенеративных изменений позвоночника. Наиболее значимую для врачей-специалистов санатория информацию дала КТ, поскольку при наличии протрузий и экструзий небольших размеров основными факторами, влияющими на выбор методик лечебного воздействия, служили изменения именно костных структур. Дополнительная информация, полученная при МРТ, имела значение в тех случаях, когда требовалось оценить степень сдавления нервных корешков либо спинного мозга, в то время как при КТ это не представлялось возможным. Однако результаты МРТ при этом значимо не повлияли на изменения программ лечения, запланированных в соответствии с результатами КТ, а явились дополнительным фактором, подтверждающим назначение или исключение конкретных методик лечебного воздействия из программы.
Заключение. При оформлении медицинской документации у пациентов, направляющихся на санаторное лечение по поводу ДДПП, в санаторной карте, заполняемой на амбулаторно-поликлиническом этапе, из методик лучевого обследования, как правило, отражены лишь данные традиционной рентгенографии. Этого недостаточно для организации полноценного и эффективного лечения в санатории. Наиболее целесообразным, по нашему мнению, представляется выполнение КТ пораженных отделов, позволяющей оценить большее число структур несмотря на то, что в визуализации межпозвоночных дисков, нервных корешков и спинного мозга МРТ превосходит КТ. Однако необходимость детальной оценки костных структур, меньшее число противопоказаний, высокое пространственное разрешение позволяют рекомендовать КТ как основной способ обязательного лучевого обследования больных дегенеративными поражениями позвоночника на досанаторном этапе с подробным занесением результатов в санаторную карту, в то время как МРТ, традиционное рентгенологическое исследование и остеоденситометрию рассматривать как дополнительные и вспомогательные методики лучевого обследования для решения конкретных диагностических задач и затруднений.
作者简介
S. Shershnev
Sochi United Sanatorium of the Russian Presidential Administration
Email: vmeda-nio@mil.ru
俄罗斯联邦, Sochi
V. Ipatov
S.M. Kirov Military Medical Academy
Email: vmeda-nio@mil.ru
俄罗斯联邦, St. Petersburg
T. Rameshvili
S.M. Kirov Military Medical Academy
Email: vmeda-nio@mil.ru
俄罗斯联邦, St. Petersburg
S. Zheleznyak
S.M. Kirov Military Medical Academy
Email: vmeda-nio@mil.ru
俄罗斯联邦, St. Petersburg
I. Khalipova
Sochi United Sanatorium of the Russian Presidential Administration
Email: vmeda-nio@mil.ru
俄罗斯联邦, Sochi
D. Kurtaev
Sochi United Sanatorium of the Russian Presidential Administration
Email: vmeda-nio@mil.ru
俄罗斯联邦, Sochi
G. Romanov
S.M. Kirov Military Medical Academy
Email: vmeda-nio@mil.ru
俄罗斯联邦, St. Petersburg
V. Malakhovskiy
S.M. Kirov Military Medical Academy
Email: vmeda-nio@mil.ru
俄罗斯联邦, St. Petersburg
V. Babirin
S.M. Kirov Military Medical Academy
Email: vmeda-nio@mil.ru
俄罗斯联邦, St. Petersburg
I. Zheleznyak
S.M. Kirov Military Medical Academy
编辑信件的主要联系方式.
Email: vmeda-nio@mil.ru
俄罗斯联邦, St. Petersburg
参考
- Годзенко, А.В. Остеоденситометрия: методические рекомендации / А.В. Годзенко [и др.]. – М., 2017. – 25 с.
- Захматова, Т.В. Клинико-лучевые сопоставления при дегенеративных заболеваниях и повреждениях шейного отдела позвоночника и их значение в оптимизации тактики лечения: дисс. ... д-ра мед. наук / Т.В. Захматова. – СПб., 2017. – 422 с.
- Крепко, Ю. Заболевания межпозвонковых дисков; пер. с англ. под общ. ред. В.А. Широкова. – М.: Медпресс-инфо, 2015. – 471 с.
- Пономаренко, Г.Н. Физическая и реабилитационная медицина / Г.Н. Пономаренко. – М.: ГЭОТАР-Медиа, 2016. – 688 с.
- Рентгеновская компьютерная томография: руководство для врачей / под ред. Г.Е. Труфанова, С.Д. Рудя. – СПб.: Фолиант, 2008. – 1200 с.
- Ульрих, Э.В. Вертебрология в терминах, цифрах, рисунках / Э.В. Ульрих, А.Ю. Мушкин. – СПб.: Элби-СПб, 2005. – 186 с.
- Boos, N. Spinal Disorders: Fundamentals of Diagnosis and Treatment / N. Boos, M. Aebi. – Berlin; Heidelberg: Springer-Verlag, 2008. – 1199 p.
- Kapural, L. Diagnosis, Management, and Treatment of Discogenic Pain / L. Kapural, P. Kim, T. Deer. – New York; Philadelphia: Elsevier Science, 2011. – 176 p.
- Pathria, M. Imaging of spine instability / M. Pathria // Semin. Musculoskelet. Radiol. – 2005. – Vol. 9, № 1. – P. 88–99.
- Parizel, P.M. The degenerative spine: pattern recognition and guidelines to image interpretation / P.M. Parizel [et al.]. – Handb Clin Neurol. – 2016. – Vol. 136. – P. 787–808.
- Weishaupt, D. Degenerative diseases of the spine / D. Weishaupt, I. McCall // In: von Schulthess G.K., Zollikofer Ch.L. (eds): Musculosceletal diseases: diagnostic imaging and interventional techniques. – Sptinger-Verldg Italy, 2005. – P. 132–137.
补充文件










